Advancing Phantom Fabrication: Exploring 3D-Printed Solutions for Abdominal Imaging Research
Abstract
1. Introduction
2. Materials and Methods
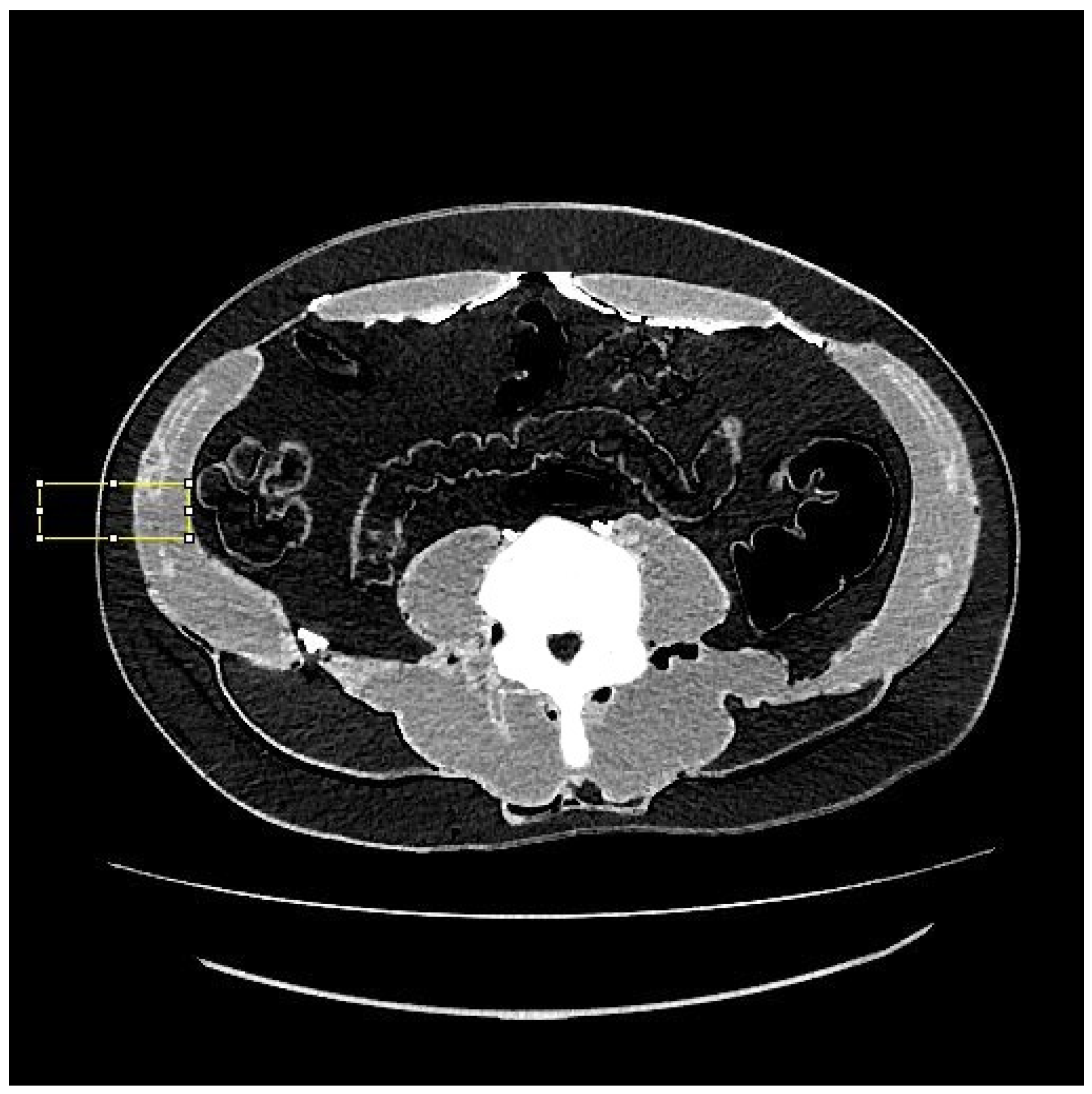
2.1. Characterization of Appendix Simulation in an Anthropomorphic Phantom
2.2. Material Selection and Characterization
2.3. Printing of the Abdominal Mold
2.4. Phantom Fabrication
3. Results
4. Discussion
5. Conclusions
Author Contributions
Funding
Institutional Review Board Statement
Informed Consent Statement
Data Availability Statement
Conflicts of Interest
References
- Mørup, S.D.; Stowe, J.; Precht, H.; Gervig, M.H.; Foley, S. Design of a 3D printed coronary artery model for CT optimization. Radiography 2022, 28, 426–432. [Google Scholar] [CrossRef] [PubMed]
- Tino, R.; Yeo, A.; Leary, M.; Brandt, M.; Kron, T. A systematic review on 3D-printed imaging and dosimetry phantoms in radiation therapy. Technol. Cancer Res. Treat. 2019, 18, 1533033819870208. [Google Scholar] [CrossRef] [PubMed]
- Hazelaar, C.; van Eijnatten, M.; Dahele, M.; Wolff, J.; Forouzanfar, T.; Slotman, B.; Verbakel, W.F. Using 3D printing techniques to create an anthropomorphic thorax phantom for medical imaging purposes. Med. Phys. 2018, 45, 92–100. [Google Scholar] [CrossRef] [PubMed]
- Amini, I.; Akhlaghi, P.; Sarbakhsh, P. Construction and verification of a physical chest phantom from suitable tissue equivalent materials for computed tomography examinations. Radiat. Phys. Chem. 2018, 150, 51–57. [Google Scholar] [CrossRef]
- Tejo-Otero, A.; Fenollosa-Artés, F.; Achaerandio, I.; Rey-Vinolas, S.; Buj-Corral, I.; Mateos-Timoneda, M.Á.; Engel, E. Soft-tissue-mimicking using hydrogels for the development of phantoms. Gels 2022, 8, 40. [Google Scholar] [CrossRef]
- Buchwald, R.; Breed, M.D.; Greenberg, A.R. The thermal properties of beeswaxes: Unexpected findings. J. Exp. Biol. 2008, 211, 121–127. [Google Scholar] [CrossRef]
- Yan, Q.; Dong, H.; Su, J.; Han, J.; Song, B.; Wei, Q.; Shi, Y. A review of 3D printing technology for medical applications. Engineering 2018, 4, 729–742. [Google Scholar] [CrossRef]
- Rajan, K.; Samykano, M.; Kadirgama, K.; Harun, W.S.; Rahman, M.M. Fused deposition modeling: Process, materials, parameters, properties, and applications. Int. J. Adv. Manuf. Technol. 2022, 120, 1531–1570. [Google Scholar] [CrossRef]
