Abstract
Bitewing radiographic examination of the Class II composite restorations is commonly performed for diagnosis and preoperative planning of posterior teeth. The purpose of this study was to describe the prevalence; location; and characteristics of radiolucency findings associated with proximal class II composite restorations. Bitewing radiographs of proximal composite restorations of healthy adult patients (18 to 88 years old) who underwent restorative care at predoctoral clinics at the University of Maryland School of Dentistry from August 2016 to July 2019 were identified. Atypical radiographic features were categorized by location and associated material (adhesive or composite). In addition, demographic and clinical details (tooth position; restored surface) were recorded. Out of the 669 radiographically examined bitewings of restorations; 16.5% of radiographs showed no atypical findings; and 83.5% had unusual radiographic signs. The atypical radiographic findings were distributed as 16.5% internal voids; 3% overhang; 7.8% interlayer lines; 12.6% secondary caries; 20.7% interfacial gaps; and 23.1% multiple atypical findings. Class II composite restorations have a high prevalence of atypical radiolucency; particularly in the body of the composite; premolars; and disto-occlusal restorations. The information reported here emphasizes the clinical challenge of ascertaining an appropriate diagnosis of the radiolucencies underneath composite restorations.
1. Introduction
Bitewing radiographic examination of the Class II composite restorations is commonly performed for diagnosis and preoperative planning of posterior teeth. The American Dental Association (ADA) recommends a posterior bitewing exam for adults with high caries risk every six to eighteen months. In contrast, exams can be recommended for adults with low caries risk every two to three years [1,2,3]. From a radiographic point of view, successful restorative treatment can be measured by the absence of radiographic signs suggestive of underlining carious lesions, open margins, voids, or overhang [4,5]. However, determining the health status of the restoration is challenging when radiolucent areas (radiolucencies) are associated. Particularly for Class II restorations because of the proximal gingival interface. Misdiagnosing radiolucencies may lead to unnecessary restoration replacement or a delayed diagnosis with failure in timely access to dental care.
About half of all restorations placed in adults in general dental practice are replacements [6]. Replacement restorations take up a substantial part of the tooth structure than the initial restorative treatment for the primary carious lesion. Therefore, they are very cost-intensive for patients and the health system [7,8]. In addition to the financial burden imposed on the patient, there are other reasons to avoid replacement, such as the risk of pulp exposure and pulp irritation [9].
In daily practice, the complexity of the diagnosis of radiolucencies is even more challenging. For example, radiolucencies observed at the interface restoration\cavity walls can be predictive of a lack of the adequate seal, which can directly contribute to secondary caries formation [10,11]. Moreover, an increased adhesive thickness layer or low adhesive opacity may impose some difficulties in diagnosis [2,11]. Another factor affecting radiographic evaluation is the concentration of radiopacifiers in the composite. Low radiopacity in the resin-based material makes it hard to discriminate between composite and tooth structures [12]. The radiographic limitation of bitewings should also be considered. In a 2D view of a 3D object, a radiolucent lesion could be superimposed on the restoration and be missed. Therefore, the potential influence of radiolucency findings during recall bitewing of class II composites on replacement outcomes remains controversial.
From a functional perspective, voids within restorations may negatively affect the material’s mechanical properties over time [13]. Reduced resistance to fatigue and wear, due to their contribution to the initiation and propagation of cracks, may lead to premature failure of the restoration when subjected to mechanical and external loads [14,15]. The presence of voids in the body of composite restorations has also been reported to be a detrimental factor for the clinical longevity of posterior composites [16].
Secondary caries is reported to be the most common reason to replace or repair a defective dental restoration in general practice [6]. If gaps or voids are at the margin, there is a risk of leakage and secondary caries. Detecting carious lesions, or gaps at margins caught by explorer associated or not with reported pain and sensitivity symptoms often assist in precise diagnosis and decision to replace the restoration [17]. However, secondary caries diagnosis without clinical findings can pose a challenge [18,19], leading to uncertainty regarding the need to replace or repair existing restorations. Besides assessing a patient’s caries risk status, radiographic interpretations are critical for new patients who have received comprehensive treatment from another provider and are now under periodic evaluation.
This scenario suggests that although significant technological advances and educational efforts are underway, mainstream awareness of these findings is still lacking. Therefore, The purpose of this study was to describe the prevalence, location, and characteristics of radiolucency findings associated with proximal class II composite restorations completed in a university setting.
2. Methods and Materials
2.1. Study Design
This retrospective cohort study uses 669 bitewing radiographs with Class II restorations selected to quantify the prevalence of atypical radiographic findings in Class II composite restorations. The study was approved by the respective Institutional Review Board (IRB) (HP-00084713).
