Sparse-View Computed Tomography Reconstruction Based on a Novel Improved Prior Image Constrained Compressed Sensing Algorithm
Abstract
:1. Introduction
2. Related Work
2.1. CT Reconstruction Based on PICCS
2.2. Image Gradient L0-Norm Minimization
3. Method
3.1. Mathematical Model
3.2. Solution
| Algorithm 1: NPICCS |
| Input: a, γ1, γ2, τmax, k1, k2, Niter, xprior Initialize: x(0) = c1(0) = c2(0) = m1(0) = m2(0) = 0 for N < Niter Update x(n+1) by Equation (16); while (τ1 ≤ τmax) do Update {(u1k) r+1, (v1k) r+1} same as Equation (20); Update c1r+1 same as Equation (21); τ1 = k1τ1, r = r + 1 end while while (τ2 ≤ τmax) do Update {(u2k) r+1, (v2k) r+1} by Equation (20); Update c2r+1 by Equation (21); τ2 = k2τ2, r = r + 1 end while Update c(n+1): c1n+1 = c1r+1, c2n+1 = c2r+1; Update m1(n+1), m2(n+1) by Equations (14) and (15); n = n + 1 when satisfy the stopping condition, stop iterating end for output: reconstruction image x |
4. Experimental Results
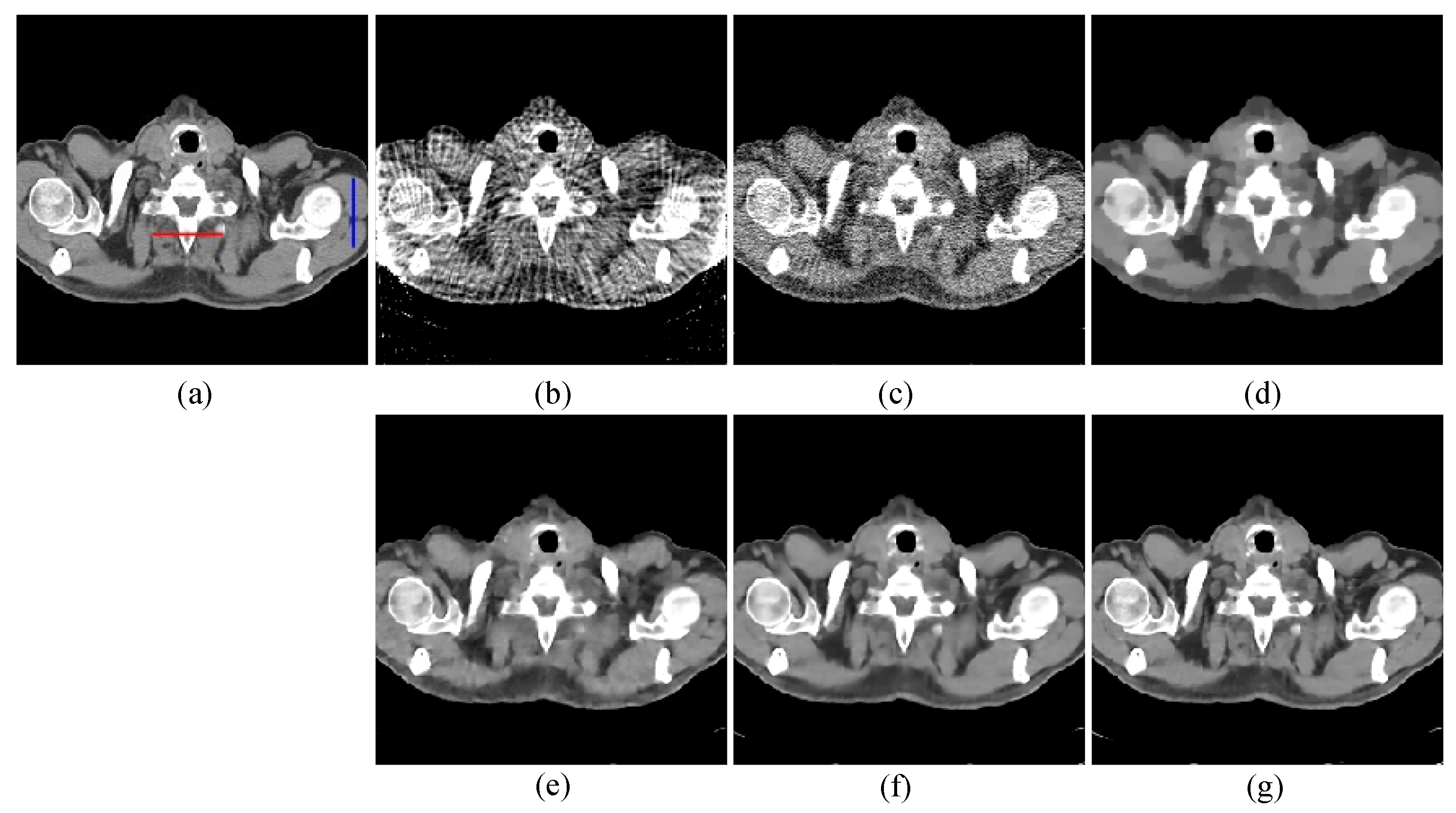
4.1. Image Reconstruction Experiment of Pelvic Image
4.2. Image Reconstruction Experiment of Abdomen Image
5. Discussion and Conclusions
Author Contributions
Funding
Informed Consent Statement
Data Availability Statement
Conflicts of Interest
References
- Wang, G.; Yu, H.; De Man, B. An outlook on x-ray CT research and development. Med. Phys. 2008, 35, 1051–1064. [Google Scholar] [CrossRef] [PubMed]
- Nakano, M.; Haga, A.; Kotoku, J.; Magome, T.; Masutani, Y.; Hanaoka, S.; Kida, S.; Nakagawa, K. Cone-beam CT reconstruction for non-periodic organ motion using time-ordered chain graph model. Radiat. Oncol. 2017, 12, 145. [Google Scholar] [CrossRef]
- Brenner, D.J.; Hall, E.J. Computed tomography—An increasing source of radiation exposure. N. Engl. J. Med. 2013, 357, 2277–2284. [Google Scholar] [CrossRef] [PubMed]
- González, A.B.D.; Darby, S. Risk of cancer from diagnostic X-rays: Estimates for the UK and 14 other countries. Lancet 2004, 363, 345–351. [Google Scholar] [CrossRef] [PubMed]
- Gao, Y.; Bian, Z.; Huang, J.; Zhang, Y.; Niu, S.; Feng, Q.; Chen, W.; Liang, Z.; Ma, J. Low-dose X-ray computed tomography image reconstruction with a combined low-mAs and sparse-view protocol. Opt. Express 2014, 22, 15190–15210. [Google Scholar] [CrossRef] [PubMed]
- Kim, Y.; Kudo, H. Nonlocal Total Variation Using the First and Second Order Derivatives and Its Application to CT image Reconstruction. Sensors 2020, 20, 3494. [Google Scholar] [CrossRef] [PubMed]
