Three-Dimensional Analysis of the Association Between the Characteristics of the Included Maxillary Canines and the Lateral Incisors
Abstract
1. Introduction
2. Materials and Methods
2.1. Study Design and Subjects
2.2. Radiographic Outcomes
- Mesiodistal diameter on the coronal section of the canine crown (MD3) (Figure 1).
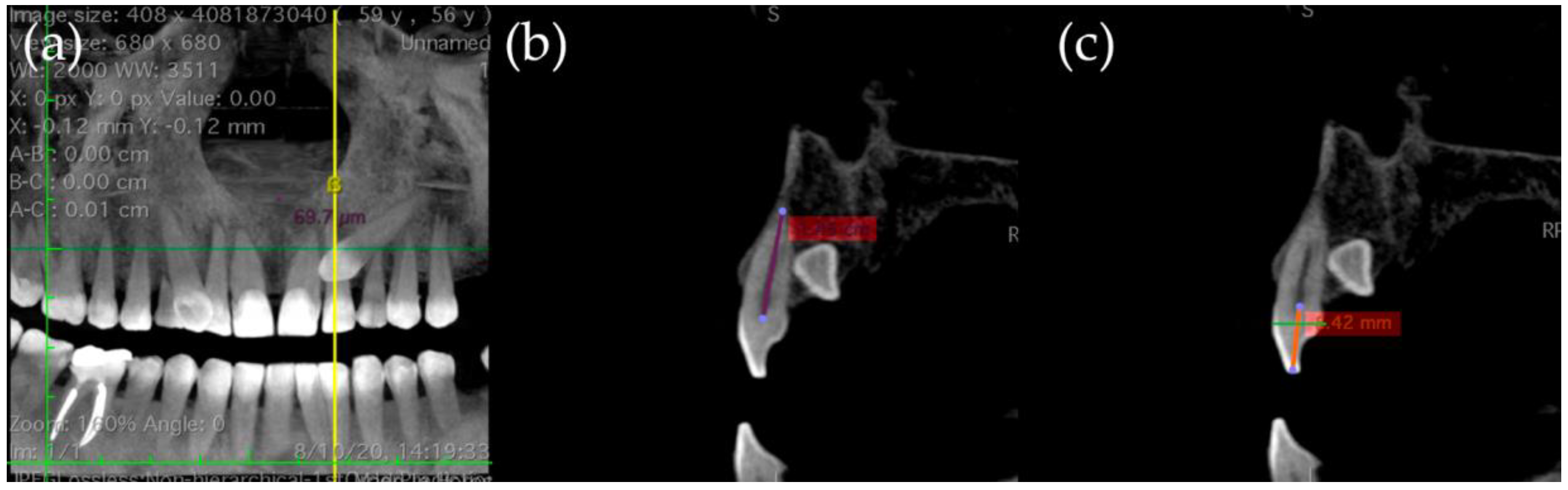
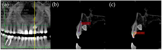
- Occlusogingival (OG3) and buccolingual crown length (BL3) of the canine (Figure 2).
- Length of the lateral incisor´s root (LongRad2), and occlusogingival (OG2) and buccolingual crown length (BL2) (Figure 3).
- Mesiodistal crown diameter of the lateral incisor (MD2) (Figure 4).
- The width across the maxillary arch was measured as follows:
- Transverse distance between the palatal cusps of upper first premolars (1.4 and 2.4 teeth) (Transv4).
- Transverse distance between mesiopalatine cusps of upper first molars (1.6 and 2.6 teeth) (Transv6) (Figure 4).
- The angle formed between the canine´s longitudinal axis and the occlusal plane passing through the cusps of the first molar and premolars (Ang3Poe).
- Angle connecting the canine´s longitudinal axis and the midline, observed in the frontal plane (Ang3LMf).
- Angle among the longitudinal alignment of the canine and the palatal suture, noted in the transverse plane (Ang3LMt).
- Linear measurement of the distance between the canine cusp and the occlusal plane (in millimeters) along the sagittal plane (DCPo) (Figure 5).
