Abstract
Alzheimer’s is a neurodegenerative disorder affecting the central nervous system and cognitive processes, explicitly impairing detailed mental analysis. Throughout this condition, the affected individual’s cognitive abilities to process and analyze information gradually deteriorate, resulting in mental decline. In recent years, there has been a notable increase in endeavors aimed at identifying Alzheimer’s disease and addressing its progression. Research studies have demonstrated the significant involvement of genetic factors, stress, and nutrition in developing this condition. The utilization of computer-aided analysis models based on machine learning and artificial intelligence has the potential to significantly enhance the exploration of various neuroimaging methods and non-image biomarkers. This study conducts a comparative assessment of more than 80 publications that have been published since 2017. Alzheimer’s disease detection is facilitated by utilizing fundamental machine learning architectures such as support vector machines, decision trees, and ensemble models. Furthermore, around 50 papers that utilized a specific architectural or design approach concerning Alzheimer’s disease were examined. The body of literature under consideration has been categorized and elucidated through the utilization of data-related, methodology-related, and medical-fostering components to illustrate the underlying challenges. The conclusion section of our study encompasses a discussion of prospective avenues for further investigation and furnishes recommendations for future research activities on the diagnosis of Alzheimer’s disease.
1. Introduction
Alzheimer’s disease is a prevalent contributor to cognitive decline in the elderly population. Mild cognitive impairment (MCI) exhibits an annual progression rate to Alzheimer’s disease (AD) ranging from 10% to 15% [1]. Mild cognitive impairment (MCI) can be understood as a transitional phase between the cognitive decline associated with dementia and the cognitive abilities typically observed in individuals with normal cognitive functioning. While individuals in good health who have a well-balanced lifestyle and are of the same age usually undergo a mental decline of approximately 1–2% per year, it is essential to note that there is currently no definitive medical diagnosis or treatment available for this condition. However, specific approaches can be employed to impede the progression of this condition [2]. The disease’s timely and accurate medical diagnosis inhibits its progression [3].
A group of individuals diagnosed with Alzheimer’s disease (AD) and a control group of elderly individuals without the disease were subjected to maze learning using a finger maze task of 10 trials [4]. Following this task, 45 min were allotted to administer verbal learning measures. The participants subsequently executed an extra set of ten attempts on the initial labyrinth, followed by ten shots on a novel maze. The individuals with Alzheimer’s disease and a subgroup in the control group exhibited a reduction in the average time taken to complete tasks during the initial two blocks, indicating the acquisition of skills. The results show a significant decrease in the meantime on Block 3 compared to the meantime on Block 1, which may suggest the occurrence of skill generalization. A subset of the controls exhibited a distinct deviation from the abovementioned pattern. The results of the current research suggest that individuals diagnosed with Alzheimer’s disease have the capacity to acquire and employ perceptual motor skills under the guidance of cognitive processes [5]. Numerous methods have been developed thus far to assess the function of the maze. Functional magnetic resonance imaging (fMRI) is the most common method for diagnosing maze defects and their adaptations. Other than the fMRI technique, the remaining methods such as positron emission tomography (PET), electroencephalography (EEG), magnetoencephalography (MEG), near-infrared spectroscopy (NIRS), and transcranial magnetic stimulation (TMS) [6] are identical. Electroencephalography (EEG), magnetoencephalography (MEG), and positron emission tomography (PET) are also utilized to pinpoint the location of neural activity and various brain tumors. The EEG and MEG signals indicate the maze’s activity unambiguously. However, the resulting image is a mediator in the fMRI [7] and PET techniques. It is a non-invasive imaging technique with a high spatial resolution that has demonstrated sensitivity to mesenteric lesions in the early phases of the disease. Resting state fMRI (rs-fMRI) is an effective method for comprehending the physiological effects of disease. The fMRI method only examines the function of the maze without contemplating its structure [8].
Alzheimer’s is a hazardous, progressive disease affecting the brain and nervous system. Early diagnosis of Alzheimer’s allows for more effective treatments and a powerful and effective treatment strategy [9]. Magnetic resonance imaging (MRI) as a diagnostic tool for identifying plaque and affected regions holds significant value in detecting Alzheimer’s disease [10]. One of the research’s primary concerns is identifying Alzheimer’s disease-affected areas using magnetic resonance imaging accurately [11]. The issue can be viewed from two different perspectives. The nature of the classification is the first aspect of the problem, and it must be determined which images have Alzheimer’s disease symptoms and which do not. Another aspect of the problem is the character of the zoning, which necessitates the identification of Alzheimer’s-affected areas [12]. To identify plaques in the brains of Alzheimer’s patients using magnetic resonance imaging, segmentation and classification techniques are required in the images. Zoning techniques aim to separate distinct types of brain tissue and isolate damaged areas from healthy ones [13].
Utilizing image zoning techniques is another method for diagnosing Alzheimer’s disease. Methods for image partitioning consist of thresholding, clustering, machine learning, and deep learning. Only statistical methods attempt to zone images and diagnose the disease, as thresholding methods, such as Otsu, are incapable of learning [14]. Therefore, these methods are ineffective, but when combined with others, they can be helpful. Methods for clustering, such as k-means and fuzzy clustering, are effective at detecting and designating, but they are incapable of learning and thus cannot be taught. Determining the appropriate number of clusters poses a considerable challenge within these methodologies [15]. These methods are susceptible to substantial error if the number of clusters is not accurately determined. The second challenge posed by clustering techniques is that if their cluster centers are not precisely determined, they lack precision in the clustering area. In some studies, meta-heuristic and group intelligence algorithms address this problem and select cluster centers optimally. Using group intelligence improves clustering methods; it increases execution time and cannot always detect disease spots because of uncertainty [16]. Unlike deep learning methods, machine learning methods have many limitations and lack an automatic mechanism for selecting features [17].
In contrast to other approaches, deep learning has been successful in the majority of studies for medical image zoning. In other words, deep learning has been used in most studies for medical image zoning because these methods have a high level of accuracy when analyzing data. However, the challenge with these methods is that they can only perform zoning based on long-term learning. Using group intelligence methods to make learning these methods more intelligent is an appropriate strategy for mitigating this challenge [18].
