Next Article in Journal
Reconstruction of the Physiological Behavior of Real and Synthetic Vessels in Controlled Conditions
Previous Article in Journal
A New Discovery of Cu Mineralization in the North Qaidam, Tibet via Log-Ratio, Robust Factor Analysis, and Spectrum–Area Modeling
 
 
Font Type:
Arial Georgia Verdana
Font Size:
Aa Aa Aa
Line Spacing:
Column Width:
Background:
Article

Effect of the Mandibular Repositioning Appliance (MARA) on Posterior Airway Space (PAS)

by
Zorana Stamenkovic
1,
Julio de Araujo Gurgel
2,
Nenad Popovic
3 and
Nemanja Marinkovic
1,*
1
Clinic for Orthodontics, School of Dental Medicine, University of Belgrade, 11000 Belgrade, Serbia
2
Department of Speech, Language and Hearing Sciences, São Paulo State University (UNESP), Marilia 17515-000, SP, Brazil
3
Orthodontic Practice Popovic & Colleagues, Kronberger Straße 10, 65812 Bad Soden, Germany
*
Author to whom correspondence should be addressed.
Appl. Sci. 2024, 14(6), 2598; https://doi.org/10.3390/app14062598
Submission received: 22 January 2024 / Revised: 8 March 2024 / Accepted: 15 March 2024 / Published: 20 March 2024

Abstract

Aim of the study was to show the effect of skeletal Class II treatment with the mandibular anterior repositioning appliance (MARA) on the sagittal posterior airway space (PAS) diameter. A total of 53 patients were selected retrospectively: 26 male patients (median 13 years, age span 10–19 years) and 27 female patients (median 14 years, age span 11–47 years). All patients had lateral cephalograms taken at T1 (before MARA treatment) and at T2 (after MARA treatment). Average treatment took 13.1 ± 7.5 months (Group 1) and 10.5 ± 4.5 months (Group 2), respectively. The following PAS parameters were obtained at T1 and T2: TI (Tangent Point 1), Me/Gn (menton/gnathion), DW (dorsal wall). Additionally, Björk‘s sum angle, SNA, SNB and ANB were determined. The male patients showed a higher increase in the anteroposterior diameter of the PAS (+27.5%) compared to female patients (+11.6%). Male participants had a significantly higher PAS (p = 0.006) than female participants (p = 0.09). Although not significantly, Björk‘s sum angle decreased in both groups. In general, compared to female patients, male patients showed a greater decrease between T1 and T2. SNA and SNB exhibited varied behavior between T1 and T2, with some individuals reporting a decrease and others reporting an increase. SNA tended to decrease in general. In terms of ANB, the male participants displayed a decrease from T1 to T2. Treatment of a skeletal Class II malocclusion with the mandibular anterior repositioning appliance (MARA) caused an increase in the sagittal posterior airway space (PAS) diameter and, thereby, might be effective against obstructive sleep apnea.