- Mesiodistal position of the cusp tip of the canine according to Ericson and Kurol [34,35]. The described five sectors are defined by the longitudinal axes of the permanent central and lateral incisors and parallel lines passing through the contact points between the central incisors, the lateral and central incisors, and the mesial and distal surfaces of the deciduous canines. Sector 1 represents the most distal position, while Sector 5 corresponds to the most mesial location [36].
- Angulation of the long axis of the upper canine relative to the central line (Ang3LMfP).
2.3. Statistical Analysis:
3. Results
3.1. Patient Characteristics
3.2. Canine Bucco-Palatal Position
3.3. Unilateral or Bilateral Inclusion
3.4. Morphology of the Impacted Canines and Ipsilateral Lateral Incisors
3.5. Correlation Between Variables
3.6. Root Resorption
4. Discussion
5. Conclusions
Author Contributions
Funding
Institutional Review Board Statement
Informed Consent Statement
Data Availability Statement
Acknowledgments
Conflicts of Interest
References
- Lövgren, M.L.; Dahl, O.; Uribe, P.; Ransjö, M.; Westerlund, A. Prevalence of impacted maxillary canines—An epidemiological study in a region with systematically implemented interceptive treatment. Eur. J. Orthod. 2019, 41, 454–459. [Google Scholar] [CrossRef] [PubMed]
- Dagsuyu, I.M.; Kahraman, F.; Oksayan, R. Three-dimensional evaluation of angular, linear, and resorption features of maxillary impacted canines on cone-beam computed tomography. Oral. Radiol. 2018, 34, 66–72. [Google Scholar] [CrossRef]
- Uribe, P.; Ransjö, M.; Westerlund, A. Clinical predictors of maxillary canine impaction: A novel approach using multivariate analysis. Eur. J. Orthod. 2016, 39, 153–160. [Google Scholar] [CrossRef][Green Version]
- Ali, B.; Shaikh, A.; Fida, M. Association between sella turcica bridging and palatal canine impaction. Am. J. Orthod. Dentofac. Orthop. 2014, 146, 437–441. [Google Scholar] [CrossRef] [PubMed]
- Fernández, E.; Bravo, L.A.; Canteras, M. Eruption of the permanent upper canine: A radiologic study. Am. J. Orthod. Dentofac. Orthop. 1998, 113, 414–420. [Google Scholar] [CrossRef]
- Amuk, M.; Gul Amuk, N.; Ozturk, T. Effects of root–cortex relationship, root shape, and impaction side on treatment duration and root resorption of impacted canines. Eur. J. Orthod. 2021, 43, 508–515. [Google Scholar] [CrossRef]
- Alshehri, A.; Hakami, Z.; Marran, K.; Qaysi, A.; Shabi, M.; Bokhari, A. Unilateral vs Bilateral Maxillary Canine Impaction: A Cone-Beam Computed Tomography Study of Patterns and Associations. J. Contemp. Dent. Pract. 2023, 24, 21–28. [Google Scholar] [CrossRef]
- Katz, M.I. Angle classification revisited 2: A modified Angle classification. Am. J. Orthod. Dentofac. Orthop. 1992, 102, 277–284. [Google Scholar] [CrossRef]
- Al-Kyssi, H.A.; Al-Mogahed, N.M.; Altawili, Z.M.; Dahan, F.N.; Almashraqi, A.A.; Aldhorae, K.; Alhammadi, M.S. Predictive factors associated with adjacent teeth root resorption of palatally impacted canines in Arabian population: A cone-beam computed tomography analysis. BMC Oral Health 2022, 22, 220. [Google Scholar] [CrossRef]
