Enhancing Surgical Outcomes via Three-Dimensional-Assisted Techniques Combined with Orthognathic Treatment: A Case Series Study of Skeletal Class III Malocclusions
Abstract
1. Introduction
2. Materials and Methods
2.1. Patient Selection
- -
- Patients over 18 years old, both female and male;
- -
- Skeletal Class III malocclusion requiring an orthodontic therapy combined with orthognathic surgery.
- -
- Absence of any craniofacial malformations, including orofacial clefts;
- -
- Absence of TMJ disorders;
- -
- Patients with systematic diseases.
2.2. Orthodontic and Surgical Procedures
2.3. Cephalometric Analysis
2.4. Hard Tissues Measurements
2.5. Soft Tissue Measurements
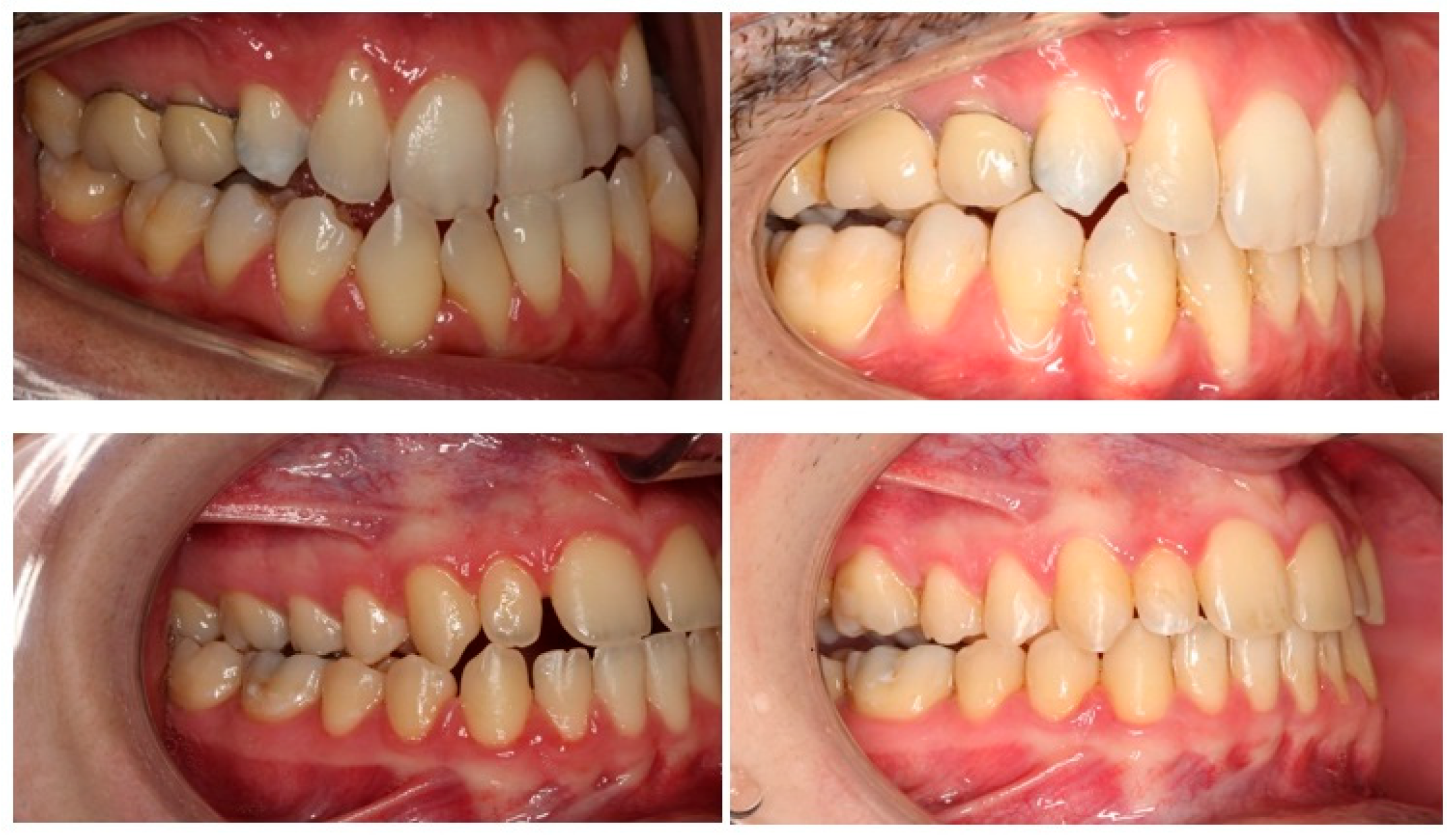
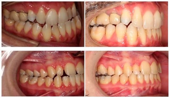
3. Results
3.1. Hard Tissue Measurements Analysis
3.2. Soft Tissue Measurement Analysis
4. Discussion
5. Conclusions
Author Contributions
Funding
Institutional Review Board Statement
Informed Consent Statement
Data Availability Statement
Conflicts of Interest
References
- Macrì, M.; Medori, S.; Varvara, G.; Festa, F. A Digital 3D Retrospective Study Evaluating the Efficacy of Root Control during Orthodontic Treatment with Clear Aligners. Appl. Sci. 2023, 13, 1540. [Google Scholar] [CrossRef]
- Deng, Y.; Sun, Y.; Xu, T. Evaluation of root resorption after comprehensive orthodontic treatment using cone beam computed tomography (CBCT): A meta-analysis. BMC Oral Health 2018, 18, 116. [Google Scholar] [CrossRef] [PubMed]
- Sameshima, G.T.; Iglesias-Linares, A. Orthodontic root resorption. J. World Fed. Orthod. 2021, 10, 135–143. [Google Scholar] [CrossRef]
- Yassir, Y.A.; McIntyre, G.T.; Bearn, D.R. Orthodontic treatment and root resorption: An overview of systematic reviews. Eur. J. Orthod. 2021, 43, 442–456. [Google Scholar] [CrossRef] [PubMed]
- Weltman, B.; Vig, K.W.; Fields, H.W.; Shanker, S.; Kaizar, E.E. Root resorption associated with orthodontic tooth movement: A systematic review. Am. J. Orthod. Dentofac. Orthop. 2010, 137, 462–476. [Google Scholar] [CrossRef] [PubMed]
- Laskowska, J.; Paradowska-Stolarz, A.; Miralles-Jordá, L.; Schutty, D.; Mikulewicz, M. Complication of Orthodontic Treatment: A Case Report on Severe Apical Root Resorption (ARR) in a Patient with Turner Syndrome. Children 2024, 11, 358. [Google Scholar] [CrossRef] [PubMed]
- Reis, G.M.; de Freitas, D.S.; Oliveira, R.C.; de Oliveira, R.C.G.; Pinzan-Vercelino, C.R.M.; Freitas, K.M.S.; Valarelli, F.P. Smile attractiveness in class III patients after orthodontic camouflage or orthognathic surgery. Clin. Oral Investig. 2021, 25, 6791–6797. [Google Scholar] [CrossRef]
