Next Article in Journal
Seismic Damage Assessment of Existing Planar Steel X- or V-Braced Frames Using the Hybrid “M and P” Technique
Previous Article in Journal
Lightweight Robust Image Classifier Using Non-Overlapping Image Compression Filters
 
 
Font Type:
Arial Georgia Verdana
Font Size:
Aa Aa Aa
Line Spacing:
Column Width:
Background:
Article

Haematological and Biochemical Alterations in Pekin Ducks Affected by Short Beak and Dwarfism Syndrome: An Analytical Study

1
Department of Epizootiology and Clinic for Birds and Exotic Animals, Faculty of Veterinary Medicine, Wrocław University of Environmental and Life Sciences, 50-366 Wrocław, Poland
2
Department of Internal Medicine and Clinic of Diseases of Horses, Dogs and Cats, Faculty of Veterinary Medicine, Wrocław University of Environmental and Life Sciences, 50-366 Wrocław, Poland
3
Department of Immunology, Pathophysiology and Veterinary Prevention, Faculty of Veterinary Medicine, Wrocław University of Environmental and Life Sciences, 50-375 Wrocław, Poland
4
Department of Pathology, Faculty of Veterinary Medicine, Wrocław University of Environmental and Life Sciences, 50-375 Wrocław, Poland
*
Author to whom correspondence should be addressed.
Appl. Sci. 2024, 14(19), 8637; https://doi.org/10.3390/app14198637
Submission received: 30 July 2024 / Revised: 17 September 2024 / Accepted: 18 September 2024 / Published: 25 September 2024
(This article belongs to the Section Food Science and Technology)

Abstract

Short beak and dwarfism syndrome (SBDS), characterised by growth retardation and short beak, is a contagious disease of ducks, caused by goose parvovirus (GPV). This study aimed to compare morphology and biochemistry data obtained from 4-week-old Pekin ducks naturally infected with parvovirus causing SBDS in healthy Pekin ducks of the same age. Materials and Methods: Forty Pekin ducks (twenty infected GPV and twenty clinically healthy controls) were examined. Measurement of the beak and metatarsus and histopathological examination were conducted, and blood morphological and biochemical analyses were performed for each individual. Results: Statistically significant increases in the SBDS group were observed in white blood cells (WBCs), alkaline phosphatase (ALP), and albumin levels, while decreases were noted in non-organic phosphorus, potassium, and amylase levels. ALP in the control group was 465.70 ± 161.49, while in the SBDS group it was 353.68 ± 79.97 (p ˂ 0.006). 1,2-o-dilauryl-rac-glycero-3-glutaric acid-(6′-methylresorufin) ester (DGGR) lipase marker offered a refined gauge for pancreatic function, with established reference values for the healthy control group set at 14.95 ± 4.27 U/L. Conclusions: This study sheds light on the unique impact of GPV on the skeletal system of Pekin ducks, revealing significant insights into the mechanisms of SBDS without osteitis. Additionally, this work offers groundbreaking insights into the morphological and biochemical alterations in the blood during SBDS, establishing normative haematological and biochemical indices for Pekin ducks. It also introduces the DGGR lipase marker as a refined marker for pancreatic function for the healthy control group set at 14.95 ± 4.27 U/L. It highlights the role of ALP in ensuring proper bone growth and the need for ongoing research on its activity in the context of viral infections.

1. Introduction

Short beak and dwarfism syndrome (SBDS), a viral disease of Pekin ducks caused by the goose parvovirus (GPV), is noted in many countries such as China [1], Egypt [2], France [3], Hungary, and Poland [4].
Within the Parvoviridae family, a dichotomy exists, segregating it into two subfamilies: Parvovirinae, which encompasses viruses targeting vertebrate hosts, and Densovirinae, known for arthropod host infections. SBDS aetiology is linked to the Dependoparvovirus genus, specifically the Anseriform dependoparvovirus 1 species [5]. Recent delineations within this virological landscape have unveiled a novel goose parvovirus (N-GPV) alongside the classical strain (C-GPV), both of which exhibit horizontal transmission pathways, predominantly via the gastrointestinal route, mainly via contaminated feed and water [6,7,8]. There has also been confirmed vertical transmission of these viruses [9,10,11].
In Poland, C-GPV was initially observed in Mullard ducks [4], but in 2019 N-GPV was observed for the first time on Pekin duck farms [4]. Parvovirinae infections cause several clinical symptoms, with the main one being secondary dwarfism. During critical developmental phases, GPV infection in juvenile ducks induces irreversible changes in the body structure, characterised by growth retardation and reduced beak and metatarsus dimensions, which leads to disorders of the musculoskeletal system and a decrease of feed conversion ratio (FCR) [10,11,12]. The clinical symptoms of SBDS are easy to notice, especially the beak atrophy with a protruded tongue, but diarrhoea and body coordination disorders can also be observed.
Although mortality rates are relatively low (2–6%), the morbidity spectrum is broad (10–50%), correlating with the age of infection onset. There are many data about the phylogenetic analysis of parvovirus isolates, but there is a lack of research showing the impact of infection on the morphological and biochemical parameters.

