Volumetric Analysis of Aortic Changes after TEVAR Using Three-Dimensional Virtual Modeling
Abstract
1. Introduction
2. Materials and Methods
2.1. CTA Protocol
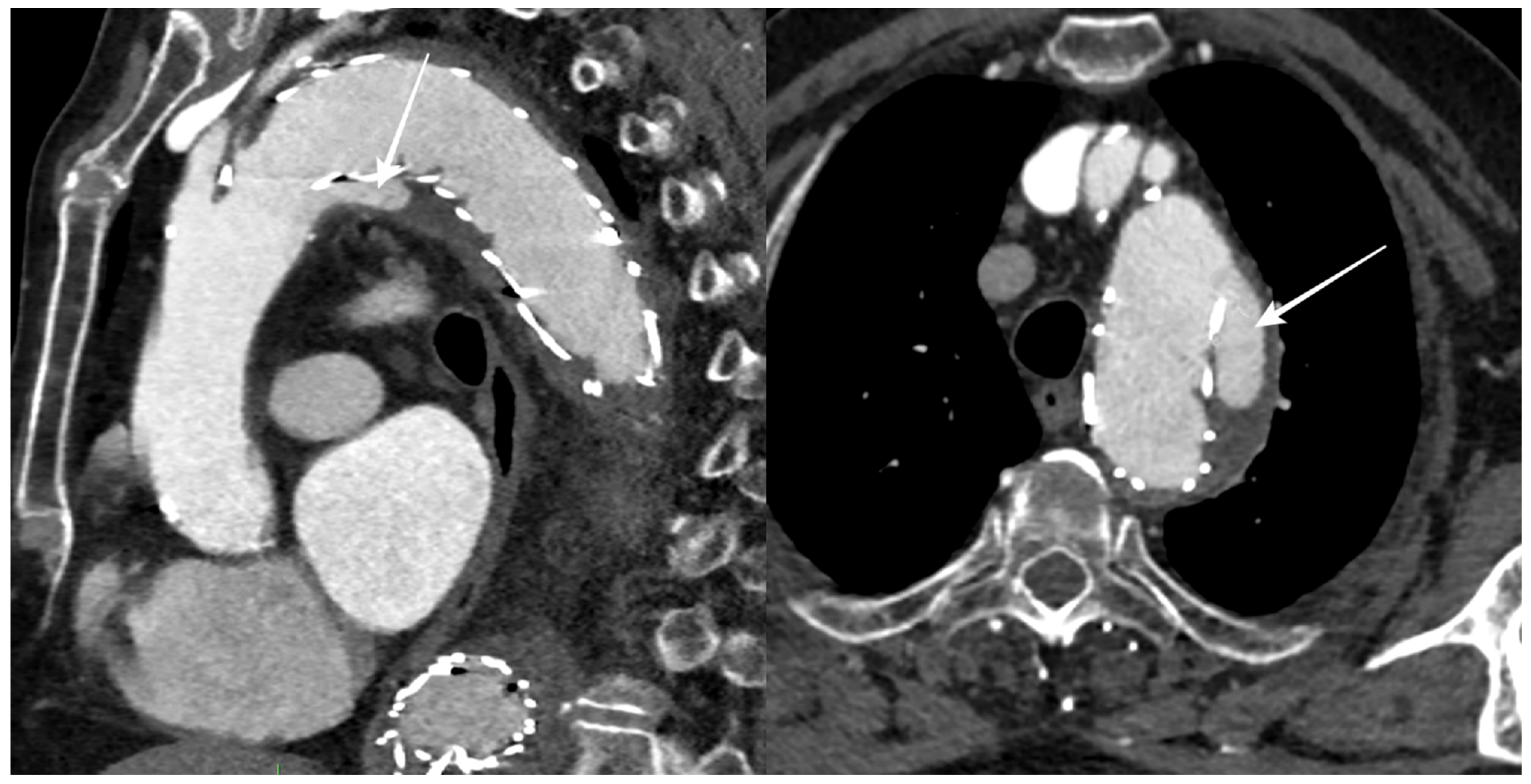
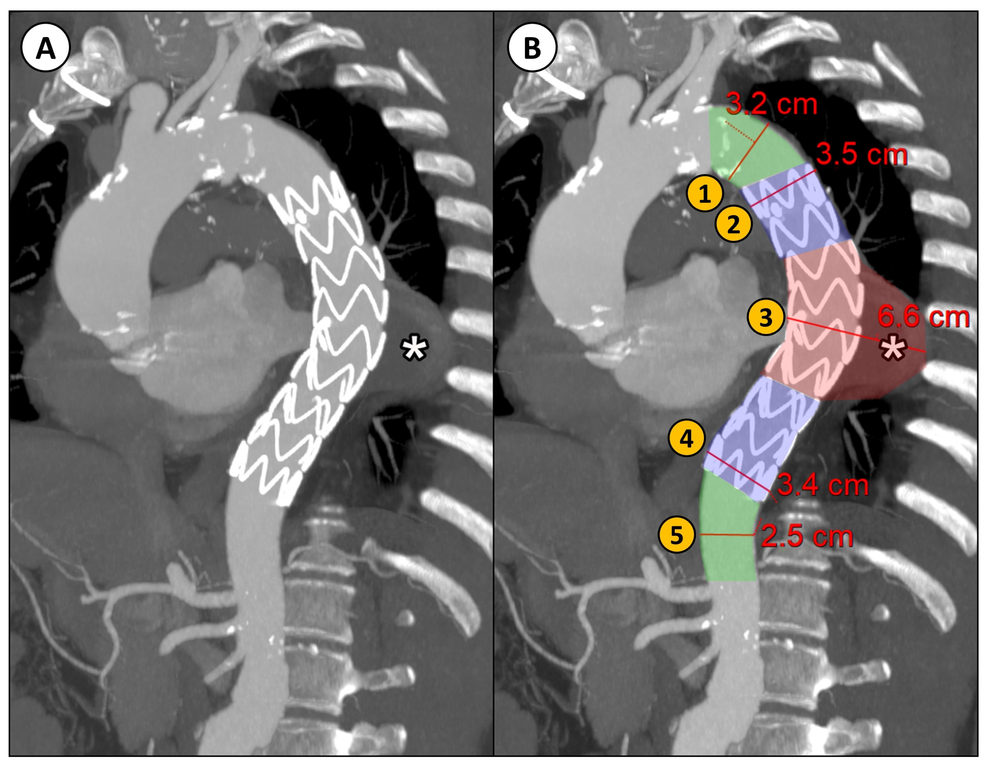
2.2. Diameter Measurement from 2D CTA Imaging
- Proximal neck (native aorta between the origin of the left subclavian artery and the proximal landing zone of the stent graft);
- Proximal landing zone of the stent graft;
- Aneurysm;
- Distal landing zone of the stent graft;
- Distal neck (native aorta between the distal landing zone of the stent graft and the origin of the celiac trunk).