- Alhammadi, M.S.; Almashraqi, A.A.; Khadhi, A.H.; Arishi, K.A.; Alamir, A.A.; Beleges, E.M.; Halboub, E. Orthodontic camouflage versus orthodontic-orthognathic surgical treatment in borderline class III malocclusion: A systematic review. Clin. Oral Investig. 2022, 26, 6443–6455. [Google Scholar] [CrossRef]
- Ronsivalle, V.; Ruiz, F.; Lo Giudice, A.; Carli, E.; Venezia, P.; Isola, G.; Leonardi, R.; Mummolo, S. From Reverse Engineering Software to CAD-CAM Systems: How Digital Environment Has Influenced the Clinical Applications in Modern Dentistry and Orthodontics. Appl. Sci. 2023, 13, 4986. [Google Scholar] [CrossRef]
- Proffit, W.R.; Fields, H.W., Jr.; Larson, B.E.; Sarver, D.M. Contemporary Orthodontics, 6th ed.; Mosby: St. Louis, MO, USA, 2018; ISBN 9780323543873. [Google Scholar]
- Macrì, M.; Murmura, G.; Scarano, A.; Festa, F. Prevalence of temporomandibular disorders and its association with malocclusion in children: A transversal study. Front. Public Health 2022, 10, 860833. [Google Scholar] [CrossRef]
- Paradowska-Stolarz, A.; Mikulewicz, M.; Duś-Ilnicka, I. Current Concepts and Challenges in the Treatment of Cleft Lip and Palate Patients—A Comprehensive Review. J. Pers. Med. 2022, 12, 2089. [Google Scholar] [CrossRef]
- Kim, B.; Lee, H.C.; Kim, S.H.; Kim, Y.; Son, W.; Kim, S.S. Hard- and soft-tissue profiles of the midface region in patients with skeletal Class III malocclusion using cone-beam computed tomography multiplanar-reconstructed image analysis. Korean J. Orthod. 2018, 48, 143–152. [Google Scholar] [CrossRef]
- Zavattero, E.; Romano, M.; Gerbino, G.; Rossi, D.S.; Giannì, A.B.; Ramieri, G.; Baj, A. Evaluation of the Accuracy of Virtual Planning in Orthognathic Surgery: A Morphometric Study. J. Craniofac. Surg. 2019, 30, 1214–1220. [Google Scholar] [CrossRef] [PubMed]
- Ohba, S.; Kohara, H.; Koga, T.; Kawasaki, T.; Miura, K.I.; Yoshida, N.; Asahina, I. Soft tissue changes after a mandibular osteotomy for symmetric skeletal class III malocclusion. Odontology 2017, 105, 375–381. [Google Scholar] [CrossRef]
- Elnagar, M.H.; Aronovich, S.; Kusnoto, B. Digital Workflow for Combined Orthodontics and Orthognathic Surgery. Oral Maxillofac. Surg. Clin. N. Am. 2020, 32, 1–14. [Google Scholar] [CrossRef]
- Pascal, E.; Majoufre, C.; Bondaz, M.; Courtemanche, A.; Berger, M.; Bouletreau, P. Current status of surgical planning and transfer methods in orthognathic surgery. J. Stomatol. Oral Maxillofac. Surg. 2018, 119, 245–248. [Google Scholar] [CrossRef]
- Conley, R.S.; Edwards, S.P. Three-dimensional treatment planning for maxillary and mandibular segmental surgery for an adult Class III: Where old meets new. Angle Orthod. 2019, 89, 138–148. [Google Scholar] [CrossRef] [PubMed]
- Karanxha, L.; Rossi, D.; Hamanaka, R.; Giannì, A.B.; Baj, A.; Moon, W.; Del Fabbro, M.; Romano, M. Accuracy of splint vs splintless technique for virtually planned orthognathic surgery: A voxel-based three-dimensional analysis. J. Craniomaxillofac. Surg. 2021, 49, 1–8. [Google Scholar] [CrossRef] [PubMed]
