Retrospective Clinical Analysis of the Effectiveness of Skeletally Anchored Appliances for Maxillary Expansion
Abstract
1. Introduction
2. Materials and Methods
- Following cone beam computed tomography (CBCT) examination and analysis of the intended location of the mini-implant, the temporary orthodontic implant screws were inserted under local anesthesia. Dual-Top JS jet screw implants (Tiger Dental, Bregenz, Austria) with a diameter of 2.5 mm were used. Four implants were inserted in each patient: two mesially and two distally. Depending on the amount of bone available, implants of 12, 14, or 16 mm in length were inserted by the same operator (BWL).
- After two weeks of the healing, an alginate impression with transfers caps was taken. A master cast was produced in the in-house laboratory from Class IV plaster with four laboratory analogues. The distractor size was chosen based on the clinical situation (the available screw body sizes were 8 mm, 10 mm, 12 mm, 14 mm, and 16 mm). We refer to the appliance as the PS4 Distractor, after the Power Screw (PS) and the number of implants on which it was placed. The master cast with the selected screw and four collars for adhesive bonding was sent to the laboratory. All distractors were made in the same laboratory (Ortolab, Częstochowa, Poland).
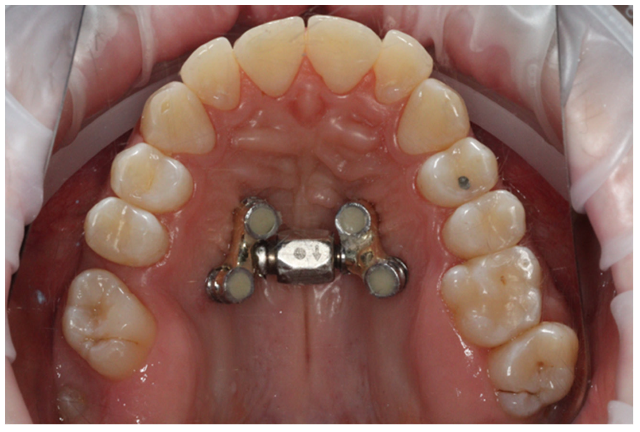
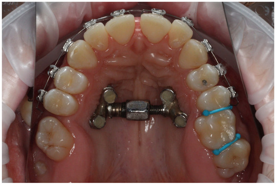
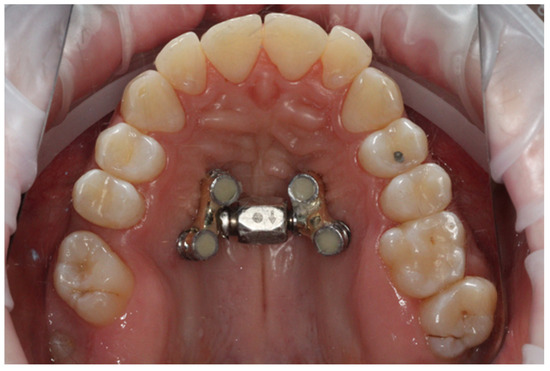
- After a further three weeks, the distractor was cemented onto the implants using SDI Riva Self Cure HV Glass Ionomer (Melbourne, Australia) cement by the same operator (BWL). An example is presented in Figure 1.
- 4.
