Modified Lip Repositioning Surgery in the Treatment of Gummy Smile
Abstract
1. Introduction
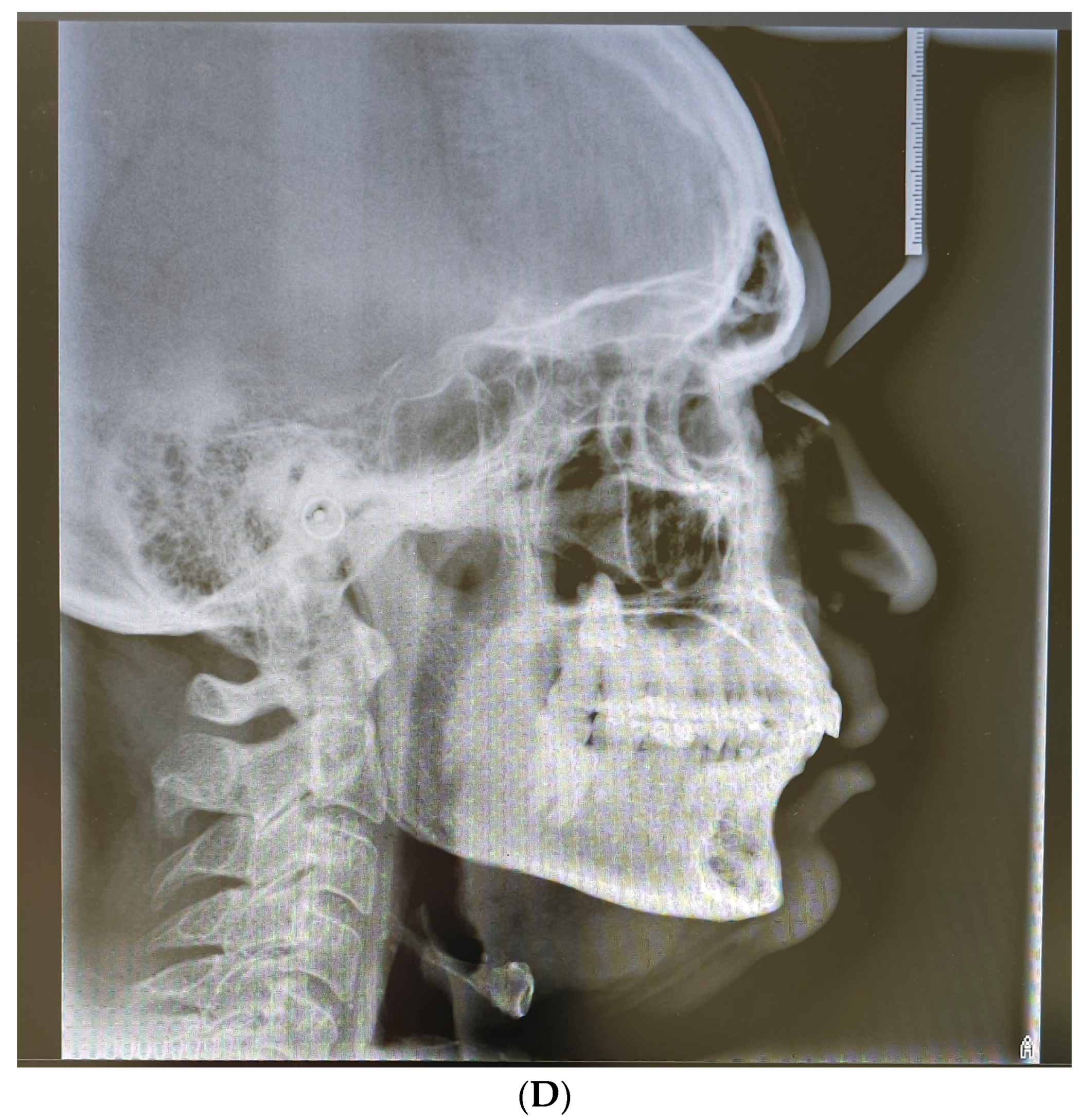
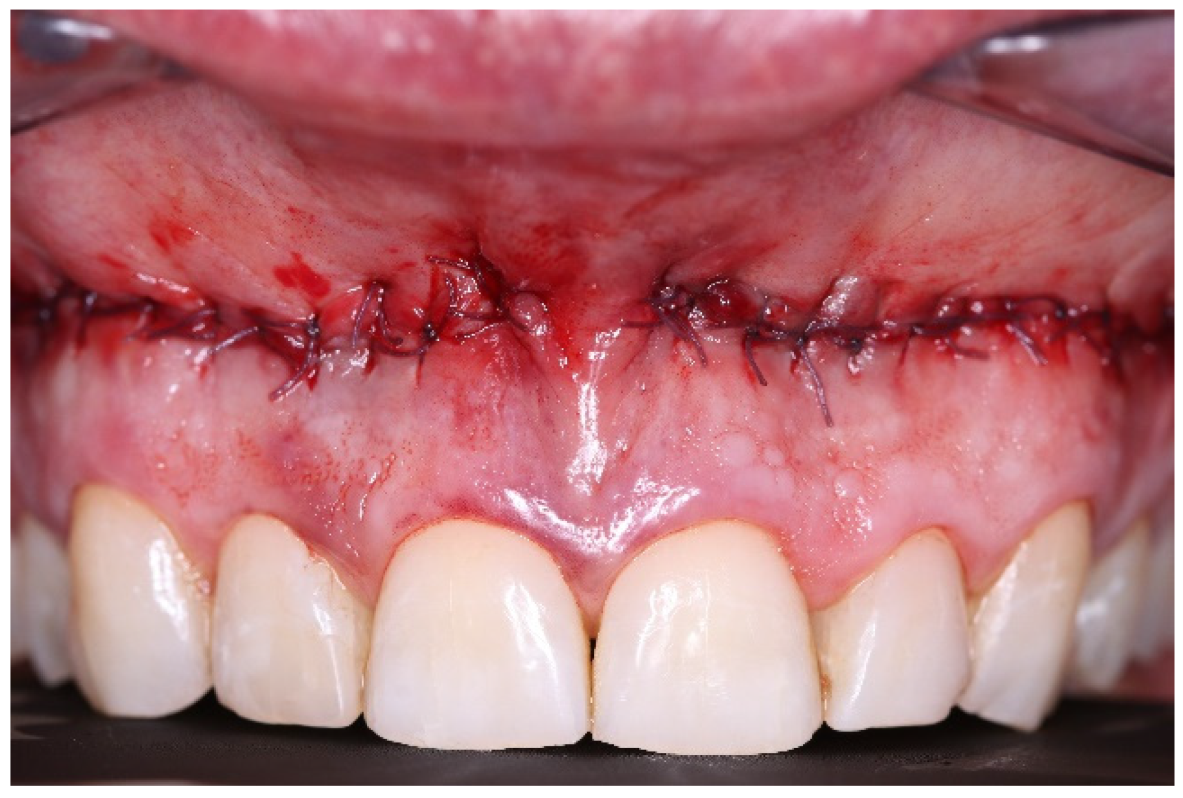
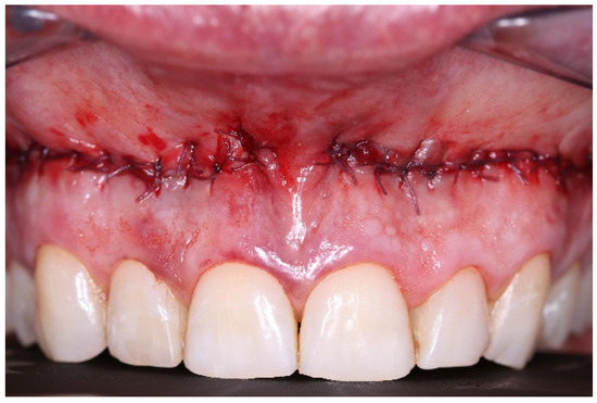
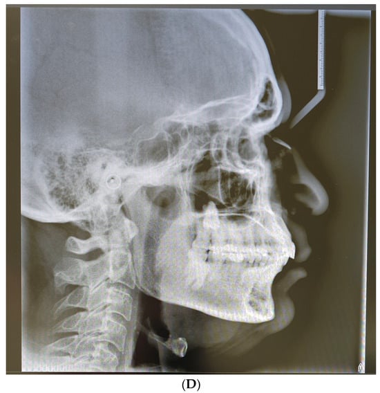
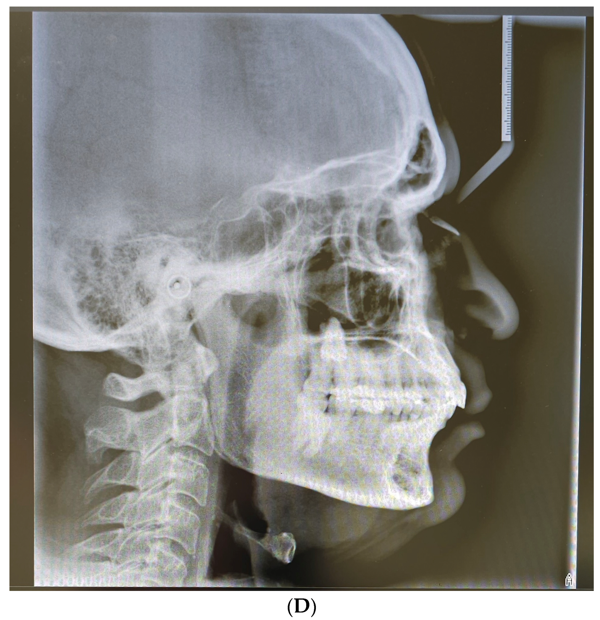
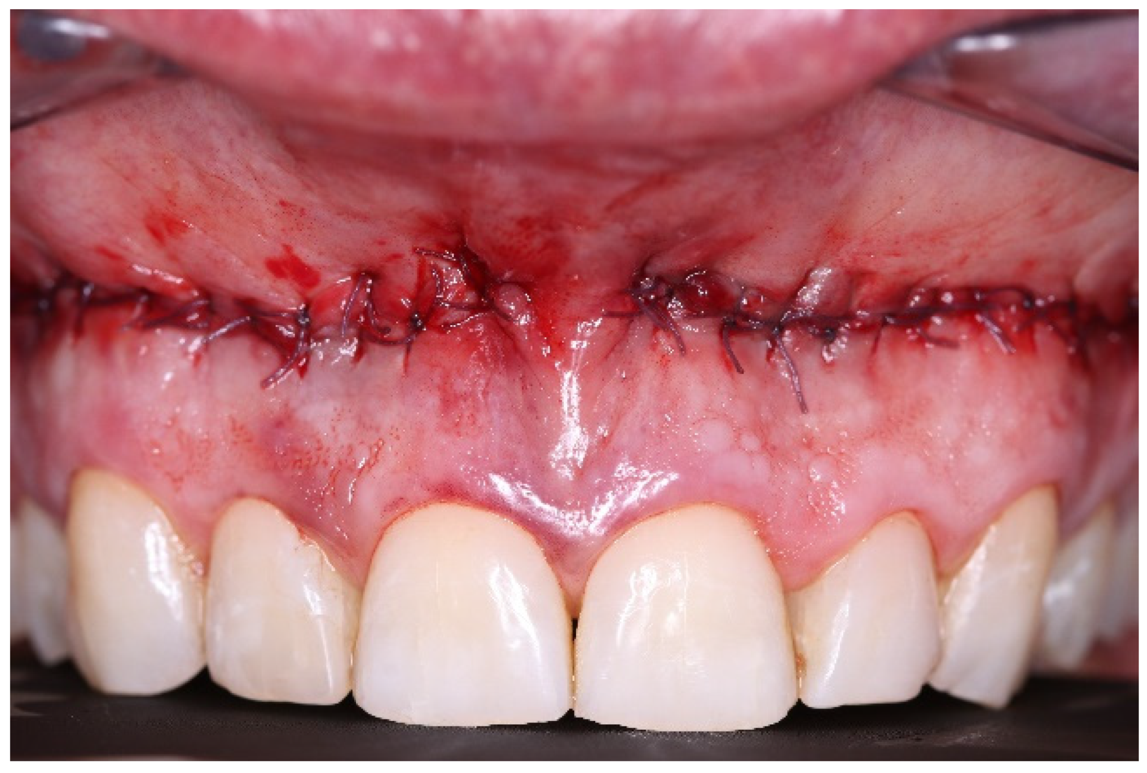
2. Case Presentation
3. Discussion
4. Conclusions
Author Contributions
Funding
Institutional Review Board Statement
Informed Consent Statement
Data Availability Statement
Conflicts of Interest
References
- Tawfik, O.K.; El-Nahass, H.E.; Shipman, P.; Looney, S.W.; Cutler, C.W.; Brunner, M. Lip repositioning for the treatment of excess gingival display: A systematic review. J. Esthet. Restor. Dent. 2018, 30, 101–112. [Google Scholar] [CrossRef]
- Jananni, M.; Sivaramakrishnan, M.; Libby, T.J. Surgical correction of excessive gingival display in class I vertical maxillary excess: Mucosal strip technique. J. Nat. Sci. Biol. Med. 2014, 5, 494–498. [Google Scholar] [CrossRef]
- Antoniazzi, R.P.; Fischer, L.S.; Balbinot, C.E.A.; Antoniazzi, S.P.; Skupien, J.A. Impact of excessive gingival display on oral health-related quality of life in a Southern Brazilian young population. J. Clin. Periodontol. 2017, 44, 996–1002. [Google Scholar] [CrossRef] [PubMed]
- Bhola, M.; Fairbairn, P.J.; Kolhatkar, S.; Chu, S.J.; Morris, T.; de Campos, M. LipStaT: The Lip Stabilization Technique-Indications and Guidelines for Case Selection and Classification of Excessive Gingival Display. Int. J. Periodontics Restor. Dent. 2015, 35, 549–559. [Google Scholar] [CrossRef]
- Gaddale, R.; Desai, S.R.; Mudda, J.A.; Karthikeyan, I. Lip repositioning. J. Indian Soc. Periodontol. 2014, 18, 254–258. [Google Scholar] [CrossRef] [PubMed]
- Dinker, S.; Anitha, A.; Sorake, A.; Kumar, K. Management of gummy smile with Botulinum Toxin Type-A: A case report. J. Int. Oral Health JIOH 2014, 6, 111–115. [Google Scholar]