- Gao, Y.; Lu, S.; Shi, Y.; Chang, S.; Zhang, H.; Hou, W.; Li, L.; Liang, Z. A Joint-Parameter Estimation and Bayesian Reconstruction Approach to Low-Dose CT. Sensors 2023, 23, 1374. [Google Scholar] [CrossRef] [PubMed]
- Kaganovsky, Y.; Li, D.; Holmgren, A.; Jeon, H.; MacCabe, K.P.; Politte, D.G.; O’Sullivan, J.A.; Carin, L.; Brady, D.J. Compressed sampling strategies for tomography. J. Opt. Soc. Am. A 2014, 31, 1369–1394. [Google Scholar] [CrossRef]
- Pan, X.; Sidky, E.Y.; Vannier, M. Why do commercial CT scanners still employ traditional, filtered back-projection for image reconstruction? Inverse Probl. 2008, 25, 1230009. [Google Scholar] [CrossRef] [PubMed]
- Gordon, R.; Bender, R.; Herman, G.T. Algebraic reconstruction techniques (ART) for three-dimensional electron microscopy and x-ray photography. J. Theor. Biol. 1970, 29, 471–476, IN1–IN2, 477–481. [Google Scholar] [CrossRef]
- Andersen, A.H.; Kak, A.C. Simultaneous Algebraic Reconstruction Technique (SART): A Superior Implementation of the ART Algorithm. Ultrason. Imaging 1984, 6, 81–94. [Google Scholar] [CrossRef] [PubMed]
- Dempster, A.P.; Laird, N.M.; Rubin, D.B. Maximum likelihood from incomplete data via the EM algorithm. J. R. Stat. Soc. Ser. B (Methodol.) 1977, 39, 1–22. [Google Scholar] [CrossRef]
- Sidky, E.Y.; Kao, C.M.; Pan, X. Accurate image reconstruction from few-views and limited-angle data in divergent-beam CT. J. X-Ray Sci. Technol. 2006, 14, 119–139. [Google Scholar] [CrossRef]
- Sidky, E.Y.; Pan, X. Image reconstruction in circular cone-beam computed tomography by constrained, total-variation minimization. Phys. Med. Biol. 2008, 53, 4777–4807. [Google Scholar] [CrossRef]
- Rudin, L.I.; Osher, S.; Fatemi, E. Nonlinear total variation based noise removal algorithms. Phys. D Nonlinear Phenom. 1992, 60, 259–268. [Google Scholar] [CrossRef]
- Tian, Z.; Jia, X.; Yuan, K.; Pan, T.; Jiang, S.B. Low-dose CT reconstruction via edge-preserving total variation regularization. Phys. Med. Biol. 2011, 56, 5949–5967. [Google Scholar] [CrossRef]
- Kim, H.; Chen, J.; Wang, A.; Chuang, C.; Held, M.; Pouliot, J. Non-local total-variation (NLTV) minimization combined with reweighted L1-norm for compressed sensing CT reconstruction. Phys. Med. Biol. 2016, 61, 6878–6891. [Google Scholar] [CrossRef]
- Liu, Y.; Ma, J.; Fan, Y.; Liang, Z. Adaptive-weighted total variation minimization for sparse data toward low-dose x-ray computed tomography image reconstruction. Phys. Med. Biol. 2012, 57, 7923–7956. [Google Scholar] [CrossRef]
