Deep Brain Stimulation for Gilles de la Tourette Syndrome: Toward Limbic Targets
Abstract
1. Introduction
2. Methods
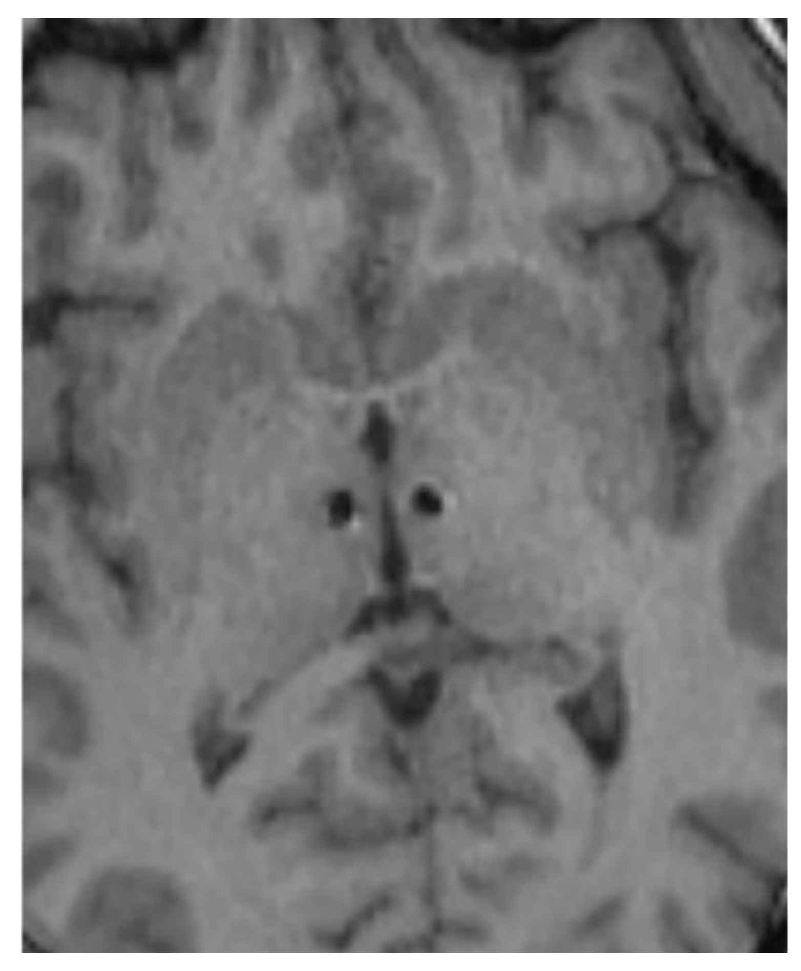
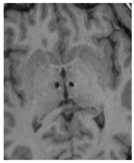
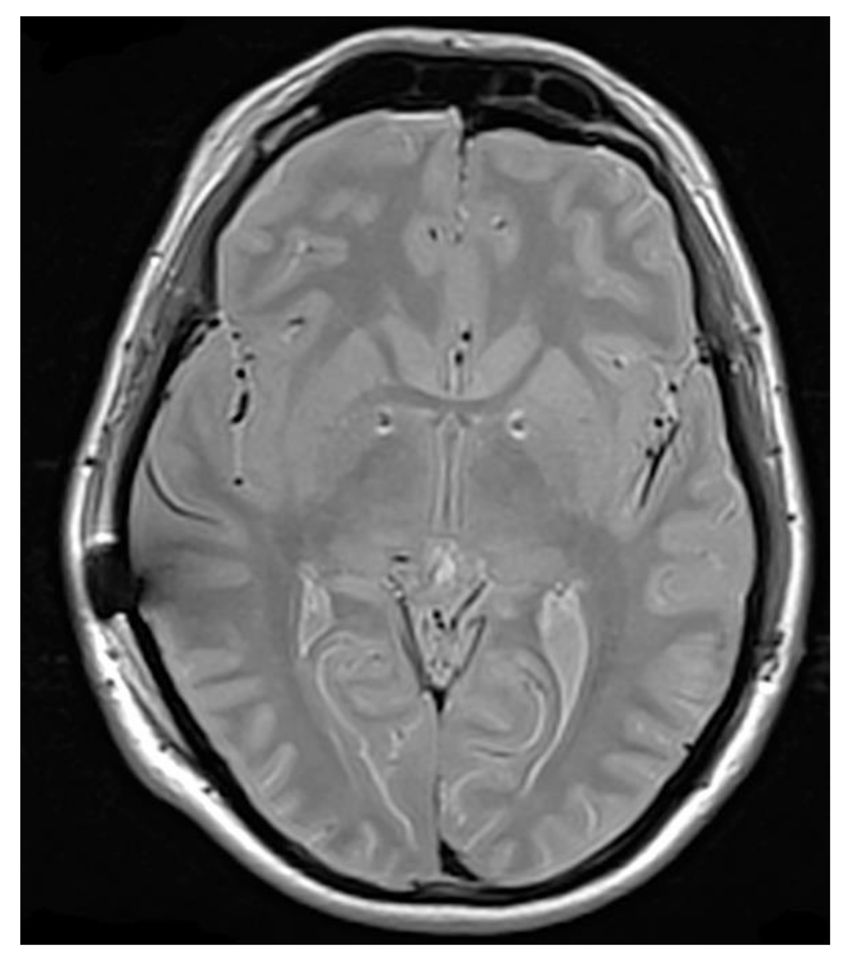
2.1. Patients Cohort and Surgical Procedure
2.2. Statistical Analisis
2.3. Ethics
3. Results
4. Discussion
5. Conclusions
Author Contributions
Funding
Conflicts of Interest
References
- Zanaboni Dina, C.; Porta, M. Understanding Tourette Syndrome: A Guide to Symptoms, Management and Treatment, 1st ed.; Routledge: Abingdon, UK, 2019; ISBN 978-1-138-59559-0. [Google Scholar]
- Biswal, B.; Ulmer, J.L.; Krippendorf, R.L.; Harsch, H.H.; Daniels, D.L.; Hyde, J.S.; Haughton, V.M. Abnormal cerebral activation associated with a motor task in Tourette syndrome. Am. J. Neuroradiol. 1998, 19, 1509–1512. [Google Scholar]
- Peterson, B.S. Neuroimaging studies of Tourette syndrome: A decade of progress. Adv. Neurol. 2001, 85, 179–196. [Google Scholar]
- Peterson, B.S.; Skudlarski, P.; Anderson, A.W.; Zhang, H.; Gatenby, J.C.; Lacadie, C.M.; Leckman, J.F.; Gore, J.C. A functional magnetic resonance imaging study of tic suppression in Tourette syndrome. Arch. Gen. Psychiatry 1998, 55, 326–333. [Google Scholar] [CrossRef]
- Stern, E.; Silbersweig, D.A.; Chee, K.-Y.; Holmes, A.; Robertson, M.M.; Trimble, M.; Frith, C.D.; Frackowiak, R.; Dolan, R. A functional neuroanatomy of tics in Tourette syndrome. Arch. Gen. Psychiatry 2000, 57, 741–748. [Google Scholar] [CrossRef]
- Robertson, M.M.; Eapen, V.; Singer, H.S.; Martino, D.; Scharf, J.M.; Paschou, P.; Roessner, V.; Woods, D.W.; Hariz, M.; Mathews, C.A.; et al. Gilles de la Tourette syndrome. Nat. Rev. Dis. Primers 2017, 3, 16097. [Google Scholar] [CrossRef]
- Robertson, M.M. Tourette syndrome, associated conditions and the complexities of treatment. Brain 2000, 123, 425–462. [Google Scholar] [CrossRef]
- Eapen, V.; Robertson, M.M. Are there distinct subtypes in Tourette syndrome? Pure-Tourette syndrome versus Tourette syndrome-plus, and simple versus complex tics. Neuropsychiatr. Dis. Treat. 2015, 11, 1431–1436. [Google Scholar] [CrossRef]
