A Radiological Approach to Evaluate Bone Graft Integration in Reconstructive Surgeries
Abstract
Featured Application
Abstract
1. Introduction
2. Materials and Methods
2.1. Scaffold Preparation
2.2. Clinical Investigations
- Case #1: The first patient, 60-year-old female, showed hypodontia in the lower dental arch (three teeth in region 45, 46, 47 missing) and lack of a bone portion at diagnosis by Cone Beam CT (a.k.a. CBCT) (Figure 1a). Since a greater amount of bone was needed to carry out the dental implant, she underwent bone grafting with custom manufactured SBoD. The operating technique required a horizontal and vertical augmentation: bone defect did not have a simple shape, so a customized graft was required. By 3D reconstruction a model of the patient’s mandibular bone was generated first, and then the missing bone component was designed (Figures S1 and S2 in Supplementary Materials). The missing pieces were also tested on a stereolithographic model. The surgical operation required an engraving into the gum to reach the alveolar bone. Next, the custom-made pieces of SB were positioned in the area where an increase of the amount of bone was needed. When the right position for the bone graft was found, it was fixed with screws, to allow the tight anchoring of the graft to the patient receiving bone. Furthermore, in the procedure of soft tissue closure over the implant, good care was taken to release the tissue flaps proximally using an elevator to obtain a tension free flap.
- Case #2: The second patient, 57-year-old female, smoker, showed partial edentulia and lack of bone and teeth from 21 to 27 throughout the upper right dental arch, as diagnosed by CBCT. The patient’s jaw was rebuilt based on CT and surgeon cut SB standard blocks on a sterile 3D model of the patient’s anatomy (Figure 1b). A “periosteal elevation” was further performed, a procedure by which the periosteum together with the soft tissues is removed from the bone, to allow the positioning of the customized SB graft. The custom-made block grafts were implanted within the bone defect area. Screws in the bone stabilized the graft. After checking the stability of the system and having the screws firmly positioned, the incision was sutured; soft tissues covered the bone graft, and the two gum flaps were sutured.
- Case #3: The third patient, 59-year-old female, showed severe edentulia with only two teeth left on the upper arch, at diagnosis by CBCT (Figure 1c). This loss of teeth has led to bone reabsorption, and, thus, the lack of bone portion was deep. She underwent surgery, after custom made SBoD blocks were obtained. A periosteum elevation procedure was performed, as previously described. Additionally, before placing the graft in the bone defect area, the surface of the bone was micro-drilled to induce bleeding intending to further enhance the regenerative processes (a.k.a. micro-channeling practice). Then, the bone graft was implanted and stabilized by screws. After checking the stability of the system and having the screws firmly positioned, the dentist deposited an autologous platelet concentrate (PRP) to promote tissue healing. Lastly, the bone graft was covered by soft tissues. and the two flaps of the gum were sutured.
- Case #4: The fourth patient, 57-year-old male, showed four different bone defects as diagnosis by CBCT (Figure 1d). The periosteum disconnection procedure was performed, as described in previous cases. Once the bone was reached, the surgeon customized by hand SB standard blocks, that were implanted and firmly stabilized by screws. As in previous cases, the wound was finally closed on all its levels till external gums.
