Endermologie as a Complementary Therapy in Medicine and Surgery and an Effective Aesthetic Procedure: A Literature Review
Abstract
1. Introduction
1.1. Mechanism of Action
1.2. Influence on the Skin
2. Methods
2.1. Inclusion Criteria
2.2. Exclusion Criteria
2.3. Screening Process
2.4. Data Extraction and Quality Assessment
3. Results
4. Discussion
4.1. Cellulite
4.2. Fat Reduction
4.3. Panniculitis/Lipoatrophy
4.4. Scars
4.5. Skin Fibrosis
4.6. Lymphedema, Drainage, and Phebolymphology
4.7. Skin Elasticity and Aging
4.8. Liposuction and Lipoplasty
4.9. Morphea
4.10. Fibromyalgia
4.11. Orthopedics and Postoperative Rehabilitation
4.12. After Colectomy
5. Limitations and Future Research Directions
6. Conclusions
Author Contributions
Funding
Acknowledgments
Conflicts of Interest
References
- De la Cruz, M. Expansión cutánea externa con endermología. Un método alternativo complementario en reconstrucción mamaria diferida. Cirugía Plástica Ibero-Latinoam. 2015, 41, 359–372. [Google Scholar] [CrossRef]
- Bacci, P.A. Endermologie–LPG Systems® after 15 Years. In Cellulite, 2nd ed.; CRC Press: Boca Raton, FL, USA, 2010; pp. 91–98. [Google Scholar]
- Moortgat, P.; Anthonissen, M.; Meirte, J.; Van Daele, U.; Maertens, K. The physical and physiological effects of vacuum massage on the different skin layers: A current status of the literature. Burn. Trauma 2016, 4, 34. [Google Scholar] [CrossRef]
- Mezencevová, V.; Torok, J.; Czánová, T.; Zajac, J. Endermologie new aproach in the medicine Treatment. Technol. Eng. 2017, 1, 27–30. [Google Scholar] [CrossRef][Green Version]
- Humbert, P.; Fanian, F.; Lihoreau, T.; Jeudy, A.; Elkhyat, A.; Robin, S.; Courderot-Masuyer, C.; Tauzin, H.; Lafforgue, C.; Haftek, M. Mécano-Stimulation™ of the skin improves sagging score and induces beneficial functional modification of the fibroblasts: Clinical, biological, and histological evaluations. Clin. Interv. Aging 2015, 10, 387–403. [Google Scholar]
- Majani, U.; Majani, A. Tissue mechanostimulation in the treatment of scars. Acta Medica 2013, 29, 191–192. [Google Scholar]
- Silver, F.H.; Siperko, L.M.; Seehra, G.P. Mechanobiology of force transduction in dermal tissue. Ski. Res. Technol. 2003, 9, 3–23. [Google Scholar] [CrossRef] [PubMed]
- Kolodziejczak, A. Mechanized vacuum massage (endermology-type treatments). In Cosmetology; PZWL Wydawnictwo Lekarskie: Warszawa, UK, 2019; Volume 1, Chapter 53; p. 503. [Google Scholar]
- Innocenzi, D.; Balzani, A.; Montesi, G.; La Torre, G.; Tenna, S.; Scuderi, N.; Calvieri, S. Evidenza delle modificazioni cutanee indotte dalla tecnica LPG mediante analise d’immagini. In DermoCosmetologia; CIC International Editions: Brooklyn, NY, USA, 2003; pp. 9–15. [Google Scholar]
- Xia, M.; Chen, Y.; He, Y.; Li, H.; Li, W. Activation of the RhoA-YAP-β-catenin signaling axis promotes the expansion of inner ear progenitor cells in 3D culture. Stem Cells 2020, 38, 860–874. [Google Scholar] [CrossRef] [PubMed]
- Adcock, D.; Paulsen, S.; Jabour, K.; Davis, S.; Nanney, L.B.; Shack, R.B. Analysis of the effects of deep mechanical massage in the porcine model. Plast. Reconstr. Surg. 2001, 108, 233–240. [Google Scholar] [CrossRef]
- Shoham, N.; Gefen, A. Mechanotransduction in adipocytes. J. Biomech. 2012, 45, 1–8. [Google Scholar] [CrossRef]
- Moseley, A.; Piller, N.; Douglass, J.; Esplin, M. Comparison of the effectiveness of MLD and LPG technique. J. Lymphoedema 2007, 2, 30–36. [Google Scholar]
- Moseley, A.L.; Esplin, M.; Piller, N.B.; Douglass, J. Endermologie (with and without compression bandaging) a new treatment option for secondary arm lymphedema. Lymphology 2007, 40, 129–137. [Google Scholar] [PubMed]
- Malloizel-Delaunay, J.; Weyl, A.; Brusq, C.; Chaput, B.; Garmy-Susini, B.; Bongard, V.; Vaysse, C. New Strategy for Breast Cancer Related Lymphedema Treatment by Endermology: ELOCS Phase II Randomized Controlled Trial. Clin. Breast Cancer 2024, 24, 533–540. [Google Scholar] [CrossRef]
