New Operative Protocol for Immediate Post-Extraction Implant in Lower-First-Molar Region with Rex-Blade Implants: A Case Series with 18 Months of Follow-Up
Abstract
:1. Introduction
2. Materials and Methods
2.1. Study Population
- Age > 18 years old;
- General good health (ASA I–II);
- Adequate oral hygiene (full mouth plaque score ≤ 20%, full mouth bleeding score ≤ 20%);
- Presence of one hopeless tooth requiring extraction.
- Pregnant or within lactating period;
- Untreated periodontitis;
- Osteometabolic disease;
- Intravenous bisphosphonates therapy;
- History of chemotherapy or radiation therapy applied to the neck–head area;
- Frequent smoking (>15 cigarettes/per day);
- Absence of buccal bone plate.
2.2. Surgical Technique
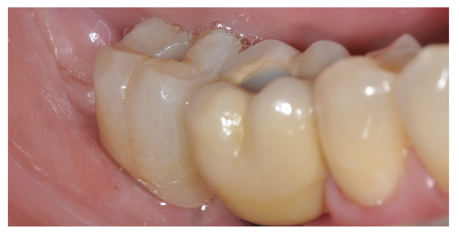
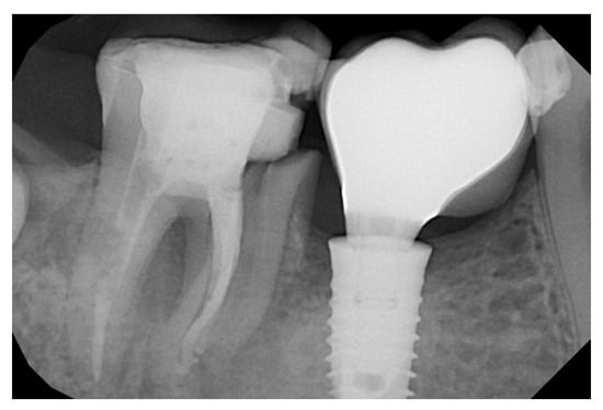
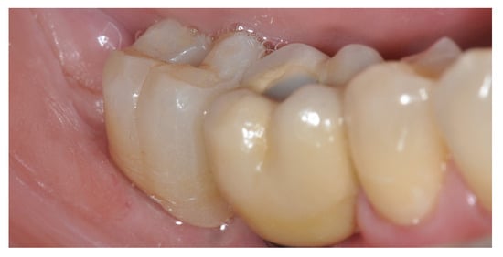
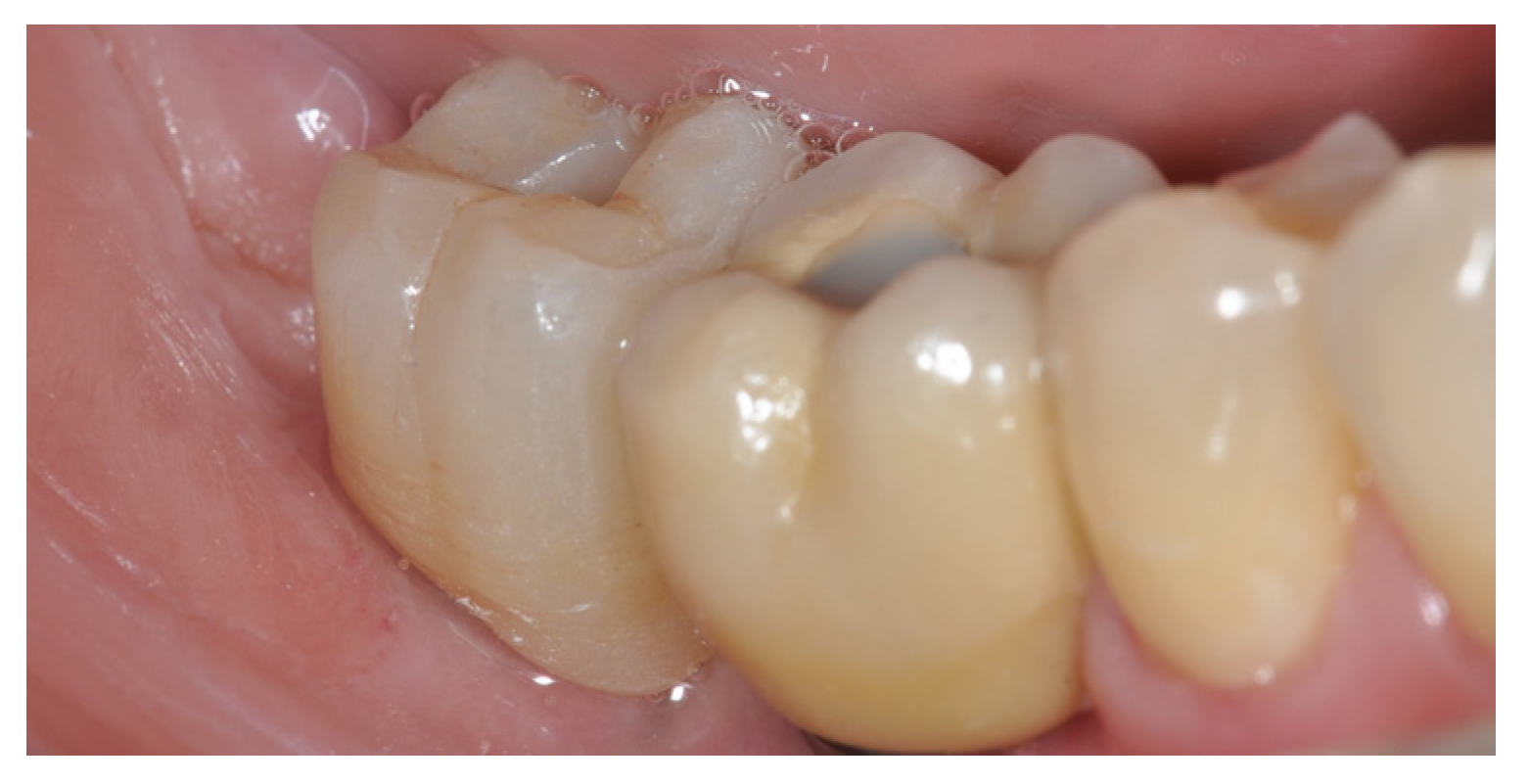
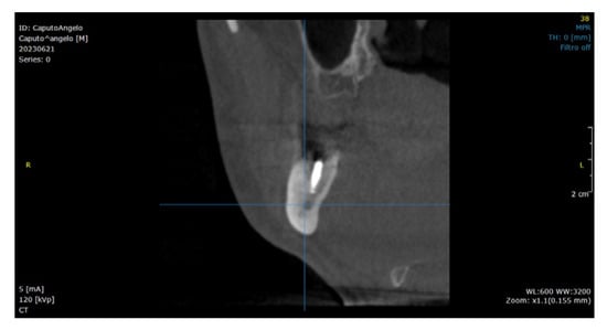
3. Results
4. Discussion
Author Contributions
Funding
Institutional Review Board Statement
Informed Consent Statement
Conflicts of Interest
References
- Quaranta, A.; Perrotti, V.; Putignano, A.; Malchiodi, L.; Vozza, I.; CalvoGuirado, J.L. Anatomical Remodeling of Buccal Bone Plate in 35 Premaxillary Post-Extraction Immediately Restored Single TPS Implants: 10-Year Radiographic Investigation. Implant. Dent. 2016, 25, 186–192. [Google Scholar] [CrossRef] [PubMed]
- Roberto, C.; Paolo, T.; Giovanni, C.; Ugo, C.; Bruno, B.; Giovanni-Battista, M.F. Bone remodeling around implants placed after socket preservation: A 10-year retrospective radiological study. Int. J. Implant. Dent. 2021, 7, 74. [Google Scholar] [CrossRef]
- Menchini-Fabris, G.B.; Cosola, S.; Toti, P.; Hwan Hwang, M.; Crespi, R.; Covani, U. Immediate Implant and Customized Healing Abutment for a Periodontally Compromised Socket: 1-Year Follow-Up Retrospective Evaluation. J. Clin. Med. 2023, 12, 2783. [Google Scholar] [CrossRef]
- Muñoz-Cámara, D.; Gilbel-Del Águila, O.; Pardo-Zamora, G.; Camacho-Alonso, F. Immediate post-extraction implants placed in acute periapical infected sites with immediate prosthetic provisionalization: A 1-year prospective cohort study. Med. Oral Patol. Oral Cir. Bucal 2020, 25, e720–e727. [Google Scholar] [CrossRef] [PubMed]
- Wakankar, J.; Mangalekar, S.B.; Kamble, P.; Gorwade, N.; Vijapure, S.; Vhanmane, P. Comparative Evaluation of the Crestal Bone Level Around Pre- and Post-loaded Immediate Endoosseous Implants Using Cone-Beam Computed Tomography: A Clinico-Radiographic Study. Cureus 2023, 15, e34674. [Google Scholar] [CrossRef]
