Cephalometric Evaluation of Facial Height Ratios and Growth Patterns: A Retrospective Cohort Study
Abstract
1. Introduction
2. Materials and Methods
2.1. Procedure Methodology
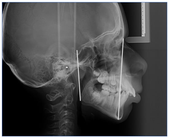
2.1.1. Cephalometric Measurements and Protocol
| S. No | Measurement | Description |
|---|---|---|
| 1 | Total Anterior Facial Height | Measured along the N–Me line. |
| 2 | Total Posterior Facial Height | Measured along the S–Go line. |
| 3 | FHR | Jarabak’s ratio, also known as the ratio of TPFH to TAFH multiplied by 100, is calculated. Based on FHR, we classify facial morphology into three patterns: (1) Hyperdivergent growth pattern: FHR < 59%, predominantly vertical growth pattern. (2) Neutral or normodivergent growth pattern: FHR between 59 and 63%. (3) Hypodivergent growth pattern: FHR > 63%, predominantly horizontal growth pattern [18]. According to Ahmed et al., the sum of posterior angles and the Jarabak ratio provide a more accurate measurement of the vertical relationship [19]. |
| 4 | S–Gn (y-axis) Angle | The mandible’s position in relation to the cranial base is defined. A mean value of 66° indicates a posterior mandibular position and a dominance of vertical growth; smaller angles indicate an anterior mandibular position and a dominance of anterior growth [20]. |
| 5 | Y SN Angle | Formed by the SN plane and the y-axis, it reflects the downward and forward posture of the chin relative to the upper face [21,22,23,24]. |
- S (sella turcica): located in the middle of the hypophyseal and pituitary fossae.
- N (nasion): the most anterior point of the middle frontonasal suture.
- Go (gonion): the midpoint on the posterior border of each gonial angle, located mediolaterally.
- Me (menton): the lowest point on the chin’s curve [25].
- Hyperdivergent: FHR < 59%.
- Normodivergent: FHR between 59% and 63%.
- Hypodivergent: FHR > 63% [18].
2.1.2. Reliability Analysis
2.2. Statistical Analysis
3. Results
3.1. Baseline Characteristics of the Included Sample
3.2. Molar Class Distribution
3.3. Predictors of Gender Differentiation
4. Discussion
5. Conclusions
Author Contributions
Funding
Institutional Review Board Statement
Informed Consent Statement
Data Availability Statement
Conflicts of Interest
References
- Amatya, S.; Shrestha, R.M.; Napit, S. Growth pattern in skeletal Class I malocclusion: A Cephalometric Study. Orthod. J. Nepal 2021, 11, 49–54. [Google Scholar] [CrossRef]
- Kotuła, J.; Kuc, A.; Szeląg, E.; Babczyńska, A.; Lis, J.; Matys, J.; Kawala, B.; Sarul, M. Comparison of Diagnostic Validity of Cephalometric Analyses of the ANB Angle and Tau Angle for Assessment of the Sagittal Relationship of Jaw and Mandible. Clin. Med. 2023, 12, 6333. [Google Scholar] [CrossRef] [PubMed]
- Flieger, R.; Matys, J.; Dominiak, M. The best time for orthodontic treatment for Polish children based on skeletal age analysis in accordance to refund policy of the Polish National Health Fund (NFZ). Adv. Clin. Exp. Med. 2018, 10, 1377–1382. [Google Scholar] [CrossRef] [PubMed]