- Dell’Osso, B.; Marazziti, D.; Albert, U.; Pallanti, S.; Gambini, O.; Tundo, A.; Zanaboni, C.; Servello, D.; Rizzo, R.; Scalone, L.; et al. Parsing the phenotype of obsessive-compulsive tic disorder (OCTD): A multidisciplinary consensus. Int. J. Psychiatry Clin. Pract. 2017, 21, 156–159. [Google Scholar] [CrossRef]
- Schrock, L.E.; Mink, J.; Woods, D.W.; Porta, M.; Servello, D.; Visser-Vandewalle, V.; Silburn, P.A.; Foltynie, T.; Walker, H.C.; Shahed-Jimenez, J.; et al. Tourette syndrome deep brain stimulation: A review and updated recommendations. Mov. Disord. 2014, 30, 448–471. [Google Scholar] [CrossRef]
- Servello, D.; Saleh, C.; Bona, A.R.; Zekaj, E.; Porta, M. After 19 years of deep brain stimulation in Tourette’s syndrome: From multiple targets to one single target? Surg. Neurol. Int. 2018, 9, 219. [Google Scholar] [CrossRef]
- Johnson, K.A.; Fletcher, P.T.; Servello, D.; Bona, A.; Porta, M.; Ostrem, J.L.; Bardinet, E.; Welter, M.-L.; Lozano, A.M.; Baldermann, J.C.; et al. Image-based analysis and long-term clinical outcomes of deep brain stimulation for Tourette syndrome: A multisite study. J. Neurol. Neurosurg. Psychiatry 2019, 90, 1078–1090. [Google Scholar] [CrossRef]
- Servello, D.; Zekaj, E.; Saleh, C.; Lange, N.; Porta, M. Faculty Opinions recommendation of Deep brain stimulation in gilles de la tourette syndrome: What does the future hold? A cohort of 48 patients. Neurosurgery 2016, 78, 91–100. [Google Scholar] [CrossRef]
- Visser-Vandewalle, V.; Temel, Y.; Boon, P.; Vreeling, F.; Colle, H.; Hoogland, G.; Groenewegen, H.J.; Van Der Linden, C. Chronic bilateral thalamic stimulation: A new therapeutic approach in intractable Tourette syndrome. J. Neurosurg. 2003, 99, 1094–1100. [Google Scholar] [CrossRef]
- Vandewalle, V.; Van Der Linden, C.; Groenewegen, H.J.; Caemaert, J. Stereotactic treatment of Gilles de la Tourette syndrome by high frequency stimulation of thalamus. Lancet 1999, 353, 724. [Google Scholar] [CrossRef]
- Hassler, R.; Dieckmann, G. Stereotaxic treatment of tics and inarticulate cries or coprolalia considered as motor obsessional phenomena in Gilles de la Tourette’s disease. Rev. Neurol. 1970, 123, 89–100. [Google Scholar]