- Niu, S.; Gao, Y.; Bian, Z.; Huang, J.; Chen, W.; Yu, G.; Liang, Z.; Ma, J. Sparse-view x-ray CT reconstruction via total generalized variation regularization. Phys. Med. Biol. 2014, 59, 2997. [Google Scholar] [CrossRef]
- Yu, W.; Peng, W.; Yin, H.; Wang, C.; Yu, K. Low-dose computed tomography reconstruction regularized by structural group sparsity joined with gradient prior. Signal Process. 2021, 182, 107945–107954. [Google Scholar] [CrossRef]
- Xu, Q.; Yu, H.Y.; Mou, X.Q.; Zhang, L.; Hsieh, J.; Wang, G. Low-dose X-ray CT reconstruction via dictionary learning. IEEE Trans. Med. Imaging 2012, 31, 1682–1697. [Google Scholar] [CrossRef] [PubMed]
- Dong, Y.; Hansen, P.C.; Kjer, H.M. Joint CT Reconstruction and Segmentation With Discriminative Dictionary Learning. IEEE Trans. Comput. Imaging 2018, 4, 528–536. [Google Scholar] [CrossRef]
- Gui, Y.; Zhao, X.; Bai, Y.; Zhao, R.; Li, W.; Liu, Y. Low-dose CT iterative reconstruction based on image block classification and dictionary learning. Signal Image Video Process. 2023, 17, 407–415. [Google Scholar] [CrossRef]
- Wu, J.; Dai, F.; Hu, G.; Mou, X. Low dose CT reconstruction via L1 norm dictionary learning using alternating minimization algorithm and balancing principle. J. X-Ray Sci. Technol. 2018, 26, 603–622. [Google Scholar] [CrossRef]
- Zhi, S.; Kachelrie, M.; Mou, X. Spatiotemporal structure-aware dictionary learning-based 4D CBCT reconstruction. Med. Phys. 2021, 48, 6421–6436. [Google Scholar] [CrossRef]
- Bao, P.; Sun, H.; Wang, Z.; Zhang, Y.; Xia, W.; Yang, K.; Chen, W.; Chen, M.; Xi, Y.; Niu, S.; et al. Convolutional Sparse Coding for Compressed Sensing CT Reconstruction. IEEE Trans. Med. Imaging 2019, 38, 2607–2619. [Google Scholar] [CrossRef]
- Li, X.; Li, Y.; Chen, P.; Li, F. Combining convolutional sparse coding with total variation for sparse-view CT reconstruction. Appl. Opt. 2022, 61, C116–C124. [Google Scholar] [CrossRef]
- Qi, Z.; Huang, S.; Nett, B.; Tang, J.; Yang, K.; Boone, J.; Chen, G. Dramatic Noise Reduction and Potential Radiation Dose Reduction in Breast Cone-Beam CT Imaging Using Prior Image Constrained Compressed Sensing (PICCS). Med. Phys. 2010, 37, 3443. [Google Scholar] [CrossRef]
- Szczykutowicz, T.P.; Chen, G.H. A Novel Denoising Method for Dual Energy CT Based on Prior Image Constrained Compressed Sensing (PICCS). Med. Phys. 2011, 38, 3400–3401. [Google Scholar] [CrossRef]