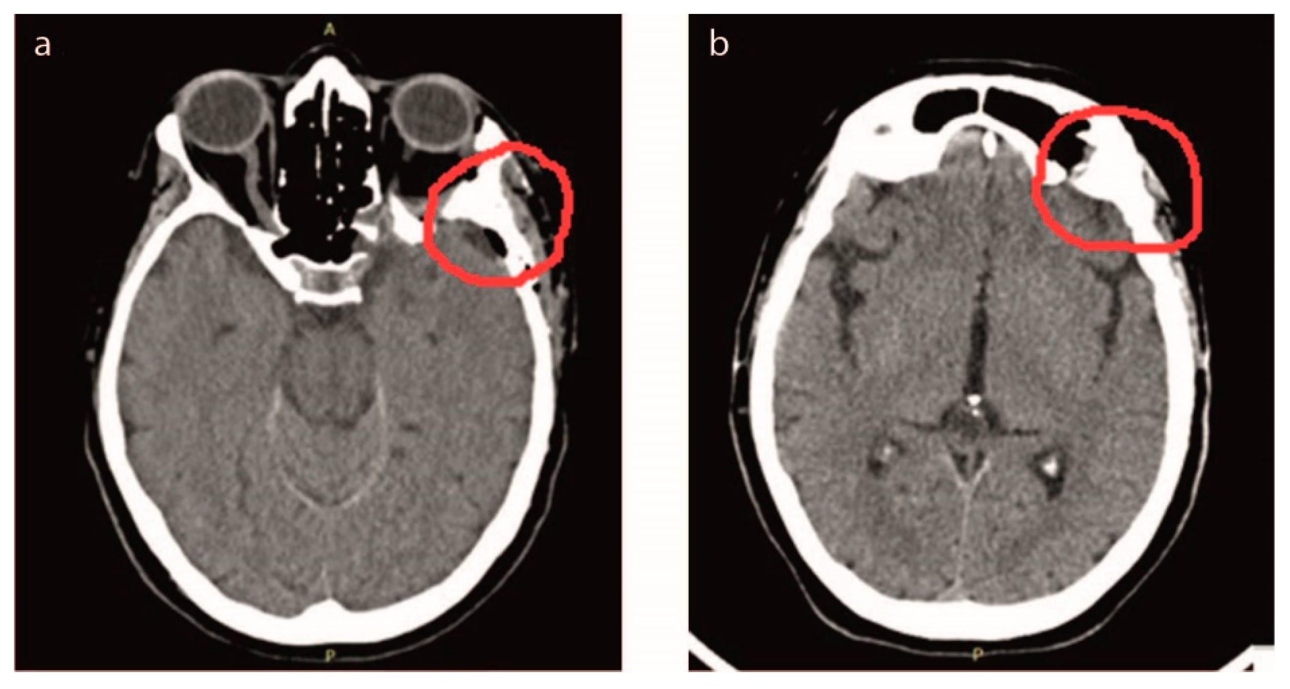
- Case #5: The fifth patient, 65-year-old female, showed a meningioma tumor located at the back of the right eye, diagnosed by CT (Figure 1e). The tumor included temporal and sphenoid bone in the skull. The surgical operation involved the removal of the tumor as well as part of two bones, which were rebuilt with custom-made SBoD grafts (Figure S3 in Supplementary Materail). CT was used to design surgery, both in terms of tumor rescission and further bone reconstruction. Given the wide extension of the tumor mass, a significant portion of bone had to be removed, and custom-made SB was provided in pieces, which were assembled during surgery, bed-side, and soaked into blood before grafting, to accelerate the osteointegration process [35]. Once placed, the complete graft has been stabilized with two small titanium plates (KLS-Martin, Germany).
- Case #6: The sixth case, 65-year-old male, presented a clear lack of bone in the distal left radial epiphysis of the left hand, at diagnosis by CT. For a better design of bed-side hand customized SB standard blocks, a 3D model where the bone defect was visible at the apex of the radial bone was built (Figure 1f). The surgical operation required the insertion of the SB block inside the defect during stabilization.
2.3. Computed Tomography (CT)
2.4. 3D Virtual Reconstruction: Model Building
2.5. Overlapping Models and Calculation of the Volumes
3. Results
- Case #1: The patient responded well to the implant: By comparing the CT before the operation and the CT 13 months after surgery, a volumetric increase of 114 mm3 was calculated and no signs of inflammation. It was possible to proceed with the design of the dental implant, after checking that the body integrated the implant and the graft had allowed the regeneration of new bone. The project established dental implant positioning, which is important because they replaced the missing tooth roots. The surgery allowed the dentist to have the right plan specifications, for example, the distance between the teeth or the depth of the implant. One year later the patient still did not show any inflammation or foreign body reaction against implanted material so the implants could be fitted. They were implanted in the mandibular bone to create the base for the prosthesis crown that was fitted later on. The implants were ready to be attached to the abutment, which is the part connecting the implant to the crown. Moreover, it was evident that the graft maintained good stability for the implant, like natural bone. In Figure 5a, it is possible to observe the left mandible reconstruction. The anatomy of the new mandibular bone was highly similar to the healthy geometry (see the left part of the gray volume). This statement is supported by the fact that, if we divide the mandible with a sagittal plane in the center, we can compare the right part with the newly formed bone and check that both parts are symmetrically identical. On the other hand, in the gray part on the right, likely the bone was still regenerating because the natural geometry of the bone was not respected yet. In fact, symmetry, as regards the sagittal plane, has not occurred.