2. Materials and Methods

This study was carried out on clinical samples taken from two flocks of 4-week-old Pekin ducks from Polish farms (Western and Central Poland)—one with a recognised SBDS and a second clinically healthy one. The farms belonged to the same owner and had similar environmental conditions and the same feed supplier. Each flock consisted of approximately 6000 birds.
For this study, the veterinarian cooperating with those farms randomly chose 20 birds from each flock for sampling. The measurements of the beaks (from the anterior edge of the nostril) and metatarsi (from regio tarsi to regio metatarsophalangea) of the chosen live birds were conducted on the farm during flock monitoring. Blood samples were collected from the wing vein into lithium heparin tubes for morphological analyses and into clot-activator tubes for biochemical assays.
The haematological parameters were assessed in the analytical laboratory of the Department of Immunology, Pathophysiology and Veterinary Prevention. The count of red blood cells (RBCs) and white blood cells (WBCs) was determined manually using a haemocytometer (Bürker chamber, Sigma, St. Louis, MO, USA), while Natt and Herrick’s solution was used as a diluting fluid. Haematocrit (Ht) was measured in heparinised capillary tubes after centrifugation. The haemoglobin concentration (HGB) was determined using the cyanohaemoglobin method with Drabkin’s solution. Blood smears stained according to May–Grünwald–Giemsa were used for leukocyte differential counts. The evaluation was performed using an optical microscope Primo Star (Carl Zeiss Microscopy GmbH, Gottingen, Germany). The percentages of particular leukocyte forms were determined by counting 200 subsequently encountered cells and differentiating into lymphocytes, heterophils, eosinophils, basophils, and monocytes. Based on the above, the heterophils–lymphocytes ratio (H/L) was estimated.
The biochemical parameters were assessed in serum after centrifugation using the ThermoScientific Konelab Prime 30ISE (Thermo Scientific, Waltham, MA, USA) biochemical analyser in the analytical laboratory of the Department of Internal Diseases of Horses, Dogs and Cats. The activity concentration of aspartate transaminase (AspAT), alanine aminotransferase (AlAT), alkaline phosphatase, gamma-glutamyltransferase (GGT), creatinine, amylase, lipase (DGGR), total protein, albumin, total bilirubin, glucose, total calcium, inorganic phosphorus, sodium, potassium, chlorides, cholesterol, and urine acid was determined.
Histopathological examination of the tongue, heart, lungs, liver, kidney, ileum, and bursa of Fabricius was performed. The tissues were fixed in 4% formalin at room temperature for 48 h, embedded in paraffin, and cut into 5 μm thick sections. After deparaffinisation, the sections were stained with haematoxylin and eosin (H & E). Pathological changes were observed using an Olympus microscope (Olympus, Tokyo, Japan).
To confirm that clinically sick ducks were infected by parvovirus, genomic DNA was extracted from ducks’ livers using the Genomic Mini Kit (A & A Biotechnology, Gdynia, Poland) according to the manufacturer’s instructions. PCR amplification was conducted with primers P2nF 5′-GTTTAGTTCATTCGTTACTC-3′ and P2nR 5′-CTCATTAGTCCAGTTAACG-3′ in conditions described previously [4]. The PCR products were visualised on a 1.5% agarose gel. To confirm the accuracy of the PCR results, the representative three products were selected for sequencing (Macrogen, Amsterdam, The Netherlands). The sequences were analysed using Mega X software ver. 10.2.5 and were compared to sequences from the National Center for Biotechnology Information (NCBI) GenBank database.
Statistical analyses were performed using StatSoft Statistica PL 12.0 Software. Data were expressed as the mean and standard deviation (±SD) or median (dependent on the distribution of variables). All the results obtained were statistically evaluated by Student’s t-test. A p value < 0.05 was considered significant.

3. Results

In the SBDS 4-week-old duck group, impaired growth with shorter beaks (p ˂ 0.006) and metatarsi (p ˂ 0.006) and protruding tongues were observed. The lengths of the beak and the tarsus are presented in Table 1, Figure 1, Figure 2, Figure 3 and Figures S1 and S2.
The presence of 1000 bp PCR products confirmed the Anseriform dependoparvovirus 1 genetic material in all investigated samples. The obtained sequences were highly homologous to sequences from the National Center for Biotechnology Information (NCBI) GenBank database (KX384726.2, MW147177.1).
The mean values of the clinical and histopathological results of the control and the SBDS group are shown in Table 2, Table 3 and Table 4.
The haematological data indicate a statistically significant increase in white blood cells (WBCs) (p ˂ 0.006) (Figure S3). Haematocrit was higher in the SBDS group vs. the control group, but without a statistically significant difference.
The biochemical data indicate a statistically significant increase in albumin (Figure S4) (p ˂ 0.006) as well as a decrease in non-organic phosphorus (p ˂ 0.011) (Figure S5) and potassium (p ˂ 0.023) (Figure S6) in the SBDS group vs. the control group. One pancreas parameter, amylase, showed a statistically significant increase (p ˂ 0.022) (Figure S7), although DGGR, a more specific pancreas enzyme for humans, dogs, and cats, decreased in the SBDS group compared to the control group. The statistically significant difference in biochemistry results was noted during the blood test for ALP. The control group had an ALP value of 465.70 ± 161.49, while the SBDS group had a value of 353.68 ± 79.97, with a p ˂ 0.006 (Figure S8). The ALP concentration in the clinically healthy group was 25% higher than in the SBDS group.

