Thymic Hyperplasia and COVID-19 Pulmonary Sequelae: A Bicentric CT-Based Follow-Up Study
Abstract
1. Introduction
2. Materials and Methods
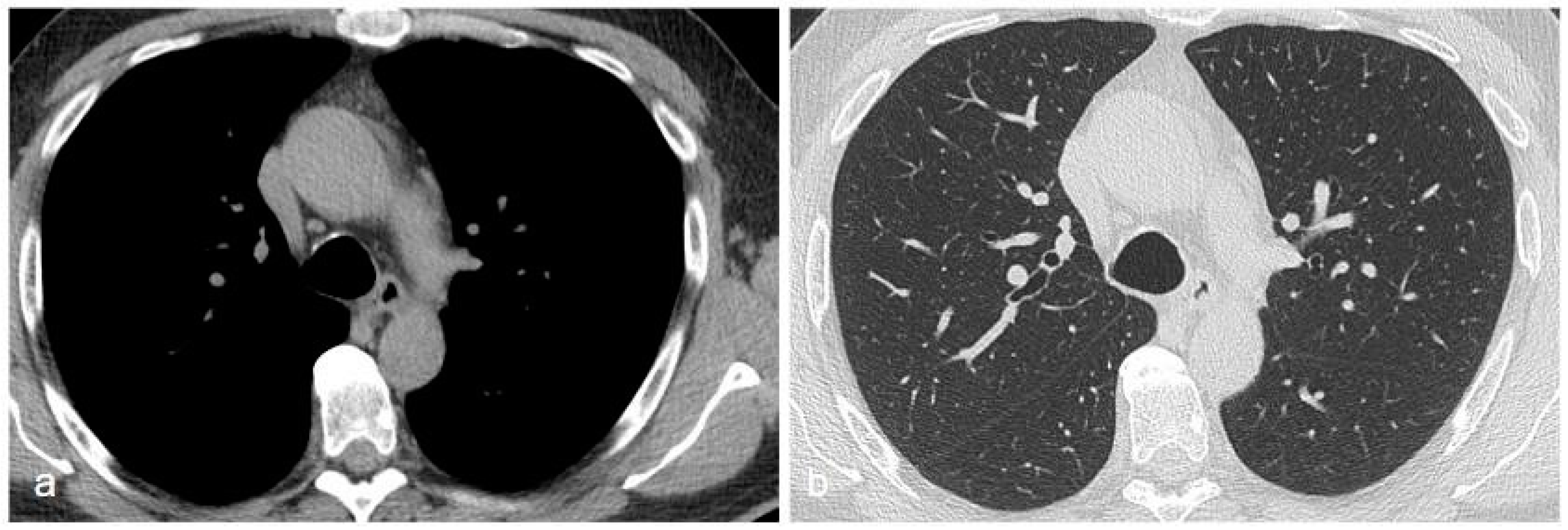
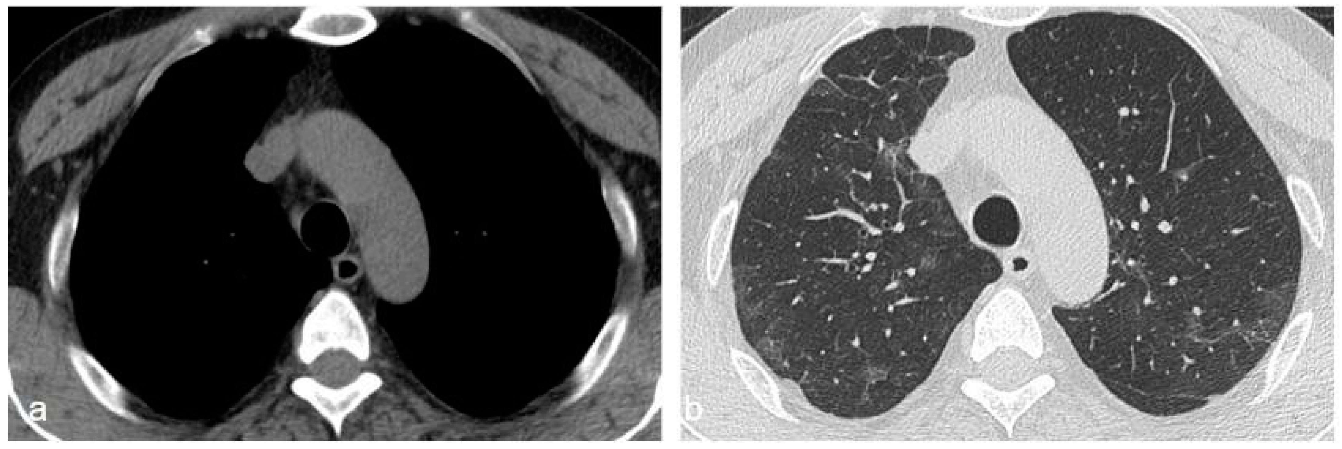
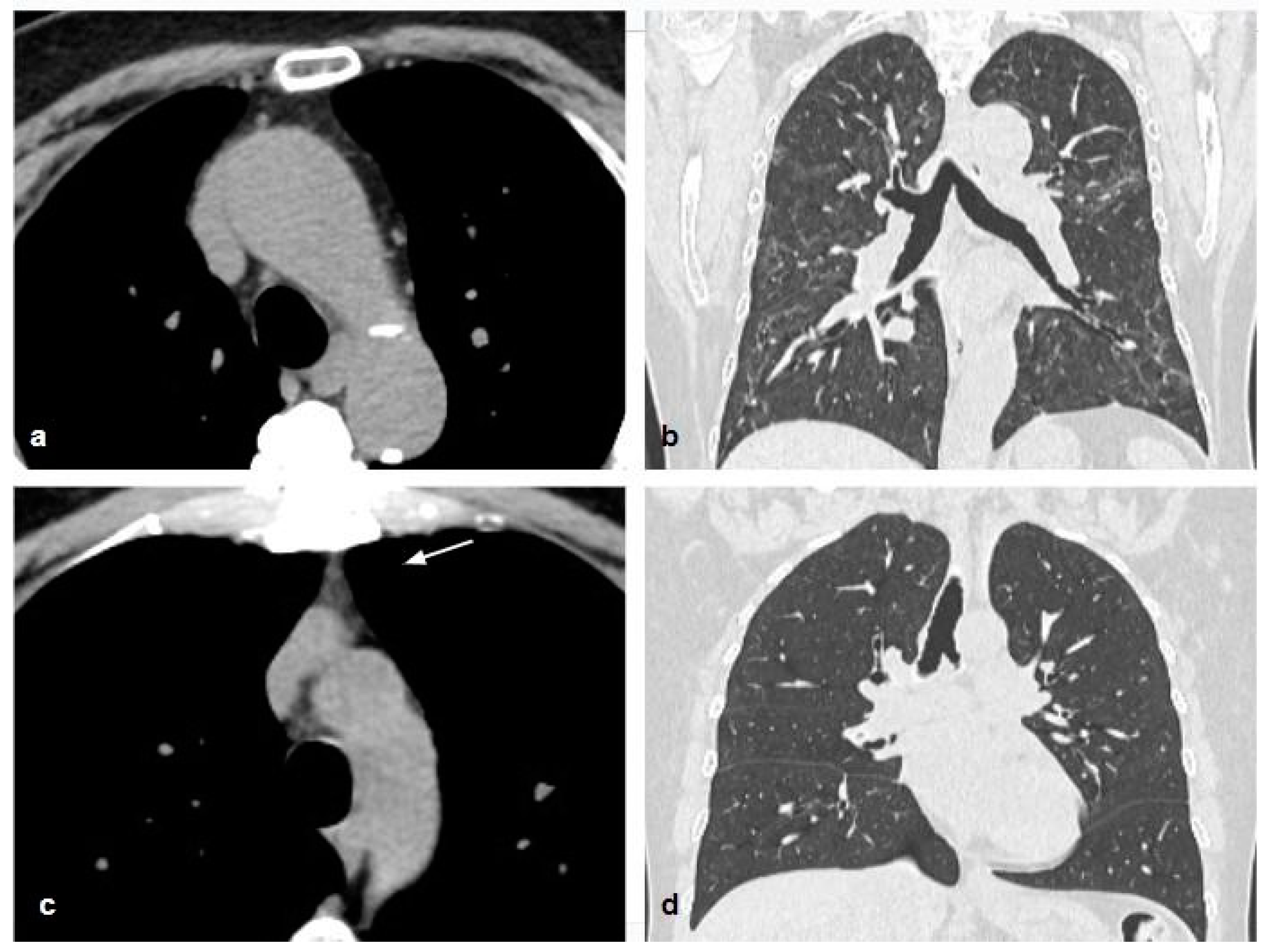
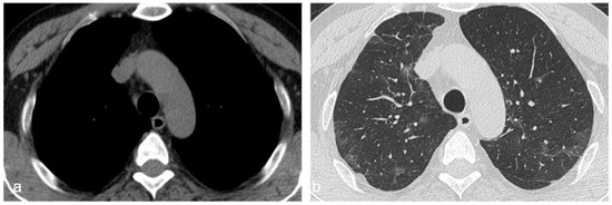
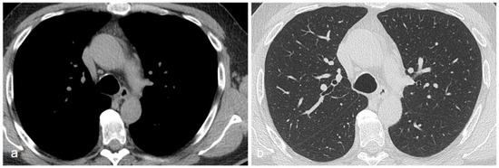
3. Results
4. Discussion
5. Conclusions
Author Contributions
Funding
Institutional Review Board Statement
Informed Consent Statement
Data Availability Statement
Conflicts of Interest
References
- Antonio, G.E.; Wong, K.T.; Hui, D.S.C.; Wu, A.; Lee, N.; Yuen, E.H.Y.; Leung, C.B.; Rainer, T.H.; Cameron, P.; Chung, S.S.C.; et al. Thin-Section CT in Patients with Severe Acute Respiratory Syndrome Following Hospital Discharge: Preliminary Experience. Radiology 2003, 228, 810–815. [Google Scholar] [CrossRef] [PubMed]
- Ooi, G.C.; Khong, P.L.; Müller, N.L.; Yiu, W.C.; Zhou, L.J.; Ho, J.C.M.; Lam, B.; Nicolaou, S.; Tsang, K.W.T. Severe Acute Respiratory Syndrome: Temporal Lung Changes at Thin-Section CT in 30 Patients. Radiology 2004, 230, 836–844. [Google Scholar] [CrossRef] [PubMed]
- Das, K.M.; Lee, E.Y.; Singh, R.; Enani, M.A.; Al Dossari, K.; Van Gorkom, K.; Larsson, S.G.; Langer, R.D. Follow-up chest radiographic findings in patients with MERS-CoV after recovery. Indian J. Radiol. Imaging 2017, 27, 342–349. [Google Scholar] [CrossRef] [PubMed]
- George, P.M.; Wells, A.U.; Jenkins, R.G. Pulmonary fibrosis and COVID-19: The potential role for antifibrotic therapy. Lancet Respir. Med. 2020, 8, 807–815. [Google Scholar] [CrossRef]
- Murphy, M.C.; Little, B.P. Chronic Pulmonary Manifestations of COVID-19 Infection: Imaging Evaluation. Radiology 2023, 307, e222379. [Google Scholar] [CrossRef] [PubMed]
- Xie, Y.; Bowe, B.; Al-Aly, Z. Burdens of post-acute sequelae of COVID-19 by severity of acute infection, demographics and health status. Nat. Commun. 2021, 12, 6571. [Google Scholar] [CrossRef] [PubMed]
