Unsupervised Wavelet-Feature Correlation Ratio Markov Clustering Algorithm for Remotely Sensed Images
Abstract
1. Introduction
2. Methods
2.1. Expanding Bands Method for Multi-Spectral Images
- 1.
- Second-order correlated bands include the auto-correlated bands () and the cross-correlated bands ().
- 2.
- Nonlinear correlated bands include the bands stretched out by the square root () and those stretched out by the logarithmic function ().
2.2. Markov Chain Clustering in Wavelet Feature Space
2.3. Adjustment of Clustering Centers
2.4. Wavelet-Feature Markov Clustering Algorithm
- Input parameters:
- 2.
- Data preprocessing: delete bands primarily affected by noise and atmosphere, such as the 1–6th, 33rd, 107–114th,153–168th, and 222–224th bands of AVIRIS. Multi-spectral images need to expand bands.
- 3.
- Apply band-pass Scale-scale wavelet filter (for example, Equation (6) [23,24]) to all pixels, search extreme points above noise threshold Tpeak between neighbor crossing zero points on each minutia section, and mark upward-maximal point as one and downward-minimal point as two at the corresponding position.
- 4.
- According to Stepx Stepy sampling distance, sample the pixels and create Ns sampled pixels evenly.
- 5.
- Apply simulated annealing Markov state decomposition clustering to Scale-Scale2~Scale scale minutia sections of sampled data.
- (a)
- Set initial temperature T as Tstart, the clustering signal standard Tsignal (ratio of intra-class sampled pixel number over the number of total sampled pixels) is 1.0, and each pixel is one class center (beginning with Ns class centers). In the end, according to step b-e, apply Markov chain decomposition in state space to the wavelet features of the sampled pixels by gradually depressing the signal size.
- (b)
- Make judgments to all present class centers. If class i is a significant signal in which the number of pixels is more prominent than , move to the next class. Otherwise, search forward one by one for another class j whose size is smaller than , and make clustering judgments between class j and i.
- (c)
- According to Equation (8), if the CR between the centers of two classes (i and j) meets the condition Pij = rij – T > 0, then class j is absorbed into class i. Continue this process (b) until the last class is detected.
- (d)
- According to Equations (4) and (5), re-adjust the newly created centers: among all the class centers merged into one new class at this iteration, choose one pixel with the biggest CR with common features as a new class center.
- (e)
- Let T = T − Tstep decrease clustering temperature, and Tsignal = Tsignal/2 reduce clustering size. Repeat steps (a)–(d) until T is reduced to the appointed small signal threshold Tend or the set class number is reached.
- 6.