4. Discussion

Performing a blood test on an avian species can provide valuable information about its health. Morphology can indicate a variety of problems, such as infections, inflammation, anaemia, and blood clotting problems. The specific reference range for Pekin ducks may vary slightly depending on the age, sex, diet, health, and living conditions of the bird [13,14,15]. Notable paucity exists in the literature regarding haematological and biochemical benchmarks for ducks, underscoring a critical gap in avian veterinary diagnostics.
In human medicine, the effect of parvovirus infection on morphological changes and anaemia has been demonstrated by many researchers [16,17,18]. For example, human parvovirus B19 (family Parvoviridae, genus Erythroparvovirus) infection causes human bone marrow failure by affecting erythroid-lineage cells, which are well-known target cells for B19 [18]. The GPV potentially has an affinity for the red blood cell (RBC) precursors and can rarely cause a temporary cessation of the bone marrow’s RBC production, leading to aplastic anaemia, a condition corroborated by the presence of yellow bone marrow [16].
A blood test revealed a slightly increased (but still within reference range) haematocrit. However, SBDS may make it challenging for birds to consume food and liquids, which can lead to undernutrition and significant dehydration, the latter being a potentially critical condition that can lead to a falsely elevated haematocrit value, a phenomenon known as haemoconcentration.
The increasing level of WBCs in the SBDS group could be caused by the protruding tongue and short beak, which are gateways for infection. These features may not only cause local issues such as keratinisation and inflammation of the tongue surface, but may also weaken the mechanical barrier, allowing pathogens to infect the respiratory system. The lungs of the SBDS ducks showed significant inflammatory infiltrates, confirming this thesis. A similar situation occurred in the intestines, where inflammation processes caused changes even in the deeper layers of the intestines. Similar histopathological lesions were observed by Hoan et al. and Soliman et al. [19,20].
Drago et al. [21] delved into the underrecognised domain of viral impacts on bone health, challenging conventional perceptions of bone pathology aetiology. The authors underscored the ongoing discourse surrounding viruses as potential culprits in bone disorders, highlighting a gap in the current understanding of bone pathologies [21]. The discourse was further enriched by the observation that alkaline phosphatase (ALP), a key marker for bone activity, often exhibits elevated levels during osteitis, suggesting an intricate relationship between viral infections and bone inflammation.
The spectrum of viruses implicated in bone-related pathologies is diverse, encompassing parvovirus B19, hepatitis A, B, and C viruses, rubella virus, alphaviruses, flaviviruses, and retroviruses, all of which have been associated with viral arthritis in humans [22]. The pathogenesis of viral arthritis, as elucidated by Toppinen M. et al. 2015, does not follow the conventional route of autoimmunity-induced inflammation but is believed to stem from direct viral damage to bone or cartilage structures [17].
During infection with GPV, the disease exhibits an atypical progression. From both a scientific and practical perspective, SBDS stands out as one of the few viral diseases that demonstrate a significant impact on the skeletal system, notably in the absence of osteomyelitis or elevated ALT levels. The effect of the virus on the skeletal system has been confirmed by X-ray and microtomography investigations, which indicate that all bone components of the legs and wings during the SBDS course were significantly shorter and narrower in the 4-week-old ducks compared to the healthy ones [11].
Studies have shown that the GPV replicates in several organs, including the bone marrow and bones, as well as in such tissues as the heart, liver, spleen, lung, kidneys, duodenum, thymus, and bursa of Fabricius [23]. Many tissue-specific isozymes, including ALP, are encoded by distinct genes [24]. ALP is required for bone growth in the cells of mineralised tissue. Locally low ALP levels reduce mineralisation facilities as well as extracellular pyrophosphate concentration, which is an inhibitor of mineralisation development [24].
The secretion of the ALT enzyme is also affected by the growing period. The secretion of ALT increases during a period of rapid growth. It has been demonstrated that newborn children experience rapid growth from 0 to 28 days after birth, with the peak of FA secretion in children occurring around 15 days [25]. This growth dynamic is paralleled in Pekin ducklings, which exhibit significant weight gains within the first few weeks of life, a critical period marked by intense skeletal development [26]. All components of the virus’ action lead to decreased bone activity, an altered ALT secretion, and slower weight gain.
Furthermore, reduced ALP levels in animals with SBDS generate a decrease in inorganic phosphate [24]. Inorganic phosphorus and potassium levels may be lower during malnutrition or as a result of impaired gastrointestinal absorption. Fluid and electrolyte loss may occur as a result of vomiting or diarrhoea. This is referred to as hyperphosphataemia and hypokalaemia.
The reference value for amylase was considerably higher in ducks infected with parvoviruses, indicating dehydration. According to Ali et al., this result is still within the reference range for 4-week-old Pekin ducks [13].
Despite the necrotic effect of GPV on the pancreas [10], no increase in pancreatic parameters has been demonstrated. The decrease in amylase in the SBDS Pekin ducks was unexpected. Because there are no references in the literature for 4-week-old Pekin ducks, the authors consider both values to be correct, and reference values could be higher to reflect results for healthy ducks.
Although DGGR lipase activity was previously shown to be analytically specific for pancreatic lipase in people, cats, and dogs, there is currently no information on diagnostic values in ducks [27]. The DGGR values in the healthy and the SBDS-infected Pekin ducks were similar, and histopathological investigation revealed no evident lesions in the pancreases of infected ducks. This study is significant as it represents the first scientific investigation into the diagnostic value of DGGR lipase activity in ducks, highlighting its potential as a more accurate and specific pancreatic marker than amylase and lipase in ducks as well as other animals and humans.