- Gowda, R.S.; Raghunath, N.; Sahoo, K.C.; Shivlinga, B.M. Comparative study of mandibular morphology in patients with hypodivergent and hyperdivergent growth patterns: A cephalometric study. J. Indian Orthod. Soc. 2013, 47 (Suppl. S3), 377–381. [Google Scholar] [CrossRef]
- Vashisht, L.; Negi, S.; Aggarwal, M.; Sandhu, G.P.S.; Kaushal, B. To check the reliability of various cephalometric parameters used for predicting the types of malocclusion and growth pattern. J. Adv. Med. Dent. Sci. Res. 2016, 4, 15. [Google Scholar]
- Yadav, R.; Dutta, K.; Gosain, N.; Yadav, A.K.; Yadav, N.; Singh, K.K. Vertical Proportion of the Face: A Cephalometric Study. Orthod. J. Nepal 2021, 11, 24–28. [Google Scholar] [CrossRef]
- Alhaija, E.S.A.; Richardson, A. Growth prediction in Class III patients using cluster and discriminant function analysis. Eur. J. Orthod. 2003, 25, 599–608. [Google Scholar] [CrossRef]
- Wins, S.M.; Antonarakis, G.S.; Kiliaridis, S. Predictive factors of sagittal stability after treatment of Class II malocclusions. Angle Orthod. 2016, 86, 1033–1041. [Google Scholar] [CrossRef]
- Cruz, C.V.; Mattos, C.T.; Maia, J.C.; Granjeiro, J.M.; Reis, M.F.; Mucha, J.N.; Vilella, B.; Ruellas, A.C.; Luiz, R.R.; Costa, M.C.; et al. Genetic polymorphisms underlying the skeletal Class III phenotype. Am. J. Orthod. Dentofac. Orthop. 2017, 151, 700–707. [Google Scholar] [CrossRef]
- Auconi, P.; Scazzocchio, M.; Defraia, E.; McNamara, J.A.; Franchi, L. Forecasting craniofacial growth in individuals with class III malocclusion by computational modeling. Eur. J. Orthod. 2014, 36, 207–216. [Google Scholar] [CrossRef]
- Jiménez-Silva, A.; Carnevali-Arellano, R.; Vivanco-Coke, S.; Tobar-Reyes, J.; Araya-Díaz, P.; Palomino-Montenegro, H. Craniofacial growth predictors for class II and III malocclusions: A systematic review. Clin. Exp. Dent. Res. 2021, 7, 242–262. [Google Scholar] [CrossRef] [PubMed]
- Hakeem, U.U.H.; Sidhu, M.S.; Prabhakar, M. A céphalometric evaluation of dentoskeletal variables and ratios in three different facial types. J. Adv. Med. Dent. Sci. Res. 2021, 9, 51–63. [Google Scholar]
- Padarthi, S.C.; Vijayalakshmi, D.; Apparao, H. Evaluation of Facial Height Ratios and Growth Patterns in Different Malocclusions in a Population of Dravidian Origin—A Cephalometric Study. IOSR J. Dent. Med. Sci. 2019, 18, 59–66. [Google Scholar]
- Proffit, W.R.; Fields, H.; Msd, D.M.; Larson, B.; Sarver, D.M. Contemporary Orthodontics, 6th ed.; South Asia Edition-E-Book; Elsevier: Gurugram, India, 2019. [Google Scholar]
- Nadim, K.A.R.; Rizwan, S. Prevalence of angle malocclusion according to age groups and gender. Pak. Oral Dent. J. 2014, 34. [Google Scholar]
- Bao, H.; Zhang, K.; Yu, C.; Li, H.; Cao, D.; Shu, H.; Liu, L.; Yan, B. Evaluating the accuracy of automated cephalometric analysis based on artificial intelligence. BMC Oral Health 2023, 23, 191. [Google Scholar] [CrossRef]
- Solow, B.; Tallgren, A. Head posture and craniofacial morphology. Am. J. Phys. Anthropol. 1976, 44, 417–435. [Google Scholar] [CrossRef]
