Three-Dimensional Printed Liver Models for Surgical Planning and Intraoperative Guidance of Liver Cancer Resection: A Systematic Review
Abstract
:1. Introduction
2. Materials and Methods
2.1. Search Strategy
2.2. Inclusion and Exclusion Criteria
2.3. Article Identification, Screening, and Quality Assessment
2.4. Data Extraction and Synthesis
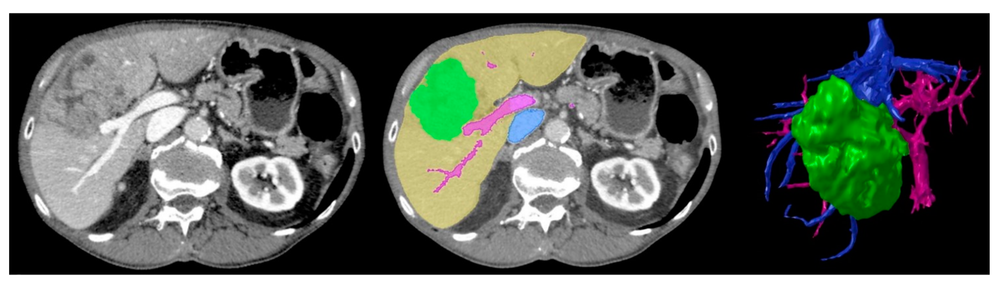
3. Results
3.1. Surgical Planning and Intraoperative Decision Making
3.2. 3DPLMs Can Enhance Patient Outcomes
3.3. Surgical Simulation and Clinical Education
3.4. Diversity of 3DPLM Production Methods
3.5. Need for Experimental Research
4. Discussion
5. Conclusions
Author Contributions
Funding
Institutional Review Board Statement
Informed Consent Statement
Data Availability Statement
Conflicts of Interest
References
- Rumgay, H.; Arnold, M.; Ferlay, J.; Lesi, O.; Cabasag, C.J.; Vignat, J.; Laversanne, M.; McGlynn, K.A.; Soerjomataram, I. Global burden of primary liver cancer in 2020 and predictions to 2040. J. Hepatol. 2022, 77, 1598–1606. [Google Scholar] [CrossRef] [PubMed]
- Dasgupta, P.; Henshaw, C.; Youlden, D.R.; Clark, P.J.; Aitken, J.F.; Baade, P.D. Global trends in incidence rates of primary adult liver cancers: A systematic review and meta-analysis. Front. Oncol. 2020, 10, 171. [Google Scholar] [CrossRef] [PubMed]
- Wang, Z.-G.; He, Z.-Y.; Chen, Y.-Y.; Gao, H.; Du, X.-L. Incidence and survival outcomes of secondary liver cancer: A Surveillance Epidemiology and End Results database analysis. Transl. Cancer Res. 2021, 10, 1273–1283. [Google Scholar] [CrossRef] [PubMed]
- Watson, J.; Hydon, K.; Lodge, P. Primary and secondary liver tumours. InnovAiT 2016, 9, 477–482. [Google Scholar] [CrossRef]
- Xiong, J.-J.; Altaf, K.; Javed, M.A.; Huang, W.; Mukherjee, R.; Mai, G.; Sutton, R.; Liu, X.-B.; Hu, W.-M. Meta-analysis of laparoscopic vs open liver resection for hepatocellular carcinoma. World J. Gastroenterol. 2012, 18, 6657–6668. [Google Scholar] [CrossRef] [PubMed]
- Kasai, M.; Cipriani, F.; Gayet, B.; Aldrighetti, L.; Ratti, F.; Sarmiento, J.M.; Scatton, O.; Kim, K.-H.; Dagher, I.; Topal, B.; et al. Laparoscopic versus open major hepatectomy: A systematic review and meta-analysis of individual patient data. Surgery 2018, 163, 985–995. [Google Scholar] [CrossRef]
- Cillo, U.; Fondevila, C.; Donadon, M.; Gringeri, E.; Mocchegiani, F.; Schlitt, H.J.; Ijzermans, J.N.M.; Vivarelli, M.; Zieniewicz, K.; Olde Damink, S.W.M.; et al. Surgery for cholangiocarcinoma. Liver Int. 2019, 39, 143–155. [Google Scholar] [CrossRef]
- Dhir, M.; Sasson, A.R. Surgical management of liver metastases from colorectal cancer. J. Oncol. Pract. 2016, 12, 33–39. [Google Scholar] [CrossRef]
- Rhu, J.; Kim, M.S.; Kim, S.; Choi, G.-S.; Kim, J.M.; Joh, J.-W. Application of three-dimensional printing for intraoperative guidance during liver resection of a hepatocellular carcinoma with sophisticated location. Ann. Hepatobiliary Pancreat. Surg. 2021, 25, 265–269. [Google Scholar] [CrossRef]
- Agostini, A.; Borgheresi, A.; Floridi, C.; Carotti, M.; Grazzini, G.; Pagnini, F.; Guerrini, S.; Pradella, S.; Carrafiello, G.; Vivarelli, M.; et al. The role of imaging in surgical planning for liver resection: What the radiologist needs to know. Acta Biomed. 2020, 91, 18–26. [Google Scholar]
- Streba, C.T.; Popescu, S.; Pirici, D.; Gheonea, I.A.; Vlădaia, M.; Ungureanu, B.S.; Gheonea, D.I.; Ţenea-Cojan, T.S. Three-dimensional printing of liver tumors using CT data: Proof of concept morphological study. Rom. J. Morphol. Embryol. 2018, 59, 885–893. [Google Scholar] [PubMed]
- Guachi, R.; Bici, M.; Bini, F.; Calispa, M.E.; Oscullo, C.; Guachi, L.; Campana, F.; Marinozzi, F. 3D printing of prototypes starting from medical imaging: A liver case study. In Proceedings of the Second International Conference on Design Tools and Methods in Industrial Engineering, Rome, Italy, 9–10 September 2021. [Google Scholar]
