Biomimetic Capabilities of Lithium Disilicate Glass-Ceramic Restorations on Posterior Teeth: Evaluation of the Long-Term Survival Rate—A 10-Year Follow-Up
Abstract
1. Introduction
2. Materials and Methods
2.1. Cases Selection
2.2. Clinical Preparation Protocol
2.3. Ceramic Restorations Fabrication
2.4. Clinical Cementation Protocol
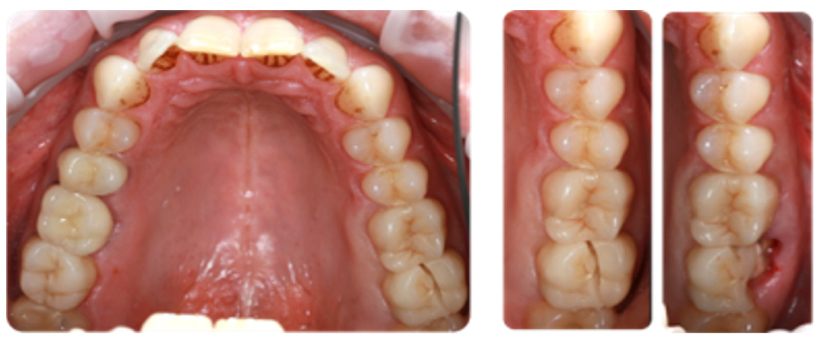
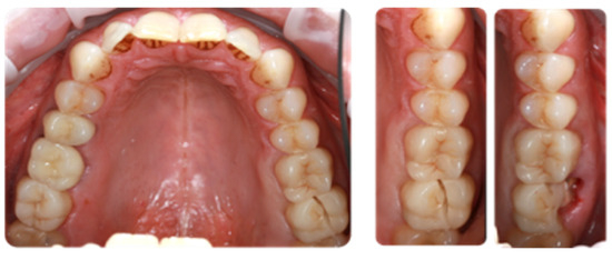
2.5. Clinical Evaluation Periods
2.6. Clinical Evaluation Criteria
| 1. Color matching: | —Alfa: the color of the restoration matches that of the tooth; |
| —Bravo: the discrepancy is not beyond normal perception; | |
| —Charlie: the discrepancy is beyond normal perception; clinically | |
| unacceptable. | |
| 2. Marginal discoloration: | —Alfa: no discoloration is detected; |
| —Bravo: discoloration that does not penetrate in the pulpal direction; | |
| —Charlie: discoloration that penetrates in the pulpal direction; | |
| clinically unacceptable. | |
| 3. Postoperative hypersensitivity: | —Alfa: postoperative hypersensitivity is absent; |
| —Bravo: has postoperative hypersensitivity. | |
| 4. Anatomical shape: | —Alfa: the restoration conforms to the anatomical shape of the tooth; |
| —Bravo: the restoration does not conform to the existing anatomical shape, but the missing material is not sufficient to expose dentin; | |
| —Charlie: a significant volume of material is missing, and dentin is exposed. | |
| 5. Proximal contact: | —Alfa: excellent proximal contact; |
| —Bravo: proximal contact weak but present; | |
| —Charlie: no proximal contact. | |
| 6. Marginal integrity: | —Alfa: no visible gap or crack; |
| —Bravo: visible gap or crack; the probe enters a gap, but no dentin was detected; | |
| —Charlie: there is a fracture of the restoration: a part is missing or the entire obturation. | |
| 7. Secondary carious lesion: | —Alfa: no carious lesion in the marginal zone; |
| —Bravo: caries in the marginal zone of the restoration resulting in an area repair or replacement of the entire restoration. |
2.7. Statistical Analysis
3. Results
4. Discussion
5. Conclusions
Author Contributions
Funding
Institutional Review Board Statement
Informed Consent Statement
Data Availability Statement
Conflicts of Interest
References
- Christensen, G.J. Is the rush to all-ceramic crowns justified? J. Am. Dent. Assoc. 2014, 145, 192–194. [Google Scholar] [CrossRef]
- Burian, G.; Erdelt, K.; Schweiger, J.; Keul, C.; Edelhoff, D.; Güth, J.-F. In-vivo-wear in composite and ceramic full mouth rehabilitations over 3 years. Sci. Rep. 2021, 11, 14056. [Google Scholar] [CrossRef]
- Creugers, N.H.; Mentink, A.G.; Fokkinga, W.A.; Kreulen, C.M. 5-year follow-up of a prospective clinical study on various types of core restorations. Int. J. Prosthodont. 2005, 18, 34–39. [Google Scholar] [CrossRef]