- Tremblay, L.; Worbe, Y.; Thobois, S.; Sgambato-Faure, V.; Féger, J. Selective dysfunction of basal ganglia subterritories: From movement to behavioral disorders. Mov. Disord. 2015, 30, 1155–1170. [Google Scholar] [CrossRef]
- Baldermann, J.; Schüller, T.; Huys, D.; Becker, I.; Timmermann, L.; Jessen, F.; Visser-Vandewalle, V.; Kuhn, J.; Information, P.E.K.F.C. Deep Brain Stimulation for Tourette-Syndrome: A Systematic Review and Meta-Analysis. Brain Stimul. 2016, 9, 296–304. [Google Scholar] [CrossRef]
- Martinez-Ramirez, D.; Jimenez-Shahed, J.; Leckman, J.F.; Porta, M.; Servello, D.; Meng, F.-G.; Kuhn, J.; Huys, D.; Baldermann, J.C.; Foltynie, T.; et al. Efficacy and Safety of Deep Brain Stimulation in Tourette Syndrome. JAMA Neurol. 2018, 75, 353–359. [Google Scholar] [CrossRef]
- Da Silva, N.M.; Ahmadi, S.-A.; Tafula, S.; Cunha, J.P.S.; Bötzel, K.; Vollmar, C.; Rozanski, V. A diffusion-based connectivity map of the GPi for optimised stereotactic targeting in DBS. NeuroImage 2017, 144, 83–91. [Google Scholar] [CrossRef]
- Porta, M.; Saleh, C.; Zekaj, E.; Dina, C.Z.; Bona, A.R.; Servello, D. Why so many deep brain stimulation targets in Tourette’s syndrome? Toward a broadening of the definition of the syndrome. J. Neural Transm. 2016, 123, 785–790. [Google Scholar] [CrossRef][Green Version]
- Porta, M.; Sassi, M.; Menghetti, C.; Servello, D. The Need for a Proper Definition of a “Treatment Refractoriness” in Tourette Syndrome. Front. Integr. Neurosci. 2011, 5, 22. [Google Scholar] [CrossRef]




| YGTSS t0 | YGTSS t1 | YGTSS t2 | YGTSS t3 | YGTSS t4 | YBOCS t0 | YBOCS t1 | YBOCS t2 | YBOCS t3 | YBOCS t4 | ||
|---|---|---|---|---|---|---|---|---|---|---|---|
| N | Valid | 41 | 41 | 36 | 30 | 29 | 41 | 41 | 36 | 30 | 29 |
| Missing | 0 | 0 | 5 | 11 | 12 | 0 | 0 | 5 | 11 | 12 | |
| Mean | 67.56 | 39.12 | 37.00 | 36.23 | 24.07 | 20.17 | 15.61 | 14.53 | 15.83 | 11.45 | |
| Median | 69.00 | 40.00 | 38.00 | 36.00 | 20.00 | 21.00 | 16.00 | 14.50 | 16.00 | 10.00 | |
| Std. Deviation | 19.166 | 14.755 | 14.672 | 13.392 | 10.166 | 9.420 | 7.697 | 7.565 | 9.135 | 8.716 | |
| Range | 85 | 63 | 65 | 57 | 45 | 38 | 31 | 28 | 40 | 30 | |