A digital search using Electronic Health Records (EHR) on Axium (Exan Group, Las Vegas, NV, USA). The search filtered patients aged 18–84 years old who would qualify for the following categories: (1) patients with two or more surface resin-based restorations placed by third and fourth-year dental students on posterior teeth from August 2014 to July 2016. (2) Patients with single, two-, four-, or vertical bitewings were taken from August 2016 to July 2017. Data were extracted into a Microsoft Excel file (Microsoft, Redmond, WA, USA).
2.2. Eligibility Criteria
Inclusion criteria included men and women between 18–84 years old who underwent Class II restorative treatment from August 2016 to July 2019. Only bitewing radiographs captured with direct digital sensors were included. In this study, we included XDR (XDR Radiology, Los Angeles, CA, USA), the available digital sensor system at the university with a flexible intraoral X-ray unit, wall mounted (milliamperage (8 mA), kilovoltage (63 kVp), and time (0.08 s)).
The exclusion criteria included posterior bitewing radiographs showing superimpositions on the restoration, poor image quality, or using different restorative material other than composite resin. In addition, excluded radiographs displaying objects or restoration interfere with the vision of the Class II composite restoration, such as orthodontic brackets, Class V restoration, or crown. Also, radiographs that do not show the assigned tooth due to extraction or bitewings that guide the teeth on the contralateral side were excluded (Table 1).
Table 1.
Description of the categories for classification of findings.
2.3. Radiographic Assessment
Digital radiographs were assessed by two examiners (general dentists with 2 and 20 years of experience, respectively). In cases of disagreement, a consensus was obtained. Reliability tests were performed for the radiographic assessment (kappa = 0.72). After three months, approximately 50% of the radiographs were re-evaluated under the same settings to calculate the intra-examiner reproducibility.
Six hundred sixty-nine images in the jpg format from 351 patients were assessed using MiPacs software (Medicare Imaging, Charlotte, NC, USA) displayed on ViewSonic VX3276-MHD 32” high definition light-emitting diode backlit display monitor (native resolution 1535 × 2048) in a view distance of 70 cm in dim lighting. Radiographic filters were applied to adjust sharpness and brightness. Three hundred thirty-five radiographs were excluded following the exclusion criteria (Figure 1).
Figure 1.
Flow chart showing the selection criteria and categorization of the findings used in this study.
2.4. Categorization of the Radiographic Findings
Three hundred thirty-four included images were transferred to PowerPoint (Microsoft) on black slides. Slides were labeled with the sample number, tooth number, and restoration surface. PowerPoint Slides and Excel sheets were linked with a numeric coding system for each sample. A classification was designed to codify the radiographic findings and used for screening. The classification consists of a description of each category intended to reduce ambiguity. Figure 2 illustrates the definition used for findings classification in a bitewing radiographic image.
Figure 2.
Illustrative scheme of the classification criteria for radiographic findings in class II composite restorations.
From the pool of 334 included x-rays, 55 bitewings showed no atypical radiographic findings, and 279 showed atypical radiolucency/radiopacity findings. This category of radiographs sets the appearances classifiable as standard, normal appearance. This atypical radiolucency category refers to radiographs where areas of radiolucency are present. Those divisions are defined by the standard radiographs, together with the written description. The presence or absence of a radiolucent halo adjacent to the gingival, mesial, distal, and pulpal walls was considered to assess the bonding interface.