- Carosi, P.; Lorenzi, C.; Di Gianfilippo, R.; Papi, P.; Laureti, A.; Wang, H.L.; Arcuri, C. Immediate vs. Delayed Placement of Immediately Provisionalized Self-Tapping Implants: A Non-Randomized Controlled Clinical Trial with 1 Year of Follow-Up. J. Clin. Med. 2023, 12, 489. [Google Scholar] [CrossRef]
- Juodzbalys, G.; Daugela, P.; Duruel, O.; Fernandes, M.H.; de Sousa Gomes, P.; Goyushov, S.; Mariano, L.; Poskevicius, L.; Stumbras, A.; Tözüm, T.F. The 2nd Baltic Osseointegration Academy and Lithuanian University of Health Sciences Consensus Conference 2019. Summary and Consensus Statements: Group I—Biological Aspects of Tooth Extraction, Socket Healing and Indications for Socket Preservation. J. Oral Maxillofac. Res. 2019, 10, e4. [Google Scholar] [CrossRef]
- Gjelvold, B.; Kisch, J.; Chrcanovic, B.R.; Albrektsson, T.; Wennerberg, A. Clinical and radiographic outcome following immediate loading and delayed loading of single-tooth implants: Randomized clinical trial. Clin. Implant. Dent. Relat. Res. 2017, 19, 549–558. [Google Scholar] [CrossRef]
- Javaid, M.A.; Khurshid, Z.; Zafar, M.S.; Najeeb, S. Immediate Implants: Clinical Guidelines for Esthetic Outcomes. Dent. J. 2016, 4, 21. [Google Scholar] [CrossRef]
- Crespi, R.; Fabris, G.B.M.; Crespi, G.; Toti, P.; Marconcini, S.; Covani, U. Effects of different loading protocols on the bone remodeling volume of immediate maxillary single implants: A 2- to 3-year follow-up. Int. J. Oral Maxillofac. Implant. 2019, 34, 953–962. [Google Scholar] [CrossRef]
- Ionescu, A.; Dodi, A.; Petcu, L.C.; Nicolescu, M.I. Open Healing: A Minimally Invasive Protocol with Flapless Ridge Preservation in Implant Patients. Biology 2022, 11, 142. [Google Scholar] [CrossRef]
- Testori, T.; Weinstein, T.; Scutellà, F.; Wang, H.L.; Zucchelli, G. Implant placement in the esthetic area: Criteria for positioning single and multiple implants. Periodontol. 2000 2018, 77, 176–196. [Google Scholar] [CrossRef] [PubMed]
- Berberi, A.N.; Tehini, G.E.; Noujeim, Z.F.; Khairallah, A.A.; Abousehlib, M.N.; Salameh, Z.A. Influence of surgical and prosthetic techniques on marginal bone loss around titanium implants. Part I: Immediate loading in fresh extraction sockets. J. Prosthodont. 2014, 23, 521–527. [Google Scholar] [CrossRef]
- Menchini-Fabris, G.B.; Toti, P.; Crespi, G.; Covani, U.; Furlotti, L.; Crespi, R. Effect of Different Timings of Implant Insertion on the Bone Remodeling Volume around Patients’ Maxillary Single Implants: A 2–3 Years Follow-Up. Int. J. Environ. Res. Public Health 2020, 17, 6790. [Google Scholar] [CrossRef]
- Araújo, M.G.; Lindhe, J. Ridge preservation with the use of Bio-Oss collagen: A 6-month study in the dog. Clin. Oral Implant. Res. 2009, 20, 433–440. [Google Scholar] [CrossRef]