- Ahmed Ziethar, E.T. Endermologie Technique versus Decongestive Lymphatic Therapy on Post-mastectomy Related Lymphedema. J. Nov. Physiother. 2013, 3, 155. [Google Scholar]
- Revuz, J.; Adhoute, H.; Cesarini, J.; Poli, F.; Lacarrière, C.; Emiliozzi, C. Clinical and histological effects of the Lift 6 device used on facial skin aging. Nouv. Dermatol. 2002, 21, 335–342. [Google Scholar]
- Lattarulo, P.; Bacci, P.; Mangini, S. Physiological tissue changes after administration of micronized Diosmin/Hesperidin, individually or in association with Endermologiae. Int. J. Aesthetic Cosmet Beauty Surg. 2001, 1, 25–28. [Google Scholar]
- Nedelec, B.; Edger-Lacoursière, Z.; Gauthier, N.; Marois-Pagé, E.; Jean, S. Randomized, controlled, within-patient, single-blinded pilot study to evaluate the efficacy of 12-weeks of endermotherapy with adult burn survivors. Burns 2024, 50, 107269. [Google Scholar] [CrossRef]
- Leung, A.K.P.; Ouyang, H.; Pang, M.Y.C. Effects of mechanical stimulation on mastectomy scars within 2 months of surgery: A single-center, single-blinded, randomized controlled trial. Ann. Phys. Rehabil. Med. 2023, 66, 101724. [Google Scholar] [CrossRef] [PubMed]
- Razzouk, K.; Humbert, P.; Borens, B.; Gozzi, M.; Al Khori, N.; Pasquier, J.; Rafii Tabrizi, A. Skin trophicity improvement by mechanotherapy for lipofilling-based breast reconstruction postradiation therapy. Breast J. 2020, 26, 725–728. [Google Scholar] [CrossRef]
- Kim, S.M.; Kim, S.R.; Lee, Y.K.; Kim, B.R.; Han, E.Y. The effect of mechanical massage on early outcome after total knee arthroplasty: A pilot study. J. Phys. Ther. Sci. 2015, 27, 3413–3416. [Google Scholar] [CrossRef]
- Márquez-Rebollo, C.; Vergara-Carrasco, L.; Díaz-Navarro, R.; Rubio-Fernández, D.; Francoli-Martínez, P.; Sánchez-De la Rosa, R. Benefit of endermology on indurations and panniculitis/lipoatrophy during relapsing-remitting multiple sclerosis long-term treatment with glatiramer acetate. Adv. Ther. 2014, 31, 904–914. [Google Scholar] [CrossRef]
- Kutlubay, Z.; Songur, A.; Engin, B.; Khatib, R.; Calay, Ö.; Serdaroğlu, S. An alternative treatment modality for cellulite: LPG endermologie. J. Cosmet. Laser Ther. 2013, 15, 266–270. [Google Scholar] [CrossRef]
- Rubio Fernández, D.; Rodríguez Del Canto, C.; Marcos Galán, V.; Falcón, N.; Edreira, H.; Sevane Fernández, L.; Francoli Martínez, P.; Sánchez-De la Rosa, R. Contribution of endermology to improving indurations and panniculitis/lipoatrophy at glatiramer acetate injection site. Adv. Ther. 2012, 29, 267–275. [Google Scholar] [CrossRef] [PubMed]
- Marques, M.A.; Combes, M.; Roussel, B.; Vidal-Dupont, L.; Thalamas, C.; Lafontan, M.; Viguerie, N. Impact of a mechanical massage on gene expression profile and lipid mobilization in female gluteofemoral adipose tissue. Obes. Facts 2011, 4, 121–129. [Google Scholar] [CrossRef] [PubMed]
- Lebrun, C.; Mondot, L.; Bertagna, M.; Calleja, A.; Cohen, M. Endermology: A treatment for injection-induced lipoatrophy in multiple sclerosis patients treated with sub cutaneous glatiramer acetate. Clin. Neurol. Neurosurg. 2011, 113, 721–724. [Google Scholar] [CrossRef] [PubMed]
- Kim, Y.H.; Cha, S.M.; Naidu, S.; Hwang, W.J. Analysis of postoperative complications for superficial liposuction: A review of 2398 cases. Plast. Reconstr. Surg. 2011, 127, 863–871. [Google Scholar] [CrossRef]
- Güleç, A.T. Treatment of cellulite with LPG endermologie. Int. J. Dermatol. 2009, 48, 265–270. [Google Scholar] [CrossRef]
- Monteux, C.; Lafontan, M. Use of the microdialysis technique to assess lipolytic responsiveness of femoral adipose tissue after 12 sessions of mechanical massage technique. J. Eur. Acad. Dermatol. Venereol. 2008, 22, 1465–1470. [Google Scholar] [CrossRef]
- Bourgeois, J.F.; Gourgou, S.; Kramar, A.; Lagarde, J.M.; Guillot, B. A randomized, prospective study using the LPG technique in treating radiation-induced skin fibrosis: Clinical and profilometric analysis. Ski. Res. Technol. 2008, 14, 71–76. [Google Scholar] [CrossRef]