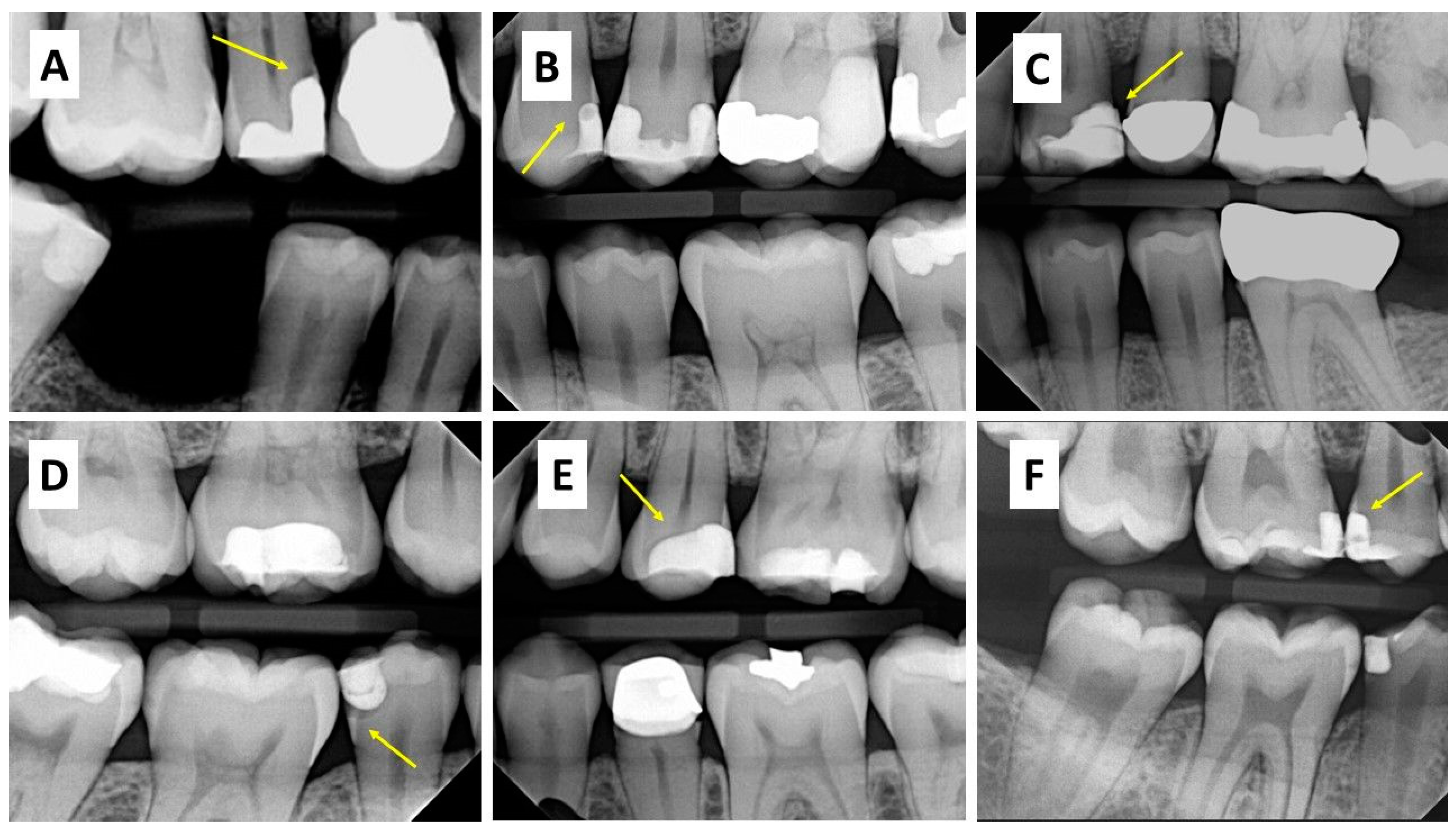
The 279 bitewings were categorized according to the type of material (composite or adhesive) and location (internal or external) (Table 1). The information recorded for each patient included age, sex, tooth, and restored surface. Guidelines were placed to avoid misinterpretation of bond interface radiolucency and secondary caries. Radiolucent areas detected at the cavity preparation walls were considered interfacial gaps. Large radiolucent regions not bound to the preparation structure and extending into the dentine were interpreted as secondary caries. The radiographic prevalence of atypical findings was presented as frequencies and percentages, whereas demographic variables were presented as frequencies and percentages when appropriate. Figure 3 displays a panel of radiographic images illustrating some of the radiolucences associated with Class II composite restorations. A. Secondary caries, B. Voids in the body of the composite, C. Interlayer lines within the body of composite, D. External gap, E. Internal gap, and F. Combination of void in the composite and internal gap at the bonding interface.
Figure 3.
A panel of radiographic images illustrating some of the radiolucences found associated with Class II composite restorations (yellow arrows are highlighting the area of interests). (A) Secondary caries, (B) Voids in the body of the composite, (C) Interlayer lines within the body of composite, (D) External gap, (E) Internal gap, and (F) Combination of void in the composite and internal gap at the bonding interface.
3. Results
Table 2 summarizes the results of the radiographic findings. Of 669 bitewing radiographs, 335 were excluded for meeting the exclusion criteria; therefore, 334 bitewings were used in the current study. 55 (16.5%) BW did not show any atypical radiographic findings. However, 279 (83.5%) radiographs showed radiolucent or radiopaque areas in the restoration, suggesting atypical radiographic findings.
Table 2.
The prevalence of radiographic abnormalities found in class II composite restorations.