- Litsas, G.; Acar, A. A Review of Early Displaced Maxillary Canines: Etiology, Diagnosis and Interceptive Treatment. Open Dent. J. 2011, 5, 39. [Google Scholar] [CrossRef]
- Papageorgiou, S.N.; Seehra, J.; Cobourne, M.T.; Kanavakis, G. Does Current Evidence Support the Discussion Around the Guidance Theory? A Systematic Review and Meta-Analysis on the Association Between Maxillary Lateral Incisor Agenesis and Displacement or Impaction of the Permanent Canine. Orthod. Craniofacial Res. 2025, 28, 312–323. [Google Scholar] [CrossRef] [PubMed]
- Zilberman, Y.; Cohen, B.; Becker, A. Familial trends in palatal canines, anomalous lateral incisors, and related phenomena. Eur. J. Orthod. 1990, 12, 135–139. [Google Scholar] [CrossRef]
- Rutledge, M.S.; Hartsfield, J.K. Genetic Factors in the Etiology of Palatally Displaced Canines. Semin. Orthod. 2010, 16, 165–171. [Google Scholar] [CrossRef]
- Peck, S.; Peck, L.; Kataja, M. The palatally displaced canine as a dental anomaly of genetic origin. Angle Orthod. 1994, 64, 250–256. [Google Scholar] [CrossRef]
- Becker, A.; Peck, S.; Peck, L.; Kataja, M. Palatal canine displacement: Guidance theory or an anomaly of genetic origin? A letter to the editor from Adrian Becker, with a response from Sheldon and Leena Peck, and Matti Kataja. Angle Orthod. 1995, 65, 95–102. [Google Scholar] [CrossRef] [PubMed]
- Liuk, I.W.; Olive, R.J.; Griffin, M.; Monsour, P. Associations between palatally displaced canines and maxillary lateral incisors. Am. J. Orthod. Dentofac. Orthop. 2013, 143, 622–632. [Google Scholar] [CrossRef]
- Alhammadi, M.S.; Asiri, H.A.; Almashraqi, A.A. Incidence, severity and orthodontic treatment difficulty index of impacted canines in Saudi population. J. Clin. Exp. Dent. 2018, 10, e327–e334. [Google Scholar] [CrossRef]
- Bishara, S.E.; Ortho, D. Impacted maxillary canines: A review. Am. J. Orthod. Dentofac. Orthop. 1992, 101, 159–171. [Google Scholar] [CrossRef]
- Martinez Madero, E.; García Montarelo, J.; Aguayo, G.S.; Martin, C. Comparison between Digital Casts and Cone Beam Computed Tomography for Measuring Maxillary Transverse Dimensions in Patients with Impacted Canines. Children 2022, 9, 278. [Google Scholar] [CrossRef]
- Peck, S.; Peck, L.; Kataja, M. Concomitant occurrence of canine malposition and tooth agenesis: Evidence of orofacial genetic fields. Am. J. Orthod. Dentofac. Orthop. 2002, 122, 657–660. [Google Scholar] [CrossRef]
- da Silva Santos, L.M.; Bastos, L.C.; Oliveira-Santos, C.; da Silva, S.J.A.; Neves, F.S.; Campos, P.S.F. Cone-beam computed tomography findings of impacted upper canines. Imaging Sci. Dent. 2014, 44, 287–292. [Google Scholar] [CrossRef] [PubMed]
- Stabryła, J.; Zadurska, M.; Plakwicz, P.; Kukuła, K.T.; Czochrowska, E.M. Comparisons of Dental Anomalies in Orthodontic Patients with Impacted Maxillary and Mandibular Canines. Diagnostics 2023, 13, 2766. [Google Scholar] [CrossRef] [PubMed]