- Opdam, N.J.; Bronkhorst, E.M.; Roeters, J.M.; Loomans, B.A. Longevity and reasons for failure of sandwich and total-etch posterior composite resin restorations. J. Adhes. Dent. 2007, 9, 469–475. [Google Scholar] [CrossRef]
- Krifka, S.; Anthofer, T.; Fritzsch, M.; Hiller, K.A.; Schmalz, G.; Federlin, M. Ceramic inlays and partial ceramic crowns: Influence of remaining cusp wall thickness on the marginal integrity and enamel crack formation in vitro. Oper. Dent. 2009, 34, 32–42. [Google Scholar] [CrossRef]
- Manhart, J.; Chen, H.Y.; Mehl, A.; Hickel, R. Clinical study of indirect composite resin inlays in posterior stress-bearing preparations placed by dental students: Results after 6 months and 1, 2, and 3 years. Quintessence Int. 2010, 41, 399–410. [Google Scholar]
- Haralur, S.B.; Al-Qahtani, A.S.; Al-Qarni, M.M.; Al-Homrany, R.M.; Aboalkhair, A.E. Influence of remaining dentin wall thickness on the fracture strength of endodontically treated tooth. J. Conserv. Dent. 2016, 19, 63–67. [Google Scholar] [CrossRef]
- Corrêa, G.; Brondani, L.P.; Wandscher, V.F.; Pereira, G.K.R.; Valandro, L.F.; Bergoli, C.D. Influence of remaining coronal thickness and height on biomechanical behavior of endodontically treated teeth: Survival rates, load to fracture and finite element analysis. J. Appl. Oral Sci. 2018, 26, e20170313. [Google Scholar] [CrossRef]
- Laajala, A.; Karhatsu, P.; Pesonen, P.; Laitala, M.L.; Näpänkangas, R.; Raustia, A.; Anttonen, V. Association of indirect restorations with past caries history and present need for restorative treatment in the northern Finland birth cohort. Clin. Oral Investig. 2018, 22, 1495–1501. [Google Scholar] [CrossRef]
- Malament, K.A.; Socransky, S.S. Survival of dicor glass-ceramic dental restorations over 14 years. Part II: Effect of thickness of Dicor material and design of tooth preparation. J. Prosthet. Dent. 1999, 81, 662–667. [Google Scholar] [CrossRef]
- Li, Z.; Gao, C.; Xu, Y.; Xu, J. Three years retrospective clinical evaluation of endodontically treated premolars restored by cast ceramic onlays. West. Chin. J. Stomatol. 2015, 33, 263–266. [Google Scholar] [CrossRef]
- Al Amri, M.D.; Al-Johany, S.; Sherfudhin, H.; Al Shammari, B.; Al Mohefer, S.; Al Saloum, M.; Al Qarni, H. Fracture resistance of endodontically treated mandibular first molars with conservative access cavity and different restorative techniques: An in vitro study. Aust. Endod. J. 2016, 42, 124–131. [Google Scholar] [CrossRef] [PubMed]
- Merrill, T.C.; Mackey, T.; Luc, R.; Lung, D.; Naseem, A.; Abduo, J. Effect of chairside CAD/CAM restoration type on marginal fit accuracy: A comparison of crown, inlay and onlay restorations. Eur. J. Prosthodont. Restor. Dent. 2021, 29, 119–127. [Google Scholar] [PubMed]