- Rubenstein, A.M.; Kostianovsky, A.S. Cirugia estetica de la malformacion de la sonrisa. Pren. Med. Argent. 1973, 60, 952–954. [Google Scholar]
- Litton, C.; Fournier, P. Simple surgical correction of the gummy smile. Plast. Reconstr. Surg. 1979, 63, 372–373. [Google Scholar] [CrossRef]
- Rosenblatt, A.; Simon, Z. Lip repositioning for reduction of excessive gingival display: A clinical report. Int. J. Periodontics Restor. Dent. 2006, 26, 433–437. [Google Scholar]
- Ishida, L.H.; Ishida, L.C.; Ishida, J.; Grynglas, J.; Alonso, N.; Ferreira, M.C. Myotomy of the levator labii superioris muscle and lip repositioning: A combined approach for the correction of gummy smile. Plast. Reconstr. Surg. 2010, 126, 1014–1019. [Google Scholar] [CrossRef]
- Silva, C.O.; Ribeiro-Júnior, N.V.; Campos, T.V.; Rodrigues, J.G.; Tatakis, D.N. Excessive gingival display: Treatment by a modified lip repositioning technique. J. Clin. Periodontol. 2013, 40, 260–265. [Google Scholar] [CrossRef] [PubMed]
- Mateo, E.; Collins, J.R.; Rivera, H.; Nart, J. New Surgical Approach for Labial Stabilization: A Long Term Follow-up Case Series. Int. J. Periodontics Restor. Dent. 2021, 41, 405–410. [Google Scholar] [CrossRef]
- Haddadi, P.; Zare, H.; Azadikhah, A. Lip Repositioning, a Solution for Gummy Smile. Front. Dent. 2021, 18, 15. [Google Scholar] [CrossRef] [PubMed]
- Nunes, L.; Teixeira, S.; Guevara, H.A.G.; Ferrão Junior, J.P.; Leandro, L.F.L. Tratamiento de la sonrisa gingival con la toxina botulínica tipo A: Caso clínico. Rev. Española Cirurgía Oral Y Maxilofac. 2015, 37, 229–232. [Google Scholar] [CrossRef][Green Version]
- Mostafa, D. A successful management of sever gummy smile using gingivectomy and botulinum toxin injection: A case report. Int. J. Surg. Case Rep. 2018, 42, 169–174. [Google Scholar] [CrossRef] [PubMed]
