Next Article in Journal
Dual Partial Reversible Data Hiding Using Enhanced Hamming Code
Next Article in Special Issue
Evaluation of Dental Trauma Splints in Early Permanent Dentition Through Finite Element Analysis
Previous Article in Journal
Pedestrian Perceived Risk of Construction Obstructions and Barriers Identified via Image Segmentation
Previous Article in Special Issue
Innovations in Bioactive Materials for Dental Pulp Vitality Preservation in Children and Adolescents
 
 
Font Type:
Arial Georgia Verdana
Font Size:
Aa Aa Aa
Line Spacing:
Column Width:
Background:
Article

Comparison of the Efficacy of Elastodontic Devices and Aligners in Dentoalveolar Transverse Expansion: A Randomized Open Label Clinical Trial

1
Division of TMD and Orofacial Pain, Department of Clinical Medicine, Public Health, Life Sciences and the Environment, University of L’Aquila, 67100 L’Aquila, Italy
2
Independent Researcher, 38023 Cles, Italy
3
Department of Physical and Chemical Sciences, Universiity of L’Aquila, 67100 L’Aquila, Italy
*
Author to whom correspondence should be addressed.
Appl. Sci. 2025, 15(10), 5263; https://doi.org/10.3390/app15105263
Submission received: 5 April 2025 / Revised: 5 May 2025 / Accepted: 7 May 2025 / Published: 8 May 2025
(This article belongs to the Special Issue Recent Advances in Pediatric Orthodontics and Pediatric Dentistry)

Abstract

Background: A transverse discrepancy refers to a dimensional difference in the transverse component of the upper and lower dental arches with functional and esthetic implications. The main purpose of this study is to compare the effectiveness of transverse expansion movement of dentoalveolar nature performed by two innovative orthodontic appliances: elastodontic devices and clear aligners. Specifically, it is intended to determine which of the two methods is more effective in terms of dentoalveolar expansion in a sample of children with mixed dentition. Methods: In total, 29 patients aged 6 to 13 years with mixed dentition were included in the present study and divided into two groups according to a case–control scheme. Of the subjects, 15 (8 females and 7 males) represented the test group and were treated with Eptamed elastodontic devices, while the control group, consisting of 14 patients (12 females and 2 males), received a Spark aligner. The efficacy of the devices was evaluated by comparing cross-sectional measurements of the arch scans at time T0 (before the start of treatment), T1 (6 months after the start of treatment) and T2 (one year after the start of treatment) by measurement in mm of the distance between the palatal cusps of the first upper premolar (if missing, of the corresponding deciduous molar). Statistical analysis was conducted using a nonparametric approach with the Wilcoxon signed-rank test. Statistical significance was set at p < 0.05. The data resulting from the measurements were expressed as the mean (standard deviation). Results: No statistically significant difference was observed between the two groups at either T0 (p = 0.3), T1 (p = 0.78), or T2 (p = 0.66), thus allowing the conclusion that both treatment modalities are comparable. Conclusions: Both elastodontics and clear aligners proved to be effective devices in the treatment of transverse discrepancies of a dentoalveolar nature. Elastodontics also plays a crucial role in the rebalancing of stomatognathic and extrastomatognathic functions.