5. Conclusions

The current study is the first to provide the results of biochemistry and morphological examinations performed on Pekin ducks with SBDS. This study also delineates the normative haematological and biochemical indices for 4-week-old Pekin ducks, providing a diagnostic framework for the veterinary care of waterfowl. It underscores the distinctive pathogenesis of GPV in contrast to its Parvoviridae counterpart, Parvovirus B19, notably its lack of association with anaemia. This article fills a significant gap in veterinary morphological diagnostics, revealing a different mechanism of viral infection compared to human medicine. The need to compare these two disease entities highlights the uniqueness of this research, offering valuable insights into the distinct pathogenic processes involved.
A novel aspect of this research is the introduction of DGGR as a potentially more precise biomarker for pancreatic function, with established reference values for healthy control ducks at 14.95 ± 4.27 U/L. This development is particularly significant for practitioners, as it offers a refined tool for assessing pancreatic health and function. The establishment of these reference values not only enhances diagnostic accuracy but also underscores the importance of these unique studies in advancing veterinary care and improving clinical outcomes. By providing a more precise biomarker, this research contributes valuable insights that can lead to better management and treatment strategies for pancreatic conditions in avian species.
The abbreviated beak leads to tongue protrusion and infections in both the respiratory and digestive tracts, as confirmed by histopathological findings. These findings reveal pronounced inflammatory infiltrates predominantly composed of neutrophils and lymphocytes, along with significant vascular congestion, particularly in the pulmonary tissues and gastrointestinal tract. The morphological abnormalities, including the abbreviated beak and protruding tongue, are linked to these pathogenic changes. This article is a valuable resource, providing detailed images and a comprehensive explanation of the disease. The phenomenon of viral-induced secondary dwarfism in veterinary contexts warrants further investigation, particularly given the unique replication pattern of this virus within osseous tissues without eliciting overt inflammatory responses in the bone tissue. This is evidenced by the markedly reduced ALT levels observed in SBDS-affected ducks compared to the healthy control group. This form of dwarfism, characterised by an abbreviated beak and associated with significant pathological changes, is unique in veterinary medicine. This article emphasises the crucial role of the virus in the development of this condition and highlights the need to establish reference ALT values for this form of dwarfism. By providing detailed images and a comprehensive explanation of the disease mechanism, this study addresses a significant gap in the diagnostic framework for veterinary care, offering valuable insights into the distinct pathogenic processes involved.

Supplementary Materials

The following supporting information can be downloaded at: https://www.mdpi.com/article/10.3390/app14198637/s1, Figure S1: Beaks; Figure S2: Metatarsus; Figure S3: WBC; Figure S4: Albumin; Figure S5: Inorganic phosphorus; Figure S6: Potassium; Figure S7: Amylase; Figure S8: ALP.

Author Contributions

Conceptualisation, A.G. and S.G.; methodology, A.G., S.G. and J.P.; software, S.G. and J.P.; validation, S.G., J.P. and A.G.; formal analysis, A.G.; investigation, A.G., R.C., B.S., S.G. and K.B.; resources, A.G.; data curation, B.S.; writing—original draft preparation, B.S.; writing—review and editing, K.B., R.C. and A.G; visualisation, B.S.; supervision, A.G. All authors have read and agreed to the published version of the manuscript.

Funding

This research received no external funding.

Institutional Review Board Statement

Not applicable.