- Vyavahare, S.; Teraiya, S.; Panghal, D.; Kumar, S. Fused deposition modelling: A review. Rapid Prototyp. J. 2020, 26, 176–201. [Google Scholar] [CrossRef]
- Gear, J.I.; Cummings, C.; Craig, A.J.; Divoli, A.; Long, C.D.; Tapner, M.; Flux, G.D. Abdo-Man: A 3D-printed anthropomorphic phantom for validating quantitative SIRT. EJNMMI Phys. 2016, 3, 17. [Google Scholar] [CrossRef]
- Qiu, J.; Hou, K.; Dyer, B.A.; Chen, J.C.; Shi, L.; Sun, Y.; Xu, L.; Zhao, H.; Li, Z.; Chen, T.; et al. Constructing customized multimodal phantoms through 3D printing: A preliminary evaluation. Front. Phys. 2021, 9, 605630. [Google Scholar] [CrossRef]
- Filippou, V.; Tsoumpas, C. Recent advances on the development of phantoms using 3D printing for imaging with CT, MRI, PET, SPECT, and ultrasound. Med. Phys. 2018, 45, e740–e760. [Google Scholar] [CrossRef] [PubMed]
- Wang, K.; Ho, C.C.; Zhang, C.; Wang, B. A review on the 3D printing of functional structures for medical phantoms and regenerated tissue and organ applications. Engineering 2017, 3, 653–662. [Google Scholar] [CrossRef]
- Coles-Black, J.; Bolton, D.; Robinson, D.; Chuen, J. Utility of 3D printed abdominal aortic aneurysm phantoms: A systematic review. ANZ J. Surg. 2021, 91, 1673–1681. [Google Scholar] [CrossRef] [PubMed]
- Higgins, M.; Leung, S.; Radacsi, N. 3D printing surgical phantoms and their role in the visualization of medical procedures. Ann. 3D Print. Med. 2022, 6, 100057. [Google Scholar] [CrossRef]
- Anwari, V.; Lai, A.; Ursani, A.; Rego, K.; Karasfi, B.; Sajja, S.; Paul, N. 3D printed CT-based abdominal structure mannequin for enabling research. 3D Print. Med. 2020, 6, 3. [Google Scholar] [CrossRef]
- Schenkl, S.; Muggenthaler, H.; Hubig, M.; Erdmann, B.; Weiser, M.; Zachow, S.; Heinrich, A.; Güttler, F.V.; Teichgräber, U.; Mall, G. Automatic CT-based finite element model generation for temperature-based death time estimation: Feasibility study and sensitivity analysis. Int. J. Leg. Med. 2017, 131, 699–712. [Google Scholar] [CrossRef]
- Rengier, F.; Mehndiratta, A.; Von Tengg-Kobligk, H.; Zechmann, C.M.; Unterhinninghofen, R.; Kauczor, H.U.; Giesel, F.L. 3D printing based on imaging data: Review of medical applications. Int. J. Comput. Assist. Radiol. Surg. 2010, 5, 335–341. [Google Scholar] [CrossRef] [PubMed]
