BDNF Outperforms TrkB Agonist 7,8,3′-THF in Preserving the Auditory Nerve in Deafened Guinea Pigs
Abstract
1. Introduction
2. Materials and Methods
2.1. Animals and Experimental Design
2.2. Surgical Procedures
2.2.1. Deafening Procedure
2.2.2. Gelatin Sponge-Mediated Treatment
2.2.3. Acute Implantation
2.3. Electrophysiology
2.3.1. ABR Recordings
2.3.2. eCAP Recordings
2.4. Histological Processing
2.5. Data Analysis
2.5.1. Electrophysiological Analyses
2.5.2. Histological Analyses
2.5.3. Statistics
3. Results
3.1. Animal Inclusion
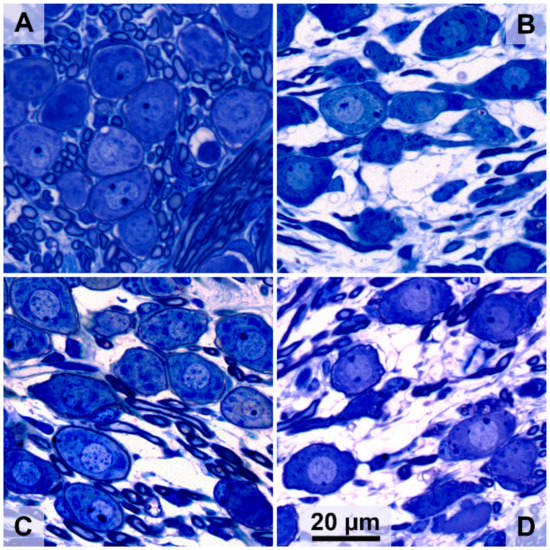
3.2. Spiral Ganglion Cell Survival
3.3. Responsiveness of Spiral Ganglion Cells to Electrical Stimuli (eCAPs)
3.3.1. Absolute eCAP Characteristics and the IPG Effect
3.3.2. Single Pulse eCAP Characteristics and SGC Survival
3.3.3. Pulse Trains
3.3.4. Pulse Trains and SGC Survival
4. Discussion
4.1. BDNF, but not THF, Promotes SGC Survival
4.2. Functional Preservation after BDNF Treatment
4.3. The Elusive Effect of THF
4.4. Methodological Considerations
5. Conclusions
Author Contributions
Funding
Acknowledgments
Conflicts of Interest
References
- Staecker, H.; Kopke, R.; Malgrange, B.; Lefebvre, P.; Van De Water, T.R. NT-3 and/or BDNF therapy prevents loss of auditory neurons following loss of hair cells. Neuroreport 1996, 7, 889–894. [Google Scholar] [CrossRef]
- Ramekers, D.; Versnel, H.; Grolman, W.; Klis, S.F.L. Neurotrophins and their role in the cochlea. Hear. Res. 2012, 288, 19–33. [Google Scholar] [CrossRef] [PubMed]
- Zilberstein, Y.; Liberman, M.C.; Corfas, G. Inner Hair Cells Are Not Required for Survival of Spiral Ganglion Neurons in the Adult Cochlea. J. Neurosci. 2012, 32, 405–410. [Google Scholar] [CrossRef] [PubMed]
- Ylikoski, J.; Wersall, J.; Bjorkroth, B.; Wersäll, J.; Björkroth, B. Degeneration of neural elements in the cochlea of the guinea-pig after damage to the organ of corti by ototoxic antibiotics. Acta Otolaryngol. 1974, 78, 23–41. [Google Scholar] [CrossRef] [PubMed]
- Spoendlin, H. Retrograde Degeneration of the Cochlear Nerve. Acta Otolaryngol. 1975, 79, 266–275. [Google Scholar] [CrossRef]
- Webster, M.; Webster, D.B. Spiral ganglion neuron loss following organ of corti loss: A quantitative study. Brain Res. 1981, 212, 17–30. [Google Scholar] [CrossRef]
- Leake, P.A.; Hradek, G.T. Cochlear pathology of long term neomycin induced deafness in cats. Hear. Res. 1988, 33, 11–33. [Google Scholar] [CrossRef]
- Shepherd, R.K.; Hardie, N.A. Deafness-Induced Changes in the Auditory Pathway: Implications for Cochlear Implants. Audiol. Neuro-Otol. 2001, 6, 305–318. [Google Scholar] [CrossRef]
- Versnel, H.; Agterberg, M.J.H.; de Groot, J.C.M.J.; Smoorenburg, G.F.; Klis, S.F.L. Time course of cochlear electrophysiology and morphology after combined administration of kanamycin and furosemide. Hear. Res. 2007, 231, 1–12. [Google Scholar] [CrossRef]
- Seyyedi, M.; Viana, L.M.; Nadol, J.B. Within-subject comparison of word recognition and spiral ganglion cell count in bilateral cochlear implant recipients. Otol. Neurotol. 2014, 35, 1446–1450. [Google Scholar] [CrossRef]