- Gordon, C.; Emiliozzi, C.; Zartarian, M. Use of a mechanical massage technique in the treatment of fibromyalgia: A preliminary study. Arch. Phys. Med. Rehabil. 2006, 87, 145–147. [Google Scholar] [CrossRef]
- Lhoest, F.; Grandjean, F.X.; Heymans, O. La maladie de Mondor: Une complication de la chirurgie mammaire [Mondor’s disease: A complication after breast surgery]. Ann. Chir. Plast Esthet. 2005, 50, 197–201. [Google Scholar] [CrossRef]
- Worret, W.I.; Jessberger, B. Effectiveness of LPG treatment in morphea. J. Eur. Acad. Dermatol. Venereol. 2004, 18, 527–530. [Google Scholar] [CrossRef]
- Ortonne, J.P.; Queille-Roussel, C.; Duteil, L.; Emiliozzi, C.; Zartarian, M. Treatment of cellulite: Effectiveness and sustained effect at 6 months with Endermologiefi demonstrated by several quantitative evaluation methods. Nouv. Dermatol. 2004, 23, 261–269. [Google Scholar]
- Le Blanc-Louvry, I.; Costaglioli, B.; Boulon, C.; Leroi, A.M.; Ducrotte, P. Does mechanical massage of the abdominal wall after colectomy reduce postoperative pain and shorten the duration of ileus? Results of a randomized study. J. Gastrointest. Surg. 2002, 6, 43–49. [Google Scholar] [CrossRef] [PubMed]
- Latrenta, G.S.; Mick, S.L. Endermologie after external ultrasound-assisted lipoplasty (EUAL) versus EUAL alone. Aesthet. Surg. J. 2001, 21, 128–135. [Google Scholar] [CrossRef] [PubMed][Green Version]
- Moortgat, P.; Meirte, J.; Van Daele, U.; Anthonissen, M.; Vanhullebusch, T.; Maertens, K. Chapter 54 Vacuum Massage in the Treatment of Scars. In Textbook on Scar Management: State of the Art Management and Emerging Technologies; Téot, L., Mustoe, T.A., Middelkoop, E., Gauglitz, G.G., Eds.; Springer: Berlin/Heidelberg, Germany, 2020. [Google Scholar] [PubMed]
- Campisi, C.; Boccardo, F.; Azevedo, W.F., Jr. LPG systems in the treatment of peripheral lymphedema. Lymphology 2002, 35, 364–367. [Google Scholar]
- Arora, G.; Patil, A.; Hooshanginezhad, Z.; Fritz, K.; Salavastru, C.; Kassir, M.; Goldman, M.P.; Gold, M.H.; Adatto, M.; Grabbe, S.; et al. Cellulite: Presentation and management. J. Cosmet. Dermatol. 2022, 21, 1393–1401. [Google Scholar] [CrossRef]
- Lebrun, C.; Bertagna, M.; Cohen, M. Cutaneous Side-effects of Immunomodulators in MS. Int. MS J. 2011, 17, 88–94. [Google Scholar]
- Wahid, D.I.; Wahyono, R.A.; Setiaji, K.; Hardiyanto, H.; Suwardjo, S.; Anwar, S.L.; Aryandono, T. The Effication of Low-Level Laser Therapy, Kinesio Taping, and Endermology on Post-Mastectomy Lymphedema: A Systematic Review and Meta-Analysis. Asian Pac. J. Cancer Prev. 2024, 25, 3771–3779. [Google Scholar] [CrossRef]
- Petricig, P.; Becchetti, E.; Barile, A.; Becchetti, A.; Dominici, C. Studio istologico del tessuto cutaneo e sottocutaneo dopo trattamento con tecnica LPG (Endermologie). In Proceedings of the XXI Italian Congress of Aesthetic Medicine, Rome, Italy, 31 March–2 April 2000. [Google Scholar]
- Fitoussi, A.; Razzouk, K.; Ahsan, M.D.; Andrews, G.; Rafii, A. Autologous Fat Grafting as a Stand-alone Method for Immediate Breast Reconstruction After Radical Mastectomy in a Series of 15 Patients. Ann. Plast. Surg. 2022, 88, 25–31. [Google Scholar] [CrossRef]
- Breton-Torres, I.; Lefebvre, C.; Jammet, P. Post-injection facial massage/kinesiotherapy in aesthetic medicine. Kinesither Sci. 2014, 554, 15–21. [Google Scholar]






| Authors and Date | Aim | Study Group | Treatment Parameters | Evaluation Methods | Results | |
|---|---|---|---|---|---|---|
| Nedelec B., Edger-Lacoursière Z., Gauthier N., Marois-Pagé E., Jean S. [19] 2024 | Evaluate the efficacy of 12-week endermotherapy for hypertrophic burn scars (HScs) in improving elasticity, erythema, melanin, thickness, and TEWL. | 16 adult burn survivors with hypertrophic scars, randomized within-patient (one scar treated, one control). | Vacuum massage (endermotherapy, Cellu M6®), 3 sessions/week for 12 weeks, 10 min per session, intensity 2–5, progressive mobilization. | Elasticity (cutometer), erythema and melanin (mexameter), thickness (high-frequency ultrasound), TEWL (tewameter), pain and itch (VAS), patient-reported outcomes. | No significant treatment effect on elasticity, erythema, melanin, thickness, or TEWL. Improvement observed over time in both control and treatment groups. High patient satisfaction (4/5) and perceived effectiveness (8/10). | 1 |