- Schneider, D.; Kämmerer, P.W.; Hennig, M.; Schön, G.; Thiem, D.G.E.; Bschorer, R. Customized virtual surgical planning in bimaxillary orthognathic surgery: A prospective randomized trial. Clin. Oral Investig. 2019, 23, 3115–3122. [Google Scholar] [CrossRef]
- Swennen, G.R.; Mollemans, W.; Schutyser, F. Three-dimensional treatment planning of orthognathic surgery in the era of virtual imaging. J. Oral Maxillofac. Surg. 2009, 67, 2080–2092. [Google Scholar] [CrossRef]
- Chen, Z.; Mo, S.; Fan, X.; You, Y.; Ye, G.; Zhou, N. A Meta-analysis and Systematic Review Comparing the Effectiveness of Traditional and Virtual Surgical Planning for Orthognathic Surgery: Based on Randomized Clinical Trials. J. Oral Maxillofac. Surg. 2021, 79, 471.e1–471.e19. [Google Scholar] [CrossRef] [PubMed]
- Macrì, M.; D’Albis, G.; D’Albis, V.; Timeo, S.; Festa, F. Augmented Reality-Assisted Surgical Exposure of an Impacted Tooth: A Pilot Study. Appl. Sci. 2023, 13, 11097. [Google Scholar] [CrossRef]
- Paradowska-Stolarz, A.; Mikulewicz, M.; Wieckiewicz, M.; Wezgowiec, J. The Influence of Polishing and Artificial Aging on BioMed Amber® Resin’s Mechanical Properties. J. Funct. Biomater. 2023, 14, 254. [Google Scholar] [CrossRef] [PubMed]
- Naran, S.; Steinbacher, D.M.; Taylor, J.A. Current Concepts in Orthognathic Surgery. Plast. Reconstr. Surg. 2018, 141, 925e–936e. [Google Scholar] [CrossRef] [PubMed]
- Ngan, P.; Moon, W. Evolution of Class III treatment in orthodontics. Am. J. Orthod. Dentofac. Orthop. 2015, 148, 22–36. [Google Scholar] [CrossRef] [PubMed]
- Kim, Y.I.; Choi, Y.K.; Park, S.B.; Son, W.S.; Kim, S.S. Three-dimensional analysis of dental decompensation for skeletal Class III malocclusion on the basis of vertical skeletal patterns obtained using cone-beam computed tomography. Korean J. Orthod. 2012, 42, 227–234. [Google Scholar] [CrossRef] [PubMed]
- Mulier, D.; Gaitán Romero, L.; Führer, A.; Martin, C.; Shujaat, S.; Shaheen, E.; Politis, C.; Jacobs, R. Long-term dental stability after orthognathic surgery: A systematic review. Eur. J. Orthod. 2021, 43, 104–112. [Google Scholar] [CrossRef] [PubMed]
- Aziz, S.R. Clear aligner orthognathic surgery: An overview. Front. Oral Maxillofac. Med. 2022, 4, 24. [Google Scholar] [CrossRef]
- Kankam, H.K.N.; Gupta, H.; Sawh-Martinez, R.; Steinbacher, D.M. Segmental Multiple-Jaw Surgery without Orthodontia: Clear Aligners Alone. Plast. Reconstr. Surg. 2018, 142, 181–184. [Google Scholar] [CrossRef]
- Pagani, R.; Signorino, F.; Poli, P.P.; Manzini, P.; Panisi, I. The Use of Invisalign® System in the Management of the Orthodontic Treatment before and after Class III Surgical Approach. Case Rep. Dent. 2016, 2016, 9231219. [Google Scholar] [CrossRef]