- According to the clustering centers created by (5), each pixel is clustered into one class whose center has the maximal CR.

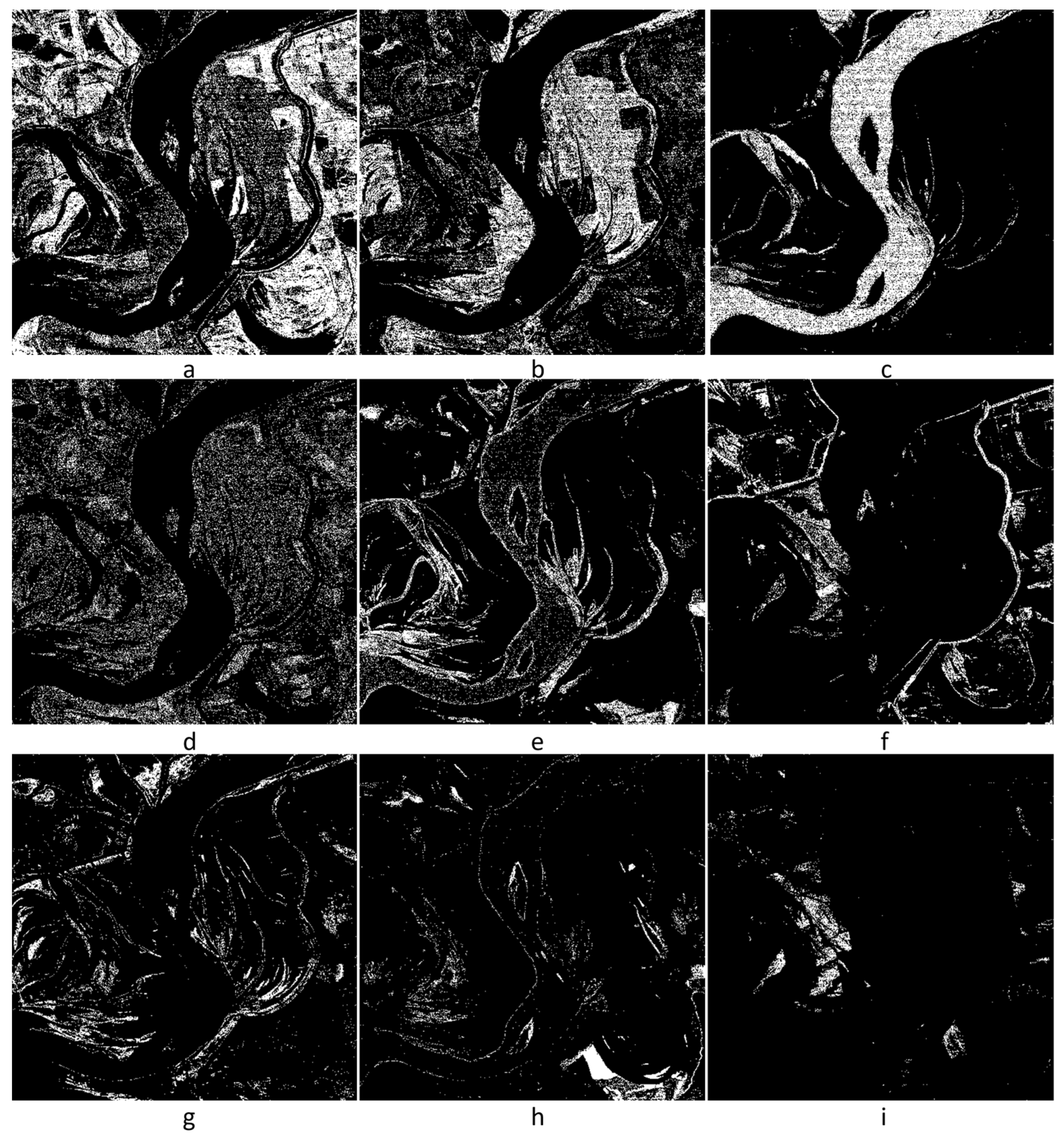
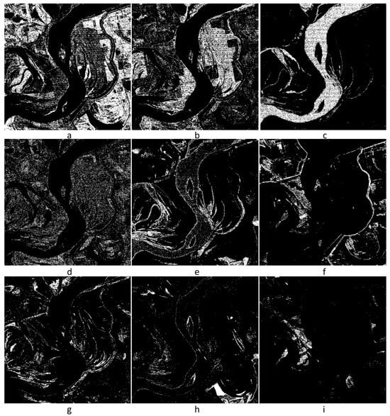
3. Results
3.1. Multi-Spectral Data
3.2. Hyper-Spectral Data
4. Discussion
5. Conclusions
Funding
Institutional Review Board Statement
Informed Consent Statement
Data Availability Statement
Conflicts of Interest
References
- Wang, Z. Residual Clustering Based Lossless Compression for Remotely Sensed Images. In Proceedings of the 2018 IEEE International Symposium on Signal Processing and Information Technology (ISSPIT), Louisville, KY, USA, 6–8 December 2018; pp. 536–539. [Google Scholar] [CrossRef]
- Wang, Z. Entropy Analysis for Clustering Based Lossless Compression of Remotely Sensed Images. In Proceedings of the 2021 IEEE International Conference on Big Data (Big Data), Orlando, FL, USA, 15–18 December 2021; pp. 4220–4223. [Google Scholar] [CrossRef]
- Theodoridis, S.; Koutroumba, K. Pattern Recognition, 4th ed.; Academic Press: Cambridge, MA, USA, 2008; pp. 741–745. [Google Scholar]
- Ikotun, A.M.; Ezugwu, A.E.; Abualigah, L.; Abuhaija, B.; Heming, J. K-means Clustering Algorithms: A Comprehensive Review, Variants Analysis, and Advances in the Era of Big Data. Inf. Sci. 2023, 622, 178–210. [Google Scholar] [CrossRef]
- Soto de la Cruz, R.; Castro-Espinoza, F.A.; Soto, L. Isodata-Based Method for Clustering Surveys Responses with Mixed Data: The 2021 StackOverflow Developer Survey. Comput. Sist. 2023, 27, 173–182. [Google Scholar] [CrossRef]
- Arai, K. Improved ISODATA Clustering Method with Parameter Estimation based on Genetic Algorithm. Int. J. Adv. Comput. Sci. Appl. 2022, 13, 187–193. [Google Scholar] [CrossRef]
- Simpson, J.J.; McIntre, T.J.; Sienko, M. An Improved Hybrid Clustering Algorithm for Natural Scenes. IEEE Trans. Geosci. Remote Sens. 2000, 38, 1016–1032. [Google Scholar] [CrossRef]
- Bo, L.; Bretschneider, T. D-ISMC: A distributed unsupervised classification algorithm for optical satellite imagery. In Proceedings of the 2003 IEEE International Geoscience and Remote Sensing Symposium, Toulouse, France, 21–25 July 2003; Volume 6, pp. 3413–3419. [Google Scholar]
- Ren, H.; Chang, C.-I. A Generalized Orthogonal Subspace Projection Approach to Unsupervised Multi-spectral Image Classification. IEEE Trans. Geosci. Remote Sens. 2000, 38, 2515–2528. [Google Scholar]
- Ifarraguerri, A.; Chang, C.-I. Unsupervised Hyperspectral Image Analysis with Projection Pursuit. IEEE Trans. Geosci. Remote Sens. 2000, 38, 2529–2538. [Google Scholar]
- Cui, S.; Schwarz, G.; Datcu, M. Remote sensing image classification: No features, no clustering. IEEE J. Sel. Top. Appl. Earth Obs. Remote Sens. 2015, 8, 5158–5170. [Google Scholar] [CrossRef]