2.3. Volumetric Analysis
2.3.1. Image Segmentation
2.3.2. Volume Computation
2.4. Statistical Analysis
3. Results
4. Discussion
5. Conclusions
Author Contributions
Funding
Institutional Review Board Statement
Informed Consent Statement
Data Availability Statement
Acknowledgments
Conflicts of Interest
References
- Nation, D.A.; Wang, G.J. TEVAR: Endovascular Repair of the Thoracic Aorta. Semin. Interv. Radiol. 2015, 32, 265–271. [Google Scholar] [CrossRef] [PubMed]
- Dake, M.D.; Miller, D.C.; Semba, C.P.; Mitchell, R.S.; Walker, P.J.; Liddell, R.P. Transluminal placement of endovascular stent-grafts for the treatment of descending thoracic aortic aneurysms. N. Engl. J. Med. 1994, 331, 1729–1734. [Google Scholar] [CrossRef] [PubMed]
- Walsh, S.R.; Tang, T.Y.; Sadat, U.; Naik, J.; Gaunt, M.E.; Boyle, J.R.; Hayes, P.D.; Varty, K. Endovascular stenting versus open surgery for thoracic aortic disease: Systematic review and meta-analysis of perioperative results. J. Vasc. Surg. 2008, 47, 1094–1098. [Google Scholar] [CrossRef] [PubMed]
- Fankhauser, K.; Wamala, I.; Penkalla, A.; Heck, R.; Hammerschmidt, R.; Falk, V.; Buz, S. Outcomes and survival following thoracic endovascular repair in patients with aortic aneurysms limited to the descending thoracic aorta. J. Cardiothorac. Surg. 2023, 18, 194. [Google Scholar] [CrossRef] [PubMed]
- Authors/Task Force Members; Czerny, M.; Grabenwöger, M.; Berger, T.; Aboyans, V.; Della Corte, A.; Chen, E.P.; Desai, N.D.; Dumfarth, J.; Elefteriades, J.A.; et al. EACTS/STS Guidelines for Diagnosing and Treating Acute and Chronic Syndromes of the Aortic Organ. Ann. Thorac. Surg. 2024, 118, 5–115. [Google Scholar] [CrossRef] [PubMed]
- Sharples, L.; Sastry, P.; Freeman, C.; Gray, J.; McCarthy, A.; Chiu, Y.-D.; Bicknell, C.; McMeekin, P.; Vallabhaneni, S.R.; Cook, A.; et al. Endovascular stent grafting and open surgical replacement for chronic thoracic aortic aneurysms: A systematic review and prospective cohort study. Health Technol. Assess. 2022, 26, 1–166. [Google Scholar] [CrossRef] [PubMed]
- McCarthy, A.; Gray, J.; Sastry, P.; Sharples, L.; Vale, L.; Cook, A.; Mcmeekin, P.; Freeman, C.; Catarino, P.; Large, S. Systematic review of endovascular stent grafting versus open surgical repair for the elective treatment of arch/descending thoracic aortic aneurysms. BMJ Open 2021, 11, e043323. [Google Scholar] [CrossRef]
- Lederle, F.A.; Kyriakides, T.C.; Stroupe, K.T.; Freischlag, J.A.; Padberg, F.T.; Matsumura, J.S.; Huo, Z.; Johnson, G.R. Open versus Endovascular Repair of Abdominal Aortic Aneurysm. N. Engl. J. Med. 2019, 380, 2126–2135. [Google Scholar] [CrossRef] [PubMed]
- Pantaleo, A.; Jafrancesco, G.; Buia, F.; Leone, A.; Lovato, L.; Russo, V.; Di Marco, L.; Di Bartolomeo, R.; Pacini, D. Distal Stent Graft-Induced New Entry: An Emerging Complication of Endovascular Treatment in Aortic Dissection. Ann. Thorac. Surg. 2016, 102, 527–532. [Google Scholar] [CrossRef]
- Writing Committee Members; Isselbacher, E.M.; Preventza, O.; Hamilton Black Iii, J.; Augoustides, J.G.; Beck, A.W.; Bolen, M.A.; Braverman, A.C.; Bray, B.E.; Brown-Zimmerman, M.M.; et al. 2022 ACC/AHA Guideline for the Diagnosis and Management of Aortic Disease: A Report of the American Heart Association/American College of Cardiology Joint Committee on Clinical Practice Guidelines. J. Am. Coll. Cardiol. 2022, 80, e223–e393. [Google Scholar] [CrossRef]
- Asch, F.M.; Yuriditsky, E.; Prakash, S.K.; Roman, M.J.; Weinsaft, J.W.; Weissman, G.; Weigold, W.G.; Morris, S.A.; Ravekes, W.J.; Holmes, K.W.; et al. The Need for Standardized Methods for Measuring the Aorta: Multimodality Core Lab Experience From the GenTAC Registry. JACC Cardiovasc. Imaging 2016, 9, 219–226. [Google Scholar] [CrossRef]
- Masson, E. Biomodeling and 3D Printing: A Novel Radiology Subspecialty. In: EM-Consulte. Available online: https://www.em-consulte.com/article/1489895/biomodeling-and-3d-printing-a-novel-radiology-subs (accessed on 24 June 2024).