- Araújo, M.; Linder, E.; Wennström, J.; Lindhe, J. The influence of Bio-Oss Collagen on healing of an extraction socket: An experimental study in the dog. Int. J. Periodontics Restor. Dent. 2008, 28, 123–135. [Google Scholar]
- Santarelli, A.; Mascitti, M.; Orsini, G.; Memè, L.; Rocchetti, R.; Tiriduzzi, P.; Sampalmieri, F.; Putignano, A.; Procaccini, M.; Lo Muzio, L.; et al. Osteopontin, osteocalcin and OB-cadherin expression in synthetic nanohydroxyapatite vs bovine hydroxyapatite cultured osteoblastic-like cells. J. Biol. Regul. Homeost. Agents 2014, 28, 523–529. [Google Scholar] [PubMed]
- Bernardi, S.; Mummolo, S.; Varvara, G.; Marchetti, E.; Continenza, M.A.; Marzo, G.; Macchiarelli, G. Bio-morphological evaluation of periodontal ligament fibroblasts on mineralized dentin graft: An in vitro study. J. Biol. Regul. Homeost. Agents 2019, 33, 275–280. [Google Scholar]
- Baskaran, P.; Prakash, P.S.G.; Appukuttan, D.; Mugri, M.H.; Sayed, M.; Subramanian, S.; Al Wadei, M.H.D.; Ahmed, Z.H.; Dewan, H.; Porwal, A.; et al. Clinical and Radiological Outcomes for Guided Implant Placement in Sites Preserved with Bioactive Glass Bone Graft after Tooth Extraction: A Controlled Clinical Trial. Biomimetics 2022, 7, 43. [Google Scholar] [CrossRef]
- Mummolo, S.; Mancini, L.; Quinzi, V.; D’Aquino, R.; Marzo, G.; Marchetti, E. Ri genera® autologous micrografts in oral regeneration: Clinical, histological, and radiographical evaluations. Appl. Sci. 2020, 10, 5084. [Google Scholar] [CrossRef]
- Memè, L.; Santarelli, A.; Marzo, G.; Emanuelli, M.; Nocini, P.F.; Bertossi, D.; Putignano, A.; Dioguardi, M.; Lo Muzio, L.; Bambini, F. Novel hydroxyapatite biomaterial covalently linked to raloxifene. Int. J. Immunopathol. Pharmacol. 2014, 27, 437–444. [Google Scholar] [CrossRef] [PubMed]
- Sultan, N.; Jayash, S.N. Evaluation of osteogenic potential of demineralized dentin matrix hydrogel for bone formation. BMC Oral Health 2023, 23, 247. [Google Scholar] [CrossRef]
- Zhao, R.; Yang, R.; Cooper, P.R.; Khurshid, Z.; Shavandi, A.; Ratnayake, J. Bone Grafts and Substitutes in Dentistry: A Review of Current Trends and Developments. Molecules 2021, 26, 3007. [Google Scholar] [CrossRef] [PubMed]
- Nguyen, V.; Von Krockow, N.; Pouchet, J.; Weigl, P.M. Periosteal Inhibition Technique for Alveolar Ridge Preservation as It Applies to Implant Therapy. Int. J. Periodontics Restor. Dent. 2019, 39, 737–744. [Google Scholar] [CrossRef]
- Marconcini, S.; Denaro, M.; Cosola, S.; Gabriele, M.; Toti, P.; Mijiritsky, E.; Proietti, A.; Basolo, F.; Giammarinaro, E.; Covani, U. Myofibroblast gene expression profile after tooth extraction in the rabbit. Materials 2019, 9, 3697. [Google Scholar] [CrossRef] [PubMed]