- Dastgir, R.; Bemudez, P.F.; Valiathan, M.; Baur, D.A.; Quereshy, F.A. The use of clear aligners in orthognathic surgeries: A case series. Oral Surg. Oral Med. Oral Pathol. Oral Radiol. 2024, 137, e22–e40. [Google Scholar] [CrossRef] [PubMed]
- Mangat, H.; Caminiti, M.F.; Metaxas, A.A. Comparative Analysis of Orthognathic Surgical Stability between Fixed Appliances and Clear Aligner Orthodontic Therapy. J. Oral Maxillofac. Surg. 2021, 79, e83–e84. [Google Scholar] [CrossRef]
- Feragalli, B.; Rampado, O.; Abate, C.; Macrì, M.; Festa, F.; Stromei, F.; Caputi, S.; Guglielmi, G. Cone beam computed tomography for dental and maxillofacial imaging: Technique improvement and low-dose protocols. Radiol. Med. 2017, 122, 581–588. [Google Scholar] [CrossRef] [PubMed]
- Iannetti, G.; Fadda, M.T.; Marianetti, T.M.; Terenzi, V.; Cassoni, A. Long-term skeletal stability after surgical correction in Class III open-bite patients: A retrospective study on 40 patients treated with mono- or bimaxillary surgery. J. Craniofac. Surg. 2007, 18, 350–354. [Google Scholar] [CrossRef] [PubMed]
- de Lir Ade, L.; de Moura, W.L.; Oliveira Ruellas, A.C.; Gomes Souza, M.M.; Nojima, L.I. Long-term skeletal and profile stability after surgical-orthodontic treatment of Class II and Class III malocclusion. J. Craniomaxillofac. Surg. 2013, 41, 296–302. [Google Scholar] [CrossRef] [PubMed]
- Takatsuji, H.; Kobayashi, T.; Kojima, T.; Hasebe, D.; Izumi, N.; Saito, I.; Saito, C. Effects of orthognathic surgery on psychological status of patients with jaw deformities. Int. J. Oral Maxillofac. Surg. 2015, 44, 1125–1130. [Google Scholar] [CrossRef] [PubMed]
- Lee, S.; McGrath, C.; Samman, N. Impact of orthognathic surgery on quality of life. J. Oral Maxillofac. Surg. 2008, 66, 1194–1199. [Google Scholar] [CrossRef] [PubMed]
- Tofangchiha, M.; Esfehani, M.; Eftetahi, L.; Mirzadeh, M.; Reda, R.; Testarelli, L. Comparison of the pharyngeal airway in snoring and non-snoring patients based on the lateral cephalometric study: A case-control study. Dent. Med. Probl. 2023, 60, 121–126. [Google Scholar] [CrossRef]
- Park, J.E.; Bae, S.H.; Choi, Y.J.; Choi, W.C.; Kim, H.W.; Lee, U.L. The structural changes of pharyngeal airway contributing to snoring after orthognathic surgery in skeletal class III patients. Maxillofac. Plast. Reconstr. Surg. 2017, 39, 22. [Google Scholar] [CrossRef]
- Legan, H.L.; Burstone, C.J. Soft tissue cephalometric analysis for orthognathic surgery. J. Oral Surg. 1980, 38, 744–751. [Google Scholar]
- Oh, K.M.; Seo, S.K.; Park, J.E.; Sim, H.S.; Cevidanes, L.H.; Kim, Y.J.; Park, Y.H. Post-operative soft tissue changes in patients with mandibular prognathism after bimaxillary surgery. J. Craniomaxillofac. Surg. 2013, 41, 204–211. [Google Scholar] [CrossRef] [PubMed]