- Case #2: The patient responded very well to the implant: 8 months after the bone graft we calculated a volumetric increase of 142 mm3, with respect to the empty defect and no signs of inflammation. In the upper dental arch, it was possible to observe the formation of new bone, which did not appear in the first CT (Figure 5b). At that time after 8 months, it was necessary to re-operate to remove the five screws implanted to proceed with the insertion of the dental implants. Next, the abutment was fitted to the implant by means of a screw to allow dental implant anchoring. If we divided the jaw with a sagittal plane, we could observe that the geometry was completely restored after eight months, because the left and the right part were symmetrical. In this case, the patient was ready for the dental implant because the bone thickness needed for the implant had been fully restored.
- Case #3: In this case, 6 months after the bone graft implantation, we could already observe the formation of new bone, not present in the first CT, as well as bone resurfacing even in parts where SB was not implanted (Figure 5c). In the upper dental arch, it was possible to detect the presence of the three screws, which ensured the stability of the bone graft. The two grafts could no longer be seen as they have been replaced by one reconstructed bone. Not only bone cells generated bone within SB but also osteogenesis occurred outside the grafts. There was a marked horizontal bone increase, which led to the correct anatomical shape being restored.
- Case #4: Follow ups of the patient were performed at different times, 6, 9, and 14 months, respectively. After 6 months post-surgery, the grafts appear to have filled the lack of bone (image not shown), with four screws stabilizing the bone grafts. The second follow up, 9 months after surgery, was performed to check whether the patient had complications. The tissue appears healthy and free of inflammation, and the graft was fully integrated into the patient’s bone. At this point, the dentist could remove the screws that ensured stability. After 14 months, SB was completely replaced by the patient’s bone. In Figure 5d, it is possible to observe how the bone was regenerated in all four points where SB was implanted. In the two central parts, where the lack of bone was more significant, the growth of the new bone was greater than in the other two parts. Notably, the grafts grew symmetrically and restored the natural anatomy of the maxillary bone.
- Case #5: After 11 days post-surgery a CT was performed to check the complete removal of the tumor and that the SB was integrating without causing foreign body reaction or inflammation. After 2 years post-surgery, osteointegration was fully successful, with the reconstruction of the temporal and sphenoid bone. The bone was perfectly regenerated, and the patient’s cranial anatomy was completely reconstructed (Figure 5e). When we compared the two regions of interest in the post-surgery CT, we observed that the second one included a greater amount of bone. The bone was grown not only within the SB plaque but it was also remodeled to restore the correct skull anatomy; as a result, the right and left sides were symmetrical.
- Case #6: The patient underwent a CT after 5 months post-surgery to check whether the insertion of the SB was functional (image not shown). In the post-surgery CT, the little SB block grafted was visible, which was allowing the generation of new bone. Figure 5f shows the radius and the ulna: the bone not only grew within the SB, but also around the graft, thus, completely filling the hole inside the epiphysis: The complete integration of the SB could be observed two years after surgery.
