Treatment Effects of Miniscrew-Assisted Rapid Palatal Expansion in Adolescents Using Cone-Beam Computed Tomography
Abstract
:1. Introduction
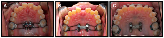
2. Materials and Methods
2.1. Reference Planes and Measurements
2.2. Statistical Analysis
3. Results
4. Discussion
5. Conclusions
- Significant skeletal expansion in the palate and nasal bones and dental expansion of the anchored maxillary first molars were observed.
- Splitting of the midpalatal suture was greater in the anterior than the posterior region. However, the midpalatal suture splitting pattern of the MARPE was more parallel than that of the conventional RPE, as reported in previous studies.
- A significant inter-zygomaticomaxillary suture width was identified, but this needs to be interpreted carefully because of possible growth effects.
- Changes in the nasal septum deviation were not observed in this study; however, further studies are needed to fully address this issue.
Author Contributions
Funding
Institutional Review Board Statement
Informed Consent Statement
Data Availability Statement
Conflicts of Interest
References
- McNamara, J.A. Maxillary transverse deficiency. Am. J. Orthod. Dentofac. Orthop. 2000, 117, 567–570. [Google Scholar] [CrossRef] [PubMed]
- Bucci, R.; D’Antò, V.; Rongo, R.; Valletta, R.; Martina, R.; Michelotti, A. Dental and skeletal effects of palatal expansion techniques: A systematic review of the current evidence from systematic reviews and meta-analyses. J. Oral Rehabilitation 2016, 43, 543–564. [Google Scholar] [CrossRef] [PubMed]
- Baik, H.-S.; Kang, Y.-G.; Choi, Y.J. Miniscrew-assisted rapid palatal expansion: A review of recent reports. J. World Fed. Orthod. 2020, 9, S54–S58. [Google Scholar] [CrossRef]
- Lin, L.; Ahn, H.-W.; Kim, S.-J.; Moon, S.-C.; Kim, S.-H.; Nelson, G. Tooth-borne vs. bone-borne rapid maxillary expanders in late adolescence. Angle Orthod. 2015, 85, 253–262. [Google Scholar] [CrossRef]
- Moon, H.-W.; Kim, M.-J.; Ahn, H.-W.; Kim, S.-J.; Kim, S.-H.; Chung, K.-R.; Nelson, G. Molar Inclination and Surrounding Alveolar Bone Change Relative to the Design of Bone-borne Maxillary Expanders: A CBCT study. Angle Orthod. 2020, 90, 13–22. [Google Scholar] [CrossRef]
- Jia, H.; Zhuang, L.; Zhang, N.; Bian, Y.; Li, S. Comparison of skeletal maxillary transverse deficiency treated by microimplant-assisted rapid palatal expansion and tooth-borne expansion during the post-pubertal growth spurt stage. Angle Orthod. 2021, 91, 36–45. [Google Scholar] [CrossRef] [PubMed]
- Kapetanović, A.; I Theodorou, C.; Bergé, S.J.; Schols, J.G.J.H.; Xi, T. Efficacy of Miniscrew-Assisted Rapid Palatal Expansion (MARPE) in late adolescents and adults: A systematic review and meta-analysis. Eur. J. Orthod. 2021, 43, 313–323. [Google Scholar] [CrossRef]
- Cantarella, D.; Dominguez-Mompell, R.; Moschik, C.; Sfogliano, L.; Elkenawy, I.; Pan, H.C.; Mallya, S.M.; Moon, W. Zygomaticomaxillary modifications in the horizontal plane induced by micro-implant-supported skeletal expander, analyzed with CBCT images. Prog. Orthod. 2018, 19, 41. [Google Scholar] [CrossRef]
- Cantarella, D.; Dominguez-Mompell, R.; Mallya, S.M.; Moschik, C.; Pan, H.C.; Miller, J.; Moon, W. Changes in the midpalatal and pterygopalatine sutures induced by micro-implant-supported skeletal expander, analyzed with a novel 3D method based on CBCT imaging. Prog. Orthod. 2017, 18, 1–12. [Google Scholar] [CrossRef]