1. Introduction

Clinical manifestations of mandibular hypoplasia range from mild esthetic discrepancies to functional imbalances and obstructive sleep apnea (OSA) [1].
The soft palate, the tongue, the hyoid and the associated soft tissues are directly and indirectly connected to the maxilla and mandibula. This means that the movements of both parts of the jaw directly cause both positional and tensile changes in those connected tissues. These changes in turn cause changes in the volume of the nasal cavity, the oral cavity and the PAS dimensions, depending on the direction and magnitude of the resulting force vector [2]. This is why one may expect ventral/anterior repositioning of the mandible to positively affect the sagittal PAS diameter. Cephalometrically, the PAS is defined as the metric distance between the root of the tongue (anterior margin) and the dorsal pharyngeal wall (posterior margin) and should be measured as an extension of the mandibular plane [3]. By definition, an obstruction is detected when this sagittal distance is smaller than 10 mm [3]. This, combined with the nocturnal phases of apnea during sleep, plus excessive daytime sleepiness and reversible cognitive degradation, indicates the presence of an obstructive sleep apnea syndrome (OSAS) [4]. OSAS is a risk factor for cardio-circulatory diseases, stress-related diseases and diabetes mellitus [5,6]. Newer research also suggests an increased risk for chronic inflammatory diseases (immuno-suppressive effects) and dementia, the latter of which seems to be related to a loss of function of the so-called glymphatic system [7,8,9,10,11]. A possible common denominator for all of these damaging effects is repeated nocturnal catecholamine- and cortisol-mediated emergency responses triggered by a drop in O2 saturation [12,13]. In view of the potentially fatal outcome, especially in adults, OSAS is a condition in urgent need of adequate treatment [12].
Treatment with mandibular advancement devices (MADs), together with CPAP ventilation and orthognathic surgery, is the standard so far in OSAS cases [14]. Orthognathic surgery remains the only permanently curative option; however, it is highly invasive. Ventilation via CPAP (continuous positive airway pressure) or variants thereof are often poorly tolerated by some OSAS patients [15]. The search for a viable middle ground between those two has so far yielded MADs therapy. It has been established that the lateral cephalogram is a useful technique for confirming the possible significance of OSA in patients experiencing suspected symptoms [16]. They are part of the standard orthodontic diagnostic regime.
The mandibular anterior repositioning appliance (MARA) is a fixed functional appliance for Class II correction [17]. In this context, the MARA can be viewed as being analogous to MADs therapy. The MARA, however, produces permanent dentoalveolar and skeletal effects, as opposed to MAD treatment.
It could be hypothesized that—considering its effect—the MARA be situated somewhere between MADs and maxillofacial surgery. The MARA is significantly more invasive than MADs, which is only worn at night, whilst simultaneously avoiding the potential risks and complications associated with maxillofacial surgery. There are multiple studies on changes in the PAS lumen after orthognathic surgery, but there is also a growing number of studies focusing on fixed functional appliances. However, such studies are still outnumbered by the former [18,19].
The present study aimed to show the effect of a fixed functional appliance (mandibular anterior repositioning appliance, MARA) on the posterior airway space. Furthermore, this study aimed to investigate the effects of the MARA on the PAS, taking the sagittal PAS diameter obtained from lateral cephalograms before and after MARA treatment. The H0 hypothesis was that MARA had no effects on the PAS and that no significant changes in the sagittal PAS diameter were found after MARA treatment.

2. Materials and Methods

2.1. Data Acquisition

The Landeszahnarztekammer Hessen’s Institutional Review Board gave its approval to the study, which was carried out in agreement with the Declaration of Helsinki (protocol code 03/2021). All records from patients undergoing MARA treatment due to a Class II malocclusion between 2006 and 2017 were checked for completeness. Thus, 53 patients (see Table 1 and Table 2) were selected from the collective.

2.2. Groups

The groups were composed of 26 male patients (Group 1) and 27 female patients (Group 2) who were selected for the study. Treatment lasted approximately 13 months in Group 1 and approximately 10.5 months in Group 2 (see Table 1). The average age in Group 1 was approximately 13.5 (median 13 years) and the average age in Group 2 was approximately 16.8 years (median 14 years) (see Table 2). A control group was not involved.

2.3. Digital Lateral Cephalograms

For digital lateral cephalograms, two lateral cephalograms were taken during treatment: one before the MARA and multibracket insert (T1) and one after the removal of all orthodontic appliances (T2). All lateral cephalograms were taken using the ORTHOPHOS XGPlus DS/Ceph X-ray machine (formerly, Sirona Dental Systems, Bensheim; presently, Dentsply Sirona Deutschland GmbH, Bensheim, Germany). Digital acquisition, storage and tracing as well as PAS measurements were performed with the software Sidexis XG version 2.56 (formerly, Sirona Dental Systems, Bensheim, Germany; presently, Dentsply Sirona Deutschland GmbH, Bensheim, Germany). To measure changes in the lumen, we selected three remarkable and reproducible markers (see Figure 1). The parameters used in this study were based on the parameters from Kinzinger et al. [20]. The authors selected parameters at the P4 level, focusing on the “mandibular PAS” according to Barrera et al. [21]. Measurements were performed by two clinicians: NP and ZS.

2.4. Cephalometry

Cephalometric tracing was performed by two clinicians (NP and CS) using the plugin DentalVision version 7.7.2. of the software ortho Express version 8.66.1. (Computer Forum, Elmshorn). Cephalometric analysis of the lateral cephalograms followed the use of the Hasund/Ricketts/Jarabak approach. The following parameters were selected:
  • Björk’s sum angle (NSAr, SArGo, ArGoMe) [°];
  • SNA [°];
  • SNB [°];
  • ANB [°].