- Bianco, E.; Mirabelli, L.; Basilicata, M.; Bruno, G.; De Stefani, A.; Du, L.; Maddalone, M. Cone Beam Computed Tomography (CBCT) Aid in the Management of Apical Root Resorption of Impacted Maxillary Canines and Physiologically Erupted Maxillary Canines after Orthodontic Treatment. Appl. Sci. 2024, 14, 886. [Google Scholar] [CrossRef]
- Sobhani, F.; Miresmaeili, A.; Mahjub, H.; Farhadian, M. Statistical shape analysis of maxillary palatal morphology in patients with palatally displaced canines. BMC Med. Imaging 2023, 23, 198. [Google Scholar] [CrossRef]
- Light, N.; Chaushu, S.; Major, P.W.; Flores-Mir, C. 3D Analysis of maxillary incisor root inclinations in cases of unilateral maxillary canine impaction. Eur. J. Orthod. 2022, 44, 396–403. [Google Scholar] [CrossRef]
- Pereira, P.M.; Ferreira, A.P.; Tavares, P.; Braga, A.C. Different Manifestations of Class II Division 2 Incisor Retroclination and their Association with Dental Anomalies. J. Orthod. 2013, 40, 299–306. [Google Scholar] [CrossRef]
- Lüdicke, G.; Harzer, W.; Tausche, E. Incisor Inclination—Risk Factor for Palatally-impacted Canines. J. Orofac. Orthop. Fortschritte Kieferorthop. 2008, 69, 357–364. [Google Scholar] [CrossRef]
- Dekel, E.; Nucci, L.; Weill, T.; Flores-Mir, C.; Becker, A.; Perillo, L.; Chaushu, S. Impaction of maxillary canines and its effect on the position of adjacent teeth and canine development: A cone-beam computed tomography study. Am. J. Orthod. Dentofac. Orthop. 2021, 159, e135–e147. [Google Scholar] [CrossRef]
- Oliveira, T.C.P.d.; Copello, F.M.; Paes-Souza, S.d.A.; Castro, A.C.R.d.; Nojima, L.I.; Gonçalves Nojima, M.d.C. Influence of the maxillary dimensions and lateral incisor anatomy on the palatal impaction of maxillary permanent canines: A three-dimensional case-control study. Int. Orthod. 2023, 21, 100804. [Google Scholar] [CrossRef]
- Koral, S.; Arman Özçırpıcı, A.; Tunçer, N. Association Between Impacted Maxillary Canines and Adjacent Lateral Incisors: A Retrospective Study with Cone Beam Computed Tomography. Turk. J. Orthod. 2021, 34, 207–213. [Google Scholar] [CrossRef]
- Alqerban, A.; Jacobs, R.; Fieuws, S.; Willems, G. Radiographic predictors for maxillary canine impaction. Am. J. Orthod. Dentofac. Orthop. 2015, 147, 345–354. [Google Scholar] [CrossRef]
- Eslami, E.; Barkhordar, H.; Abramovitch, K.; Kim, J.; Masoud, M.I. Cone-beam computed tomography vs conventional radiography in visualization of maxillary impacted-canine localization: A systematic review of comparative studies. Am. J. Orthod. Dentofac. Orthop. 2017, 151, 248–258. [Google Scholar] [CrossRef] [PubMed]
- Cacciatore, G.; Poletti, L.; Sforza, C. Early diagnosed impacted maxillary canines and the morphology of the maxilla: A three-dimensional study. Prog. Orthod. 2018, 19, 20. [Google Scholar] [CrossRef]
- Ericson, S.; Kurol, J. Early treatment of palatally erupting maxillary canines by extraction of the primary canines. Eur. J. Orthod. 1988, 10, 283–295. [Google Scholar] [CrossRef] [PubMed]
- Ericson, S.; Kurol, J. Radiographic assessment of maxillary canine eruption in children with clinical signs of eruption disturbance. Eur. J. Orthod. 1986, 8, 133–140. [Google Scholar] [CrossRef] [PubMed]