- Faus-Matoses, V.; Faus-Matoses, I.; Jorques-Zafrilla, A.; Faus-Llácer, V.J. Lip repositioning technique. A simple surgical procedure to improve the smile harmony. J. Clin. Exp. Dent. 2018, 10, e408–e412. [Google Scholar] [CrossRef] [PubMed][Green Version]
- Mantovani, M.B.; Souza, E.C.; Marson, F.C.; Corrêa, G.O.; Progiante, P.S.; Silva, C.O. Use of modified lip repositioning technique associated with esthetic crown lengthening for treatment of excessive gingival display: A case report of multiple etiologies. J. Indian Soc. Periodontol. 2016, 20, 82–87. [Google Scholar] [CrossRef] [PubMed]
- Alammar, A.M.; Heshmeh, O.A. Lip repositioning with a myotomy of the elevator muscles for the management of a gummy smile. Dent. Med. Probl. 2018, 55, 241–246. [Google Scholar] [CrossRef] [PubMed]
- Bastidas, J.A. Surgical Correction of the “Gummy Smile”. Oral Maxillofac. Surg. Clin. N. Am. 2021, 33, 197–209. [Google Scholar] [CrossRef]
- Storrer, C.L.; Valverde, F.K.; Santos, F.R.; Deliberador, T.M. Treatment of gummy smile: Gingival recontouring with the containment of the elevator muscle of the upper lip and wing of nose. A surgery innovation technique. J. Indian Soc. Periodontol. 2014, 18, 656–660. [Google Scholar] [CrossRef]
- Farista, S.; Yeltiwar, R.; Kalakonda, B.; Thakare, K.S. Laser-assisted lip repositioning surgery: Novel approach to treat gummy smile. J. Indian Soc. Periodontol. 2017, 21, 164–168. [Google Scholar] [CrossRef] [PubMed]
- Farista, S.; Chaudhary, A.; Manohar, B.; Farista, S.; Bhayani, R. Modified laser-assisted lip repositioning surgery to treat gummy smile. J. Indian Soc. Periodontol. 2021, 25, 355–359. [Google Scholar] [CrossRef] [PubMed]
- Aly, L.A.; Hammouda, N.I. Botox as an adjunct to lip repositioning for the management of excessive gingival display in the presence of hypermobility of upper lip and vertical maxillary excess. Dent. Res. J. 2016, 13, 478–483. [Google Scholar] [CrossRef] [PubMed]