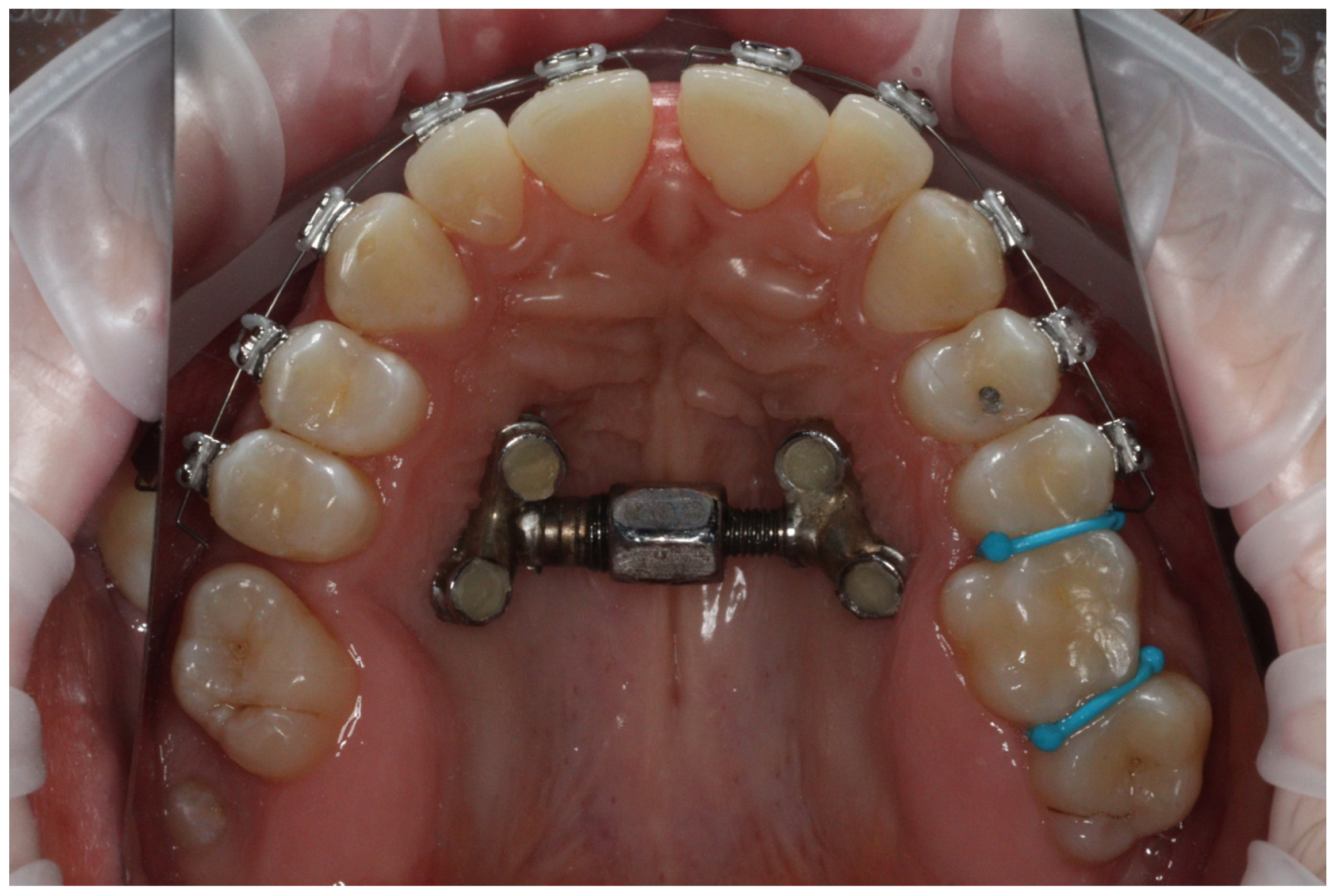
- The patient (or the patient with his or her parents) was instructed on how to deal with the distractor as follows: The screw should be turned twice daily, in the morning and the evening. Each screw has six surfaces, each of which should be counted when turning. Each surface is marked with one, two, or three black dots for visual saliency. A full turn of the screw would result in an expansion of 1 mm, whereas turning the screw by one sixth of a full rotation (one surface) would give an expansion of 0.17 mm. A Power Screw open-ended spanner is used to turn the screw, with the correct direction of rotation being from the upper to the lower incisors. The patient should open the mouth as widely as possible, placing the spanner on the hexagon of the screw body so that the handle is near the upper front teeth. The spanner should then be turned until it is positioned just before the lower teeth (on the tongue). The spanner should then be detached, turned 180° around the longitudinal axis, and placed back on the upper teeth; it should then be moved downwards again, as shown in Figure 2.
- 5.
- One week after application, the first control visit took place.
- 6.
- Two weeks after application, the second control visit took place to evaluate the diastema.