| Minimum | 12 | 7 | 5 | 14 | 5 | 0 | 0 | 0 | 0 | 0 | |
| Maximum | 97 | 70 | 70 | 71 | 50 | 38 | 31 | 28 | 40 | 30 | |
| YGTSS t0 | YGTSS t1 | YGTSS t2 | YGTSS t3 | YGTSS t4 | YBOCS t0 | YBOCS t1 | YBOCS t2 | YBOCS t3 | YBOCS t4 | ||
|---|---|---|---|---|---|---|---|---|---|---|---|
| N | Valid | 14 | 14 | 9 | 5 | 8 | 14 | 14 | 9 | 5 | 8 |
| Missing | 0 | 0 | 5 | 9 | 6 | 0 | 0 | 5 | 9 | 6 | |
| Mean | 82.57 | 41.71 | 39.56 | 26.40 | 29.88 | 28.43 | 17.64 | 17.56 | 11.60 | 9.38 | |
| Median | 83.50 | 42.50 | 36.00 | 28.00 | 30.00 | 29.00 | 18.50 | 20.00 | 10.00 | 9.00 | |
| Std. Deviation | 10.938 | 16.845 | 15.067 | 7.829 | 15.496 | 6.665 | 7.132 | 6.247 | 3.209 | 3.701 | |
| Range | 40 | 61 | 49 | 21 | 50 | 23 | 24 | 16 | 7 | 10 | |
| Minimum | 55 | 18 | 21 | 14 | 10 | 13 | 8 | 8 | 8 | 5 | |
| Maximum | 95 | 79 | 70 | 35 | 60 | 36 | 32 | 24 | 15 | 15 | |
© 2020 by the authors. Licensee MDPI, Basel, Switzerland. This article is an open access article distributed under the terms and conditions of the Creative Commons Attribution (CC BY) license (http://creativecommons.org/licenses/by/4.0/).
Share and Cite
Servello, D.; Galbiati, T.F.; Balestrino, R.; Iess, G.; Zekaj, E.; De Michele, S.; Porta, M. Deep Brain Stimulation for Gilles de la Tourette Syndrome: Toward Limbic Targets. Brain Sci. 2020, 10, 301. https://doi.org/10.3390/brainsci10050301
Servello D, Galbiati TF, Balestrino R, Iess G, Zekaj E, De Michele S, Porta M. Deep Brain Stimulation for Gilles de la Tourette Syndrome: Toward Limbic Targets. Brain Sciences. 2020; 10(5):301. https://doi.org/10.3390/brainsci10050301
Chicago/Turabian StyleServello, Domenico, Tommaso Francesco Galbiati, Roberta Balestrino, Guglielmo Iess, Edvin Zekaj, Sara De Michele, and Mauro Porta. 2020. "Deep Brain Stimulation for Gilles de la Tourette Syndrome: Toward Limbic Targets" Brain Sciences 10, no. 5: 301. https://doi.org/10.3390/brainsci10050301
APA StyleServello, D., Galbiati, T. F., Balestrino, R., Iess, G., Zekaj, E., De Michele, S., & Porta, M. (2020). Deep Brain Stimulation for Gilles de la Tourette Syndrome: Toward Limbic Targets. Brain Sciences, 10(5), 301. https://doi.org/10.3390/brainsci10050301