2.5. Statistics

Statistical analyses, both descriptive and analytic, were performed using the corresponding functionality of Microsoft Excel (version 14.0.7268.500 for Microsoft Office Home and Business 2010, Microsoft Corp. Redmond, Washington, DC, USA). All averages are given with their standard deviation (SD); all changes are presented numerically and as relative difference (%). Differences are tested against a null hypothesis (no difference); p values are shown and interpreted as significant or non-significant at the 5% level (p ≤ 0.05) or at the 1% level (p ≤ 0.01).

3. Results

With regard to the PAS, it was found that, averaged over all the patients in the two groups, the two-dimensional, anteroposterior diameter of the PAS increased, but the increase was greater in the male patients (+27.5%) than in the female patients (+11.6%). A significant increase in the PAS was found in the male patients (p = 0.006) but not in the female patients (p = 0.09) (see Table 3a).
Some patients (N = 7) showed a decrease in the PAS (maximum −1.2 mm). In the male patients, this only occurred in one case (−0.5 mm). This is probably due to the smaller average PAS increase in female patients. To verify this, decreases in the PAS (i.e., negative differences by subtracting the PAS measured in T2 from the PAS measured in T1) were considered to be outliers. This resulted in significant changes in the PAS for both groups: +29.2% (p = 0.005) and +17.8% (0.044) (see Table 3b). The following provides concise and precise descriptions and interpretations of the experimental results.
Additional cephalometric parameters were obtained from the lateral cephalograms. Table 4 shows Björk’s sum angle. This parameter decreased in both groups but not significantly (p = 0.78, p = 0.86). Overall, the male patients showed a greater decrease between T1 and T2 than the female patients. Apparently, unspecified individual factors contributed to this development, other than the MARA alone, resulting in more heterogeneous inter-individual values.
Table 5 and Table 6 display the results for SNA and SNB, and we once more compare them to Kinzinger al. [20]. In the present study, both SNA and SNB behave heterogeneously, with some individuals showing a decrease and other individuals showing an increase between T1 and T2. The general tendency for SNA was a decrease (−0.64 ± 0.45°, p = 0.630 and −0.56 ± 0.40°, p = 0.640).
As for ANB (see Table 7), the male patients showed a decrease between T1 and T2 (−24%, p = 0.058). The 5% level of significance was narrowly exceeded. The female patients displayed a decrease that was less clear than in the male patients (−15.7%, p = 0.311). ANB as well as SNA and SNB behaved differently between individuals, with some individuals showing a decrease and some individuals showing an increase. The overall tendency in the ANB angle was a decrease.

