The Advancement and Utilization of Marx Electric Field Generator for Protein Extraction and Inducing Structural Alterations
Abstract
1. Introduction
2. Design of the Generator
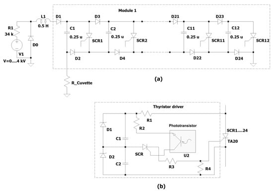
2.1. Structure of the Electric Pulse Generator
2.1.1. The High-Power Unit
2.1.2. Control and Pulse-Measuring Units
2.2. Operation of the Marx Generator
2.3. Safety Considerations
2.4. Design of the Device
3. Testing of Marx Generator
4. Utilizing the Marx Generator in Biomass Processing
4.1. Application of the Marx Generator for PEF Treatment of Microalgal Biomass
4.1.1. Materials and Methods of Algal Treatment
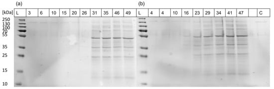
4.1.2. Microalgae Cell Responses to PEF Treatment
4.2. Application of the Marx Generator for PEF Treatment of Milk Casein
4.2.1. Materials and Methods of CSM Treatment
4.2.2. Particle Size and ζ-Potential Analysis
5. Conclusions
Author Contributions
Funding
Institutional Review Board Statement
Informed Consent Statement
Data Availability Statement
Conflicts of Interest
Correction Statement
References
- Režek Jambrak, A.; Nutrizio, M.; Djekić, I.; Pleslić, S.; Chemat, F. Internet of Nonthermal Food Processing Technologies (IoNTP): Food Industry 4.0 and Sustainability. Appl. Sci. 2021, 11, 686. [Google Scholar] [CrossRef]
- Jaeger, H.; Meneses, N.; Knorr, D. Impact of PEF Treatment Inhomogeneity Such as Electric Field Distribution, Flow Characteristics and Temperature Effects on the Inactivation of E. coli and Milk Alkaline Phosphatase. Innov. Food Sci. Emerg. Technol. 2009, 10, 470–480. [Google Scholar] [CrossRef]
- Alirezalu, K.; Munekata, P.E.S.; Parniakov, O.; Barba, F.J.; Witt, J.; Toepfl, S.; Wiktor, A.; Lorenzo, J.M. Pulsed Electric Field and Mild Heating for Milk Processing: A Review on Recent Advances. J. Sci. Food Agric. 2020, 100, 16–24. [Google Scholar] [CrossRef]
- Giteru, S.G.; Oey, I.; Ali, M.A. Feasibility of Using Pulsed Electric Fields to Modify Biomacromolecules: A Review. Trends Food Sci. Technol. 2018, 72, 91–113. [Google Scholar] [CrossRef]
- Reberšek, M.; Miklavčič, D. Advantages and Disadvantages of Different Concepts of Electroporation Pulse Generation. Automatika 2011, 52, 12–19. [Google Scholar] [CrossRef]
- Stankevic, V.; Simonis, P.; Zurauskiene, N.; Stirke, A.; Dervinis, A.; Bleizgys, V.; Kersulis, S.; Balevicius, S. Compact Square-Wave Pulse Electroporator with Controlled Electroporation Efficiency and Cell Viability. Symmetry 2020, 12, 412. [Google Scholar] [CrossRef]
- Stankevič, V.; Novickij, V.; Balevičius, S.; Žurauskienė, N.; Baškys, A.; Dervinis, A.; Bleizgys, V. Electroporation System Generating Wide Range Square-Wave Pulses for Biological Applications. In Proceedings of the 2013 IEEE Biomedical Circuits and Systems Conference (BioCAS), Rotterdam, The Netherlands, 31 October–2 November 2013; pp. 33–36. [Google Scholar]
- Stirke, A.; Zimkus, A.; Balevicius, S.; Stankevic, V.; Ramanaviciene, A.; Ramanavicius, A.; Zurauskiene, N. Permeabilization of Yeast Saccharomyces Cerevisiae Cell Walls Using Nanosecond High Power Electrical Pulses. Appl. Phys. Lett. 2014, 105, 253701. [Google Scholar] [CrossRef]