- Siriwat, P.P.; Jarabak, J.R. Malocclusion and facial morphology: Is there a relationship? An epidemiologic study. Angle Orthod. 1985, 55, 127–138. [Google Scholar]
- Ahmed, H.M.; Mahmoud, A.B.; Al-Shaham, S.A. The relation among different methods for assessing the vertical jaws relation. IOSR J. Dent. Med. Sci. 2016, 15, 33–38. [Google Scholar]
- Rakosi, T. An Atlas and Manual of Cephalometric Radiology; Wolfe Medical: London, UK, 1982. [Google Scholar]
- Valiathan, M.; Valiathan, A.; Ravinder, V. Jarabak cephalometric analysis reborn. J. Indian Orthod. Soc. 2001, 35, 66–76. [Google Scholar] [CrossRef]
- Alizadeh, V.S.; Nucci, L.; Farahmand, M.; Aghdam, H.M.; Fateh, A.; Jamilian, A.; d’Apuzzo, F. Hard and Soft Tissue Changes in Patients with Borderline Class III Malocclusion after Maxillary Advancement or Mandibular Setback Surgery: A Cross-Sectional Study. Sci. Repos. 2020, 3, 3–6. [Google Scholar]
- Mucedero, M.; Coviello, A.; Baccetti, T.; Franchi, L.; Cozza, P. Stability factors after double-jaw surgery in Class III malocclusion: A systematic review. Angle Orthod. 2008, 78, 1141–1152. [Google Scholar] [CrossRef] [PubMed]
- Abeltins, A.; Jakobsone, G.; Urtane, I.; Bigestans, A. The stability of bilateral sagittal ramus osteotomy and vertical ramus osteotomy after bimaxillary correction of class III malocclusion. J. Cranio-Maxillofac. Surg. 2011, 39, 583–587. [Google Scholar] [CrossRef] [PubMed]
- Basavaraj, S.P. An Atlas on Cephalometric Landmarks; JP Medical Ltd.: Tokyo, Japan, 2013; pp. 3–69. [Google Scholar]
- Wang, M.F.; Otsuka, T.; Akimoto, S.; Sato, S. Vertical facial height and its correlation with facial width and depth: Three-dimensional cone beam computed tomography evaluation based on dry skulls. Int. J. Stomatol. Occlusion Med. 2013, 6, 120–129. [Google Scholar] [CrossRef]
- Mangla, R.; Singh, N.; Dua, V.; Padmanabhan, P.; Khanna, M. Evaluation of mandibular morphology in different facial types. Contemp. Clin. Dent. 2011, 2, 200. [Google Scholar] [CrossRef]
- Vieira, F.P.; Pinzan, A.; Janson, G.; Fernandes, T.M.F.; Sathler, R.C.; Henriques, R.P. Facial height in Japanese-Brazilian descendants with normal occlusion. Dent. Press J. Orthod. 2014, 19, 54–66. [Google Scholar] [CrossRef][Green Version]
- Al-Jabaa, A.H.; Aldrees, A.M. ANB, Wits and Molar Relationship, Do they correlate in Orthodontic Patients? Dentistry 2014, 4, 1. [Google Scholar]
- Sahu, A.; Kumar, V.; Thakur, S.; Rai, S.; Bharti, P. Facial Morphology and Malocclusion Is there any relationship? A Cephalometric Analysis in Hazaribag Population. J. Contemp. Orthod. 2018, 2, 64–69. [Google Scholar]
- Roi, A.; Roi, C.I.; Andreescu, N.I.; Riviş, M.; Badea, I.D.; Meszaros, N.; Rusu, L.C.; Iurciuc, S. Oral cancer histopathological subtypes in association with risk factors: A 5-year retrospective study. Rom. J. Morphol. Embryol. 2020, 61, 1213. [Google Scholar] [CrossRef]
- Maskey, S.; Shrestha, R. Cephalometric approach to vertical facial height. Orthod. J. Nepal 2019, 9, 54–58. [Google Scholar] [CrossRef]