1. Introduction

Transverse discrepancy refers to a condition characterized by a disparity in the transverse dimensions between the upper and lower dental arches. This anomaly significantly impacts the alignment of the dental arches and is of particular concern in growing patients. Early interceptive treatment is essential to minimize the need for more invasive procedures in adulthood. Recent studies emphasize the importance of addressing this malocclusion during childhood, as it typically worsens with the development of permanent dentition [1].
A study conducted in 2017 at the Universidad Nacional Mayor de San Marcos [2] involved 155 children aged 6 to 12 years. Of these, 71% exhibited some form of malocclusion, including a transverse deficiency in the upper jaw. This condition is one of the most prevalent orthognathic anomalies and is often associated with unilateral or bilateral posterior crossbite, upper jaw crowding, or other malocclusions. Transverse deficiency of the upper jaw is prevalent during the early deciduous and mixed dentition stages, with an estimated prevalence of 8% to 20% in the pediatric population [2,3,4].
The causes of transverse discrepancies are multifactorial, involving a complex interaction of genetic, environmental, sexual, and acquired factors that influence the child’s growth and development. Genetics plays a key role in intra-arch development, determining the final position of teeth in both the upper and lower arches. The curvature of the dental arch, the maxillary intercanine and intermolar widths, and the eruption path of teeth are influenced by genetic factors, but external factors can also affect them [5].
Males typically exhibit a wider posterior arch width, which is a result of differences in the growth rates of the skull and facial bones. Environmental influences, as proposed by Melvin Moss’s theory, are equally significant. According to this theory, craniofacial growth is influenced not only by genetics, but also by functional factors such as muscle activity and nasopharyngeal functions. Consequently, oral habits like thumb sucking, atypical swallowing, and mouth breathing are major contributors to the development of dental arch abnormalities. Acquired factors, such as trauma (prenatal, perinatal) or premature loss of deciduous teeth, can also disrupt the eruption of permanent teeth and interfere with arch alignment [6].
Assessing the specific characteristics of the transverse discrepancy and any associated malocclusions is essential for therapeutic planning. Correcting transverse discrepancies is a primary goal in many orthodontic treatment protocols. These discrepancies are frequently linked with posterior crossbite, class II and III malocclusions, dental crowding, and open bite. If the condition involves the basal structure of the arches, it is referred to as a skeletal discrepancy [7].
If the basal structure is not involved, the discrepancy is classified as dentoalveolar. In this case, the arches misalign at the tooth level due to anomalies in the eruption sequence, which leads to palatal tilting of the alveolar processes and incorrect angulation of the upper teeth. These misalignments usually do not exceed 4 to 5 mm and can often be corrected with orthodontic treatment in children aged 6 to 12 years.
In recent years, introducing innovative devices such as balancers and aligners has marked a significant advancement in treating transverse discrepancies. Balancers, removable silicone devices, are commonly used due to their elasticity and durability, providing both dental and orthopedic benefits. These devices help to align teeth and address various malocclusions. The primary goal of Eptamed is to restore stomatognathic functions, such as swallowing and breathing, while also addressing maladaptive oral habits [8].
Aligners, on the other hand, offer aesthetic benefits, reducing the typical emergencies associated with fixed appliances, such as soft tissue injuries. They also promote better oral hygiene by allowing removal during meals and cleaning. Concerns about younger patients’ cooperation with these devices have been alleviated through the introduction of digital technologies, which transform them from passive appliances to active tools in the treatment process.
The objective of this study is to evaluate two methods, which are both innovative and widely used in current orthodontics. Specifically, the study compares the efficacy of EQ Series CP balancers (Eptamed, Via Ravennate, 979, 47522 Cesena, Italy) and Spark (ORMCO Corporate Headquarters, 200 S. Kramer Blvd, Brea, CA 92821, USA) aligners in treating transverse dentoalveolar discrepancies. The primary objective is to analyze the distance (in millimeters) between the palatal cusps of the upper first premolars, or in their absence, the corresponding deciduous molars, at three time points: pre-treatment, after 6 months, and the 1-year follow-up.

