Assessment of the Efficacy of Dentin Graft and Xenograft in Bone Regeneration and the Enhancing Effect of Mesenchymal Stem Cells
Abstract
1. Introduction
2. Methods
2.1. Dentin Graft Preparation Protocol
2.2. MSC Preparation Protocol
2.3. Experimental Protocol
2.4. Tissue Preparation
2.5. Histochemical Staining
2.6. Immunohistochemical Analysis
- COL I (orb241216, Biorbyt; dilution 1:50)
- COL III (orb304041, Biorbyt; dilution 1:100)
- VEGF (bs-0279R, Bioss; dilution 1:100)
- OPN (NB110-89062, Novus Biologicals; dilution 1:100)
2.7. Statistics
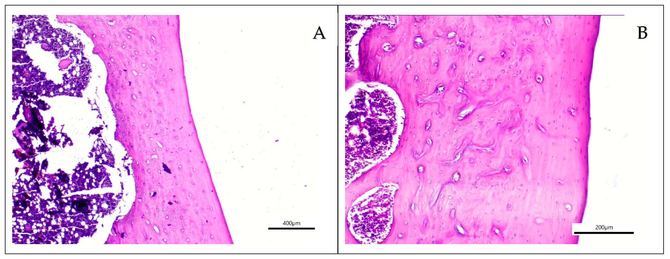
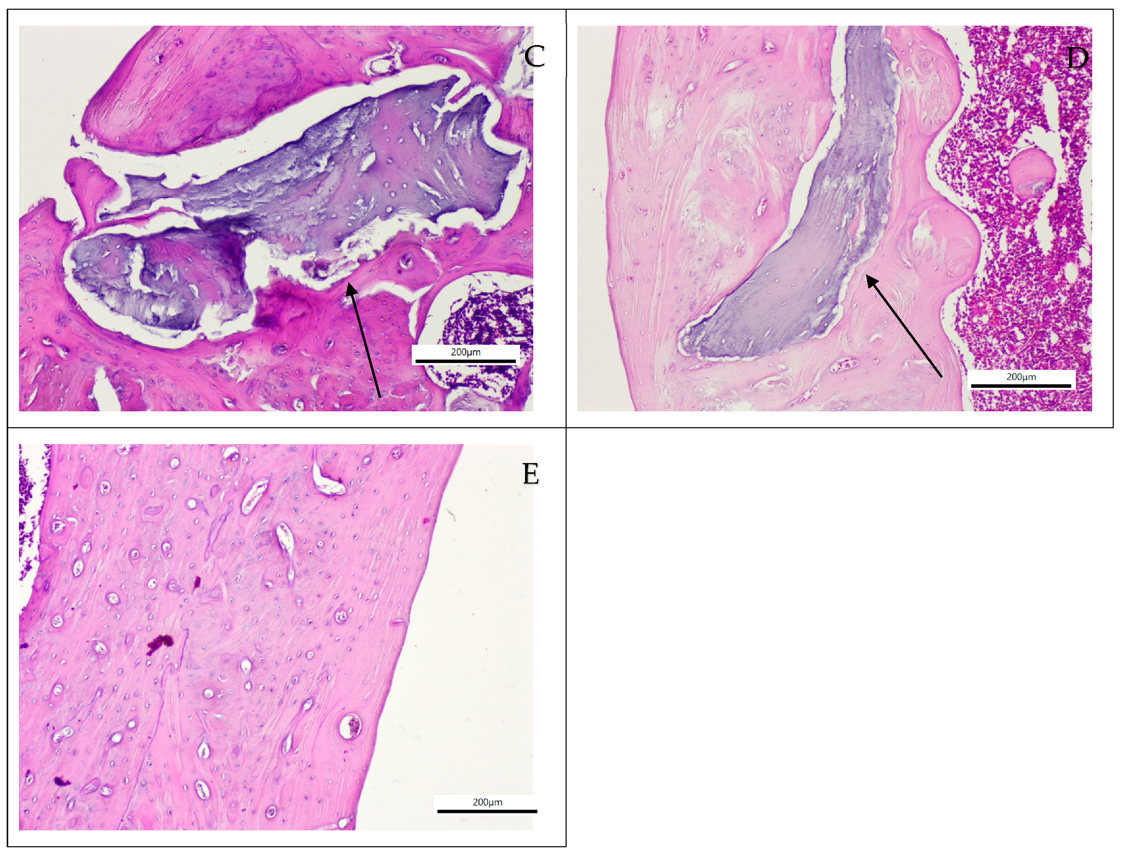
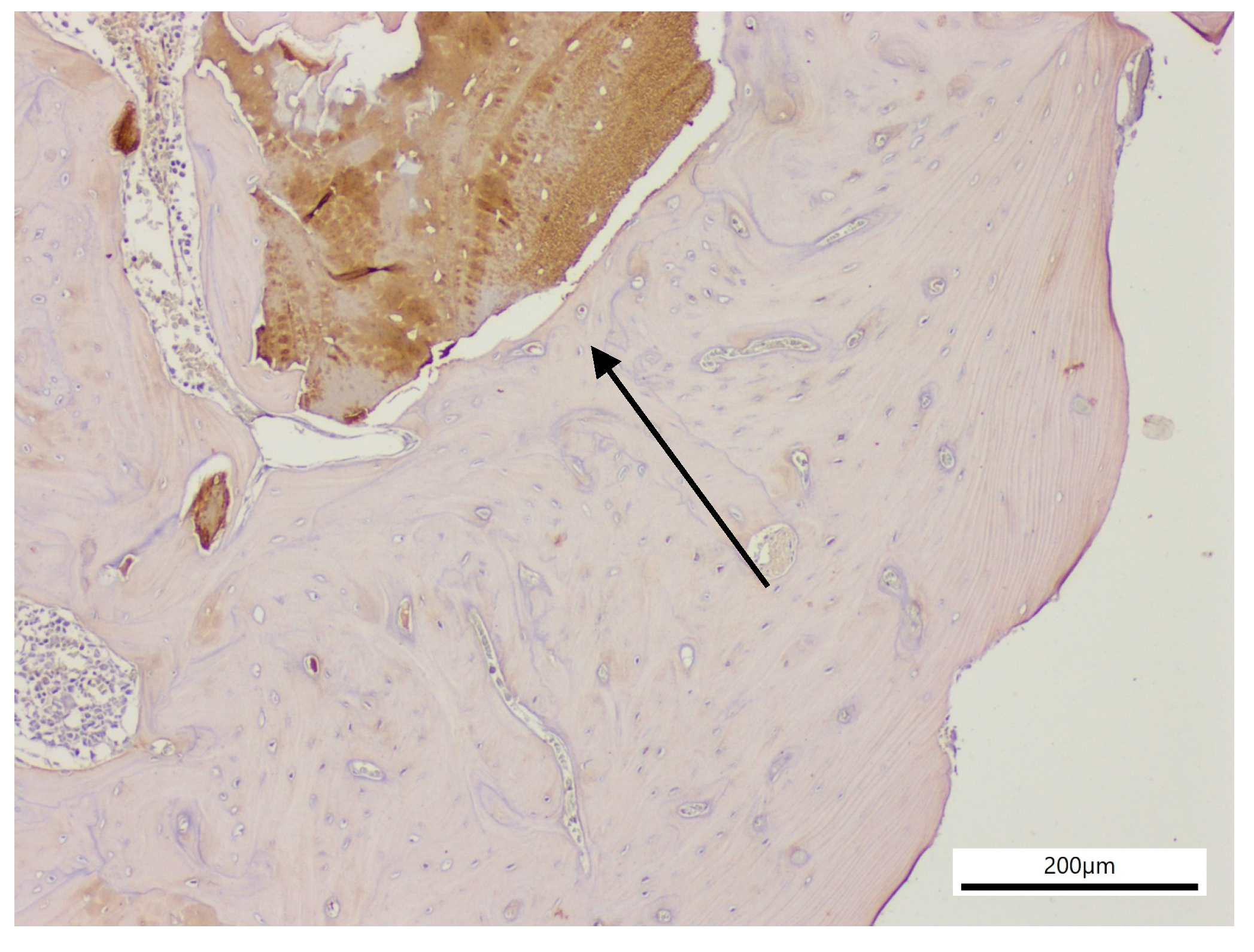
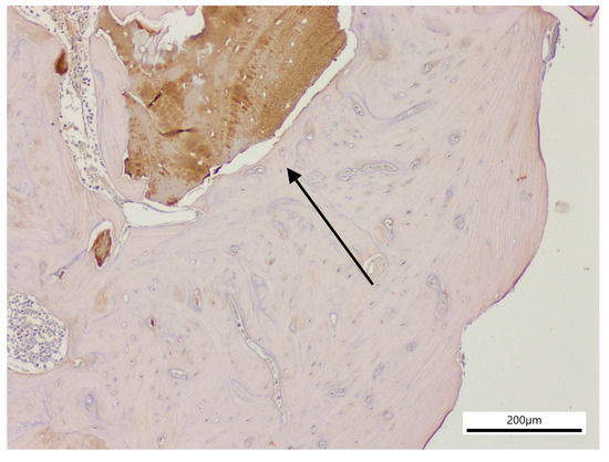
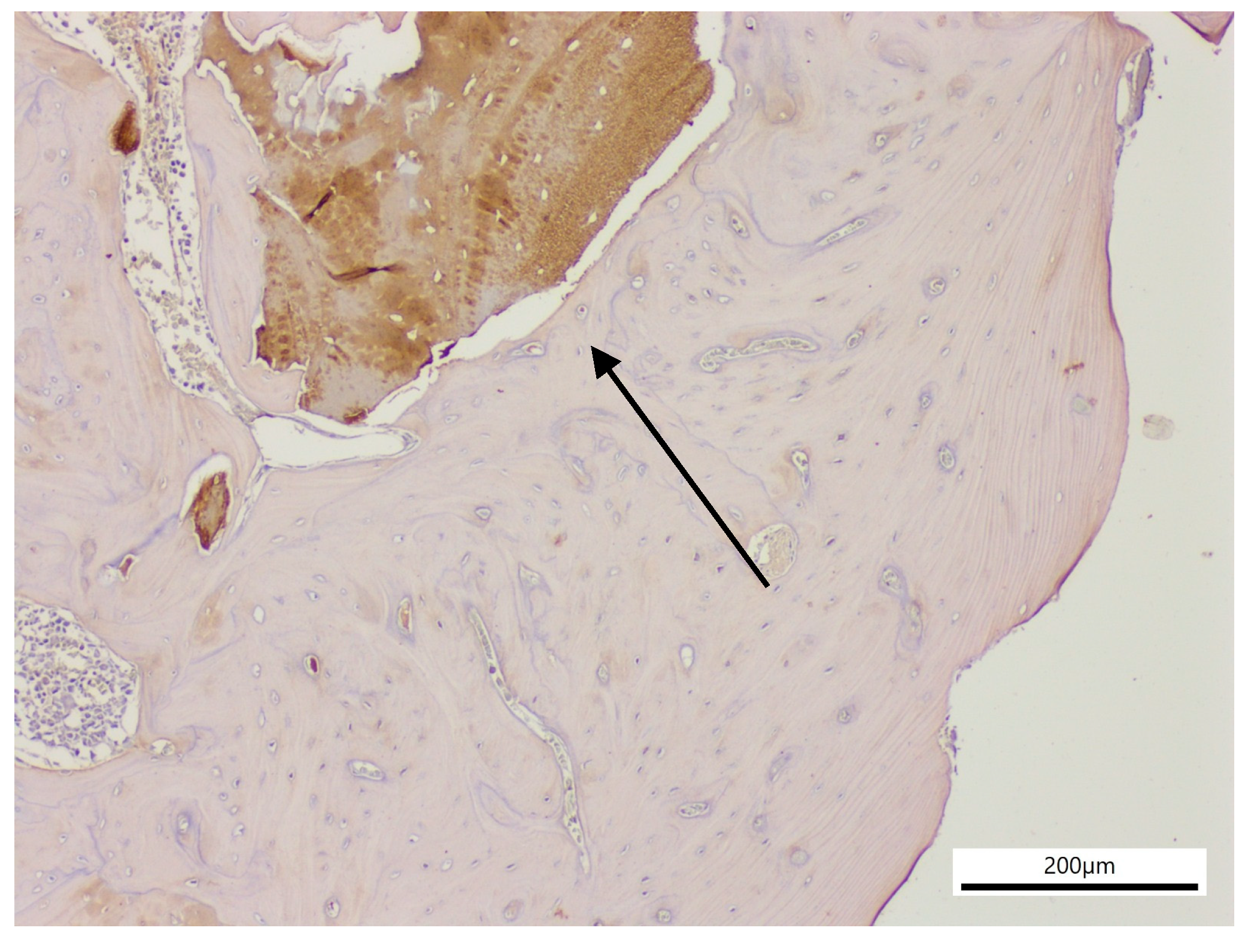
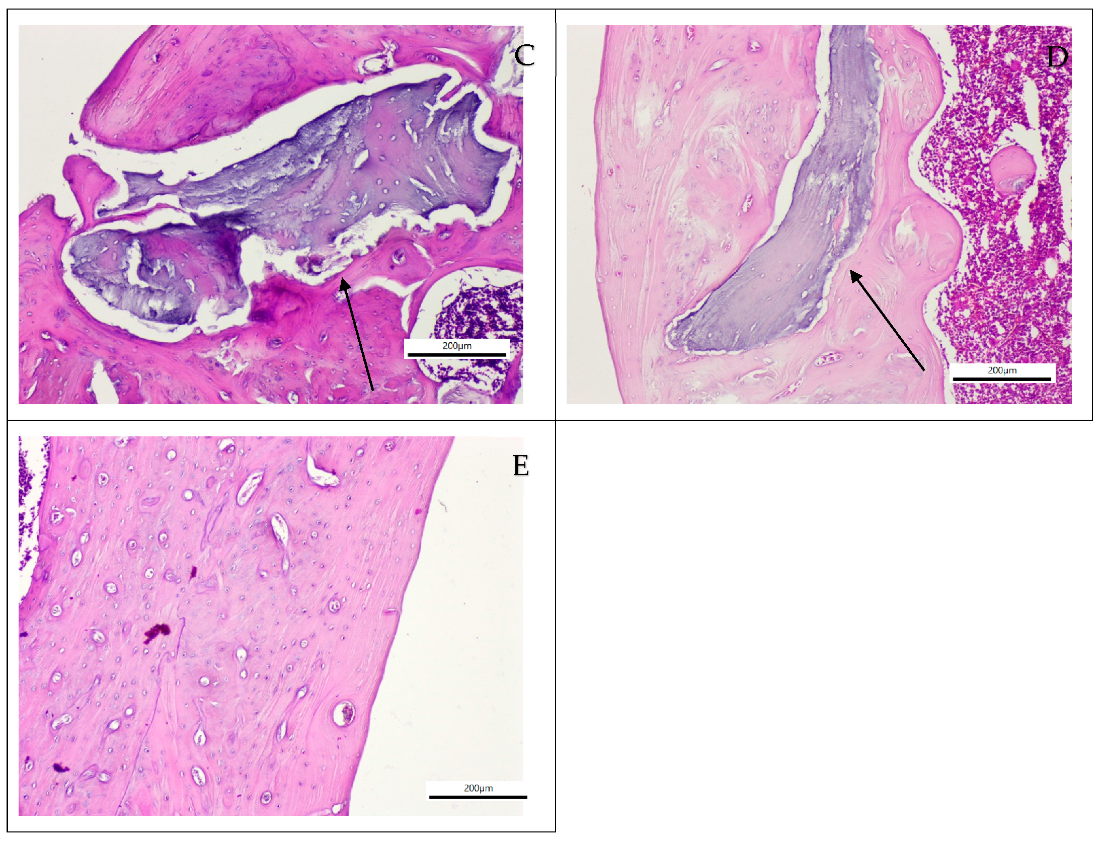
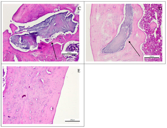
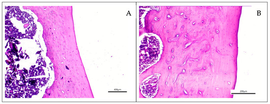
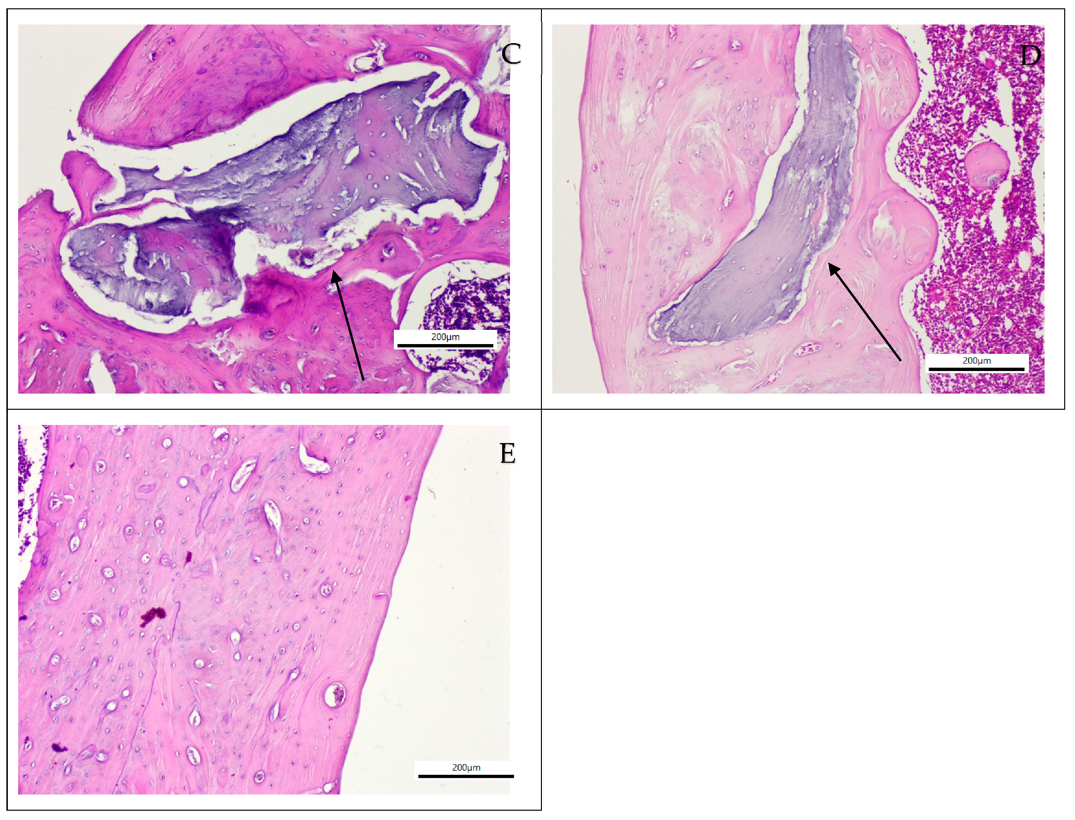
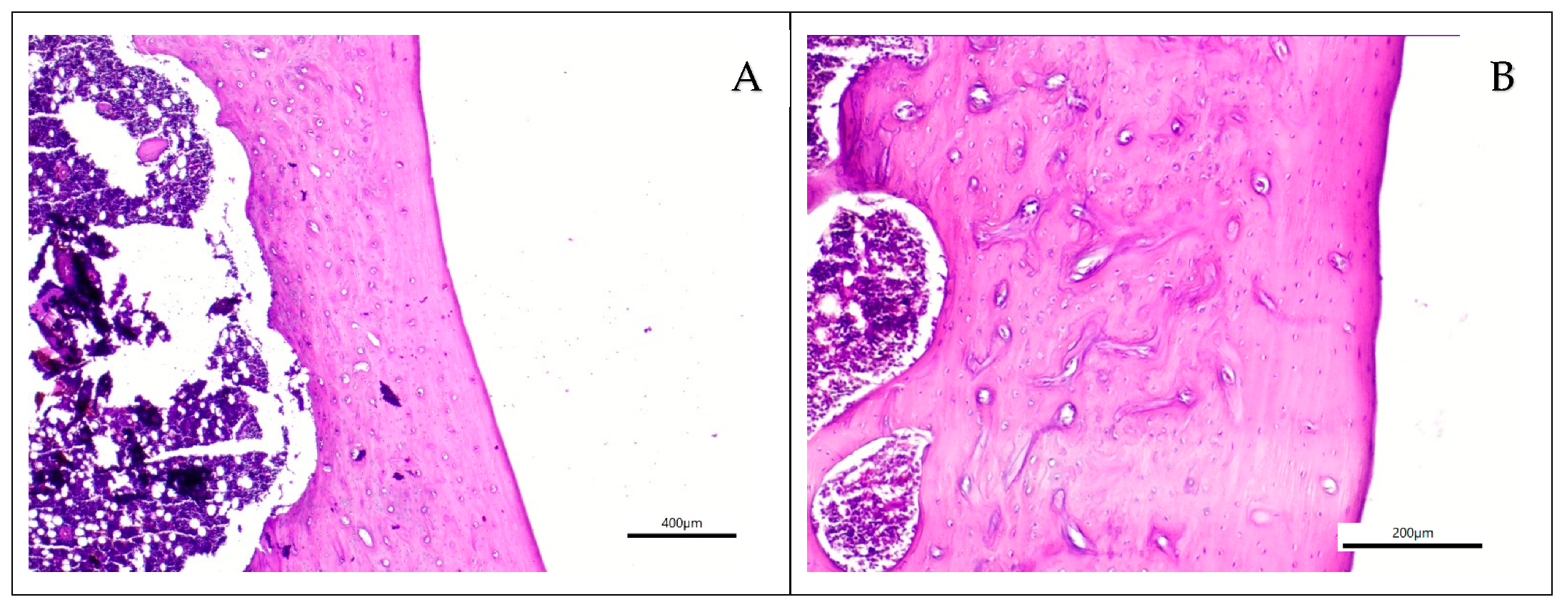
3. Results
4. Discussion
5. Conclusions
Author Contributions
Funding
Institutional Review Board Statement
Data Availability Statement
Acknowledgments
Conflicts of Interest
Abbreviations
| MSC | Mesenchymal stem cells |
| VEGF | Vascular endothelial growth factor |
| BMP | Bone morphogenetic protein |
| OPN | Osteopontin |
| COL1 | Collagen type 1 |
| COL3 | Collagen type 3 |
References
- Mitić, D.; Čarkić, J.; Jaćimović, J.; Lazarević, M.; Jakšić Karišik, M.; Toljić, B.; Milašin, J. The impact of nano-hydroxyapatite scaffold enrichment on bone regeneration in vivo—A systematic review. Biomimetics 2024, 9, 386. [Google Scholar] [CrossRef]
- Murata, M.; Hirose, Y.; Ochi, M.; Tazaki, J.; Okubo, N.; Akazawa, T. Twenty years-passed case of demineralized dentin matrix autograft for sinus bone augmentation—A first case of dentin graft in human. J. Clin. Exp. Dent. 2023, 15, 861–865. [Google Scholar] [CrossRef] [PubMed]
- Kim, Y.K.; Kim, S.G.; Byeon, J.H.; Lee, H.J.; Um, I.U.; Lim, S.C.; Kim, S.Y. Development of a novel bone grafting material using autogenous teeth. Oral Surg. Oral Med. Oral Pathol. Oral Radiol. Endod. 2010, 109, 496–503. [Google Scholar] [CrossRef] [PubMed]