- Choi, S.-H.; Shi, K.-K.; Cha, J.-Y.; Park, Y.-C.; Lee, K.-J. Nonsurgical miniscrew-assisted rapid maxillary expansion results in acceptable stability in young adults. Angle Orthod. 2016, 86, 713–720. [Google Scholar] [CrossRef]
- de Jesus, A.S.; de Oliveira, C.B.; Murata, W.H.; Suzuki, S.S.; dos Santos-Pinto, A. Would midpalatal suture characteristics help to predict the success rate of miniscrew-assisted rapid palatal expansion? Am. J. Orthod. Dentofac. Orthop. 2021, 160, 363–373. [Google Scholar] [CrossRef] [PubMed]
- Park, J.J.; Park, Y.-C.; Lee, K.-J.; Cha, J.-Y.; Tahk, J.H.; Choi, Y.J. Skeletal and dentoalveolar changes after miniscrew-assisted rapid palatal expansion in young adults: A cone-beam computed tomography study. Korean J. Orthod. 2017, 47, 77–86. [Google Scholar] [CrossRef] [PubMed]
- Faul, F.; Erdfelder, E.; Lang, A.-G.; Buchner, A. G*Power 3: A flexible statistical power analysis program for the social, behavioral, and biomedical sciences. Behav. Res. Methods 2007, 39, 175–191. [Google Scholar] [CrossRef] [PubMed]
- Hwang, S.; Noh, Y.; Choi, Y.J.; Chung, C.; Lee, H.S.; Kim, K.-H. Dentofacial transverse development in Koreans according to skeletal maturation: A cross-sectional study. Korean J. Orthod. 2018, 48, 39–47. [Google Scholar] [CrossRef] [PubMed]
- Canan, S.; Şenışık, N.E. Comparison of the treatment effects of different rapid maxillary expansion devices on the maxilla and the mandible. Part 1: Evaluation of dentoalveolar changes. Am. J. Orthod. Dentofac. Orthop. 2017, 151, 1125–1138. [Google Scholar] [CrossRef]
- Lim, H.-M.; Park, Y.-C.; Lee, K.-J.; Kim, K.-H.; Choi, Y.J. Stability of dental, alveolar, and skeletal changes after miniscrew-assisted rapid palatal expansion. Korean J. Orthod. 2017, 47, 313–322. [Google Scholar] [CrossRef]
- Lee, R.J.; Moon, W.; Hong, C. Effects of monocortical and bicortical mini-implant anchorage on bone-borne palatal expansion using finite element analysis. Am. J. Orthod. Dentofac. Orthop. 2017, 151, 887–897. [Google Scholar] [CrossRef]
- Haas, A.J. The Treatment of Maxillary Deficiency by Opening the Midpalatal Suture. Angle Orthod. 1965, 35, 200–217. [Google Scholar]
- Garib, D.G.; Henriques, J.F.C.; Janson, G.; Freitas, M.R.; Coelho, R.A. Rapid maxillary expansion—Tooth tissue-borne versus tooth-borne expanders: A computed tomography evaluation of dentoskeletal effects. Angle Orthod. 2005, 75, 548–557. [Google Scholar]
- Yoon, S.; Lee, D.-Y.; Jung, S.-K. Influence of changing various parameters in miniscrew-assisted rapid palatal expansion: A three-dimensional finite element analysis. Korean J. Orthod. 2019, 49, 150–160. [Google Scholar] [CrossRef]
- Seong, E.-H.; Choi, S.-H.; Kim, H.-J.; Yu, H.-S.; Park, Y.-C.; Lee, K.-J. Evaluation of the effects of miniscrew incorporation in palatal expanders for young adults using finite element analysis. Korean J. Orthod. 2018, 48, 81–89. [Google Scholar] [CrossRef] [PubMed]
- Liu, S.; Xu, T.; Zou, W. Effects of rapid maxillary expansion on the midpalatal suture: A systematic review. Eur. J. Orthod. 2015, 37, 651–655. [Google Scholar] [CrossRef] [PubMed]
- Mehta, S.; Wang, D.; Kuo, C.-L.; Mu, J.; Vich, M.L.; Allareddy, V.; Tadinada, A.; Yadav, S. Long-term effects of mini-screw–assisted rapid palatal expansion on airway. Angle Orthod. 2020, 91, 195–205. [Google Scholar] [CrossRef]
- Prévé, S.; Alcázar, B.G. Interest of miniscrew-assisted rapid palatal expansion on the upper airway in growing patients: A systematic review. Int. Orthod. 2022, 20, 100657. [Google Scholar] [CrossRef] [PubMed]