Informed Consent Statement

In accordance with the Experiments on Animals Act from 15 January 2015 (Journal of Laws of the Republic of Poland, 2015, item. 266), concerning the welfare of the animals used for research or teaching purposes, the provisions shall not apply to 1. veterinary services as defined by the Act from 18 December 2003 concerning veterinary practices (Journal of Laws from 2004, No. 11, item 95 as amended in item 3), as well as an agricultural activity, raising and breeding livestock according to the Animal Welfare Act, not designed to carry out medical procedures. Hence, the study entitled “Haematological and Biochemical Alterations in Pekin Ducks Affected by Short Beak and Dwarfism Syndrome: An Analytical Study” does not require the approval of the Ethics Committee. The material was delivered by a veterinarian taking samples for routine examinations. All procedures were performed by a veterinarian with the owner’s consent.

Data Availability Statement

The raw data supporting the conclusions of this article will be made available by the authors on request.

Conflicts of Interest

The authors declare no conflicts of interest.

References

  1. Wang, S.; Cheng, X.X.; Chen, S.L.; Xiao, S.F.; Chen, S.Y.; Lin, F.Q.; Wu, N.Y.; Yu, F.S.; Zhu, X.L.; Wang, J.X.; et al. Identification of a novel goose parvovirus (GPV) recombinant associated with short beak and dwarfism syndrome in Mainland China, 2015. Infect. Genet. 2016, 41, 289–291. [Google Scholar] [CrossRef] [PubMed]
  2. Saleh, A.A.; Khodier, M.H. Preliminary Studies on The Virus Causing Outbreak of Duckling Short Beak and Dwarfism Syndrome (SBDS) in Egypt. J. Appl. Vet. Sci. 2020, 5, 55–60. [Google Scholar] [CrossRef]
  3. Palya, V.; Zolnai, A.; Benyeda, Z.; Kovács, E.; Kardi, V.; Mató, T. Short beak and dwarfism syndrome of mule duck is caused by a distinct lineage of goose parvovirus. Avian Pathol. 2009, 38, 175–180. [Google Scholar] [CrossRef] [PubMed]
  4. Matczuk, A.K.; Chmielewska-Władyka, M.; Siedlecka, M.; Bednarek, K.J.; Wieliczko, A. Short Beak and Dwarfism Syndrome in Ducks in Poland Caused by Novel Goose Parvovirus. Animals 2020, 15, 2397. [Google Scholar] [CrossRef]
  5. Virus Taxonomy. Available online: http://www.ictvonline.org/virusTaxonomy.asp (accessed on 30 July 2024).
  6. Derzsy, D. A viral disease of goslings. Epidemiological, clinical, pathological and aetiological studies. Acta Vet. Acad. Sci. Hung. 1967, 17, 443–448. [Google Scholar]
  7. Irvine, R.; Holmes, P. Diagnosis and control of goose parvovirus. In Practice 2010, 32, 382–386. [Google Scholar] [CrossRef]
  8. Wan, C.; Chen, C.; Cheng, L.; Liu, R.; Shi, S.; Fu, G.; Chen, H.; Fu, Q.; Huang, Y. Specific detection and differentiation of classic goose parvovirus and novel goose parvovirus by TaqMan real-time PCR assay, coupled with host specificity. BMC Vet. Res. 2019, 1, 389. [Google Scholar] [CrossRef]
  9. Chen, H.; Dou, Y.; Tang, Y.; Zheng, X.; Niu, X.; Yang, J.; Yu, X.; Diao, Y. Experimental reproduction of beak atrophy and dwarfism syndrome by infection in cherry valley ducklings with a novel goose parvovirus-related parvovirus. Vet. Microbiol. 2016, 1, 16–20. [Google Scholar] [CrossRef]
  10. Ning, K.; Liang, T.; Wang, M.; Dong, Y.; Qu, S.; Zhang, D. Pathogenicity of a variant goose parvovirus, from short beak and dwarfism syndrome of Pekin ducks, in goose embryos and goslings. Avian Pathol. 2018, 47, 391–399. [Google Scholar] [CrossRef]
  11. Wang, J.; Wang, Y.; Li, Y.; Gao, Y.; Li, Y.; Jiang, Z.; Zhu, G.; Wang, X. Reproduction and pathogenesis of short beak and dwarfish syndrome in Cherry Valley Pekin ducks infected with the rescued novel goose parvovirus. Virulence 2022, 13, 844–858. [Google Scholar] [CrossRef]
  12. Chen, H.; Tang, Y.; Dou, Y.; Zheng, X.; Diao, Y. Evidence for Vertical Transmission of Novel Duck-Origin Goose Parvovirus-Related Parvovirus. Transbound. Emerg. Dis. 2016, 63, 243–247. [Google Scholar] [CrossRef] [PubMed]
  13. Hatipoğlu, S.; Bağci, C. Some hematologic values of Peking ducks. Berl. Munch. Tierarztl. Wochenschr. 1996, 109, 172–176. [Google Scholar]
  14. Ameer, H.E.; Abdul, N.; Mahdi, A.W.; Abed, S.; Musa, A.; Abd, B. Hematological and Biochemical Profile of Iraqi Breed Pekin Ducks. Ind. J. Publish Health Res. Dev. 2019, 10, 1004–1009. [Google Scholar] [CrossRef]