- Kolb, J.F.; Kono, S.; Schoenbach, K.H. Nanosecond Pulsed Electric Field Generators for the Study of Subcellular Effects. Bioelectromagnetics 2006, 27, 172–187. [Google Scholar] [CrossRef]
- Balevičius, S.; Stankevič, V.; Žurauskienė, N.; Shatkovskis, E.; Stirkė, A.; Bitinaitė, A.; Saulė, R.; Maciulevičienė, R.; Saulis, G. System for the Nanoporation of Biological Cells Based on an Optically-Triggered High-Voltage Spark-Gap Switch. IEEE Trans. Plasma Sci. 2013, 41, 2706–2711. [Google Scholar] [CrossRef]
- Beveridge, J.R.; MacGregor, S.J.; Anderson, J.G.; Fouracre, R.A. The Influence of Pulse Duration on the Inactivation of Bacteria Using Monopolar and Bipolar Profile Pulsed Electric Fields. IEEE Trans. Plasma Sci. 2005, 33, 1287–1293. [Google Scholar] [CrossRef]
- Li, S.; Gao, J.; Sack, M.; Yang, H.; Qian, B.; Mueller, G. Study on a Solid-State Pulse Generator Based on Magnetic Switch for Food Treatments by Pulsed Electric Field (PEF). In Proceedings of the 1st World Congress on Electroporation and Pulsed Electric Fields in Biology, Medicine and Food & Environmental Technologies, Portorož, Slovenia, 6–10 September 2015; Jarm, T., Kramar, P., Eds.; Springer: Singapore, 2016; pp. 55–59. [Google Scholar]
- Gad, A.; Jayaram, S.H.; Pritzker, M. Performance of Electrode Materials during Food Processing by Pulsed Electric Fields. In Proceedings of the 2013 Abstracts IEEE International Conference on Plasma Science (ICOPS), San Francisco, CA, USA, 16–21 June 2013; p. 1. [Google Scholar] [CrossRef]
- Krishnaveni, S.; Subhashini, R.; Rajini, V. Inactivation of Bacteria Suspended in Water by Using High Frequency Unipolar Pulse Voltage. J. Food Process Eng. 2017, 40, e12574. [Google Scholar] [CrossRef]
- Baek, J.W.; Yoo, D.W.; Rim, G.H.; Lai, J.-S. Solid State Marx Generator Using Series-Connected IGBTs. IEEE Trans. Plasma Sci. 2005, 33, 1198–1204. [Google Scholar] [CrossRef]
- Zhong, Z.; Rao, J.; Liu, H.; Redondo, L.M. Review on Solid-State-Based Marx Generators. IEEE Trans. Plasma Sci. 2021, 49, 3625–3643. [Google Scholar] [CrossRef]
- Zabihi, S.; Zabihi, Z.; Zare, F. A Solid-State Marx Generator with a Novel Configuration. IEEE Trans. Plasma Sci. 2011, 39, 1721–1728. [Google Scholar] [CrossRef]
- Zabihi, S.; Zare, F.; Ledwich, G.; Ghosh, A.; Akiyama, H. A New Family of Marx Generators Based on Commutation Circuits. IEEE Trans. Dielectr. Electr. Insul. 2011, 18, 1181–1188. [Google Scholar] [CrossRef][Green Version]
- Wouters, P.C.; Dutreux, N.; Smelt, J.P.P.M.; Lelieveld, H.L.M. Effects of Pulsed Electric Fields on Inactivation Kinetics of Listeria Innocua. Appl. Environ. Microbiol. 1999, 65, 5364–5371. [Google Scholar] [CrossRef] [PubMed]
- Aronsson, K.; Lindgren, M.; Johansson, B.R.; Rönner, U. Inactivation of Microorganisms Using Pulsed Electric Fields: The Influence of Process Parameters on Escherichia coli, Listeria innocua, Leuconostoc mesenteroides and Saccharomyces cerevisiae. Innov. Food Sci. Emerg. Technol. 2001, 2, 41–54. [Google Scholar] [CrossRef]
- Vernhes, M.C.; Benichou, A.; Pernin, P.; Cabanes, P.A.; Teissié, J. Elimination of Free-Living Amoebae in Fresh Water with Pulsed Electric Fields. Water Res. 2002, 36, 3429–3438. [Google Scholar] [CrossRef] [PubMed]
