Abstract
Retention constitutes a fundamental phase of orthodontic treatment, of which the patient must be made aware from the outset. Retention, which can be fixed or movable, has the task of maintaining over time and stabilising the results obtained during treatment. This study assessed the efficacy of using removable restraints versus fixed solutions for maintaining long-term outcomes. A comprehensive search across major databases—Pubmed, Web of Science, Scopus—used ‘relapse’ and ‘orthodontic’ as keywords to gather articles on relapse discussions. The primary focus was relapsed cases in post-fixed orthodontic therapy. Both fixed and removable retainer systems prove effective in preserving orthodontic achievements. While fixed devices require regular wire integrity checks, mobile devices require patient compliance, proper usage, and a recommended wear time. Studies indicate that fixed retainers are generally successful, with relapse rates varying based on the retainer type. Full-time use of removable devices surpasses night-only wear. Vacuum-formed and Hawley retainers offer similar effectiveness. Fixed retainers excel in long-term alignment stability, whereas removable ones have higher failure rates yet remain beneficial.
1. Introduction
1.1. Rationale
One of the most challenging aspects of an orthodontic treatment plan is keeping teeth in their corrected final position at the end of treatment [1]. In 1934, Oppenheim affirmed: “Maintaining the result obtained after orthodontic treatment is one of the most difficult aspects of the entire treatment: retention is the most difficult problem in orthodontics, in fact, it is the problem!” [2]. Almost everyone who receives an orthodontic treatment will need some retention to stabilise results and keep teeth aligned. Without retention, teeth tend to return to their original position, a condition called relapse [3]. Orthodontists must be able to manage the different methods and assess which would be best for each patient to minimise relapse [4,5,6].
The tendency for relapse depends on the time it takes for supragingival and trans-septal periodontal fibres to stabilise [7]. When teeth are repositioned, the periodontal ligament and gingivae tissues change to accommodate the new tooth position [2]. These tissues tend to move the teeth back toward their original position until they have had time to reorganise. The elastic fibres surrounding the teeth and the dental–gingival and interdental fibres take the longest to remodel, even up to 8 months [8]. The orthodontic movement causes remodelling and disorganisation of the collagen fibres of the extracellular matrix of the periodontal ligament, with a specific increase in immature collagen fibres, especially in the apical region of the tooth (area of greatest load) [9]. Applying orthodontic force releases inflammatory mediators and other molecules, such as interleukins, leptins, aspartate aminotransferase, etc., that support the inflammatory reaction underlying tissue remodelling [10]. Therefore, the teeth must be kept in place for enough time to allow these fibres to adapt. An alternative strategy involves using a straightforward surgical operation (perincision) to cut these gingival fibres [11].
Some studies have established that a stable occlusion is related to proper dental gearing between the arches: occlusal interference, displaced tooth contacts, and occlusal overload could result in increased tooth mobility and increased risk of relapse [12].
The orthodontic treatment should aim at positioning the teeth in the so-called “neutral zone”. The neutral zone is an area in which the centrifugal forces of the tongue and the centripetal forces of the perioral soft tissues are balanced [13]. The more the teeth are outside the neutral zone due to excessive proclination or retroclination, the greater their instability and risk of recurrence [14].
Furthermore, when planning an arch form variation, the clinician should consider the increased risk of recurrence due to soft tissue forces on the teeth [15].
The dentition is in a phase of dynamic equilibrium that is constantly changing and readjusting: it has been widely demonstrated that there is a minimal residual growth of facial tissues even in adulthood, a variation in inter-arch ratios and a variation in the pressure exerted by the soft tissues [16]. These variations affect tooth balance and alignment. Therefore, a small amount of recurrence is considered physiological [17].