- Okkalidis, N. 3D printing methods for radiological anthropomorphic phantoms. Phys. Med. Biol. 2022, 67, 15TR04. [Google Scholar] [CrossRef]
- Kairn, T.; Crowe, S.B.; Markwell, T. Use of 3D printed materials as tissue-equivalent phantoms. In Proceedings of the World Congress on Medical Physics and Biomedical Engineering, Toronto, ON, Canada, 7–12 June 2015; Springer International Publishing: Cham, Switzerland, 2015; pp. 728–731. [Google Scholar]
- Lamba, R.; McGahan, J.P.; Corwin, M.T.; Li, C.S.; Tran, T.; Seibert, J.A.; Boone, J.M. CT Hounsfield numbers of soft tissues on unenhanced abdominal CT scans: Variability between two different manufacturers’ MDCT scanners. Am. J. Roentgenol. 2014, 203, 1013–1020. [Google Scholar] [CrossRef]
- D’Souza, W.D.; Madsen, E.L.; Unal, O.; Vigen, K.K.; Frank, G.R.; Thomadsen, B.R. Tissue mimicking materials for a multi-imaging modality prostate phantom. Med. Phys. 2001, 28, 688–700. [Google Scholar] [CrossRef] [PubMed]
- Holmes, R.B.; Negus, I.S.; Wiltshire, S.J.; Thorne, G.C.; Young, P.; Alzheimer’s Disease Neuroimaging Initiative. Creation of an anthropomorphic CT head phantom for verification of image segmentation. Med. Phys. 2020, 47, 2380–2391. [Google Scholar] [CrossRef]
- Kim, S.Y.; Park, J.W.; Park, J.; Yea, J.W.; Oh, S.A. Fabrication of 3D printed head phantom using plaster mixed with polylactic acid powder for patient-specific QA in intensity-modulated radiotherapy. Sci. Rep. 2022, 12, 17500. [Google Scholar] [CrossRef]
- Marro, A.; Bandukwala, T.; Mak, W. Three-dimensional printing and medical imaging: A review of the methods and applications. Curr. Probl. Diagn. Radiol. 2016, 45, 2–9. [Google Scholar] [CrossRef]
- Haleem, A.; Javaid, M.; Suman, R.; Singh, R.P. 3D printing applications for radiology: An overview. Indian J. Radiol. Imaging 2021, 31, 10–17. [Google Scholar] [PubMed]
- Giannopoulos, A.A.; Steigner, M.L.; George, E.; Barile, M.; Hunsaker, A.R.; Rybicki, F.J.; Mitsouras, D. Cardiothoracic applications of 3-dimensional printing. J. Thorac. Imaging 2016, 31, 253–272. [Google Scholar] [CrossRef] [PubMed]
- Rai, R.; Manton, D.; Jameson, M.G.; Josan, S.; Barton, M.B.; Holloway, L.C.; Liney, G.P. 3D printed phantoms mimicking cortical bone for the assessment of ultrashort echo time magnetic resonance imaging. Med. Phys. 2018, 45, 758–766. [Google Scholar] [CrossRef]