There were 91 of 279 (27.2%) restorations that had at least one atypical finding in the body of the composite recorded and were classified as follows: 55(16.5%) presented with internal body voids, 26 (7.8%) interlayer lines, 10 (3%) demonstrated radiopacity suggesting overhang. Sixty-nine (20.7%) restorations showed a discontinuity in the adhesive bond area, leaving a gap between the tooth structure and the composite. Thirty-seven (53.6%) of these restorations had notch-like appearance suggesting a noticeable gap at or around the gingival margin, and 32 (46.4%) out of the 69 had an internal inconsistency between tooth structure and resin-base material not involved with the exogenous seal of the restoration. Secondary carious lesions were in 42 (12.6%) restorations. Of the 42 restorations suggesting secondary caries, 20 (47.6%) had other radiographic findings, and 22 (52.4%) did not present with additional radiographic findings other than secondary caries.
Furthermore, 77 (23.1%) restorations presented multiple radiolucencies or mixed radiolucency and radiopacity abnormal radiographic findings. In addition, 11(3.3%) BWs indicate the tooth bond interface gap and interlayer gaps between the body of composite layers. Next, the remaining bitewing radiographs with multiple radiolucent findings were classified as follows: 58 (17.4%) restorations presented with voids within the composite and bonding interface, 2 (0.6%) restorations had void interlayer radiolucencies, and 3 (0.9%) BWs revealed radiolucencies of interlayer lines and voids within composite with the interface.
Three bitewings presented heterogenous radiographic findings composing radiopaque and radiolucent areas. Of the three, 1 (0.3%) restoration had radiolucent composite body pore and radiopaque excess composite, indicating an overhang on the gingival margin. The other 2 (0.6%) BWs showed radiolucent lines within the composite body and radiopaque overhang. Table 3 describes the information recorded for each patient, including age, sex, tooth, and restored surface.
Table 3.
The prevalence of radiographic abnormalities found in class II composites restorations among genders, age groups, tooth, and restoration surfaces.
4. Discussion
This study aimed to establish the prevalence of radiographic abnormalities in class II composite restorations. The prevalence rates and data obtained in this radiographic analysis resonate with the previously comprehended notion that radiographic assessment, class II composite, continues to be underrecognized.
Voids within the body of the restoration are also referred to as porosities or bubbles. Here, referred to as internal voids, represented a large subset of these atypical findings. This study found a prevalence of 16.5% of voids, while Opdam [20] found a majority of 70% of voids in vitro study using a light microscope to assess the presence of voids in the composites. Voids are caused by air entrapment and incorporated inadvertently into composites during their manipulation or even while being manufactured [20]. Olmez et al. found that internal voids correlated with marginal microleakage in class II composite restorations. Voids can affect the mechanical properties and indirectly reduce the lifespan of dental composites [21]. They mainly degrade matrix-dominated properties such as interlaminar shear strength, longitudinal compressive strength, and transverse tensile strength [22]. The presence of voids within composites can trigger the crack formation and stress development. The stress development varies according to the location of the void in the restoration. Suppose the void is located at the restoration/tooth interface. In that case, the volumetric shrinkage will harm the immediate area of the void due to the stress development around it, resulting in increased vulnerability to the adhesive failure of the composite [18]. In addition, the force distribution within the material causes stress development due to the volumetric shrinkage of the material on the void [22]. Voids between the layers of class II composite were another subset of our study. In the previously mentioned in vitro study, nearly 63% of the examined samples had voids between the layers [23]. These results were substantially higher than the 7.8% examined radiographically in the present study. Pre-molars and disto-occlusal restorations had a high rate in this radiographic condition. The appearance of interlayer gaps is frequent in incremental techniques if the layers are not appropriately adapted [24]. These interlayer gaps affect the physical properties of the restoration [23]. All the restorations were assumed to be performed by an incremental technique using Optibond solo unidose (Kerr, Brea, CA, USA) and low-viscosity or high-viscosity universal hybrid composites TPH Spectra ST (Dentsply, Milford, DE, USA) available in the predoctoral clinics.
The operator’s ability may also have influenced this outcome. Providers performed all the restorations under training (juniors and senior dental students). Sixty-five percent of voids were found in restored premolars, and 69% accounted for two surfaces (disto-occlusal) restorations. Cavity preparations in premolars are often conservative. They are represented by slot preparations compromising the proximal lesions and occlusal access. The placement and adaptation of the first increment of composite on the bottom of the slot preparation may offer challenges due to the restricted access. Furthermore, in specific clinical scenarios, the distal box of the preparation can be more difficult for visualization and adaptation of the material.