- Huber, T.; Huettl, F.; Tripke, V.; Baumgart, J.; Lang, H. Experiences with three-dimensional printing in complex liver surgery. Ann. Surg. 2021, 273, e26–e27. [Google Scholar] [CrossRef] [PubMed]
- Muguruza Blanco, A.; Krauel, L.; Artés, F.F. Development of a patients-specific 3D-printed preoperative planning and training tool, with functionalized internal surfaces, for complex oncologic cases. Rapid Prototyp. J. 2019, 25, 363–377. [Google Scholar] [CrossRef]
- Huettl, F.; Saalfeld, P.; Hansen, C.; Preim, B.; Poplawski, A.; Kneist, W.; Lang, H.; Huber, T. Virtual reality and 3D printing improve preoperative visualization of 3D liver reconstructions—Results from a preclinical comparison of presentation modalities and user’s preference. Ann. Transl. Med. 2021, 9, 1074. [Google Scholar] [CrossRef]
- Yang, T.; Lin, S.; Xie, Q.; Ouyang, W.; Tan, T.; Li, J.; Chen, Z.; Yang, J.; Wu, H.; Pan, J.; et al. Impact of 3D printing technology on the comprehension of surgical liver anatomy. Surg. Endosc. 2019, 33, 411–417. [Google Scholar] [CrossRef]
- Witowski, J.; Budzyński, A.; Grochowska, A.; Ballard, D.H.; Major, P.; Rubinkiewic, M.; Złahoda-Huzior, A.; Popiela, T.J.; Wierdak, M.; Pędziwiatr, M. Decision-making based on 3D printed models in laparoscopic liver resections with intraoperative ultrasound: A prospective observational study. Artif. Intell. Med. 2020, 30, 1306–1312. [Google Scholar] [CrossRef]
- Haberman, D.M.; Andriani, O.C.; Segaran, N.L.; Volpacchio, M.M.; Micheli, M.L.; Russi, R.H.; Pérez Fernández, I.A. Role of CT in two-stage liver surgery. RadioGraphics 2022, 42, 106–124. [Google Scholar] [CrossRef]
- Cheng, J.; Wang, Z.; Liu, J.; Dou, C.; Yao, W.; Zhang, C. Value of 3D printing technology combined with indocyanine green fluorescent navigation in complex laparoscopic hepatectomy. PLoS ONE 2022, 17, e0272815. [Google Scholar] [CrossRef]
- Perica, E.R.; Sun, Z. A systematic review of three-dimensional printing in liver disease. J. Digit. Imaging 2018, 31, 692–701. [Google Scholar] [CrossRef]
- Liacouras, P.; Wake, N. 3D printing principles and technologies. In 3D Printing for the Radiologist; Wake, N., Ed.; Elsevier: St. Louis, MO, USA, 2021; pp. 61–73. [Google Scholar]
- Valls-Esteve, A.; Tejo-Otero, A.; Lustig-Gainza, P.; Buj-Corral, I.; Fenollosa-Artés, F.; Rubio-Palau, J.; Barber, I.; Munuera, J.; Fondevilla, C.; Krauel, L. Patient-specific 3D printed soft models for liver surgical planning and hands-on training. Gels 2023, 9, 339. [Google Scholar] [CrossRef]
- Witowski, J.S.; Coles-Black, J.; Zuzak, T.Z.; Pędziwiatr, M.; Chuen, J.; Major, P.; Budzyński, A. 3D printing in liver surgery: A systematic review. Telemed. e-Health 2017, 23, 941–1022. [Google Scholar] [CrossRef]
- Bangeas, P.; Tsioukas, V.; Papadopoulos, V.N.; Tsoulfas, G. Role of innovative 3D printing models in the management of hepatobiliary malignancies. World J. Hepatol. 2019, 11, 574–585. [Google Scholar] [CrossRef]
- Jakus, A.E.; Huang, Y.-H.; Wake, N. The future of medical 3D printing in radiology. In 3D Printing for the Radiologist; Wake, N., Ed.; Elsevier: St. Louis, MO, USA, 2021; pp. 201–214. [Google Scholar]
- Mitsouras, D.; Liacouras, P.C.; Wake, N.; Rybicki, F.J. RadioGraphics update: Medical 3D printing for the radiologist. RadioGraphics 2020, 40, E21–E23. [Google Scholar] [CrossRef]
- Shamseer, L.; Moher, D.; Clarke, M.; Ghersi, D.; Liberati, A.; Petticrew, M.; Shekelle, P.; Stewart, L.A. Preferred reporting items for systematic review and meta-analysis protocols (PRISMA-P) 2015: Elaboration and explanation. Syst. Rev. 2015, 4, 1. [Google Scholar] [CrossRef] [PubMed]
- Higgins, M.; Leung, S.; Radacsi, N. 3D printing surgical phantoms and their role in the visualization of medical procedures. Ann. 3D Print. Med. 2022, 6, 100057. [Google Scholar] [CrossRef]