- Sánchez, I.M.; Gaud-Quintana, S.; Stern, J.K. Modified Lip Repositioning with Esthetic Crown Lengthening: A Combined Approach to Treating Excessive Gingival Display. Int. J. Periodontics Restor. Dent. 2017, 37, e130–e134. [Google Scholar] [CrossRef] [PubMed]
- Arcuri, T.; da Costa, M.F.P.; Ribeiro, I.M.; Barreto, B.D., Jr.; Lyra e Silva, J.P. Labial repositioning using polymethylmethracylate (PMMA)-based cement for esthetic smile rehabilitation-A case report. Int. J. Surg. Case Rep. 2018, 49, 194–204. [Google Scholar] [CrossRef] [PubMed]
- Foudah, M.A. Lip repositioning: An alternative to invasive surgery a 4 year follow up case report. Saudi Dent. J. 2019, 31, S78–S84. [Google Scholar] [CrossRef] [PubMed]
- Tatakis, D.N.; Silva, C.O. Contemporary treatment techniques for excessive gingival display caused by altered passive eruption or lip hypermobility. J. Dent. 2023, 138, 104711. [Google Scholar] [CrossRef] [PubMed]
- Nourah, D. Digital Smile Makeover: A Multidisciplinary Team Approach. Eur. J. Dent. 2023, 17, 1349–1355. [Google Scholar] [CrossRef] [PubMed]
- Grover, H.S.; Gupta, A.; Luthra, S. Lip repositioning surgery: A pioneering technique for perio-esthetics. Contemp. Clin. Dent. 2014, 5, 142–145. [Google Scholar] [CrossRef]
- Deepthi, K.; Yadalam, U.; Ranjan, R.; Narayan, S.J. Lip repositioning, an alternative treatment of gummy smile—A case report. J. Oral Biol. Craniofacial Res. 2018, 8, 231–233. [Google Scholar] [CrossRef]
- Muthukumar, S.; Natarajan, S.; Madhankumar, S.; Sampathkumar, J. Lip repositioning surgery for correction of excessive gingival display. J. Pharm. Bioallied Sci. 2015, 7 (Suppl. S2), S794–S796. [Google Scholar] [CrossRef]
- Abdullah, W.; Khalil, H.; Alhindi, M.; Marzook, H. Modifying gummy smile: A minimally invasive approach. J. Contemp. Dent. Pract. 2014, 15, 821–826. [Google Scholar] [CrossRef]
- Dayakar, M.M.; Gupta, S.; Shivananda, H. Lip repositioning: An alternative cosmetic treatment for gummy smile. J. Indian Soc. Periodontol. 2014, 18, 520–523. [Google Scholar] [CrossRef] [PubMed]