- Brugnami, F.; Meuli, S.; Caiazzo, A.; Marrocco, S.; Scopelliti, D. Three-dimensional digital planning of class III decompensation with clear aligners: Hard and soft tissue augmentation with concomitant corticotomy to stretch the limits of safe orthodontic treatment. J. Oral Biol. Craniofac. Res. 2021, 11, 297–302. [Google Scholar] [CrossRef] [PubMed]
- Ferrario, V.F.; Sforza, C.; Schmitz, J.H.; Santoro, F. Three-dimensional facial morphometric assessment of soft tissue changes after orthognathic surgery. Oral Surg. Oral Med. Oral Pathol. Oral Radiol. Endod. 1999, 88, 549–556. [Google Scholar] [CrossRef] [PubMed]
- Lee, S.T.; Mori, Y.; Minami, K.; An, C.H.; Park, J.W.; Kwon, T.G. Does skeletal surgery for asymmetric mandibular prognathism influence the soft tissue contour and thickness? J. Oral Maxillofac. Surg. 2013, 71, 1577–1587. [Google Scholar] [CrossRef]
- Göelzer, J.G.; Becker, O.E.; Haas Junior, O.L.; Scolari, N.; Santos Melo, M.F.; Heitz, C.; de Oliveira, R.B. Assessing change in quality of life using the Oral Health Impact Profile (OHIP) in patients with different dentofacial deformities undergoing orthognathic surgery: A before and after comparison. Int. J. Oral Maxillofac. Surg. 2014, 43, 1352–1359. [Google Scholar] [CrossRef] [PubMed]
- de Leyva, P.; Eslava, J.M.; Hernández-Alfaro, F.; Acero, J. Orthognathic surgery and aligners. A comparative assessment of periodontal health and quality of life in postsurgical orthodontic treatment with aligners versus traditional fixed appliances: A randomized controlled trial. Med. Oral Patol. Oral Cir. Bucal. 2023, 28, e208–e216. [Google Scholar] [CrossRef] [PubMed]
- Kankam, H.; Madari, S.; Sawh-Martinez, R.; Bruckman, K.C.; Steinbacher, D.M. Comparing Outcomes in Orthognathic Surgery Using Clear Aligners Versus Conventional Fixed Appliances. J. Craniofac. Surg. 2019, 30, 1488–1491. [Google Scholar] [CrossRef] [PubMed]
- Lou, T.; Caminiti, M. Orthognathic Surgery Combined with Clear Aligner Therapy. J. Clin. Orthod. 2021, 55, 44–58. [Google Scholar] [PubMed]
- Kassam, S.K.; Stoops, F.R. Are clear aligners as effective as conventional fixed appliances? Evid. Based Dent. 2020, 21, 30–31. [Google Scholar] [CrossRef]
- Liou, Y.J.; Chen, P.R.; Tsai, T.Y.; Lin, S.; Chou, P.Y.; Lo, C.M.; Chen, Y.R. Comparative assessment of orthodontic and aesthetic outcomes after orthognathic surgery with clear aligner or fixed appliance therapy. Plast. Reconstr. Surg. 2023, 10, 097. [Google Scholar] [CrossRef]