- Cheng, J.; Wang, Z.-F.; Yao, W.-F.; Liu, J.-W.; Lu, Y.; Wang, Q.; Cai, X.-J. Comparison of 3D printing model to 3D virtual reconstruction and 2D imaging for the clinical education of interns in hepatocellular carcinoma: A randomized controlled study. J. Gastrointest. Oncol. 2023, 14, 325–333. [Google Scholar] [CrossRef] [PubMed]
- Giehl-Brown, E.; Dennler, S.; Garcia, S.A.; Seppelt, D.; Oehme, F.; Schweipert, J.; Weitz, J.; Riediger, C. 3D liver model-based surgical education improves preoperative decision-making and patient satisfaction—A randomized pilot trial. Surg. Endos. 2023, 37, 4545–4554. [Google Scholar] [CrossRef]
- Lopez-Lopez, V.; Robles-Campos, R.; García-Calderon, D.; Lang, H.; Cugat, E.; Jiménez-Galandes, S.; Férnandez-Cebrian, J.M.; Sánchez-Turrión, V.; Fernández-Fernández, J.M.; Barrera-Gómez, M.A.; et al. Applicability of 3D-printed models in hepatobiliary surgey: Results from “LIV3DPRINT” multicenter study. HPB 2021, 23, 675–684. [Google Scholar] [CrossRef] [PubMed]
- Tooulias, A.; Tsoulfas, G.; Papadopoulos, V.; Alexiou, M.; Karolos, I.-A.; Pikridas, C.; Tsioukas, V. Assisting difficult liver operations using 3D printed models. Livers 2021, 1, 138–146. [Google Scholar] [CrossRef]
- Li, Y.; Yin, X.; Zhu, S.; Liao, C.; Wu, Y.; Liu, Y.; Cai, R.; Yao, L.; Cai, C.; Xie, W. Application value of three-dimensional printing technology assisted laparoscopic anatomic liver resection of segment 8. Chin. J. Dig. Surg. 2021, 20, 548–554. [Google Scholar]
- Joo, I.; Kim, J.H.; Park, S.J.; Lee, K.; Yi, N.-J.; Han, J.K. Personalized 3D-printed transparent liver model using the hepatobiliary phase MRI: Usefulness in the lesion-by-lesion imaging-pathologic matching of focal liver lesions—Preliminary results. Investig. Radiol. 2019, 54, 138–145. [Google Scholar] [CrossRef]
- Yang, T.; Tan, T.; Yang, J.; Pan, J.; Hu, C.; Li, J.; Zou, Y. The impact of using three-dimensional printed liver models for patient education. J. Int. Med. Res. 2018, 46, 1570–1578. [Google Scholar] [CrossRef]
- Smillie, R.W.; Williams, M.A.; Richard, M.; Cosker, T. Producing three-dimensional printed models of the hepatobiliary system from computed tomography imaging data. Ann. R. Coll. Surg. Engl. 2021, 103, 41–46. [Google Scholar] [CrossRef] [PubMed]
- Tan, X.; Li, D.; Jeong, M.; Yu, T.; Afat, S.; Grund, K.-E.; Qiu, T. Soft liver phantom with a hollow biliary system. Ann. Biomed. Eng. 2021, 49, 2139–2149. [Google Scholar] [CrossRef] [PubMed]
- Estermann, S.-J.; Pahr, D.H.; Reisinger, A. Quantifying tactile properties of liver tissue, silicone elastomers, and a 3D printed polymer for manufacturing realistic organ models. J. Mech. Behav. Biomed. Mater. 2020, 104, 103630. [Google Scholar] [CrossRef] [PubMed]
- Tejo-Otero, A.; Lustig-Gainza, P.; Fenollosa-Artés, F.; Valls, A.; Krauel, L.; Buj-Corral, I. 3D printed soft surgical planning prototype for a biliary tract rhabdomyosarcoma. Materials 2020, 109, 103844. [Google Scholar] [CrossRef]
- Laureiro, Z.L.; Novelli, S.; Lai, Q.; Mennini, G.; D’andrea, V.; Gaudenzi, P.; Marinozzi, F.; Engelmann, C.; Mookarje, R.; Raptis, D.; et al. There is a great future in plastics: Personalized approach to the management of hilar cholangiocarcinoma using a 3-D-printed liver model. Dig. Dis. Sci. 2020, 65, 2210–2215. [Google Scholar] [CrossRef] [PubMed]
- Sirriyeh, R.; Lawton, R.; Gardner, P.; Armitage, G. Reviewing studies with diverse designs: The development and evaluation of a new tool. J. Eval. Clin. Pract. 2012, 18, 746–752. [Google Scholar] [CrossRef]
- Paré, G.; Kitsiou, S. Methods for literature reviews. In Handbook of eHealth Evaluation: An Evidence-Based Approach; Lau, F., Kuziemsky, C., Eds.; University of Victoria: Victoria, BC, Canada, 2017; Chapter 9. [Google Scholar]