- Kamakura, T.; Nadol, J.B. Correlation between word recognition score and intracochlear new bone and fibrous tissue after cochlear implantation in the human. Hear. Res. 2016, 339, 132–141. [Google Scholar] [CrossRef]
- Miller, J.M.; Chi, D.H.; O’Keeffe, L.J.; Kruszka, P.; Raphael, Y.; Altschuler, R.A. Neurotrophins can enhance spiral ganglion cell survival after inner hair cell loss. Int. J. Dev. Neurosci. 1997, 15, 631–643. [Google Scholar] [CrossRef]
- Gillespie, L.N.; Clark, G.M.; Marzella, P.L. Delayed neurotrophin treatment supports auditory neuron survival in deaf guinea pigs. Neuroreport 2004, 15, 1121–1125. [Google Scholar] [CrossRef]
- Shepherd, R.K.; Coco, A.; Epp, S.B.; Crook, J.M. Chronic depolarization enhances the trophic effects of brain-derived neurotrophic factor in rescuing auditory neurons following a sensorineural hearing loss. J. Comp. Neurol. 2005, 486, 145–158. [Google Scholar] [CrossRef] [PubMed]
- Wise, A.K.; Richardson, R.; Hardman, J.; Clark, G.; O’Leary, S. Resprouting and survival of guinea pig cochlear neurons in response to the administration of the neurotrophins brain-derived neurotrophic factor and neurotrophin-3. J. Comp. Neurol. 2005, 487, 147–165. [Google Scholar] [CrossRef]
- Miller, J.M.; Le Prell, C.G.; Prieskorn, D.M.; Wys, N.L.; Altschuler, R.A. Delayed neurotrophin treatment following deafness rescues spiral ganglion cells from death and promotes regrowth of auditory nerve peripheral processes: Effects of brain-derived neurotrophic factor and fibroblast growth factor. J. Neurosci. Res. 2007, 85, 1959–1969. [Google Scholar] [CrossRef]
- Glueckert, R.; Bitsche, M.; Miller, J.M.; Zhu, Y.; Prieskorn, D.M.; Altschuler, R.A.; Schrott-Fischer, A. Deafferentiation-associated changes in afferent and efferent processes in the guinea pig cochlea and afferent regeneration with chronic intrascalar brain-derived neurotrophic factor and acidic fibroblast growth factor. J. Comp. Neurol. 2008, 507, 1602–1621. [Google Scholar] [CrossRef] [PubMed]
- Landry, T.G.; Wise, A.K.; Fallon, J.B.; Shepherd, R.K. Spiral ganglion neuron survival and function in the deafened cochlea following chronic neurotrophic treatment. Hear. Res. 2011, 282, 303–313. [Google Scholar] [CrossRef] [PubMed]
- Ramekers, D.; Versnel, H.; Strahl, S.B.; Klis, S.F.L.; Grolman, W. Temporary Neurotrophin Treatment Prevents Deafness-Induced Auditory Nerve Degeneration and Preserves Function. J. Neurosci. 2015, 35, 12331–12345. [Google Scholar] [CrossRef]
- Scheper, V.; Seidel-Effenberg, I.; Lenarz, T.; Stöver, T.; Paasche, G. Consecutive Treatment with Brain-Derived Neurotrophic Factor and Electrical Stimulation Has A Protective Effect on Primary Auditory Neurons. Brain Sci. 2020, 10, 559. [Google Scholar] [CrossRef] [PubMed]
- Leake, P.A.; Hradek, G.T.; Hetherington, A.M.; Stakhovskaya, O. Brain-derived neurotrophic factor promotes cochlear spiral ganglion cell survival and function in deafened, developing cats. J. Comp. Neurol. 2011, 519, 1526–1545. [Google Scholar] [CrossRef] [PubMed]