Removable or fixed, active, or passive retainer devices are used to achieve stability of orthodontic therapy over time. Schematically, the most used devices can be classified into
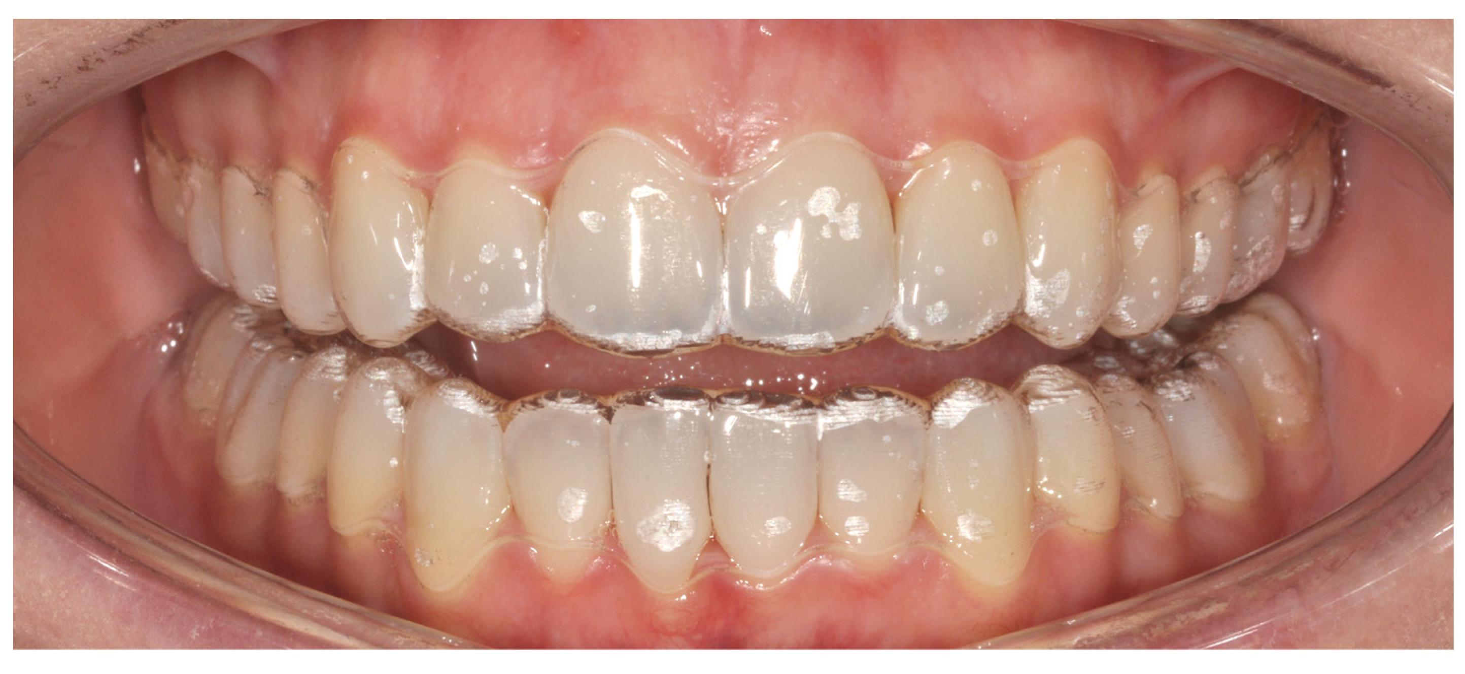
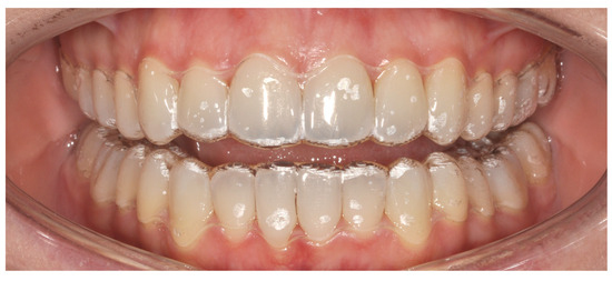
- Passive removable: resin plates, with or without a vestibular arch, Hawley, and vacuum-formed retainers (Figure 1), such as Essix, etc. [18].
Figure 1. Passive thermoformed upper and lower arch splints. - Active removable: plates with added springs, grids, elastic hooks, spring aligners, thermoformed with set-up, and digitally customised elastomers.
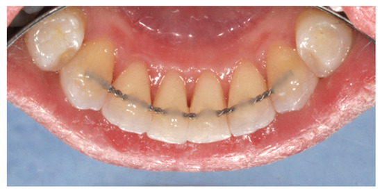
- Passive fixed: from classic systems (lingual arches, Maryland bridges, etc.) to all types of bonded retainers (Figure 2).
Figure 2. Fixed passive lingual lower canine–canine retainer (Stainless-Steel Ortho—Flextech®). - Fixed active: cemented grids in the upper jaw and lingual arches with active insertion.
Hawley’s plate was introduced in 1919, and since then, its design has mostly stayed the same, except for some variations at the level of the labial arch. Thermally formed plastic retainers are the main removable alternative to the Hawley plate. These were first introduced by Ponitz in the early 1970s and found great popularity from the 1990s, thanks to Sheridan and colleagues under the name of Essix® retainers. An Essix is a thin thermoplastic copolyester plate [19].
On the contrary, fixed retainers generally consist of segments of wire or multiple wires twisted together, with different diameters and cross sections, bonded most often from canine to canine [20]. The most common complications of fixed retainers are detachments, fractures, periodontal problems, and unwanted movements. Detachments can occur between composite-tooth or wire-composite. The causes of retainer detachment depend on errors in the placement technique, incorrect bonding or the design/material choice. Based on the currently available evidence, braided stainless-steel wire retainers, it can be stated that passive bonded retainers are certainly an effective means of preventing posttreatment relapses but should be checked regularly by the orthodontist [21]. Braided wires, especially small-diameter bonded retainers on each anterior tooth, are at the highest risk of creating unwanted movement and complications. In recent years, more and more retainers constructed using digital technology (Computer Aided Design CAD or Computer Aided Design/Computer Aided Manufacturing CAD/CAM) have been presented [22]. The materials mainly used are nickel–titanium alloys, titanium–molybdenum, chrome–cobalt, zirconium, glass fibre reinforced or new materials such as peek [23].
1.2. Objectives
This systematic review aims to assess whether fixed retainers and removable retention devices provide a good response in maintaining tooth position while reducing orthodontic relapse, trying to provide the reader with the best possible solution.
2. Materials and Methods
The Preferred Reporting Items for Systematic Reviews and Meta-Analyses (PRISMA) guidelines were used in this systematic review [24]. The information flow across the several stages of a systematic review is shown in the flow diagram. It illustrates how many records were found, how many were included, how many were excluded, and why. The article was structured following the main points of the PRISMA checklist and the division into paragraphs. This paper has been submitted to the international database of registered systematic reviews in health PROSPERO and was assigned the ID 459047.
2.1. Eligibility Criteria
This research studies the use of retainer/splint or other retainer devices and the failure rate. Articles that met several criteria were included:
- Study design: Randomized Clinical Trials (RCT), case series with more than 5 case reports (CS), clinical trials (CT), retrospective studies (RS), prospective studies (PS), and observational study (O).
- Human participants in permanent dentition of any age.
- Mobile or fixed retainer.
- English language.
- Only full text is available.
Studies characterised by one of the following exclusion criteria were excluded:
- Study design: reviews, letters, comments, and case series with less than 5 case reports; case reports.
- In vivo and in vitro studies;
- Animal models or dry skulls.
- Interceptive treatments or palatal expansion.