- Taner, L.; Gürsoy, G.M.; Uzuner, F.D. Does Gender Have an Effect on Craniofacial Measurements? Turk. J. Orthod. 2019, 32, 59. [Google Scholar] [CrossRef]
- Lee, J.; Bae, S.R.; Noh, H.K. Commercial artificial intelligence lateral cephalometric analysis: Part 2—Effects of human examiners on artificial intelligence performance, a pilot study. J. Clin. Pediatr. Dent. 2023, 47, 130–141. [Google Scholar] [PubMed]
- Pascadopoli, M.; Zampetti, P.; Nardi, M.G.; Pellegrini, M.; Scribante, A. Smartphone applications in dentistry: A scoping review. Dent. J. 2023, 11, 243. [Google Scholar] [CrossRef]
- Björk, A. The nature of facial prognathism and its relation to normal occlusion of the teeth. Am. J. Orthod. 1951, 37, 106–124. [Google Scholar] [CrossRef] [PubMed]
- Schudy, F.F. Vertical growth versus anteroposterior growth as related to function and treatment. Angle Orthod. 1964, 34, 75–93. [Google Scholar]
- Johnston, L.E. A simplified approach to prediction. Am. J. Orthod. 1975, 67, 253–257. [Google Scholar] [CrossRef] [PubMed]
- Opdebeeck, H.; Bell, W.H. The short face syndrome. Am. J. Orthod. 1978, 73, 499–511. [Google Scholar] [CrossRef] [PubMed]
- Francisconi, M.F.; Henriques, J.F.C.; Janson, G.; Freitas, K.M.S.D.; Santos, P.B.D.D. Stability of Class II treatment with the Bionator followed by fixed appliances. J. Appl. Oral Sci. 2013, 21, 547–553. [Google Scholar] [CrossRef]
- Miguel, J.A.M.; Cunha, D.L.; Calheiros, A.D.A.; Koo, D. Rationale for referring class II patients for early orthodontic treatment. J. Appl. Oral Sci. 2005, 13, 312–317. [Google Scholar] [CrossRef]
- Michele, C.; Federica, A.; Alessandro, S. Two-dimensional and three-dimensional cephalometry using cone beam computed tomography scans. J. Craniofacial Surg. 2015, 26, e311–e315. [Google Scholar] [CrossRef]
- Kanemeier, M.; Middelberg, C.; Stamm, T.; Albert, F.; Hohoff, A.; Schmid, J.Q. Accuracy and tracing time of cephalometric analyses on a tablet or desktop computer. Head Face Med. 2024, 20, 9. [Google Scholar] [CrossRef]




| Characteristic | N = 94 |
|---|---|
| Age 1 | 21 (14, 28) |
| TPFH 1 | 76 (70, 81) |
| TAFH 1 | 112 (104, 120) |
| Jarabak’s ratio 1 | 67.0 (64.0, 72.0) |
| Molar Class 2 | |
| 1 | 35 (37%) |
| 2 | 46 (49%) |
| 3 | 13 (14%) |
| Y-axis to SN 1 | 65.0 (62.0, 69.0) |
| Gender 2 | |
| M | 35 (37%) |
| F | 59 (63%) |
| Male (N = 35) | Female (N = 59) | Total (N = 94) | p Value | |
|---|---|---|---|---|
| Group I | 13.0 (38.2%) | 21.0 (35.6%) | 34.0 (36.6%) | 0.223 1 |
| Group II | 19.0 (55.9%) | 27.0 (45.8%) | 46.0 (49.5%) | |
| Group III | 2.0 (5.9%) | 11.0 (18.6%) | 13.0 (14.0%) |
| N | I | II | III | Test Statistics | |
|---|---|---|---|---|---|
| (N = 35) | (N = 46) | (N = 13) | |||
| Y-axis to SN | 94 | 61.2, 65.0, 69.0 | 62.0, 65.0, 69.0 | 59.7, 67.0, 69.0 | F2,91 = 0.00, p = 1.00 1 |
| TPFH | 94 | 71.2, 77.0, 81.0 | 69.0, 75.0, 81.1 | 70.7, 76.0, 78.3 | F2,91 = 0.30, p = 0.74 1 |
| TAFH | 94 | 104.0, 112.0, 122.8 | 104.0, 112.0, 119.1 | 107.0, 113.0, 116.3 | F2,91 = 0.26, p = 0.77 1 |