4. Discussion

The sagittal PAS diameter was measured in 53 retrospectively selected MARA patients (male: N = 26, female: N = 27) between T1 (before MARA) and T2 (after MARA). Overall, there was an increase in diameter (+27.5% and +11.6%, respectively). Significance could be established in the male and female patients. It was noticeable, however, in the female patients that some (N = 7) exhibited a decrease in the PAS. In the male patients, only one patient showed such behavior. The question arises here on whether real individual differences are reflected in these results or whether method errors or measurement errors played a significant role.
The increase in the PAS diameter was greater in the male patients than in the female patients. Compared to Kinzinger al. [20], the present study shows a proportional increase in sagittal pharyngeal depth that is mostly significant at the 5% level, while the comparative study, at the P4 level, using the FMA (functional mandibular advancer), found a non-significant decrease, i.e., an anti-proportional relationship at the same pharyngeal level as in the present study. While the changes resulting from MARA treatment were significant at the 5% level, the FMA resulted in a change that was non-significant.
Individual factors could have a negative influence on the PAS in spite of any growth happening. These negative factors could theoretically originate in the hard tissues or in the surrounding soft tissues. Soft tissues (muscles, fat, fibrous tissues and lymphatic tissue) are subject to substantial individual differences and also differences occurring in the same individual over time. Weight gain can increase pharyngeal tissue mass, particularly in the area of the root of the tongue, thereby causing the PAS to decrease in diameter [22]. However, we did not record the individual weight changes between T1 and T2, so we cannot make any assumptions here. Allergies and chronic upper respiratory infections cause an increase in lymphatic tissues, thereby negatively affecting PAS lumen and aerodynamic properties. When measuring the sagittal PAS diameter, both general methodological and individual measurement errors are possible. The posterior airway space is a complex elastic three-dimensional structure. In the lateral cephalograms, we are seeing two-dimensional projections of three-dimensional spatial relationships superimposed laterally [23]. A three-dimensional representation of the PAS would require CT or MRI imaging to obtain both sagittal and transverse measurements as well as volume measurements [24]. CTs come with the great disadvantage of ionizing radiation exposure. MRIs do not involve such radiation, but they are associated with the major disadvantage of substantial financial costs both for the imaging procedure and the contrast agent [24]. By using pre-existing lateral cephalograms, we avoided both problems by opting for a procedure that involves little radiation exposure and costs. Lateral cephalograms are routinely taken as part of orthodontic diagnostics. Becker et al. validated the lateral cephalogram as a predictor for intraoral splint therapy in OSAS [25]. They conclude that lateral cephalograms taken in a supine position are a valid, practical point of reference for the PAS while lateral cephalograms taken in an upright position do not represent the PAS situation during sleep. While they are correct in their conclusions, the immense requirements for a lateral cephalogram in a supine position are not suitable for daily routine practice and we therefore compromised by using lateral cephalograms already taken, without exposing our patient to more ionizing radiation or incurring the costs for MRI imaging.
Venza et al. demonstrated the significance of CBCT in the diagnosis and treatment planning of individuals with OSA [26]. As part of the overall examination, the authors advised evaluating CBCT images and estimating respiratory tract measurements [26]. Based on the outcomes of Vanza et al.’s study, our future study could examine the respiratory tract’s modifications on CBCT following MARA treatment [26].
The absence of a control group in this study could be a possible limitation. The control group could consist of patients with Class II malocclusion who were not treated. Since we analyzed cephalometric radiograms before and after orthodontic treatment, we feel that it would be unethical to exclude patients with Class II malocclusion (who have specific functional and aesthetic issues) from receiving orthodontic treatment in order to include them in the control group.
The parameters used in this study were based on the parameters from Kinzinger et al. [20]. The authors selected parameters at the P4 level, focusing on the “mandibular PAS” according to Barrera et al. [21].
Our PAS data were adjusted for outliers (for single negative PAS changes, see Table 3). The resulting PAS diameter increase between T1 and T2 was significant both for the male patients and the female patients (p = 0.005 and p = 0.044). Observed PAS changes were less pronounced in the female patients compared to the male patients.
Björk’s sum angle reflects the individual growth pattern: if it is less than 396°, the pattern is horizontal; if it is greater than 396°, it is vertical. In the male patients (388.31 ± 7.0°), the general growth pattern was more horizontal than in the female patients (393.18 ± 7.4°). Kinzinger et al. [20] found a greater, non-significant decrease (−0.89°) between T1 and T2. The standard deviation (SD) was 3.27, which was about 4.2 times greater than in the present study. Neither study found a significant change in this parameter. There was a tendency for Björk’s sum angle to decrease in the T1 and T2 interval as a result of MARA treatment. Changes in the vertical direction were the opposite of what was expected. The condyles moved down and forward. The pubertal growth spurt is the best time frame for treatment if skeletal effects are wanted.
The SNA as a sagittal parameter for the maxilla decreased; the upper jaw thus became more retrognathic between T1 and T2 but not significantly. Kinzinger et al. [20] found an increase (+0.32 ± 1.44°, p = 0.363). Both studies found non-significant changes in the SNA. The SNB as an indicator of the sagittal mandibular position increased non-significantly. The lower jaw became more prognathic between T1 and T2. The headgear effect on the upper jaw induced by the MARA occurs as a consequence of moving point A backwards. The vertical arm of the upper elbow produces pressure on the lower arm. This effect is more noticeable in adult patients in which growth intensity is limited. The MARA intensely stimulates lower jaw growth. The total increase in the length of the lower jaw was between 1.5 mm and 2.6 mm. In their study, Rizk et al. showed statistically significant decreases in SNA and ANB, which may have resulted from the maxillary growth restriction that previous researchers had discovered [27]. The amount of forward mandibular development may have been restricted by this “headgear effect”. Therefore, mandibular anterior posture in relation to the cranial base cannot be the only explanation for the notable increase in airway capacity, dimensions and hyoid bone position [27].
In comparing these results with Kinzinger et al. [20], it is notable that the ANB in the FMA group was higher (5.54) than the ANB obtained in the present study (4.87 and 4.14 respectively), with the SD being between 1.25 and 1.5 times greater than in the present study, which puts the ANB derived from the comparative study [20] still within the range that our study established. The ANB angle indicates the sagittal relationship of maxilla versus mandible: here, there was a non-significant decrease, which in turn corresponds with the fact that the lower jaw moves slightly anteriorly in relation to the upper jaw. The clear individual differences that can be observed with regard to SNA, SNB and ANB can be explained by slight individual differences in intermaxillary relation. However, the general tendency as explained here is evident.
Looking at all measured parameters together, a collective 57 patients undergoing MARA treatment (duration 13.12 ± 7.5 months and 10.48 ± 4.5 months) demonstrated a significant increase in the sagittal PAS diameter (+27.5% or +11.6%; adjusted: +29.2% or +17.8%). Jaw growth was directed more horizontally and more with regard to the mandible than the maxilla.
The findings and their implications should be discussed in the broadest context possible. Future research directions may also be highlighted.