2.2. Information Sources and Search Strategy
On 9 May 2023, L.R. and V.C. performed an online search to set the topic. Before conducting the search, the authors brainstormed to look for a combination of words that could generate an adequate and valid number of articles for the search itself. We used Pubmed, Scopus and Web of Science as online databases, in which we manually searched for publications that matched the topic of the review. The authors did not consider grey literature. The search method was developed by analysing articles that referred to fixed and mobile appliances used after orthodontic treatment and the occurrence of relapse after their use. After several searches, the final search referred to a range of time from May 2013 to May 2023 using the keywords “relapse” and “orthodontic” and the Boolean variable “AND” (Table 1).
Table 1.
Database search indicator.
2.3. Selection and Data Collection Process
We excluded articles that did not fit the topic by reading the manuscript’s titles and abstracts. The full text of the remaining articles was read to assess the relevance based on the inclusion criteria. The study data were selected by analysing the study design, number of patients, average age, intervention, type of retainer and outcome. Disagreements between authors on article selection were discussed and resolved.
A standardized form was used to capture research design and location data, population characteristics (e.g., sex, age), type of intervention and comparison, baseline measurements, and reported results. Each study was also evaluated for handling missing data and effect measurements. For extraction accuracy, two reviewers (S.C. and M.G.) worked separately; consensus resolved divergences. Because of the substantial variability in the treatments and outcomes reported, meta-analysis was impossible; consequently, papers were synthesised qualitatively.
The fixed effect model was used for homogeneous research, whereas the random effect model was used for heterogeneous studies. All analyses calculated the effect size using the standardised means difference.
Table 2 depicts the PICOS (Population, Intervention, Comparison, Outcome, Study Design) criteria components, which include population, intervention, comparison, outcomes, and research design and their use in this evaluation.
Table 2.
PICOS criteria.
2.4. Quality Assessment
The quality of the included papers was assessed by two reviewers, RF and EI, using the reputable Cochrane risk-of-bias assessment for randomized trials (RoB 2). Although the tool is suitable for randomised studies, the observational studies analysed had one study group and one control group, such that the use of RoB 2 was appropriate to encompass all studies. The following six areas of possible bias are evaluated by this tool: random sequence generation, allocation concealment, participant and staff blinding, outcome assessment blinding, inadequate outcome data, and selective reporting. A third reviewer (FI) was consulted in the event of a disagreement until an agreement was reached.
3. Results
3.1. Study Selection
The electronic database search generated 1989 results by entering the keywords “relapse” and “orthodontic” in three databases, including Pubmed (917), Scopus (564) and Web of Science (508). Following duplication elimination (764), 1225 studies were screened, reading title and abstract. After the abstract screening, 1118 papers were rejected (50 reviews, 3 in vitro, 47 on animals, 4 were not in English, and 1014 were off-topic). A total of 9 texts were not retrieved from the 107 articles selected, so 98 articles were chosen for the eligibility evaluation. Following the full-text examination, 64 manuscripts were eliminated: 25 were off-topic, 8 were wrong settings, 13 were unavailable in full-text, and 18 had no outcome of interest. Finally, 34 papers were chosen for the systematic review. Figure 3 summarises the selection procedure.
Figure 3.
Literature search Preferred Reporting Items for Systematic Reviews and Meta-Analyses (PRISMA) flow diagram.
3.2. Study Characteristics
The study data were selected by analysing the study design, number of patients, average age, intervention, type of retainer, and outcomes (Table 3).
Table 3.
Summary table with the main points of the included studies in the review.
3.3. Quality Assessment and Risk of Bias
The risk of bias in the included studies is reported in Figure 4. Regarding the randomization process, 50% of the studies present a high risk of bias and allocation concealment. All other studies ensure a low risk of bias. A total of 75% of the studies exclude performance; half of the studies confirm an increased risk of detection bias (self-reported outcome), and 75% of the included studies present a low detection bias (objective measures) (Figure 4). A total of 75% of studies ensure a low risk regarding attrition and reporting bias. The reason for the high bias in the randomisation process lies in the lack of double-blinding in the articles analysed. Furthermore, the patients were already reported in orthodontic treatment and not taken from a large sample that included all patients in orthodontic treatment with different braces systems.
Figure 4.
Risk of bias; red (-) indicates high risk, and green (+) indicates low risk of bias.
4. Discussion
4.1. Bonded Retainers Compared
Sinha et al. [25] conducted a trial comparing flexible spiral wire and ceramic interlocking retainers, finding that both retainers effectively maintained treatment results with slight relapse. Jowett et al. [28] compared CAD/CAM (Memotain®) and wire-based retainers (Ortho-FlextechTM), observing a high failure rate with the CAD/CAM retainer (50%) on the upper arch compared to the other [57,58]. Although not statistically significant, the failure of the former is three times higher than the latter. Arash et al. [29] evaluated twisted stainless-steel wire (G&H orthodontics) and titanium ribbon retainers (Retainium®), reporting similar clinical effects but lower failure rates with the titanium ribbon retainer. Shim et al. [30] compared stainless-steel CAD/CAM (manually and machine-bent wires) and conventional retainers, highlighting better stability with the CAD/CAM machine-bent group. Armstrong et al. [31] found no significant differences between magnetic and cemented canine-to-canine retainers. Nagani and Ahmed [37] demonstrated that fibre-reinforced composite retainers exhibited less relapse tendency than stainless steel wire retainers due to their increased rigidity, which allows limited physiological tooth movement. Rabia Adanur-Atmaca et al. [38] investigated the stability of lingual retainers and reported no clinically significant worsening of periodontal health or relapse in any group. Eduard Radu Cernei et al. [39] compared two upper-bonded retainer systems (Splinx and Ortho-FlexTech) and found a lower relapse rate with the Ortho-FlexTech retainer. Kocher et al. [44] evaluated different lingual retainers and one upper retainer type. They determined that the retainer bonded to the lower six teeth was more effective in maintaining lower alignment over time than the retainer bonded to the canines alone. Additionally, movement in the lower arch was associated with active forces generated during retainer application. Both inferior retainers were effective in maintaining inter-canine distance. The upper retainer was effective in maintaining upper alignment. The upper inter-canine length remains stable even though the retainer was not extended to the upper canines. Abdulrahem et al. [55] investigated the movement of lower incisors in relation to orthodontic therapy recurrence or natural growth. One group had a retainer bonded to all lower anterior teeth, another had a wire bonded only to the two canines, and a third group was the control. Incisor movement occurred in 25% of the patients due to natural growth, but the measured LII of 1.5 mm at the 12-month follow-up was considered clinically irrelevant and showed different distribution patterns. The superimposition of plaster models revealed rotational movement, tipping, and slight extrusion of the canines. The canines experienced the most changes and recurrences. A subset of patients (13.32%) experienced severe recurrence characterised by significant expansion of the inter-canine diameter and notable overjet reduction during treatment phases [44]. Schutz-Fransson’s long-term study [48] showed that using retainers prevented more significant increases in the Little Irregularity Index (LII) compared to the untreated group. However, long-term recurrence was still observed, indicating the need for lifelong retention to limit alterations from normal development. Tynelius et al. [26] showed that most changes occur within the first year, mainly caused by the “memory” of fibres.