- Mikkonen, K.; Kääriäinen, M. Content analysis in systematic reviews. In The Application of Content Analysis in Nursing Science Research; Kyngäs, H., Mikkonen, K., Kääriäinen, M., Eds.; Springer: Cham, Switzerland, 2019; pp. 105–115. [Google Scholar]
- Elo, S.; Kyngäs, H. The qualitative content analysis process. J. Adv. Nurs. 2008, 62, 107–115. [Google Scholar] [CrossRef]
- Hackenbroich, S.; Kranke, P.; Meybohm, P.; Weibel, S. Include or not to include conference abstracts in systematic reviews? Lessons learned from a large Cochrane network meta-analysis including 585 trials. Syst. Rev. 2022, 11, 178. [Google Scholar] [CrossRef]
- Huber, T.; Hanke, L.I.; Boedecker, C.; Vradelis, L.; Baumgart, J.; Heinrich, S.; Bartsch, F.; Mittler, J.; Schulze, A.; Hansen, C.; et al. Patient-individualized resection planning in liver surgery using 3D print and virtual reality (i-LiVR)—A study protocol for a prospective randomized controlled trial. Trials 2022, 24, 403. [Google Scholar] [CrossRef] [PubMed]
- Povey, M.; Powell, S.; Howes, N.; Vimalachandran, D.; Sutton, P. Evaluating the potential utility of three-dimensional printed models in preoperative planning and patient consent in gastrointestinal cancer surgery. Ann. R. Coll. Surg. Engl. 2021, 103, 615–620. [Google Scholar] [CrossRef] [PubMed]
- Kim, P.S.; Choi, C.H.; Han, I.H.; Lee, J.H.; Choi, H.J.; Lee, J.I. Obtaining informed consent using patient specific 3D printing cerebral aneurysm model. J. Korean Neurosurg. Soc. 2019, 62, 398–404. [Google Scholar] [CrossRef] [PubMed]
- Zhuang, Y.-D.; Zhou, M.-C.; Liu, S.-C.; Wu, J.-F.; Wang, R.; Chen, C.-M. Effectiveness of personalized 3D printed models for patient education in degenerative lumbar disease. Patient Educ. Couns. 2019, 102, 1875–1881. [Google Scholar] [CrossRef]
- Chen, J.; Bokacheva, L.; Rusinek, H. Image segmentation and nonuniformity correction methods. In 3D Printing for the Radiologist; Wake, N., Ed.; Elsevier: St. Louis, MO, USA, 2021; pp. 31–43. [Google Scholar]
- Gotra, A.; Sivakumaran, L.; Chartrand, G.; Vu, K.-N.; Vandenbroucke-Menu, F.; Kauffmann, C.; Kadoury, S.; Gallix, B.; de Guise, J.A.; Tang, A. Liver segmentation: Indications, techniques and future directions. Insights Imaging 2017, 8, 377–392. [Google Scholar] [CrossRef]
- Williams, A.; Tillet, C.; Wong, Y.H.; Yeong, C.H.; Sun, Z. How 3D printing software enhances and rewards student learning of brain anatomy. Australas. Med. J. 2023, 16, 552–555. [Google Scholar]
- Alexander, A.E.; Wake, N. 3D printed anatomic models and guides. In 3D Printing for the Radiologist; Wake, N., Ed.; Elsevier: St. Louis, MO, USA, 2021; pp. 75–88. [Google Scholar]





| Search No. | Boolean Operator | Term | Field |
|---|---|---|---|
| Search Strategy 1 | hepat* OR liver | Title | |
| AND | print* OR model* | Title | |
| AND | 3D OR 3-dimensional OR three-dimensional OR “3D-printed” OR “3D-printing” | Title | |
| AND | tumour* OR tumor* OR cancer* OR carcinoma* OR malignan* OR metas* | Any field | |
| AND | surg* OR oper* | Any field | |
| AND | patient* OR segment* | Any field | |
| Search Strategy 2 | hepa* OR liver | Title | |
| AND | print* OR model* | Title | |
| AND | 3D OR 3-dimensional OR three-dimensional OR “3D-printed” OR “3D-printing” | Title | |
| AND | 3D-print* OR “3D print” OR “3D printing” | Any field | |
| AND | tumour* OR tumor* OR cancer* OR carcinoma* OR malignan* OR metast * | Any field | |
| AND | outcom* OR patien* OR consent* OR duration OR time OR success OR morbidity OR result* | Any field | |
| Search Strategy 3 | “medical imaging” OR “computed tomography” OR CT OR “magnetic resonance imaging” OR MRI | Title | |
| AND | 3D OR 3-dimensional OR three-dimensional OR “3D-printed” OR “3D-printing” | Title | |
| AND | print* OR model* | Title | |
| AND | liver OR hepat* | Any field |