2. Alzheimer’s Disease
Alzheimer’s disease, the most prevalent form of dementia, is a neurological disorder that impairs reading, writing, reasoning, and memory. According to a 2018 report [19], a new incidence of Alzheimer’s is reported every three seconds. This number is projected to increase to 152 million by the year 2050. In 2018, it was anticipated that Alzheimer’s disease treatment would cost USD 1 trillion [19]. According to [20], the number of dementia patients in low- and middle-income countries is expanding noticeably faster than in high-income countries. The diagnosis and treatment of Alzheimer’s disease lacks a universally applicable or definitive approach [21]. However, a timely diagnosis can substantially mitigate the effects of the disease and preserve the patient’s quality of life. Alzheimer’s disease is typically diagnosed through physical, neurological, and mental status examinations and a comprehensive evaluation of the patient’s medical history. Blood, urine, and genetic tests are administered for evaluation. Other symptoms, including vitamin and nutritional levels, infections, and liver, kidney, and thyroid function, are evaluated by blood or urine testing [22]. Typically, genetic tests are used to determine a family history of dementia. As technology advances, so do medical techniques. Brain scans are one of the methods used to diagnose Alzheimer’s disease. Brain scans that monitor the expansion and contraction of various brain regions are used to diagnose dementia [23]. The expansion or contraction of these regions depends on the Alzheimer’s disease stage and its progression [24].
In these techniques, information is gathered by observing brain regions associated with the hippocampus, cerebral cortex, speaking, remembering, judging, and thinking. The occurrence of Alzheimer’s disease is influenced by several factors, as shown in Figure 1.
Figure 1.
Factors influencing the occurrence of Alzheimer’s disease [Reprinted/adapted with permission from Ref. [12].
Multiple factors contribute to the development of Alzheimer’s disease, including lifestyle, cardiovascular disease, head or brain surgery, age, gender, genetic factors, infection, environmental factors, and latent diseases, such as diabetes. Spherical protein aggregates and stringy protein structures are both produced in the neuronal cell bodies of some Alzheimer’s disease-affected brain regions [24]. The spherical protein structures that Alzheimer’s disease produces are known as amyloid plaques. In Alzheimer’s disease, damaged brain tissue and deformed neuronal components are observed [25]. Figure 2 depicts the altered structure of brain tissue resulting from Alzheimer’s disease, as seen from the diminished gray matter in the brain and areas of plaque that appear in nerve neurons. Alzheimer’s disease can be diagnosed using deep learning and machine learning techniques. Most machine learning and deep learning techniques have been used to classify photographs or the regions within them, and several of these studies are reviewed collectively in this survey.
Figure 2.
Areas affected by Alzheimer’s disease in brain MRI images [Reprinted/adapted with permission from Ref. [25].
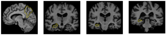
The figure denoted as Figure 3 portrays the architecture of the brain and neurons in an individual in a state of good health.
Figure 3.
Brain and nerve cell architecture in a healthy individual [Reprinted/adapted with permission from Ref. [24].
Magnetic resonance imaging of the brain, which utilizes a magnetic field to image brain tissue, is one of the essential techniques for brain tissue analysis. This method investigates the effect of the brain’s magnetic field and the external magnetic field, and brain tissue images can be created based on the intensity of protons in the tissues [26].
According to studies, there are other methods for examining brain tissue, such as computed and positron emission tomography. However, magnetic resonance imaging does not harm brain tissue and is therefore rated higher. It utilizes imaging technology to examine brain tissues. Brain diseases such as brain tumors [27], multiple sclerosis [28], and Alzheimer’s [29] can be diagnosed and treated using magnetic resonance imaging.
Using methods such as image processing, machine learning, and deep learning, magnetic resonance imaging of the brain may be utilized to diagnose diseases such as Alzheimer’s and Alzheimer’s plaques. To identify plaques in Alzheimer’s patients’ brains using magnetic resonance imaging, segmentation techniques are required in the images. Zoning techniques aim to separate distinct types of brain tissue and isolate damaged areas from healthy ones. As depicted in Figure 4, processing magnetic resonance imaging of the brain to diagnose Alzheimer’s disease involves multiple steps [30].
Figure 4.
The stages involved in processing magnetic resonance images of the brain, Reprinted/adapted with permission from Ref. [30].
The figure above shows that using magnetic resonance images of the brain as input and preprocessing methods like normalization are the first two steps. The extraction of the image’s crucial characteristics comes after the standard process of image zoning during the third phase. To date, several techniques have been suggested for the diagnosis of Alzheimer’s disease through the utilization of image processing and data analysis methodologies [30]. Most investigations have employed deep learning approaches due to their superior precision in data analysis.
Alzheimer’s disease is hazardous, resulting in numerous fatalities [31]. The individual in question is characterized by a distinct personality that exhibits traits associated with Alzheimer’s disease. The onset of symptoms occurs gradually. The progression of Alzheimer’s disease is typically observed to exacerbate within a relatively brief timeframe following the onset of dementia. During the initial phases, individuals may encounter memory impairment, whereas those in the advanced stages may gradually lose their ambulation capacity. The constitution of an individual’s personality is believed to be influenced by temporal factors of the human body, as suggested by various scholarly sources [32,33,34,35,36,37]. Alzheimer’s disease is a debilitating condition associated with a high mortality rate. Individuals with Alzheimer’s disease typically aspire to live for approximately eight years after the onset of livable symptoms relative to their other health conditions. However, this duration may vary between 4 and 20 years, contingent upon their age and specific medical circumstances. This factor poses a risk for claims that are not related to religion. The global elderly demographic is experiencing a significant surge in growth. According to estimates by the Turkish Statistical Institute, the proportion of individuals aged 65 and above participating in adult education is expected to exceed 10% by 2023. According to the World Health Organization (WHO), the global prevalence of individuals diagnosed with “dementia” is estimated to be 55 million, with projections indicating an increase to 139 million by the year 2050. Turkey has a population of approximately 700,000 to 1,000,000 individuals receiving medical treatment. By 2050, Turkey is projected to have the fourth-highest prevalence of Alzheimer’s disease globally. According to projections, the proportion of individuals aged 65 and above in Turkey is expected to exceed 20% by 2050. One instance suggests that there will be a minimum of two increments in the utilization of patients for transportation. Alzheimer’s disease is a significant global health concern, as evidenced by numerous studies conducted over the past three to four decades [38,39,40,41].