- Bianchi, L.; Schiavina, R.; Bortolani, B.; Cercenelli, L.; Gaudiano, C.; Carpani, G.; Rustici, A.; Droghetti, M.; Mottaran, A.; Boschi, S.; et al. Interpreting nephrometry scores with three-dimensional virtual modelling for better planning of robotic partial nephrectomy and predicting complications. Urol. Oncol. 2021, 39, e1–e836. [Google Scholar] [CrossRef]
- Tarsitano, A.; Ricotta, F.; Cercenelli, L.; Bortolani, B.; Battaglia, S.; Lucchi, E.; Marchetti, C.; Marcelli, E. Pretreatment tumor volume and tumor sphericity as prognostic factors in patients with oral cavity squamous cell carcinoma. J. Cranio-Maxillofac. Surg. 2019, 47, 510–515. [Google Scholar] [CrossRef]
- Wijnen, N.; Brouwers, L.; Jebbink, E.G.; Heyligers, J.M.M.; Bemelman, M. Comparison of segmentation software packages for in-hospital 3D print workflow. J. Med. Imaging 2021, 8, 034004. [Google Scholar] [CrossRef]
- Krishnan Suresh Volume of a Surface Triangulation. 2024. Available online: https://it.mathworks.com/matlabcentral/fileexchange/26982-volume-of-a-surface-triangulation (accessed on 25 June 2024).
- Makaroun, M.S.; Dillavou, E.D.; Kee, S.T.; Sicard, G.; Chaikof, E.; Bavaria, J.; Williams, D.; Cambria, R.P.; Mitchell, R.S. Endovascular treatment of thoracic aortic aneurysms: Results of the phase II multicenter trial of the GORE TAG thoracic endoprosthesis. J. Vasc. Surg. 2005, 41, 1–9. [Google Scholar] [CrossRef]
- Fairman, R.M.; Criado, F.; Farber, M.; Kwolek, C.; Mehta, M.; White, R.; Lee, A.; Tuchek, J.M.; VALOR Investigators. Pivotal results of the Medtronic Vascular Talent Thoracic Stent Graft System: The VALOR trial. J. Vasc. Surg. 2008, 48, 546–554. [Google Scholar] [CrossRef] [PubMed]
- Matsumura, J.S.; Cambria, R.P.; Dake, M.D.; Moore, R.D.; Svensson, L.G.; Snyder, S.; TX2 Clinical Trial Investigators. International controlled clinical trial of thoracic endovascular aneurysm repair with the Zenith TX2 endovascular graft: 1-year results. J. Vasc. Surg. 2008, 47, 247–257; discussion 257. [Google Scholar] [CrossRef] [PubMed]
- Rudarakanchana, N.; Bicknell, C.D.; Cheshire, N.J.; Burfitt, N.; Chapman, A.; Hamady, M.; Powell, J.T. Variation in maximum diameter measurements of descending thoracic aortic aneurysms using unformatted planes versus images corrected to aortic centerline. Eur. J. Vasc. Endovasc. Surg. 2014, 47, 19–26. [Google Scholar] [CrossRef] [PubMed]
- Quint, L.E.; Liu, P.S.; Booher, A.M.; Watcharotone, K.; Myles, J.D. Proximal thoracic aortic diameter measurements at CT: Repeatability and reproducibility according to measurement method. Int. J. Cardiovasc. Imaging 2013, 29, 479–488. [Google Scholar] [CrossRef]
- Wever, J.J.; Blankensteijn, J.D.; Th M Mali, W.P.; Eikelboom, B.C. Maximal aneurysm diameter follow-up is inadequate after endovascular abdominal aortic aneurysm repair. Eur. J. Vasc. Endovasc. Surg. 2000, 20, 177–182. [Google Scholar] [CrossRef]