  15. Ali, A.; Panda, S.L.; Pati, S.; Mishra, S.; Mohanty, G.R.; Jena, A.P.; Acharya, A.P.; Sahoo, P.R.; Mohanty, L.; Mishra, N.; et al. Growth performance and hemato-biochemical alterations in induced aflatoxicosis in white pekin ducks (Anas platyrhynchos domesticus). J. Entom Zool. Stud. 2019, 7, 1291–1295. [Google Scholar]
  16. Nandu, S.N.; Hafzah, H.; Patel, C. Parvovirus-Induced Transient Aplastic Crisis in a Patient With Newly Diagnosed Hereditary Spherocytosis. Case Rep. Cureus 2020, 3, 12–15. [Google Scholar] [CrossRef]
  17. Toppinen, M.; Perdomo, M.F.; Palo, J.U.; Simmonds, P.; Lycett, S.J.; Söderlund-Venermo, M.; Sajantila, A.; Hedman, K. Bones hold the key to DNA virus history and epidemiology. Sci. Rep. 2015, 5, 17226. [Google Scholar] [CrossRef]
  18. Zhong, Q.; Zeng, J.; Lin, T.; Song, T. The detection, treatment of parvovirus B19 infection induced anaemia in solid organ transplants: A case series and literature review of 194 patients. Transfus. Clin. Biol. 2022, 29, 168–174. [Google Scholar] [CrossRef]
  19. Hoan, T.D.; Thao DJGiang, N.T.; Thuong, B.T.; Huyen, N.T.; Nguyen, N.D.; Thu, V.T.; Linh, N.T.; Dung, N.V.; Hiroshi, K.; Phan, L.V.; et al. Molecular Identification and Pathogenicity of Novel Duck-Origin Goose Parvovirus Isolated from Beak Atrophy and Dwarfism Syndrome of Waterfowls in the North of Vietnam. Avian Dis. 2022, 66, 1–12. [Google Scholar] [CrossRef]
  20. Soliman, M.A.; Erfan, A.M.; Samy, M.; Mahana, O.; Nasef, S.A. Detection of Novel Goose Parvovirus Disease Associated with Short Beak and Dwarfism Syndrome in Commercial Ducks. Animals 2020, 10, 1835. [Google Scholar] [CrossRef]
  21. Drago, L.; Romanò, C.L.; Morelli, I.; Benzakour, T. Viral Bone Infection: A Neglected Disease? Microorganisms 2020, 8, 797. [Google Scholar] [CrossRef]
  22. Mark, M.; Marks, J.L. Viral arthritis. Clin. Med. 2016, 16, 129–134. [Google Scholar] [CrossRef]
  23. Liu, J.; Yang, X.; Hao, X.; Feng, Y.; Zhang, Y.; Cheng, Z. Effect of Goose Parvovirus and Duck Circovirus Coinfection in Duck. J. Vet. Res. 2020, 14, 355–361. [Google Scholar] [CrossRef] [PubMed]
  24. Vimalraj, S. Alkaline phosphatase: Structure, expression and its function in bone mineralization. Gene 2020, 754, 144855. [Google Scholar] [CrossRef] [PubMed]
  25. Zierk, J.; Arzideh, F.; Haeckel, R.; Cario, H.; Frühwald, M.C.; Groß, H.J.; Gscheidmeier, T.; Hoffmann, R.; Krebs, A.; Lichtinghagen, R.; et al. Pediatric reference intervals for alkaline phosphatase. Clin. Chem. Lab. Med. 2017, 55, 102–110. [Google Scholar] [CrossRef] [PubMed]
  26. Kokoszyński, D.; Wasilewski, R.; Saleh, M.; Piwczyński, D.; Arpášová, H.; Hrnčar, C.; Fik, M. Growth Performance, Body Measurements, Carcass and Some Internal Organs Characteristics of Pekin Ducks. Animals 2019, 9, 963. [Google Scholar] [CrossRef]
  27. Hope, A.; Bailen, E.; Shiel, R.E.; Mooney, C.T. Retrospective study evaluation of DGGR lipase for diagnosis, agreement with pancreatic lipase and prognosis in dogs with suspected acute pancreatitis. J. Small Anim. Pract. 2021, 62, 1092–1100. [Google Scholar] [CrossRef]
Figure 1. Shortened beak of a duck with SBDS.
Figure 1. Shortened beak of a duck with SBDS.
Applsci 14 08637 g001
Figure 2. Protruding tongue of a duck with SBDS.
Figure 2. Protruding tongue of a duck with SBDS.
Applsci 14 08637 g002
Figure 3. Shortened beak and metatarsus of a duck with SBDS.
Figure 3. Shortened beak and metatarsus of a duck with SBDS.
Applsci 14 08637 g003
Table 1. The beak and tarsus length in SBDS and clinically healthy ducks.
Table 1. The beak and tarsus length in SBDS and clinically healthy ducks.
CharacteristicsControl GroupSBDS Groupp Value
Number of Pekin ducks 20 20NS
Age (weeks) 44NS
Beak length (mm) *71.71 ± 3.3543.43 ± 7.04p < 0.001
Tarsus length (mm)65.50 ± 3.7857.86 ± 4.26p = 0.006
* Measured from the anterior edge of the nostril. NS: not statistically significant.
Table 2. Haematological results of Pekin ducks in the control group and Pekin ducks with short beak and dwarfism syndrome (SBDS). Data are presented as average ± standard deviation.
Table 2. Haematological results of Pekin ducks in the control group and Pekin ducks with short beak and dwarfism syndrome (SBDS). Data are presented as average ± standard deviation.