- Jeong, K.I.; Kim, S.G.; Kim, Y.K.; Oh, J.S.; You, J.S.; Kim, J.S. Clinical study of graft materials using autogenous teeth in maxillary sinus augmentation. Implant Dent. 2011, 20, 471–479. [Google Scholar] [CrossRef]
- Sapoznikov, L.; Humphrey, M. Progress in dentin-derived bone graft materials: A new xenogeneic dentin-derived material with retained organic component allows for broader and easier application. Cells 2024, 13, 1806. [Google Scholar] [CrossRef]
- Fontana, T.P.; Corazza, P.H.; Castro, D.M.M.; Bassani Deconto, A.; Dogenski, L.C.; Souza, M.A.; Bervian, J.; Rovani, G.; Trentin, M.S.; De Carli, J.P. Clinical, tomographic, and histological analysis of post-extraction dental sockets filled with particulate dentin or blood clot: Pilot study of a randomized clinical trial. Clin. Oral Investig. 2025, 29, 300. [Google Scholar] [CrossRef]
- Nampo, T.; Watahiki, J.; Enomoto, A.; Taguchi, T.; Ono, M.; Nakano, H.; Yamamoto, G.; Irie, T.; Tachikawa, T.; Maki, K. A new method for alveolar bone repair using extracted teeth for the graft material. J. Periodontol. 2010, 81, 1264–1272. [Google Scholar] [CrossRef]
- Avery, S.J.; Sadaghiani, L.; Sloan, A.J.; Waddington, R.J. Analysing the bioactive makeup of demineralised dentine matrix on bone marrow mesenchymal stem cells for enhanced bone repair. Eur. Cell Mater. 2017, 21, 1–17. [Google Scholar] [CrossRef]
- Minetti, E.; Taschieri, S.; Berardini, M.; Corbella, S. New classification of autologous tooth-derived grafting materials: Fundamental concepts. Int. J. Dent. 2025, 2025, 6646405. [Google Scholar] [CrossRef] [PubMed]
- Kim, Y.K.; Yun, P.Y.; Um, I.W.; Lee, H.J.; Yi, Y.J.; Bae, J.H.; Lee, J. Alveolar ridge preservation of an extraction socket using autogenous tooth bone graft material for implant site development: A prospective case series. J. Adv. Prosthodont. 2014, 6, 521–527. [Google Scholar] [CrossRef]