- Wolf, Y.G.; Tillich, M.; Lee, W.A.; Fogarty, T.J.; Zarins, C.K.; Rubin, G.D. Changes in aneurysm volume after endovascular repair of abdominal aortic aneurysm. J. Vasc. Surg. 2002, 36, 305–309. [Google Scholar] [CrossRef] [PubMed]
- Lee, J.T.; Aziz, I.N.; Lee, J.T.; Haukoos, J.S.; Donayre, C.E.; Walot, I.; Kopchok, G.E.; Lippmann, M.; White, R.A. Volume regression of abdominal aortic aneurysms and its relation to successful endoluminal exclusion. J. Vasc. Surg. 2003, 38, 1254–1263. [Google Scholar] [CrossRef] [PubMed]
- Arsicot, M.; Lathelize, H.; Martinez, R.; Marchand, E.; Picquet, J.; Enon, B. Follow-up of aortic stent grafts: Comparison of the volumetric analysis of the aneurysm sac by ultrasound and CT. Ann. Vasc. Surg. 2014, 28, 1618–1628. [Google Scholar] [CrossRef] [PubMed]
- Ghatwary, T.M.H.; Patterson, B.O.; Karthikesalingam, A.; Hinchliffe, R.J.; Loftus, I.M.; Morgan, R.; Thompson, M.M.; Holt, P.J.E. A systematic review of protocols for the three-dimensional morphologic assessment of abdominal aortic aneurysms using computed tomographic angiography. Cardiovasc. Interv. Radiol. 2013, 36, 14–24. [Google Scholar] [CrossRef] [PubMed]
- Dohle, D.-S.; Laverne, T.; Bavaria, J.; Savino, D.; Vallabhajosyula, P.; Szeto, W.Y.; Siki, M.; Wang, G.; Jackson, B.; Desai, N. Aortic remodelling after thoracic endovascular aortic repair in acute and chronic type B aortic dissections. Eur. J. Cardiothorac. Surg. 2020, 58, 730–737. [Google Scholar] [CrossRef] [PubMed]
- Stanley, G.A.; Murphy, E.H.; Knowles, M.; Ilves, M.; Jessen, M.E.; Dimaio, J.M.; Modrall, J.G.; Arko, F.R. Volumetric analysis of type B aortic dissections treated with thoracic endovascular aortic repair. J. Vasc. Surg. 2011, 54, 985–992; discussion 992. [Google Scholar] [CrossRef] [PubMed]
- Gaudry, M.; Guivier-Curien, C.; Blanchard, A.; Porto, A.; Bal, L.; Omnes, V.; De Masi, M.; Lu, C.; Jacquier, A.; Piquet, P.; et al. Volume Analysis to Predict the Long-Term Evolution of Residual Aortic Dissection after Type A Repair. J. Cardiovasc. Dev. Dis. 2022, 9, 349. [Google Scholar] [CrossRef] [PubMed]
- Nomura, Y.; Sugimoto, K.; Gotake, Y.; Yamanaka, K.; Sakamoto, T.; Muradi, A.; Okada, T.; Yamaguchi, M.; Okita, Y. Comparison of Volumetric and Diametric Analysis in Endovascular Repair of Descending Thoracic Aortic Aneurysm. Eur. J. Vasc. Endovasc. Surg. 2015, 50, 53–59. [Google Scholar] [CrossRef] [PubMed][Green Version]
- Sharafuddin, M.J.; Bhama, J.K.; Bashir, M.; Aboul-Hosn, M.S.; Man, J.H.; Sharp, A.J. Distal landing zone optimization before endovascular repair of aortic dissection. J. Thorac. Cardiovasc. Surg. 2019, 157, 88–98. [Google Scholar] [CrossRef]
- Kölbel, T.; Panuccio, G. More Attention Needed for the Distal Landing Zone in TEVAR. Eur. J. Vasc. Endovasc. Surg. 2019, 58, 303–304. [Google Scholar] [CrossRef]
- Natural History of Descending Thoracic and Thoracoabdominal Aortic Aneurysms—PubMed. Available online: https://pubmed-ncbi-nlm-nih-gov.ezproxy.unibo.it/31982126/ (accessed on 24 June 2024).