- Macrì, M.; Toniato, E.; Murmura, G.; Varvara, G.; Festa, F. Midpalatal suture density as a function of sex and growth-pattern-related variability via CBCT evaluations of 392 adolescents treated with a rapid maxillary expander appliance. Appl. Sci. 2022, 12, 2221. [Google Scholar] [CrossRef]
- Zhang, W.; Yang, H. Orthognathic Surgery in Invisalign Patients. J. Craniofac. Surg. 2022, 33, e112–e113. [Google Scholar] [CrossRef] [PubMed]
- Kong, L.; Liu, X.; Zhang, J. Combining a digital design-mediated surgery-first approach and clear aligners to treat a skeletal Class III defect for aesthetic purposes: A case report. J. Int. Med. Res. 2022, 50, 3000605221094524. [Google Scholar] [CrossRef] [PubMed]
- Wolford, L.M. Concomitant temporomandibular joint and orthognathic surgery. J. Oral Maxillofac. Surg. 2003, 61, 1198–1204. [Google Scholar] [CrossRef]
- Arya, V.; Kadagad, P.; Alvarez, W.; Chigurupati, R.; Mehra, P. Temporomandibular Disorders in Orthognathic Surgery Patients. J. Oral Maxillofac. Surg. 2017, 75, e339–e340. [Google Scholar] [CrossRef]
- Toh, A.Q.J.; Leung, Y.Y. The effect of orthognathic surgery on temporomandibular disorder. J. Craniofac. Surg. 2022, 50, 218–224. [Google Scholar] [CrossRef]
- Sebastiani, A.M.; Baratto-Filho, F.; Bonotto, D.; Kluppel, L.E.; Rebellato, N.L.B.; da Costa, D.J.; Scariot, R. Influence of orthognathic surgery for symptoms of temporomandibular dysfunction. Oral Surg. Oral Med. Oral Pathol. Oral Radiol. 2016, 121, 119–125. [Google Scholar] [CrossRef]
- Al-Moraissi, E.A.; Wolford, L.M.; Perez, D.; Laskin, D.M.; Ellis, E., III. Does orthognathic surgery cause or cure temporomandibular disorders? A systematic review and meta-analysis. J. Oral Maxillofac. Surg. 2017, 75, 1835–1847. [Google Scholar] [CrossRef]








| Patient 1 | Patient 2 | Patient 3 | Patient 4 | |||||
|---|---|---|---|---|---|---|---|---|
| Hard tissue measurements | T0 | T1 | T0 | T1 | T0 | T1 | T0 | T1 |
| Facial angle between Nasion-Pogonion and the Frankfurt horizontal plane | 84.4° | 83.3° | 81.5° | 86.2° | 88.1° | 87.0° | 97.1° | 97.9° |
| Convexity distance between the Pog/N line and point A | −1.2 mm | −0.7 mm | 0.2 mm | 0.2 mm | −0.5 mm | 0.6 mm | −0.3 mm | 0.5 mm |
| Lower facial heigh evaluated by measuring the angle formed by the oral vector SNA-Xi-Pm | 43.6° | 39.0° | 42.0° | 40.4° | 45.4° | 35.9° | 46.2° | 43.3° |
| FH (Frankfurt plan)^Na-A | 90° | 94.9° | 91.9° | 91.9° | 86.3° | 87.4° | 90° | 93.7° |
| Mandibular body axis Xi-Pm | 54.7 mm | 56.8 mm | 57.7 mm | 64.3 mm | 59.3 mm | 59.6 mm | 69.9 mm | 47.6 mm |
| Inter-incisal angle | 142.4° | 142.7° | 140.5° | 143.6° | 123.0° | 112.7° | 131.0° | 122.4° |
| Overjet | 0.5 mm | 3.0 mm | −0.5 mm | 3.3 mm | 4.1 mm | 2.1 mm | 1.9 mm | 2.0 mm |
| Overbite | 0.6 mm | 2.4 mm | −1.3 mm | 3.8 mm | 2.0 mm | 1.6 mm | −1.6 mm | 2.5 mm |
| S-Go | 75.7 mm | 75.5 mm | 79.0 mm | 78.5 mm | 84.3 mm | 78.4 mm | 61.5 mm | 68.4 mm |