- Ericson, S.; Kurol, J. Resorption of maxillary lateral incisors caused by ectopic eruption of the canines: A clinical and radiographic analysis of predisposing factors. Am. J. Orthod. Dentofac. Orthop. 1988, 94, 503–513. [Google Scholar] [CrossRef]
- Yan, B.; Sun, Z.; Fields, H.; Wang, L.; Luo, L. Etiologic factors for buccal and palatal maxillary canine impaction: A perspective based on cone-beam computed tomography analyses. Am. J. Orthod. Dentofac. Orthop. 2013, 143, 527–534. [Google Scholar] [CrossRef]
- Becker, A.; Chaushu, S. Etiology of maxillary canine impaction: A review. Am. J. Orthod. Dentofac. Orthop. 2015, 148, 557–567. [Google Scholar] [CrossRef]
- Ross, G.; Abu Arqub, S.; Mehta, S.; Vishwanath, M.; Tadinada, A.; Yadav, S.; Upadhyay, M. Estimating the 3-D location of impacted maxillary canines: A CBCT-based analysis of severity of impaction. Orthod. Craniofacial Res. 2023, 26, 81–90. [Google Scholar] [CrossRef]
- Liu, D.-G.; Zhang, W.-L.; Zhang, Z.-Y.; Wu, Y.-T.; Ma, X.-C. Localization of impacted maxillary canines and observation of adjacent incisor resorption with cone-beam computed tomography. Oral Surg. Oral Med. Oral Pathol. Oral Radiol. Endod. 2008, 105, 91–98. [Google Scholar] [CrossRef]
- Becker, A.; Chaushu, S. Long-term follow-up of severely resorbed maxillary incisors after resolution of an etiologically associated impacted canine. Am. J. Orthod. Dentofac. Orthop. 2005, 127, 650–654. [Google Scholar] [CrossRef]
- Almuhtaseb, E.; Mao, J.; Mahony, D.; Bader, R.; Zhang, Z.-X. Three-dimensional localization of impacted canines and root resorption assessment using cone beam computed tomography. J. Huazhong Univ. Sci. Technol. Med. Sci. 2014, 34, 425–430. [Google Scholar] [CrossRef] [PubMed]
- Jung, Y.; Liang, H.; Benson, B.; Flint, D.; Cho, B. The assessment of impacted maxillary canine position with panoramic radiography and cone beam CT. Dentomaxillofac. Radiol. 2014, 41, 356–360. [Google Scholar] [CrossRef] [PubMed]
- Alyami, B.; Braimah, R.; Alharieth, S. Prevalence and pattern of impacted canines in Najran, South Western Saudi Arabian population. Saudi Dent. J. 2020, 32, 300–305. [Google Scholar] [CrossRef] [PubMed]
- Rafflenbeul, F.; Gros, C.-I.; Lefebvre, F.; Bahi-Gross, S.; Maizeray, R.; Bolender, Y. Prevalence and risk factors of root resorption of adjacent teeth in maxillary canine impaction, among untreated children and adolescents. Eur. J. Orthod. 2018, 41, 447–453. [Google Scholar] [CrossRef]
- Schmidt, A.D.; Kokich, V.G. Periodontal response to early uncovering, autonomous eruption, and orthodontic alignment of palatally impacted maxillary canines. Am. J. Orthod. Dentofac. Orthop. 2007, 131, 449–455. [Google Scholar] [CrossRef]
- Sajnani, A.K.; King, N.M. Early prediction of maxillary canine impaction from panoramic radiographs. Am. J. Orthod. Dentofac. Orthop. 2012, 142, 45–51. [Google Scholar] [CrossRef]





| Outcome | Mean Difference | 95% Confidence Interval | p Value | |
|---|---|---|---|---|
| Lower | Upper | |||