5. Conclusions

Class II treatment with a fixed appliance (MARA) seems to be an effective means of increasing the sagittal lumen of the PAS and thus counteracting obstructive sleep apnea. Compared with the FMA [20], we showed a significant change during MARA treatment both for the male patients and the female patients. We hypothesize that the MARA can be a treatment option for Class II patients with mild to moderate OSAS. Also, the MARA could be used to help prevent the development of OSAS later in life.

Author Contributions

Conceptualization, N.P. and Z.S.; methodology, N.P.; software, N.P.; validation, N.P. and Z.S.; formal analysis, N.P. and J.d.A.G.; investigation, N.P.; resources, N.P.; data curation, N.P. and J.d.A.G.; writing—original draft preparation, N.M. and Z.S.; writing—review and editing, Z.S. and N.M.; supervision, Z.S.; project administration, N.M. All authors have read and agreed to the published version of the manuscript.

Funding

This research received no external funding.

Institutional Review Board Statement

The study was conducted in accordance with the Declaration of Helsinki, and it was approved by the Institutional Review Board of Landeszahnarztekammer Hessen (protocol code 03/2021, date of approval: 25 November 2021).

Informed Consent Statement

Not applicable.

Data Availability Statement

The raw data supporting the conclusions of this article will be made available by the authors on request.

Conflicts of Interest

Author N.P. was employed by the Orthodontic Practice Popovic & Colleagues. The remaining authors declare that the research was conducted in the absence of any commercial or financial relationships that could be construed as a potential conflict of interest. N.P was trained by one of the two inventors of the MARA (de Toll) and worked for him. There were no other conflicting or competing interests.