- Havervall, S.; Rosell, A.; Phillipson, M.; Mangsbo, S.M.; Nilsson, P.; Hober, S.; Thålin, C. Symptoms and Functional Impairment Assessed 8 Months After Mild COVID-19 Among Health Care Workers. JAMA 2021, 325, 2015–2016. [Google Scholar] [CrossRef]
- Evans, R.A.; Leavy, O.C.; Richardson, M.; Elneima, O.; McAuley, H.J.C.; Shikotra, A.; Singapuri, A.; Sereno, M.; Saunders, R.M.; Harris, V.C.; et al. Clinical characteristics with inflammation profiling of long COVID and association with 1-year recovery following hospitalisation in the UK: A prospective observational study. Lancet Respir. Med. 2022, 10, 761–775. [Google Scholar] [CrossRef] [PubMed]
- Whitaker, M.; Elliott, J.; Chadeau-Hyam, M.; Riley, S.; Darzi, A.; Cooke, G.; Ward, H.; Elliott, P. Persistent COVID-19 symptoms in a community study of 606,434 people in England. Nat. Commun. 2022, 13, 1957. [Google Scholar] [CrossRef]
- Subramanian, A.; Nirantharakumar, K.; Hughes, S.; Myles, P.; Williams, T.; Gokhale, K.M.; Taverner, T.; Chandan, J.S.; Brown, K.; Simms-Williams, N.; et al. Symptoms and risk factors for long COVID in non-hospitalized adults. Nat. Med. 2022, 28, 1706–1714. [Google Scholar] [CrossRef]
- Kellogg, C.; Equils, O. The role of the thymus in COVID-19 disease severity: Implications for antibody treatment and immunization. Hum. Vaccin. Immunother. 2021, 17, 638–643. [Google Scholar] [CrossRef] [PubMed]
- Palmer, S.; Cunniffe, N.; Donnelly, R. COVID-19 hospitalization rates rise exponentially with age, inversely proportional to thymic T-cell production. J. R. Soc. Interface 2021, 18, rsif.2020.0982. [Google Scholar] [CrossRef] [PubMed]
- Poulin, J.-F.; Viswanathan, M.N.; Harris, J.M.; Komanduri, K.V.; Wieder, E.; Ringuette, N.; Jenkins, M.; McCune, J.M.; Sékaly, R.-P. Direct Evidence for Thymic Function in Adult Humans. J. Exp. Med. 1999, 190, 479–486. [Google Scholar] [CrossRef] [PubMed]