- Lee, H.; Yoon, J.; Lee, E.; Cho, S.; Park, K.; Choi, W.; Keum, K. Enhancement of 4D CBCT Image Quality Using An Adaptive Prior Image Constrained Compressed Sensing. Med. Phys. 2015, 42, 3639. [Google Scholar] [CrossRef]
- Rashed, E.A.; Kudo, H. Probabilistic atlas prior for CT image reconstruction. Comput. Methods Programs Biomed. 2016, 128, 119–136. [Google Scholar] [CrossRef] [PubMed]
- Lauzier, P.T.; Tang, J.; Chen, G. Time-resolved cardiac interventional cone-beam CT reconstruction from fully truncated projections using the prior image constrained compressed sensing (PICCS) algorithm. Phys. Med. Biol. 2012, 57, 2461–2476. [Google Scholar] [CrossRef]
- Chen, G.-H.; Tang, J.; Leng, S. Prior image constrained compressed sensing (PICCS). Proc. SPIE Int. Soc. Opt. Eng. 2008, 6856, 685618. [Google Scholar] [CrossRef]
- Chen, G.-H.; Tang, J.; Leng, S. Prior image constrained compressed sensing (PICCS): A method to accurately reconstruct dynamic CT images from highly undersampled projection data sets. Med. Phys. 2008, 35, 660–663. [Google Scholar] [CrossRef]
- Yu, Z.; Leng, S.; Li, Z.; McCollough, C.H. Spectral prior image constrained compressed sensing (spectral PICCS) for photon-counting computed tomography. Phys. Med. Biol. 2016, 61, 6707–6732. [Google Scholar] [CrossRef] [PubMed]
- Niu, S.; Zhang, Y.; Zhong, Y.; Liu, G.; Lu, S.; Zhang, X.; Hu, S.; Wang, T.; Yu, G.; Wang, J. Iterative reconstruction for photon-counting CT using prior image constrained total generalized variation. Comput. Biol. Med. 2018, 103, 167–182. [Google Scholar] [CrossRef] [PubMed]
- Wang, S.; Wu, W.; Feng, J.; Liu, F.; Yu, H. Low-dose spectral CT reconstruction based on image-gradient L0-norm and adaptive spectral PICCS. Phys. Med. Biol. 2020, 65, 245005. [Google Scholar] [CrossRef]
- Kong, H.; Lei, X.; Lei, L.; Zhang, Y.; Yu, H. Spectral CT Reconstruction Based on PICCS and Dictionary Learning. IEEE Access 2020, 8, 133367–133376. [Google Scholar] [CrossRef]
- Li, X.; Lu, C.; Yi, X.; Jia, J. Image smoothing via L0 gradient minimization. ACM Trans. Graph. 2011, 30, 1–12. [Google Scholar] [CrossRef]
- Biswas, S.; Hazra, R. A new binary level set model using L0 regularizer for image segmentation. Signal Process. 2020, 174, 107603. [Google Scholar] [CrossRef]
- Yuan, G.; Ghanem, B. L0TV: A Sparse Optimization Method for Impulse Noise Image Restoration. IEEE Trans. Pattern Anal. Mach. Intell. 2019, 41, 352–364. [Google Scholar] [CrossRef] [PubMed]