Three percent of the examined restorations had overhangs. Reeves et al. [25] found similar rates of 4% of prevalence overhang [26]. The positive ledge at the margins is an iatrogenic factor for gingivitis through mechanical irritation. Jasson et al. [27] showed higher radiographic attachment loss with marginal overhangs in periodontally involved patients [27]. Corroborating with this find, Reeves et al. [28] also suggest the degradation of local periodontal health and the promotion of secondary caries formation [28]. The irregular rough surface of the overhang acts as the perfect area for bacterial plaque accumulation. The presence of overhang is mainly caused by incorrect proximal matrix placement. Prior studies have pointed out that applying low-viscosity composites may increase the presence of overhang [29].
Twenty-one percent of the radiographs examined had an abnormal adhesive interface, implying the presence of radiolucent areas between the restoration and tooth structure (Table 3). Furthermore, 11.1% of this radiographic condition is present as an external bonding interface and 9.6% as an internal interface gap. This result is consistent with previously published findings for a 14% (111/770) bond layer interface and 11.8% (91/770) lack of adaptation, which includes both external interface gap and overhang [30].
Gaps at the gingival margins are a dilemma for class II composites is the most common zone for secondary caries development. Our data indicated a higher prevalence of external gaps at the gingival margin. This result is less than other studies of 33 % underfilled restorations [23]. The gingival interfacial gap at the enamel level suggests weaker bonds and higher microleakage potential at the dentine level [28]. Several studies showed a correlation between the depth of the ditched margins and the demineralization process [29,30].
Other technique-related factors can also create radiolucent halos [31]. For example, a thick adhesive layer can lead to misdiagnosis and retreatment [7]. On the other hand, a more apparent radiolucent zone promoted by adhesive pooling in the bottom of the cavity may be easily interpreted as secondary caries, marginal gaps, or voids beneath the restoration [31,32,33]. According to Frohlich et al. [34], the relative risk of identifying a radiolucent zone under restoration in sound and demineralized dentin were 2 and 1.85 times higher when two adhesive layers were applied. Very experienced dentists may consider the morphology of the radiolucency, trying to distinguish between secondary caries and the adhesive layers, but it remains an educated speculation. To obtain assurance that the radiolucencies are not recurrent caries underneath the composite, many dentists prefer to replace the restoration entirely, which may be completely unnecessary. Radiopacity has thus become a critical property for dental restorations. For this reason, radiopaque glass particles—such as barium, strontium, and zirconia atoms, or microfillers containing yttrium and ytterbium are incorporated into adhesive formulations. The radiopacity of adhesive depends on their filler content and type of filler. Optibond Solo, use in the present study, contains approximately 15% of glass filler.
Here, suggestive radiolucencies indicative of secondary caries were observed in 12.6% of the bitewings. A study evaluating radiographs had consistent findings of 15% (119/770) [27]. In another study, suggestive radiolucencies indicative of secondary caries were diagnosed radiographically in 14% of restorations [35]. Examination of bitewings for radiolucent secondary caries is a diagnostic challenge. Because the image only mirrors the extent of demineralization, radiographs alone cannot diagnose secondary caries. However, the radiographic appearance of the demineralization (radiolucency) can assist the dentist in clinically diagnosing secondary caries. Many factors can influence the ability to detect these alterations accurately, such as exposure parameters, type of image receptor, image processing, display system, and viewing conditions. Furthermore, the illusory optical effect of each band appears when there is a vast difference between the radiopacity of the tooth structure and restorative material [36]. Therefore, optical illusions such as the Mach-band effect and phenomena such as the cervical radiolucency (burn-out effect) may be falsely interpreted as caries lesions [34,37,38]. In the present study, we have managed to cover the restoration (less radiopacity) with a black square filter during radiographic evaluation to inhibit the false effect on optical receptors.
We acknowledge several limitations of our study. First, it is a database review and was limited by the number of patients with adequate radiographs. The radiographs that were excluded were not indicative of clinically unacceptable radiographs. The BW radiographs exclusion was based on parameters that would affect the accurate detection and calculation of the prevalence of atypical radiographic abnormalities. The 83.5% prevalence of atypical findings is an aggressive estimate of the restorative practice because this percentage was based on patients who received restorative treatment from dental students. Dental students are providers under training, and their performance may differ from general dentists with years of experience. Published results in the previous study showed a difference in the resulting restorations between operators [20]. Finally, many studies discussed the presence of atypical radiographic findings in bitewings. However, these variables were discussed separately, and there was limited research on the prevalence of radiographic interlayer gaps [20,23,27,36].