| Dist_Cusp C_Ocl Plane | −2.867 | −4.446 | −1.287 | 0.001 ** |
| Ang_C_Ocl Plane | 15.092 | 5.216 | 24.968 | 0.005 ** |
| Ang_C_Middle Line | 0.338 | −11.537 | 12.212 | 0.955 |
| Ang_C_palatal suture | 14.198 | 3.053 | 25.344 | 0.014 * |
| Ang_C_Middle Line_2D | −1.120 | −12.884 | 10.645 | 0.846 |
| Transv_4_4 | 2.041 | −0.095 | 4.178 | 0.061 |
| Transv_6_6 | 0.462 | −1.095 | 2.019 | 0.553 |
| Outcome | Mean Difference | 95% Confidence Interval | p Value | |
|---|---|---|---|---|
| Lower | Upper | |||
| Dist_Cusp C_Ocl Plane | 0.482 | −1.149 | 2.114 | 0.555 |
| Ang_C_Ocl Plane | −4.548 | −12.441 | 3.345 | 0.252 |
| Ang_C_Middle Line | 4.134 | −6.692 | 14.960 | 0.446 |
| Ang_C_palatal suture | 2.434 | −8.314 | 13.181 | 0.650 |
| Ang_C_Middle Line_2D | 10.915 | 0.463 | 21.368 | 0.041 * |
| Transv_4_4 | 0.924 | −1.606 | 3.454 | 0.466 |
| Transv_6_6 | 1.550 | 0.160 | 2.940 | 0.030 * |
| Correlations | ||||||
|---|---|---|---|---|---|---|
| Outcome | Outcome | Statistic | ||||
| Correlation | Count | Lower C.I. | Upper C.I. | Significance | ||
| Bucco-lingual _Crown IL | Transv_4_4 | 0.261 | 46 | −0.032 | 0.512 | 0.080 |
| Transv_6_6 | −0.127 | 44 | −0.408 | 0.177 | 0.412 | |
| Dist_Cusp C_Ocl Plane | 0.175 | 48 | −0.115 | 0.437 | 0.235 | |
| Ang_C_Ocl Plane | −0.294 | 48 | −0.533 | −0.011 | 0.043 * | |
| Ang_C_Middle Line | 0.014 | 48 | −0.271 | 0.297 | 0.922 | |
| Ang_C_ palatal suture | −0.207 | 44 | −0.474 | 0.096 | 0.178 | |
| Ang_C_Middle Line_2D | −0.115 | 26 | −0.481 | 0.285 | 0.577 | |
| Bucco-lingual_Crown C | Transv_4_4 | 0.190 | 48 | −0.100 | 0.450 | 0.196 |
| Transv_6_6 | 0.133 | 46 | −0.163 | 0.408 | 0.377 | |
| Dist_Cusp C_Ocl Plane | 0.191 | 50 | −0.092 | 0.446 | 0.184 | |
| Ang_C_Ocl Plane | −0.292 | 50 | −0.528 | −0.015 | 0.039 * | |
| Ang_C_Middle Line | −0.047 | 50 | −0.321 | 0.235 | 0.748 | |
| Ang_C_ palatal suture | −0.156 | 46 | −0.427 | 0.141 | 0.302 | |
| Ang_C_Middle Line_2D | 0.254 | 27 | −0.140 | 0.578 | 0.201 | |
| Length_Root IL | Transv_4_4 | 0.487 | 43 | 0.219 | 0.687 | 0.001 ** |
| Transv_6_6 | 0.181 | 41 | −0.134 | 0.463 | 0.258 | |
| Dist_Cusp C_Ocl Plane | −0.160 | 44 | −0.436 | 0.143 | 0.299 | |
| Ang_C_Ocl Plane | 0.231 | 44 | −0.070 | 0.494 | 0.131 | |
| Ang_C_Middle Line | −0.271 | 44 | −0.525 | 0.029 | 0.076 | |
| Ang_C_ palatal suture | −0.356 | 41 | −0.598 | −0.055 | 0.022 * | |
| Ang_C_Middle Line_2D | −0.175 | 24 | −0.541 | 0.245 | 0.413 | |
| Mesio_dis_Crown IL | Transv_4_4 | 0.291 | 47 | 0.004 | 0.533 | 0.047 * |
| Transv_6_6 | −0.015 | 45 | −0.307 | 0.280 | 0.924 | |
| Dist_Cusp C_Ocl Plane | 0.483 * | 49 | 0.233 | 0.673 | 0.000 *** | |
| Ang_C_Ocl Plane | −0.408 * | 49 | −0.618 | −0.143 | 0.004 ** | |
| Ang_C_Middle Line | 0.225 | 49 | −0.060 | 0.476 | 0.120 | |
| Ang_C_ palatal suture | 0.094 | 45 | −0.205 | 0.377 | 0.538 | |
| Ang_C_Middle Line_2D | 0.271 | 27 | −0.121 | 0.590 | 0.171 | |
| Mesio_dis_Crown C | Transv_4_4 | 0.274 | 46 | −0.017 | 0.523 | 0.065 |
| Transv_6_6 | 0.149 | 44 | −0.155 | 0.427 | 0.336 | |
| Dist_Cusp C_Ocl Plane | 0.319 | 46 | 0.032 | 0.558 | 0.031 * | |