- de Assis, C.; Lemos, C.; Gomes, J.; Vasconcelos, B.; Moraes, S.; Braz, R.; Pellizzer, E.P. Clinical Efficiency of Self-etching One-Step and Two-Step Adhesives in NCCL: A Systematic Review and Meta-analysis. Oper. Dent. 2020, 45, 598–607. [Google Scholar] [CrossRef] [PubMed]
- Morimoto, S.; Rebello de Sampaio, F.B.; Braga, M.M.; Sesma, N.; Özcan, M. Survival Rate of Resin and Ceramic Inlays, Onlays, and Overlays: A Systematic Review and Meta-analysis. J. Dent. Res. 2016, 95, 985–994. [Google Scholar] [CrossRef]
- Srimaneepong, V.; Heboyan, A.; Zafar, M.S.; Khurshid, Z.; Marya, A.; Fernandes, G.V.O.; Rokaya, D. Fixed Prosthetic Restorations and Periodontal Health: A Narrative Review. J. Funct. Biomater. 2022, 13, 15. [Google Scholar] [CrossRef]
- Abdulrahman, S.; Von See Mahm, C.; Talabani, R.; Abdulateef, D. Evaluation of the clinical success of four different types of lithium disilicate ceramic restorations: A retrospective study. BMC Oral Health 2021, 21, 625. [Google Scholar] [CrossRef]
- Piwowarczyk, A.; Lauer, H.C.; Sorensen, J.A. Microleakage of various cementing agents for full cast crowns. Dent. Mater. 2005, 21, 445–453. [Google Scholar] [CrossRef]
- Cvar, J.F.; Ryje, G. Reprint of criteria for the clinical evaluation of dental restorative materials. Clin. Oral Investig. 2005, 9, 215–232. [Google Scholar] [CrossRef]
- Yüksel, E.; Zaimoğlu, A. Influence of marginal fit and cement types on microleakage of all-ceramic crown systems. Braz. Oral Res. 2011, 25, 261–266. [Google Scholar] [CrossRef]
- Forberger, N.; Göhring, T.N. Influence of the type of post and core on in vitro marginal continuity, fracture resistance, and fracture mode of lithia disilicate-based all-ceramic crowns. J. Prosthet. Dent. 2008, 100, 264–273. [Google Scholar] [CrossRef] [PubMed]
- Blunck, U.; Fischer, S.; Hajtó, J.; Frei, S.; Frankenberger, R. Ceramic laminate veneers: Effect of preparation design and ceramic thickness on fracture resistance and marginal quality in vitro. Clin. Oral Investig. 2020, 24, 2745–2754. [Google Scholar] [CrossRef] [PubMed]
- Abduo, J.; Sambrook, R.J. Longevity of ceramic onlays: A systematic review. J. Esthet. Restor. Dent. 2018, 30, 193–215. [Google Scholar] [CrossRef]
- Sirous, S.; Navadeh, A.; Ebrahimgol, S.; Atri, F. Effect of preparation design on marginal adaptation and fracture strength of ceramic occlusal veneers: A systematic review. Clin. Exp. Dent. Res. 2022, 8, 1391–1403. [Google Scholar] [CrossRef]
- Fathpour, K.; Bazazzade, A.; Mirmohammadi, H. A Comparative Study of Cervical Composite Restorations Microleakage Using Dental Universal Bonding and Two-step Self-etch Adhesive. J. Contemp. Dent. Pract. 2021, 22, 1035–1040. [Google Scholar] [CrossRef]
- Duquia Rde, C.; Osinaga, P.W.; Demarco, F.F.; de VHabekost, L.; Conceição, E.N. Cervical microleakage in MOD restorations: In vitro comparison of indirect and direct composite. Oper. Dent. 2006, 31, 682–687. [Google Scholar] [CrossRef]