- Tomaseck, J.J.; Gabbiani, G.; Hinz, B.; Chaponnier, C.; Brown, R.A. Myofibroblast and mechanoregulation of connective tissue remodeling. Nat. Rev. Mol. Cell Biol. 2022, 3, 349–363. [Google Scholar] [CrossRef]
- Grassi, A.; Bernardello, F.; Cavani, F.; Palumbo, C.; Spinato, S. Lindhe Three-Punch Alveolar Ridge Reconstruction Technique: A Novel Flapless Approach in Eight Consecutive Cases. Int. J. Periodontics Restor. Dent. 2021, 41, 875–884. [Google Scholar] [CrossRef] [PubMed]
- Wongpairojpanich, J.; Kijartorn, P.; Suwanprateeb, J.; Buranawat, B. Effectiveness of bilayer porous polyethylene membrane for alveolar ridge preservation: A randomized controlled trial. Clin. Implant. Dent. Relat. Res. 2021, 23, 73–85. [Google Scholar] [CrossRef]
- Lutz, R.; Sendlbeck, C.; Wahabzada, H.; Tudor, C.; Prechtl, C.; Schlegel, K.A. Periosteal Elevation induces supracortical peri-implant bone formation. J. Craniomaxillofac. Surg. 2017, 45, 1170–1178. [Google Scholar] [CrossRef] [PubMed]
- Grassi, A.; Memè, L.; Strappa, E.M.; Martini, E.; Bambini, F. Modified Periosteal Inhibition (MPI) Technique for Extraction Sockets: A Case Series Report. Appl. Sci. 2022, 12, 12292. [Google Scholar] [CrossRef]
- Rossi, R.; Modoni, M.; Monterubbianesi, R.; Dallari, G.; Memè, L. The ‘Guided Tissue Regeneration (GTR) Effect’ of Guided Bone Regeneration (GBR) with the Use of Bone Lamina: A Report of Three Cases with More than 36 Months of Follow-Up. Appl. Sci. 2022, 12, 11247. [Google Scholar] [CrossRef]
- Schuh, P.L.; Wachtel, H.; Beuer, F.; Goker, F.; Del Fabbro, M.; Francetti, L.; Testori, T. Multi-Layer Technique (MLT) with Porcine Collagenated Cortical Bone Lamina for Bone Regeneration Procedures and Immediate Post-Extraction Implantation in the Esthetic Area: A Retrospective Case Series with a Mean Follow-Up of 5 Years. Materials 2021, 14, 5180. [Google Scholar] [CrossRef] [PubMed]
- Elad, A.; Rider, P.; Rogge, S.; Witte, F.; Tadić, D.; Kačarević, Ž.P.; Steigmann, L. Application of Biodegradable Magnesium Membrane Shield Technique for Immediate Dentoalveolar Bone Regeneration. Biomedicines 2023, 11, 744. [Google Scholar] [CrossRef] [PubMed]
- Rossi, R.; Memè, L.; Strappa, E.M.; Bambini, F. Restoration of Severe Bone and Soft Tissue Atrophy by Means of a Xenogenic Bone Sheet (Flex Cortical Sheet): A Case Report. Appl. Sci. 2023, 13, 692. [Google Scholar] [CrossRef]
- Degidi, M.; Daprile, G.; Nardi, D.; Piattelli, A. Immediate provisionalization of implants placed in fresh extraction sockets using a definitive abutment: The chamber concept. Int. J. Periodontics Restor. Dent. 2013, 33, 559–565. [Google Scholar] [CrossRef]