- Sooknundun, M.; Kacker, S.K.; Bhatia, R.; Deka, R. Nasal septal deviation: Effective intervention and long term follow-up. Int. J. Pediatr. Otorhinolaryngol. 1986, 12, 65–72. [Google Scholar] [CrossRef] [PubMed]
- Brunetto, D.P.; Moschik, C.E.; Dominguez-Mompell, R.; Jaria, E.; Sant’anna, E.F.; Moon, W. Mini-implant assisted rapid palatal expansion (MARPE) effects on adult obstructive sleep apnea (OSA) and quality of life: A multi-center prospective controlled trial. Prog. Orthod. 2022, 23, 3. [Google Scholar] [CrossRef] [PubMed]
- Calvo-Henriquez, C.; Megias-Barrera, J.; Chiesa-Estomba, C.; Lechien, J.R.; Alvarado, B.M.; Ibrahim, B.; Suarez-Quintanilla, D.; Kahn, S.; Capasso, R. The Impact of Maxillary Expansion on Adults’ Nasal Breathing: A Systematic Review and Meta-Analysis. Am. J. Rhinol. Allergy 2021, 35, 923–934. [Google Scholar] [CrossRef] [PubMed]
- Aziz, T.; Wheatley, F.C.; Ansari, K.; Lagravere, M.; Major, M.; Flores-Mir, C. Nasal septum changes in adolescent patients treated with rapid maxillary expansion. Dent. Press J. Orthod. 2016, 21, 47–53. [Google Scholar] [CrossRef]
- Bruno, G.; De Stefani, A.; Benetazzo, C.; Cavallin, F.; Gracco, A. Changes in nasal septum morphology after rapid maxillary expansion: A Cone-Beam Computed Tomography study in pre-pubertal patient. Dent. Press J. Orthod. 2020, 25, 51–56. [Google Scholar] [CrossRef]






| Reference Points | Definitions | |
|---|---|---|
| ANS | Anterior Nasal Spine, the tip of the body anterior nasal spine in the median plane. | |
| PNS | Posterior Nasal Spine, the process formed by united projecting ends of the posterior borders of the palatal process of the palatal bone. | |
| Mx6 | Maxillary first molar | |
| Definitions | Acquired CBCT slice | |
| Transverse plane | ||
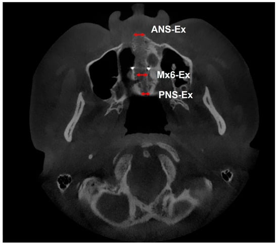
| ANS-Ex (Figure 3) | Amount of expansion of the midpalatal suture at the ANS site (mm). | Measurements are taken from a slice of the root apex of the palatal side of the left maxillary first molar in cross-section. |
| Mx6-Ex (Figure 3) | Amount of expansion of the midpalatal suture at the maxillary first molar area (mm). | |
| PNS-Ex (Figure 3) | Amount of expansion of the midpalatal suture at the PNS site (mm). | |
| UNW (Figure 4) | Anterior nasal width at the level of the buccal bone vertically (mm). | Measurements are taken from a slice of the zygomaticomaxillary suture in cross-section. |
| IZW (Figure 4) | Inter-zygomatic width; length of the line connecting the anterior outer points of the left and right zygomaticomaxillary sutures (mm). | |
| Coronal plane | ||
| NSdev (Figure 5) | Nasal septum deviation; the angle between the top and bottom of the nasal septum (°). | Measurements are taken from a slice of the root apex of the palatal side of the left maxillary first molar in the coronal plane. |
| NW-lower (Figure 5) | Lower nasal width; width of the lower nasal cavity, length of the line connecting the maximum convexity of the left and right nasal cavities (mm). | |
| NW-upper (Figure 5) | Upper nasal width; length of the line connecting the uppermost points of the left and right nasal cavities (mm). | |
| MxBBW (Figure 5) | Maxillary basal bone width; distance from the line connecting the roots of the left and right maxillary first molars to the tangent of the outer surface of the cortical bone of the left and right basal bones (mm). | |