| Malloizel-Delaunay J., Weyl A., Brusq C., Chaput B., Garmy-Susini B., Bongard V., Vaysse C. [15] 2024 | New strategy for breast cancer-related lymphedema treatment using endermology trial. | 93 patients with breast cancer-related lymphedema, randomized into three groups (31 per group). Median age: 64.5 years (IQR: 56.4–71.3). Treatments received: mastectomy (n = 35), axillary lymphadenectomy (n = 80), radiotherapy (n = 91), chemotherapy (n = 68). | Group 1: Standard intensive decongestant treatment (IDT) (bandages + manual lymphatic drainage, MLD). Group 2: IDT (bandages + MLD) + Cellu M6 endermology. Group 3: IDT (bandages) + Cellu M6 endermology. Treatment duration: 5 days. | Primary endpoint: success rate (≥30% reduction in excess volume). Measurement of relative reduction in excess limb volume. Patient-reported experience of pain and discomfort. | Mean excess volume reduction: Group 1 (38%), Group 2 (33%), Group 3 (34%). Success rate: Group 1 (58.1%, p = 0.0237), Group 2 (51.6%, p = 0.5), Group 3 (64.5%, p = 0.075). In LPG groups (2 and 3): 16% of patients found LPG painful and 15% considered it unpleasant. The study did not meet the predefined success threshold but validated a standardized, reproducible endermology protocol. | |
| Leung A.K.P., Ouyang H., Pang M.Y.C. [20] 2023 | Effects of mechanical stimulation on mastectomy scars within 2 months of surgery: a single-center, single-blinded, randomized, controlled trial. | 108 patients (54 + 54). Mean age: 57.4. | Number of treatments: 12 sessions. Time: 10 min. Treatment frequency: two times per week. | Vancouver scar scale (VSS) to assess scar quality. Spectrophotometry. Disabilities of the Arm, Shoulder and Hand (DASH) questionnaire. Shoulder range of motion. Numeric Pain Rating Scale. Hand grip strength. Functional Assessment of Chronic Illness Therapy−Breast Cancer (FACT-B). | The addition of mechanical stimulation to a conventional intervention program improved scar appearance, arm function, and functional well-being compared with conventional intervention alone. | 2 |
| K. Razzouk, P. Humbert, B. Borens, M. Gozzi, N. Al Khori, J. Pasquier, A. Rafii Tabrizi [21] 2020 | Evaluation of the improvement of skin trophicity using mechanotherapy in lipofilling-based breast reconstruction after radiotherapy. | 65 women after a radical mastectomy followed by external radiotherapy of the chest wall. | Preoperative treatment frequency: two times per week; session time: 45 min. 12–14 hz. Postoperative treatment (21 days after surgery): 4 weeks. | One-way ANOVA followed by Holm–Sidak post hoc tests or Tukey post hoc tests, SEM, a Shapiro–Wilk normality test, and Student’s t tests. | Mechanotherapy (pre- and postoperative) increased skin compliance and enabled a higher volume of fat injection and lower prosthesis volume. | 3 |
| De la Cruz M. [1] 2015 | Assessment of the effectiveness of endermologie (LPG® Cellu M6) in external skin expansion for delayed breast reconstruction. Comparison of outcomes in irradiated vs. non-irradiated patients. | 8 post-mastectomy patients (5 irradiated, 13 non-irradiated) aged 37–64. No exclusion based on tumor type, TNM, or adjuvant therapies. | LPG® endermologie (Cellu M6). Avg. 23.3 sessions (2×/week, 35 min). Suction force 2–7, therapeutic mode. Additional fat grafting if skin thickness < 2 cm. | Skin displacement test (>1.5 cm considered success), pinch test, fat grafting volume assessment. Follow-up on capsular contracture (Baker scale), patient satisfaction (Likert scale), and cost analysis. | Avg. 3.25 cm skin gain (2.42 cm in irradiated vs. 3.56 cm in non-irradiated). 100% patient satisfaction, no Baker III/IV contracture. Avg. cost: EUR 6336.37, lower than conventional methods. Hospital stay: 1 day. | 4 |
