Speckle Noise Removal in OCT Images via Wavelet Transform and DnCNN
Abstract
1. Introduction
2. Materials and Methods
2.1. Wavelet Transform
2.1.1. Discrete Wavelet Transform
2.1.2. Stationary Wavelet Transform
2.2. Denoising Convolutional Neural Network
2.3. Correlation Function
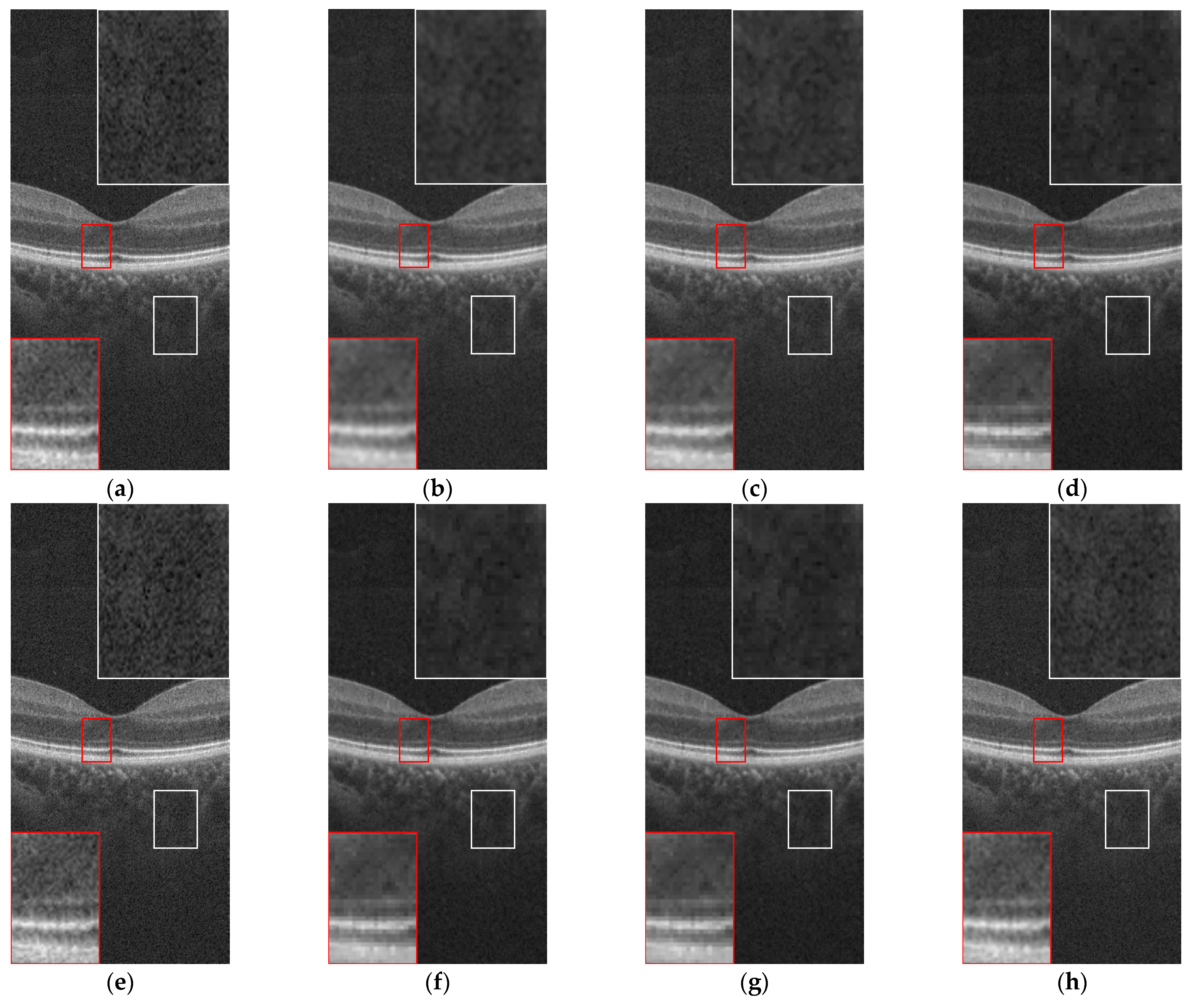
3. Results
3.1. Evaluation
3.2. OCT Image Denoising
4. Discussion
5. Conclusions
Author Contributions
Funding
Data Availability Statement
Acknowledgments
Conflicts of Interest
References
- Huang, D.; Swanson, E.A.; Lin, C.P.; Schuman, J.S.; Stinson, W.G.; Chang, W.; Hee, M.R.; Flotte, T.; Gregory, K.; Puliafito, C.A. Optical coherence tomography. Science 1991, 254, 1178–1181. [Google Scholar] [CrossRef] [PubMed]
 - Cameron, A.; Lui, D.; Boroomand, A.; Glaister, J.; Wong, A.; Bizheva, K. Stochastic speckle noise compensation in optical coherence tomography using non-stationary spline-based speckle noise modelling. Biomed. Opt. Express 2013, 4, 1769–1785. [Google Scholar] [CrossRef] [PubMed][Green Version]
 - Tebini, S.; Seddik, H.; Ben Braiek, E. An advanced and adaptive mathematical function for an efficient anisotropic image filtering. Comput. Math. Appl. 2016, 72, 1369–1385. [Google Scholar] [CrossRef]
 - Chen, Y.; Yamanaka, M.; Nishizawa, N. Speckle-Reduced Optical Coherence Tomography Using a Tunable Quasi-Supercontinuum Source. Photonics 2023, 10, 1338. [Google Scholar] [CrossRef]
 - Fang, Y.; Shao, X.; Liu, B.; Lv, H. Optical coherence tomography image despeckling based on tensor singular value decomposition and fractional edge detection. Heliyon 2023, 9, e17735. [Google Scholar] [CrossRef]
 - Proskurin, S.G. Raster scanning and averaging for reducing the influence of speckles in optical coherence tomography. Quantum Electron. 2012, 42, 495–499. [Google Scholar] [CrossRef]
 - Duan, L.; Lee, H.Y.; Lee, G.; Agrawal, M.; Smith, G.T.; Ellerbee, A.K. Single-shot speckle noise reduction by interleaved optical coherence tomography. J. Biomed. Opt. 2014, 19, 120501. [Google Scholar] [CrossRef] [PubMed]
 - Li, S.; Azam, M.A.; Gunalan, A.; Mattos, L.S. One-Step Enhancer: Deblurring and Denoising of OCT Images. Appl. Sci. 2022, 12, 10092. [Google Scholar] [CrossRef]
 - Ozcan, A.; Bilenca, A.; Desjardins, A.E.; Bouma, B.E.; Tearney, G.J. Speckle reduction in optical coherence tomography images using digital filtering. J. Opt. Soc. Am. A-Opt. Image Sci. Vis. 2007, 24, 1901–1910. [Google Scholar] [CrossRef]
 - Yang, L.; Lu, J.; Dai, M.; Ren, L.J.; Liu, W.Z.; Li, Z.Z.; Gong, X.H. Speckle noise removal applied to ultrasound image of carotid artery based on total least squares model. J. X-Ray Sci. Technol. 2016, 24, 749–760. [Google Scholar] [CrossRef]
 - Wang, Y.; Liang, Y.; Wang, J.; Zhang, S. Image improvement in the wavelet domain for optical coherence tomograms. J. Innov. Opt. Health Sci. 2011, 4, 73–78. [Google Scholar] [CrossRef]