- Bambini, F.; Orilisi, G.; Quaranta, A.; Memè, L. Biological oriented immediate loading: A new mathematical implant vertical insertion protocol, five-year follow-up study. Materials 2021, 14, 387. [Google Scholar] [CrossRef]
- Berglundh, T. Dimension of the periimplant mucosa Biological width revisited. J. Clin. Periodontol. 1996, 23, 971–973. [Google Scholar] [CrossRef]
- Mullings, O.; Tovar, N.; Abreu de Bortoli, J.P.; Parra, M.; Torroni, A.; Coelho, P.G.; Witek, L. Osseodensification Versus Subtractive Drilling Techniques in Bone Healing and Implant Osseointegration: Ex Vivo Histomorphologic/Histomorphometric Analysis in a Low-Density Bone Ovine Model. Int. J. Oral Maxillofac. Implant. 2021, 36, 903–909. [Google Scholar] [CrossRef] [PubMed]
- Seo, D.-J.; Moon, S.-Y.; You, J.-S.; Lee, W.-P.; Oh, J.-S. The Effect of Under-Drilling and Osseodensification Drilling on Low-Density Bone: A Comparative Ex Vivo Study. Appl. Sci. 2022, 12, 1163. [Google Scholar] [CrossRef]
- Abrahamsson, I. The mucosal barrier following abutment dis/reconnection: An experimental study in dogs. J. Clin. Periodontol. 1997, 24, 568–572. [Google Scholar] [CrossRef]
- Kawahara, H.; Kawahara, D.; Mimura, Y.; Takashima, Y.; Ong, J.L. Morphologic Studies on the Biologic Seal of Titanium Dental Implants. Report II. In Vivo Study on the Defending Mechanism of Epithelial Adhesion/Attachment Against Invasive Factors. Int. J. Oral Maxillofac. Implant. 1998, 13, 465–473. [Google Scholar]
- Abrahamsson, I.; Berglundh, T.; Glantz, P.-O.; Lindhe, J. The mucosal attachment at different abutments: An experimental study in dogs. J. Clin. Periodontol. 1998, 25, 721–727. [Google Scholar] [CrossRef] [PubMed]
- Linkow, L.I. The blade vent—A new dimension in endosseous implantology. Dent. Concepts 1968, 11, 3–12. [Google Scholar]
- Participants of CSP No., 86; Kapur, K.K. Veterans administration cooperative dental impant study—Comparisons between fixed partial dentures supported by blade-vent implants and removable partial dentures. Part II: Comparison of success rates and periodontal health between two treatment modalities. J. Prosthet. Dent. 1989, 62, 685–702. [Google Scholar] [CrossRef]
- Vercellotti, T.; Troiano, G.; Oreglia, F.; Lombardi, T.; Gregorig, G.; Morella, E.; Rapani, A.; Stacchi, C. Wedge-shaped implants for minimally invasive treatment of narrow ridges: A multicenter prospective cohort study. J. Clin. Med. 2020, 9, 3301. [Google Scholar] [CrossRef]
- Shetty, S.R.; Arya, S.; Kamath, V.; Al-Bayatti, S.; Marei, H.; Abdelmagyd, H.; El-Kishawi, M.; Al Shehadat, S.; Al Kawas, S.; Shetty, R. Application of a Cone-Beam Computed Tomography-Based Index for Evaluating Surgical Sites Prior to Sinus Lift Procedures—A Pilot Study. BioMed Res. Int. 2021, 2021, 9601968. [Google Scholar] [CrossRef]