VariablesControl GroupSBDS Groupp ValueHatipoğlu et Bağci 1996 [13] 1Ameer et al., 2019 [14] 2Ali et al., 2019 [15] 3
RBC mln/µL2.44 ± 0.562.4 ± 0.58NS3.84 4.65 ± 0.762.63 ± 0.11
HGB g%12.00 ± 1.9312.6 ± 0.74NS12.0013.29 ± 1.6513.32 ± 0.45
HT %42.00 ± 1.5244.2 ± 1.92NS36.1539.10 ± 2.6436.8 ± 1.75
WBC thousand/µL16.38 ± 3.0352.58 ± 5.32p < 0.001-8.24 ± 2.3413.23 ± 0.3
Heterophils %52.58 ± 5.3245.85 ± 5.37NS62.10
Eosinophils %2.00 ± 1.122.23 ± 1.27NS0.60
Basophils %1.83 ± 0.752.08 ± 1.12NS5.80
Monocytes %1.50 ± 0.531.33 ± 0.58NS0.60
Lymphocytes %)52.58 ± 5.3249.03 ± 10.46NS30.95
H/L ratio0.87 ± 0.180.92 ± 0.17NS2.01
1 No data. 2 Reference values for 1-week-old Iraqi Pekin ducks. 3 Reference values for 6-week-old Pekin ducks. HGB: concentration of haemoglobin; HT: haematocrit; RBC: red blood cell count; WBC: white blood cell count, heterophils, eosinophils, basophils, and monocytes. NS: not statistically significant.
Table 3. Biochemical results of Pekin ducks in the control group and Pekin ducks with short beak and dwarfism syndrome (SBDS). Data are presented as average ± standard deviation.
Table 3. Biochemical results of Pekin ducks in the control group and Pekin ducks with short beak and dwarfism syndrome (SBDS). Data are presented as average ± standard deviation.
VariablesControl GroupSBDS Groupp ValueAli et al., 2019 [15]
AspAT U/L41.30 ± 31.8633.68 ± 15.77NS65.2 ± 1.56
AlAT U/L39.00 ± 12.4942.63 ± 10.35NS23.77 ± 0.29
ALP U/L465.70 ± 161.49353.68 ± 79.970.006339.36 ± 26.08
Creatinine µmol/L21.80 ± 17.3924.63 ± 18.74NS21.50 ± 0.60
Amylase U/L3121.30 ± 186.432945.89 ± 254.640.022
DGGR U/L14.95 ± 4.2713.74 ± 2.83NS
TP g/L41.45 ± 7.0042.42 ± 4.32NS85.8 ± 1.49
Albumin g/L17.00 ± 1.2620.12 ± 5.290.00722.5 ± 2.20
Total bilirubin µmol/L2.93 ± 0.833.62 ± 1.61NS
Urine acid µmol/L443.15 ± 164.02432.8 ± 237.99NS
Glucose mmol/L9.57 ± 0.968.95 ± 1.62NS
Total calcium mmol/L2.80 ± 0.142.81 ± 0.35NS
Inorganic phosphorus mmol/L2.05 ± 0.341.80 ± 0.220.011
Sodium mmol/L141.44 ± 33.18143.14 ± 34.49NS
Potassium mmol/L10.81 ± 34.708.87 ± 27.550.023
Chlorides mmol/L103.82 ± 5.99100.13 ± 23.53NS
Cholesterol mmol/L4.86 ± 0.815.68 ± 2.29NS5.06 ± 0.17
White blood cells (WBCs), aspartate transaminase (AspAT), alanine aminotransferase (AlAT), alkaline phosphatase (ALP), gamma-glutamyltransferase (GGT), 1,2-o-dilauryl-rac-glycero-3-glutaric acid-(6′-methylresorufin) ester lipase (DGGR), total protein (TP). NS: not statistically significant.
Table 4. Histopathology results of Pekin ducks with short beak and dwarfism syndrome (SBDS).
Table 4. Histopathology results of Pekin ducks with short beak and dwarfism syndrome (SBDS).
OrgansSBDS GroupNo. of Figs
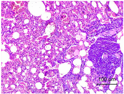
LungsSevere inflammatory infiltrate forms of heterophilic and lymphocytic cells and congestion.
Exudates formation.
Applsci 14 08637 i001
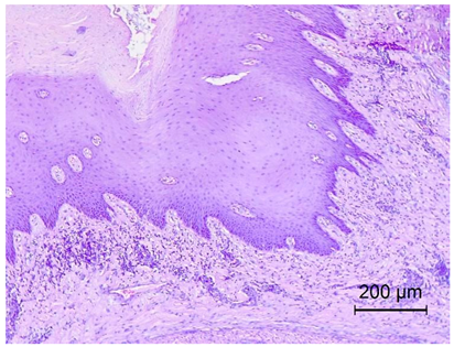
TongueKeratinisation on the surface of the tongue.
Degeneration of the tongue along with ulceration.
Inflammatory infiltrate heterophilic cells.
Proliferating blood vessels around the inflammation.
Applsci 14 08637 i002
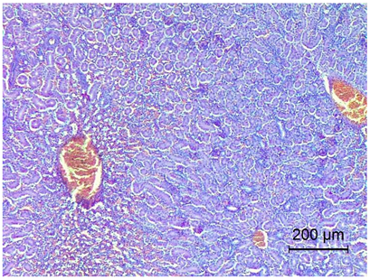
Liver Mild interstitial inflammatory infiltrates of heterophilic cells.
Hepatocyte vacuolation.
Congestion.
Applsci 14 08637 i003
KidneyTubulointerstitial congestion.
Lymphocytic infiltration.
Applsci 14 08637 i004
Heart Interstitial hyperaemia between muscle fibres.Applsci 14 08637 i005
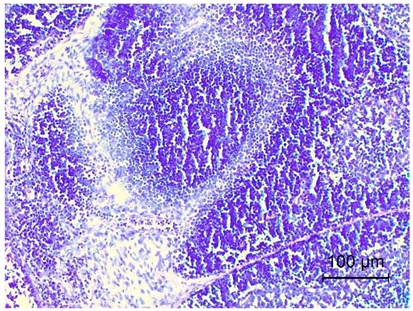
IleumSevere inflammatory, covering not only the mucosa but also some of the deeper layers of the intestines and muscle membrane and stimulating lymphoid follicles.
Disruption of small intestinal villi, and the disappearance of normal tissue structure.
Applsci 14 08637 i006
Bursa of FabriciusModerate loosening of the lymphoid tissue.Applsci 14 08637 i007
Disclaimer/Publisher’s Note: The statements, opinions and data contained in all publications are solely those of the individual author(s) and contributor(s) and not of MDPI and/or the editor(s). MDPI and/or the editor(s) disclaim responsibility for any injury to people or property resulting from any ideas, methods, instructions or products referred to in the content.