- Chen, X.; Zhu, G.; Liu, M. Bag-of-Visual-Words Scene Classifier for Remote Sensing Image Based on Region Covariance. IEEE Geosci. Remote Sens. Lett. 2022, 19, 1–5. [Google Scholar] [CrossRef]
- Peng, B.; Yao, Y.; Lei, J.; Fang, L.; Huang, Q. Graph-Based Structural Deep Spectral-Spatial Clustering for Hyperspectral Image. IEEE Trans. Instrum. Meas. 2023, accepted. [Google Scholar] [CrossRef]
- Firat, H.; Asker, M.E.; Bayindir, M.I.; Hanbay, D. 3D residual spatial–spectral convolution network for hyperspectral remote sensing image classification. Neural Comput. Appl. 2023, 35, 4479–4497. [Google Scholar] [CrossRef]
- Acharyya, M.; De, R.K.; Kundu, M.K. Segmentation of remotely sensed images using wavelet features and their evaluation in soft computing framework. IEEE Trans. Geosci. Remote Sens. 2003, 41, 2900–2905. [Google Scholar] [CrossRef]
- Anupong, W.; Jweeg, M.J.; Alani, S.; Al-Kharsan, I.H.; Alviz-Meza, A.; Cárdenas-Escrocia, Y. Comparison of Wavelet Artificial Neural Network, Wavelet Support Vector Machine, and Adaptive Neuro-Fuzzy Inference System Methods in Estimating Total Solar Radiation in Iraq. Energies 2023, 16, 985. [Google Scholar] [CrossRef]
- Wang, Z.; Zhou, P. Greedy clustering algorithm and its application for the classification and compression of remotely sensed images. J. Univ. Sci. Technol. China 2003, 33, 52–59. [Google Scholar]
- Wang, Z.; Zhou, P. Fast clustering based on spectral wavelet features extraction and simulated annealing algorithm for multi-spectral Images. J. Image Graph. 2002, 7A, 1257–1262. [Google Scholar]
- Haddad, S.A.P.; Serdijn, W.A. Ultra Low-Power Biomedical Signal Processing: An Analog Wavelet Filter Approach for Pacemakers; Springer Science & Business Media: Berlin/Heidelberg, Germany, 2009; pp. 34–50. [Google Scholar]
- Mallat, S.G. A theory for multiresolution signal decomposition: The wavelet representation. IEEE Trans. Pattern Anal. Mach. Intell. 1989, 11, 674–693. [Google Scholar] [CrossRef]
- Joseph, A. Markov Chain Monte Carlo Methods in Quantum Field Theories: A Modern Primer; Springer Nature: Berlin/Heidelberg, Germany, 2020; pp. 29–35. [Google Scholar]
- Bittelli, M.; Olmi, R.; Rosa, R. Random Process Analysis with R; Oxford University Press: Oxford, UK, 2022; pp. 25–31. [Google Scholar]
- Li, Q.; Zhao, J.; Zhao, Y.-N. Detection of Ventricular Fibrillation by Support Vector Machine Algorithm. In Proceedings of the IEEE International Asia Conference on Informatics in Control, Automation and Robotics, Bangkok, Thailand, 1–2 February 2009; pp. 287–290. [Google Scholar]
- Swelends, W. The Lifting Scheme: A Custom-design Construction of Biorthogonal Wavelet. Appl. Comput. Harmon. Anal. 1996, 3, 186–220. [Google Scholar]
- Kulkarni, A.; McCaslin, S. Knowledge Discovery from Multi-spectral Satellite Images. IEEE Geosci. Remote Sens. Lett. 2004, 1, 246–250. [Google Scholar] [CrossRef]