- Cuvelier, P.; Roux, H.; Couëdel-Courteille, A.; Dutrieux, J.; Naudin, C.; Charmeteau de Muylder, B.; Cheynier, R.; Squara, P.; Marullo, S. Protective reactive thymus hyperplasia in COVID-19 acute respiratory distress syndrome. Crit. Care 2021, 25, 4. [Google Scholar] [CrossRef] [PubMed]
- Çakmak, V.; Yılmaz, A.; Sarı, T.; Çakmak, P.; Özen, M.; Herek, D.; Oskay, A.; Yilmaz, A.; Sari, T.; Çakmak, P.; et al. Evaluation of the chest computed tomography and hemogram data in patients with COVID-19: The importance of thymus. Turk. J. Med. Sci. 2021, 51, 991–1000. [Google Scholar] [CrossRef] [PubMed]
- Landis, J.R.; Koch, G.G. The Measurement of Observer Agreement for Categorical Data. Biometrics 1977, 33, 159–174. [Google Scholar] [CrossRef] [PubMed]
- Ackman, J.B.; Kovacina, B.; Carter, B.W.; Wu, C.C.; Sharma, A.; Shepard, J.-A.O.; Halpern, E.F. Sex Difference in Normal Thymic Appearance in Adults 20–30 Years of Age. Radiology 2013, 268, 245–253. [Google Scholar] [CrossRef] [PubMed]
- Liao, X.; Li, D.; Liu, Z.; Ma, Z.; Zhang, L.; Dong, J.; Shi, Y.; Gu, X.; Zheng, G.; Huang, L.; et al. Pulmonary Sequelae in Patients After Recovery From Coronavirus Disease 2019: A Follow-Up Study With Chest CT. Front. Med. 2022, 8, 686878. [Google Scholar] [CrossRef]
- Cellina, M.; Orsi, M.; Valenti Pittino, C.; Toluian, T.; Oliva, G. Chest computed tomography findings of COVID-19 pneumonia: Pictorial essay with literature review. Jpn. J. Radiol. 2020, 38, 1012–1019. [Google Scholar] [CrossRef]
- Sardanelli, F.; Cozzi, A.; Monfardini, L.; Bnà, C.; Foà, R.A.; Spinazzola, A.; Tresoldi, S.; Cariati, M.; Secchi, F.; Schiaffino, S. Association of mediastinal lymphadenopathy with COVID-19 prognosis. Lancet Infect. Dis. 2020, 20, 1230–1231. [Google Scholar] [CrossRef]
- Monfardini, L.; Morassi, M.; Botti, P.; Stellini, R.; Bettari, L.; Pezzotti, S.; Alì, M.; Monaco, C.G.; Magni, V.; Cozzi, A.; et al. Pulmonary thromboembolism in hospitalised COVID-19 patients at moderate to high risk by Wells score: A report from Lombardy, Italy. Br. J. Radiol. 2020, 93, 20200407. [Google Scholar] [CrossRef] [PubMed]