2. Materials and Methods

This retrospective study was conducted following the ethical principles outlined in the Declaration of Helsinki. It received approval from the Ethics Committee of the University of L’Aquila, Italy (reference 57/2021-22) on 21 December 2021. A total of 120 patients, aged 6 to 13 years, were examined at the Dental Clinic of the University of L’Aquila. The sampling in our study was based on convenience, and no formal sample size calculation was conducted. As the study was observational in nature, the sample size was determined by the availability of willing participants during the study period. The study was registered on clinicaltrials.gov. All evaluations were performed by a single physician. Diagnostic assessments included extraoral and intraoral photographs, orthopantomography, lateral teleradiography, and intraoral scans of the dental arches. Following the case study, an individualized treatment plan was developed by the same orthodontist, based on the Indices of Orthodontic Treatment Need (IOTN) as described by Brook and Shaw [9]. The transverse discrepancy was assessed by measuring the distance (in mm) between the palatal cusps of the upper first premolars, or if absent, between the palatal cusps of the corresponding deciduous molars.
The Inclusion Criteria were:
  • Skeletal class I relationship
  • Molar class I relationship
  • Presence of unilateral or bilateral crossbite (falling within grade 3 IOTN index)
  • Healthy periodontal status, with no signs of periodontitis or severe gingivitis
  • Systemically healthy patients, without serious general diseases or contraindications for orthodontic treatment.
The Exclusion Criteria included:
  • Previous orthodontic treatment
  • Lack of written informed consent from a parent or legal guardian.
As shown in Figure 1, of the 120 patients initially enrolled, 91 were excluded because they did not meet the inclusion criteria or did not provide consent. Ultimately, 29 patients were eligible and were randomly assigned to two groups using online randomization software (https://www.sealedenvelope.com/ (accessed on 26 April 2025) Sealed Envelope Ltd. Suite 2a, 7th Floor—Pf City Reach, 5 Greenwich View Place, London E14 9NN, UK. VAT number GB788228971).
The case group, consisting of 15 patients (7 males, 8 females) with an average age of 10 ± 1.69 years, was treated with the Eptamed Equilibrator. The control group, consisting of 14 patients (2 males, 12 females) with an average age of 10.214 ± 1.369 years, was treated with Spark clear aligners. The transverse dimension of the arch, measured by the distance (in mm) between the palatal cusps of the upper first premolars or, if absent, the corresponding deciduous molars, was assessed using orthodontic software. Measurements were taken at baseline (T0), 6 months after the start of therapy (T1), and 1-year post-treatment (T2) by the same orthodontist.
Participants were instructed to wear the removable devices as much as possible throughout the day and night, maintain oral hygiene, and adhere to the treatment plan, including timely mask changes and regular check-ups.
Statistical analysis was conducted using a nonparametric approach, applying the Mann–Whitney U test to maintain conservativeness. Statistical significance was set at p < 0.05. The results of the measurements are expressed as mean (SD). The null hypothesis posits that there are no statistically significant differences between the two treatment groups.

3. Experimental Settings

Patients in the experimental group were treated with the Eptamed Equilibrator (00 series), an orange elastodontic device of medium hardness (Figure 2), tailored to the individual dental arches, as illustrated in Figure 2. This device, designed in the shape of a mouthguard, covers both the upper and lower arches, extending to the most distal molars. Various sizes of the device are available, allowing for adaptation to the patient’s arch dimensions, which are measured by the distance between the palatal cusps of the upper first premolars, or, in their absence, the corresponding deciduous molars. The device operates via bite activation, producing soft elastic forces during muscle contraction.
The Eptamed Equilibrator is a removable functional appliance that leverages tooth repositioning guides and elasticity to restore balanced oral functions. It repositions the teeth by transmitting corrective forces that encourage proper alignment along the arches. This appliance eliminates the need for traditional fixed braces, offering a flexible, aesthetically pleasing solution that can be removed at any time, primarily for nighttime use. Its design and material properties allow it to rebalance the temporomandibular joint, offering significant aesthetic and postural benefits [8].
The balancer is worn overnight, utilizing the lingual rest mechanism at the palate’s expansion point. This device encourages growth by stimulating tissue development through muscle movement, which contributes to proper chewing function. The biting action of the elastomeric material generates forces that balance tension at the sphenobasilar synchondrosis, following osteopathic principles. Its mechanism operates through varying material elasticity, applying force in a three-dimensional manner to adjust the oral cavity. The device includes upper and lower channels to accommodate and guide the teeth into their correct positions within the arch.
Additionally, the device incorporates a lingual ramp or internal slide that stimulates tongue placement on the palate. This feature enhances the transverse diameters of the upper arch, promotes nasal breathing, relaxes orofacial and fascial muscles, and harmonizes phonation. Patients were instructed to wear the device overnight and attend monthly follow-up visits for evaluation and adjustment if necessary.
The control group was treated with Spark clear aligners for both the upper and lower arches. Aligners were changed weekly throughout the treatment period. Patients in this group were instructed to wear the aligners continuously, removing them only during meals.
Both groups were monitored after 6 months and again after 1 year of treatment. The effectiveness of the dentoalveolar expansion was evaluated by measuring the distance (in mm) between the palatal cusps of the upper first premolars, or, if absent, the corresponding deciduous molars, using a digital caliper. All measurements were conducted by the same operator to maintain consistency.
All patients adhered to the treatment protocol, and none refused treatment. Some patients required fixed orthodontic therapy for minor final adjustments in alignment after the completion of the treatment.

