Development of a Multiplex PCR Assay to Monitor Living Modified Cottons in South Korea
Abstract
1. Introduction
2. Materials and Methods
2.1. Environmental Monitoring Methods and Plant Materials
2.2. Immunochemical Strip Kit Test
2.3. DNA Extraction and Polymerase Chain Reaction for Multiplex Analysis
3. Results and Discussion
3.1. LMO Monitoring in the Natural Environment for Cotton
3.2. The Necessity of Multiplex PCR
3.3. Design of Event-Specific Primer Pair for Multiplex PCR
3.4. Detection of Single Event Using 8 Primer Pair Sets
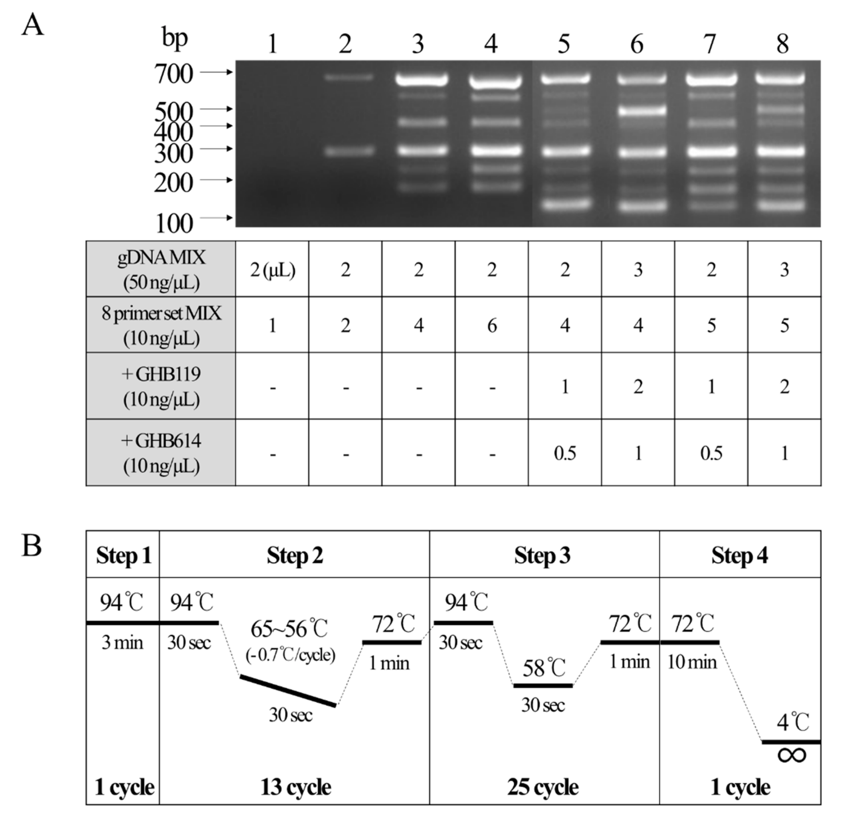
3.5. Establishing the Optimal Conditions for Multiplex PCR
3.6. Application of the Developed Multiplex PCR Method
4. Conclusions
Author Contributions
Funding
Conflicts of Interest
References
- Small, R.L.; Wendel, J.F. Phylogeny, duplication, and intraspecific variation of Adh sequences in new world diploid cottons (Gossypium L., Malvaceae). Mol. Phylogenet. Evol. 2000, 16, 73–84. [Google Scholar] [CrossRef] [PubMed]
- Osti, N.P.; Pandey, S.B. Use of whole cotton seed and cotton seed meal as a protein source in the diet of ruminant animals: Prevailing situation and opportunity. In Proceedings of the 6th National Workshop on Livestock and Fisheries Research 2006, Kathmandu, Nepal, 1–2 July 2004; pp. 111–119. [Google Scholar]
- Arieli, A. Whole cottonseed in dairy cattle feeding: A review. Anim. Feed Sci. Technol. 1998, 72, 97–110. [Google Scholar] [CrossRef]
- ISAAA. Global status of commercialized biotech/GM crops: 2017. ISAAA Brief. 2017, 53, 102–103. [Google Scholar]
- SAAA. Global status of commercialized biotech/GM crops: 2016. ISAAA Brief. 2016, 52, 91. [Google Scholar]
- Arujanan, M.; Teng, P.S.P. Legal, Regulatory and Labelling Status of Biotech Crops. In Advances in Botanical Research, 1st ed.; Kuntz, M., Ed.; Academic Press: London, UK, 2018; Volume 86, pp. 46–88. [Google Scholar]
- FAOSTAT. Available online: http://www.fao.org/home/en (accessed on 20 August 2018).
- KBCH. Available online: https://www.biosafety.or.kr/sub/info.do?m=030202&s=kbch (accessed on 7 June 2019).