4. Discussion
Supplementary Materials
Author Contributions
Funding
Conflicts of Interest
Ethical Use of Clinical Data
References
- Planell, J.A. Bone Repair Biomaterials; Woodhead Publishing Limited: Shaston, UK, 2009; ISBN 9781845693763. [Google Scholar]
- Sheikh, Z.; Sima, C.; Glogauer, M. Bone replacement materials and techniques used for achieving vertical alveolar bone augmentation. Materials 2015, 8, 2953–2993. [Google Scholar] [CrossRef]
- Winkler, T.; Sass, F.A.; Duda, G.N.; Schmidt-Bleek, K. A review of biomaterials in bone defect healing, remaining shortcomings and future opportunities for bone tissue engineering. Bone Joint Res. 2018, 7, 232–243. [Google Scholar] [CrossRef] [PubMed]
- Klouda, L.; Bouten, C.; Schenke-Layland, K. The Future of Tissue Engineering. Curr. Opin. Biomed. Eng. 2018, 6, iii–v. [Google Scholar] [CrossRef]
- Stevens, B.; Yang, Y.; Mohandas, A.; Stucker, B.; Nguyen, K.T. A review of materials, fabrication methods, and strategies used to enhance bone regeneration in engineered bone tissues. J. Biomed. Mater. Res. Part B Appl. Biomater. 2008, 85, 573–582. [Google Scholar] [CrossRef] [PubMed]
- Sarkar, S.K.; Lee, B.T. Hard tissue regeneration using bone substitutes: An update on innovations in materials. Korean J. Intern. Med. 2015, 30, 279–293. [Google Scholar] [CrossRef] [PubMed]
- Ferracini, R.; Martínez Herreros, I.; Russo, A.; Casalini, T.; Rossi, F.; Perale, G. Scaffolds as Structural Tools for Bone-Targeted Drug Delivery. Pharmaceutics 2018, 10, 122. [Google Scholar] [CrossRef] [PubMed]
- Roseti, L.; Parisi, V.; Petretta, M.; Cavallo, C.; Desando, G.; Bartolotti, I.; Grigolo, B. Scaffolds for Bone Tissue Engineering: State of the art and new perspectives. Mater. Sci. Eng. C 2017, 78, 1246–1262. [Google Scholar] [CrossRef]
- Otsuki, B.; Takemoto, M.; Fujibayashi, S.; Neo, M.; Kokubo, T.; Nakamura, T. Pore throat size and connectivity determine bone and tissue ingrowth into porous implants: Three-dimensional micro-CT based structural analyses of porous bioactive titanium implants. Biomaterials 2006, 27, 5892–5900. [Google Scholar] [CrossRef]
- Gupte, M.J.; Swanson, W.B.; Hu, J.; Jin, X.; Ma, H.; Zhang, Z.; Liu, Z.; Feng, K.; Feng, G.; Xiao, G.; et al. Pore size directs bone marrow stromal cell fate and tissue regeneration in nanofibrous macroporous scaffolds by mediating vascularization. Acta Biomater. 2018, 82, 1–11. [Google Scholar] [CrossRef]
- Cingolani, A.; Grottoli, C.F.; Esposito, R.; Villa, T.; Rossi, F.; Perale, G. Improving Bovine Bone Mechanical Characteristics for the Development of Xenohybrid Bone Grafts. Curr. Pharm. Biotechnol. 2018, 19, 1005–1013. [Google Scholar] [CrossRef]
- Bracey, D.; Seyler, T.; Jinnah, A.; Lively, M.; Willey, J.; Smith, T.; Van Dyke, M.; Whitlock, P. A Decellularized Porcine Xenograft-Derived Bone Scaffold for Clinical Use as a Bone Graft Substitute: A Critical Evaluation of Processing and Structure. J. Funct. Biomater. 2018, 9, 45. [Google Scholar] [CrossRef]
- Guarnieri, R.; Belleggia, F.; DeVillier, P.; Testarelli, L. Histologic and Histomorphometric Analysis of Bone Regeneration with Bovine Grafting Material after 24 Months of Healing. A Case Report. J. Funct. Biomater. 2018, 9, 48. [Google Scholar] [CrossRef]
- Bohner, M. Resorbable biomaterials as bone graft substitutes. Mater. Today 2010, 13, 24–30. [Google Scholar] [CrossRef]