- Shetty, S.R.; Murray, C.A.; Al Kawas, S.; Jaser, S.; Al-Rawi, N.; Talaat, W.; Narasimhan, S.; Shetty, S.; Adtani, P.; Hegde, S. Impact of fully guided implant planning software training on the knowledge acquisition and satisfaction of dental undergraduate students. Med. Educ. Online 2023, 28, 2239453. [Google Scholar] [CrossRef]
- Shetty, S.R.; Murray, C.; Kawas, S.A.; Jaser, S.; Talaat, W.; Madi, M.; Kamath, V.; Manila, N.; Shetty, R.; Ajila, V. Acceptability of fully guided virtual implant planning software among dental undergraduate students. BMC Oral Health 2023, 23, 336. [Google Scholar] [CrossRef]













Disclaimer/Publisher’s Note: The statements, opinions and data contained in all publications are solely those of the individual author(s) and contributor(s) and not of MDPI and/or the editor(s). MDPI and/or the editor(s) disclaim responsibility for any injury to people or property resulting from any ideas, methods, instructions or products referred to in the content. |
© 2023 by the authors. Licensee MDPI, Basel, Switzerland. This article is an open access article distributed under the terms and conditions of the Creative Commons Attribution (CC BY) license (https://creativecommons.org/licenses/by/4.0/).
Share and Cite
Bambini, F.; Memè, L.; Rossi, R.; Grassi, A.; Grego, S.; Mummolo, S. New Operative Protocol for Immediate Post-Extraction Implant in Lower-First-Molar Region with Rex-Blade Implants: A Case Series with 18 Months of Follow-Up. Appl. Sci. 2023, 13, 10226. https://doi.org/10.3390/app131810226
Bambini F, Memè L, Rossi R, Grassi A, Grego S, Mummolo S. New Operative Protocol for Immediate Post-Extraction Implant in Lower-First-Molar Region with Rex-Blade Implants: A Case Series with 18 Months of Follow-Up. Applied Sciences. 2023; 13(18):10226. https://doi.org/10.3390/app131810226
Chicago/Turabian StyleBambini, Fabrizio, Lucia Memè, Roberto Rossi, Andrea Grassi, Serena Grego, and Stefano Mummolo. 2023. "New Operative Protocol for Immediate Post-Extraction Implant in Lower-First-Molar Region with Rex-Blade Implants: A Case Series with 18 Months of Follow-Up" Applied Sciences 13, no. 18: 10226. https://doi.org/10.3390/app131810226
APA StyleBambini, F., Memè, L., Rossi, R., Grassi, A., Grego, S., & Mummolo, S. (2023). New Operative Protocol for Immediate Post-Extraction Implant in Lower-First-Molar Region with Rex-Blade Implants: A Case Series with 18 Months of Follow-Up. Applied Sciences, 13(18), 10226. https://doi.org/10.3390/app131810226

