Bypass Procedure Performed in the Field of a Decompressive Craniectomy in the Case of an MCA Dissecting Aneurysm: Case Report and Review of the Literature
Abstract
1. Introduction
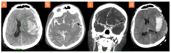
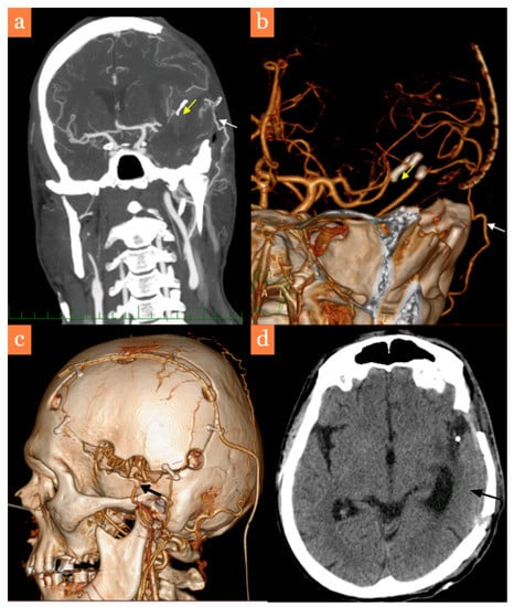
2. Case Report
3. Discussion
4. Conclusions
Author Contributions
Funding
Institutional Review Board Statement
Informed Consent Statement
Data Availability Statement
Acknowledgments
Conflicts of Interest
References
- Lawton, M.T.; Hamilton, M.G.; Morcos, J.J.; Spetzler, R.F. Revascularization and Aneurysm Surgery: Current techniques, Indications and Outcome. Neurosurgery 1996, 38, 83–94. [Google Scholar] [CrossRef] [PubMed]
- Kalani, M.Y.S.; Zabramski, J.M.; Hu, Y.C.; Spetzler, R.F. Extracranial-Intracranial Bypass and Vessel Occlusion for the Treatment of Unclippable Giant Middle Cerebral Artery Aneurysms. Neurosurgery 2012, 72, 428–436. [Google Scholar] [CrossRef] [PubMed]
- Lawton, M.T. Seven Aneurysms: Tenets and Techniques for Clipping, 1st ed.; Thieme: New York, NY, USA, 2010. [Google Scholar] [CrossRef]
- Lawton, M.T. Seven Bypasses: Tenets and Techniques for Revascularization, 1st ed.; Thieme: New York, NY, USA, 2018. [Google Scholar] [CrossRef]
- Hernesniemi, J.; Dashti, R.; Niemelä, M.; Romani, R.; Rinne, J.; Jääskeläinen, J.E. Microsurgical and Angiographic Anatomy of Middle Cerebral Artery Aneurysm. Neurosurgery 2010, 66, E1030. [Google Scholar] [CrossRef] [PubMed]
- Krisht, A.F.; Krayenbühl, N.; Sercl, D.; Bikmaz, K.; Kadri, P.A. Results of Microsurgical Clipping of 50 High Complexity Basilarapex Aneurysms. Neurosurgery 2007, 60, 242–252. [Google Scholar] [CrossRef] [PubMed]
- Ota, N.; Matsukawa, H.; Noda, K.; Sato, H.; Hatano, Y.; Hashimoto, A.; Miyazaki, T.; Kondo, T.; Kinoshita, Y.; Saito, N.; et al. Evaluation of Microsurgery for Managing Giant or Complex Cerebral Aneurysms: A Retrospective Study. World Neurosurg. 2018, 115, e190–e199. [Google Scholar] [CrossRef] [PubMed]
- Solomon, R.A.; Fukushima, T. New aneurysm clip appliers for “key-hole” neurosurgery. Neurosurgery 1991, 28, 474–476. [Google Scholar] [CrossRef]
- Meybodi, A.T.; Huang, W.; Benet, A.; Kola, O.; Lawton, M. Bypass surgery for complex middle cerebral artery aneurysms: An algorithmic approach to revascularization. J. Neurosurg. 2017, 127, 463–479. [Google Scholar] [CrossRef]
- Kivipelto, L.; Niemelä, M.; Meling, T.; Lehecka, M.; Lehto, H.; Hernesniemi, J. Bypass surgery for complex middle cerebral artery aneurysms: Impact of the exact location in the MCA tree. J. Neurosurg. 2014, 120, 398–408. [Google Scholar] [CrossRef] [PubMed]
- Burkhardt, J.-K.; Yousef, S.; Tabani, H.; Benet, A.; Rubio, R.R.; Lawton, M.T. Combination Superficial Temporal Artery-Middle Cerebral Artery Bypass and M2–M2 Reanastomosis With Trapping of a Stented Distal Middle Cerebral Artery Aneurysm: 3-Dimensional Operative Video. Oper. Neurosurg. 2018, 15, E67–E68. [Google Scholar] [CrossRef] [PubMed]