| Model Coefficients: Gender | |||||||
|---|---|---|---|---|---|---|---|
| 95% Confidence Interval | |||||||
| Predictor | Estimate | SE | Z | p | Odds Ratio | Lower | Upper |
| Intercept | −1.30310 | 4.5273 | −0.288 | 0.773 | 0.272 | 3.81 × 10−5 | 1939.431 |
| TPFH | −0.00882 | 0.0510 | −0.173 | 0.863 | 0.991 | 0.897 | 1.095 |
| TAFH | 0.10096 | 0.0441 | 2.291 | 0.022 | 1.106 | 1.015 | 1.206 |
| Y-axis to SN | −0.15276 | 0.0748 | −2.043 | 0.041 | 0.858 | 0.741 | 0.994 |
| Model Coefficients: Divergent | 95% Confidence Interval | |||||||
|---|---|---|---|---|---|---|---|---|
| Divergent | Predictor | Estimate | SE | Z | p | Odds Ratio | Lower | Upper |
| Hyperdivergent–Normodivergent | Intercept | 24.8994 | 12.1376 | −2.051 | 0.040 | 1.54 × 10−11 | 7.16 × 10−22 | 0.330 |
| Age | −0.0564 | 0.1059 | −0.532 | 0.594 | 0.945 | 0.768 | 1.163 | |
| Y-axis_to_SN | 0.3547 | 0.1732 | 2.047 | 0.041 | 1.426 | 1.015 | 2.002 | |
| Hypodivergent–Normodivergent | Intercept | 21.0955 | 7.1048 | 2.969 | 0.003 | 1.45 × 109 | 1300.356 | 1.62 × 1015 |
| Age | 0.0475 | 0.0468 | 1.015 | 0.310 | 1.049 | 0.957 | 1.149 | |
| Y-axis to_SN | −0.3050 | 0.1052 | −2.900 | 0.004 | 0.737 | 0.600 | 0.906 | |
Disclaimer/Publisher’s Note: The statements, opinions and data contained in all publications are solely those of the individual author(s) and contributor(s) and not of MDPI and/or the editor(s). MDPI and/or the editor(s) disclaim responsibility for any injury to people or property resulting from any ideas, methods, instructions or products referred to in the content. |
© 2024 by the authors. Licensee MDPI, Basel, Switzerland. This article is an open access article distributed under the terms and conditions of the Creative Commons Attribution (CC BY) license (https://creativecommons.org/licenses/by/4.0/).
Share and Cite
Stăncioiu, A.-A.; Vasica, F.; Nagib, R.; Popa, A.; Motofelea, A.C.; Hușanu, A.A.; Szuhanek, C.-A. Cephalometric Evaluation of Facial Height Ratios and Growth Patterns: A Retrospective Cohort Study. Appl. Sci. 2024, 14, 10168. https://doi.org/10.3390/app142210168
Stăncioiu A-A, Vasica F, Nagib R, Popa A, Motofelea AC, Hușanu AA, Szuhanek C-A. Cephalometric Evaluation of Facial Height Ratios and Growth Patterns: A Retrospective Cohort Study. Applied Sciences. 2024; 14(22):10168. https://doi.org/10.3390/app142210168
Chicago/Turabian StyleStăncioiu, Andra-Alexandra, Floare Vasica, Riham Nagib, Adelina Popa, Alexandru Cătălin Motofelea, Anca Adriana Hușanu, and Camelia-Alexandrina Szuhanek. 2024. "Cephalometric Evaluation of Facial Height Ratios and Growth Patterns: A Retrospective Cohort Study" Applied Sciences 14, no. 22: 10168. https://doi.org/10.3390/app142210168
APA StyleStăncioiu, A.-A., Vasica, F., Nagib, R., Popa, A., Motofelea, A. C., Hușanu, A. A., & Szuhanek, C.-A. (2024). Cephalometric Evaluation of Facial Height Ratios and Growth Patterns: A Retrospective Cohort Study. Applied Sciences, 14(22), 10168. https://doi.org/10.3390/app142210168