- Daghrery, A.; Yaman, P.; Lynch, M.; Dennison, J. Evaluation of micro-CT in the assessment of microleakage under bulk fill composite restorations. Am. J. Dent. 2022, 35, 128–132. [Google Scholar]
- Yoon, H.I.; Sohn, P.J.; Jin, S.; Elani, H.; Lee, S.J. Fracture Resistance of CAD/CAM-Fabricated Lithium Disilicate MOD Inlays and Onlays with Various Cavity Preparation Designs. J. Prosthodont. 2019, 28, e524–e529. [Google Scholar] [CrossRef] [PubMed]
- Falacho, R.I.; Marques, J.A.; Palma, P.J.; Roseiro, L.; Caramelo, F.; Ramos, J.C.; Guerra, F.; Blatz, M.B. Luting indirect restorations with resin cements versus composite resins: Effects of preheating and ultrasound energy on film thickness. J. Esthet. Restor. Dent. 2022, 34, 641–649. [Google Scholar] [CrossRef]
- de la Macorra, J.C.; Pradíes, G. Conventional and adhesive luting cements. Clin. Oral Investig. 2002, 6, 198–204. [Google Scholar] [CrossRef]
- Leung, G.K.; Wong, A.W.; Chu, C.H.; Yu, O.Y. Update on Dental Luting Materials. Dent. J. 2022, 10, 208. [Google Scholar] [CrossRef] [PubMed]
- Kirilova, J.; Kirov, D.; Petrova-Pashova, V. Five-year clinical study of indirect aesthetic restorations—Onlays. Medinfo 2023, 10, 1618–1624. [Google Scholar] [CrossRef]
- Papathanasiou, I.; Kamposiora, P.; Dimitriadis, K.; Papavasiliou, G.; Zinelis, S. In vitro evaluation of CAD/CAM composite materials. J. Dent. 2023, 136, 104623. [Google Scholar] [CrossRef]
- Garoushi, S.; Barlas, D.; Vallittu, P.K.; Uctasli, M.B.; Lassila, L. Fracture behavior of short fiber-reinforced CAD/CAM inlay restorations after cyclic fatigue aging. Odontology 2024, 112, 138–147. [Google Scholar] [CrossRef]
- Belli, R.; Wendler, M.; de Ligny, D.; Cicconi, M.R.; Petschelt, A.; Peterlik, H.; Lohbauer, U. Chairside CAD/CAM materials. Part 1: Measurement of elastic constants and microstructural characterization. Dent. Mater. 2017, 33, 84–98. [Google Scholar] [CrossRef]
- Brackett, M.G.; Lockwood, P.E.; Messer, R.L.; Lewis, J.B.; Bouillaguet, S.; Wataha, J.C. In vitro cytotoxic response to lithium disilicate dental ceramics. Dent. Mater. 2008, 24, 450–456. [Google Scholar] [CrossRef]
- Yancheva, S.; Vasileva, R. In vitro study of the marginal adaptation and microleakage in Class II restorations of conventional and matrix-modified composites. Dent. Med. 2013, 95, 19–28. [Google Scholar]
- Krämer, N.; Ebert, J.; Petschelt, A.; Frankenberger, R. Ceramic inlays bonded with two adhesives after 4 years. Dent. Mater. 2006, 22, 13–21. [Google Scholar] [CrossRef] [PubMed]
- Fathy, H.; Hamama, H.H.; El-Wassefy, N.; Mahmoud, S.H. Clinical performance of resin-matrix ceramic partial coverage restorations: A systematic review. Clin. Oral Investig. 2022, 26, 3807–3822. [Google Scholar] [CrossRef] [PubMed]