- Mahendra, D.A.; Bilbalqish, K.; Nugraha, A.P.; Cahyanto, A.; Sengupta, K.; Hanna, K.; Meizarini, A.; Hariyani, N. Dentin-derived alveolar bone graft for alveolar augmentation: A systematic review. J. Oral Biol. Craniofac. Res. 2024, 14, 395–406. [Google Scholar] [CrossRef]
- Schwarz, F.; Golubovic, V.; Becker, K.; Mihatovic, I. Extracted tooth roots used for lateral alveolar ridge augmentation: A proof-of-concept study. J. Clin. Periodontol. 2016, 43, 345–353. [Google Scholar] [CrossRef]
- Schwarz, F.; Mihatovic, I.; Golubovic, V.; Becker, J. Dentointegration of a titanium implant: A case report. Oral Maxillofac. Surg. 2013, 17, 235–241. [Google Scholar] [CrossRef]
- Namjoynik, A.; Islam, M.A.; Islam, M. Evaluating the efficacy of human dental pulp stem cells and scaffold combination for bone regeneration in animal models: A systematic review and meta-analysis. Stem Cell Res. Ther. 2023, 14, 132. [Google Scholar] [CrossRef]
- Fan, S.; Li, J.; Zheng, G.; Ma, Z.; Peng, X.; Xie, Z.; Liu, W.; Yu, W.; Lin, J.; Su, Z.; et al. Wac facilitates mitophagy-mediated MSC osteogenesis and new bone formation via protecting pink1 from ubiquitination-dependent degradation. Adv. Sci. 2025, 12, 2404107. [Google Scholar] [CrossRef]
- Arpornmaeklong, P.; Boonyuen, S.; Apinyauppatham, K.; Pripatnanont, P. Effects of oral cavity stem cell sources and serum-free cell culture on hydrogel encapsulation of mesenchymal stem cells for bone regeneration: An in vitro investigation. Bioengineering 2024, 11, 59. [Google Scholar] [CrossRef] [PubMed]
- Liu, H.W.; Chen, C.H.; Tsai, C.L.; Lin, I.H.; Hsiue, G.H. Heterobifunctional poly(ethylene glycol)-tethered bone morphogenetic protein-2-stimulated bone marrow mesenchymal stromal cell differentiation and osteogenesis. Tissue Eng. 2007, 13, 1113–1124. [Google Scholar] [CrossRef]
- Olchowy, A.; Olchowy, C.; Zawiślak, I.; Matys, J.; Dobrzyński, M. Revolutionizing Bone Regeneration with Grinder-Based Dentin Biomaterial: A Systematic Review. Int. J. Mol. Sci. 2024, 25, 9583. [Google Scholar] [CrossRef]