 - Chitchian, S.; Fiddy, M.A.; Fried, N.M. Denoising during optical coherence tomography of the prostate nerves via wavelet shrinkage using dual-tree complex wavelet transform. J. Biomed. Opt. 2009, 14, 014031. [Google Scholar] [CrossRef] [PubMed]
 - Ismael, A.A.; Baykara, M. Image Denoising Based on Implementing Threshold Techniques in Multi-Resolution Wavelet Domain and Spatial Domain Filters. Trait. Du Signal 2022, 39, 1119–1131. [Google Scholar] [CrossRef]
 - Zaki, F.; Wang, Y.; Su, H.; Yuan, X.; Liu, X. Noise adaptive wavelet thresholding for speckle noise removal in optical coherence tomography. Biomed. Opt. Express 2017, 8, 2720–2731. [Google Scholar] [CrossRef]
 - Cao, J.; Wang, P.; Wu, B.; Shi, G.; Zhang, Y.; Li, X.; Zhang, Y.; Liu, Y. Improved wavelet hierarchical threshold filter method for optical coherence tomography image de-noising. J. Innov. Opt. Health Sci. 2018, 11, 1850012. [Google Scholar] [CrossRef]
 - Subhedar, J.; Urooj, S.; Mahajan, A. Retinal Optical Coherence Tomography Image Denoising Using Modified Soft Thresholding Wavelet Transform. Trait. Du Signal 2023, 40, 1179–1185. [Google Scholar] [CrossRef]
 - Duan, L.; Cai, J.; Wang, L.; Shi, Y. Research on Seismic Signal Denoising Model Based on DnCNN Network. Appl. Sci. 2025, 15, 2083. [Google Scholar] [CrossRef]
 - Ran, A.R.; Tham, C.C.; Chan, P.P.; Cheng, C.Y.; Tham, Y.C.; Rim, T.H.; Cheung, C.Y. Deep learning in glaucoma with optical coherence tomography: A review. Eye 2021, 35, 188–201. [Google Scholar] [CrossRef]
 - Bogacki, P.; Dziech, A. Effective Deep Learning Approach to Denoise Optical Coherence Tomography Images Using BM3D-Based Preprocessing of the Training Data Including Both Healthy and Pathological Cases. IEEE Access 2023, 11, 65395–65406. [Google Scholar] [CrossRef]
 - Lee, W.; Nam, H.S.; Seok, J.Y.; Oh, W.Y.; Kim, J.W.; Yoo, H. Deep learning-based image enhancement in optical coherence tomography by exploiting interference fringe. Commun. Biol. 2023, 6, 464. [Google Scholar] [CrossRef]
 - Devalla, S.K.; Subramanian, G.; Pham, T.H.; Wang, X.; Perera, S.; Tun, T.A.; Aung, T.; Schmetterer, L.; Thiéry, A.H.; Girard, M.J. A Deep Learning Approach to Denoise Optical Coherence Tomography Images of the Optic Nerve Head. Sci. Rep. 2019, 9, 14454. [Google Scholar] [CrossRef]
 - Chen, Z.; Zeng, Z.; Shen, H.; Zheng, X.; Dai, P.; Ouyang, P. DN-GAN: Denoising generative adversarial networks for speckle noise reduction in optical coherence tomography images. Biomed. Signal Process. Control 2020, 55, 101632. [Google Scholar] [CrossRef]
 - Idress, W.M.; Zhao, Y.; Abouda, K.A.; Yang, S. DRDA-Net: Deep Residual Dual-Attention Network with Multi-Scale Approach for Enhancing Liver and Tumor Segmentation from CT Images. Appl. Sci. 2025, 15, 2311. [Google Scholar] [CrossRef]