- Thordrup, M. A 5-year clinical study of indirect and direct resin composite and ceramic inlays. Quintessence Int. 2001, 32, 199–205. [Google Scholar]
- Mangani, F.; Marini, S.; Barabanti, N.; Preti, A.; Cerutti, A. The success of indirect restorations in posterior teeth: A systematic review of the literature. Minerva Stomatol. 2015, 64, 231–240. [Google Scholar] [PubMed]
- Magne, P. Composite resins and bonded porcelain: The postamalgam era? J. Calif. Dent. Assoc. 2006, 34, 135–147. [Google Scholar] [CrossRef] [PubMed]
- Nirmala, S.; Goud, S.; Kumar, K.N.; Chukka, R.R.; Reddy, N. Ceramic Onlay: A Case Report. Cureus 2022, 14, e32641. [Google Scholar] [CrossRef] [PubMed]
- Politano, G.; Fabianelli, A.; Papacchini, F.; Cerutti, A. The use of bonded partial ceramic restorations to recover heavily compromised teeth. Int. J. Esthet. Dent. 2016, 11, 314–336. [Google Scholar] [PubMed]
- Coelho Santos, M.; Lauris, J.; Navarro, M. Clinical evaluation of ceramic inlays and onlays fabricated with two systems: Two-year clinical follow up. Oper. Dent. 2004, 29, 123–130. [Google Scholar]
- Hayashi, M.; Tsuchitani, Y.; Kawamura, Y.; Miura, M.; Takeshige, F.; Ebisu, S. Eight-year clinical evaluation of fired ceramic inlays. Oper. Dent. 2000, 25, 473–481. [Google Scholar]
- Holme, W. Gold versus ceramic—Which will last longer for posterior indirect restorations? Evid. Based Dent. 2022, 23, 166–167. [Google Scholar] [CrossRef]
- Gateva, N.; Kabaktchieva, R. Hybrid layer thickness in primary and permanent teeth—A comparison between total etch adhesives. J. IMAB 2012, 18, 191–199. [Google Scholar] [CrossRef][Green Version]
- Van Meerbeek, B.; De Munck, J.; Yoshida, Y.; Inoue, S.; Vargas, M.; Vijay, P. Buonocore memorial lecture. Adhesion growth and dentin: Current status and future challenges. Oper. Dent. 2003, 28, 215–235. [Google Scholar]
- Walshaw, P.; Tam, L.; McComb, D. Bond failure at dentin-composite interfaces with ‘single-bottle’ adhesives. J. Dent. 2003, 31, 117–125. [Google Scholar] [CrossRef]
- Tagtekin, D.; Ozyöney, G.; Yanikoglu, F. Two-year clinical evaluation of IPS Empress II ceramic onlays/inlays. Oper. Dent. 2009, 34, 369–378. [Google Scholar] [CrossRef] [PubMed]
- Naik, V.B.; Jain, A.K.; Rao, R.D.; Naik, B.D. Comparative evaluation of clinical performance of ceramic and resin inlays, onlays, and overlays: A systematic review and meta-analysis. J. Conserv. Dent. 2022, 25, 347–355. [Google Scholar] [CrossRef] [PubMed]
- Santos, M.J.; Freitas, M.C.; Azevedo, L.M.; Santos, G.C., Jr.; Navarro, M.F.; Francischone, C.E.; Mondelli, R.F. Clinical evaluation of ceramic inlays and onlays fabricated with two systems: 12-year follow-up. Clin. Oral Investig. 2016, 20, 1683–1690. [Google Scholar] [CrossRef] [PubMed]