- Desarda, H.M.; Shetgar, S.S.; Chaudhari, S.U.; Chaudhari, R.K.; Chandrahas, B.; Burli, V.V.A. Evaluation of human tooth properties to use as an autogenous graft—An in vitro study. J. Pharm. Bioallied Sci. 2025, 17 (Suppl. S1), 878–880. [Google Scholar] [CrossRef] [PubMed]
- Yasser, S.; Mohammed, A.A.A.R.; El-Safty, S.; Shon, A.; Al-Gabri, R.S.; Alqutaibi, A.Y.; Fouad, H.; Saleh, R.G. Comparing the effect of using calcified autogenous nano dentin particles versus micro dentin particles in the healing of mandibular bony defects in New Zealand rabbits. BMC Res. Notes 2025, 18, 125. [Google Scholar] [CrossRef] [PubMed]
- Goldberg, M.; Kulkarni, A.B.; Young, M.; Boskey, A. Dentin: Structure, composition and mineralization. Front. Biosci. (Elite Ed) 2011, 1, 711–735. [Google Scholar] [CrossRef]
- Schwarz, F.; Golubovic, V.; Mihatovic, I.; Becker, J. Periodontally diseased tooth roots used for lateral alveolar ridge augmentation: A proof-of-concept study. J. Clin. Periodontol. 2016, 43, 797–803. [Google Scholar] [CrossRef]
- Schwarz, F.; Sahin, D.; Becker, K.; Sader, R.; Becker, J. Autogenous tooth roots for lateral extraction socket augmentation and staged implant placement: A prospective observational study. Clin. Oral Implants Res. 2019, 30, 439–446. [Google Scholar] [CrossRef]
- Castillo-Cardiel, G.; López-Echaury, A.C.; Saucedo-Ortiz, J.A.; Fuentes-Orozco, C.; Michel-Espinoza, L.R.; Irusteta-Jiménez, L.; Salazar-Parra, M.; González-Ojeda, A. Bone regeneration in mandibular fractures after the application of autologous mesenchymal stem cells: A randomized clinical trial. Dent. Traumatol. 2017, 33, 38–44. [Google Scholar] [CrossRef]
- Liu, X.; Liao, X.; Luo, E.; Chen, W.; Bao, C.; Xu, H.H. Mesenchymal stem cells systemically injected into femoral marrow of dogs home to mandibular defects to enhance new bone formation. Tissue Eng. Part A 2014, 20, 883–892. [Google Scholar] [CrossRef] [PubMed]
- Bari, E.; Roato, I.; Perale, G.; Rossi, F.; Genova, T.; Mussano, F.; Ferracini, R.; Sorlini, M.; Torre, M.L.; Perteghella, S. Biohybrid bovine bone matrix for controlled release of mesenchymal stem/stromal cell lyosecretome: A device for bone regeneration. Int. J. Mol. Sci. 2021, 22, 4064. [Google Scholar] [CrossRef] [PubMed]