- Leake, P.A.; Rebscher, S.J.; Dore, C.; Akil, O. AAV-Mediated Neurotrophin Gene Therapy Promotes Improved Survival of Cochlear Spiral Ganglion Neurons in Neonatally Deafened Cats: Comparison of AAV2-hBDNF and AAV5-hGDNF. JARO J. Assoc. Res. Otolaryngol. 2019, 20, 341–361. [Google Scholar] [CrossRef]
- McGuinness, S.L.; Shepherd, R.K. Exogenous BDNF rescues rat spiral ganglion neurons in vivo. Otol. Neurotol. 2005, 26, 1064–1072. [Google Scholar] [CrossRef]
- Bezdjian, A.; Kraaijenga, V.J.C.; Ramekers, D.; Versnel, H.; Thomeer, H.G.X.M.; Klis, S.F.L.; Grolman, W. Towards Clinical Application of Neurotrophic Factors to the Auditory Nerve; Assessment of Safety and Efficacy by a Systematic Review of Neurotrophic Treatments in Humans. Int. J. Mol. Sci. 2016, 17, 1981. [Google Scholar] [CrossRef]
- Pinyon, J.L.; von Jonquieres, G.; Crawford, E.N.; Duxbury, M.; Al Abed, A.; Lovell, N.H.; Klugmann, M.; Wise, A.K.; Fallon, J.B.; Shepherd, R.K.; et al. Neurotrophin gene augmentation by electrotransfer to improve cochlear implant hearing outcomes. Hear. Res. 2019, 380, 137–149. [Google Scholar] [CrossRef]
- Schilder, A.G.M.; Su, M.P.; Mandavia, R.; Anderson, C.R.; Landry, E.; Ferdous, T.; Blackshaw, H. Early phase trials of novel hearing therapeutics: Avenues and opportunities. Hear. Res. 2019, 380, 175–186. [Google Scholar] [CrossRef]
- Szobota, S.; Mathur, P.D.; Siegel, S.; Black, K.A.; Uri Saragovi, H.; Foster, A.C. BDNF, NT-3 and Trk receptor agonist monoclonal antibodies promote neuron survival, neurite extension, and synapse restoration in rat cochlea ex vivo models relevant for hidden hearing loss. PLoS ONE 2019, 14, e0224022. [Google Scholar] [CrossRef] [PubMed]
- Agterberg, M.J.H.; Versnel, H.; Van Dijk, L.M.; De Groot, J.C.M.J.; Klis, S.F.L. Enhanced survival of spiral ganglion cells after cessation of treatment with brain-derived neurotrophic factor in deafened guinea pigs. JARO J. Assoc. Res. Otolaryngol. 2009, 10, 355–367. [Google Scholar] [CrossRef] [PubMed]
- Schvartz-Leyzac, K.C.; Holden, T.A.; Zwolan, T.A.; Arts, H.A.; Firszt, J.B.; Buswinka, C.J.; Pfingst, B.E. Effects of Electrode Location on Estimates of Neural Health in Humans with Cochlear Implants. JARO J. Assoc. Res. Otolaryngol. 2020, 21, 259–275. [Google Scholar] [CrossRef] [PubMed]
- Schvartz-Leyzac, K.C.; Pfingst, B.E. Assessing the relationship between the electrically evoked compound action potential and speech recognition abilities in bilateral cochlear implant recipients. Ear Hear. 2018, 39, 344–358. [Google Scholar] [CrossRef]
- Skidmore, J.; He, S. The Effect of Increasing Interphase Gap on N1 Latency of the Electrically Evoked Compound Action Potential and the Stimulation Level Offset in Human Cochlear Implant Users. Ear Hear. 2020, 1–4. [Google Scholar] [CrossRef]
- Endo, T.; Nakagawa, T.; Kita, T.; Iguchi, F.; Kim, T.-S.; Tamura, T.; Iwai, K.; Tabata, Y.; Ito, J. Novel strategy for treatment of inner ears using a biodegradable gel. Laryngoscope 2005, 115, 2016–2020. [Google Scholar] [CrossRef]
- Ito, J.; Endo, T.; Nakagawa, T.; Kita, T.; Kim, T.-S.; Iguchi, F. A New Method for Drug Application to the Inner Ear. ORL 2005, 67, 272–275. [Google Scholar] [CrossRef]