Cell degeneration in the brain, concomitant with other organs during aging, is visually represented through cerebral atrophy in imaging. It is worth noting that the term “atrophy” is typically used in a pathological context to denote a reduction in cell volume. However, this article employs the term with this connotation in mind. It is essential to acknowledge that not all dementia patients exhibit cerebral atrophy; approximately 66% of Alzheimer’s patients display this condition on CT scans. It appears that computed tomography (CT) scans may exhibit normative results, particularly during the initial phases of the ailment. From a cognitive standpoint, the involvement of various regions becomes increasingly apparent, such as the temporal neocortex, parietal lobe, and ultimately the entirety of the cerebral cortex (resulting in brain atrophy), as well as the hippocampus in particular (as the disease advances from a state of regularity to one of cognitive impairment and dementia) [42,43,44,45].
The diagnosis of dementia can be supported by CT scan results that reveal the enlargement of the ventricular system, widespread brain atrophy, and the widening of the cerebral sulcus, as reported in sources [46,47,48,49,50]. A study was conducted to investigate the progression of Alzheimer’s disease and multiple infarction dementia compared to a control group. The findings revealed that in Alzheimer’s disease, there is an increase in ventricular dilatation as intelligence disorders develop. However, cortical atrophy did not correspond with the results of psychiatric evaluations. The brain can be characterized by quantifying the frontal distance of its bilateral hemispheres, assessing the diameter of two nuclei located in orbit (coitus), and evaluating the diameter of the third ventricle and the lateral ventricles [51]. An angled axial computed tomography scan is utilized to evaluate the state of the temporal lobe, particularly its internal region. An axial CT scan has the potential to identify a decrease in the dimensions of the medial aspect of the temporal lobe. This particular approach exhibits a high degree of sensitivity and specificity in detecting the presence of Alzheimer’s disease. The threshold of significance is set at a minimum of 11 mm, denoting the discernible distinction between individuals diagnosed with Alzheimer’s disease and those who are deemed healthy. Individuals without any organic cognitive impairment, such as those experiencing depression, may provide some assistance but may not possess the ability to distinguish [52,53,54,55].
Another helpful radiographic indication for early Alzheimer’s diagnosis is hippocampal pericardial dilatation, which has a 91% retraction accuracy. Alzheimer’s patients’ peripheral fissures are dilated because all of the factors mentioned above are impacted in the early stages of the disease. Despite their lack of specificity, they are susceptible to illness diagnosis. To teach the synthetic neural network to carry out the designated categorical tasks, it may be appropriate to utilize a set of rules derived from the returned propagation learning process, as referenced in references [56,57,58,59,60].
Memory is a cognitive process manifested in an individual’s capacity to encode, store, and retrieve information. It is a software-like system that operates within a structural framework and is observable through its effects on the mind. According to neuroimaging analysis, Alzheimer’s disease is characterized by structural impairment of the brain, which results in compromised cognitive function, particularly in the patient’s ability to encode and retrieve information. This investigation aimed to augment cerebral rhythms using neurofeedback to improve the memory of individuals in good health and conduct a case study on their effects in patients with Alzheimer’s disease. To augment memory through the amplification of brain rhythms, it is necessary to identify the brain rhythms associated with memory initially. Klimesch’s theory posits that the brain signal’s frequency bands exhibit inter-individual variability. The present study aimed to investigate the correlation between memory and brain signals by extracting frequency rhythms for each participant and subsequently conducting frequency analysis. Consequently, the initial experiment aimed to assess the alterations in individual brain rhythms while memorizing mental images. The results obtained indicate a correlation between the individual alpha rhythm and the process of retaining mental images, as reported in previous studies [61,62,63,64,65].
The study’s second phase then focused on improving each participant’s alpha rhythm through neurofeedback in the training group before looking at how it affected memory via a visual memory assessment. The findings indicate that the augmentation of the individual alpha rhythm has resulted in a notable enhancement in the resolution percentage of both novel and familiar images. The findings from the analysis of brain signals during neurofeedback training sessions indicate that the amplification of individual alpha bands is associated with an increase in individual singular sensorimotor rhythm (SMR) and individual beta 1. Subsequently, the third experiment examined the impact of enhancing a singular sensorimotor rhythm (SMR) frequency band on enhancing memory retention among individuals [66].
Subsequently, the second experiment of the study involved the reinforcement of the individual alpha rhythm through the utilization of neurofeedback in the training group. The ensuing impact of this intervention on memory was assessed through a visual memory test. The findings indicate that the augmentation of the individual alpha rhythm has led to a noteworthy enhancement in the resolution percentage of both new and old images. The findings of the brain signal analysis conducted during neurofeedback training sessions indicated that the amplification of the individual alpha band positively impacted the individual SMR rhythm and individual beta 1. Subsequently, the third experiment examined the impact of enhancing a specific sensorimotor rhythm (SMR) frequency band on enhancing memory retention among participants [66].
The cognitive process of memory, along with other processes such as attention, perception, cognition, and emotion, is not dependent on brain hardware. In heightened emotional arousal, such as anger, individuals may experience difficulties with basic memory recall, including recalling simple names. Memory is a psychological phenomenon that extends beyond the brain’s physical structures. Hence, it is not feasible to attribute memory to a particular brain region or perceive it directly by the senses. However, the impacts of memory are invariably manifested in human behavior. From a physiological perspective, memory development in the human brain is attributed to alterations in synaptic conduction efficacy between neurons resulting from prior neural activity. The alterations above subsequently give rise to novel pathways that aid in transmitting signals within the brain’s neural networks. The recently established routes are commonly referred to as memory pathways. The significance of memory lies in its ability to activate neural pathways through cognitive processes, thereby facilitating the recreation of past experiences. Research conducted on lower animals has demonstrated that memory pathways are formed across various levels of the nervous system [67]. The memory process involves alterations in spinal reflexes that can be observed upon repeated spinal cord stimulation. Alzheimer’s disease is characterized by a gradual decline in cognitive function within the central nervous system caused by the degeneration of specific nerve cells. This degeneration disrupts memory pathways in the brain resulting in symptoms including memory loss, impaired judgment, and significant behavioral changes [68].
Conversely, a multitude of techniques have been suggested to enhance memory. Frequently employed techniques, such as repetition and written and verbal rehearsal of words or letters, are commonly utilized to enhance memory in individuals who are in good health. In recent times, there has been a growing focus on the potential of neurofeedback systems to improve cognitive processes, particularly memory, owing to their distinctive capabilities. Neurofeedback involves the acquisition of electroencephalographic (EEG) signals via electrodes placed on the scalp, which are subsequently presented to an individual through a computer interface for feedback purposes. By manipulating an individual’s mental state, alterations in the amplitude of the EEG signal across various frequencies can be observed and displayed on a monitor [69].