- Piattelli, M.; Favero, G.A.; Scarano, A.; Orsini, G.; Piattelli, A. Bone reactions to anorganic bovine bone (Bio-Oss) used in sinus augmentation procedures: A histologic long-term report of 20 cases in humans. Int. J. Oral Maxillofac. Implants. 1999, 14, 835–840. [Google Scholar] [PubMed]
- Stavropoulos, A.; Karring, T. Guided tissue regeneration combined with a deproteinized bovine bone mineral (Bio-Oss®) in the treatment of intrabony periodontal defects: 6-year results from a randomized-controlled clinical trial. J. Clin. Periodontol. 2010, 37, 200–210. [Google Scholar] [CrossRef]
- Van Houdt, C.I.A.; Ulrich, D.J.O.; Jansen, J.A.; van den Beucken, J.J.J.P. The performance of CPC/PLGA and Bio-Oss® for bone regeneration in healthy and osteoporotic rats. J. Biomed. Mater. Res. B Appl. Biomater. 2018, 106, 131–142. [Google Scholar] [CrossRef]
- Van Houdt, C.I.; Tim, C.R.; Crovace, M.C.; Zanotto, E.D.; Peitl, O.; Ulrich, D.J.; Jansen, J.A.; Parizotto, N.A.; Renno, A.C.; van den Beucken, J.J. Bone regeneration and gene expression in bone defects under healthy and osteoporotic bone conditions using two commercially available bone graft substitutes. Biomed. Mater. 2015, 10, 035003. [Google Scholar] [CrossRef]
- Berglundh, T.; Lindhe, J. Healing around implants placed in bone defects treated with Bio-Oss: An experimental study in the dog. Clin. Oral Implants Res. 1997, 8, 117–124. [Google Scholar] [CrossRef]
- Tapety, F.I.; Amizuka, N.; Uoshima, K.; Nomura, S.; Maeda, T. A histological evaluation of the involvement of Bio-Oss® in osteoblastic differentiation and matrix synthesis. Clin. Oral Implants Res. 2004, 15, 315–324. [Google Scholar] [CrossRef]
- Gutwald, R.; Haberstroh, J.; Kuschnierz, J.; Kister, C.; Lysek, D.A.; Maglione, M.; Xavier, S.P.; Oshima, T.; Schmelzeisen, R.; Sauerbier, S. Mesenchymal stem cells and inorganic bovine bone mineral in sinus augmentation: Comparison with augmentation by autologous bone in adult sheep. Br. J. Oral Maxillofac. Surg. 2010, 48, 285–290. [Google Scholar] [CrossRef]