Second is the subject-defined parameters for assessing the adhesive interface. We have not measured the thickness of adhesive space and did not include a quantitative reference for it. Thus, we may have underestimated the number of atypical adhesive interfaces. Likewise, not much information was provided in the records to know if any liners were applied underneath the restoration. Liners would contribute to the radiolucency. Third, our study does not include clinical data such as pain or sensitivity on oral examination, analysis of the interpretation of radiographs by oral care providers, or assessment of patients’ restoration complaints.
In summary, our findings reinforce the importance of accurate radiographic analysis to allow optimal treatment planning and avoid the unnecessary replacement of the restorations. In addition, the dentist should be aware of the confounding variable and how we can minimize it by following high-quality bonding and composite placement and knowing the characteristics of the materials used for the restorations. Finally, further studies should be conducted with adhesive materials to encourage manufacturers to produce materials with more appropriate opacity levels.
5. Conclusions
This study showed a high prevalence of radiolucencies associated with class II composite restorations. The radiolucencies prevailed in the composite body (voids), followed by the bonding interface. The findings were also most observed in premolars, and disto-occlusal restorations. Clinicians need to be more aware of confounding factors pertinent to the diagnosis of radiolucencies associated with composite restorations.
Author Contributions
Conceptualization, M.A.S.M. and H.S.; methodology, Q.A.; software M.S.; validation, A.P., H.S. and M.M; formal analysis, A.P.; investigation, Q.A.; resources, M.A.S.M.; data curation, Q.A.; writing—original draft preparation, J.B.; writing—review and editing, M.A.S.M.; visualization, H.S. and A.P.; supervision, M.S.; project administration, Q.A.; funding acquisition, M.A.S.M. All authors have read and agreed to the published version of the manuscript.
Funding
This research received no external funding.
Data Availability Statement
No new data were created or analyzed in this study. Data sharing is not applicable to this article.
Conflicts of Interest
The authors declare no conflict of interest.
References
- Wenzel, A. A Review of Dentists’ Use of Digital Radiography and Caries Diagnosis with Digital Systems. Dentomaxillofac. Radiol. 2006, 35, 307–314. [Google Scholar] [CrossRef] [PubMed]
- Akarslan, Z.Z.; Akdevelioğlu, M.; Güngör, K.; Erten, H. A Comparison of the Diagnostic Accuracy of Bitewing, Periapical, Unfiltered and Filtered Digital Panoramic Images for Approximal Caries Detection in Posterior Teeth. Dentomaxillofac. Radiol. 2008, 37, 458–463. [Google Scholar] [CrossRef] [PubMed]
- Atchison, K.A.; White, S.C.; Flack, V.F.; Hewlett, E.R. Assessing the FDA Guidelines for Ordering Dental Radiographs. J. Am. Dent. Assoc. 1995, 126, 1372–1383. [Google Scholar] [CrossRef] [PubMed]
- Haak, R.; Wicht, M.J.; Hellmich, M.; Noack, M.J. Detection of Marginal Defects of Composite Restorations with Conventional and Digital Radiographs. Eur. J. Oral Sci. 2002, 110, 282–286. [Google Scholar] [CrossRef]
- Wenzel, A. Bitewing and Digital Bitewing Radiography for Detection of Caries Lesions. J. Dent. Res. 2004, 83, 72–75. [Google Scholar] [CrossRef]
- Eltahlah, D.; Lynch, C.D.; Chadwick, B.L.; Blum, I.R.; Wilson, N.H.F. An Update on the Reasons for Placement and Replacement of Direct Restorations. J. Dent. 2018, 72, 1–7. [Google Scholar] [CrossRef]
- Fröhlich, T.T.; Nicoloso, G.F.; Lenzi, T.L.; Soares, F.Z.M.; De Oliveira Rocha, R. The Thickness of the Adhesive Layer Increases the Misdiagnosing of the Radiolucent Zones and Restoration Replacement Indication: Thickness of the Adhesive Layer. J. Esthet. Restor. Dent. 2017, 29, 193–200. [Google Scholar] [CrossRef]