- Bignon, A.; Chouteau, J.; Chevalier, J.; Fantozzi, G.; Carret, J.P.; Chavassieux, P.; Boivin, G.; Melin, M.; Hartmann, D. Effect of micro- and macroporosity of bone substitutes on their mechanical properties and cellular response. J. Mater. Sci. Mater. Med. 2003, 14, 1089–1097. [Google Scholar] [CrossRef]
- Hannink, G.; Arts, J.J.C. Bioresorbability, porosity and mechanical strength of bone substitutes: What is optimal for bone regeneration? Injury 2011, 42, S22–S25. [Google Scholar] [CrossRef]
- Yuan, N.; Rezzadeh, K.S.; Lee, J.C. Biomimetic Scaffolds for Osteogenesis. Recept Clin. Investig. 2015, 1–6. [Google Scholar] [CrossRef]
- Salamanca, E.; Hsu, C.-C.; Huang, H.-M.; Teng, N.-C.; Lin, C.-T.; Pan, Y.-H.; Chang, W.-J. Bone regeneration using a porcine bone substitute collagen composite in vitro and in vivo. Sci. Rep. 2018, 8, 984. [Google Scholar] [CrossRef]
- Chircov, C.; Grumezescu, A.M.; Bejenaru, L.E. Hyaluronic acid-based scaffolds for tissue engineering. Rom. J. Morphol. Embryol. 2018, 59, 71–76. [Google Scholar] [CrossRef]
- Freed, L.E.; Vunjak-Novakovic, G.; Biron, R.J.; Eagles, D.B.; Lesnoy, D.C.; Barlow, S.K.; Langer, R. Biodegradable Polymer Scaffolds for Tissue Engineering. Nat. Biotechnol. 1994, 12, 1119–1124. [Google Scholar] [CrossRef]
- Kroeze, R.J.; Helder, M.N.; Govaert, L.E.; Smit, T.H. Biodegradable polymers in bone tissue engineering. Materials 2009, 2, 833–856. [Google Scholar] [CrossRef]
- Cingolani, A.; Casalini, T.; Caimi, S.; Klaue, A.; Sponchioni, M.; Rossi, F.; Perale, G. A Methodologic Approach for the Selection of Bio-Resorbable Polymers in the Development of Medical Devices: The Case of Poly(l-lactide-co-ε-caprolactone). Polymers 2018, 10, 851. [Google Scholar] [CrossRef]
- Pertici, G.; Rossi, F.; Casalini, T.; Perale, G. Composite Polymer-Coated Mineral Grafts for Bone Regeneration: Material Characterisation and Model Study. Ann. Oral Maxilofac. Surg. 2014, 2, 1–7. [Google Scholar] [CrossRef]
- Feng, P.; Wu, P.; Gao, C.; Yang, Y.; Guo, W.; Yang, W.; Shuai, C. A Multimaterial Scaffold With Tunable Properties: Toward Bone Tissue Repair. Adv. Sci. 2018, 5, 1–15. [Google Scholar] [CrossRef]
- Sheikh, Z.; Najeeb, S.; Khurshid, Z.; Verma, V.; Rashid, H.; Glogauer, M. Biodegradable materials for bone repair and tissue engineering applications. Materials 2015, 8, 5744–5794. [Google Scholar] [CrossRef]
- Fernandez de Grado, G.; Keller, L.; Idoux-Gillet, Y.; Wagner, Q.; Musset, A.-M.; Benkirane-Jessel, N.; Bornert, F.; Offner, D. Bone substitutes: A review of their characteristics, clinical use, and perspectives for large bone defects management. J. Tissue Eng. 2018, 9, 204173141877681. [Google Scholar] [CrossRef]
- Haugen, H.J.; Lyngstadaas, S.P.; Rossi, F.; Perale, G. Bone grafts: Which is the ideal biomaterial? J. Clin. Periodontol. 2019. [Google Scholar] [CrossRef]
- Pertici, G.; Carinci, F.; Carusi, G.; Epistatus, D.; Villa, T.; Crivelli, F.; Rossi, F.; Perale, G. Composite Polymer-Coated Mineral Scaffolds for Bone Regeneration: From Material Characterization To Human Studies. J. Biol. Regul. Homeost. Agents 2015, 29, 136–148. [Google Scholar]
- D’Alessandro, D.; Perale, G.; Milazzo, M.; Moscato, S.; Stefanini, C.; Pertici, G.; Danti, S. Bovine bone matrix/poly(L-lactic-co-ε-caprolactone)/gelatin hybrid scaffold (SmartBone®) for maxillary sinus augmentation: A histologic study on bone regeneration. Int. J. Pharm. 2017, 523, 534–544. [Google Scholar] [CrossRef]