- Pieri, F.; Lucarelli, E.; Corinaldesi, G.; Iezzi, G.; Piattelli, A.; Giardino, R.; Bassi, M.; Donati, D.; Marchetti, C. Mesenchymal stem cells and platelet-rich plasma enhance bone formation in sinus grafting: A histomorphometric study in minipigs. J. Clin. Periodontol. 2008, 35, 539–546. [Google Scholar] [CrossRef]
- D’Aquino, R.; De Rosa, A.; Lanza, V.; Tirino, V.; Laino, L.; Graziano, A.; Desiderio, V.; Laino, G.; Papaccio, G. Human mandible bone defect repair by the grafting of dental pulp stem/progenitor cells and collagen sponge biocomplexes. Eur. Cell Mater. 2009, 18, 75–83. [Google Scholar] [CrossRef]
- Al-Qadhi, G.; Soliman, M.; Abou-Shady, I.; Rashed, L. Gingival mesenchymal stem cells as an alternative source to bone marrow mesenchymal stem cells in regeneration of bone defects: In vivo study. Tissue Cell 2020, 63, 101325. [Google Scholar] [CrossRef]
- Rickert, D.; Sauerbier, S.; Nagursky, H.; Menne, D.; Vissink, A.; Raghoebar, G.M. Maxillary sinus floor elevation with bovine bone mineral combined with either autogenous bone or autogenous stem cells: A prospective randomized clinical trial. Clin. Oral Implants Res. 2011, 22, 251–258. [Google Scholar] [CrossRef] [PubMed]
- Sauerbier, S.; Stricker, A.; Kuschnierz, J.; Bühler, F.; Oshima, T.; Xavier, S.P.; Schmelzeisen, R.; Gutwald, R. In vivo comparison of hard tissue regeneration with human mesenchymal stem cells processed with either the FICOLL method or the BMAC method. Tissue Eng. Part C Methods 2010, 16, 215–223. [Google Scholar] [CrossRef] [PubMed]
- Smith, M.M.; Duncan, W.J.; Coates, D.E. Attributes of Bio-Oss® and Moa-Bone® graft materials in a pilot study using the sheep maxillary sinus model. J. Periodontal Res. 2018, 53, 80–90. [Google Scholar] [CrossRef]
- Addis, A.; Canciani, E.; Campagnol, M.; Colombo, M.; Frigerio, C.; Recupero, D.; Dellavia, C.; Morroni, M. A new anorganic equine bone substitute for oral surgery: Structural characterization and regenerative potential. Materials 2022, 15, 1031. [Google Scholar] [CrossRef] [PubMed]