Consequently, the individual endeavors to modify the patterns of their brain signals to attain predetermined objectives. In the context of neurofeedback, individuals acquire the ability to regulate their brain signals by modulating the corresponding mental states [70,71,72]. Alzheimer’s disease is a neurological disorder resulting in the degeneration of brain tissues, leading to the death of nerve cells in specific brain regions. Cell death results in losing fundamental cognitive abilities, including recalling individuals’ names or recognizing their faces. Alzheimer’s disease is characterized by a gradual decline in cognitive skills, resulting in a pervasive and irreversible impact on various aspects of an individual’s memory, as reported in the literature [73].
Alzheimer’s disease ranks as the sixth most prevalent cause of mortality globally. The progression of medical science has led to the proposition that a hereditary inclination may contribute to transmitting a disease among forthcoming generations within a familial lineage. The domestic genetic factor is widely recognized as a significant contributor to the onset of Alzheimer’s disease. Individuals within a family diagnosed with Alzheimer’s exhibit a higher likelihood of familial susceptibility within the same generation or across multiple generations. The process of brain development is influenced, to some extent, by an individual’s genetic makeup.
Furthermore, a correlation has been established between the onset of Alzheimer’s disease and a reduction in brain volume over a while. The genetic factor appears to hold potential as a primary indicator in the diagnostic process of Alzheimer’s disease. The phenomenon above is not an anomaly in the context of Alzheimer’s disease. However, it is contingent upon genetic predispositions rather than environmental influences [74,75,76,77,78].
Alterations in cognitive function and brain structure are frequently a result of aging, a natural phenomenon. However, the clinical manifestations of Alzheimer’s disease extend beyond transient and uncomplicated memory loss. Individuals diagnosed with Alzheimer’s encounter communication, learning, cognition, and logical reasoning difficulties, which can significantly impact familial dynamics, occupational settings, and other related areas. Alzheimer’s disease is characterized by a range of symptoms, such as memory impairment, difficulty executing routine tasks, reduced expressive abilities, impaired spatial and temporal orientation, compromised judgment, cognitive deficits, apraxia, altered mood and behavior, personality changes, loss of motivation, and other related manifestations [79]. The onset of symptoms associated with Alzheimer’s is typically delayed, rendering its diagnosis challenging and often only possible during the later stages of the disease.
Consequently, developing intelligent medical systems for the timely detection of the ailment above is deemed imperative. Given that medical image analysis is a prevalent diagnostic technique, numerous research endeavors have been undertaken in this domain. The non-invasive nature of image processing and analysis methods in medical imaging is a crucial factor that has been selected as a significant aspect of this investigation [68,79].
Alzheimer’s is the most prevalent type of neurodegenerative dementia, characterized by a gradual decline in memory and cognitive abilities and difficulties with problem-solving and language skills [80]. Late-onset Alzheimer’s disease (LOAD) is the most commonly observed type of dementia in the elderly demographic. Cognitive deficits and memory loss characterize it. The complex genetic etiology and epistatic nature of LOAD pose a significant challenge to the early and differential diagnosis of the disease. Several scholars utilize genome-wide association studies (GWAS) to detect genetic variations that are indicative of an Alzheimer’s disease phenotype, as evidenced by multiple studies [80,81,82,83,84,85]. The univariate method manages the interactions among variations, whereas GWAS facilitate examining the statistical interactions of individual variants. Further research is required to differentiate between variants that have a cumulative impact on the phenotype, as stated in [81]. Diagnosing Alzheimer’s would typically involve a series of tests, as summarized in Table 1.
Table 1.
Summary for diagnosing Alzheimer’s disease.
3. Review Methodology
To determine the various contributions in the field of Alzheimer’s disease detection, an inquiry was conducted in prominent scientific databases, including IEEE Xplore, ScienceDirect, Springer, MDPI, Elsevier, Wiley, Taylor & Francis, and ACM libraries. The search was performed using specific keywords such as “Alzheimer,” “Artificial Intelligence,” and “Machine learning” in the title, abstract, or keywords of the papers. Additionally, Clarivate Web of Science and Scopus-indexed research articles were also utilized to verify the results and identify additional articles in less widely recognized repositories. These online databases were selected based on their provision of the most significant peer-reviewed full-text journals and conference proceedings encompassing the domain of deep learning. The employed search terms were anticipated to contain a substantial portion, if not the entirety, of the literature on the utilization of deep learning techniques in detecting Alzheimer’s disease. Furthermore, Google Scholar was utilized to conduct forward-searching, which involved examining the citations of identified papers to enhance our search and identify any potentially overlooked documents. All authors searched; the most recent update occurred on 20 May 2023.
4. Literature Review
As per a study, the Tosa straw rs-fMRI measures spontaneous activities consolidated into several distinct resting state networks (RSNs) that exhibit comparable temporal characteristics [86]. SMRI-derived images have been utilized in previous studies [7,86,87]. Structural adaptations in sMRI images pertain to the collective arrangement of neurons or neural elements, physically or through synaptic networks. Researchers have been focusing on using structural images to diagnose Alzheimer’s disease throughout history. The utilization of said images has presented challenges for scholars because of the restricted extraction attributes and the resultant precision of prognostication. Various approaches have been implemented to identify the indications and manifestations of advertising. In advertisements, sophisticated equipment has been widely used to evaluate the disease’s severity [88].
The authors provided a retrospective analysis of the illness and its mechanisms. This work delves into the study and provision of unique techniques for photograph processing, enhancement, and segmentation [89]. The methodology employs magnetic resonance (MR) brain imaging to ascertain the interconnectivity between distinct brain regions [90]. A novel artificial intelligence-based approach has been developed to detect alterations in individuals with a heightened susceptibility to Alzheimer’s disease a decade before the manifestation of the ailment. The approach utilizes brain magnetic resonance imaging (MRI) scans to determine the interconnections among diverse brain regions [91]. Alzheimer’s disease is the predominant etiology of dementia among elderly individuals and is characterized by neurological dysfunction that results in compromised memory and cognitive functions. The development of an effective protocol for the timely detection of the ailment is of paramount importance. Although a cure for the disease has not yet been discovered, the prompt administration of drugs currently in development will likely enhance their efficacy. The timely identification of the ailment may also enable individuals to adopt modifications in their lifestyle that can impede the advancement of the condition [92,93].