- Brandt, S.; Winter, A.; Lauer, H.C.; Kollmar, F.; Portscher-Kim, S.J.; Romanos, G.E. IPS e.max for All-Ceramic Restorations: Clinical Survival and Success Rates of Full-Coverage Crowns and Fixed Partial Dentures. Materials 2019, 12, 462. [Google Scholar] [CrossRef]




| Period | 2nd Year | 5th Year | 10th Year | |
|---|---|---|---|---|
| Groups | ||||
| Group I (n = 42) | n = 42 | n = 42 | n = 42 | |
| Group II (n = 44) | n = 44 | n = 44 | n = 44 | |
| Total | n = 86 | n = 86 | n = 86 | |
| Period | Criterion | 1 | 2 | 3 | 4 | 5 | 6 | 7 | p-Value | |||||||
|---|---|---|---|---|---|---|---|---|---|---|---|---|---|---|---|---|
| Grade | n | % | n | % | n | % | n | % | n | % | n | % | n | % | ||
| 2nd year | Alfa | 86 | 100 | 86 | 100 | 84 | 97.68 | 86 | 100 | 86 | 100 | 86 | 100 | 86 | 100 | <0.03 * |
| Bravo | 0 | 0 | 0 | 0 | 2 | 2.32 | 0 | 0 | 0 | 0 | 0 | 0 | 0 | 0 | ||
| Charlie | 0 | 0 | 0 | 0 | 0 | 0 | 0 | 0 | 0 | 0 | 0 | 0 | 0 | 0 | ||
| 5th year | Alfa | 86 | 100 | 83 | 96.51 | 85 | 98.84 | 86 | 100 | 79 | 91.73 | 82 | 95.35 | 86 | 100 | <0.001 * |
| Bravo | 0 | 0 | 3 | 3.49 | 1 | 1.16 | 0 | 0 | 5 | 5.95 | 3 | 3.49 | 0 | 0 | ||
| Charlie | 0 | 0 | 0 | 0 | 0 | 0 | 0 | 0 | 2 | 2.32 | 1 | 1.16 | 0 | 0 | ||
| 10th year | Alfa | 83 | 96.51 | 80 | 93.03 | 84 | 97.68 | 85 | 98.84 | 79 | 91.73 | 82 | 95.35 | 84 | 97.68 | <0.001 * |
| Bravo | 3 | 3.49 | 6 | 6.97 | 2 | 2.32 | 1 | 1.16 | 3 | 3.49 | 1 | 1.16 | 2 | 2.32 | ||
| Charlie | 0 | 0 | 0 | 0 | 0 | 0 | 0 | 0 | 4 | 4.47 | 3 | 3.49 | 0 | 0 | ||
| p-Value | <0.001 * | <0.005 * | <0.001 * | <0.001 * | <0.007 * | <0.001 * | <0.03 * | |||||||||
| Criterion | 1 | 2 | 3 | 4 | 5 | 6 | 7 | p-Value | ||||||||
|---|---|---|---|---|---|---|---|---|---|---|---|---|---|---|---|---|
| Period 2nd year | Grade | n | % | n | % | n | % | n | % | n | % | n | % | n | % | |
| Group I Premolars (n = 42) | Alfa | 42 | 100 | 42 | 100 | 42 | 100 | 42 | 100 | 42 | 100 | 42 | 100 | 42 | 100 | <0.03 * |
| Bravo | 0 | 0 | 0 | 0 | 0 | 0 | 0 | 0 | 0 | 0 | 0 | 0 | 0 | 0 | ||
| Charlie | 0 | 0 | 0 | 0 | 0 | 0 | 0 | 0 | 0 | 0 | 0 | 0 | 0 | 0 | ||
| Group II Molars (n = 44) | Alfa | 44 | 100 | 44 | 100 | 42 | 95.45 | 44 | 100 | 44 | 100 | 44 | 100 | 44 | 100 | <0.03 * |
| Bravo | 0 | 0 | 0 | 0 | 2 | 4.55 | 0 | 0 | 0 | 0 | 0 | 0 | 0 | 0 | ||
| Charlie | 0 | 0 | 0 | 0 | 0 | 0 | 0 | 0 | 0 | 0 | 0 | 0 | 0 | 0 | ||
| Criterion | 1 | 2 | 3 | 4 | 5 | 6 | 7 | p-Value | ||||||||
|---|---|---|---|---|---|---|---|---|---|---|---|---|---|---|---|---|
| Period 5th Year | Grade | n | % | n | % | n | % | n | % | n | % | n | % | n | % | |
| Group I Premolar (n = 42) | Alfa | 42 | 100 | 41 | 97.62 | 42 | 100 | 42 | 100 | 40 | 95.24 | 41 | 97.62 | 42 | 100 | <0.001 * |
| Bravo | 0 | 0 | 1 | 2.38 | 0 | 0 | 0 | 0 | 2 | 4.76 | 1 | 2.38 | 0 | 0 | ||
| Charlie | 0 | 0 | 0 | 0 | 0 | 0 | 0 | 0 | 0 | 0 | 0 | 0 | 0 | 0 | ||