- Havenith, S.; Versnel, H.; Agterberg, M.J.H.; de Groot, J.C.M.J.; Sedee, R.J.; Grolman, W.; Klis Sjaak, S.F.L. Spiral ganglion cell survival after round window membrane application of brain-derived neurotrophic factor using gelfoam as carrier. Hear. Res. 2011, 272, 168–177. [Google Scholar] [CrossRef] [PubMed]
- Havenith, S.; Versnel, H.; Klis, S.F.L.; Grolman, W. Local Delivery of Brain-Derived Neurotrophic Factor on the Perforated Round Window Membrane in Guinea Pigs. Otol. Neurotol. 2015, 36, 705–713. [Google Scholar] [CrossRef] [PubMed]
- Lu, B.; Nagappan, G.; Guan, X.; Nathan, P.J.; Wren, P. BDNF-based synaptic repair as a disease-modifying strategy for neurodegenerative diseases. Nat. Rev. Neurosci. 2013, 14, 401–416. [Google Scholar] [CrossRef]
- Boltaev, U.; Meyer, Y.; Tolibzoda, F.; Jacques, T.; Gassaway, M.; Xu, Q.; Wagner, F.; Zhang, Y.-L.; Palmer, M.; Holson, E.; et al. Multiplex quantitative assays indicate a need for reevaluating reported small-molecule TrkB agonists. Sci. Signal. 2017, 10, eaal1670. [Google Scholar] [CrossRef]
- Salt, A.N.; Plontke, S.K.R. Local inner-ear drug delivery and pharmacokinetics. Drug Discov. Today 2005, 10, 1299–1306. [Google Scholar] [CrossRef]
- Salt, A.N.; Plontke, S.K. Pharmacokinetic principles in the inner ear: Influence of drug properties on intratympanic applications. Hear. Res. 2018, 368, 28–40. [Google Scholar] [CrossRef] [PubMed]
- Jang, S.W.; Liu, X.; Chan, C.B.; France, S.A.; Sayeed, I.; Tang, W.; Lin, X.; Xiao, G.; Andero, R.; Chang, Q.; et al. Deoxygedunin, a natural product with potent neurotrophic activity in mice. PLoS ONE 2010, 5, e11528. [Google Scholar] [CrossRef]
- Jang, S.-W.; Liu, X.; Pradoldej, S.; Tosini, G.; Chang, Q.; Iuvone, P.M.; Ye, K. N-acetylserotonin activates TrkB receptor in a circadian rhythm. Proc. Natl. Acad. Sci. USA 2010, 107, 3876–3881. [Google Scholar] [CrossRef]
- Jang, S.W.; Liu, X.; Yepes, M.; Shepherd, K.R.; Miller, G.W.; Liu, Y.; Wilson, W.D.; Xiao, G.; Blanchi, B.; Sun, Y.E.; et al. A selective TrkB agonist with potent neurotrophic activities by 7,8-dihydroxyflavone. Proc. Natl. Acad. Sci. USA 2010, 107, 2687–2692. [Google Scholar] [CrossRef] [PubMed]
- Massa, S.M.; Yang, T.; Xie, Y.; Shi, J.; Bilgen, M.; Joyce, J.N.; Nehama, D.; Rajadas, J.; Longo, F.M. Small molecule BDNF mimetics activate TrkB signaling and prevent neuronal degeneration in rodents. J. Clin. Investig. 2010, 120, 1774–1785. [Google Scholar] [CrossRef] [PubMed]
- Liu, X.; Chan, C.; Jang, S.; Pradoldej, S.; Huang, J.; He, K.; Phun, L.H.; France, S.; Xiao, G.; Jia, Y.; et al. A Synthetic 7,8-Dihydroxyflavone Derivative Promotes Neurogenesis and Exhibits Potent Antidepressant Effect. J. Med. Chem. 2010, 53, 8274–8286. [Google Scholar] [CrossRef]
- Yu, Q.; Chang, Q.; Liu, X.; Gong, S.; Ye, K.; Lin, X. 7,8,3′-Trihydroxyflavone, a potent small molecule TrkB receptor agonist, protects spiral ganglion neurons from degeneration both in vitro and in vivo. Biochem. Biophys. Res. Commun. 2012, 422, 387–392. [Google Scholar] [CrossRef] [PubMed]
- Yu, Q.; Chang, Q.; Liu, X.; Wang, Y.; Li, H.; Gong, S.; Ye, K.; Lin, X. Protection of Spiral Ganglion Neurons from Degeneration Using Small-Molecule TrkB Receptor Agonists. J. Neurosci. 2013, 33, 13042–13052. [Google Scholar] [CrossRef]