- Lindhe, J.; Cecchinato, D.; Donati, M.; Tomasi, C.; Liljenberg, B. Ridge preservation with the use of deproteinized bovine bone mineral. Clin. Oral Implants Res. 2014, 25, 786–790. [Google Scholar] [CrossRef] [PubMed]
- Traini, T.; Valentini, P.; Iezzi, G.; Piattelli, A. A histologic and histomorphometric evaluation of anorganic bovine bone retrieved 9 years after a sinus augmentation procedure. J. Periodontol. 2007, 78, 955–961. [Google Scholar] [CrossRef] [PubMed]
- Barreiro, B.O.B.; Koth, V.S.; Sesterheim, P.; Salum, F.G.; Rübensam, G.; Augustin, A.H.; Cherubini, K. Autogenous dentin combined with mesenchymal stromal cells as an alternative alveolar bone graft: An in vivo study. Clin. Oral Investig. 2023, 27, 1907–1922. [Google Scholar] [CrossRef]
- Florencio-Silva, R.; Sasso, G.R.D.S.; Sasso-Cerri, E.; Simões, M.J.; Cerri, P.S. Biology of bone tissue: Structure, function, and factors that influence bone cells. Biomed. Res. Int. 2015, 2015, 421746. [Google Scholar] [CrossRef]
- Asakura, T.; Diep, T.T.T.; Ueda, Y.; Yamada, A.; Tsuzuno, T.; Takahashi, N.; Miyata, M.; Tabeta, K.; Nagata, M.; Matsuda, K. Analysis of the effect of human type i collagen-derived peptide on bone regenerative capacity and comparison with various collagen materials in vivo. Medicina 2025, 61, 57. [Google Scholar] [CrossRef] [PubMed]





| Group | N | Min (%) | Max (%) | Mean | SD | Median |
|---|---|---|---|---|---|---|
| Dentin | 10 | 65.00 | 99.80 | 81.93 | 9.65 | 81.80 |
| Dentin-MSC | 10 | 82.00 | 100.99 | 92.88 | 6.09 | 93.00 |
| Kontrol | 8 | 59.20 | 92.00 | 74.40 | 9.33 | 72.50 |
| Xeno | 10 | 52.30 | 95.00 | 77.03 | 11.26 | 79.65 |
| Xeno-MSC | 9 | 62.50 | 100.00 | 85.08 | 11.70 | 85.30 |
| Groups | Test Statistics | Std. Error | Std. Test Statistics | p | Adjusted p |
|---|---|---|---|---|---|
| Control–Xenograft | −4.46 | 6.50 | −0.68 | 0.49 | 1.00 |
| Control–Dentin Graft | 9.51 | 6.50 | 1.46 | 0.14 | 1.00 |
| Control–Xenograft and MSC | −14.09 | 6.65 | −2.11 | 0.03 | 0.34 |
| Control–Dentin Graft and MSC | 24.16 | 6.50 | 3.71 | 0.00 | 0.002 |