The researchers initially used a dataset of 67 MRI images to train the algorithm. Among these images, 38 were obtained from individuals who had been diagnosed with Alzheimer’s disease, while the remaining 29 were acquired from healthy subjects. The goal of the study was to teach the algorithm to distinguish between brains that are suffering from a pathological condition and those that are in a normal physiological state. The researchers partitioned the brain scan images into smaller segments. The optimal size of the divided pieces was determined by manipulating their size across multiple trials. The algorithm underwent evaluation by utilizing neuroimaging data derived from a separate cohort of 148 individuals. The study’s sample comprised 100 participants, with 52 categorized exhibiting normal health and 48 diagnosed with Alzheimer’s disease. A cohort of 48 participants exhibiting mild cognitive impairment (MCI) were observed to have progressed to a diagnosis of Alzheimer’s disease within 2.5 to 9 years. With a precision rate of 86%, the AI algorithm demonstrates a keen ability to distinguish between a brain in a healthy state and a brain affected with Alzheimer’s disease. The study exhibited a significant capacity to differentiate between a healthy brain and one with mild cognitive impairment, achieving an accuracy rate of 84%. According to [94,95], the algorithm exhibits good usefulness, mainly when prophylactic interventions for Alzheimer’s disease are present. Initially, the researchers trained the algorithm on a dataset comprising 67 MRI images, of which 38 were obtained from individuals diagnosed with Alzheimer’s disease and 29 were acquired from healthy subjects. The objective was to instruct the algorithm to discriminate between diseased and healthy brains. The brain scan images were partitioned into smaller segments by the researchers. Through the manipulation of the size of the divided pieces in various trials, the optimal piece size was determined. Subsequently, the algorithm was evaluated using neuroimaging data obtained from a distinct cohort comprising 148 individuals. The sample population consisted of 100 individuals, of whom 52 were classified as healthy and 48 were diagnosed with Alzheimer’s disease. Forty-eight individuals were identified as having a mild cognitive impairment (MLD) and subsequently developed Alzheimer’s disease within 2.5 to 9 years. The AI algorithm can distinguish between a healthy brain and a brain afflicted with Alzheimer’s with an accuracy rate of 86%. However, it demonstrated a remarkable ability to distinguish between a brain in good health and one with mild cognitive impairment, with an accuracy rate of 84%. The algorithm exhibits potential utility, particularly in the presence of prophylactic interventions for Alzheimer’s disease [94,95].
Prior research has demonstrated that the combination or fusion of multiple modalities of imaging results in an enhancement of either caliber or effectiveness [87]. The objective of this research is to enhance the precision of categorization. The complexity of predicting Alzheimer’s disease and the resemblance of brain networks in patients of both categories necessitate extracting a maximum number of features from the brain. Extracting many features poses specific challenges, such as the intricate nature of the block, the abundance of selected features, and the identification of extensive brain regions. Consequently, it is imperative to employ a feature selection and combination approach that minimizes the number of features and selects the optimal ones to enhance binding accuracy. The utilization of pattern recognition techniques, facilitated by the progress of machine learning methodologies, has enabled the automated identification of diseases in diagnostic processes. In addition to offering higher precision and speed, automated diagnostic techniques are comparatively more cost-effective than diagnostic methods that rely on specialists.
The utilization of pattern recognition techniques, facilitated by the progress of machine learning methodologies, has enabled the automated identification of diseases in medical diagnosis. Apart from exhibiting higher precision and speed, an automated diagnostic approach is comparatively more cost-effective than diagnostic methods that rely on specialists [96].
The study in reference [97] utilized a hybrid approach involving sMRI scans, cognitive criteria, and age to diagnose individuals with Alzheimer’s disease. The level of precision in forecasting is 82%. The present study, conducted by Ms. Moradi and her colleagues, aimed to eliminate low-resolution features by selecting features from sMRI scans. In a manner akin to Ms. Moradi’s publication, the authors of the article [98] employed cognitive criteria in conjunction with the features of sMRI and PET images to forecast the onset of Alzheimer’s disease. This article reports on a study investigating the ability to predict Alzheimer’s disease in patients for 24 months. The results indicate a predictive accuracy of 78%.
The study described in reference [99] used a composite of sMRI and cerebrospinal fluid (CSF) measurements to attempt to predict the beginning of Alzheimer’s disease. This study represents one of the initial efforts to incorporate image augmentations alongside other parameters to predict AD. The results indicate an actual prediction rate of 12%. In a separate publication, the brain’s cortical thickness pattern and white matter volume had a separation accuracy of 71% and 34%, respectively, regarding the prediction of non-dominant hand usage. A modest enhancement in accuracy was achieved by integrating these two statistical parameters in conjunction with additional parameters [100].
There is a lack of research on the prognostication of Alzheimer’s disease utilizing rs-fMRI-based Alzheimer’s disease. Resting state functional magnetic resonance imaging (Rs-fMRI) is a powerful technique for the cartography and assessment of diverse brain networks [101]. Several studies have investigated the various objections to the utilization of imaging techniques for the diagnosis of Alzheimer’s disease in recent times [102,103,104,105]. In references [98,102], Mr. Khazaee studied the fundamental techniques for diagnosing and distinguishing individuals with Alzheimer’s disease from those who exhibited mild behavioral disorders or were considered neurotypical; the present study aimed to develop an automated approach for distinguishing between the sample groups mentioned above. Mr. Khazaei employed the graph theory technique, which relies on functional images, to achieve this objective.
Based on RS-fMRI data, graph theory helps understand how brain networks are organized. Brain network analysis can identify the directions of interconnection in addition to the strength of interconnection. Graph theory is a technique that investigates and analyzes the networks in the brain and has several uses in locating various disorders [106]. Recent research has demonstrated that the correct isolation of Alzheimer’s patients is made possible by integrating graph theory and machine learning techniques based on functional pictures [107] in conjunction with sMRI, which defines network nodes and structural regions of the brain by using particles from two distinct atoms.
Structural equations, which offer segmentation based on overlapping structural units, have been employed in previous AD or MCI research. Brain segmentation cannot sufficiently represent the brain’s functional network solely based on anatomical criteria. This paper proposes a segmentation for rs-fMRI data based on 111 broad functional regions. In the feature selection area, a single and two-objective algorithm for choosing the best characteristics has been created for the first time for predicting Alzheimer’s disease, and promising results have been attained. Alois Alzheimer initially described the condition in 1907. It is a neurological condition that progresses and causes dementia to appear gradually. Although Alzheimer’s disease was once considered rare, it is now one of the most frequent diseases in the elderly and the fourth most common cause of death in this age group. It is a generic word that describes a decline in mental capacity due to “dementia” to the point that it interferes with daily life (memory loss is a prominent symptom of this condition). Dementia is most frequently caused by Alzheimer’s [108].