- Frick, C.; Fink, S.; Schmidbauer, D.; Rousset, F.; Eickhoff, H.; Tropitzsch, A.; Kramer, B.; Senn, P.; Glueckert, R.; Rask-Andersen, H.; et al. Age-Dependency of Neurite Outgrowth in Postnatal Mouse Cochlear Spiral Ganglion Explants. Brain Sci. 2020, 10, 580. [Google Scholar] [CrossRef]
- Ramekers, D.; Versnel, H.; Strahl, S.B.; Smeets, E.M.; Klis, S.F.L.; Grolman, W. Auditory-nerve responses to varied inter-phase gap and phase duration of the electric pulse stimulus as predictors for neuronal degeneration. JARO J. Assoc. Res. Otolaryngol. 2014, 15, 187–202. [Google Scholar] [CrossRef]
- West, B.A.; Brummett, R.E.; Himes, D.L. Interaction of Kanamycin and Ethacrynic Acid: Severe Cochlear Damage in Guinea Pigs. Arch. Otolaryngol. Head Neck Surg. 1973, 98, 32–37. [Google Scholar] [CrossRef]
- De Groot, J.C.M.J.; Veldman, J.E.; Huizing, E.H. An improved fixation method for Guinea pig cochlear tissues. Acta Otolaryngol. 1987, 104, 234–242. [Google Scholar] [CrossRef]
- Ramekers, D.; Versnel, H.; Strahl, S.B.; Klis, S.F.L.; Grolman, W. Recovery characteristics of the electrically stimulated auditory nerve in deafened guinea pigs: Relation to neuronal status. Hear. Res. 2015, 321, 12–24. [Google Scholar] [CrossRef] [PubMed]
- Coggeshall, R.E.; Lekan, H.A. Methods for determining numbers of cells and synapses: A case for more uniform standards of review. J. Comp. Neurol. 1996, 364, 6–15. [Google Scholar] [CrossRef]
- Van Loon, M.C.; Ramekers, D.; Agterberg, M.J.H.; de Groot, J.C.M.J.; Grolman, W.; Klis, S.F.L.; Versnel, H. Spiral ganglion cell morphology in guinea pigs after deafening and neurotrophic treatment. Hear. Res. 2013, 298, 17–26. [Google Scholar] [CrossRef] [PubMed]
- Agterberg, M.J.H.; Versnel, H.; de Groot, J.C.M.J.; Smoorenburg, G.F.; Albers, F.W.J.; Klis, S.F.L. Morphological changes in spiral ganglion cells after intracochlear application of brain-derived neurotrophic factor in deafened guinea pigs. Hear. Res. 2008, 244, 25–34. [Google Scholar] [CrossRef]
- Prado-Guitierrez, P.; Fewster, L.M.; Heasman, J.M.; McKay, C.M.; Shepherd, R.K. Effect of interphase gap and pulse duration on electrically evoked potentials is correlated with auditory nerve survival. Hear. Res. 2006, 215, 47–55. [Google Scholar] [CrossRef] [PubMed]
- Zhou, N.; Pfingst, B.E. Relationship between multipulse integration and speech recognition with cochlear implants. J. Acoust. Soc. Am. 2014, 136, 1257–1268. [Google Scholar] [CrossRef]
- Shi, H.; Luo, X. 7, 8, 3′-Trihydroxyflavone Promotes Neurite Outgrowth and Protects Against Bupivacaine- Induced Neurotoxicity in Mouse Dorsal Root Ganglion Neurons. Med. Sci. Monit. 2016, 22, 2301–2308. [Google Scholar] [CrossRef]
- Chitranshi, N.; Gupta, V.; Kumar, S.; Graham, S.L. Exploring the molecular interactions of 7,8-dihydroxyflavone and its derivatives with TrkB and VEGFR2 proteins. Int. J. Mol. Sci. 2015, 16, 21087–21108. [Google Scholar] [CrossRef]