| Article | Purpose | Country of Origin | Study Design | Sample | Imaging Modality/3D Modelling Software/3DP Method | 3DP Materials/ Production Costs and Time | Relevant Findings |
|---|---|---|---|---|---|---|---|
| Rhu et al. [9] (2021) | Produce a 3DPLM to guide surgical planning and intraoperative procedure for a complex LCR case. | Korea | Case report | Patient w/hepatocellular carcinoma and intrahepatic metastases n = 1 | MRI Mimics FFF | 3DP materials N/P USD 15 material costs 6 h. printing time | 3DPLM improved understanding of tumour location during preoperative planning and improved comprehension of the surgical field intraoperatively to guide resection. |
| Streba et al. [11] (2018) | Design a reproducible, cost-effective method for liver tumour 3DP, which incorporates tissue stiffness information. | Romania | Descriptive survey | Medical students n = 43 Residents n = 12 | CT and MRI InVesalius 3.1.1, Meshmixer, UP Studio FFF | Co-polyester filament material Production cost N/P Time N/P | 3DP liver tumour models may demonstrate clinical utility in resection surgical planning and education. |
| Guachi et al. [12] (2021) | Develop a workflow to produce individualised 3DPLMs from medical imaging data. | Italy | Case report | Patient w/liver tumour n = 1 | CT Mimics and Slicer FFF | PLA Production cost N/P Time N/P | FFF approach to 3DP provides balance between quality, time, and cost; however, it cannot mimic liver tissue characteristics for surgical simulation. |
| Huber et al. [13] (2021) | Explore how 3DPLMs assist preoperative planning of complex LCR. | Germany | Case report | Liver surgery cases n = 10 | CT Cella Medical Solutions Methods N/P | TPUR–parenchyma, ABS–intrahepatic structures EUR 1500–2000 cost per case 10-day production time | 3DPLMs improved preoperative planning for resection planes and liver vascular reconstruction. 3DPLMs improved intraoperative detection of small/deeply located metastases. |
| Muguruza Blanco et al. [14] (2019) | Produce a patient-individualised 3DPLM with functionalised internal surfaces for use in surgical planning. | Spain | Case report | Patient w/hepatic metastases n = 1 | CT and MRI Mimics, Meshmixer, Keyshot FFF | PLA and PVA–3DP mould + 3 silicone rubbers tested ~EUR 120 per model ~10 h. segmentation and rendering time per model | Translucent, soft 3DPLMs assisted surgical simulation and planning by allowing surgeons to rehearse surgical incisions while viewing the spatial relationships between intrahepatic structures. |
| Huettl et al. [15] (2021) | Compare the clinical utility of 3DPLMs, 3D virtual reality, and 2D imaging for preoperative planning of LCR. | Germany | Quasi- experimental | HPB doctors and medical students n = 30 | CT Synapse 3D Cella Medical Solutions Methods N/P | TPUR–parenchyma ABS–intrahepatic structures Production cost N/P Time N/P | Use of 3DPLM improved participants’ accuracy and speed in identifying the locations of liver tumours. |
| Yang et al. [16] (2019) | Investigate if 3DPLMs improve appreciation of surgical anatomy. | China | Prospective comparative | Surgical residents n = 45 | CT Mimics 14.01, PolyJet Studio 3D FFF | Transparent photopolymers ~USD 1200 production cost Time N/P | 3DPLMs improved participants’ ability to correctly assign tumour location and provide appropriate resection plans. |
| Witowski et al. [17] (2020) | Evaluate the impact of 3DPLMs on preoperative decision making for laparoscopic LCR. | Poland | Prospective observational | Patients w/liver malignancies undergoing laparoscopic liver resection n = 19 | CT 3D Slicer FFF | PLA–intrahepatic structures Transparent silicone–parenchyma Production cost N/P ~5 days production time | 3DPLMs changed the preoperative surgical plan for several patients by providing better comprehension of spatial relationships between liver lesions and vasculature. |