- Spagnolo, P.; Cozzi, A.; Foà, R.A.; Spinazzola, A.; Monfardini, L.; Bnà, C.; Alì, M.; Schiaffino, S.; Sardanelli, F. CT-derived pulmonary vascular metrics and clinical outcome in COVID-19 patients. Quant. Imaging Med. Surg. 2020, 10, 1325–1333. [Google Scholar] [CrossRef] [PubMed]
- Schiaffino, S.; Codari, M.; Cozzi, A.; Albano, D.; Alì, M.; Arioli, R.; Avola, E.; Bnà, C.; Cariati, M.; Carriero, S.; et al. Machine Learning to Predict In-Hospital Mortality in COVID-19 Patients Using Computed Tomography-Derived Pulmonary and Vascular Features. J. Pers. Med. 2021, 11, 501. [Google Scholar] [CrossRef]
- Alrajhi, N.N. Post-COVID-19 pulmonary fibrosis: An ongoing concern. Ann. Thorac. Med. 2023, 18, 173–181. [Google Scholar] [CrossRef] [PubMed]
- Thapa, P.; Farber, D.L. The Role of the Thymus in the Immune Response. Thorac. Surg. Clin. 2019, 29, 123–131. [Google Scholar] [CrossRef] [PubMed]
- Wang, W.; Thomas, R.; Oh, J.; Su, D.-M. Thymic Aging May Be Associated with COVID-19 Pathophysiology in the Elderly. Cells 2021, 10, 628. [Google Scholar] [CrossRef]
- Katal, S.; Amini, H.; Gholamrezanezhad, A. PET in the diagnostic management of infectious/inflammatory pulmonary pathologies: A revisit in the era of COVID-19. Nucl. Med. Commun. 2021, 42, 3–8. [Google Scholar] [CrossRef]
- Luthria, G.; Baratto, L.; Adams, L.; Morakote, W.; Daldrup-Link, H.E. Increased Metabolic Activity of the Thymus and Lymph Nodes in Pediatric Oncology Patients After Coronavirus Disease 2019 Vaccination. J. Nucl. Med. 2024, 65, 22–24. [Google Scholar] [CrossRef]





| Variable | Group | Univariate Regression Analysis | Multivariable Regression Analysis | ||
|---|---|---|---|---|---|
| Odds Ratio (95% CI) | p | Odds Ratio (95% CI) | p | ||
| Age * | – | 1.13 (1.07–1.19) | <0.001 | 1.09 (1.02–1.17) | 0.007 |
| Sex | Females | 1 (reference category) | – | 1 (reference category) | – |