- Cook, T.S.; Steingall, S.J.; Steingall, S.R.; Boonn, W.W. Establishing and running a three-dimensional and advanced imaging laboratory. Radiographics 2018, 38, 1799–1809. [Google Scholar] [CrossRef]
- Linguraru, M.G.; Yao, J.; Gautam, R.; Peterson, J.; Li, Z.; Linehan, W.M.; Summers, R.M. Renal tumor quantification and classification in contrast-enhanced abdominal CT. Pattern Recognit. 2009, 42, 1149–1161. [Google Scholar] [CrossRef]
- Cardenas, C.E.; Yang, J.; Anderson, B.M.; Court, L.E.; Brock, K.B. Advances in auto-segmentation. In Seminars in Radiation Oncology; WB Saunders: Philadelphia, PA, USA, 2019; Volume 29, pp. 185–197. [Google Scholar]
- Demehri, S.; Muhit, A.; Zbijewski, W.; Stayman, J.W.; Yorkston, J.; Packard, N.; Senn, R.; Yang, D.; Foos, D.; Thawait, G.K.; et al. Assessment of image quality in soft tissue and bone visualization tasks for a dedicated extremity cone-beam CT system. Eur. Radiol. 2015, 25, 1742–1751. [Google Scholar] [CrossRef]
- Goldman, L.W. Principles of CT: Radiation dose and image quality. J. Nucl. Med. Technol. 2007, 35, 213–225. [Google Scholar] [CrossRef] [PubMed]
- Mitsouras, D.; Liacouras, P.; Imanzadeh, A.; Giannopoulos, A.A.; Cai, T.; Kumamaru, K.K.; George, E.; Wake, N.; Caterson, E.J.; Pomahac, B.; et al. Medical 3D printing for the radiologist. Radiographics 2015, 35, 1965–1988. [Google Scholar] [CrossRef] [PubMed]
- Jusufbegović, M.; Pandžić, A.; Šehić, A.; Jašić, R.; Julardžija, F.; Vegar-Zubović, S.; Beganović, A. Computed tomography tissue equivalence of 3D printing materials. Radiography 2022, 28, 788–792. [Google Scholar] [CrossRef] [PubMed]
- Hepburn, H.R.; Pirk, C.W.; Duangphakdee, O.; Hepburn, H.R.; Pirk, C.W.; Duangphakdee, O. The chemistry of beeswax. In Honeybee Nests: Composition, Structure, Function; Springer: Berlin/Heidelberg, Germany, 2014; pp. 319–339. [Google Scholar]
- European Food Safety Authority (EFSA). Risk Assessment of Beeswax Adulterated with Paraffin and/or Stearin/Stearic Acid When Used in Apiculture and as Food (Honeycomb). EFSA Support. Publ. 2020, 17, 1859E. [Google Scholar]








| Source/Comparison | Key Findings | Description |
|---|---|---|
| Filippou et al. [12] | Three-dimensional printing offers precision and customization. | Three-dimensional printing enables the production of phantoms that closely mimic human tissue properties, which is crucial for accurate radiation dose measurements. |