References

  1. DeBerry-Borowiecki, B.; Kukwa, A.; Blanke, R.H. Kephalometric analysis for diagnosis and treatment of obstructive sleep apnea. Laryngoscope 1988, 98, 226–234. [Google Scholar] [CrossRef]
  2. Lye, K.W. Effect of orthognathic surgery on the posterior airway space (PAS). Ann. Acad. Med. Singap. 2008, 37, 677–682. [Google Scholar] [CrossRef] [PubMed]
  3. Mayer, G.; Arzt, M.; Braumann, B.; Ficker, J.H.; Fietze, I.; Frohnhofen, H.; Galetke, W.; Maurer, J.T.; Orth, M.; Penzel, T.; et al. German S3 Guideline Nonrestorative Sleep/Sleep Disorders, chapter “Sleep-Related Breathing Disorders in Adults,” short version. Somnologie 2017, 21, 290–301. [Google Scholar] [CrossRef] [PubMed]
  4. Spicuzza, L.; Caruso, D.; Di Maria, G. Obstructive sleep apnoea syndrome and its management. Ther. Adv. Chronic. Dis. 2015, 6, 273–285. [Google Scholar] [CrossRef] [PubMed]
  5. Muraki, I.; Wada, H.; Tanigawa, T. Sleep apnea and type 2 diabetes. J. Diabetes Investig. 2018, 9, 991–997. [Google Scholar] [CrossRef] [PubMed]
  6. Tietjens, J.R.; Claman, D.; Kezirian, E.J.; De Marco, T.; Mirzayan, A.; Sadroonri, B.; Goldberg, A.N.; Long, C.; Gerstenfeld, E.P.; Yeghiazarians, Y. Obstructive Sleep Apnea in Cardiovascular Disease: A Review of the Literature and Proposed Multidisciplinary Clinical Management Strategy. J. Am. Heart Assoc. Cardiovasc. Cerebrovasc. Dis. 2018, 8, e010440. [Google Scholar] [CrossRef]
  7. Nedergaard, M.; Goldman, S.A. Glymphatic failure as a final common pathway to dementia. Science 2020, 370, 50–56. [Google Scholar] [CrossRef] [PubMed]
  8. Christensen, J.; Yamakawa, G.R.; Shultz, S.R.; Mychasiuk, R. Is the glymphatic system the missing link between sleep impairments and neurological disorders? Examining the implications and uncertainties. Prog. Neurobiol. 2021, 198, 101917. [Google Scholar] [CrossRef] [PubMed]
  9. Reeves, B.C.; Karimy, J.K.; Kundishora, A.J.; Mestre, H.; Cerci, H.M.; Matouk, C.; Alper, S.L.; Lundgaard, I.; Nedergaard, M.; Kahle, K.T. Glymphatic System Impairment in Alzheimer’s Disease and Idiopathic Normal Pressure Hydrocephalus. Trends. Mol. Med. 2020, 26, 285–295. [Google Scholar] [CrossRef]
  10. Liu, X.; Ma, Y.; Ouyang, R.; Zeng, Z.; Zhan, Z.; Lu, H.; Cui, Y.; Dai, Z.; Luo, L.; He, C.; et al. The relationship between inflammation and neurocognitive dysfunction in obstructive sleep apnea syndrome. J. Neuroinflammation 2020, 17, 229. [Google Scholar] [CrossRef]
  11. Kheirandish-Gozal, L.; Gozal, D. Obstructive Sleep Apnea and Inflammation: Proof of Concept Based on Two Illustrative Cytokines. Int. J. Mol. Sci. 2019, 20, 459. [Google Scholar] [CrossRef]
  12. Sircu, V.; Colesnic, S.I.; Covantsev, S.; Corlateanu, O.; Sukhotko, A.; Popovici, C.; Corlateanu, A. The Burden of Comorbidities in Obstructive Sleep Apnea and the Pathophysiologic Mechanisms and Effects of CPAP. Clocks Sleep. 2023, 5, 333–349. [Google Scholar] [CrossRef]
  13. Bikov, A.; Frent, S.; Deleanu, O.; Meszaros, M.; Birza, M.R.; Popa, A.M.; Manzur, A.R.; Gligor, L.; Mihaicuta, S. Time Spent with Saturation below 80% versus 90% in Patients with Obstructive Sleep Apnoea. J. Clin. Med. 2023, 12, 4205. [Google Scholar] [CrossRef] [PubMed]
  14. Manetta, I.P.; Ettlin, D.; Sanz, P.M.; Rocha, I.; Meira e Cruz, M. Mandibular advancement devices in obstructive sleep apnea: An updated review. Sleep Sci. 2022, 15, 398–405. [Google Scholar] [CrossRef]
  15. Qiao, M.; Xie, Y.; Wolff, A.; Kwon, J. Long term adherence to continuous positive Airway pressure in mild obstructive sleep apnea. BMC Pulm. Med. 2023, 23, 320. [Google Scholar] [CrossRef] [PubMed]
  16. Kim, M.J.; Jeong, J.; Lee, J.W.; Kim, I.H.; Park, J.W.; Roh, J.Y.; Kim, N.; Kim, S.J. Screening obstructive sleep apnea patients via deep learning of knowledge distillation in the lateral cephalogram. Sci. Rep. 2023, 13, 17788. [Google Scholar] [CrossRef] [PubMed]
  17. Eckhart, J.E.; White, L.W. Class II Therapy with the Mandibular Anterior Repositioning Appliance. World J. Orthod. 2003, 4, 1–10. [Google Scholar]
  18. Kumari, P.; Roy, S.K.; Roy, I.D.; Rajput, A.K.; Prasanna Kumar, M.P.; Datana, S.; Rahman, S. Changes in posterior airway space and mandibular plane hyoid distance following mandibular advancement DO. Ann. Maxillofac. Surg. 2016, 6, 182–189. [Google Scholar] [CrossRef] [PubMed]
  19. Sriram, S.G.; Andrade, N.N. Kephalometric evaluation of the pharyngeal airway space after orthognathic surgery and distraction osteogenesis of the jaw bones. Indian J. Plast. Surg. 2014, 47, 346–353. [Google Scholar] [CrossRef]
  20. Kinzinger, G.; Czapka, K.; Ludwig, B.; Glasl, B.; Gross, U.; Lisson, J. Effects of fixed appliances in correcting Angle Class II on the depth of the posterior airway space: FMA vs. Herbst appliance--a retrospective cephalometric study. J. Orofac. Orthop. 2011, 72, 301–320. [Google Scholar] [CrossRef]
  21. Barrera, J.E.; Pau, C.Y.; Forest, V.I.; Holbrook, A.B.; Popelka, G.R. Anatomic measures of upper airway structures in obstructive sleep apnea. World J. Otorhinolaryngol. Head Neck Surg. 2017, 3, 85–91. [Google Scholar] [CrossRef]