- Rao, A.G.; Koganti, V.P.; Prabhakar, A.K.; Soni, S. Modified lip repositioning: A surgical approach to treat the gummy smile. J. Indian Soc. Periodontol. 2015, 19, 356–359. [Google Scholar] [CrossRef] [PubMed]
- Saleem, R.; Kukreja, B.J.; Goyal, M.; Kumar, M. Treating short upper lip with “Unified lip repositioning” technique: Two case reports. J. Indian Soc. Periodontol. 2022, 26, 89–93. [Google Scholar] [CrossRef]
- Horn, R.O.R.; Elias, C.N.; Joly, J.C. A Lip Repositioning Technique Using Polyester Threads for Gummy Smile Treatment. Int. J. Dent. 2022, 3972150. [Google Scholar] [CrossRef]
- Tatakis, D.N. Lip Repositioning Techniques and Modifications. Dent. Clin. N. Am. 2022, 66, 373–384. [Google Scholar] [CrossRef]
- AlJasser, R.N. A Modified Approach in Lip Repositioning Surgery for Excessive Gingival Display to Minimize Post-Surgical Relapse: A Randomized Controlled Clinical Trial. Diagnostics 2023, 13, 716. [Google Scholar] [CrossRef] [PubMed]
- Adel, N. Modified Lip Repositioning Surgery with and without Dual-layered Suturing for Treatment of Gummy Smile Patients. Plastic and reconstructive surgery. Glob. Open 2024, 12, e5521. [Google Scholar] [CrossRef]
- Kazakova, R.T.; Tomov, G.T.; Kissov, C.K.; Vlahova, A.P.; Zlatev, S.C.; Bachurska, S.Y. Histological Gingival Assessment after Conventional and Laser Gingivectomy. Folia Medica 2018, 60, 610–616. [Google Scholar] [CrossRef]
- Lione, R.; Pavoni, C.; Noviello, A.; Clementini, M.; Danesi, C.; Cozza, P. Conventional versus laser gingivectomy in the management of gingival enlargement during orthodontic treatment: A randomized controlled trial. Eur. J. Orthod. 2020, 42, 78–85. [Google Scholar] [CrossRef] [PubMed]
- Ardakani, M.T.; Moscowchi, A.; Valian, N.K.; Zakerzadeh, E. Lip repositioning with or without myotomy: A systematic review. J. Korean Assoc. Oral Maxillofac. Surg. 2021, 47, 3–14. [Google Scholar] [CrossRef] [PubMed]