- Liu, X.; Obianyo, O.; Chan, C.B.; Huang, J.; Xue, S.; Yang, J.J.; Zeng, F.; Goodman, M.; Ye, K. Biochemical and Biophysical Investigation of the Brain-derived Neurotrophic Factor Mimetic 7,8-Dihydroxyflavone in the Binding and Activation of the TrkB Receptor. J. Biol. Chem. 2014, 289, 27571–27584. [Google Scholar] [CrossRef]
- Thorne, M.; Salt, A.N.; DeMott, J.E.; Henson, M.M.; Henson, O.W.; Gewalt, S.L. Cochlear fluid space dimensions for six species derived from reconstructions of three-dimensional magnetic resonance images. Laryngoscope 1999, 109, 1661–1668. [Google Scholar] [CrossRef]
- Bako, P.; Bassiouni, M.; Eckhard, A.; Gerlinger, I.; Frick, C.; Löwenheim, H.; Müller, M. Methyl methacrylate embedding to study the morphology and immunohistochemistry of adult guinea pig and mouse cochleae. J. Neurosci. Methods 2015, 254, 86–93. [Google Scholar] [CrossRef]









| eCAP Measure | IPG 2.1 µs | IPG 30 µs | ΔIPG | |
|---|---|---|---|---|
| Amplitude | F | 1.4 | 0.59 | 5.7 |
| p | 0.27 | 0.56 | 0.008 * | |
| Slope | F | 3.3 | 4.1 | 1.0 |
| p | 0.049 * | 0.028 * | 0.38 | |
| Threshold | F | 0.9 | 1.7 | 4.8 |
| p | 0.40 | 0.19 | 0.016 * | |
| Dynamic range | F | 2.8 | 7.5 | 10.3 |
| p | 0.074 | 0.002 * | <0.001 * | |
| Level50% | F | 0.013 | 1.0 | 3.8 |
| p | 0.99 | 0.37 | 0.034 * | |
| Latency | F | 0.14 | 0.50 | 0.61 |
| p | 0.87 | 0.61 | 0.55 |
| eCAP Measure | IPG 2.1 µs | IPG 30 µs | ΔIPG | |
|---|---|---|---|---|
| Amplitude | R2 | 0.56 | 0.61 | 0.25 |
| p | <0.001 * | <0.001 * | 0.014 * | |
| Slope | R2 | 0.51 | 0.50 | 0.29 |
| p | <0.001 * | <0.001 * | 0.0086 * | |
| Threshold | R2 | 0.13 | 0 | 0.19 |
| p | 0.094 | 0.82 | 0.038 | |
| Dynamic range | R2 | 0.05 | 0.10 | 0.26 |
| p | 0.31 | 0.14 | 0.013 * | |
| Level50% | R2 | 0.17 | 0.18 | 0.08 |
| p | 0.050 | 0.041 * | 0.20 | |
| Latency | R2 | 0.50 | 0.35 | 0.35 |
| p | <0.001 * | 0.0022 * | 0.0022 * |
Publisher’s Note: MDPI stays neutral with regard to jurisdictional claims in published maps and institutional affiliations. |
© 2020 by the authors. Licensee MDPI, Basel, Switzerland. This article is an open access article distributed under the terms and conditions of the Creative Commons Attribution (CC BY) license (http://creativecommons.org/licenses/by/4.0/).
Share and Cite
Vink, H.A.; van Dorp, W.C.; Thomeer, H.G.X.M.; Versnel, H.; Ramekers, D. BDNF Outperforms TrkB Agonist 7,8,3′-THF in Preserving the Auditory Nerve in Deafened Guinea Pigs. Brain Sci. 2020, 10, 787. https://doi.org/10.3390/brainsci10110787
Vink HA, van Dorp WC, Thomeer HGXM, Versnel H, Ramekers D. BDNF Outperforms TrkB Agonist 7,8,3′-THF in Preserving the Auditory Nerve in Deafened Guinea Pigs. Brain Sciences. 2020; 10(11):787. https://doi.org/10.3390/brainsci10110787
Chicago/Turabian StyleVink, Henk A., Willem C. van Dorp, Hans G. X. M. Thomeer, Huib Versnel, and Dyan Ramekers. 2020. "BDNF Outperforms TrkB Agonist 7,8,3′-THF in Preserving the Auditory Nerve in Deafened Guinea Pigs" Brain Sciences 10, no. 11: 787. https://doi.org/10.3390/brainsci10110787
APA StyleVink, H. A., van Dorp, W. C., Thomeer, H. G. X. M., Versnel, H., & Ramekers, D. (2020). BDNF Outperforms TrkB Agonist 7,8,3′-THF in Preserving the Auditory Nerve in Deafened Guinea Pigs. Brain Sciences, 10(11), 787. https://doi.org/10.3390/brainsci10110787