- Gordan, V.V.; Garvan, C.W.; Richman, J.S.; Fellows, J.L.; Rindal, D.B.; Qvist, V.; Heft, M.W.; Williams, O.D.; Gilbert, G.H.; for the DPBRN Collaborative Group. How Dentists Diagnose and Treat Defective Restorations: Evidence from The Dental Practice-Based Research Network. Oper. Dent. 2009, 34, 664–673. [Google Scholar] [CrossRef]
- Wilson, N.; Lynch, C.; Brunton, P.; Hickel, R.; Meyer-Lueckel, H.; Gurgan, S.; Pallesen, U.; Shearer, A.; Tarle, Z.; Cotti, E.; et al. Criteria for the Replacement of Restorations: Academy of Operative Dentistry European Section. Oper. Dent. 2016, 41, S48–S57. [Google Scholar] [CrossRef]
- Purk, J.H.; Dusevich, V.; Glaros, A.; Eick, J.D. Adhesive Analysis of Voids in Class II Composite Resin Restorations at the Axial and Gingival Cavity Walls Restored under In Vivo versus In Vitro Conditions. Dent. Mater. 2007, 23, 871–877. [Google Scholar] [CrossRef]
- Chuang, S.F.; Liu, J.K.; Chao, C.C.; Liao, F.P.; Chen, Y.H. Effects of Flowable Composite Lining and Operator Experience on Microleakage and Internal Voids in Class II Composite Restorations. J. Prosthet. Dent. 2001, 85, 177–183. [Google Scholar] [CrossRef] [PubMed]
- Kurşun, Ş.; Dinç, G.; Öztaş, B.; Yüksel, S.; Kamburoğlu, K. The Visibility of Secondary Caries under Bonding Agents with Two Different Imaging Modalities. Dent. Mater. J. 2012, 31, 975–979. [Google Scholar] [CrossRef] [PubMed]
- Pardo Díaz, C.; Shimokawa, C.; Sampaio, C.; Freitas, A.; Turbino, M. Characterization and Comparative Analysis of Voids in Class II Composite Resin Restorations by Optical Coherence Tomography. Oper. Dent. 2020, 45, 71–79. [Google Scholar] [CrossRef]
- Liedke, G.S.; Spin-Neto, R.; da Silveira, H.E.D.; Wenzel, A. Radiographic Diagnosis of Dental Restoration Misfit: A Systematic Review. J. Oral Rehabil. 2014, 41, 957–967. [Google Scholar] [CrossRef] [PubMed]
- Francio, L.A.; Silva, F.E.; Valerio, C.S.; Cardoso, C.A.e.A.; Jansen, W.C.; Manzi, F.R. Accuracy of Various Imaging Methods for Detecting Misfit at the Tooth-Restoration Interface in Posterior Teeth. Imaging Sci. Dent. 2018, 48, 87. [Google Scholar] [CrossRef]
- Soares, C.; Rosatto, C.; Carvalho, V.; Bicalho, A.; Henriques, J.; Faria-e-Silva, A. Radiopacity and Porosity of Bulk-Fill and Conventional Composite Posterior Restorations—Digital X-ray Analysis. Oper. Dent. 2017, 42, 616–625. [Google Scholar] [CrossRef]
- Kirsch, J.; Tchorz, J.; Hellwig, E.; Tauböck, T.T.; Attin, T.; Hannig, C. Decision Criteria for Replacement of Fillings: A Retrospective Study. Clin. Exp. Dent. Res. 2016, 2, 121–128. [Google Scholar] [CrossRef] [PubMed]
- Lynch, C.D.; McConnell, R.J.; Wilson, N.H.F. Teaching the Placement of Posterior Resin-Based Composite Restorations in U.S. Dental Schools. J. Am. Dent. Assoc. 2006, 137, 619–625. [Google Scholar] [CrossRef]
- Hayashi, J.; Shimada, Y.; Tagami, J.; Sumi, Y.; Sadr, A. Real-Time Imaging of Gap Progress during and after Composite Polymerization. J. Dent. Res. 2017, 96, 992–998. [Google Scholar] [CrossRef]
- Sarrett, D. Clinical Challenges and the Relevance of Materials Testing for Posterior Composite Restorations. Dent. Mater. 2005, 21, 9–20. [Google Scholar] [CrossRef]
- Scolavino, S.; Paolone, G.; Orsini, G.; Devoto, W.; Putignano, A. The Simultaneous Modeling Technique: Closing Gaps in Posteriors. Int. J. Esthet. Dent. 2016, 11, 58–81. [Google Scholar] [PubMed]
- Mulder, R.; Mohammed, N.; du Plessis, A.; le Roux, S.G. A Pilot Study Investigating the Presence of Voids in Bulk Fill Flowable Composites. S. Afr. Dent. J. 2017, 72, 462–465. [Google Scholar] [CrossRef]
- Opdam, N.J.M.; Roeters, J.J.M.; Joosten, M.; vd Veeke, O. Porosities and Voids in Class I Restorations Placed by Six Operators Using a Packable or Syringable Composite. Dent. Mater. 2002, 18, 58–63. [Google Scholar] [CrossRef] [PubMed]