4.2. Removable Retention Devices Compared
In a study by Garcia-Nunez et al. [33], two protocols for using vacuum thermoformed retainers were compared to maintain dental element position after orthodontic treatment. The study found that wearing the retainer part-time was less efficient in maintaining tooth position, especially in the first month and six months after appliance removal. Devi et al. [18] conducted a randomised clinical trial comparing two devices, Clear bow Hawley and vacuum-formed splints, for maintaining orthodontic results. The study found no difference between the two devices, indicating they can be used equally. Kaya et al. [35] compared the clinical effectiveness of Hawley and Essix retainers for maintaining orthodontic results. The study found no statistically significant differences between the two groups, although irregularity increased over time. Sait Ishakoglu and Serpil Cokakoglu [42] evaluated the alignment relapse in patients wearing removable thermoformed retainers. The study found that wearing the retainer for less than 9 h per day negatively affected the alignment stability in the mandibular anterior teeth. Cast analysis [45] of patients who received non-extractive orthodontic treatment showed a worsening of alignment in maxillary incisors in the long term. Little’s maxillary irregularity in the Class I non-extraction group was substantially higher than in the Class II non-extraction group in the long-term posttreatment stage [50]. A major recurrence occurred in the maxillary region, probably because the starting conditions were worse in the group with a higher relapse. Zafarmand’s study [51] indicated that relapse is possible in both extraction and non-extraction cases, with no statistically significant differences in recurrence values. Vaida et al. [56] conducted a retrospective study evaluating two removable retention devices in the upper arch. The study found that Hawley and thermoformed Essix-type retainers were effective, with slightly higher recurrence in patients treated with Hawley’s plate after the first year. Overall, these studies highlight the importance of retention protocols and the potential for relapse in maintaining orthodontic treatment results.
4.3. Bonded Retainers versus Removable Retention Devices
Tynelius et al. [26] conducted a randomised controlled trial comparing three retention methods over two years. All methods effectively maintained orthodontic results, with minimal relapse in the lower anterior teeth. Forde et al. [27] compared fixed upper and lower retainers to thermoformed mobile splints over 12 months. Both methods were equally effective in maintaining stability at the maxillary level, but the cemented retainer was more efficient in the mandibular arch. Alrawas et al. [32] compared different types of retainers and found that all retainers had a similar rate of maintaining alignment. CAD/CAM retainers had a better fit. Naraghi et al. [34] evaluated the significance of upper retainers in patients with impacted or unerupted maxillary incisors. They found no clinically significant differences in the maintenance of results between the group with no retainer and the group with a retainer. However, differences in lower incisor inclination were statistically significant. Gera et al. [36] conducted a retrospective study and found that stability was good two years after orthodontic treatment, with less than 2% experiencing undesirable changes. Dalya Al-Moghrabi et al. [1] found that fixed retainers were more effective than vacuum-formed retainers in maintaining mandibular anterior segment alignment at a 4-year follow-up. Periodontal health was similar between the two groups. Hoybjerg et al. [40] evaluated different retention strategies and found improvements in various occlusal variables after one year of retention. However, some variables deteriorated over time. Mansi Radia et al. [41] compared fixed lingual retainers to Essix-type retainers and found that Essix retainers were most effective in preventing extrusion of lower incisors. Tynelius et al. [43] performed a randomised clinical trial over five years and found that all three retention methods were clinically valid. Freitas et al. [46] observed a significant recurrence of alignment and crowding after three years but stabilisation in the upper arch after 33 years. Prolonged use of retainers improved outcomes. Danz et al. [52] followed up on patients with deep bites and found a recurrence of incisor position in 10% of cases, with causes unidentified. Bjering et al. [53] evaluated patients treated with fixed orthodontics and found higher recurrence with more significant initial tooth crowding. Occlusal stability decreased after ten years of retention. Steinnes et al. [54] evaluated patients seven years after orthodontic therapy and found small, clinically insignificant changes, indicating the presence of recurrence regardless of retention methods. The findings suggest that retention methods can effectively maintain orthodontic results, but some relapse may occur over time, particularly in the mandibular arch. Fixed retainers tend to be more effective than removable ones, and prolonged use of retainers improves stability.
Mummolo et al., as a result of their analysis, suggested the use of a fixed retainer in the lower arch, bonded from canine to canine or from premolar to premolar [59]. However, suppose significant bodily movements of the teeth have been performed (distalization or mesialization). In that case, it is recommended to use a simultaneous lower thermoformed splint that accommodates the space for the fixed retainer. A simple thermoformed splint is recommended for the upper arch, discouraging using a fixed retainer that could interfere with the patient’s protrusive movements and potentially cause temporomandibular joint issues.