| P. Humber, F. Fanian, T. Lihoreau, A. Jeudy, A. Elkhyat, S. Robin, C. Courderot -Masuyer, H. Tauzin, C. Lafforgue, M. Haftek [5] 2015 | Assessment of the clinical and macroscopic effects and investigation of the mechanism of action at the cellular level (stimulation of fibroblasts). | 20 women, 10 men. 35–50 years old. I-IV Fitzpatrick skin phototype. Facial skin sagging. | Number of treatments: 24. Session time: 15 min. Treatment frequency: three times per week for 8 weeks. | Clinical scoring using six-grade scale of Ezure et al. Evaluation of a blinded dermatologist. Self-assessment of subjects (questionnaire). Photography (Canon EOS Rebel XS). Biopsies, migratory capacity. Measurements of contractile forces developed by fibroblasts in Glassbox®. | Improvement of skin sagging in 73% of volunteers (especially on the lower or lateral part of the cheek). Improvement of skin’s radiance and reduction of wrinkles, under-eye dark circles, and blemishes. A positive effect on the migration of fibroblasts was observed as well as a significant increase in the synthesis of MMP-9, type I collagen, hyaluronic acid, and elastin. | 5 |
| S. M. Kim, S. R. Kim, Y. K. Lee, B. R. Kim, E. Y. Han [22] 2015 | Evaluation of effectiveness of endermologie in reducing swelling, easing discomfort, and expanding range of motion. | 18 patients. Age: 73.4 ± 5.7. After total knee arthroplasty with edema. n = 8 mechanical stimulation. Control group: n = 10 physical therapy. | Number of treatments: 5. Special working massage process: from proximal to distal and then from distal to proximal repeated 3 to 4 times. Session time: 20 min. Treatment frequency: five times per week from the seventh day post-surgery. | Single-frequency bioimpedance analysis at 5 kHz. Ultrasonography. | Relevant decrease in edema and pain and significant improvement in active knee flexion. | 6 |
| C. Márquez-Rebollo, L. Vergara-Carrasco, R. Díaz-Navarro, D. Rubio-Fernández, P. Francoli-Martínez, R. Sánchez-De la Rosa [23] 2014 | The effect of endermologie on the outcome of patients with multiple sclerosis receiving GA. | 70 patients. 50 patients with RRMS who showed indurations and 58 panniculitis/lipoatrophy patients. 18–65 years. Mean age: 42.7 ± 9.3 years. Mean multiple sclerosis duration: 9.2 ± 8.6 years. Mean glatiramer acetate duration: 46.7 ± 29.9 months. | Number of treatments: 12. Session time: 15–40 min. Treatment frequency: twice per week. | Physical examination (visual inspection and manual palpation). Photography of indurations and areas of panniculitis/lipoatrophy. Self-assessment of subjects (questionnaire). McNemar’s tests, chi-squared tests, or Wilcoxon tests. | Significant reduction in patients with indurations (71.4% vs. 28.6%) and reduction in areas with lipoatrophy/panniculitis. | 7 |
| Z. Kutlubay, A. Songur, B. Engin, R. Khatib, Ö. Calay, S. Serdardaroglu [24] 2013 | Evaluation of the safety, efficacy, and slimming potential of LPG endermologie. | 118 women. Age 34.59 ± 8.02. | Number of treatments: 15 sessions. Time: 35–40 min. Treatment frequency: two times per week. | Digital photography. Measurements of body circumferences. Body weight. Body fat percentage (BFP) using Gaia 359 Plus™ (Body composition analyzer, Jawon Medical, Kyungsan-City, Republic of Korea). | Reduction in body circumferences (mean 2.9 ± 1.6 cm) in 117 volunteers (99%). Reduction of body weight in 103 (87%) patients (mean 2717 ± 1938 kg). Significant cellulite grade improvement. Considerable satisfaction in 81 volunteers (69%) suggested by the questionnaire. | 8 |
| Majani U, Majani A. [6] 2013 | Evaluation of the mechanostimulation last generation system for treating scars. | 26 patients. 16–82 years. 12 patients with post-traumatic scars. 6 patients with burns. 8 patients with cosmetically unsatisfactory surgical scars. | Number of treatments: 8–20. Session time: - Treatment frequency: twice per week. Pulsed mode or continuous mode (mature scars), frequency: 8–16 Hz (vascularization and soft tissue mobility) or 4 Hz (anti-swelling action). | Life-size photos. 20x and 50x zooms. A histological study. | Improvement of scar appearance. Reduction of pain, paresthesia, and feeling of paper-like skin. | 9 |