4. Results

As previously reported in Figure 1, a total of 29 participants completed the study. There were no losses during follow-up, as all enrolled participants attended the scheduled follow-up appointments and were included in the final analysis. As shown in Table 1, there is no statistical difference in the values of the groups related to sex or age at all stages (sex p = 0.060; age p = 0.389). Comparisons regarding sex distribution between groups were performed using the Chi-square test. Statistical analysis showed no significant differences between the two treatment groups at any of the time points (T0, T1, or T2). As detailed in Table 2 and depicted in Figure 3, both treatment modalities demonstrated similar effectiveness in addressing dentoalveolar transverse discrepancies. The comparison at T1 (p = 0.78) and T2 (p = 0.66) indicated no statistically significant variation in outcomes between the Eptamed Balancer and Spark clear aligners. In addition, a within-group comparison over time was performed, as detailed in Figure 3. These results suggest that both treatments are equally effective in improving transverse arch alignment over time.
The data analysis was conducted using appropriate statistical methods to ensure the robustness of the results. Graphical representations further support the findings, showing parallel trends in both groups throughout the study period. This indicates that, despite the different treatment approaches, both devices produced comparable improvements in the dentoalveolar parameters measured.

5. Discussion

The results of this study suggest that both the use of Eptamed equilibrators and Spark clear aligners are equally effective in the treatment of dentoalveolar transverse discrepancies, with no significant differences observed between the two devices. The data showed no substantial variations in efficacy or treatment duration (T0, T1, T2), reinforcing the therapeutic validity of both devices in the context of upper arch expansion.
Currently, the literature provides limited studies exploring the efficacy of elastodontic devices and clear aligners specifically for the treatment of dentoalveolar transverse discrepancies. Most studies focus on either the isolated use of one of these technologies or compare one of these with traditional methods, such as the Hass or Hyrax expander [7,10]. Moreover, no studies have directly compared the efficacy of elastodontic devices and clear aligners in terms of their impact on transverse arch development. To the best of our knowledge, this study is among the first to compare these two therapeutic approaches directly.
Several other studies in the literature have examined the use of Eptamed equilibrators and Spark aligners for treating different malocclusions, reporting results similar to those found in our study. Similarly, Ortu et al. [8] Lo Giudice et al. [11], and Fichera et al. [12] assessed dental changes, focusing on improvements in molar relationships, overjet, and overbite with the use of these devices in samples of 60 patients aged 7 to 15 years, 36 patients aged 6 to 10 years and 40 patients with a mean age of 8 years, respectively.
Another research [13] examined the effects of elastodontic devices in the treatment of FPBX in growing patients, which focuses on transverse maxillary expansion. The treatment group (TG) included 25 subjects (mean age 7.3 ± 0.9 years), while the control group (CG) consisted of 14 untreated subjects (mean age 6.8 ± 0.7 years). This study demonstrated that the elastodontic appliance significantly increased the transverse dimension of the maxillary arch, with improvements observed both at the alveolar and basal levels.
On the other hand, several authors have observed that clear aligners, due to their aesthetic features and improved comfort, are particularly suitable for younger patients, facilitating better treatment adherence [14]. Aligners are also preferred for mild malocclusions and less invasive treatments, as their effectiveness is greater when applied to minor dental disorders. In contrast, elastodontic devices, with their capacity to directly influence skeletal growth and transverse arch expansion, are suitable for treating more complex malocclusions, offering a multidimensional intervention that not only aligns the teeth, but also impacts functional and postural balance [15]. Several studies [16,17,18,19] have examined the expansion capacity of dental aligners, with results showing that transverse expansion is achievable, though more limited, primarily due to tooth inclination movements, which were most effective in the premolar area. This type of dental movement allows for more precise alignment and symmetry improvements but does not involve true skeletal expansion. Despite the similarities in results, a larger number of prospective clinical studies would be desirable to confirm these findings and evaluate the practical aspects of treatment, such as overall duration, patient acceptance, and long-term effects. Additionally, expanding the sample size would help to generate more generalizable results, a better understanding of the differences between devices, and identify factors that may influence the choice between aligners and elastodontic devices.