Furthermore, the Association for Alzheimer’s Disease and Related Disorders (NINCDS) (ADRDA) developed criteria for diagnosing Alzheimer’s disease. This group included the patient’s medical history, clinical examination, and neuropsychological and laboratory evaluations.
According to some sources, like [109], Alzheimer’s disease can be diagnosed in patients using data gathered over time. However, these techniques are unreliable because they rely primarily on statistical and non-visual data. On the other hand, these methods have a small statistical population, and Alzheimer’s disease can sometimes be mistaken for other illnesses. Alzheimer’s disease has been recognized utilizing a mix of deep learning and machine learning technique in several studies, including [110]. This research handles the feature extraction stage by a deep learning system like a convolutional network, while a backup vector machine handles the picture classification stage. These techniques for diagnosing Alzheimer’s disease present the following challenges:
- Convolutional network feature extraction can be error-prone, and some features may be overlooked during learning;
- The feature selection phase either did not exist or was not carried out correctly in these experiments;
- A unique technique, such as an artificial neural network or a support vector machine, is utilized for classification.
Only the photos are divided into standard and abnormal categories; the damaged areas are not visible in the image.
According to a review of studies, image processing has typically been used to identify Alzheimer’s disease, while other types of data can also be employed in this regard. Machine learning can employ numerous factors to increase classification errors and diagnose Alzheimer’s. Utilizing feature selection techniques is one strategy to lower the error of differentiating patients from healthy people. The binary version of the study algorithm is utilized in this study to distinguish between patients and ill people. The dataset can be split into training and testing. A feature can be chosen using educational data, and a classification model can be created to tell healthy people from patients. Using evaluated data, the final model can be tested. In this case, the mantis optimization technique is used to determine the best feature vector with the fewest features for mapping on the dataset to lower the dimensions and calculate the best feature vector to reduce the error of disease detection [111]. The computational load can be decreased, and the dataset’s size can be readily sent to Spark Cloud. The proposed method can be analyzed and evaluated using error or classification indices. Here are two critical measures of mean square error and mean accuracy, whose respective conditions are stated in Equations (1) and (2):
Here, m denotes the number of examples, is the actual class number of an instance, and denotes the class number of an instance that can be healthy or sick. In the second relation, the true positive number (TP), true negative number (TN), false positive number (FP), and true negative number (TN) can be calculated to quantify evaluation markers, like accuracy. Additionally, test data must be used to calculate these data.
4.1. Machine Learning Algorithms
The tendency for complex genetic disorders, where several different variants alter the risk, can be understood genetically when nonlinear interactions between variants are considered using machine learning algorithms.
Based on biological interpretation, this study analyzes the gene sets generated by these two meta-analysis methodologies, Ensemble and Entropy. Several works [112,113,114,115] are actively studying the network analysis approach to finding genes in Alzheimer’s disease. To compare networks, there are various distinct approaches. Here, biological networks for the Ensemble and Entropy gene sets are built, and global parameters are contrasted to determine the connectivity of the networks to evaluate the applicability of both meta-analysis techniques.
4.2. Support Vector Machine
In [116], the use of support vector machines as a classification technique and for improved feature selection in diagnosing Alzheimer’s disease is presented as a structured approach. The method’s accuracy is reported to be 92.48%. The sensitivity and feature rates are reported to be 86.92% and 90.76%, respectively. The paper’s authors have introduced a methodology that employs principal component analysis to determine feature rank, coupled with Fisher’s classification approach. This method yields an accuracy of 96.32%, a sensitivity of 94.11%, and a feature rate of 98.52% [117]. The article referenced [118] outlines a methodology for diagnosing Alzheimer’s disease utilizing image processing techniques and genetic algorithms for classification and prediction purposes. The present study involves the conversion of Alzheimer’s disease into a cognitive disorder, which serves as the primary characteristic of the input MRI images. The genetic algorithm is utilized to predict and diagnose Alzheimer’s disease, while the support vector machine is employed as a classification technique. The method exhibits a precision of 93.01%, a recall rate of 89.13%, and a feature detection rate of 96.80%. The field of utilizing photographs for the intelligent diagnosis of Alzheimer’s disease has been subject to thorough investigation. The present investigation centers on the methodologies utilizing the Alzheimer’s Disease Neuroimaging Initiative (ADNI) dataset as the primary input data. To identify Alzheimer’s disease, a versatile cognitive classification technique was used as an illustration [119]. The present investigation considers the implementation of magnetic resonance imaging (MRI) scans, the utilization of image processing methodologies, the execution of feature extraction procedures, and the classification of data through support vector machines. This study has considered various criteria, including accuracy, sensitivity, and rate of features. The findings indicate that the respective percentages for these criteria are 93.2%, 93.00%, and 93.3%.
As reported in [120], a previous study initially examined a sequence of preprocessing procedures. The process of weighing involves two distinct operations: feature selection and extraction, followed by segmentation of the available samples. Subsequently, a deep learning neural network is employed for training and data testing, serving as the classification technique within the scope of this investigation. Alzheimer’s disease is anticipated, diagnosed, and subsequently assessed. The efficacy of this approach has been evaluated concerning the classification reliant on support vector machines, which has exhibited noteworthy outcomes. The research proposes a method referred to as SAE, which exhibits a high level of accuracy at 91.40%.
Additionally, the method demonstrates a sensitivity rate of 92.32% and a feature rate of 90.42%. Notably, the SAE approach proves to be marginally more efficient than the support vector machine when utilizing deep learning. The subject matter of reference [121] pertains to using machine learning techniques to diagnose Alzheimer’s disease. Alzheimer’s is a progressive neurodegenerative disorder that impairs cognitive function, including memory. Regrettably, as of yet, there is no singular diagnostic test capable of identifying this ailment. Relying solely on cerebellar examinations cannot be deemed a definitive determinant in ascertaining the presence or absence of the condition. Based on social aptitude connections and a review of past clinical records, medical professionals have diagnosed an individual with Alzheimer’s disease. The present model has the potential to be modified through the implementation of artificial intelligence and machine learning algorithms. Extensive processing is necessary due to data generated from diverse sources within intricate and evolving settings. The conclusion of this article presents a comprehensive analysis of the impact of the illness on individuals, taking into account both favorable and unfavorable evidence. The proposed sequence offers a significant processing model from the data mining perspective. The present study employs categorization to delineate the disorder’s features that manifest as a conceptual framework for Alzheimer’s disease, utilizing various machine learning techniques. Previous research has indicated that using support vector machines for categorizing Alzheimer’s disease is notably less reliable.