- Roato, I.; Belisario, D.C.; Compagno, M.; Verderio, L.; Sighinolfi, A.; Mussano, F.; Genova, T.; Veneziano, F.; Pertici, G.; Perale, G.; et al. Adipose-Derived Stromal Vascular Fraction/Xenohybrid Bone Scaffold: An Alternative Source for Bone Regeneration. Stem Cells Int. 2018, 2018, 1–11. [Google Scholar] [CrossRef]
- Stacchi, C.; Lombardi, T.; Ottonelli, R.; Berton, F.; Perinetti, G.; Traini, T. New bone formation after transcrestal sinus floor elevation was influenced by sinus cavity dimensions: A prospective histologic and histomorphometric study. Clin. Oral Implant. Res. 2018, 465–479. [Google Scholar] [CrossRef]
- Spinato, S.; Galindo-Moreno, P.; Bernardello, F.; Zaffe, D. Minimum Abutment Height to Eliminate Bone Loss: Influence of Implant Neck Design and Platform Switching. Int. J. Oral Maxillofac. Implant. 2018, 33, 405–411. [Google Scholar] [CrossRef]
- Secondo, F.; Grottoli, C.F.; Zollino, I.; Perale, G.; Lauritano, D. Positioning of a Contextual Implant along with a Sinus Lift Anchored with a Block of Heterologous Bone. Oral Implantol. 2017, 4, 457–467. [Google Scholar] [CrossRef]
- Esposito, M.; Hirsch, J.-M.; Lekholm, U.; Thomsen, P. Biological factors contributing to failures of osseointegrated oral implants. Eur. J. Oral Sci. 1998, 106, 527–551. [Google Scholar] [CrossRef]
- Grecchi, F.; Perale, G.; Candotto, V.; Busato, A.; Pascali, M.; Carinci, F. Reconstruction of the zygomatic bone with smartbone®: Case report. J. Biol. Regul. Homeost. Agents 2015, 29, 42–47. [Google Scholar]
- Roato, I.; Belisario, D.C.; Compagno, M.; Lena, A.; Bistolfi, A.; Maccari, L.; Mussano, F.; Genova, T.; Godio, L.; Perale, G.; et al. Concentrated adipose tissue infusion for the treatment of knee osteoarthritis: Clinical and histological observations. Int. Orthop. 2018. [Google Scholar] [CrossRef]
- Taylor, D.; Hazenberg, J.G.; Lee, T.C. Living with cracks: Damage and repair in human bone. Nat. Mater. 2007, 6, 263–268. [Google Scholar] [CrossRef]
- Huiskes, R.; Rulmerman, R.; Van Lenthe, G.H.; Janssen, J.D. Effects of mechanical forces on maintenance and adaptation of form in trabecular bone. Nature 2000, 405, 704–706. [Google Scholar] [CrossRef]
- Jo, S.H.; Kim, Y.K.; Choi, Y.H. Histological evaluation of the healing process of various bone graft materials after engraftment into the human body. Materials 2018, 11, 714. [Google Scholar] [CrossRef]
- An, H.Y.; Martin, K.L. Handbook of Histology Methods for Bone and Cartilage; Springer Science+Business Media: New york, NY, USA, 2003. [Google Scholar]
- Mayer, Y.; Ginesin, O.; Khutaba, A.; Machtei, E.E.; Zigdon Giladi, H. Biocompatibility and osteoconductivity of PLCL coated and noncoated xenografts: An in vitro and preclinical trial. Clin. Implant. Dent. Relat. Res. 2018, 20, 294–299. [Google Scholar] [CrossRef]
- Beaman, F.D.; Bancroft, L.W.; Peterson, J.J.; Kransdorf, M.J.; Menke, D.M.; James, K. Imaging Characteristics of Bone Graft Materials. Radiographics 2006, 373–389. [Google Scholar] [CrossRef]
- Bolland, B.J.R.F.; Kanczler, J.M.; Dunlop, D.G.; Oreffo, R.O.C. Development of in vivo μCT evaluation of neovascularisation in tissue engineered bone constructs. Bone 2008, 43, 195–202. [Google Scholar] [CrossRef]
- Pertici, G. Bone Implant Matrix and Method of Preparing the Same. EP Patent EP2358407A1, 24 August 2011. [Google Scholar]
- Senthilraja, S.; Suresh, P.; Suganthi, M. Noise Reduction in Computed Tomography Image Using WB – Filter. Int. J. Sci. Eng. Res. 2014, 5, 243–247. [Google Scholar]