- Stambolija, V.; Mrak, G.; Lozic, M.; Ljevak, J.; Bublic, M.M.; Scap, M. Intraoperative Eptifibatide Administration During Urgent Arterial Bypass in Neurosurgery. World Neurosurg. 2017, 103, 952.e5–952.e9. [Google Scholar] [CrossRef] [PubMed]
- Saito, H.; Ogasawara, K.; Kubo, Y.; Saso, M.; Otawara, Y.; Ogawa, A. Treatement of Ruptured Spontaneous Saccular Aneurysm in the Central Artery of the Middle Cerebral Artery Using Bypass Surgery with Trapping. Neurol. Med. Chir. (Tokyo) 2007, 47, 471–474. [Google Scholar] [CrossRef] [PubMed]
- Sakamoto, S.; Ikawa, F.; Kawamoto, H.; Ohbayashi, N.; Inagawa, T. Acute surgery for ruptured dissecting aneurysm of the M3 portion of the middle cerebral artery. Neurol. Med. Chir. 2003, 43, 188–191. [Google Scholar] [CrossRef] [PubMed]
- Nakahara, I.; Taha, M.M.; Higashi, T.; Iwamuro, Y.; Iwaasa, M.; Watanabe, Y.; Tsunetoshi, K.; Munemitsu, T. Different modalities of treatment of intracranial mycotic aneurysms: Report of 4 cases. Surg. Neurol. 2006, 66, 405–409. [Google Scholar] [CrossRef] [PubMed]
- Qian, H.; Shi, X.; Brooks, K.S.; Zhao, X.; Shi, X.; Lei, T. MCA-to-MCA Bypass with Interposition Graft for Ruptured Mycotic Middle Cerebral Artery Aneurysm. World Neurosurg. 2019, 122, 195. [Google Scholar] [CrossRef] [PubMed]
- Aljuboori, Z.; Meyer, K.; Ding, D.; James, R.; Meyer, K. Endovascular Treatment of a Traumatic Middle Cerebral Artery Pseudoaneurysm with the Pipeline Flex Embolization Device. World Neurosurg. 2019, 133, 201–204. [Google Scholar] [CrossRef] [PubMed]




Publisher’s Note: MDPI stays neutral with regard to jurisdictional claims in published maps and institutional affiliations. |
© 2020 by the authors. Licensee MDPI, Basel, Switzerland. This article is an open access article distributed under the terms and conditions of the Creative Commons Attribution (CC BY) license (http://creativecommons.org/licenses/by/4.0/).
Share and Cite
Bartoš, R.; Lodin, J.; Hejčl, A.; Humhej, I.; Concepción, I.; Cihlář, F.; Sameš, M. Bypass Procedure Performed in the Field of a Decompressive Craniectomy in the Case of an MCA Dissecting Aneurysm: Case Report and Review of the Literature. Brain Sci. 2021, 11, 29. https://doi.org/10.3390/brainsci11010029
Bartoš R, Lodin J, Hejčl A, Humhej I, Concepción I, Cihlář F, Sameš M. Bypass Procedure Performed in the Field of a Decompressive Craniectomy in the Case of an MCA Dissecting Aneurysm: Case Report and Review of the Literature. Brain Sciences. 2021; 11(1):29. https://doi.org/10.3390/brainsci11010029
Chicago/Turabian StyleBartoš, Robert, Jan Lodin, Aleš Hejčl, Ivan Humhej, Ingrid Concepción, Filip Cihlář, and Martin Sameš. 2021. "Bypass Procedure Performed in the Field of a Decompressive Craniectomy in the Case of an MCA Dissecting Aneurysm: Case Report and Review of the Literature" Brain Sciences 11, no. 1: 29. https://doi.org/10.3390/brainsci11010029
APA StyleBartoš, R., Lodin, J., Hejčl, A., Humhej, I., Concepción, I., Cihlář, F., & Sameš, M. (2021). Bypass Procedure Performed in the Field of a Decompressive Craniectomy in the Case of an MCA Dissecting Aneurysm: Case Report and Review of the Literature. Brain Sciences, 11(1), 29. https://doi.org/10.3390/brainsci11010029