- Wu, W.; Zhang, Y.; Wang, Q.; Liu, F.; Chen, P.; Yu, H. Low-dose spectral CT reconstruction using image gradient ℓ0–norm and tensor dictionary. Appl. Math. Model. 2018, 63, 538–557. [Google Scholar] [CrossRef]
- Li, X.; Sun, X.; Zhang, Y.; Pan, J.; Chen, P. Tensor Dictionary Learning with an Enhanced Sparsity Constraint for Sparse-View Spectral CT Reconstruction. Photonics 2022, 9, 35. [Google Scholar] [CrossRef]
- Liu, Q.; Liang, D.; Song, Y.; Luo, J.; Zhu, Y.; Li, W. Augmented lagrangian-based sparse representation method with dictionary updating for image deblurring. SIAM J. Imaging Sci. 2013, 6, 1689–1718. [Google Scholar] [CrossRef]
- Elbakri, I.A.; Fessler, J.A. Statistical image reconstruction for polyenergetic X-ray computed tomography. IEEE Trans. Med. Imaging 2002, 21, 89–99. [Google Scholar] [CrossRef] [PubMed]
- Yu, W.; Wang, C.; Huang, M. Edge-preserving reconstruction from sparse projections of limited-angle computed tomography using ℓ0-regularized gradient prior. Rev. Sci. Instrum. 2017, 88, 043703. [Google Scholar] [CrossRef] [PubMed]
- Ren, D.; Zhang, H.; Zhang, D.; Zuo, W. Fast total-variation based image restoration based on derivative alternated direction optimization methods. Neurocomputing 2015, 170, 201–212. [Google Scholar] [CrossRef]
- Siddon, R.L. Fast calculation of the exact radiological path for a three-dimensional CT array. Med. Phys. 1985, 12, 252–255. [Google Scholar] [CrossRef]
- Shen, Z.; Gong, C.; Yu, W.; Zeng, L. Guided Image Filtering Reconstruction Based on Total Variation and Prior Image for Limited-Angle CT. IEEE Access 2020, 8, 151878–151887. [Google Scholar] [CrossRef]
- Wang, Z.; Bovik, A.C.; Sheikh, H.R.; Simoncelli, E.P. Image quality assessment: From error visibility to structural similarity. IEEE Trans. Image Process. 2004, 13, 600–612. [Google Scholar] [CrossRef]
















| Views | 48 | 64 | 80 | |||||||
|---|---|---|---|---|---|---|---|---|---|---|
| Algorithm | RMSE | PSNR | SSIM | RMSE | PSNR | SSIM | RMSE | PSNR | SSIM | |
| FBP | 0.0702 | 23.0708 | 0.4545 | 0.0667 | 23.5219 | 0.5329 | 0.0642 | 23.8551 | 0.5920 | |
| OS-SART | 0.0275 | 31.2206 | 0.7862 | 0.0233 | 31.9316 | 0.8141 | 0.0196 | 32.3883 | 0.8859 | |
| TV | 0.0211 | 32.2309 | 0.8333 | 0.0187 | 32.5749 | 0.8917 | 0.0154 | 35.2963 | 0.9185 | |
| PICCS | 0.0181 | 34.3983 | 0.9016 | 0.0164 | 35.2711 | 0.9132 | 0.0126 | 37.0012 | 0.9329 | |