Both elastodontic devices and clear aligners are removable appliances, and thus, their effectiveness and overall treatment duration depend significantly on patient compliance. High levels of cooperation are required, as the success of treatment is closely linked to the regular and proper use of the device according to the orthodontist’s instructions. Non-compliant patients may fail to wear the device for the prescribed amount of time, compromising the treatment’s efficacy. The use of digital technology for treatment planning and impression-taking allows for personalized treatment, enhancing clinical outcomes and patient satisfaction [18]. Given these limitations, the orthodontist must conduct a comprehensive evaluation before recommending such therapies, providing appropriate counseling on realistic treatment expectations and potential alternatives.
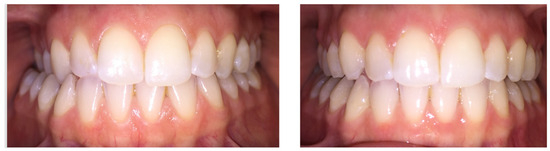
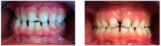
From the perspective of dentoalveolar transverse expansion, elastodontic devices have shown greater efficacy, particularly in actively growing patients, in enhancing the transverse dimension of the maxillary arch while minimizing the potential negative effects of expansion (Figure 4). Clear aligners, while offering numerous aesthetic and comfort advantages, have been less effective in directly influencing skeletal growth, being limited to dental movements rather than skeletal changes (Figure 5).
However, both devices have demonstrated a valid capacity for dental alignment and improving dental architecture, yielding similar results in terms of aesthetic and functional occlusal improvements. No statistically significant differences were observed in the overall improvement of transverse discrepancies [20,21] between the two treatments, suggesting that, despite the different mechanisms of action, both may be beneficial for cases of minor or moderate dental discrepancies.
In conclusion, while both therapeutic options have demonstrated efficacy in the treatment of dentoalveolar transverse discrepancies, the choice between elastodontic devices and clear aligners should be guided by specific clinical needs, patient preferences, and the therapeutic context. Treatment customization, patient compliance, and consideration of economic factors are key determinants for the long-term success of any orthodontic approach.
However, the results of this study should be interpreted with caution. As a pilot study, it has several limitations. The sample size is relatively small; increasing the sample size would strengthen the findings. Furthermore, the follow-up period was limited to one year from the start of treatment. A longer follow-up period would provide more insight into the long-term effects. Future studies with a larger, more homogeneous cohort and extended follow-up are necessary to further validate these findings.

6. Conclusions

In conclusion, the findings of this study demonstrate that both the Eptamed elastodontic device and clear aligners are effective in pediatric orthodontic treatment for dentoalveolar expansion. Statistical analysis revealed no significant differences between the two devices, suggesting that the choice of treatment should be guided by the specific clinical characteristics and individual preferences of the patient. Both devices proved to be valuable and beneficial in different therapeutic contexts, confirming their versatility and ability to effectively address the orthodontic treatment needs in the pediatric population.
The results highlight the potential for both approaches to offer successful outcomes in managing transverse discrepancies in growing patients. Given their unique characteristics, these devices can be tailored to meet the needs of individual patients, with the final choice depending on factors such as the severity of the malocclusion, patient cooperation, and aesthetic considerations. Future studies with larger sample sizes and longer follow-up periods are warranted to further explore the long-term effectiveness and clinical advantages of these treatment options.