| D. Rubio Fernández, C. Rodríguez del Canto, V. Marcos Galán, N. Falcón, H. Edreira, L. Sevane Fernández, P. Francoli Martínez, R. Sánchez-De la Rosa [25] 2012 | Evaluation of the effect of endermologie on indurations and panniculitis/lipoatrophy associated with subcutaneous administration of glatiramer acetate in patients with multiple sclerosis. | 13 women suffering from panniculitis/lipoatrophy treated with GA. 18–65 years. Mean age: 40.7 ± 3.1 years. Mean multiple sclerosis duration: 10.1 ± 2.3 years. Mean glatiramer acetate treatment duration: 27.3 ± 9.5 months. | Number of treatments: 12. Session time: 30–40 min. Treatment frequency: once or twice per week. | Student’s test. | Significant reduction of indurations (especially from arms, abdomen, thighs, and buttocks). | 10 |
| M. A. Marques, M. Combesa, B. Roussela, L. Vidal-Dupont, C. Thalamas, M. Lafontan, N. Viguerie [26] 2011 | Assessment of the incidence of a mechanical massage technique on gene expression profiles and β-adrenergic-mediated lipid mobilization in female femoral adipose tissue. | 12 women before menopause. Mean age: 31.8. | Number of treatments: 12. Session time: 30 min. Treatment frequency: two times per week. | Microdialysis. Adipose tissue biopsy. | Initiation of modifications in gene expression and the enhanced effect of isoproterenol (lipolytic agent). Improvement in blood circulation in adipose tissue and dilation of blood vessels. | 10 |
| C. Lebrun, L. Mondot, M. Bertagna, A. Calleja, M. Cohen [27] 2011 | Usability assessment of endermologie in treatment for injection-induced lipoatrophy in multiple sclerosis patients treated with subcutaneous glatiramer acetate. | 8 women. Mean age: 39.9. Suffering from lipoatrophy treated with GA. | Number of treatments: 16 (or 32 if patient was satisfied with effect). Session time: 30 min. Treatment frequency: two times per week. | MRI. Clinical measurement. Pictures and visual analog scales. | Significant reduction in lipoatrophic area. | 11 |
| Y. H. Kim, S. M. Cha, S. Naidu, W. J. Hwang [28] 2011 | An examination of the complications that arise post-operatively following power-assisted liposuction when paired with external ultrasound energy and endermologie. | 2398 patients after superficial liposuction surgery. Mean age: 42.8 years. Mean body mass index: 27.9 kg/m2. | Number of treatments: 24. Session time: - Treatment frequency: twice per week. 1 week postoperatively. | Chi-square test and Fisher’s exact test. | Reduction of postoperative edema and pain using endermologie. | 12 |
| A. Tülin Güleç [29] 2009 | Assessment of the efficacy and safety of LPG endermologie in treating cellulite. | 33 women. Mean age: 43.2 ± 10.4 years. Cellulite grade: 1–3, based on the 4-stage Nurnberger–Muller scale. | Number of treatments: 15. Session time: 35–40 min. Treatment frequency: two times per week. Suction pressure: 3–7. | Digital photography. Perimetric measurements. Self-assessment of subjects (questionnaire). | Significant reduction in body circumferences in all volunteers. Improvement of cellulite appearance in 5 women. | 13 |
| C. Monteux, M. Lafontan [30] 2008 | Test of lipolytic responsiveness of femoral adipose tissue in women with cellulite. | 9 women. Cellulite grade ≥ 2. | Number of treatments: 12. Treatment frequency: three times per week. | Microdialysis method. Measurements of waist, thighs, and skin folds. | Increase in the lipolytic responsiveness of femoral adipose tissue (decrease in resting-level glycerol). Significant reduction in body circumference (thighs: 3.1–3.3 cm). | 14 |