Consequently, there is a need to enhance precision. This study outlines various data classification techniques to enhance the illness’s diagnostic efficacy. Empirical evidence suggests that the linear kernel support vector machine outperforms alternative models.
4.3. Image Processing Techniques
The authors of [122] propose a classification-independent method for diagnosing Alzheimer’s disease using images. Image processing techniques were employed to analyze image pixels, followed by an independent analysis algorithm. Weight extraction operations were subsequently conducted using the same approach. The method exhibits a precision level of approximately 98%, while the estimated sensitivity and feature detection rates are 92% and 95%, respectively. In Alzheimer’s diagnosis, a novel approach has been suggested [123], which involves utilizing the random forest algorithm for feature selection and extraction from MRI images. The utilization of the stochastic forest algorithm has been observed as a dual approach for feature extraction and classification. The precision of this approach is evaluated at 93%. The study referenced [124] employed morphometric techniques utilizing principal component analysis and independent component analysis for feature extraction in conjunction with support vector machines as a classification approach for diagnosing Alzheimer’s disease. The method exhibits a 95% level of accuracy. The present study has employed the analytical process of MMSE in the context of a multiclass system. To date, several techniques have been suggested for the diagnosis of Alzheimer’s disease through the utilization of image processing and data analysis methodologies. The diagnosis of Alzheimer’s disease-affected areas uses a variety of image processing techniques. Specific methods solely employ classification techniques for discerning images of the patient that are indicative of good health. The earlier methodologies encompass machine learning and various techniques, such as artificial neural networks, decision trees, and support vector machines. The methods mentioned above are exclusively employed for categorizing non-pathological visual representations of the subject. They are predicated solely upon rudimentary attributes, such as luminosity, thereby exhibiting a limited degree of precision. The accuracy of the abovementioned methods is contingent upon their association with the feature selection mechanism.
4.4. Other Methods
Ref. [125] presents language-specific features that can aid in the early detection of Alzheimer’s disease. Alzheimer’s disease is the only manifestation of dementia. Alzheimer’s disease is widely recognized as one of the costliest chronic conditions. Hence, automated diagnosis and control systems may yield significant societal benefits and enhance patient well-being. A prominent manifestation of Alzheimer’s disease is language impairment, which directly results from cognitive deterioration. The utilization of speech-based characteristics to diagnose Alzheimer’s disease is currently garnering increased attention. The present investigation involved the extraction of linguistic characteristics following the proposed categorization for language impairments observed in individuals with Alzheimer’s disease. The results indicate that the proposed classification of linguistic characteristics obtained from speech samples can differentiate between individuals with Alzheimer’s disease and cognitively healthy individuals.
The application of genetic programming was utilized in reference [126] to diagnose Alzheimer’s disease by analyzing the characteristics of the higher-order spectrum. The study presents a methodology that utilizes a system based on majority voting to select sets of highly distinctive features, resulting in optimal accuracy for the final classification detection. The diagnosis of Alzheimer’s disease was determined in reference [127] by the utilization of sMRI gray matter sections with a section-by-section approach. This study proposes a deep learning framework that utilizes sMRI gray matter segmentation. Integrating the cutting area and attention mechanism in these data has improved gray matter qualities compared to previous deep learning methods. This advancement has the potential to increase the accuracy of Alzheimer’s diagnosis. In reference [128], a comprehensive examination of machine learning and its associated learning methodologies to diagnose Alzheimer’s disease is presented. Neural image analysis and investigation were conducted in reference [129].
Regarding the diagnosis of Alzheimer’s disease, a recent study [130] has proposed using verbal and psychological assessments and structural brain imaging as predictive tools for cognitive prognosis in cases of moderate cognitive impairment. The utilization of an attention-based multicellular convolutional neural network for diagnosing Alzheimer’s disease has been investigated in reference [131]. The convolutional neural network extracts the layer-by-layer properties of the image, while the observed properties are generated by modifying the received fields. The precise cause of Alzheimer’s disease remains uncertain, and the intricate nature of the brain presents a significant challenge.
Furthermore, many existing methods fail to account for the image’s unique characteristics and holistic arrangement. The present study proposes a novel approach, namely the multiscale convolutional neural network (MSCNet), to enhance the visualization of model characteristics. A channel attention technique is also introduced to augment channel dependency and reset the conventional response to the channel. In reference [132], a clinical decision support system was developed to diagnose Alzheimer’s disease using the OASIS-3 dataset. The present study utilized convolutional neural network architectures: ResNet, DenseNet, and Inception-v3.
Dementia is a cognitive disorder that impairs various mental functions, including memory, judgment, planning, and reasoning. Alzheimer’s disease is the most prevalent etiology of dementia. Presently, approximately 57 million individuals worldwide are affected by dementia. It is projected that by the year 2050, the prevalence of Alzheimer’s disease will increase fourfold, resulting in approximately 152 million cases. The exponential increase in dementia cases can be attributed to the aging of society, which has led to a higher incidence of neurological illnesses. Diagnosing neurological diseases poses a significant challenge due to the lack of sensitivity and specificity of structural symptoms and Alzheimer’s diagnostic tests. Currently, there is a lack of dependable instruments for forecasting pre-dementia progression. Conversely, the utilization of non-invasive tests for diagnosing neurological disorders is unfeasible due to the resulting impairment of brain tissue, as indicated by reference [133].
Alzheimer’s is a neurodegenerative disorder with a predominantly deleterious impact on memory, cognitive function, and language abilities, ultimately leading to fatality. The condition is induced by the progressive deterioration of neurons in the cerebral cortex. Currently, there is no all-encompassing remedy for the ailment. The only available options are pharmacological intervention or verbal behavior modification to impede its advancement. Research indicates timely intervention in treating Alzheimer’s disease can effectively arrest its advancement and preserve optimal cognitive function. The early diagnosis and treatment of Alzheimer’s disease pose significant challenges due to the limited manifestation of cognitive impairment in patients and the high incidence of misdiagnosis.