  22. Lee, J.J.; Sundar, K.M. Evaluation and Management of Adults with Obstructive Sleep Apnea Syndrome. Lung. 2021, 199, 87–101. [Google Scholar] [CrossRef] [PubMed]
  23. Hourfar, J.; Lisson, J.A.; Kinzinger, G.S.M. Changes of epiglottis and hyoid bone position after orthodontic treatment with cast splint fixed functional appliances. Clin. Oral Investig. 2021, 25, 1525–1534. [Google Scholar] [CrossRef] [PubMed]
  24. Eslami, E.; Katz, E.S.; Baghdady, M.; Abramovitch, K.; Masoud, M.I. Are three-dimensional airway evaluations obtained through computed and cone-beam computed tomography scans predictable from lateral cephalograms? A systematic review of evidence. Angle Orthod. 2017, 87, 159–167. [Google Scholar] [CrossRef] [PubMed]
  25. Becker, K.; Bußmeier, U.; Kopp, S.; Langenhan, J.; Rahm, S.; Sens, M.; Thier, M.; Wego, J.; Wilhelm, G. Fernröntgenseitenbild in der Therapie der obstruktiven Schlafapnoe. Somnologie Schlafforschung Schlafmed. 2013, 17, 159–173. [Google Scholar] [CrossRef]
  26. Venza, N.; Malara, A.; Liguori, C.; Cozza, P.; Laganà, G. Upper Airway Characteristics and Morphological Changes by Different MADs in OSA Adult Subjects Assessed by CBCT 3D Imaging. J. Clin. Med. 2023, 12, 5315. [Google Scholar] [CrossRef]
  27. Rizk, S.; Kulbersh, V.P.; Al-Qawasmi, R. Changes in the oropharyngeal airway of Class II patients treated with the mandibular anterior repositioning appliance. Angle Orthod. 2016, 86, 955–961. [Google Scholar] [CrossRef]
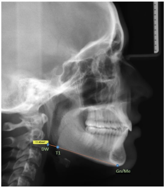
Figure 1. Lateral cephalogram with indicated reference point: Gn/Me (gnathion/menton), T1 (tangent point 1) and DW (dorsal wall). T1 tangent point 1: the intersection of a tangent through Gn with the caudal demarcation of the corpus mandibulae near the gonial angle, which is the Me/Gn (the menton or gnathion following the use of the Hasund index) and the caudalmost point of the mandibular symphysis in the mediosagittal plane. The American definition of the T1 tangent point is the “menton” and the DW (dorsal wall): the intersection of the mandibular plane with the dorsal wall of the PAS.
Figure 1. Lateral cephalogram with indicated reference point: Gn/Me (gnathion/menton), T1 (tangent point 1) and DW (dorsal wall). T1 tangent point 1: the intersection of a tangent through Gn with the caudal demarcation of the corpus mandibulae near the gonial angle, which is the Me/Gn (the menton or gnathion following the use of the Hasund index) and the caudalmost point of the mandibular symphysis in the mediosagittal plane. The American definition of the T1 tangent point is the “menton” and the DW (dorsal wall): the intersection of the mandibular plane with the dorsal wall of the PAS.
Applsci 14 02598 g001
Table 1. Treatment composition of the groups.
Table 1. Treatment composition of the groups.
GroupNMean Treatment Duration
12613.12 ± 7.5 months
22710.48 ± 4.5 months
∑: 53Δ: 2.64 months
Table 2. Age composition of the groups.
Table 2. Age composition of the groups.
GroupMean AgeRangeMedian
113.46 ± 2.0 years10–19 years13 years
216.78 ± 8.2 years11–47 years14 years
Table 3. (a) PAS, raw data; (b) PAS, without outliers.
Table 3. (a) PAS, raw data; (b) PAS, without outliers.
GroupPAS T1PAS T2Δ PAS Abs.Δ Rel.
(a)
110.53 ± 3.4 mm13.42 ± 3.8 mm2.9 ± 2.05 mm27.5% p = 0.006
211.25 ± 2.7 mm12.55 ± 2.9 mm1.3 ± 0.92 mm11.6% p = 0.090
Average10.89 mm12.99 mm2.1 mm-
[20]13.27 ± 3.07 mm12.86 ± 2.47 mm−0.4 ± 2.58 mmp = 0.5155
(b)
1 (N = 25)10.36 ± 3.35 mm13.39 ± 3.90 mm3.03 ± 2.14 mm29.2% p = 0.005
2 (N = 20)10.95 ± 2.86 mm12.90 ± 3.06 mm1.95 ± 1.38 mm17.8% p = 0.044
Table 4. Sum angle [Björk’s sum angle].
Table 4. Sum angle [Björk’s sum angle].
GroupSum Angle T1Sum Angle T2Δ Sum AngleΔ Rel.
1388.31 ± 7.0°387.74 ± 7.9°−0.57 ± 0.07°−0.15% p = 0.780
2393.18 ± 7.4°392.83 ± 7.6°−0.36 ± 0.25°−0.09% p = 0.860
[20]392.96 ± 9.02°392.07 ± 8.85°−0.89 ± 3.27°p = 0.262
Table 5. SNA.
Table 5. SNA.
GroupSNA T1SNA T2Δ SNAΔ Rel.
181.98 ± 4.3°81.34 ± 5.3°−0.64 ± 0.45°−0.78% p = 0.630
280.12 ± 4.2°79.56 ± 4.4°−0.56 ± 0.40°−0.70% p = 0.640
[20]80.15 ± 4.58°80.47 ± 4.17°+0.32 ± 1.44°p = 0.363
Table 6. SNB.
Table 6. SNB.
GroupSNB T1SNB T2Δ SNBΔ SNB Rel.
177.31 ± 4.8°77.63 ± 4.7°0.32 ± 0.23°0.41% p = 0.810
275.98 ± 3.9°76.08 ± 4.3°0.10 ± 0.07°0.13% p = 0.930
[20]74.6 ± 4.99°75.89 ± 5.12°+1.29 ± 1.34°p = 0.0008
Table 7. ANB.
Table 7. ANB.
GroupANB T1ANB T2Δ ANBΔ Rel.
14.87 ± 2.2°3.70 ± 2.2°−1.17 ± 0.82°−24.0% p = 0.058
24.14 ± 2.6°3.49 ± 2.0°−0.65 ± 0.46°−15.7% p = 0.311
[20]5.54 ± 3.25°4.57 ± 2.98°−0.98 ± 1.34°p = 0.0064
Disclaimer/Publisher’s Note: The statements, opinions and data contained in all publications are solely those of the individual author(s) and contributor(s) and not of MDPI and/or the editor(s). MDPI and/or the editor(s) disclaim responsibility for any injury to people or property resulting from any ideas, methods, instructions or products referred to in the content.