- Kotnik, T.; Miklavčič, D.; Slivnik, T. Time Course of Transmembrane Voltage Induced by Time-Varying Electric Fields—A Method for Theoretical Analysis and Its Application. Bioelectrochem. Bioenerg. 1998, 45, 3–16. [Google Scholar] [CrossRef]
- De Vito, F.; Ferrari, G.; Lebovka, N.I.; Shynkaryk, N.V.; Vorobiev, E. Pulse Duration and Efficiency of Soft Cellular Tissue Disintegration by Pulsed Electric Fields. Food Bioprocess Technol. 2008, 1, 307–313. [Google Scholar] [CrossRef]
- Postma, P.R.; Pataro, G.; Capitoli, M.; Barbosa, M.J.; Wijffels, R.H.; Eppink, M.H.M.; Olivieri, G.; Ferrari, G. Selective Extraction of Intracellular Components from the Microalga Chlorella Vulgaris by Combined Pulsed Electric Field–Temperature Treatment. Bioresour. Technol. 2016, 203, 80–88. [Google Scholar] [CrossRef] [PubMed]
- Scherer, D.; Krust, D.; Frey, W.; Mueller, G.; Nick, P.; Gusbeth, C. Pulsed Electric Field (PEF)-Assisted Protein Recovery from Chlorella Vulgaris Is Mediated by an Enzymatic Process after Cell Death. Algal Res. 2019, 41, 101536. [Google Scholar] [CrossRef]
- Taha, A.; Casanova, F.; Šimonis, P.; Stankevič, V.; Gomaa, M.A.E.; Stirkė, A. Pulsed Electric Field: Fundamentals and Effects on the Structural and Techno-Functional Properties of Dairy and Plant Proteins. Foods 2022, 11, 1556. [Google Scholar] [CrossRef] [PubMed]
- Sack, M. Marx-Generator Design and Development for Biomass Electroporation. In Handbook of Electroporation; Miklavčič, D., Ed.; Springer International Publishing: Cham, Switzerland, 2017; pp. 793–812. ISBN 978-3-319-32886-7. [Google Scholar]
- Mahnič-Kalamiza, S.; Vorobiev, E.; Miklavčič, D. Electroporation in Food Processing and Biorefinery. J. Membr. Biol. 2014, 247, 1279–1304. [Google Scholar] [CrossRef] [PubMed]
- Tatur, V.V. Modification of Marx Generator with a Doubling of Output Voltage. Int. J. Circuit Theory Appl. 2015, 43, 415–420. [Google Scholar] [CrossRef]
- Rajesh Banu, J.; Preethi; Kavitha, S.; Gunasekaran, M.; Kumar, G. Microalgae Based Biorefinery Promoting Circular Bioeconomy-Techno Economic and Life-Cycle Analysis. Bioresour. Technol. 2020, 302, 122822. [Google Scholar] [CrossRef] [PubMed]
- Su, Y. Revisiting Carbon, Nitrogen, and Phosphorus Metabolisms in Microalgae for Wastewater Treatment. Sci. Total Environ. 2021, 762, 144590. [Google Scholar] [CrossRef] [PubMed]
- Alam, M.A.; Xu, J.L.; Wang, Z. Microalgae Biotechnology for Food, Health and High Value Products; Springer: Singapore, 2020; ISBN 9789811501692. [Google Scholar]
- Broyard, C.; Gaucheron, F. Modifications of Structures and Functions of Caseins: A Scientific and Technological Challenge. Dairy Sci. Technol. 2015, 95, 831–862. [Google Scholar] [CrossRef]
- Sadiq, U.; Gill, H.; Chandrapala, J. Casein Micelles as an Emerging Delivery System for Bioactive Food Components. Foods 2021, 10, 1965. [Google Scholar] [CrossRef]
- Sommer, M.-C.; Balazinski, M.; Rataj, R.; Wenske, S.; Kolb, J.F.; Zocher, K. Assessment of Phycocyanin Extraction from Cyanidium Caldarium by Spark Discharges, Compared to Freeze-Thaw Cycles, Sonication, and Pulsed Electric Fields. Microorganisms 2021, 9, 1452. [Google Scholar] [CrossRef]
- Laemmli, U.K. Cleavage of Structural Proteins during the Assembly of the Head of Bacteriophage T4. Nature 1970, 227, 680–685. [Google Scholar] [CrossRef] [PubMed]