| J. F. Bourgeois, S. Gourgou, A. Kramar, J. M. Lagarde, B. Guillot [31] 2008 | Evaluation of the changes on irradiated skin before and after LPG treatment. | 20 women. Average age: 49. Average weight: 61 kg. Average height: 164 cm. Treated from 6 to 16 months before for breast cancer with conservative surgery and radiotherapy. | Number of treatments: 15. Session time: 10 min. Treatment frequency: three times per week. n = 10 mechanical stimulation. Control group: n = 10 medical supervision. | Inspection and palpation of the skin; parameters: dryness and infiltration of the skin, erythema, pain. Measurement of the skin’s elasticity using the LPG tester. Self-assessment (qualitative) of subjects. Test of Hills and Armitage. | Decrease in the pruritus, erythema, pain, and feeling of induration of the skin. Softening effect on the skin. | 15 |
| A. Moseley, N. Piller, J. Douglass, M. Esplin [13] 2007 | Comparison of manual lymphatic drainage (MLD; the Vodder method) and LPG technique. | 30 women with secondary arm lymphoedema post-breast cancer treatment. MLD group, n = 20; 46–79 years. Mean age: 62.3 ± 10 years. LPG group, n = 10; 45–72 years. Mean age: 60.3 ± 7.6 years. | Number of treatments: 16. Session time: 45 min (MLD) or 30 min (LPG). Treatment frequency: four times per week for 4 weeks. | Measurement of arm and truncal fluid using multifrequency (5–500 Hz) bioimpedance, arm volume using optoelectronic perometry, and fibrotic induration in the lymphatic territories using tonometry. Student’s t-test. Self-assessment of subjects. | A significant reduction in secondary arm lymphoedema in both groups (truncal fluid, arm fluid, and arm volume). Decrease in tissue hardness, limb size, heaviness, and tightness. Improvement in range of movement. Relevant softening in the posterior thorax region. | 16 |
| C. Gordon, C. Emiliozzi, M. Zartarian [32] 2006 | Investigation of how a mechanical massage technique (LPG technique) could contribute to the treatment of fibromyalgia. | 10 women with fibromyalgia. 28–62 years. Mean age: 46.8 ± 9.5 years. Mean weight: 69.1 ± 15.6 kg. | Number of treatments: 15. Session time: 35 min. Treatment frequency: once per week. | A physical examination (pain intensity, physical function, number of tender points). Self-assessment of subjects (questionnaire: FIQ). | Reduction in pain. Decrease in the number of painful tender points. | 17 |
| F. Lhoest, F.-X. Grandjean, O. Heymans [33] 2005 | Evaluation of the utilization of endermologie in patients with Mondor’s disease. | 8 patients after breast surgery diagnosed with Mondor’s disease. | - | - | Post-traumatic contracture of the fascia superficialis could be effectively treated by the endermologie system and myofascial techniques. Complete reduction of pain in 10 days. | 18 |
| W-I. Worret, B. Jessberger [34] 2004 | Assessment of the impact of endermologie on patients with morphea | 10 patients. 4 men 6 women diagnosed with morphea (17 lesions). 17–78 years. Mean age: 55 years. | Number of treatments: 13. Session time: - Treatment frequency: once per week. | Questionnaires. Palpation. Rating of both an experienced dermatologist and a physiotherapist. Cutometer®. | Improvement of the appearance and elasticity of the lesions. Reduction in lesion pain and induration. Improvement in patient quality of life. | 19 |
| J.-P. Ortonne, C. Queille-Roussel, L. Duteil, C. Emiliozzi, M. Zartarian [35] 2004 | Evaluation of the impact of endermologie on the skin with cellulite. | 30 patients (women) with cellulite of the thighs. Grade ≥ 2 according to the Nurnberger classification. Mean age: 50 ± 8 years. Average weight: 65.7kg. BMI scale: 22–30. | Number of treatments: 16. Session time: 35 min. Treatment frequency: twice per week. | Physical measurements of skin thickness. Ultrasound measurements with B scanner. Skin imprints using Silflo elastomer mastic and image analysis system (CCTV camera). Standardized photographs using Canon Powershop A60 system). Questionnaire. | Decrease in skin fold thickness. Improvement in skin smoothness. | 20 |
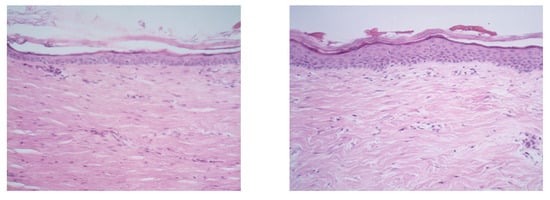
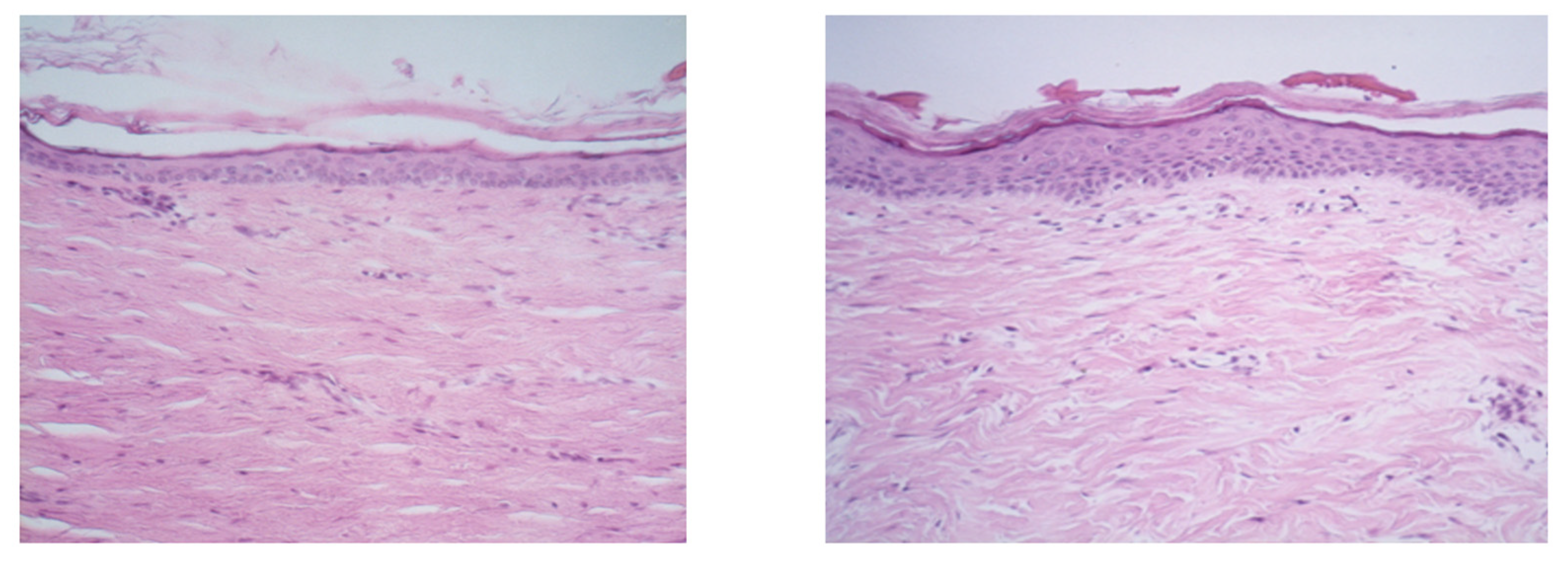