| TVPI-G | 0.0143 | 35.5365 | 0.9259 | 0.0118 | 37.1833 | 0.9406 | 0.0096 | 38.1127 | 0.9560 | |
| NPICCS | 0.0103 | 37.8746 | 0.9486 | 0.0084 | 39.1328 | 0.9601 | 0.0068 | 40.1574 | 0.9705 | |
| Views | 48 | 64 | 80 | |||||||
|---|---|---|---|---|---|---|---|---|---|---|
| Algorithm | RMSE | PSNR | SSIM | RMSE | PSNR | SSIM | RMSE | PSNR | SSIM | |
| FBP | 0.0572 | 24.8531 | 0.3877 | 0.0532 | 25.4793 | 0.4416 | 0.0490 | 26.2008 | 0.4898 | |
| OS-SART | 0.0194 | 32.2530 | 0.8487 | 0.0163 | 33.7509 | 0.8758 | 0.0140 | 35.1534 | 0.8987 | |
| TV | 0.0149 | 35.0197 | 0.8911 | 0.0113 | 36.6015 | 0.9075 | 0.0108 | 37.8124 | 0.9103 | |
| PICCS | 0.0102 | 38.0374 | 0.9158 | 0.0098 | 39.0875 | 0.9237 | 0.0082 | 40.2468 | 0.9304 | |
| TVPI-G | 0.0091 | 39.4513 | 0.9276 | 0.0080 | 40.3687 | 0.9335 | 0.0068 | 41.8053 | 0.9489 | |
| NPICCS | 0.0078 | 40.5177 | 0.9383 | 0.0065 | 41.9674 | 0.9508 | 0.0050 | 43.0232 | 0.9612 | |
Disclaimer/Publisher’s Note: The statements, opinions and data contained in all publications are solely those of the individual author(s) and contributor(s) and not of MDPI and/or the editor(s). MDPI and/or the editor(s) disclaim responsibility for any injury to people or property resulting from any ideas, methods, instructions or products referred to in the content. |
© 2023 by the authors. Licensee MDPI, Basel, Switzerland. This article is an open access article distributed under the terms and conditions of the Creative Commons Attribution (CC BY) license (https://creativecommons.org/licenses/by/4.0/).
Share and Cite
Li, X.; Sun, X.; Li, F. Sparse-View Computed Tomography Reconstruction Based on a Novel Improved Prior Image Constrained Compressed Sensing Algorithm. Appl. Sci. 2023, 13, 10320. https://doi.org/10.3390/app131810320
Li X, Sun X, Li F. Sparse-View Computed Tomography Reconstruction Based on a Novel Improved Prior Image Constrained Compressed Sensing Algorithm. Applied Sciences. 2023; 13(18):10320. https://doi.org/10.3390/app131810320
Chicago/Turabian StyleLi, Xuru, Xueqin Sun, and Fuzhong Li. 2023. "Sparse-View Computed Tomography Reconstruction Based on a Novel Improved Prior Image Constrained Compressed Sensing Algorithm" Applied Sciences 13, no. 18: 10320. https://doi.org/10.3390/app131810320
APA StyleLi, X., Sun, X., & Li, F. (2023). Sparse-View Computed Tomography Reconstruction Based on a Novel Improved Prior Image Constrained Compressed Sensing Algorithm. Applied Sciences, 13(18), 10320. https://doi.org/10.3390/app131810320