| Cheng et al. [19] (2022) | Method to improve the efficiency and cost of 3DPLM production. Explore the value of 3DPLMs for complex laparoscopic hepatectomy. | China | Prospective comparative | Patients w/HPB cancer for laparoscopic resection n = 54 | CT E3D, Ultimaker Cura SLA | Photosensitive resin USD 104.40 μ production cost 56.8 h. μ production time | 3DPLMs assisted surgical planning and intraoperative decision making, although there were no significant differences in patient outcomes between the 3DP and non-3DP groups. |
| Valls- Esteve et al. [22] (2023) | Cost-effective approach to producing patient-individualised 3DPLMs for use in surgical simulation and training. | Spain | Case report | Paediatric patients w/liver tumours n = 3 | CT IntelliSpace Portal FFF and SLS | PLA, PA12, silicone ~EUR 500 per model 8–24 h. per model | Transparent, soft silicone ‘parenchyma’ cast inside 3DP mould enhanced surgical planning and allowed physical practice/rehearsal using surgical equipment. |
| Cheng et al. [29] (2023) | Compare the value of 3DPLMs, 3D virtual reconstruction, and 2D imaging for resection surgical planning and intern education. | China | Randomised- controlled | HPB surgery interns n = 62 | CT E3D, Ultimaker Cura SLA | Photosensitive resin Production cost N/P Time N/P | 3DPLMs significantly improved participants’ ability to identify correct tumour location and design appropriate surgical plans (p < 0.05). |
| Giehl-Brown et al. [30] (2023) | Evaluate the impact of 3DPLMs on patients’ understanding and satisfaction with surgical education in HPB surgery. | Germany | Randomised controlled | Patients presenting for liver surgery n = 40 | CT Meshmixer, Ultimaker Cura 4.7, w/segmentation by MeVis FFF | PLA Production cost N/P Time N/P | No significant differences in patient outcomes between 3DP and non-3DP groups; however, 3DP group demonstrated increased understanding of their disease and surgery. |
| Lopez-Lopez et al. [31] (2021) | Validate the accuracy of 3DPLMs and evaluate their utility for LCR surgical planning, teaching, and provision of patient information. | Spain | Case report, descriptive survey, randomised controlled | Patients w/hepatic malignancies n = 35 HPB surgeons n = 23 Medical students n = 75 | CT and MRI 3D-MSP 3DP method N/P | TPUR–parenchyma ABS–intrahepatic structures EUR 950 production cost 22 h. production time | 3DPLMs assisted surgical planning and education and improved patient understanding of their pathology and proposed surgical procedure but did not affect the surgical outcome. |
| Tooulias et al. [32] (2021) | Produce an accurate, patient-individualised 3DPLM containing a tumour for resection. | Greece | Case report | Patient w/liver malignancy for resection n = 1 | CT 3D model software N/P 3DP method N/P | 3DP materials N/P Production cost N/P Time N/P | Use of 3DPLMs may facilitate more targeted tissue resection to preserve a greater volume of healthy parenchyma. |
| Li et al. [33] (2021) | Explore the value of 3DPLMs as intraoperative tools to assist LCR. | China | Case report | Patients w/liver malignancies for resection n = 8 | CT Mimics 20.0 SLS | Nylon (polyamide) Production cost N/P ~2-day production time | 3DPLMs assist individualised surgical planning and can be used intraoperatively to enhance navigation of the surgical field. |
| Joo et al. [34] (2019) | Investigate the clinical utility of 3DPLMs for imaging–pathology matching. | Korea | Prospective comparative | Patients w/multi-focal liver malignancies n = 20 | MRI MEDIP FFF | ABS–intrahepatic structures Transparent silicone–parenchyma Production cost N/P Time N/P | 3DPLMs improved detection rate for imaging–pathology matching during gross pathological examination, suggesting their value in cancer diagnosis and staging. |