Share and Cite

MDPI and ACS Style

Szczepankiewicz, B.; Popiel, J.; Graczyk, S.; Ciaputa, R.; Bobrek, K.; Gaweł, A. Haematological and Biochemical Alterations in Pekin Ducks Affected by Short Beak and Dwarfism Syndrome: An Analytical Study. Appl. Sci. 2024, 14, 8637. https://doi.org/10.3390/app14198637

AMA Style

Szczepankiewicz B, Popiel J, Graczyk S, Ciaputa R, Bobrek K, Gaweł A. Haematological and Biochemical Alterations in Pekin Ducks Affected by Short Beak and Dwarfism Syndrome: An Analytical Study. Applied Sciences. 2024; 14(19):8637. https://doi.org/10.3390/app14198637

Chicago/Turabian Style

Szczepankiewicz, Barbara, Jarosław Popiel, Stanisław Graczyk, Rafał Ciaputa, Kamila Bobrek, and Andrzej Gaweł. 2024. "Haematological and Biochemical Alterations in Pekin Ducks Affected by Short Beak and Dwarfism Syndrome: An Analytical Study" Applied Sciences 14, no. 19: 8637. https://doi.org/10.3390/app14198637

APA Style

Szczepankiewicz, B., Popiel, J., Graczyk, S., Ciaputa, R., Bobrek, K., & Gaweł, A. (2024). Haematological and Biochemical Alterations in Pekin Ducks Affected by Short Beak and Dwarfism Syndrome: An Analytical Study. Applied Sciences, 14(19), 8637. https://doi.org/10.3390/app14198637

Note that from the first issue of 2016, this journal uses article numbers instead of page numbers. See further details here.

Article Metrics

Back to TopTop