- Goodenough, D.G.; Bhogal, A.S.; Dyk, A.; Niemann, O.; Han, T.; Chen, H.; West, C.; Schmidt, C. Calibration of Forest Chemistry for Hyperspectral Analysis. In Proceedings of the IEEE 2001 International Geoscience and Remote Sensing Symposium, Sydney, NSW, Australia, 9–13 July 2001; Volume 1, pp. 52–56. [Google Scholar]
- Goodenough, D.G.; Dyk, A.; Niemann, K.O.; Pearlman, J.S.; Chen, H.; Han, T.; Murdoch, M.; West, C. Processing Hyperion and ALI for Forest Classification. IEEE Trans. Geosci. Remote Sens. 2003, 41, 1321–1331. [Google Scholar] [CrossRef]
- Candès, E.J.; Donoho, D.L. Ridgelets: A key to higher-dimensional intermittency? Philos. Trans. R. Soc. Lond. Ser. A Math. Phys. Eng. Sci. 1999, 357, 2495–2509. [Google Scholar] [CrossRef]
- Starck, J.L.; Candès, E.J.; Donoho, D.L. The curvelet transform for image denoising. IEEE Trans. Image Process. 2002, 11, 670–684. [Google Scholar] [CrossRef] [PubMed]






| Band Number | Tcr1 | Tcr2 | Class Number |
|---|---|---|---|
| 6 (Scale = 2) | 0.8 | 0.8 | 4 |
| 39 | 0.7 | 0.7 | 36 |
| Band No. | Tcr1 | Tcr2 | Scale2 | Class No. |
|---|---|---|---|---|
| 39 | 0.9 | 0.4 | 4 | 18 |
| Tpeak | Tend | Class Number |
|---|---|---|
| 0 | 0.4 | 133 |
| 2 | 0.4 | 65 |
| 5 | 0.4 | 38 |
| 7 | 0.4 | 26 |
| 10 | 0.4 | 22 |
| 15 | 0.4 | 24 |
| Tend | Scale2 | Class Number | Time/s |
|---|---|---|---|
| 0.4 | 2 | 8 | 13 |
| 0.4 | 3 | 17 | 21 |
| 0.4 | 4 | 38 | 51 |
| 0.6 | 4 | 85 | 52 |
Disclaimer/Publisher’s Note: The statements, opinions and data contained in all publications are solely those of the individual author(s) and contributor(s) and not of MDPI and/or the editor(s). MDPI and/or the editor(s) disclaim responsibility for any injury to people or property resulting from any ideas, methods, instructions or products referred to in the content. |
© 2024 by the author. Licensee MDPI, Basel, Switzerland. This article is an open access article distributed under the terms and conditions of the Creative Commons Attribution (CC BY) license (https://creativecommons.org/licenses/by/4.0/).
Share and Cite
Wang, Z. Unsupervised Wavelet-Feature Correlation Ratio Markov Clustering Algorithm for Remotely Sensed Images. Appl. Sci. 2024, 14, 767. https://doi.org/10.3390/app14020767
Wang Z. Unsupervised Wavelet-Feature Correlation Ratio Markov Clustering Algorithm for Remotely Sensed Images. Applied Sciences. 2024; 14(2):767. https://doi.org/10.3390/app14020767
Chicago/Turabian StyleWang, Zhaohui. 2024. "Unsupervised Wavelet-Feature Correlation Ratio Markov Clustering Algorithm for Remotely Sensed Images" Applied Sciences 14, no. 2: 767. https://doi.org/10.3390/app14020767
APA StyleWang, Z. (2024). Unsupervised Wavelet-Feature Correlation Ratio Markov Clustering Algorithm for Remotely Sensed Images. Applied Sciences, 14(2), 767. https://doi.org/10.3390/app14020767