3. Results
4. Discussion
5. Conclusions
Author Contributions
Funding
Institutional Review Board Statement
Informed Consent Statement
Data Availability Statement
Conflicts of Interest
References
- Williams, S.; Loster, J.E.; Loster, B.W. The relationship between maxillary dental and occlusal anomalies: Evidence of a ‘Maxillary Deficiency Syndrome’. Australas. Orthod. J. 2018, 34, 212–224. [Google Scholar] [CrossRef]
- Lin, L.; Ahn, H.W.; Kim, S.J.; Moon, S.C.; Kim, S.H.; Nelson, G. Tooth-borne vs bone-borne rapid maxillary expanders in late adolescence. Angle Orthod. 2015, 85, 253–262. [Google Scholar] [CrossRef] [PubMed]
- Lagravere, M.O.; Major, P.W.; Flores-Mir, C. Long-term skeletal changes with rapid maxillary expansion: A systematic review. Angle Orthod. 2005, 75, 1046–1052. [Google Scholar] [CrossRef] [PubMed]
- Podesser, B.; Williams, S.; Crismani, A.G.; Bantleon, H.P. Evaluation of the effects of rapid maxillary expansion in growing children using computer tomography scanning: A pilot study. Eur. J. Orthod. 2007, 29, 37–44. [Google Scholar] [CrossRef]
- Lagravere, M.O.; Ling, C.P.; Woo, J.; Harzer, W.; Major, P.W.; Carey, J.P. Transverse, vertical, and anterior-posterior changes between tooth-anchored versus Dresden bone-anchored rapid maxillary expansion 6 months post-expansion: A CBCT randomized controlled clinical trial. Int. Orthod. 2020, 18, 308–316. [Google Scholar] [CrossRef]
- Melsen, B. Palatal growth studied on human autopsy material. A histologic microradiographic study. Am. J. Orthod. 1975, 68, 42–54. [Google Scholar] [CrossRef] [PubMed]
- Knaup, B.; Yildizhan, F.; Wehrbein, H. Age-related changes in the midpalatal suture. A histomorphometric study. J. Orofac. Orthop. 2004, 65, 467–474. [Google Scholar] [CrossRef]
- Baccetti, T.; Franchi, L.; Cameron, C.G.; McNamara, J.A., Jr. Treatment timing for rapid maxillary expansion. Angle Orthod. 2001, 71, 343–350. [Google Scholar] [CrossRef]
- Weissheimer, A.; de Menezes, L.M.; Mezomo, M.; Dias, D.M.; de Lima, E.M.; Rizzatto, S.M. Immediate effects of rapid maxillary expansion with Haas-type and hyrax-type expanders: A randomized clinical trial. Am. J. Orthod. Dentofac. Orthop. 2011, 140, 366–376. [Google Scholar] [CrossRef]
- Winsauer, H.; Vlachojannis, J.; Winsauer, C.; Ludwig, B.; Walter, A. A bone-borne appliance for rapid maxillary expansion. J. Clin. Orthod. 2013, 47, 375–381; quiz 388. [Google Scholar]
- Wilmes, B.; Nienkemper, M.; Drescher, D. Application and effectiveness of a mini-implant- and tooth-borne rapid palatal expansion device: The hybrid hyrax. World J. Orthod. 2010, 11, 323–330. [Google Scholar] [PubMed]
- Jia, H.; Zhuang, L.; Zhang, N.; Bian, Y.; Li, S. Age-dependent effects of transverse maxillary deficiency treated by microimplant-assisted rapid palatal expansion: A prospective cone-beam computed tomography study. Am. J. Orthod. Dentofac. Orthop. 2022, 161, 557–573. [Google Scholar] [CrossRef] [PubMed]
- Angelieri, F.; Cevidanes, L.H.; Franchi, L.; Goncalves, J.R.; Benavides, E.; McNamara, J.A., Jr. Midpalatal suture maturation: Classification method for individual assessment before rapid maxillary expansion. Am. J. Orthod. Dentofac. Orthop. 2013, 144, 759–769. [Google Scholar] [CrossRef] [PubMed]
- Angelieri, F.; Franchi, L.; Cevidanes, L.H.; McNamara, J.A., Jr. Diagnostic performance of skeletal maturity for the assessment of midpalatal suture maturation. Am. J. Orthod. Dentofac. Orthop. 2015, 148, 1010–1016. [Google Scholar] [CrossRef] [PubMed]