 - Hu, Y.; Ren, J.; Yang, J.; Bai, R.; Liu, J. Noise reduction by adaptive-SIN filtering for retinal OCT images. Sci. Rep. 2021, 11, 19498. [Google Scholar] [CrossRef]
 - Song, D.; Liu, Y.; Lin, X.; Liu, J.; Tan, J. Research and Comparison of OCT Image Speckle Denoising Algorithm. In Proceedings of the 2019 IEEE 8th Joint International Information Technology and Artificial Intelligence Conference (ITAIC), Chongqing, China, 24–26 May 2019; pp. 1554–1558. [Google Scholar]
 - Agrawal, H.; Desai, K. Canny edge detection: A comprehensive review. Int. J. Tech. Res. Sci. 2024, 9, 27–35. [Google Scholar] [CrossRef]
 - Wang, L.; Sun, Y. Improved Canny edge detection algorithm. In Proceedings of the 2021 2nd International Conference on Computer Science and Management Technology (ICCSMT), Shanghai, China, 12–14 November 2021; pp. 414–417. [Google Scholar]
 








| Methods | MSE | PSNR (db) | SSIM | 
|---|---|---|---|
| Mean | 33.8135 ± 0.48 | 40.4853 ± 1.32 | 0.5146 ± 0.095 | 
| Median | 27.8253 ± 0.54 | 40.9086 ± 0.98 | 0.4918 ± 0.089 | 
| Isotropic | 25.6421 ± 0.38 | 41.0860 ± 1.41 | 0.5433 ± 0.054 | 
| Anisotropic | 25.3058 ± 0.41 | 41.1147 ± 0.98 | 0.8308 ± 0.045 | 
| NLM | 24.0658 ± 0.65 | 41.2238 ± 1.84 | 0.8107 ± 0.153 | 
| DnCNN | 15.8561 ± 0.22 | 42.1298 ± 1.35 | 0.9102 ± 0.112 | 
| Our Proposed | 4.9052 ± 0.32 | 44.8603 ± 1.12 | 0.9514 ± 0.068 | 
Disclaimer/Publisher’s Note: The statements, opinions and data contained in all publications are solely those of the individual author(s) and contributor(s) and not of MDPI and/or the editor(s). MDPI and/or the editor(s) disclaim responsibility for any injury to people or property resulting from any ideas, methods, instructions or products referred to in the content.  | 
© 2025 by the authors. Licensee MDPI, Basel, Switzerland. This article is an open access article distributed under the terms and conditions of the Creative Commons Attribution (CC BY) license (https://creativecommons.org/licenses/by/4.0/).
Share and Cite
Li, F.; Wu, Q.; Jia, B.; Yang, Z. Speckle Noise Removal in OCT Images via Wavelet Transform and DnCNN. Appl. Sci. 2025, 15, 6557. https://doi.org/10.3390/app15126557
Li F, Wu Q, Jia B, Yang Z. Speckle Noise Removal in OCT Images via Wavelet Transform and DnCNN. Applied Sciences. 2025; 15(12):6557. https://doi.org/10.3390/app15126557
Chicago/Turabian StyleLi, Fangfang, Qizhou Wu, Bei Jia, and Zhicheng Yang. 2025. "Speckle Noise Removal in OCT Images via Wavelet Transform and DnCNN" Applied Sciences 15, no. 12: 6557. https://doi.org/10.3390/app15126557
APA StyleLi, F., Wu, Q., Jia, B., & Yang, Z. (2025). Speckle Noise Removal in OCT Images via Wavelet Transform and DnCNN. Applied Sciences, 15(12), 6557. https://doi.org/10.3390/app15126557
        