| Xenograft–Dentin Graft | 5.05 | 6.12 | 0.82 | 0.41 | 1.000 |
| Xenograft–Xenograft and MSC | −9.62 | 6.29 | −1.52 | 0.12 | 1.000 |
| Xenograft–Dentin Graft and MSC | 19.70 | 6.12 | 3.21 | 0.00 | 0.013 |
| Dentin Graft–Xenograft and MSC | −4.57 | 6.29 | −0.72 | 0.46 | 1.000 |
| Dentin Graft–Dentin Graft and MSC | −14.65 | 6.12 | −2.39 | 0.01 | 0.168 |
| Xenograft and MSC–Dentin Graft and MSC | 10.07 | 6.29 | 1.60 | 0.11 | 1.000 |
Disclaimer/Publisher’s Note: The statements, opinions and data contained in all publications are solely those of the individual author(s) and contributor(s) and not of MDPI and/or the editor(s). MDPI and/or the editor(s) disclaim responsibility for any injury to people or property resulting from any ideas, methods, instructions or products referred to in the content. |
© 2025 by the authors. Licensee MDPI, Basel, Switzerland. This article is an open access article distributed under the terms and conditions of the Creative Commons Attribution (CC BY) license (https://creativecommons.org/licenses/by/4.0/).
Share and Cite
Ertem, S.Y.; Bekar, H.T. Assessment of the Efficacy of Dentin Graft and Xenograft in Bone Regeneration and the Enhancing Effect of Mesenchymal Stem Cells. Appl. Sci. 2025, 15, 11511. https://doi.org/10.3390/app152111511
Ertem SY, Bekar HT. Assessment of the Efficacy of Dentin Graft and Xenograft in Bone Regeneration and the Enhancing Effect of Mesenchymal Stem Cells. Applied Sciences. 2025; 15(21):11511. https://doi.org/10.3390/app152111511
Chicago/Turabian StyleErtem, Sinan Yasin, and Huseyin Tutku Bekar. 2025. "Assessment of the Efficacy of Dentin Graft and Xenograft in Bone Regeneration and the Enhancing Effect of Mesenchymal Stem Cells" Applied Sciences 15, no. 21: 11511. https://doi.org/10.3390/app152111511
APA StyleErtem, S. Y., & Bekar, H. T. (2025). Assessment of the Efficacy of Dentin Graft and Xenograft in Bone Regeneration and the Enhancing Effect of Mesenchymal Stem Cells. Applied Sciences, 15(21), 11511. https://doi.org/10.3390/app152111511