| Patients Characteristics | n = 24 | ||
|---|---|---|---|
| Demographic Data | |||
| Males (%) | 18 (75%) | ||
| Age, years (mean ± SD) | 68.2 ± 10.3 | ||
| Clinical Data | |||
| Hypertension | 18 (75%) | ||
| Smoking | 8 (33%) | ||
| Diabetes mellitus | 2 (8%) | ||
| Dyslipidemia | 6 (25%) | ||
| CAD | 7 (29%) | ||
| COPD | 4 (17%) | ||
| CKD | 3 (13%) | ||
| Laboratory Data (Mean ± SD) | At Discharge | At 12 Months | p |
| CRP, mg/dL | 2.7 ± 4.7 | 1.3 ± 1.8 | n.s. |
| IL-6, pg/mL | 7.1 ± 6.4 | 31.5 ± 101.6 | n.s. |
| ESR, mm/h | 23.2 ± 15.8 | 26.5 ± 13.8 | n.s. |
| D-dimer, μg/L | 5.8 ± 4.0 | 10.6 ± 9.6 | 0.027 |
| TEVAR Data | ||
|---|---|---|
| Implanted stent graft (total) | 39 | |
| Implanted stent graft per TEVAR (mean ± SD) | 1.6 ± 0.6 | |
| Stent graft name | n (%) | |
| Valiant Captivia® (Medtronic, Minneapolis, MN, USA) | 27 (69%) | |
| Relay® (Bolton Medical, Sunrise, FL, USA) | 5 (13%) | |
| TAG® (Gore Medical, Flagstaff, AZ, USA) | 4 (10%) | |
| Zenith® (Cook, Bloomington, IN, USA) | 2 (5%) | |
| Custom stent graft (Jotec GmbH, Hechingen, Germany) | 1 (2.5%) | |
| TEVAR-related events in the total f/u time | n (%) | Time after TEVAR (months, mean ± SD) |
| Endoleaks (total) | 12 (50%) | |
| Type Ia | 3 (12.5%) | 38.3 ± 37.7 |
| Type Ib | 3 (12.5%) | 2.7 ± 0.6 |
| Type II | 7 (29.2%) | 5.1 ± 5.4 |
| Type III | 2 (8.3%) | 49 ± 32.5 |
| Type IV | --- | |
| Type V | 1 (4.2%) | 12 |
| Stent graft migration | 6 (25%) | 26.0 ± 16.9 |
| Re-TEVAR (total) | 7 (29.2%) | |
| 1 | 7 (29.2%) | 38.3 ± 35.0 |
| 2 | 3 (12.5%) | 66.0 ± 8.5 |
| Death (total) | 4 (16.7%) | 42.3 ± 29.9 |
| Stent-related | 1 (4.2%) | 15 |
| Not stent-related | 3 (12.5%) | 51.3 ± 29.1 |
| TEVAR-related complications (total) | 8 (33.3%) |
| TEVAR-Related Complications (n = 8) | No TEVAR-Related Complications (n = 16) | Complications vs. No Complications | ||||
|---|---|---|---|---|---|---|
| Diameter Change | Net (mm) | Relative (%) | Net (mm) | Relative (%) | Net (p) | Relative (p) |
| Proximal Neck (1) | 2.5 ± 3.5 | 5.7 ± 8.0 | 1.0 ± 1.7 | 2.8 ± 5.0 | n.s. | n.s. |
| Proximal Landing Zone (2) | 0.1 ± 2.9 | 0.1 ± 7.6 | 1.1 ± 1.7 | 3.1 ± 4.5 | n.s. | n.s. |
| Aneurysm (3) | 1.5 ± 6.5 | 2.6 ± 9.5 | −2.3 ± 9.0 | −2.4 ± 12.4 | n.s. | n.s. |