- Montigny, M. Mini-implant assisted rapid palatal expansion: New perspectives. J. Dentofac. Anom. Orthod. 2017, 20, 18. [Google Scholar] [CrossRef]
- Cistulli, P.A.; Palmisano, R.G.; Poole, M.D. Treatment of obstructive sleep apnea syndrome by rapid maxillary expansion. Sleep 1998, 21, 831–835. [Google Scholar] [CrossRef]
- Choi, S.H.; Shi, K.K.; Cha, J.Y.; Park, Y.C.; Lee, K.J. Nonsurgical miniscrew-assisted rapid maxillary expansion results in acceptable stability in young adults. Angle Orthod. 2016, 86, 713–720. [Google Scholar] [CrossRef]
- Chane-Fane, C.; Darque, F. Rapid maxillary expansion assisted by palatal mini-implants in adolescents—Preliminary study. Int. Orthod. 2015, 13, 96–111. [Google Scholar] [CrossRef]
- Walter, A.; Wendl, B.; Ploder, O.; Mojal, S.; Puigdollers, A. Stability determinants of bone-borne force-transmitting components in three RME hybrid expanders-an in vitro study. Eur. J. Orthod. 2017, 39, 76–84. [Google Scholar] [CrossRef]
- Winsauer, H.; Walter, A.; Katsaros, C.; Ploder, O. Success and complication rate of miniscrew assisted non-surgical palatal expansion in adults—A consecutive study using a novel force-controlled polycyclic activation protocol. Head Face Med. 2021, 17, 50. [Google Scholar] [CrossRef]
- Jeon, J.Y.; Choi, S.H.; Chung, C.J.; Lee, K.J. The success and effectiveness of miniscrew-assisted rapid palatal expansion are age- and sex-dependent. Clin. Oral Investig. 2022, 26, 2993–3003. [Google Scholar] [CrossRef] [PubMed]
- R: A Language and Environment for Statistical Computing. R Foundation for Statistical Computing: Vienna, Austria. 2022. Available online: https://www.R-project.org/ (accessed on 12 August 2022).
- Kapetanovic, A.; Odrosslij, B.; Baan, F.; Bergé, S.J.; Noverraz, R.R.M.; Schols, J.G.J.H.; Xi, T. Efficacy of Miniscrew-Assisted Rapid Palatal Expansion (MARPE) in late adolescents and adults with the Dutch Maxillary Expansion Device: A prospective clinical cohort study. Clin. Oral Investig. 2022, 26, 6253–6263. [Google Scholar] [CrossRef] [PubMed]
- Alikhani, M.; Alansari, S.; Al Jearah, M.; Gadhavi, N.; Hamidaddin, M.A.; Shembesh, F.A.; Sangsuwon, C.; Nervina, J.M.; Teixeira, C.C. Biphasic sutural response is key to palatal expansion. J. World Fed. Orthod. 2019, 8, 9–17. [Google Scholar] [CrossRef]
- Sims, N.A.; Vrahnas, C. Regulation of cortical and trabecular bone mass by communication between osteoblasts, osteocytes and osteoclasts. Arch. Biochem. Biophys. 2014, 561, 22–28. [Google Scholar] [CrossRef] [PubMed]
- Boryor, A.; Hohmann, A.; Wunderlich, A.; Geiger, M.; Kilic, F.; Kim, K.B.; Sander, M.; Böckers, T.; Sander, C. Use of a modified expander during rapid maxillary expansion in adults: An in vitro and finite element study. Int. J. Oral Maxillofac. Implant. 2013, 28, e11–e16. [Google Scholar] [CrossRef][Green Version]
- Gautam, P.; Valiathan, A.; Adhikari, R. Stress and displacement patterns in the craniofacial skeleton with rapid maxillary expansion: A finite element method study. Am. J. Orthod. Dentofacial. Orthop. 2007, 132, e1–e11. [Google Scholar] [CrossRef]



| Parameter | n | % | |
|---|---|---|---|
| Sex | Female | 21 | 53.85% |
| Male | 18 | 46.15% | |
| Age | Below 18 years | 17 | 43.59% |
| 18 years and older | 22 | 56.41% | |
| Diastema after 1 week | No | 16 | 41.03% |
| Yes | 23 | 58.97% | |
| Diastema after 2 weeks | No | 8 | 20.51% |
| Yes | 31 | 79.49% | |
| No. | Sex | Age | Diastema Present after 1 Week | Diastema Present after 2 Weeks |
|---|---|---|---|---|
| 1. | F | 13 years 1 months | Y | Y |
| 2. | F | 13 years 5 months | Y | Y |
| 3. | F | 14 years 1 months | Y | Y |