| Group II Molars (n = 44) | Alfa | 44 | 100 | 42 | 95.45 | 43 | 97.73 | 44 | 100 | 39 | 88.64 | 41 | 93.18 | 44 | 100 | <0.001 * |
| Bravo | 0 | 0 | 2 | 4.55 | 1 | 2.27 | 0 | 0 | 3 | 6.82 | 2 | 4.55 | 0 | 0 | ||
| Charlie | 0 | 0 | 0 | 0 | 0 | 0 | 0 | 0 | 2 | 4.54 | 1 | 2.27 | 0 | 0 | ||
| Criterion | 1 | 2 | 3 | 4 | 5 | 6 | 7 | p-Value | ||||||||
|---|---|---|---|---|---|---|---|---|---|---|---|---|---|---|---|---|
| Period 10th Year | Grade | n | % | n | % | n | % | n | % | n | % | n | % | n | % | |
| Group I Premolar (n = 42) | Alfa | 41 | 97.62 | 40 | 95.24 | 42 | 100 | 42 | 100 | 40 | 95.24 | 41 | 97.62 | 42 | 100 | < 0.001 * |
| Bravo | 1 | 2.38 | 2 | 4.76 | 0 | 0 | 0 | 0 | 1 | 2.38 | 1 | 2.38 | 0 | 0 | ||
| Charlie | 0 | 0 | 0 | 0 | 0 | 0 | 0 | 0 | 1 | 2,38 | 1 | 2.38 | 0 | 0 | ||
| Group II Molars (n = 44) | Alfa | 42 | 95.45 | 40 | 90.91 | 42 | 95.45 | 43 | 97.73 | 39 | 88.64 | 42 | 95.45 | 42 | 95.45 | <0.001 * |
| Bravo | 2 | 4.55 | 4 | 9.09 | 2 | 4.55 | 1 | 2.27 | 3 | 6.82 | 0 | 0 | 2 | 4.55 | ||
| Charlie | 0 | 0 | 0 | 0 | 0 | 0 | 0 | 0 | 2 | 4.54 | 2 | 4.55 | 0 | 0 | ||
Disclaimer/Publisher’s Note: The statements, opinions and data contained in all publications are solely those of the individual author(s) and contributor(s) and not of MDPI and/or the editor(s). MDPI and/or the editor(s) disclaim responsibility for any injury to people or property resulting from any ideas, methods, instructions or products referred to in the content. |
© 2024 by the authors. Licensee MDPI, Basel, Switzerland. This article is an open access article distributed under the terms and conditions of the Creative Commons Attribution (CC BY) license (https://creativecommons.org/licenses/by/4.0/).
Share and Cite
Gusiyska, A.; Dimova-Gabrovska, M.; Nikolova, N. Biomimetic Capabilities of Lithium Disilicate Glass-Ceramic Restorations on Posterior Teeth: Evaluation of the Long-Term Survival Rate—A 10-Year Follow-Up. Appl. Sci. 2024, 14, 9964. https://doi.org/10.3390/app14219964
Gusiyska A, Dimova-Gabrovska M, Nikolova N. Biomimetic Capabilities of Lithium Disilicate Glass-Ceramic Restorations on Posterior Teeth: Evaluation of the Long-Term Survival Rate—A 10-Year Follow-Up. Applied Sciences. 2024; 14(21):9964. https://doi.org/10.3390/app14219964
Chicago/Turabian StyleGusiyska, Angela, Mariana Dimova-Gabrovska, and Nikoleta Nikolova. 2024. "Biomimetic Capabilities of Lithium Disilicate Glass-Ceramic Restorations on Posterior Teeth: Evaluation of the Long-Term Survival Rate—A 10-Year Follow-Up" Applied Sciences 14, no. 21: 9964. https://doi.org/10.3390/app14219964
APA StyleGusiyska, A., Dimova-Gabrovska, M., & Nikolova, N. (2024). Biomimetic Capabilities of Lithium Disilicate Glass-Ceramic Restorations on Posterior Teeth: Evaluation of the Long-Term Survival Rate—A 10-Year Follow-Up. Applied Sciences, 14(21), 9964. https://doi.org/10.3390/app14219964