The limitations of this study were related to the wide range of restraint devices on the market and the variables associated with the different types of treatment that can be adopted. The devices can be fixed or removable, or a combination of the two. The restraints can then be handmade, digitally designed and folded by machines. Articles were selected in which the cases treated were only fixed orthodontics in permanent dentition patients. There is also a whole range of interceptive treatments that were not considered as they were outside the inclusion criteria of the research. Individual skeletal growth is an essential and challenging variable to consider. In order to make the chosen group of articles as homogeneous as possible, we decided to focus on those of fixed therapy in adults or adolescents without deciduous teeth.
On the contrary, the strong points of this work are
- Broad coverage of studies: The discussion provides a wide range of studies comparing different types of retainers, including bonded and removable retention devices, allowing readers to gain an overview of the current literature on this topic.
- Mention various outcomes assessed in the studies, such as relapse, stability, alignment, and periodontal health. This provides a comprehensive understanding of the factors associated with orthodontic treatment maintenance.
- Comparison of different retainer types such as flexible spiral wire, ceramic interlocking retainers, CAD/CAM retainers, twisted stainless-steel wire, titanium ribbon retainers, magnetic retainers, cemented retainers, Hawley retainers, Essix retainers, etc., allowing readers to compare the strengths and weaknesses of different retainer options.
- Discussion of long-term effects: The text includes studies that evaluate the long-term effects of retention, with very wide follow-up periods providing insights into the stability of orthodontic results over time.
- Mention compliance and maintenance requirements: The text highlights the importance of patient compliance in correctly wearing removable retention devices and for the prescribed duration. It also emphasised the need for periodic checks of fixed retainers to ensure their integrity and adhesion. This information is crucial for orthodontic practitioners and patients to understand the responsibilities and maintenance required for different retainer types.
5. Conclusions
Both fixed and removable retention devices have proven valuable in maintaining orthodontically achieved clinical results. Mobile devices require, precisely because of their nature, an adequate level of compliance because patients must wear them correctly and for the prescribed number of hours (at least 9 h). On the other hand, fixed devices do not present this type of risk but still require a periodic check of the integrity of the wire and its correct adhesion to the tooth surfaces (at least every six months). The risk of recurrence with removable retention devices is approximately 40% after two years of treatment. Fixed retainers are more reliable in maintaining tooth position at the end of therapy.
Author Contributions
Conceptualization, A.M.I., L.R., S.C., M.G. and V.C.; methodology, A.P., F.C.T. and A.D.I.; software, S.C. and G.M.; validation, L.R., V.C. and M.G.; formal analysis, G.D., F.I. and G.M.; investigation, V.C., L.R. and M.G.; resources, F.C.T., A.P. and A.M.I.; data curation, L.R., V.C., A.D.I. and D.D.V.; writing—original draft preparation, A.D.I.; writing—review and editing, S.C., G.M. and F.I.; visualisation, L.R. and D.D.V.; supervision, A.M.I., S.C. and D.D.V.; project administration, F.I., G.D. and M.G. All authors have read and agreed to the published version of the manuscript.
Funding
This research received no external funding.
Institutional Review Board Statement
Not available.
Informed Consent Statement
Not available.
Data Availability Statement
Not available.
Conflicts of Interest
The authors declare no conflict of interest.
Abbreviations
| CS | Case Series |
| CT | Clinical Trials |
| LII | Little Irregularity Index |
| O | Observational Studies |
| PAR | Peer Assessment Rating Index |
| PRCT | Prospective Randomized Clinical Trials |
| PS RoB | Prospective Studies Risk-of-bias |
| RS | Retrospective Studies |
| SS | Stainless-Steel |
| VFR | Vacuum-performed retainer |
References
- Al-Moghrabi, D.; Johal, A.; O’Rourke, N.; Donos, N.; Pandis, N.; Gonzales-Marin, C.; Fleming, P.S. Effects of Fixed vs Removable Orthodontic Retainers on Stability and Periodontal Health: 4-Year Follow-up of a Randomized Controlled Trial. Am. J. Orthod. Dentofac. Orthop. 2018, 154, 167–174.e1. [Google Scholar] [CrossRef]
- Oppenheim, A. The Crisis in Orthodontia Part I. 2. Tissue Changes during Retention. Skogsborg’s Septotomy. Int. J. Orthod. Dent. Child. 1934, 20, 639–644. [Google Scholar] [CrossRef]
