Open-Bite Correction Using a Mid-Palatal TAD with an Intrusion TPA: Anteroposterior Position of TAD
Abstract
Featured Application
Abstract
1. Introduction
2. Mechanics of Open-Bite Correction Using a Mid-Palatal TAD Combined with an Intrusion TPA
3. Anteroposterior Position of a Mid-Palatal TAD
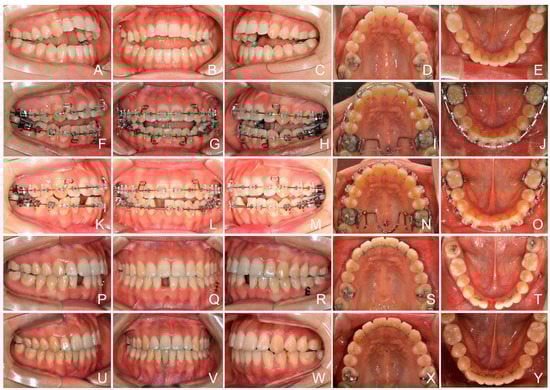
3.1. Case 3 (Posterior Intrusion, Figure 8 and Figure 9)


3.2. Case 4 (Total Intrusion, Figure 10 and Figure 11)


4. Discussion
4.1. Advantages of a Mid-Palatal TAD for the Maxillary Molar Intrusion
4.2. Anteroposterior Position of TAD
4.3. Total Intrusion of Maxillary Dentition
4.4. In What Cases Is Total Intrusion Required?
4.5. Notes on the Mechanics
- (1)
- Devices on the roof of the mouth (TAD, TPA, power chain, and lingual buttons) can be uncomfortable on the tongue. Among them, the protruding parts of TPA and hooks must be well finished so as not to cause irritation.
- (2)
- If the roof of the mouth is low, the effect is reduced because the horizontal constricting force is increased more than the vertical intruding force.
- (3)
- The force load for a maxillary posterior segment was 300 gf [25,26]. The force was reactivated by changing the power chain every four weeks. However, there was quite a wide range of forces in previous reports. For a single molar intrusion, the intruding force ranged from 50 to 250 gf [13,27]. For a maxillary segmental intrusion, the force ranged from 300 to 400 gf [2,9,25,26]. According to Ersahan and Sabuncuoglu’s study using the laser Doppler flowmetry on pulpal blood flow in maxillary molars, the light force of 125 gf for one single molar intrusion was recommended for pulp vitality [13].
4.6. What Is the Future of Open-Bite Treatment and Research?
5. Conclusions
Author Contributions
Funding
Institutional Review Board Statement
Informed Consent Statement
Data Availability Statement
Conflicts of Interest
References
- Sugawara, J.; Baik, U.B.; Umemori, M.; Takahashi, I.; Nagasaka, H.; Kawamura, H.; Mitani, H. Treatment and posttreatment dentoalveolar changes following intrusion of mandibular molars with application of a skeletal anchorage system (SAS) for open bite correction. Int. J. Adult Orthodon. Orthognath. Surg. 2002, 17, 243–253. [Google Scholar] [PubMed]
- Erverdi, N.; Keles, A.; Nanda, R. The use of skeletal anchorage in open bite treatment: A cephalometric evaluation. Angle Orthod. 2004, 74, 381–390. [Google Scholar] [PubMed]
- Kuroda, S.; Katayama, A.; Takano-Yamamoto, T. Severe anterior open-bite case treated using titanium screw anchorage. Angle Orthod. 2004, 74, 558–567. [Google Scholar] [PubMed]
- Park, H.S.; Kwon, T.G.; Kwon, O.W. Treatment of open bite with microscrew implant anchorage. Am. J. Orthod. Dentofac. Orthop. 2004, 126, 627–636. [Google Scholar] [CrossRef] [PubMed]
- Miller, J.R. Treatment of a twice-relapsed anterior open bite using temporary anchorage devices, myofunctional therapy, and fixed passive self-ligating appliances. Am. J. Orthod. Dentofac. Orthop. 2020, 157, 832–842. [Google Scholar] [CrossRef] [PubMed]
- Park, H.S.; Kwon, O.W.; Sung, J.H. Nonextraction treatment of an open bite with microscrew implant anchorage. Am. J. Orthod. Dentofac. Orthop. 2006, 130, 391–402. [Google Scholar] [CrossRef] [PubMed]
- Erverdi, N.; Usumez, S.; Solak, A. New generation open-bite treatment with zygomatic anchorage. Angle Orthod. 2006, 76, 519–526. [Google Scholar]
- Cornelis, M.A.; Scheffler, N.R.; Mahy, P.; Siciliano, S.; De Clerck, H.J.; Tulloch, J.F. Modified miniplates for temporary skeletal anchorage in orthodontics: Placement and removal surgeries. J. Oral Maxillofac. Surg. 2008, 66, 1439–1445. [Google Scholar] [CrossRef]