- Al Jasser, R.N.; AlSarhan, M.A.; Alotaibi, D.H.; Bhola, M. A Modified Approach in Lip Repositioning Surgery: A Prospective Study in a Twin Population with a 3-Year Follow-up. Int. J. Periodontics Restor. Dent. 2021, 41, e243–e253. [Google Scholar] [CrossRef] [PubMed]
- Al Jasser, R. A Comparison of Self-Perceived Oral and Facial Esthetics in Patients After Lip Repositioning Surgery With Modified and Conventional Techniques. Cureus 2023, 15, e50206. [Google Scholar] [CrossRef] [PubMed]












Disclaimer/Publisher’s Note: The statements, opinions and data contained in all publications are solely those of the individual author(s) and contributor(s) and not of MDPI and/or the editor(s). MDPI and/or the editor(s) disclaim responsibility for any injury to people or property resulting from any ideas, methods, instructions or products referred to in the content. |
© 2024 by the authors. Licensee MDPI, Basel, Switzerland. This article is an open access article distributed under the terms and conditions of the Creative Commons Attribution (CC BY) license (https://creativecommons.org/licenses/by/4.0/).
Share and Cite
Arruda, C.A.S.; Sousa, F.P.; Alves, R.C. Modified Lip Repositioning Surgery in the Treatment of Gummy Smile. Appl. Sci. 2024, 14, 5580. https://doi.org/10.3390/app14135580
Arruda CAS, Sousa FP, Alves RC. Modified Lip Repositioning Surgery in the Treatment of Gummy Smile. Applied Sciences. 2024; 14(13):5580. https://doi.org/10.3390/app14135580
Chicago/Turabian StyleArruda, Cesar Augusto Signori, Filipa Passos Sousa, and Ricardo Castro Alves. 2024. "Modified Lip Repositioning Surgery in the Treatment of Gummy Smile" Applied Sciences 14, no. 13: 5580. https://doi.org/10.3390/app14135580
APA StyleArruda, C. A. S., Sousa, F. P., & Alves, R. C. (2024). Modified Lip Repositioning Surgery in the Treatment of Gummy Smile. Applied Sciences, 14(13), 5580. https://doi.org/10.3390/app14135580