- Cantore, S.; Mirgaldi, R.; Ballini, A.; Coscia, M.F.; Scacco, S.; Papa, F.; Inchingolo, F.; Dipalma, G.; De Vito, D. Cytokine Gene Polymorphisms Associate with Microbiogical Agents in Periodontal Disease: Our Experience. Int. J. Med. Sci. 2014, 11, 674–679. [Google Scholar] [CrossRef] [PubMed]
- Melrose, C.; Millett, D.T. Toward a Perspective on Orthodontic Retention? Am. J. Orthod. Dentofac. Orthop. 1998, 113, 507–514. [Google Scholar] [CrossRef] [PubMed]
- Mummolo, S.; Nota, A.; Marchetti, E.; Padricelli, G.; Marzo, G. The 3D Tele Motion Tracking for the Orthodontic Facial Analysis. Biomed. Res. Int. 2016, 2016, 4932136. [Google Scholar] [CrossRef] [PubMed]
- Quinzi, V.; Scibetta, E.T.; Marchetti, E.; Mummolo, S.; Giannì, A.B.; Romano, M.; Beltramini, G.; Marzo, G. Analyze My Face. J. Biol. Regul. Homeost. Agents 2018, 32, 149–158. [Google Scholar] [PubMed]
- Ahrens, D.G.; Shapira, Y.; Stom, M.M.K.D. An Approach to Rotational Relapse. Am. J. Orthod. 1981, 80, 83–91. [Google Scholar] [CrossRef]
- Reitan, K. Clinical and Histologic Observations on Tooth Movement during and after Orthodontic Treatment. Am. J. Orthod. 1967, 53, 721–745. [Google Scholar] [CrossRef]
- Li, Z.; Yu, M.; Jin, S.; Wang, Y.; Luo, R.; Huo, B.; Liu, D.; He, D.; Zhou, Y.; Liu, Y. Stress Distribution and Collagen Remodeling of Periodontal Ligament During Orthodontic Tooth Movement. Front. Pharmacol. 2019, 10, 1263. [Google Scholar] [CrossRef]
- Meeran, N.A. Cellular Response within the Periodontal Ligament on Application of Orthodontic Forces. J. Indian Soc. Periodontol. 2013, 17, 16–20. [Google Scholar] [CrossRef]
- Dinoi, M.T.; Marchetti, E.; Garagiola, U.; Caruso, S.; Mummolo, S.; Marzo, G. Orthodontic Treatment of an Unerupted Mandibular Canine Tooth in a Patient with Mixed Dentition: A Case Report. J. Med. Case Rep. 2016, 10, 170. [Google Scholar] [CrossRef]
- Lyotard, N.; Hans, M.; Nelson, S.; Valiathan, M. Short-Term Postorthodontic Changes in the Absence of Retention. Angl. Orthod. 2010, 80, 1045–1050. [Google Scholar] [CrossRef]
- Proffit, W.R. Equilibrium Theory Revisited: Factors Influencing Position of the Teeth. Angl. Orthod. 1978, 48, 175–186. [Google Scholar] [CrossRef]
- Little, R.M. Stability and Relapse of Dental Arch Alignment. Br. J. Orthod. 1990, 17, 235–241. [Google Scholar] [CrossRef] [PubMed]
- Dohan Ehrenfest, D.M.; Del Corso, M.; Inchingolo, F.; Sammartino, G.; Charrier, J.-B. Platelet-Rich Plasma (PRP) and Platelet-Rich Fibrin (PRF) in Human Cell Cultures: Growth Factor Release and Contradictory Results. Oral Surg. Oral Med. Oral Pathol. Oral Radiol. Endodontology 2010, 110, 418–421. [Google Scholar] [CrossRef] [PubMed]
- Behrents, R.G.; Harris, E.F.; Vaden, J.L.; Williams, R.A.; Kemp, D.H. Relapse of Orthodontic Treatment Results: Growth as an Etiologic Factor. J. Charles H. Tweed Int. Found. 1989, 17, 65–80. [Google Scholar] [PubMed]
- Saccomanno, S.; Quinzi, V.; D’Andrea, N.; Albani, A.; Coceani Paskay, L.; Marzo, G. Traumatic Events and Eagle Syndrome: Is There Any Correlation? A Systematic Review. Healthcare 2021, 9, 825. [Google Scholar] [CrossRef]
- Devi, S.; Jain, R.K. Comparison of Retention Characteristics of Clear Bow Hawley’s and Vacuum Formed Retainers—A Randomized Controlled Trial. J. Orofac. Sci. 2022, 14, 128. [Google Scholar] [CrossRef]
- Vermesan, D.; Inchingolo, F.; Patrascu, J.M.; Trocan, I.; Prejbeanu, R.; Florescu, S.; Damian, G.; Benagiano, V.; Abbinante, A.; Caprio, M.; et al. Anterior Cruciate Ligament Reconstruction and Determination of Tunnel Size and Graft Obliquity. Eur. Rev. Med. Pharmacol. Sci. 2015, 19, 357–364. [Google Scholar]
- Minervini, G.; Lucchese, A.; Perillo, L.; Serpico, R.; Minervini, G. Unilateral Superior Condylar Neck Fracture with Dislocation in a Child Treated with an Acrylic Splint in the Upper Arch for Functional Repositioning of the Mandible. Cranio 2017, 35, 337–341. [Google Scholar] [CrossRef] [PubMed]
- Kartal, Y.; Kaya, B. Fixed Orthodontic Retainers: A Review. Turk. J. Orthod. 2019, 32, 110–114. [Google Scholar] [CrossRef] [PubMed]
- Minervini, G.; D’Amico, C.; Cicciù, M.; Fiorillo, L. Temporomandibular Joint Disk Displacement: Etiology, Diagnosis, Imaging, and Therapeutic Approaches. J. Craniofac. Surg. 2023, 34, 1115–1121. [Google Scholar] [CrossRef] [PubMed]
- Minervini, G.; Franco, R.; Marrapodi, M.M.; Fiorillo, L.; Cervino, G.; Cicciù, M. Prevalence of Temporomandibular Disorders (TMD) in Pregnancy: A Systematic Review with Meta-analysis. J. Oral Rehabil. 2023, 50, 627–634. [Google Scholar] [CrossRef] [PubMed]
- Page, M.J.; Moher, D.; Bossuyt, P.M.; Boutron, I.; Hoffmann, T.C.; Mulrow, C.D.; Shamseer, L.; Tetzlaff, J.M.; Akl, E.A.; Brennan, S.E.; et al. PRISMA 2020 Explanation and Elaboration: Updated Guidance and Exemplars for Reporting Systematic Reviews. BMJ 2021, 372, n160. [Google Scholar] [CrossRef]