| Mx6W (Figure 5) | Maxillary intermolar width; length of the line connecting the palatal cusps of the left and right maxillary first molars (mm). | |
| Mx6Ax (Figure 5) | Maxillary first molar axis; the medial angle (°) between the line extending the long axis of the palatal root of the maxillary first molar and the MxBBW (°). | |
| Variables | Male | Female | Total | p-Value | |
|---|---|---|---|---|---|
| Number | 7 | 13 | 20 | ||
| Mean age (year) * | 15.00 ± 2.16 | 15.62 ± 2.14 | 15.40 ± 2.07 | 0.52 | |
| Range of age (year) | 13–18 | 12–19 | 12–19 | ||
| Mean YTI value ** | −4.26 | −2.96 | −3.42 | ||
| Activation frequency | 2 quarter turns /day (N) | 7 | 12 | 19 | |
| 1 quarter turns /day (N) | 0 | 1 | 1 | ||
| Variables | T1 | T2 | ΔT2-T1 | p-Value * | p-Value † | p-Value †† | p-Value ††† |
|---|---|---|---|---|---|---|---|
| ANS-Ex (mm) *† | 0 ± 0 | 4.39 ± 1.35 | 4.39 ± 1.35 | <0.001 *** | 0.012 * | - | 0.40 |
| Mx6-Ex (mm) *† | 0 ± 0 | 3.39 ± 0.95 | 3.39 ± 0.95 | <0.001 *** | - | 0.47 | |
| PNS-Ex (mm) *† | 0 ± 0 | 3.54 ± 0.98 | 3.54 ± 0.98 | <0.001 *** | - | 0.33 | |
| UNW (mm) * | 25.82 ± 3.32 | 28.22 ± 3.79 | 2.40 ± 1.19 | <0.001 *** | 0.40 | 0.27 | |
| IZW (mm) * | 122.69 ± 6.17 | 124.18 ± 6.34 | 1.49 ± 1.01 | <0.001 *** | 0.40 | 0.40 | |
| NSdev (°) ** | 142.93 ± 54.46 | 141.42 ± 54.47 | 1.51 ± 4.94 | 0.15 | 0.40 | 0.40 | |
| NW-lower (mm) * | 31.62 ± 2.83 | 34.56 ± 3.26 | 2.95 ± 1.16 | <0.001 *** | 0.40 | 0.40 | |
| NW-upper (mm) * | 4.2 ± 1.35 | 4.73 ± 1.39 | 0.52 ± 0.33 | <0.001 *** | 0.40 | 0.40 | |
| MxBBW (mm) * | 62.98 ± 3.50 | 66.54 ± 3.85 | 3.56 ± 1.18 | <0.001 *** | 0.40 | 0.40 | |
| Mx6W (mm) ** | 40.01 ± 2.98 | 45.46 ± 3.57 | 5.44 ± 1.77 | <0.001 *** | 0.40 | 0.40 | |
| Mx6Ax (°) * | 97.47 ± 7.16 | 100.48 ± 7.17 | 3.01 ± 2.56 | <0.001 *** | 0.40 | 0.40 |
Disclaimer/Publisher’s Note: The statements, opinions and data contained in all publications are solely those of the individual author(s) and contributor(s) and not of MDPI and/or the editor(s). MDPI and/or the editor(s) disclaim responsibility for any injury to people or property resulting from any ideas, methods, instructions or products referred to in the content. |
© 2023 by the authors. Licensee MDPI, Basel, Switzerland. This article is an open access article distributed under the terms and conditions of the Creative Commons Attribution (CC BY) license (https://creativecommons.org/licenses/by/4.0/).
Share and Cite
Park, J.J.; Kim, K.-A.; Kim, H.-R.; Hong, S.O.; Kang, Y.-G. Treatment Effects of Miniscrew-Assisted Rapid Palatal Expansion in Adolescents Using Cone-Beam Computed Tomography. Appl. Sci. 2023, 13, 6309. https://doi.org/10.3390/app13106309
Park JJ, Kim K-A, Kim H-R, Hong SO, Kang Y-G. Treatment Effects of Miniscrew-Assisted Rapid Palatal Expansion in Adolescents Using Cone-Beam Computed Tomography. Applied Sciences. 2023; 13(10):6309. https://doi.org/10.3390/app13106309
Chicago/Turabian StylePark, Jung Jin, Kyung-A Kim, Hye-Rin Kim, Sung Ok Hong, and Yoon-Goo Kang. 2023. "Treatment Effects of Miniscrew-Assisted Rapid Palatal Expansion in Adolescents Using Cone-Beam Computed Tomography" Applied Sciences 13, no. 10: 6309. https://doi.org/10.3390/app13106309
APA StylePark, J. J., Kim, K.-A., Kim, H.-R., Hong, S. O., & Kang, Y.-G. (2023). Treatment Effects of Miniscrew-Assisted Rapid Palatal Expansion in Adolescents Using Cone-Beam Computed Tomography. Applied Sciences, 13(10), 6309. https://doi.org/10.3390/app13106309