- Samet, N.; Kwon, K.-R.; Good, P.; Weber, H.-P. Voids and Interlayer Gaps in Class 1 Posterior Composite Restorations: A Comparison between a Microlayer and a 2-Layer Technique. Quintessence Int. 2006, 37, 803–809. [Google Scholar]
- Reeves, T.E.; Lien, W.; Mah, P. Quality Assurance: Acceptance Testing for Digital Dental Intraoral Sensors. Oral Surg. Oral Med. Oral Pathol. Oral Radiol. 2020, 129, 388–400. [Google Scholar] [CrossRef]
- Opdam, N.J.M.; Roeters, F.J.M.; Feilzer, A.J.; Smale, I. A Radiographic and Scanning Electron Microscopic Study of Approximal Margins of Class II Resin Composite Restorations Placed In Vivo. J. Dent. 1998, 26, 319–327. [Google Scholar] [CrossRef]
- Jansson, L.; Ehnevid, H.; Lindskog, S.; Blomlöf, L. Proximal Restorations and Periodontal Status. J. Clin. Periodontol. 1994, 21, 577–582. [Google Scholar] [CrossRef] [PubMed]
- Reeves, J. Periodontal Health--Challenges in Restorative Dentistry. Prim. Dent. J. 2014, 3, 73–76. [Google Scholar] [CrossRef] [PubMed]
- Frankenberger, R.; Krämer, N.; Pelka, M.; Petschelt, A. Internal Adaptation and Overhang Formation of Direct Class II Resin Composite Restorations. Clin. Oral Investig. 1999, 3, 208–215. [Google Scholar] [CrossRef]
- Signori, C.; Laske, M.; Mendes, F.M.; Huysmans, M.-C.D.N.J.M.; Cenci, M.S.; Opdam, N.J.M. Decision-Making of General Practitioners on Interventions at Restorations Based on Bitewing Radiographs. J. Dent. 2018, 76, 109–116. [Google Scholar] [CrossRef]
- Araujo, F.O.; Vieira, L.C.C.; Monteiro, S. Influence of Resin Composite Shade and Location of the Gingival Margin on the Microleakage of Posterior Restorations. Oper. Dent. 2006, 31, 556–561. [Google Scholar] [CrossRef] [PubMed]
- Cenci, M.S.; Pereira-Cenci, T.; Cury, J.A.; Ten Cate, J.M. Relationship between Gap Size and Dentine Secondary Caries Formation Assessed in a Microcosm Biofilm Model. Caries Res. 2009, 43, 97–102. [Google Scholar] [CrossRef] [PubMed]
- Turkistani, A.; Nakashima, S.; Shimada, Y.; Tagami, J.; Sadr, A. Microgaps and Demineralization Progress around Composite Restorations. J. Dent. Res. 2015, 94, 1070–1077. [Google Scholar] [CrossRef] [PubMed]
- Hewlett, E.R.; Atchison, K.A.; White, S.C.; Flack, V. Radiographic Secondary Caries Prevalence in Teeth with Clinically Defective Restorations. J. Dent. Res. 1993, 72, 1604–1608. [Google Scholar] [CrossRef]
- Hotta, M.; Yamamoto, K. Comparative Radiopacity of Bonding Agents. J. Adhes. Dent. 2009, 11, 207–212. [Google Scholar] [PubMed]
- Yang, X.; Zhang, D.; Wu, B.; Zhang, K.; Yang, B.; Wang, Z.; Wu, X. Accurate Characterization of the Adhesive Layer Thickness of Ceramic Bonding Structures Using Terahertz Time-Domain Spectroscopy. Materials 2022, 15, 6972. [Google Scholar] [CrossRef] [PubMed]
- Secgin, C.K.; Gulsahi, A.; Arhun, N. Diagnostic Challange: Instances Mimicking a Proximal Carious Lesion Detected by Bitewing Radiography. Oral Health Dent. Manag. 2016, 15, 1–5. [Google Scholar]
- Mua, B.; Barbachan E Silva, B.; Fontanella, V.R.C.; Giongo, F.C.M.D.S.; Maltz, M. Radiolucent Halos beneath Composite Restorations Do Not Justify Restoration Replacement. Am. J. Dent. 2015, 28, 209–213. [Google Scholar]
Disclaimer/Publisher’s Note: The statements, opinions and data contained in all publications are solely those of the individual author(s) and contributor(s) and not of MDPI and/or the editor(s). MDPI and/or the editor(s) disclaim responsibility for any injury to people or property resulting from any ideas, methods, instructions or products referred to in the content. |
© 2023 by the authors. Licensee MDPI, Basel, Switzerland. This article is an open access article distributed under the terms and conditions of the Creative Commons Attribution (CC BY) license (https://creativecommons.org/licenses/by/4.0/).