- Sinha, A.; Sonar, S.; Batra, P.; Raghavan, S. A Prospective Randomized Controlled Trial on the Comparative Clinical Efficiency and Hygiene of a Ceramic Inter Locking Retainer and a Flexible Spiral Wire Bonded Retainer. Indian J. Dent. Res. 2021, 32, 174. [Google Scholar] [CrossRef]
- Edman Tynelius, G.; Bondemark, L.; Lilja-Karlander, E. A Randomized Controlled Trial of Three Orthodontic Retention Methods in Class I Four Premolar Extraction Cases—Stability after 2 Years in Retention. Orthod. Craniofac. Res. 2013, 16, 105–115. [Google Scholar] [CrossRef]
- Forde, K.; Storey, M.; Littlewood, S.J.; Scott, P.; Luther, F.; Kang, J. Bonded versus Vacuum-Formed Retainers: A Randomized Controlled Trial. Part 1: Stability, Retainer Survival, and Patient Satisfaction Outcomes after 12 Months. Eur. J. Orthod. 2018, 40, 387–398. [Google Scholar] [CrossRef] [PubMed]
- Jowett, A.C.; Littlewood, S.J.; Hodge, T.M.; Dhaliwal, H.K.; Wu, J. CAD/CAM Nitinol Bonded Retainer versus a Chairside Rectangular-Chain Bonded Retainer: A Multicentre Randomised Controlled Trial. J. Orthod. 2023, 50, 55–68. [Google Scholar] [CrossRef]
- Arash, V.; Teimoorian, M.; Farajzadeh Jalali, Y.; Sheikhzadeh, S. Clinical Comparison between Multi-Stranded Wires and Single Strand Ribbon Wires Used for Lingual Fixed Retainers. Prog. Orthod. 2020, 21, 22. [Google Scholar] [CrossRef]
- Shim, H.; Foley, P.; Bankhead, B.; Kim, K.B. Comparative Assessment of Relapse and Failure between CAD/CAM Stainless Steel and Standard Stainless Steel Fixed Retainers in Orthodontic Retention Patients:A Randomized Controlled Trial. Angl. Orthod. 2022, 92, 87–94. [Google Scholar] [CrossRef]
- Armstrong, A.W.; Oliver, D.R.; Araújo, E.A.; Thiesen, G.; Kim, K.B. Comparing Orthodontic Relapse of Mandibular Anterior Teeth with Traditional Bonded versus Magnetic Retainers after 2 Years of Retention. J. World Fed. Orthod. 2017, 6, 45–49. [Google Scholar] [CrossRef]
- Alrawas, M.B.; Kashoura, Y.; Tosun, Ö.; Öz, U. Comparing the Effects of CAD/CAM Nickel-Titanium Lingual Retainers on Teeth Stability and Periodontal Health with Conventional Fixed and Removable Retainers: A Randomized Clinical Trial. Orthod. Craniofac. Res. 2021, 24, 241–250. [Google Scholar] [CrossRef] [PubMed]
- Garcia-Nunez, W.; Vezina, G.C.; Aras, I. Comparison of 2 Different Wear Protocols of Vacuum-Formed Retainers with Respect to the Conventional Parameters and 3-Dimensional Superimpositional Analysis. Am. J. Orthod. Dentofac. Orthop. 2023, 163, 743–755.e1. [Google Scholar] [CrossRef] [PubMed]
- Naraghi, S.; Ganzer, N.; Bondemark, L.; Sonesson, M. Comparison of Post-Treatment Changes with and without Retention in Adolescents Treated for Maxillary Impacted Canines—A Randomized Controlled Trial. Eur. J. Orthod. 2021, 43, 121–127. [Google Scholar] [CrossRef]
- Kaya, Y.; Tunca, M.; Keskin, S. Comparison of Two Retention Appliances with Respect to Clinical Effectiveness. Turk. J. Orthod. 2019, 32, 72–78. [Google Scholar] [CrossRef]
- Gera, A.; Gera, S.; Cattaneo, P.M.; Cornelis, M.A. Does Quality of Orthodontic Treatment Outcome Influence Post-Treatment Stability? A Retrospective Study Investigating Short-Term Stability 2 Years after Orthodontic Treatment with Fixed Appliances and in the Presence of Fixed Retainers. Orthod. Craniofac. Res. 2022, 25, 368–376. [Google Scholar] [CrossRef]
- Nagani, N.I.; Ahmed, I. Effectiveness of Two Types of Fixed Lingual Retainers in Preventing Mandibular Incisor Relapse. J. Coll. Physicians Surg. Pak. 2020, 30, 282–286. [Google Scholar] [CrossRef]
- Adanur-Atmaca, R.; Çokakoğlu, S.; Öztürk, F. Effects of Different Lingual Retainers on Periodontal Health and Stability. Angl. Orthod. 2021, 91, 468–476. [Google Scholar] [CrossRef]
- Cernei, E.R.; Dascalu, C.G.; Anistoroaei, D.; Golovcencu, L.; Sodor-Botezatu, A.; Zegan, G. Efficiency of Two Different Types of Upper Bonded Retainers. In Proceedings of the 2022 E-Health and Bioengineering Conference (EHB), Iasi, Romania, 17–18 November 2022; pp. 1–4. [Google Scholar]
- Hoybjerg, A.J.; Currier, G.F.; Kadioglu, O. Evaluation of 3 Retention Protocols Using the American Board of Orthodontics Cast and Radiograph Evaluation. Am. J. Orthod. Dentofac. Orthop. 2013, 144, 16–22. [Google Scholar] [CrossRef]
- Radia, M.; Trivedi, K.; Shah, A.; Parikh, T.; Panchal, H. Evaluation of Long-Term Stability of Curve of Spee Levelled with Continuous Archwires in Two Different Retention Protocol. APOS 2021, 11, 229–234. [Google Scholar] [CrossRef]
- İshakoğlu, S.; Çokakoğlu, S. Evaluation of Relapse with Thermoplastic Retainers Equipped with Microsensors. Angl. Orthod. 2022, 92, 340–346. [Google Scholar] [CrossRef]