- Akan, S.; Kocadereli, I.; Aktas, A.; Tasar, F. Effects of maxillary molar intrusion with zygomatic anchorage on the stomatognathic system in anterior open bite patients. Europ. J. Orthod. 2013, 35, 93–102. [Google Scholar] [CrossRef]
- Paik, C.H.; Woo, Y.J.; Boyd, R.L. Treatment of an adult patient with vertical maxillary excess using miniscrew fixation. J. Clin. Orthod. 2003, 37, 423–428. [Google Scholar]
- Paik, C.H.; Park, I.K.; Woo, Y.J.; Kim, T.W. Orthodontic Miniscrew Implants; Clinical Applications, 1st ed.; Mosby Elsevier: St. Louis, MO, USA, 2009; pp. 144–146. [Google Scholar]
- Kim, T.W.; Kim, H.Y. Clinical Application of Orthodontic Mini-Implant, 2nd ed.; Myung Moon: Seoul, Republic of Korea, 2008; pp. 168–211. [Google Scholar]
- Ersahan, S.; Sabuncuoglu, F.A. Effects of magnitude of intrusive force on pulpal blood flow in maxillary molars. Am. J. Orthod. Dentofac. Orthop. 2015, 148, 83–89. [Google Scholar] [CrossRef] [PubMed]
- Leo, M.; Cerroni, L.; Pasquantonio, G.; Condò, S.G.; Condò, R. Temporary anchorage devices (TADs) in orthodontics: Review of the factors that influence the clinical success rate of the mini-implants. Clin. Ter. 2016, 167, e70–e77. [Google Scholar] [CrossRef] [PubMed]
- Gurdan, Z.; Szalma, J. Evaluation of the success and complication rates of self-drilling orthodontic mini-implants. Niger J. Clin. Pract. 2018, 21, 546–552. [Google Scholar] [CrossRef] [PubMed]
- Yu, W.P.; Tsai, M.T.; Yu, J.H.; Huang, H.L.; Hsu, J.T. Bone quality affects stability of orthodontic miniscrews. Sci. Rep. 2022, 12, 2849. [Google Scholar] [CrossRef]
- Franzotti, S.E.; da Cunha, A.C.; Paludo, B.D.; Franzotti, S.C. Camouflage of a high-angle skeletal Class II open-bite malocclusion in an adult after mini-implant failure during treatment. Am. J. Orthod. Dentofac. Orthop. 2017, 151, 583–597. [Google Scholar] [CrossRef]
- Kuroda, S.; Sugawara, Y.; Deguchi, T.; Kyung, H.M.; Takano-Yamamoto, T. Clinical use of miniscrew implants as orthodontic anchorage: Success rates and postoperative discomfort. Am. J. Orthod. Dentofac. Orthop. 2007, 131, 9–15. [Google Scholar] [CrossRef]
- Kuroda, S.; Yamada, K.; Deguchi, T.; Hashimoto, T.; Kyung, H.M.; Takano-Yamamoto, T. Root proximity is a major factor for screw failure in orthodontic anchorage. Am. J. Orthod. Dentofac. Orthop. 2007, 131 (Suppl. S4), S68–S73. [Google Scholar] [CrossRef]
- Min, K.I.; Kim, S.C.; Kang, K.H.; Cho, J.H.; Lee, E.H.; Chang, N.Y.; Chae, J.M. Root proximity and cortical bone thickness effects on the success rate of orthodontic micro-implants using cone beam computed tomography. Angle Orthod. 2012, 82, 1014–1021. [Google Scholar] [CrossRef]
- Choi, K.H.; Yang, I.H.; Baek, S.H.; Ahn, S.J.; Lim, W.H.; Lee, S.J.; Kim, T.W. Effect of Anteroposterior Position of the Mid-palatal TAD on the Intrusion of Maxillary Posterior Teeth: A Three-Dimensional Finite Element Analysis. Clin. J. Korean Assoc. Orthod. 2019, 9, 59–71. Available online: https://www.kao.or.kr/file/journals/9-2-1.pdf (accessed on 23 April 2023). [CrossRef]
- Paik, C.H.; Park, H.S.; Ahn, H.W. Treatment of vertical maxillary excess without open bite in a skeletal Class II hyperdivergent patient. Angle Orthod. 2017, 87, 625–633. [Google Scholar] [CrossRef]
- Jeong, G.M.; Sung, S.J.; Lee, K.J.; Chun, Y.S.; Mo, S.S. Finite-element investigation of the center of resistance of the maxillary dentition. Korean J. Orthod. 2009, 39, 83–94. [Google Scholar] [CrossRef]
- Kojima, Y.; Fukui, H. A finite element simulation of initial movement, orthodontic movement, and the centre of resistance of the maxillary teeth connected with an archwire. Europ. J. Orthod. 2014, 36, 255–261. [Google Scholar] [CrossRef] [PubMed]
- Kato, S.; Kato, M. Intrusion of molars with implants as anchorage: A report of two cases. Clin. Implant. Dent. Relat. Res. 2006, 8, 100–106. [Google Scholar] [CrossRef] [PubMed]