| Yang et al. [35] (2018) | Evaluate if patient understanding of hepatic anatomy, pathology, and surgery is improved with the use of 3DPLMs. | China | Quasi experimental pre-test post-test | Parents of children w/liver malignancies for partial hepatectomy n = 14 | CT Mimics 14.01 SLA | Photosensitive resin ~USD 450 USD per model ~8 h. segmentation time | Use of 3DPLMs improved parental understanding of liver anatomy, pathology, and proposed surgical procedures. |
| Smillie et al. [36] (2021) | Provide a method for producing 3DPLMs for use in surgical and anatomical teaching. | United Kingdom | Case report | 3DPLM n = 1 | CT Simpleware ScanIP, GrabCAD, Meshmixer Material jetting | Opaque photopolymers GBP 1343 material cost 58 h. printing time | 3DPLMs offer a realistic alternative to cadaveric teaching, but must be developed to mimic liver tissue characteristics to maximise surgical simulation applications. |
| Tan et al. [37] (2021) | Produce a 3DP liver phantom with hollow biliary structures for use in surgical planning and simulation. | Germany | Case report | 3DPLM n = 1 | N/A SolidWorks, Meshmixer FFF and material jetting | Rubber-like photopolymer, ABS, silicone rubber Production cost N/P Time N/P | 3DPLM accurately replicated the liver and was suitable for surgical simulation. |
| Estermann et al. [38] (2020) | Identify materials suitable for 3DPLM production, which mimic the characteristics of biological liver tissue. | Austria | Quantitative comparative | Biological liver tissue samples n = 36 | N/A 3D model software N/A FFF | Rubber-like photopolymer, silicones Production cost N/A Time N/A | Rubber-like photopolymer 3DP material was the least accurate liver tissue mimic, while some silicone elastomer materials demonstrated useful tissue-mimicking qualities. |
| Tejo-Otero et al. [39] (2020) | Determine a 3DP material that mimics liver tissue properties and produce a life-like 3DPLM for surgical simulation. | Spain | Case report | 3DPLM n = 1 | CT IntelliSpace Portal SLS | PA12–3DP mould Multiple liver-mimicking materials tested EUR 513 total production cost Time N/P | 1:1 mixed composition of 6%wt polyvinyl alcohol/1%wt phytagel and 1%wt agarose closely mimics biological liver tissue qualities. |
| Laureiro et al. [40] (2020) | Describe the utility of a 3DPLM for preoperative planning and intraoperative guidance of a complex LCR. | Italy | Case report | Patient w/liver cancer n = 1 | CT 3D model software N/P 3DP method N/P | 3DP materials N/P ~EUR 1200 production cost ~35 h. total production time | 3DPLM improved surgeons’ ability to identify optimal dissection plane and vascular reconstruction approach. |
| Article | Explicit Theoretical Framework | Statement of Aim/ Objective | Research Setting Description | Sample Size Considered in Terms of Analysis | Reasonably Sized and Representative Sample | Data Collection Procedure Described | Data Collection Tool(s) Rationale | Detailed Recruitment Data | Assesses Measurement Tool Reliability/Validity | Question Correlates to Data Collection Method | Question Correlates to Data Collection Tool | Question Correlates to Analysis Method | Justification for Analytical Method | Reliability of Analytical Process Assessed | User Involvement in Design | Strengths and Limitations | Quality Assessment |
|---|---|---|---|---|---|---|---|---|---|---|---|---|---|---|---|---|---|
| Rhu et al. [9] (2021) | N/A | 3 | 2 | N/A | N/A | N/A | N/A | N/A | N/A | N/A | N/A | N/A | N/A | N/A | N/A | 1 | 6/9 66.7% |
| Streba et al. [11] (2018) | 1 | 3 | 2 | 0 | 1 | 2 | 0 | 1 | 0 | 1 | N/A | 0 | 0 | N/A | 0 | 0 | 11/42 26.2% |
| Guachi et al. [12] (2021) | N/A | 3 | 2 | N/A | N/A | N/A | N/A | N/A | N/A | N/A | N/A | N/A | N/A | N/A | N/A | 1 | 6/9 66.7% |
| Huber et al. [13] (2021) | N/A | 1 | 1 | N/A | N/A | N/A | N/A | N/A | N/A | N/A | N/A | N/A | N/A | N/A | N/A | 0 | 2/9 22.2% |