| Q. Innocenzi, A. Balzani, G. Montesi, G. La Torre, S. Tenna, N. Scuderi, S. Calvieri [9] 2003 | Assessment of the effect of mechanostimulation on skin using image analysis. | 15 patients suffering from lipodystrophy of the abdomen and lower limbs. 23–57 years. Mean age: 40 years. Body mass index: 21–26 | Number of treatments: 14. Session time: 11 min. Treatment frequency: twice or three times per week. | Punch biopsy of the skin (3 mm diameter). Color camera mounted on an optical microscope. Wilcoxon test. | Increase in fibroblast nuclei number and the surface (87%) and thickness of the epidermis (73%). Improvement in trophism of the skin. Improvement in vascularity and vessel augmentation (93%). | 21 |
| I. Le Blanc-Louvry, B. Costaglioli, C. Boulon, A-M. Leroi, P. Ducrotte [36] 2002 | Evaluation of the impact of mechanical abdominal massage on the postoperative ileus following colectomy. | 1st group: 25 patients receiving mechanical massage. Mean age: 52 ± 5 years. 2nd group: 25 patients not receiving mechanical massage (placebo group). Mean age: 60 ± 6 years. | Number of treatments: 7. Session time: 15 min. Treatment frequency: daily. Active massage:
| Visual analog scale (VAS). Hamilton score. | Reduction in pain and duration of ileus after colectomy observed in group receiving mechanical massage in contrast to placebo group. | 22 |
| G. S. LaTrenta, S. L. Mick [37] 2001 | Comparison of lipoplasty’s effect and its combination with endermologie in long-term body contouring. | 50 women after ultrasound-assisted lipoplasty (EUAL) of the hips, flanks, and thighs. Endermologie + EUAL: n = 25 women. EUAL alone: n = 25 women. | 10 days after EUAL, a course of 20 weekly endermologie treatments. | Photography. Measurements of the body (waist, hips, thighs, knees, calves). Body composition analysis. Self-assessment of subjects (questionnaire). | Reduction of cellulite in endermologie + EUAL group, but no significant difference in body contouring between these two groups. | 23 |
| P. Lattarulo, P. A. Bacci, S. Mangini [18] 2000 | Evaluation of the effects of endermologie and diosmin/hesperidin on microcirculation. | 34 patients. 18–42 years. Mean age: 30. | Patients taking a phlebotropic and venoprotective drug and undergoing endermologie. | Optical-probe videocapillaroscopy (OPVC). Laser Doppler flow measurements. Transcutaneous oxymetry. | Combination of diosmin/hesperidin drugs and endermologie showed high efficacy in increasing microcirculatory parameters. | 24 |
Disclaimer/Publisher’s Note: The statements, opinions and data contained in all publications are solely those of the individual author(s) and contributor(s) and not of MDPI and/or the editor(s). MDPI and/or the editor(s) disclaim responsibility for any injury to people or property resulting from any ideas, methods, instructions or products referred to in the content. |
© 2025 by the authors. Licensee MDPI, Basel, Switzerland. This article is an open access article distributed under the terms and conditions of the Creative Commons Attribution (CC BY) license (https://creativecommons.org/licenses/by/4.0/).
Share and Cite
Kołodziejczak, A.; Adamiak, J.; Rotsztejn, H. Endermologie as a Complementary Therapy in Medicine and Surgery and an Effective Aesthetic Procedure: A Literature Review. Appl. Sci. 2025, 15, 4313. https://doi.org/10.3390/app15084313
Kołodziejczak A, Adamiak J, Rotsztejn H. Endermologie as a Complementary Therapy in Medicine and Surgery and an Effective Aesthetic Procedure: A Literature Review. Applied Sciences. 2025; 15(8):4313. https://doi.org/10.3390/app15084313
Chicago/Turabian StyleKołodziejczak, Anna, Julia Adamiak, and Helena Rotsztejn. 2025. "Endermologie as a Complementary Therapy in Medicine and Surgery and an Effective Aesthetic Procedure: A Literature Review" Applied Sciences 15, no. 8: 4313. https://doi.org/10.3390/app15084313
APA StyleKołodziejczak, A., Adamiak, J., & Rotsztejn, H. (2025). Endermologie as a Complementary Therapy in Medicine and Surgery and an Effective Aesthetic Procedure: A Literature Review. Applied Sciences, 15(8), 4313. https://doi.org/10.3390/app15084313