- Coustets, M.; Joubert-Durigneux, V.; Hérault, J.; Schoefs, B.; Blanckaert, V.; Garnier, J.-P.; Teissié, J. Optimization of Protein Electroextraction from Microalgae by a Flow Process. Bioelectrochemistry 2015, 103, 74–81. [Google Scholar] [CrossRef] [PubMed]
- Krust, D.; Gusbeth, C.; Müller, A.S.K.; Scherer, D.; Müller, G.; Frey, W.; Nick, P. Biological Signalling Supports Biotechnology–Pulsed Electric Fields Extract a Cell-Death Inducing Factor from Chlorella Vulgaris. Bioelectrochemistry 2022, 143, 107991. [Google Scholar] [CrossRef] [PubMed]
- Canelli, G.; Kuster, I.; Jaquenod, L.; Buchmann, L.; Murciano Martínez, P.; Rohfritsch, Z.; Dionisi, F.; Bolten, C.J.; Nanni, P.; Mathys, A. Pulsed Electric Field Treatment Enhances Lipid Bioaccessibility While Preserving Oxidative Stability in Chlorella Vulgaris. Innov. Food Sci. Emerg. Technol. 2022, 75, 102897. [Google Scholar] [CrossRef]
- Cao, Y.; Yang, S.; Wang, J.; Kong, W.; Guo, B.; Xi, Y.; Zhang, A.; Yue, B. Metabolomic Exploration of the Physiological Regulatory Mechanism of the Growth and Metabolism Characteristics of Chlorella Vulgaris under Photoautotrophic, Mixotrophic, and Heterotrophic Cultivation Conditions. Biomass Bioenergy 2023, 173, 106775. [Google Scholar] [CrossRef]
- Kandušer, M.; Belič, A.; Čorović, S.; Škrjanc, I. Modular Serial Flow Through Device for Pulsed Electric Field Treatment of the Liquid Samples. Sci. Rep. 2017, 7, 8115. [Google Scholar] [CrossRef] [PubMed]
- Fan, Y.; Yi, J.; Zhang, Y.; Yokoyama, W. Fabrication of Curcumin-Loaded Bovine Serum Albumin (BSA)-Dextran Nanoparticles and the Cellular Antioxidant Activity. Food Chem. 2018, 239, 1210–1218. [Google Scholar] [CrossRef]
- Xia, W.; Zhu, L.; Delahaije, R.J.B.M.; Cheng, Z.; Zhou, X.; Sagis, L.M.C. Acid-Induced Gels from Soy and Whey Protein Thermally-Induced Mixed Aggregates: Rheology and Microstructure. Food Hydrocoll. 2022, 125, 107376. [Google Scholar] [CrossRef]
- Subaşı, B.G.; Jahromi, M.; Casanova, F.; Capanoglu, E.; Ajalloueian, F.; Mohammadifar, M.A. Effect of Moderate Electric Field on Structural and Thermo-Physical Properties of Sunflower Protein and Sodium Caseinate. Innov. Food Sci. Emerg. Technol. 2021, 67, 102593. [Google Scholar] [CrossRef]
- Tian, Y.; Zhang, Z.; Zhang, P.; Taha, A.; Hu, H.; Pan, S. The Role of Conformational State of pH-Shifted β-Conglycinin on the Oil/Water Interfacial Properties and Emulsifying Capacities. Food Hydrocoll. 2020, 108, 105990. [Google Scholar] [CrossRef]
- Zhao, F.; Liu, X.; Ding, X.; Dong, H.; Wang, W. Effects of High-Intensity Ultrasound Pretreatment on Structure, Properties, and Enzymolysis of Soy Protein Isolate. Molecules 2019, 24, 3637. [Google Scholar] [CrossRef] [PubMed]
- Tong, X.; Cao, J.; Tian, T.; Lyu, B.; Miao, L.; Lian, Z.; Cui, W.; Liu, S.; Wang, H.; Jiang, L. Changes in Structure, Rheological Property and Antioxidant Activity of Soy Protein Isolate Fibrils by Ultrasound Pretreatment and EGCG. Food Hydrocoll. 2022, 122, 107084. [Google Scholar] [CrossRef]
- Wang, H.; Wang, N.; Chen, X.; Wu, Z.; Zhong, W.; Yu, D.; Zhang, H. Effects of Moderate Electric Field on the Structural Properties and Aggregation Characteristics of Soybean Protein Isolate. Food Hydrocoll. 2022, 133, 107911. [Google Scholar] [CrossRef]