| Distal Landing Zone (4) | 4.3 ± 8.4 | 10.4 ± 18.6 | 0.2 ± 3.2 | 0.9 ± 8.6 | 0.049 | 0.048 |
| Distal Neck (5) | 3.4 ± 11.3 | 8.9 ± 25.3 | 0.5 ± 2.4 | 2.1 ± 6.7 | n.s. | n.s. |
| Volume Change | Net (mL) | Relative (%) | Net (mL) | Relative (%) | Net (p) | Relative (p) |
| Proximal Neck (1) | 6 ± 1 | 26 ± 31 | 2 ± 1 | 8 ± 4 | 0.001 | n.s. |
| Proximal Landing Zone (2) | 18 ± 23 | 24 ± 22 | 4 ± 4 | 14 ± 11 | n.s. | n.s. |
| Aneurysm (3) | 13 ± 33 | 5 ± 16 | −21 ± 48 | −4 ± 24 | 0.043 | n.s. |
| Distal Landing Zone (4) | 17 ± 15 | 42 ± 51 | 3 ± 12 | 17 ± 21 | 0.022 | n.s. |
| Distal Neck (5) | 22 ± 23 | 72 ± 110 | 2 ± 8 | 5 ± 16 | 0.030 | n.s. |
| Descending Thoracic Aorta (1, 2, 3, 4, 5) | 55 ± 25 | 10 ± 5 | −11 ± 51 | 1 ± 16 | 0.001 | 0.030 |
| Variable | Cut-Off Value | AUC | Std. Error | Asymptotic Sig. | CI (95%) | Sensitivity | Specificity |
|---|---|---|---|---|---|---|---|
| Diameter change—net (mm) | |||||||
| Proximal Neck (1) | 4.0 | 0.667 | 0.265 | 0.505 | 0.147–1.000 | 0.500 | 1.000 |
| Proximal Landing Zone (2) | 1.0 | 0.465 | 0.139 | 0.783 | 0.193–0.737 | 0.500 | 0.688 |
| Aneurysm (3) | 2.0 | 0.680 | 0.130 | 0.159 | 0.424–0.935 | 0.750 | 0.688 |
| Distal Landing Zone (4) | 3.0 | 0.641 | 0.138 | 0.270 | 0.370–0.911 | 0.625 | 0.813 |
| Distal Neck (5) | 4.0 | 0.647 | 0.155 | 0.270 | 0.343–0.952 | 0.429 | 1.000 |
| Diameter change—relative | |||||||
| Proximal Neck (1) | 10.4% | 0.667 | 0.265 | 0.505 | 0.147–1.000 | 0.500 | 1.000 |
| Proximal Landing Zone (2) | 4.6% | 0.438 | 0.135 | 0.624 | 0.137–0.702 | 0.375 | 0.688 |
| Aneurysm (3) | 2.6% | 0.656 | 0.138 | 0.221 | 0.386–0.927 | 0.750 | 0.688 |
| Distal Landing Zone (4) | 8.1% | 0.637 | 0.138 | 0.284 | 0.366–0.907 | 0.625 | 0.813 |
| Distal Neck (5) | 11.6% | 0.634 | 0.156 | 0.316 | 0.328–0.940 | 0.429 | 1.000 |
| Volume change—net (mL) | |||||||
| Proximal Neck (1) | 4.4 | 1.000 | 0.000 | 0.064 | 1.000–1.000 | 1.000 | 1.000 |
| Proximal Landing Zone (2) | 5.4 | 0.688 | 0.150 | 0.161 | 0.393–0.982 | 0.714 | 0.813 |
| Aneurysm (3) | −7.3 | 0.727 | 0.115 | 0.076 | 0.501–0.952 | 0.875 | 0.563 |
| Distal Landing Zone (4) | 14.0 | 0.733 | 0.145 | 0.102 | 0.499–1.000 | 0.667 | 0.933 |
| Distal Neck (5) | 4.6 | 0.875 | 0.073 | 0.005 | 0.731–1.000 | 1.000 | 0.688 |
| Descending Thoracic Aorta (1, 2, 3, 4, 5) | 40.4 | 0.906 | 0.062 | 0.001 | 0.785–1.000 | 0.750 | 0.938 |