| Ang_C_Ocl Plane | −0.250 | 46 | −0.504 | 0.043 | 0.094 | |
| Ang_C_Middle Line | 0.112 | 46 | −0.184 | 0.390 | 0.458 | |
| Ang_C_ palatal suture | 0.004 | 44 | −0.293 | 0.301 | 0.978 | |
| Ang_C_Middle Line_2D | 0.091 | 25 | −0.315 | 0.469 | 0.665 | |
| Occluso-gingival _Crown IL | Transv_4_4 | 0.135 | 47 | −0.158 | 0.407 | 0.364 |
| Transv_6_6 | −0.197 | 45 | −0.464 | 0.102 | 0.195 | |
| Dist_Cusp C_Ocl Plane | 0.069 | 49 | −0.217 | 0.343 | 0.639 | |
| Ang_C_Ocl Plane | −0.154 | 49 | −0.418 | 0.133 | 0.289 | |
| Ang_C_Middle Line | −0.242 | 49 | −0.490 | 0.042 | 0.094 | |
| Ang_C_ palatal suture | −0.446 | 45 | −0.654 | −0.176 | 0.002 ** | |
| Ang_C_Middle Line_2D | −0.145 | 27 | −0.498 | 0.249 | 0.471 | |
| Occluso-gingival_Crown C | Transv_4_4 | 0.328 | 48 | 0.048 | 0.560 | 0.023 |
| Transv_6_6 | −0.074 | 46 | −0.357 | 0.221 | 0.626 | |
| Dist_Cusp C_Ocl Plane | 0.165 | 50 | −0.119 | 0.424 | 0.252 | |
| Ang_C_Ocl Plane | −0.202 | 50 | −0.455 | 0.081 | 0.160 | |
| Ang_C_Middle Line | −0.389 | 50 | −0.602 | −0.124 | 0.005 ** | |
| Ang_C_ palatal suture | −0.455 | 46 | −0.658 | −0.190 | 0.001 ** | |
| Ang_C_Middle Line_2D | −0.331 | 27 | −0.632 | 0.056 | 0.092 | |
Disclaimer/Publisher’s Note: The statements, opinions and data contained in all publications are solely those of the individual author(s) and contributor(s) and not of MDPI and/or the editor(s). MDPI and/or the editor(s) disclaim responsibility for any injury to people or property resulting from any ideas, methods, instructions or products referred to in the content. |
© 2025 by the authors. Licensee MDPI, Basel, Switzerland. This article is an open access article distributed under the terms and conditions of the Creative Commons Attribution (CC BY) license (https://creativecommons.org/licenses/by/4.0/).
Share and Cite
Fernández-Polo, P.; Aguayo-Linares, G.; Martínez-Madero, E.; Montarelo, J.; Pérez-Martín, T.; Martin, C. Three-Dimensional Analysis of the Association Between the Characteristics of the Included Maxillary Canines and the Lateral Incisors. Appl. Sci. 2025, 15, 4805. https://doi.org/10.3390/app15094805
Fernández-Polo P, Aguayo-Linares G, Martínez-Madero E, Montarelo J, Pérez-Martín T, Martin C. Three-Dimensional Analysis of the Association Between the Characteristics of the Included Maxillary Canines and the Lateral Incisors. Applied Sciences. 2025; 15(9):4805. https://doi.org/10.3390/app15094805
Chicago/Turabian StyleFernández-Polo, Paula, Grace Aguayo-Linares, Elena Martínez-Madero, Jaime Montarelo, Tania Pérez-Martín, and Conchita Martin. 2025. "Three-Dimensional Analysis of the Association Between the Characteristics of the Included Maxillary Canines and the Lateral Incisors" Applied Sciences 15, no. 9: 4805. https://doi.org/10.3390/app15094805
APA StyleFernández-Polo, P., Aguayo-Linares, G., Martínez-Madero, E., Montarelo, J., Pérez-Martín, T., & Martin, C. (2025). Three-Dimensional Analysis of the Association Between the Characteristics of the Included Maxillary Canines and the Lateral Incisors. Applied Sciences, 15(9), 4805. https://doi.org/10.3390/app15094805