| Range 1 (Pulse Length ~4 µs) | Range 2 (Pulse Length ~11 µs) | ||||
|---|---|---|---|---|---|
| E (kV/cm) | W (J/mL) | ΔT (K) | E (kV/cm) | W (J/mL) | ΔT (K) |
| 2.8 | 0.05 | 0.01 | 4 | 0.21 | 0.05 |
| 6.35 | 0.25 | 0.06 | 10 | 1.34 | 0.32 |
| 10 | 0.61 | 0.14 | 16 | 3.43 | 0.82 |
| 14.8 | 1.33 | 0.32 | 23 | 7.08 | 1.69 |
| 19.8 | 2.39 | 0.57 | 29 | 11.26 | 2.68 |
| 25.6 | 3.99 | 0.95 | 34 | 15.48 | 3.69 |
| 30.8 | 5.77 | 1.37 | 41 | 22.51 | 5.36 |
| 34.8 | 7.37 | 1.76 | 47 | 29.58 | 7.04 |
| 46 | 12.88 | 3.07 | |||
| 48.8 | 14.5 | 3.45 | |||
| Samples | Range 1 (Pulse Length ~9 µs) | Samples | Range 2 (Pulse Length ~25 µs) | ||
|---|---|---|---|---|---|
| Z-Average (nm) | ζ-Potential (mV) | Z-Average (nm) | ζ-Potential (mV) | ||
| Control | 166.4 ± 2.1 b | −30.5 ± 2.4 a | Control | 166.4 ± 1.5 c | −30.5 ± 1.8 a |
| 3 kV/cm | 198.0 ± 3.5 a | −35.5 ± 1.9 b | 7 kV/cm | 175.7 ± 2.7 b | −36.2 ± 2.4 b |
| 8.8 kV/cm | 203.3 ± 2.3 a | −36.6 ± 1.4 b | 14.8 kV/cm | 181.2 ± 1.8 a | −36.7 ± 3.1 b |
| 16 kV/cm | 197.8 ± 1.6 a | −36.1 ± 2.1 b | 22.6 kV/cm | 172.2 ± 1.4 b | −35.8 ± 2.9 b |
Disclaimer/Publisher’s Note: The statements, opinions and data contained in all publications are solely those of the individual author(s) and contributor(s) and not of MDPI and/or the editor(s). MDPI and/or the editor(s) disclaim responsibility for any injury to people or property resulting from any ideas, methods, instructions or products referred to in the content. |
© 2024 by the authors. Licensee MDPI, Basel, Switzerland. This article is an open access article distributed under the terms and conditions of the Creative Commons Attribution (CC BY) license (https://creativecommons.org/licenses/by/4.0/).
Share and Cite
Stankevič, V.; Jonynaitė, K.; Taha, A.; Keršulis, S.; Dervinis, A.; Kurčevskis, S.; Tolvaišienė, S.; Stirkė, A.; Žurauskienė, N. The Advancement and Utilization of Marx Electric Field Generator for Protein Extraction and Inducing Structural Alterations. Appl. Sci. 2024, 14, 3886. https://doi.org/10.3390/app14093886
Stankevič V, Jonynaitė K, Taha A, Keršulis S, Dervinis A, Kurčevskis S, Tolvaišienė S, Stirkė A, Žurauskienė N. The Advancement and Utilization of Marx Electric Field Generator for Protein Extraction and Inducing Structural Alterations. Applied Sciences. 2024; 14(9):3886. https://doi.org/10.3390/app14093886
Chicago/Turabian StyleStankevič, Voitech, Kamilė Jonynaitė, Ahmed Taha, Skirmantas Keršulis, Aldas Dervinis, Sebastjanas Kurčevskis, Sonata Tolvaišienė, Arūnas Stirkė, and Nerija Žurauskienė. 2024. "The Advancement and Utilization of Marx Electric Field Generator for Protein Extraction and Inducing Structural Alterations" Applied Sciences 14, no. 9: 3886. https://doi.org/10.3390/app14093886
APA StyleStankevič, V., Jonynaitė, K., Taha, A., Keršulis, S., Dervinis, A., Kurčevskis, S., Tolvaišienė, S., Stirkė, A., & Žurauskienė, N. (2024). The Advancement and Utilization of Marx Electric Field Generator for Protein Extraction and Inducing Structural Alterations. Applied Sciences, 14(9), 3886. https://doi.org/10.3390/app14093886