| Males | 3.52 (1.40–8.83) | 0.007 | 1.65 (0.50–5.37) | 0.41 | |
| Thymic fat involution | No | 1 (reference category) | – | 1 (reference category) | – |
| Yes | 16.16 (5.89–44.37) | <0.001 | 9.25 (3.03–28.21) | <0.001 | |
Disclaimer/Publisher’s Note: The statements, opinions and data contained in all publications are solely those of the individual author(s) and contributor(s) and not of MDPI and/or the editor(s). MDPI and/or the editor(s) disclaim responsibility for any injury to people or property resulting from any ideas, methods, instructions or products referred to in the content. |
© 2024 by the authors. Licensee MDPI, Basel, Switzerland. This article is an open access article distributed under the terms and conditions of the Creative Commons Attribution (CC BY) license (https://creativecommons.org/licenses/by/4.0/).
Share and Cite
Cellina, M.; Cè, M.; Cozzi, A.; Schiaffino, S.; Fazzini, D.; Grossi, E.; Oliva, G.; Papa, S.; Alì, M. Thymic Hyperplasia and COVID-19 Pulmonary Sequelae: A Bicentric CT-Based Follow-Up Study. Appl. Sci. 2024, 14, 3930. https://doi.org/10.3390/app14093930
Cellina M, Cè M, Cozzi A, Schiaffino S, Fazzini D, Grossi E, Oliva G, Papa S, Alì M. Thymic Hyperplasia and COVID-19 Pulmonary Sequelae: A Bicentric CT-Based Follow-Up Study. Applied Sciences. 2024; 14(9):3930. https://doi.org/10.3390/app14093930
Chicago/Turabian StyleCellina, Michaela, Maurizio Cè, Andrea Cozzi, Simone Schiaffino, Deborah Fazzini, Enzo Grossi, Giancarlo Oliva, Sergio Papa, and Marco Alì. 2024. "Thymic Hyperplasia and COVID-19 Pulmonary Sequelae: A Bicentric CT-Based Follow-Up Study" Applied Sciences 14, no. 9: 3930. https://doi.org/10.3390/app14093930
APA StyleCellina, M., Cè, M., Cozzi, A., Schiaffino, S., Fazzini, D., Grossi, E., Oliva, G., Papa, S., & Alì, M. (2024). Thymic Hyperplasia and COVID-19 Pulmonary Sequelae: A Bicentric CT-Based Follow-Up Study. Applied Sciences, 14(9), 3930. https://doi.org/10.3390/app14093930