| Muguruza Blanco et al. [14] (2019) | N/A | 3 | 2 | N/A | N/A | N/A | N/A | N/A | N/A | N/A | N/A | N/A | N/A | N/A | N/A | 1 | 6/9 66.7% |
| Huettl et al. [15] (2021) | 1 | 2 | 1 | 0 | 2 | 3 | 1 | 2 | 1 | 0 | 0 | 0 | 0 | 1 | 0 | 2 | 16/48 33.3% |
| Yang et al. [16] (2019) | 1 | 3 | 1 | 0 | 1 | 1 | 0 | 1 | 1 | 2 | N/A | 3 | 0 | N/A | 0 | 1 | 15/42 35.7% |
| Witowski et al. [17] (2020) | 1 | 3 | 2 | 0 | 1 | 0 | 0 | 2 | 0 | 2 | N/A | N/A | N/A | N/A | 2 | 3 | 16/36 44.4% |
| Cheng et al. [19] (2022) | 1 | 3 | 1 | 1 | 2 | 2 | 0 | 2 | 1 | 0 | N/A | 0 | 1 | N/A | 0 | 2 | 16/42 38.1% |
| Valls-Esteve et al. [22] (2023) | N/A | 3 | 2 | N/A | N/A | N/A | N/A | N/A | N/A | N/A | N/A | N/A | N/A | N/A | N/A | 1 | 6/9 66.7% |
| Cheng et al. [29] (2023) | 2 | 3 | 3 | 0 | 2 | 3 | 2 | 2 | 1 | 2 | N/A | 2 | 0 | N/A | 0 | 1 | 23/42 54.8% |
| Giehl-Brown et al. [30] (2023) | 3 | 3 | 3 | 0 | 2 | 3 | 0 | 3 | 0 | 3 | N/A | 2 | 0 | N/A | N/A | 2 | 24/39 61.5% |
| Lopez-Lopez et al. [31] (2021) | 1 | 3 | 2 | 0 | 2 | 2 | 1 | 1 | 2 | 2 | N/A | 2 | 2 | N/A | 0 | 2 | 22/42 52.4% |
| Tooulias et al. [32] (2021) | N/A | 1 | 1 | N/A | N/A | N/A | N/A | N/A | N/A | N/A | N/A | N/A | N/A | N/A | N/A | 0 | 2/9 22.2% |
| Li et al. [33] (2021) | N/A | 3 | 2 | N/A | N/A | N/A | N/A | N/A | N/A | N/A | N/A | N/A | N/A | N/A | N/A | 0 | 5/9 55.6% |
| Joo et al. [34] (2019) | 1 | 3 | 1 | 0 | 1 | 2 | 0 | 2 | 1 | 3 | N/A | 3 | 0 | N/A | 0 | 2 | 19/42 45.2% |
| Yang et al. [35] (2018) | 1 | 1 | 3 | 0 | 1 | 2 | 0 | 2 | 0 | 1 | N/A | 2 | 1 | N/A | 0 | 2 | 16/42 38.1% |
| Smillie et al. [36] (2021) | N/A | 3 | 3 | N/A | N/A | N/A | N/A | N/A | N/A | N/A | N/A | N/A | N/A | N/A | N/A | 2 | 8/9 88.9% |
| Tan et al. [37] (2021) | N/A | 3 | 3 | N/A | N/A | N/A | N/A | N/A | N/A | N/A | N/A | N/A | N/A | N/A | N/A | 0 | 6/9 66.7% |
| Estermann et al. [38] (2020) | 1 | 3 | 2 | N/A | N/A | 3 | 3 | N/A | 2 | 3 | N/A | 3 | 3 | N/A | 0 | 3 | 26/33 78.8% |
| Tejo-Otero et al. [39] (2020) | N/A | 3 | 3 | N/A | N/A | N/A | N/A | N/A | N/A | N/A | N/A | N/A | N/A | N/A | N/A | 1 | 7/9 77.8% |
| Laureiro et al. [40] (2020) | N/A | 2 | 3 | N/A | N/A | N/A | N/A | N/A | N/A | N/A | N/A | N/A | N/A | N/A | N/A | 1 | 6/7 66.7% |
Disclaimer/Publisher’s Note: The statements, opinions and data contained in all publications are solely those of the individual author(s) and contributor(s) and not of MDPI and/or the editor(s). MDPI and/or the editor(s) disclaim responsibility for any injury to people or property resulting from any ideas, methods, instructions or products referred to in the content. |
© 2023 by the authors. Licensee MDPI, Basel, Switzerland. This article is an open access article distributed under the terms and conditions of the Creative Commons Attribution (CC BY) license (https://creativecommons.org/licenses/by/4.0/).
Share and Cite
Rossi, T.; Williams, A.; Sun, Z. Three-Dimensional Printed Liver Models for Surgical Planning and Intraoperative Guidance of Liver Cancer Resection: A Systematic Review. Appl. Sci. 2023, 13, 10757. https://doi.org/10.3390/app131910757
Rossi T, Williams A, Sun Z. Three-Dimensional Printed Liver Models for Surgical Planning and Intraoperative Guidance of Liver Cancer Resection: A Systematic Review. Applied Sciences. 2023; 13(19):10757. https://doi.org/10.3390/app131910757
Chicago/Turabian StyleRossi, Timothy, Ally Williams, and Zhonghua Sun. 2023. "Three-Dimensional Printed Liver Models for Surgical Planning and Intraoperative Guidance of Liver Cancer Resection: A Systematic Review" Applied Sciences 13, no. 19: 10757. https://doi.org/10.3390/app131910757
APA StyleRossi, T., Williams, A., & Sun, Z. (2023). Three-Dimensional Printed Liver Models for Surgical Planning and Intraoperative Guidance of Liver Cancer Resection: A Systematic Review. Applied Sciences, 13(19), 10757. https://doi.org/10.3390/app131910757