| Wang et al. [13] | Potential for dose reduction through personalized phantom design. | This study highlights the comparison of different materials and printing techniques used to achieve tissue-equivalent properties, emphasizing dose reduction. |
| Coles-Black et al. [14] | Clinical applications in surgery and radiation therapy. | This article discusses the importance of phantoms in training and preoperative planning, in which accurate tissue simulation is critical for clinical applications. |
| Higgins et al. [15] | Comparison of commercial and 3D-printed phantoms. | This research compares the pros and cons of commercial and 3D-printed phantoms in terms of cost, accuracy, and clinical utility, providing insights into their relative effectiveness. |
| U (kV) | I (mA) | t (ms) | p | T (mm) | CTDI (mGy) | Kernel | ||
|---|---|---|---|---|---|---|---|---|
| Series | 1 | 80 | 300 | 750 | 0.816 | 0.5 | 3.9 | FC18 |
| 2 | 100 | 153 | 750 | 0.816 | 0.5 | 4.9 | FC18 | |
| 3 | 120 | 87 | 750 | 0.816 | 0.5 | 6.0 | FC18 | |
| 4 | 135 | 80 | 750 | 0.816 | 0.5 | 7.6 | FC18 | |
| 5 | 80 | 300 | 750 | 0.816 | 0.5 | 3.9 | FC08 | |
| 6 | 80 | 300 | 750 | 0.816 | 1.0 | 3.9 | FC18 | |
| 7 | 100 | 153 | 750 | 0.816 | 0.5 | 4.9 | FC08 | |
| 8 | 100 | 153 | 750 | 0.816 | 1.0 | 4.9 | FC18 | |
| 9 | 120 | 87 | 750 | 0.816 | 0.5 | 6.0 | FC08 | |
| 10 | 120 | 87 | 750 | 0.816 | 1.0 | 6.0 | FC18 | |
| 11 | 135 | 80 | 750 | 0.816 | 0.5 | 7.6 | FC08 | |
| 12 | 135 | 80 | 750 | 0.816 | 1.0 | 7.6 | FC18 | |
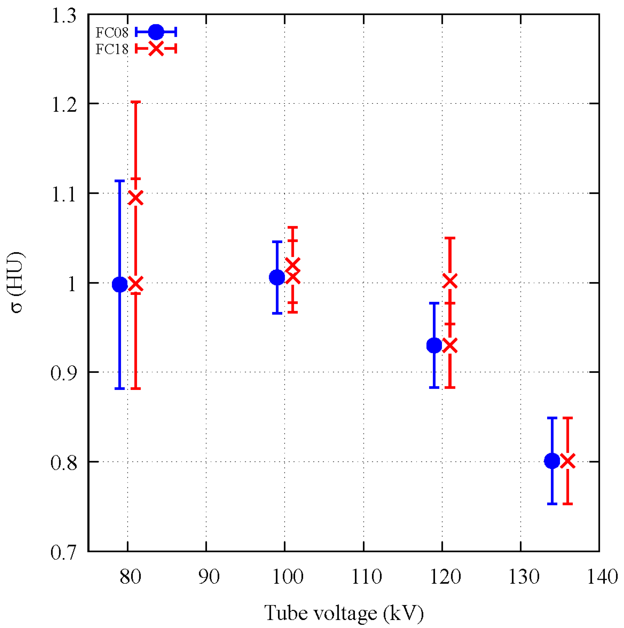
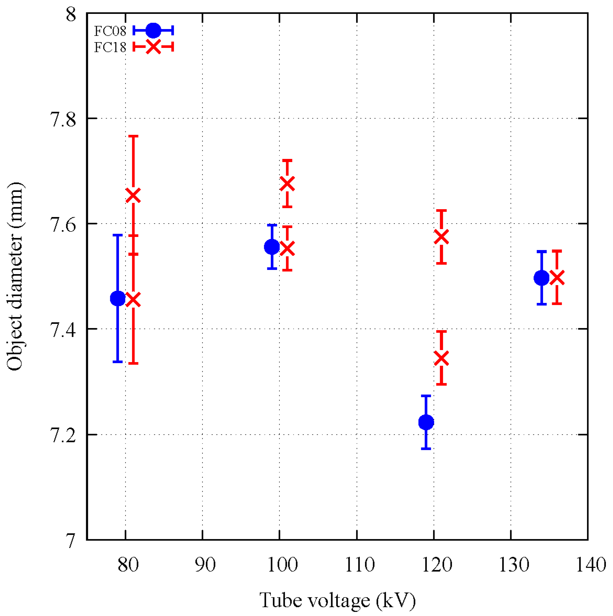
| U | I | CTDI | T | σ | D | C | ||
|---|---|---|---|---|---|---|---|---|
| (kV) | (mA) | (mGy) | (mm) | (HU) | (mm) | (HU) | ||
| Series | 1 | 80 | 300 | 3.9 | 0.5 | 1.00 | 7.46 | 810 |
| 2 | 100 | 153 | 4.9 | 0.5 | 1.01 | 7.55 | 877 | |
| 3 | 120 | 87 | 6.0 | 0.5 | 0.93 | 7.35 | 884 | |
| 4 | 135 | 80 | 7.6 | 0.5 | 0.80 | 7.50 | 865 | |
| 5 | 80 | 300 | 3.9 | 0.5 | 1.00 | 7.46 | 808 | |
| 6 | 80 | 300 | 3.9 | 1.0 | 1.09 | 7.65 | 825 | |
| 7 | 100 | 153 | 4.9 | 0.5 | 1.01 | 7.56 | 874 | |
| 8 | 100 | 153 | 4.9 | 1.0 | 1.02 | 7.68 | 879 | |
| 9 | 120 | 87 | 6.0 | 0.5 | 0.93 | 7.22 | 883 | |
| 10 | 120 | 87 | 6.0 | 1.0 | 1.00 | 7.58 | 876 | |