| N-Me | 109.9 mm | 111.3 mm | 118.0 mm | 118.3 mm | 127.9 mm | 121.4 mm | 114.9 mm | 115.7 mm |
| S-PNS (posterior nasal spine) | 44.9 mm | 45.0 mm | 46.9 mm | 48.3 mm | 47.6 mm | 48.4 mm | 42.8 mm | 44.6 mm |
| Upper anterior face height N-ANS (anterior nasal spine) | 49.0 mm | 46.1 mm | 54.2 mm | 54.2 mm | 59.7 mm | 54.7 mm | 52.0 mm | 51.1 mm |
| ANS-Me | 61.5 mm | 64.4 mm | 65.9 mm | 64.6 mm | 67.9 mm | 64.7 mm | 64.2 mm | 65.4 mm |
| FH^NB | 96.0° | 94.2° | 97.1° | 92.4° | 90.7° | 88.3° | 95.7° | 94.1° |
| Gonionic angle Ar-Go-Me | 135.2° | 130.5° | 133.1° | 129.9° | 126.5° | 124.6° | 136.6° | 133.5° |
| Ar (articular point)-ANS | 89.5 mm | 90.3 mm | 83.3 mm | 83.3 mm | 85.9 mm | 97.0 mm | 77.6 mm | 79.2 mm |
| Go-Gn | 81.0 mm | 79.7 mm | 76.9 mm | 74.3 mm | 82.4 mm | 76.9 mm | 72.8 mm | 72.4 mm |
| SN-MP (mandibular plan) | 33.4° | 29.1° | 36.0° | 41.8° | 38.6° | 38.1° | 28.5° | 38.8° |
| Y-axis angle between Sella-Gnathion and Frankfurt horizontal plane | 64.9° | 64.1° | 64.4° | 67.8° | 58.1° | 57.1° | 52.0° | 40.5° |
| IMPA angle between the axis of the lower incisor and the mandibular plane | 79.3° | 88.3° | 87.7° | 89.1° | 82.8° | 96.3° | 74.3° | 86.4° |
| Wits index | −9.1 mm | −4.8 mm | −4.2 mm | 1.7 mm | 0.2 mm | 1.7 mm | −5.3 mm | 4.0 mm |
| SNA angle between the Sella-Nasion plane and the Nasion-point A plane | 81.9° | 83.3° | 85.0° | 85.0° | 82.0° | 85.7° | 79.9° | 81.0° |
| SNB angle between the Sella-Nasion plane and the Nasion-point B plane | 87.5° | 81.0° | 83.9° | 81.4° | 82.5° | 81.1° | 81.4° | 80.1° |
| ANB angle the difference between SNA and SNB | −5.6° | 2.3° | 1.1° | 3.6° | −0.5° | 4.6 | −1.5 | 0.9 |
| Palatal plane angle (PP) the angle between the Frankfurt plane and the palatal plane (ANS-PNS) | 6.3° | 7.3° | 3.1° | 3.1° | 13.0° | 1.4° | 6.7° | 5.8° |
| A to N perpendicular (A-N perp) the linear distance from point A to the perpendicular of the Nasion | 0.8 mm | 2.4 mm | 2.0 mm | 2.0 mm | 3.9 mm | 4.9 mm | 3.7 mm | 5.1 mm |
| Pog to N perpendicular (Pog-N perp) the linear distance from the Pogonion to the perpendicular of the Nasion | 12.7 mm | 9.8 mm | 14.0 mm | 3.5 mm | 3.4 mm | 5.4 mm | 12.5 mm | 13.6 mm |
| FMA o Mandibular plane angle (MP) the angle formed by the horizontal Frakfurt plane and the mandibular plane (Go-Me) | 19.5° | 14.0° | 23.0° | 25.0° | 33.4° | 21.4° | 27.4° | 24.9° |
| Patient 1 | Patient 2 | Patient 3 | Patient 4 | |||||
|---|---|---|---|---|---|---|---|---|
| Soft tissue measurements | T0 | T1 | T0 | T1 | T0 | T1 | T0 | T1 |
| Distance Li-Apo distance between Li and line A-pog | 10.9 mm | 14.7 mm | 53.9 mm | 51.7 mm | 19.8 mm | 18.1 mm | 17.0 mm | 15.1 mm |
| Distance Ls (upper labial point)-Apo (line A-Pogonion) | 18.1 mm | 17.4 mm | 21.9 mm | 17.6 mm | 21.2 mm | 21.2 mm | 15.4 mm | 16.5 mm |