- Kučera, J.; Marek, I.; Tomeček, M.; Foltán, R.; Foltánová, B. Intrusion of overerupted molars with temporary anchorage devices before prosthetic reconstruction: A case report. Clin. Case Rep. 2022, 10, e6108. [Google Scholar] [CrossRef] [PubMed]
- Melsen, B.; Fiorelli, G. Upper molar intrusion. J. Clin. Orthod. 1996, 30, 91–96. [Google Scholar] [PubMed]
- Khosravi, R.; Cohanim, B.; Hujoel, P.; Daher, S.; Neal, M.; Liu, W.; Huang, G. Management of overbite with the Invisalign appliance. Am. J. Orthod. Dentofac. Orthop. 2017, 151, 691–699.e2. [Google Scholar] [CrossRef]
- Rask, H.; English, J.D.; Colville, C.; Kasper, F.K.; Gallerano, R.; Jacob, H.B. Cephalometric evaluation of changes in vertical dimension and molar position in adult non-extraction treatment with clear aligners and traditional fixed appliances. Dental Press J. Orthod. 2021, 26, e2119360. [Google Scholar] [CrossRef]
- Steele, B.P.; Pandis, N.; Darendeliler, M.A.; Papadopoulou, A.K. A comparative assessment of the dentoskeletal effects of clear aligners vs miniplate-supported posterior intrusion with fixed appliances in adult patients with anterior open bite. A multicenter, retrospective cohort study. Am. J. Orthod. Dentofac. Orthop. 2022, 162, 214–228.e4. [Google Scholar] [CrossRef]
- Pinho, T.; Santos, M. Skeletal open bite treated with clear aligners and miniscrews. Am. J. Orthod. Dentofac. Orthop. 2021, 159, 224–233. [Google Scholar] [CrossRef] [PubMed]
- Waxler, R. Correcting skeletal open bite with clear aligners and miniscrews; Comment. Am. J. Orthod. Dentofac. Orthop. 2021, 160, 165. [Google Scholar] [CrossRef]
- Agarwal, Y.; Goyal, M.; Kumar, M.; Kaur, A.; Jharkhand; Pradesh, U. Skeletal open bite treated with clear aligners and miniscrews; Comment. Am. J. Orthod. Dentofac. Orthop. 2021, 160, 166–167. [Google Scholar] [CrossRef] [PubMed]
- Harris, K.; Ojima, K.; Dan, C.; Upadhyay, M.; Alshehri, A.; Kuo, C.-L.; Mu, J.; Uribe, F.; Nanda, R. Evaluation of open bite closure using clear aligners: A retrospective study. Prog. Orthod. 2020, 21, 23. [Google Scholar] [CrossRef] [PubMed]
- Zhu, G.-Y.; Zhang, B.; Yao, K.; Lu, W.-X.; Peng, J.-J.; Shen, Y.; Zhao, Z.-H. Finite element analysis of the biomechanical effect of clear aligners in extraction space closure under different anchorage controls. Am. J. Orthod. Dentofac. Orthop. 2023, in press. [Google Scholar] [CrossRef] [PubMed]










Disclaimer/Publisher’s Note: The statements, opinions and data contained in all publications are solely those of the individual author(s) and contributor(s) and not of MDPI and/or the editor(s). MDPI and/or the editor(s) disclaim responsibility for any injury to people or property resulting from any ideas, methods, instructions or products referred to in the content. |
© 2023 by the authors. Licensee MDPI, Basel, Switzerland. This article is an open access article distributed under the terms and conditions of the Creative Commons Attribution (CC BY) license (https://creativecommons.org/licenses/by/4.0/).
Share and Cite
Kim, T.-W.; Wu, T. Open-Bite Correction Using a Mid-Palatal TAD with an Intrusion TPA: Anteroposterior Position of TAD. Appl. Sci. 2023, 13, 5464. https://doi.org/10.3390/app13095464
Kim T-W, Wu T. Open-Bite Correction Using a Mid-Palatal TAD with an Intrusion TPA: Anteroposterior Position of TAD. Applied Sciences. 2023; 13(9):5464. https://doi.org/10.3390/app13095464
Chicago/Turabian StyleKim, Tae-Woo, and Tingxi Wu. 2023. "Open-Bite Correction Using a Mid-Palatal TAD with an Intrusion TPA: Anteroposterior Position of TAD" Applied Sciences 13, no. 9: 5464. https://doi.org/10.3390/app13095464
APA StyleKim, T.-W., & Wu, T. (2023). Open-Bite Correction Using a Mid-Palatal TAD with an Intrusion TPA: Anteroposterior Position of TAD. Applied Sciences, 13(9), 5464. https://doi.org/10.3390/app13095464