- Edman Tynelius, G.; Petrén, S.; Bondemark, L.; Lilja-Karlander, E. Five-Year Postretention Outcomes of Three Retention Methods--a Randomized Controlled Trial. Eur. J. Orthod. 2015, 37, 345–353. [Google Scholar] [CrossRef] [PubMed]
- Kocher, K.E.; Gebistorf, M.C.; Pandis, N.; Fudalej, P.S.; Katsaros, C. Long-Term Effectiveness of Maxillary and Mandibular Bonded Orthodontic Retainers. Oral Health Prev. Dent. 2020, 18, 633–641. [Google Scholar] [CrossRef] [PubMed]
- Canuto, L.F.G.; de Freitas, M.R.; de Freitas, K.M.S.; Cançado, R.H.; Neves, L.S. Long-Term Stability of Maxillary Anterior Alignment in Non-Extraction Cases. Dent. Press J. Orthod. 2013, 18, 46–53. [Google Scholar] [CrossRef] [PubMed]
- Freitas, K.M.S.; Guirro, W.J.G.; de Freitas, D.S.; de Freitas, M.R.; Janson, G. Relapse of Anterior Crowding 3 and 33 Years Postretention. Am. J. Orthod. Dentofac. Orthop. 2017, 152, 798–810. [Google Scholar] [CrossRef]
- Wolf, M.; Schulte, U.; Küpper, K.; Bourauel, C.; Keilig, L.; Papageorgiou, S.N.; Dirk, C.; Kirschneck, C.; Daratsianos, N.; Jäger, A. Post-Treatment Changes in Permanent Retention. J. Orofac. Orthop. 2016, 77, 446–453. [Google Scholar] [CrossRef]
- Schütz-Fransson, U.; Lindsten, R.; Bjerklin, K.; Bondemark, L. Mandibular Incisor Alignment in Untreated Subjects Compared with Long-Term Changes after Orthodontic Treatment with or without Retainers. Am. J. Orthod. Dentofac. Orthop. 2019, 155, 234–242. [Google Scholar] [CrossRef]
- Morais, J.F.; de Freitas, M.R.; de Freitas, K.M.S.; de Janson, G.; Castello Branco, N. Postretention Stability after Orthodontic Closure of Maxillary Interincisor Diastemas. J. Appl. Oral Sci. 2014, 22, 409–415. [Google Scholar] [CrossRef]
- Guirro, W.J.G.; Freitas, K.M.S.; Janson, G.; de Freitas, M.R.; Quaglio, C.L. Maxillary Anterior Alignment Stability in Class I and Class II Malocclusions Treated with or without Extraction. Angl. Orthod. 2016, 86, 3–9. [Google Scholar] [CrossRef]
- Zafarmand, A.H.; Qamari, A.; Zafarmand, M.M. Mandibular Incisor Re-Crowding: Is It Different in Extraction and Non-Extraction Cases? Oral Health Dent. Manag. 2014, 13, 669–674. [Google Scholar]
- Stability and Relapse after Orthodontic Treatment of Deep Bite Cases—A Long-Term Follow-Up Study—PubMed. Available online: https://pubmed.ncbi.nlm.nih.gov/23197574/ (accessed on 6 June 2023).
- Bjering, R.; Sandvik, L.; Midtbø, M.; Vandevska-Radunovic, V. Stability of Anterior Tooth Alignment 10 Years out of Retention. J. Orofac. Orthop. 2017, 78, 275–283. [Google Scholar] [CrossRef]
- Steinnes, J.; Johnsen, G.; Kerosuo, H. Stability of Orthodontic Treatment Outcome in Relation to Retention Status: An 8-Year Follow-Up. Am. J. Orthod. Dentofac. Orthop. 2017, 151, 1027–1033. [Google Scholar] [CrossRef] [PubMed]
- Inchingolo, F.; Tatullo, M.; Abenavoli, F.M.; Marrelli, M.; Inchingolo, A.D.; Inchingolo, A.M.; Dipalma, G. Non-Hodgkin Lymphoma Affecting the Tongue: Unusual Intra-Oral Location. Head Neck Oncol. 2011, 3, 1. [Google Scholar] [CrossRef] [PubMed]
- Vaida, L.L.; Bud, E.S.; Halitchi, L.G.; Cavalu, S.; Todor, B.I.; Negrutiu, B.M.; Moca, A.E.; Bodog, F.D. The Behavior of Two Types of Upper Removable Retainers—Our Clinical Experience. Children 2020, 7, 295. [Google Scholar] [CrossRef]
- Reddy, L.K.V.; Madithati, P.; Narapureddy, B.R.; Ravula, S.R.; Vaddamanu, S.K.; Alhamoudi, F.H.; Minervini, G.; Chaturvedi, S. Perception about Health Applications (Apps) in Smartphones towards Telemedicine during COVID-19: A Cross-Sectional Study. J. Pers. Med. 2022, 12, 1920. [Google Scholar] [CrossRef] [PubMed]
- Rathi, S.; Chaturvedi, S.; Abdullah, S.; Rajput, G.; Alqahtani, N.M.; Chaturvedi, M.; Gurumurthy, V.; Saini, R.; Bavabeedu, S.S.; Minervini, G. Clinical Trial to Assess Physiology and Activity of Masticatory Muscles of Complete Denture Wearer Following Vitamin D Intervention. Medicina 2023, 59, 410. [Google Scholar] [CrossRef] [PubMed]
- Mummolo, S.; Mancini, L.; Quinzi, V.; D’Aquino, R.; Marzo, G.; Marchetti, E. Rigenera® Autologous Micrografts in Oral Regeneration: Clinical, Histological, and Radiographical Evaluations. Appl. Sci. 2020, 10, 5084. [Google Scholar] [CrossRef]
Disclaimer/Publisher’s Note: The statements, opinions and data contained in all publications are solely those of the individual author(s) and contributor(s) and not of MDPI and/or the editor(s). MDPI and/or the editor(s) disclaim responsibility for any injury to people or property resulting from any ideas, methods, instructions or products referred to in the content. |
© 2023 by the authors. Licensee MDPI, Basel, Switzerland. This article is an open access article distributed under the terms and conditions of the Creative Commons Attribution (CC BY) license (https://creativecommons.org/licenses/by/4.0/).