Author Contributions

Conceptualization or design of the work, A.M.; Analysis and interpretation of data, D.P.; software, D.P.; validation, E.O., E.G. and D.P; data experimental acquisition, S.C. and M.L.; data curation, D.P.; writing—original draft preparation, E.O., S.C. and M.L.; writing—review and editing, M.A.D. All authors have read and agreed to the published version of the manuscript.

Funding

This research received no external funding.

Institutional Review Board Statement

The study was conducted in accordance with the Declaration of Helsinki and approved by the Institutional Review Board of the University of L’Aquila (prot 3459 del 17 January 2022 approved on 21 December 2021).

Informed Consent Statement

Informed consent was obtained from all subjects involved in the study.

Data Availability Statement

The data that support the findings of this study are available from the corresponding author upon reasonable request.

Conflicts of Interest

Author Samuele Cova was a freelancer. The remaining authors declare that the research was conducted in the absence of any commercial or financial relationships that could be construed as a potential conflict of interest.

References

  1. Loberto, S.; Pavoni, C.; Fanelli, S.; Lugli, L.; Cozza, P.; Lione, R. Predictability of expansion movements performed by clear aligners in mixed dentition in both arches: A retrospective study on digital casts. BMC Oral Health 2024, 24, 694. [Google Scholar] [CrossRef] [PubMed]
  2. Rodríguez-Olivos, L.H.G.; Chacón-Uscamaita, P.R.; Quinto-Argote, A.G.; Pumahualcca, G.; Pérez-Vargas, L.F. Deleterious oral habits related to vertical, transverse and sagittal dental malocclusion in pediatric patients. BMC Oral Health 2022, 22, 88. [Google Scholar] [CrossRef] [PubMed]
  3. Alsawaf, D.H.; Almaasarani, S.G.; Hajeer, M.Y.; Rajeh, N. The effectiveness of the early orthodontic correction of functional unilateral posterior crossbite in the mixed dentition period: A systematic review and meta-analysis. Prog. Orthod. 2022, 23, 5. [Google Scholar] [CrossRef] [PubMed]
  4. Lione, R.; Paoloni, V.; Bartolommei, L.; Gazzani, F.; Meuli, S.; Pavoni, C.; Cozza, P. Maxillary arch development with Invisalign system. Angle Orthod. 2021, 91, 433–440. [Google Scholar] [CrossRef] [PubMed]
  5. Lin, T.-H.; Hughes, T.; Meade, M.J. The genetic and environmental contributions to variation in the permanent dental arch form: A twin study. Eur. J. Orthod. 2023, 45, 868–874. [Google Scholar] [CrossRef]
  6. Sasaki, A.; Takeshita, S.; Publico, A.S.; Moss, M.L.; Tanaka, E.; Ishino, Y.; Watanabe, M.; Tanne, K. Finite element growth analysis for the craniofacial skeleton in patients with cleft lip and palate. Med. Eng. Phys. 2004, 26, 109–118. [Google Scholar] [CrossRef]
  7. Ortu, E.; Pietropaoli, D.; Ortu, M.; Giannoni, M.; Monaco, A. Evaluation of Cervical Posture Following Rapid Maxillary Expansion: A Review of Literature. Open Dent. J. 2014, 8, 20–27. [Google Scholar] [CrossRef][Green Version]
  8. Ortu, E.; Pietropaoli, D.; Cova, S.; Marci, M.C.; Monaco, A. Efficacy of elastodontic devices in overjet and overbite reduction assessed by computer-aid evaluation. BMC Oral Health 2021, 21, 269. [Google Scholar] [CrossRef]
  9. Brook, P.H.; Shaw, W.C. The development of an index of orthodontic treatment priority. Eur. J. Orthod. 1989, 11, 309–320. [Google Scholar] [CrossRef]
  10. Ortu, E.; Di Nicolantonio, S.; Severino, M.; Cova, S.; Pietropaoli, D.; Monaco, A. Effectiveness of elastodontic appliances in the treatment of malocclusions: A review of the literature. Eur. J. Paediatr. Dent. 2024, 25, 57–60. [Google Scholar]
  11. Lo Giudice, A.; Ronsivalle, V.; Santonocito, S.; Lucchese, A.; Venezia, P.; Marzo, G.; Leonardi, R.; Quinzi, V. Digital analysis of the occlusal changes and palatal morphology using elastodontic devices. A prospective clinical study including Class II subjects in mixed dentition. Eur. J. Paediatr. Dent. 2022, 23, 275–280. [Google Scholar]
  12. Fichera, G.; Martina, S.; Palazzo, G.; Musumeci, R.; Leonardi, R.; Isola, G.; Giudice, A.L. New Materials for Orthodontic Interceptive Treatment in Primary to Late Mixed Dentition. A Retrospective Study Using Elastodontic Devices. Materials 2021, 14, 1695. [Google Scholar] [CrossRef] [PubMed]