| 11 | 135 | 80 | 7.6 | 0.5 | 0.80 | 7.50 | 864 | |
| 12 | 135 | 80 | 7.6 | 1.0 | 0.84 | 7.75 | 869 | |
| Evaluated Object | Fat Tissue ± σ) | Muscle Tissue ± σ) | Bone ± σ) |
|---|---|---|---|
| Patient images | −113.6 ± 10.4 | 49.72 ± 14.7 | 376 ± 120.6 |
| 3D-printed phantom | −115.41 ± 20.29 | 65.61 ± 18.06 | 510 ± 131.2 |
| Commercially available phantom | −74.78 ± 12.83 | 56.34 ± 12.6 | 541 ± 101.8 |
| p-Values of Student’s t-test | |||
| 0.428 | <0.001 | <0.001 |
| <0.001 | <0.001 | <0.001 |
| <0.001 | <0.001 | 0.063 |
Disclaimer/Publisher’s Note: The statements, opinions and data contained in all publications are solely those of the individual author(s) and contributor(s) and not of MDPI and/or the editor(s). MDPI and/or the editor(s) disclaim responsibility for any injury to people or property resulting from any ideas, methods, instructions or products referred to in the content. |
© 2024 by the authors. Licensee MDPI, Basel, Switzerland. This article is an open access article distributed under the terms and conditions of the Creative Commons Attribution (CC BY) license (https://creativecommons.org/licenses/by/4.0/).
Share and Cite
Becircic, M.; Delibegovic, S.; Sehic, A.; Julardzija, F.; Beganovic, A.; Ljuca, K.; Pandzic, A.; Jusufbegovic, M. Advancing Phantom Fabrication: Exploring 3D-Printed Solutions for Abdominal Imaging Research. Appl. Sci. 2024, 14, 8384. https://doi.org/10.3390/app14188384
Becircic M, Delibegovic S, Sehic A, Julardzija F, Beganovic A, Ljuca K, Pandzic A, Jusufbegovic M. Advancing Phantom Fabrication: Exploring 3D-Printed Solutions for Abdominal Imaging Research. Applied Sciences. 2024; 14(18):8384. https://doi.org/10.3390/app14188384
Chicago/Turabian StyleBecircic, Muris, Samir Delibegovic, Adnan Sehic, Fuad Julardzija, Adnan Beganovic, Kenana Ljuca, Adi Pandzic, and Merim Jusufbegovic. 2024. "Advancing Phantom Fabrication: Exploring 3D-Printed Solutions for Abdominal Imaging Research" Applied Sciences 14, no. 18: 8384. https://doi.org/10.3390/app14188384
APA StyleBecircic, M., Delibegovic, S., Sehic, A., Julardzija, F., Beganovic, A., Ljuca, K., Pandzic, A., & Jusufbegovic, M. (2024). Advancing Phantom Fabrication: Exploring 3D-Printed Solutions for Abdominal Imaging Research. Applied Sciences, 14(18), 8384. https://doi.org/10.3390/app14188384