| Angle Li (lower labial point)-Apo | 25.9° | 27.9° | 31.5° | 25.4° | 35.0° | 31.5° | 27.7° | 26.3° |
| Upper lip-N perp | 19.3 mm | 21.0 mm | 27.8 mm | 19.9 mm | 17.8 mm | 25.7 mm | 20.4 mm | 23.0 mm |
| Lower lip-N perp | 22.2 mm | 19.1 mm | 27.8 mm | 18.6 mm | 16.0 mm | 22.3 mm | 23.8 mm | 24.6 mm |
| Distance between point Li and E line | 6.7 mm | 7.1 mm | 5.0 mm | 4.0 mm | −1.2 mm | 1.5 mm | 2.8 mm | 3.3 mm |
| Labio-mental angle (Lab) angle between the lines tangent to the lower lip and pogonion passing through the sublabial point | 160.5° | 147.5° | 143.0° | 113.5° | 91.7° | 104.4° | 104.1° | 95.9° |
| Nasolabial angle (NLA) | 86.7° | 86.4° | 104.3° | 110.6° | 89.7° | 85.0° | 119.4° | 107.4° |
| Stomion angle between upper and lower lips | 80.3° | 114.8° | 111.8° | 66.6° | 80.0° | 67.4° | 78.9° | 86.8° |
Disclaimer/Publisher’s Note: The statements, opinions and data contained in all publications are solely those of the individual author(s) and contributor(s) and not of MDPI and/or the editor(s). MDPI and/or the editor(s) disclaim responsibility for any injury to people or property resulting from any ideas, methods, instructions or products referred to in the content. |
© 2024 by the authors. Licensee MDPI, Basel, Switzerland. This article is an open access article distributed under the terms and conditions of the Creative Commons Attribution (CC BY) license (https://creativecommons.org/licenses/by/4.0/).
Share and Cite
Macrì, M.; Alhotan, A.; Galluccio, G.; Barbato, E.; Festa, F. Enhancing Surgical Outcomes via Three-Dimensional-Assisted Techniques Combined with Orthognathic Treatment: A Case Series Study of Skeletal Class III Malocclusions. Appl. Sci. 2024, 14, 3529. https://doi.org/10.3390/app14083529
Macrì M, Alhotan A, Galluccio G, Barbato E, Festa F. Enhancing Surgical Outcomes via Three-Dimensional-Assisted Techniques Combined with Orthognathic Treatment: A Case Series Study of Skeletal Class III Malocclusions. Applied Sciences. 2024; 14(8):3529. https://doi.org/10.3390/app14083529
Chicago/Turabian StyleMacrì, Monica, Abdulaziz Alhotan, Gabriella Galluccio, Ersilia Barbato, and Felice Festa. 2024. "Enhancing Surgical Outcomes via Three-Dimensional-Assisted Techniques Combined with Orthognathic Treatment: A Case Series Study of Skeletal Class III Malocclusions" Applied Sciences 14, no. 8: 3529. https://doi.org/10.3390/app14083529
APA StyleMacrì, M., Alhotan, A., Galluccio, G., Barbato, E., & Festa, F. (2024). Enhancing Surgical Outcomes via Three-Dimensional-Assisted Techniques Combined with Orthognathic Treatment: A Case Series Study of Skeletal Class III Malocclusions. Applied Sciences, 14(8), 3529. https://doi.org/10.3390/app14083529