  13. Lo Giudice, A.; Ronsivalle, V.; Conforte, C.; Marzo, G.; Lucchese, A.; Leonardi, R.; Isola, G. Palatal changes after treatment of functional posterior cross-bite using elastodontic appliances: A 3D imaging study using deviation analysis and surface-to-surface matching technique. BMC Oral Health 2023, 23, 68. [Google Scholar] [CrossRef]
  14. Inchingolo, A.D.; Dipalma, G.; Ferrara, I.; Viapiano, F.; Netti, A.; Ciocia, A.M.; Mancini, A.; Malcangi, G.; Palermo, A.; Inchingolo, A.M.; et al. Clear Aligners in the Growing Patient: A Systematic Review. Children 2024, 11, 385. [Google Scholar] [CrossRef]
  15. Cardarelli, F.; Drago, S.; Rizzi, L.; Bazzani, M.; Pesce, P.; Menini, M.; Migliorati, M. Effects of Removable Functional Appliances on the Dentoalveolar Unit in Growing Patients. Medicina 2024, 60, 746. [Google Scholar] [CrossRef] [PubMed]
  16. Morales-Burruezo, I.; Gandía-Franco, J.-L.; Cobo, J.; Vela-Hernández, A.; Bellot-Arcís, C. Arch expansion with the Invisalign system: Efficacy and predictability. PLoS ONE 2020, 15, e0242979. [Google Scholar] [CrossRef] [PubMed]
  17. Kravitz, N.D.; Kusnoto, B.; BeGole, E.; Obrez, A.; Agran, B. How well does Invisalign work? A prospective clinical study evaluating the efficacy of tooth movement with Invisalign. Am. J. Orthod. Dentofac. Orthop. 2009, 135, 27–35. [Google Scholar] [CrossRef]
  18. Zhou, N.; Guo, J. Efficiency of Upper Arch Expansion with the Invisalign System. Angle Orthod. 2019, 90, 23–30. [Google Scholar] [CrossRef]
  19. Santucci, V.; Rossouw, P.E.; Michelogiannakis, D.; El-Baily, T.; Feng, C. Assessment of Posterior Dentoalveolar Expansion with Invisalign in Adult Patients. Int. J. Environ. Res. Public Health 2023, 20, 4318. [Google Scholar] [CrossRef]
  20. Weir, T. Clear aligners in orthodontic treatment. Aust. Dent. J. 2017, 62 (Suppl. 1), 58–62. [Google Scholar] [CrossRef]
  21. Lynch, N.M.; Shroff, B.; Carrico, C.K.; Sawicki, V.; Sabol, M.; Lindauer, S.J. Clear aligner therapy in the mixed dentition: Indications and practitioner perspectives. Am. J. Orthod. Dentofac. Orthop. 2023, 164, 172–182. [Google Scholar] [CrossRef] [PubMed]
Figure 1. Flow diagram of the progress of the two groups through the phases of this study.
Figure 1. Flow diagram of the progress of the two groups through the phases of this study.
Applsci 15 05263 g001
Figure 2. Eptamed Equilibrator (00 series), orange, medium hardness.
Figure 2. Eptamed Equilibrator (00 series), orange, medium hardness.
Applsci 15 05263 g002
Figure 3. Box plot representing within-group analysis Mann–Whitney U adjusted for multiple comparisons (Bonferroni) was applied.
Figure 3. Box plot representing within-group analysis Mann–Whitney U adjusted for multiple comparisons (Bonferroni) was applied.
Applsci 15 05263 g003
Figure 4. Intra-oral photos before and after treatment in a patient treated with Eptamed device.
Figure 4. Intra-oral photos before and after treatment in a patient treated with Eptamed device.
Applsci 15 05263 g004
Figure 5. Intra-oral photos before and after treatment in a patient treated with Spark aligners.
Figure 5. Intra-oral photos before and after treatment in a patient treated with Spark aligners.
Applsci 15 05263 g005
Table 1. Baseline characteristics of the two groups.
Table 1. Baseline characteristics of the two groups.
Stratified by Treatment
EPTAMED SPARK p
n1514
Sex = M (%)7 (46.7%)2 (14.3%)0.060
Age (mean ± SD)10.6 ± 0.98610.214 ± 1.3690.389
Table 2. Mean and standard deviation (SD) of distance (in mm) between the palatal cusps of the upper first premolars (width) stratified by timing and group.
Table 2. Mean and standard deviation (SD) of distance (in mm) between the palatal cusps of the upper first premolars (width) stratified by timing and group.
T0 T1 T2
EPTAMED (distance (in mm) between the palatal cusps of the upper first premolars (media [SD]))29.13 [1.407]30.206 [1.514]31.44 [1.463]
SPARK (distance (in mm) between the palatal cusps of the upper first premolars (media [SD]))28.61 [1.013]30.01 [0.998]31.60 [0.997]
p values (Mann–Whitney U test)0.30.780.66
Disclaimer/Publisher’s Note: The statements, opinions and data contained in all publications are solely those of the individual author(s) and contributor(s) and not of MDPI and/or the editor(s). MDPI and/or the editor(s) disclaim responsibility for any injury to people or property resulting from any ideas, methods, instructions or products referred to in the content.