| Volume change—relative | |||||||
| Proximal Neck (1) | 30.5% | 0.625 | 0.296 | 0.643 | 0.044–1.000 | 0.500 | 1.000 |
| Proximal Landing Zone (2) | 40.3% | 0.616 | 0.154 | 0.385 | 0.314–0.919 | 0.429 | 1.000 |
| Aneurysm (3) | −3.7% | 0.617 | 0.119 | 0.358 | 0.383–0.851 | 0.875 | 0.563 |
| Distal Landing Zone (4) | 42.3% | 0.611 | 0.141 | 0.436 | 0.334–0.888 | 0.333 | 0.933 |
| Distal Neck (5) | 9.8% | 0.857 | 0.079 | 0.008 | 0.703–1.000 | 1.000 | 0.688 |
| Descending Thoracic Aorta (1, 2, 3, 4, 5) | 3.2% | 0.703 | 0.107 | 0.111 | 0.493–0.913 | 1.000 | 0.625 |
Disclaimer/Publisher’s Note: The statements, opinions and data contained in all publications are solely those of the individual author(s) and contributor(s) and not of MDPI and/or the editor(s). MDPI and/or the editor(s) disclaim responsibility for any injury to people or property resulting from any ideas, methods, instructions or products referred to in the content. |
© 2024 by the authors. Licensee MDPI, Basel, Switzerland. This article is an open access article distributed under the terms and conditions of the Creative Commons Attribution (CC BY) license (https://creativecommons.org/licenses/by/4.0/).
Share and Cite
Rasciti, E.; Cercenelli, L.; Bortolani, B.; Luzi, P.; Ippoliti, M.D.; Lovato, L.; Marcelli, E. Volumetric Analysis of Aortic Changes after TEVAR Using Three-Dimensional Virtual Modeling. Appl. Sci. 2024, 14, 6948. https://doi.org/10.3390/app14166948
Rasciti E, Cercenelli L, Bortolani B, Luzi P, Ippoliti MD, Lovato L, Marcelli E. Volumetric Analysis of Aortic Changes after TEVAR Using Three-Dimensional Virtual Modeling. Applied Sciences. 2024; 14(16):6948. https://doi.org/10.3390/app14166948
Chicago/Turabian StyleRasciti, Edoardo, Laura Cercenelli, Barbara Bortolani, Paolo Luzi, Maria Dea Ippoliti, Luigi Lovato, and Emanuela Marcelli. 2024. "Volumetric Analysis of Aortic Changes after TEVAR Using Three-Dimensional Virtual Modeling" Applied Sciences 14, no. 16: 6948. https://doi.org/10.3390/app14166948
APA StyleRasciti, E., Cercenelli, L., Bortolani, B., Luzi, P., Ippoliti, M. D., Lovato, L., & Marcelli, E. (2024). Volumetric Analysis of Aortic Changes after TEVAR Using Three-Dimensional Virtual Modeling. Applied Sciences, 14(16), 6948. https://doi.org/10.3390/app14166948