- Shin, S.Y.; Moon, J.C.; Choi, W.; Kim, I.R.; Jo, B.-H.; Lee, J.R. Detection and environmental unintentional release monitoring of living modified maize (Zea mays L.) in Gyeonggi-do of South Korea in 2014. J. Plant Biotechnol. 2018, 45, 77–82. [Google Scholar] [CrossRef]
- Lee, J.R.; Kim, D.W.; Kim, I.R.; Choi, W.; Park, J.H.; Jung, Y.J.; Seol, M.-A.; Eum, S.-J.; Lim, H.S.; Hwang, J.E. Study on Environmental Monitoring and Post-Management of LMO; National Institute of Ecology: Seocheon-gun, Korea, 2017; pp. 3–6. [Google Scholar]
- Shin, S.Y.; Lim, H.-S.; Seol, M.-A.; Jung, Y.J.; Kim, I.R.; Song, H.R.; Lee, J.R.; Choi, W. Four multiplex PCR Sets of 11 LM Maize for LMO environmental monitoring in Korea. J. Plant Biotechnol. 2016, 43, 473–478. [Google Scholar] [CrossRef][Green Version]
- Choi, W.; Seol, M.-A.; Jo, B.-H.; Kim, I.R.; Lee, J.R. Development and application of a novel multiplex PCR method for four living modified soybeans. Appl. Biol. Chem. 2018, 61, 635–641. [Google Scholar] [CrossRef]
- Jo, B.-H.; Seol, M.-A.; Shin, S.Y.; Kim, I.R.; Choi, W.; Eum, S.-J.; Song, H.-R.; Lee, J.R. Multiplex PCR method for environmental monitoring of approved LM cotton events in Korea. J. Plant Biotechnol. 2016, 43, 91–98. [Google Scholar] [CrossRef][Green Version]
- Bektaş, A. A Multiplex, Fluorescent, and Isothermal Method for Detecting Genetically Modified Maize. Food Anal. Methods 2018, 11, 686–692. [Google Scholar] [CrossRef]
- Kamle, S.; Ali, S. Genetically modified crops: Detection strategies and biosafety issues. Gene 2013, 522, 123–132. [Google Scholar] [CrossRef]
- Joint Research Centre. Available online: http://gmo-crl.jrc.ec.europa.eu/gmomethods (accessed on 11 June 2019).
- ISAAA. Available online: http://www.isaaa.org/gmapprovaldatabase/default.asp (accessed on 11 June 2019).
- Mazzara, M.; Cordeil, S.; van den Eede, G. Event-specific method for the quantification of cotton event MON 88913 using real-time PCR; Publications Office of the European Union: Luxembourg, 2009; pp. 4–10. ISBN 978-92-79-14980-1. [Google Scholar]
- Vos, P.; Hogers, R.; Bleeker, M.; Reijans, M.; Lee, T.v.d.; Hornes, M.; Friters, A.; Pot, J.; Paleman, J.; Kuiper, M. AFLP: A new technique for DNA fingerprinting. Nucleic Acids Res. 1995, 23, 4407–4414. [Google Scholar] [CrossRef] [PubMed]
- Pidugu, V.K.; Pothula, R.K.S.; Narra, D.; Srivatsava, V. Development of a multiplex Polymerase Chain Reaction method for specific detection of Genetically Modified Cotton Events MON 531 and MON 15985. Int. J. Sci. Basic Appl. Res. 2012, 1, 45–52. [Google Scholar]





| Event | Primer Name | Sequence (5′-3′) | Product Size (bp) |
|---|---|---|---|
| GHB614 | GHB614-F | CAAATACACTTGGAACGACTTCGT | 119 |
| GHB614-R | GCAGGCATGCAAGCTTTTAAA | ||
| MON88913 | MON88913-F | CAAATTACCCATTAAGTAGCCAAATTAC | 164 |
| MON88913-R164 | CGAGCAGGACCTGCAGAAGCTTGA | ||
| MON15985 | MON15985-F | GTTACTAGATCGGGGATATCC | 214 |
| MON15985-R214 | GCCGTCAGGAAAACGTTCGTGACA | ||
| LLCOTTON25 | LOCOTTON25-F276 | CATCATCCGTTTCTTGGACCAC | 276 |
| LOCOTTON25-R276 | GCCGCCTTTGTACAACCCCAGTCAT | ||
| MON1445 | MON1445-2-F | GGAGTAAGACGATTCAGATCAAACAC | 389 |
| MON1445-2-R389 | CGTGGCCTTCTATGACCGAAGTT | ||
| GHB119 | GHB119-F | CCAGTACTAAAATCCAGATCATGCA | 450 |
| GHB119-450R | CATTAATCACACTAAAACTCGAATAAT | ||
| 281-3006 | 281-3006-F | CTCATTGCTGATCCATGTAGATTTC | 518 |
| 281-3006-R518 | CGTTGCTCATATCCCAGGAGCTTT | ||
| MON531 | MON531-F270 | GGTACGGATGAGTAGGCCTACTCTT | 629 |
| MON531-R629 | GTAGCCTCTACCTGGACAGACTCTAACC | ||
| ACP1 (Cotton endogenous) | ACP1-F | ATTGTGATGGGACTTGAGGAAGA | 76 |
| ACP2-R | CTTGAACAGTTGTGATGGATTGTG |
© 2019 by the authors. Licensee MDPI, Basel, Switzerland. This article is an open access article distributed under the terms and conditions of the Creative Commons Attribution (CC BY) license (http://creativecommons.org/licenses/by/4.0/).
Share and Cite
Kim, D.W.; Kim, I.R.; Lim, H.S.; Choi, W.; Lee, J.R. Development of a Multiplex PCR Assay to Monitor Living Modified Cottons in South Korea. Appl. Sci. 2019, 9, 2688. https://doi.org/10.3390/app9132688
Kim DW, Kim IR, Lim HS, Choi W, Lee JR. Development of a Multiplex PCR Assay to Monitor Living Modified Cottons in South Korea. Applied Sciences. 2019; 9(13):2688. https://doi.org/10.3390/app9132688
Chicago/Turabian StyleKim, Dong Wook, Il Ryong Kim, Hye Song Lim, Wonkyun Choi, and Jung Ro Lee. 2019. "Development of a Multiplex PCR Assay to Monitor Living Modified Cottons in South Korea" Applied Sciences 9, no. 13: 2688. https://doi.org/10.3390/app9132688
APA StyleKim, D. W., Kim, I. R., Lim, H. S., Choi, W., & Lee, J. R. (2019). Development of a Multiplex PCR Assay to Monitor Living Modified Cottons in South Korea. Applied Sciences, 9(13), 2688. https://doi.org/10.3390/app9132688