Share and Cite

MDPI and ACS Style

Stamenkovic, Z.; de Araujo Gurgel, J.; Popovic, N.; Marinkovic, N. Effect of the Mandibular Repositioning Appliance (MARA) on Posterior Airway Space (PAS). Appl. Sci. 2024, 14, 2598. https://doi.org/10.3390/app14062598

AMA Style

Stamenkovic Z, de Araujo Gurgel J, Popovic N, Marinkovic N. Effect of the Mandibular Repositioning Appliance (MARA) on Posterior Airway Space (PAS). Applied Sciences. 2024; 14(6):2598. https://doi.org/10.3390/app14062598

Chicago/Turabian Style

Stamenkovic, Zorana, Julio de Araujo Gurgel, Nenad Popovic, and Nemanja Marinkovic. 2024. "Effect of the Mandibular Repositioning Appliance (MARA) on Posterior Airway Space (PAS)" Applied Sciences 14, no. 6: 2598. https://doi.org/10.3390/app14062598

APA Style

Stamenkovic, Z., de Araujo Gurgel, J., Popovic, N., & Marinkovic, N. (2024). Effect of the Mandibular Repositioning Appliance (MARA) on Posterior Airway Space (PAS). Applied Sciences, 14(6), 2598. https://doi.org/10.3390/app14062598

Note that from the first issue of 2016, this journal uses article numbers instead of page numbers. See further details here.

Article Metrics

Back to TopTop