- Fat, D.L.; Kennedy, J.; Galvin, R.; O’Brien, F.; Grath, F.M.; Mullett, H. The Hounsfield value for cortical bone geometry in the proximal humerus-an in vitro study. Skelet. Radiol. 2012, 41, 557–568. [Google Scholar] [CrossRef]
- Schreiber, J.J.; Anderson, P.A.; Hsu, W.K. Use of computed tomography for assessing bone mineral density. Neurosurg. Focus 2014, 37, E4. [Google Scholar] [CrossRef]
- Langton, C.M.; Njeh, C.F. The Physical Measurement of Bone; Institute of Physics Publishing Bristol and Philadelphia: Bristol, UK, 2003; ISBN 9781420033342. [Google Scholar]
- Troy, K.L.; Edwards, W.B. Practical considerations for obtaining high quality quantitative computed tomography data of the skeletal system. Bone 2018, 110, 58–65. [Google Scholar] [CrossRef]
- Molteni, R. Prospects and challenges of rendering tissue density in Hounsfield units for cone beam computed tomography. Oral Surg. Oral Med. Oral Pathol. Oral Radiol. 2013, 116, 105–119. [Google Scholar] [CrossRef]





| Cases | Radiological Equipment | Manufacturer | FOW Diameter (mm) | Pixel Size (mm) | Slice Thickness | Exposure Parameters |
|---|---|---|---|---|---|---|
| Case 1 | CBCT | Imaging Science Int. I CAT | 96 | 0.2 | 0.2 | 120 kV, 5 mA |
| Case 2 | CBCT | Imaging Science Int. I CAT | 85 | 0.4 | 0.4 | 120 kV, 5 mA |
| Case 3 | CBCT | de Gotzen Acteon Group | 104 | 0.2 | 0.2 | 85 kV, 8 mA |
| Case 4 | CBCT | Sirona | 82 | 0.16 | 0.16 | 85 kV, 7 mA |
| Case 5 | CT | Toshiba | 256 | 0.5 | 2 | 120 kV, 50 mA |
| Case 6 | CT | GE | 148 | 0.3 | 0.625 | 100 kV, 100 mA |
| Cases | Region of Interest (ROI) | Final Volumetric Increase [mm3] | Follow up Time | Initial Volume of SB [mm3] |
|---|---|---|---|---|
| Case One | Dental | 391 | 13 months | 277 |
| Case Three | Dental | 605 | 6 months | 781 |
| Case Five | MCF | 10,190 | 24 months | 17831 |
| Cases | Region of Interest (ROI) | Volumetric Increase [mm3] | Follow up Time |
|---|---|---|---|
| Case Two | Dental | 605 | 8 months |
| Case Four | Dental | 1028 | 14 months |
| Case Six | Orthopedic | 1794 | 6 months |
© 2019 by the authors. Licensee MDPI, Basel, Switzerland. This article is an open access article distributed under the terms and conditions of the Creative Commons Attribution (CC BY) license (http://creativecommons.org/licenses/by/4.0/).
Share and Cite
Grottoli, C.F.; Ferracini, R.; Compagno, M.; Tombolesi, A.; Rampado, O.; Pilone, L.; Bistolfi, A.; Borrè, A.; Cingolani, A.; Perale, G. A Radiological Approach to Evaluate Bone Graft Integration in Reconstructive Surgeries. Appl. Sci. 2019, 9, 1469. https://doi.org/10.3390/app9071469
Grottoli CF, Ferracini R, Compagno M, Tombolesi A, Rampado O, Pilone L, Bistolfi A, Borrè A, Cingolani A, Perale G. A Radiological Approach to Evaluate Bone Graft Integration in Reconstructive Surgeries. Applied Sciences. 2019; 9(7):1469. https://doi.org/10.3390/app9071469
Chicago/Turabian StyleGrottoli, Carlo F., Riccardo Ferracini, Mara Compagno, Alessandro Tombolesi, Osvaldo Rampado, Lucrezia Pilone, Alessandro Bistolfi, Alda Borrè, Alberto Cingolani, and Giuseppe Perale. 2019. "A Radiological Approach to Evaluate Bone Graft Integration in Reconstructive Surgeries" Applied Sciences 9, no. 7: 1469. https://doi.org/10.3390/app9071469
APA StyleGrottoli, C. F., Ferracini, R., Compagno, M., Tombolesi, A., Rampado, O., Pilone, L., Bistolfi, A., Borrè, A., Cingolani, A., & Perale, G. (2019). A Radiological Approach to Evaluate Bone Graft Integration in Reconstructive Surgeries. Applied Sciences, 9(7), 1469. https://doi.org/10.3390/app9071469