| 4. | F | 14 years 5 months | Y | Y |
| 5. | F | 15 years 4 months | Y | Y |
| 6. | F | 15 years 7 months | Y | Y |
| 7. | F | 17 years 3 months | Y | Y |
| 8. | F | 17 years 9 months | Y | Y |
| 9. | F | 21 years 4 months | Y | Y |
| 10. | F | 21 years 5 months | Y | Y |
| 11. | F | 22 years 7 months | Y | Y |
| 12. | F | 23 years 3 months | N | Y |
| 13. | F | 23 years 3 months | N | Y |
| 14. | F | 23 years 4 months | Y | Y |
| 15. | F | 23 years 9 months | Y | Y |
| 16. | F | 24 years 3 months | N | Y |
| 17. | F | 26 years 0 months | Y | Y |
| 18. | F | 29 years 7 months | Y | Y |
| 19. | F | 30 years 1 months | N | Y |
| 20. | F | 36 years 7 months | N | N |
| 21. | F | 39 years 4 months | N | Y |
| 22. | M | 11 years 10 months | Y | Y |
| 23. | M | 14 years 0 months | Y | Y |
| 24. | M | 14 years 5 months | Y | Y |
| 25. | M | 14 years 5 months | Y | Y |
| 26. | M | 15 years 7 months | Y | Y |
| 27. | M | 16 years 0 months | Y | Y |
| 28. | M | 16 years 3 months | Y | Y |
| 29. | M | 16 years 6 months | N | N |
| 30. | M | 17 years 2 months | Y | Y |
| 31. | M | 18 years 5 months | N | Y |
| 32. | M | 20 years 8 months | N | N |
| 33. | M | 21 years 4 months | N | N |
| 34. | M | 22 years 9 months | N | Y |
| 35. | M | 25 years 7 months | N | N |
| 36. | M | 26 years 5 months | N | Y |
| 37. | M | 27 years 4 months | N | N |
| 38. | M | 42 years 0 months | N | N |
| 39. | M | 42 years 10 months | N | N |
| Diastema | Sex | p | ||
|---|---|---|---|---|
| Female (n = 13) | Male (n = 9) | |||
| Diastema after 1 week | No | 6 (46.15%) | 9 (100.00%) | p = 0.017 * |
| Yes | 7 (53.85%) | 0 (0.00%) | ||
| Diastema after 2 weeks | No | 1 (7.69%) | 6 (66.67%) | p = 0.007 * |
| Yes | 12 (92.31%) | 3 (33.33%) | ||
| Diastema | Sex | p | ||
|---|---|---|---|---|
| Female (n = 21) | Male (n = 18) | |||
| Diastema after 1 week | no | 6 (29%) | 10 (56%) | p = 0.167 |
| yes | 15 (71%) | 8 (44%) | ||
| Diastema after 2 weeks | no | 1 (5%) | 7 (39%) | p = 0.015 * |
| yes | 20 (95%) | 11 (61%) | ||
Disclaimer/Publisher’s Note: The statements, opinions and data contained in all publications are solely those of the individual author(s) and contributor(s) and not of MDPI and/or the editor(s). MDPI and/or the editor(s) disclaim responsibility for any injury to people or property resulting from any ideas, methods, instructions or products referred to in the content. |
© 2024 by the authors. Licensee MDPI, Basel, Switzerland. This article is an open access article distributed under the terms and conditions of the Creative Commons Attribution (CC BY) license (https://creativecommons.org/licenses/by/4.0/).
Share and Cite
Loster, B.W.; Juszka, Z.; Loster, J.E. Retrospective Clinical Analysis of the Effectiveness of Skeletally Anchored Appliances for Maxillary Expansion. Appl. Sci. 2024, 14, 2449. https://doi.org/10.3390/app14062449
Loster BW, Juszka Z, Loster JE. Retrospective Clinical Analysis of the Effectiveness of Skeletally Anchored Appliances for Maxillary Expansion. Applied Sciences. 2024; 14(6):2449. https://doi.org/10.3390/app14062449
Chicago/Turabian StyleLoster, Bartłomiej W., Zofia Juszka, and Jolanta E. Loster. 2024. "Retrospective Clinical Analysis of the Effectiveness of Skeletally Anchored Appliances for Maxillary Expansion" Applied Sciences 14, no. 6: 2449. https://doi.org/10.3390/app14062449
APA StyleLoster, B. W., Juszka, Z., & Loster, J. E. (2024). Retrospective Clinical Analysis of the Effectiveness of Skeletally Anchored Appliances for Maxillary Expansion. Applied Sciences, 14(6), 2449. https://doi.org/10.3390/app14062449