Share and Cite

MDPI and ACS Style

Ortu, E.; Lacarbonara, M.; Cova, S.; Gigliozzi, E.; D’Angelo, M.A.; Monaco, A.; Pietropaoli, D. Comparison of the Efficacy of Elastodontic Devices and Aligners in Dentoalveolar Transverse Expansion: A Randomized Open Label Clinical Trial. Appl. Sci. 2025, 15, 5263. https://doi.org/10.3390/app15105263

AMA Style

Ortu E, Lacarbonara M, Cova S, Gigliozzi E, D’Angelo MA, Monaco A, Pietropaoli D. Comparison of the Efficacy of Elastodontic Devices and Aligners in Dentoalveolar Transverse Expansion: A Randomized Open Label Clinical Trial. Applied Sciences. 2025; 15(10):5263. https://doi.org/10.3390/app15105263

Chicago/Turabian Style

Ortu, Eleonora, Mariano Lacarbonara, Samuele Cova, Elena Gigliozzi, Maria Ausilia D’Angelo, Annalisa Monaco, and Davide Pietropaoli. 2025. "Comparison of the Efficacy of Elastodontic Devices and Aligners in Dentoalveolar Transverse Expansion: A Randomized Open Label Clinical Trial" Applied Sciences 15, no. 10: 5263. https://doi.org/10.3390/app15105263

APA Style

Ortu, E., Lacarbonara, M., Cova, S., Gigliozzi, E., D’Angelo, M. A., Monaco, A., & Pietropaoli, D. (2025). Comparison of the Efficacy of Elastodontic Devices and Aligners in Dentoalveolar Transverse Expansion: A Randomized Open Label Clinical Trial. Applied Sciences, 15(10), 5263. https://doi.org/10.3390/app15105263

Note that from the first issue of 2016, this journal uses article numbers instead of page numbers. See further details here.

Article Metrics

Back to TopTop