Furthermore, individuals at elevated risk for the ailment may exhibit pathological modifications in their cerebral structures before the manifestation of clinical indications of dementia. Hence, the precise identification of Alzheimer’s disease patients through the utilization of neuroimaging technologies is crucial to augmenting therapeutic efficacy [134]. Research findings indicate that the human brain comprises an estimated 100 billion neurons and nerve cells. Neurons establish intercellular communication utilizing synapses, which are the gaps between them. The process of neuronal communication is intricate and involves a network with intricate characteristics and stochastic processes [135]. Electroencephalography (EEG) is an imaging modality that is non-invasive and cost-effective. It can capture electrical activity in the brain during neurotransmission with high temporal resolution. The electroencephalography (EEG) technique is utilized in specific medical assistance systems to diagnose Alzheimer’s disease. Increasing evidence suggests that EEG signals could be valuable in differentiating between neurological characteristics and cognitive issues [136]. Alzheimer’s disease is characterized by pathological indications such as heightened oxidative stress, loss of synapses, the gradual emergence of intracellular tau pathology, the accumulation of extracellular amyloid beta plaques, and other related factors [137]. The onset and advancement of Alzheimer’s disease are accompanied by various neurological disorders that culminate in memory loss, significantly impeding individuals’ daily functioning.
Alzheimer’s disease has been subjected to diverse treatment modalities; however, the results have been unsatisfactory and arduous. The disruption of multiple brain circuits characterizes Alzheimer’s disease, and its diagnosis presents significant challenges. Ongoing research indicates a correlation between a diet high in flavonoids and enhanced cognitive function and mental well-being [138]. Furthermore, research has revealed that several flavonoids can decelerate the advancement of Alzheimer’s disease. Foods rich in flavonoids, such as chocolate, citrus fruits, green tea, and berries, interact with a diverse range of intracellular targets due to the interaction of flavonoids and their metabolites with these targets. Flavonoids exert their neuroprotective effects to preserve neuronal integrity and mitigate the risk of Alzheimer’s disease, as evidenced by previous research [139,140]. Physicians employ medical imaging techniques such as computed tomography (CT), magnetic resonance imaging (MRI), and positron emission tomography (PET) to aid in the identification of Alzheimer’s disease. The PET imaging modality can reveal cerebral lesions’ metabolic and functional status. The attribute mentioned above renders PET-based neuroimaging a valuable instrument for the timely identification of Alzheimer’s disease. According to reference [141], timely identification and treatment of individuals with moderate cognitive impairment, a condition akin to Alzheimer’s disease, as well as negative cases, can potentially delay the progression of the illness. The manual classification of photos associated with Alzheimer’s is a time-consuming task that falls under the purview of a neurologist. However, the reliability of the results obtained through this method is not always guaranteed. The diagnosis of Alzheimer’s may be significantly impacted by a range of factors, such as the patient’s age, level of anxiety, visual impairment, and other related circumstances. The investigation of intricate modifications occurring in cerebral tissues during the initiation and progression of Alzheimer’s disease has been a topic of scholarly inquiry [142]. Research reports suggest that alterations in brain tissue may commence well before the onset of Alzheimer’s disease. The changes above may be indicative of the development of the disease [143]. The pathogenesis of Alzheimer’s disease involves the formation of amyloid plaques and tau tangles, which result from atypical alterations in the brain. The process in question leads to a gradual breakdown of the connections between healthy neurons [144]. Utilizing machine learning and deep learning techniques presents a pragmatic approach to diagnosing Alzheimer’s disease. The employment of deep learning and machine learning techniques enables the classification of the brain’s magnetic resonance images, with the ailment’s severity serving as the basis for such classification [145]. Alzheimer’s diagnosis can be facilitated through the utilization of classification techniques, such as convolutional neural networks (CNN) and long-short-term memory (LSTM) [146]. In the realm of Alzheimer’s diagnosis, deep learning techniques have been observed to employ feature extraction and feature selection methodologies as a means of mitigating diagnostic errors [147,148]. Deep learning is utilized by machine learning techniques in certain research studies [149,150,151]. Examining research in the medical image classification domain to diagnose Alzheimer’s disease reveals that these techniques encounter numerous obstacles. One of the challenges faced by current methodologies is the absence of intelligent feature selection techniques, particularly those utilizing group intelligence methodologies [152]. The majority of research endeavors have employed deep learning techniques for image classification purposes; however, it has been observed that a considerable proportion of these techniques exhibit notable error rates [153]. Table 2 summarizes the essential current methodologies for Alzheimer’s disease detection and classification.
Table 2.
Most existing methodologies for the detection of Alzheimer’s disease.
5. Discussion
The determination of the optimal combination of various indicators is of utmost importance. One of the primary focal points in multi-modality studies revolves around establishing a methodology that can efficiently incorporate information obtained from different modalities. Using “feature concatenation,” in which the extracted features from all of the inputs are combined into a single vector, is an excellent way to do things. But combining data without considering that similar disease patterns can show up in the same part of the brain across all modalities can lead to an inaccurate detection model. Moreover, including supplementary variables, such as genetic data, poses a significant challenge when attempting to ascertain the various factors involved in Alzheimer’s disease detection. The resolution of incomplete datasets is of utmost importance in studies involving multiple modalities. One significant obstacle faced in studies involving various modalities is the inherent incompleteness of the data, where specific modalities may be missing for certain subjects. This matter suggests that utilizing a singular deep model to encompass all modalities is contingent upon the availability of comprehensive multi-modality data possessed by subjects. It is worth noting that such data account for a significant portion of all multi-modality studies.
Nevertheless, they limit the extent of the model. One potential approach to tackle this issue entails the creation of a three-stage framework for deep feature extraction and fusion in the context of magnetic resonance imaging (MRI), positron emission tomography (PET), and genetic data.
Further investigation is required to examine the process of data generation. Even though different strategies, such as transfer learning and data augmentation, have been used to prevent overfitting, the lack of enough data samples is still a significant problem that makes it hard to generalize. Generative models can mitigate overfitting, which refers to excessively tailoring a model to the training data. In this context, data generation entails the creation of novel images based on existing ideas, thereby augmenting the dataset. As previously stated, the correlation between magnetic resonance imaging (MRI) and positron emission tomography (PET) can be mathematically represented to estimate the absence of PET scans based on the presence of MRI scans.
There is a significant demand for conscious explanations of intricate, deep architectures. Convolutional neural networks (CNNs) are extensively employed in deep learning architectures; however, selecting and designing an appropriate CNN model for Alzheimer’s disease (AD) detection lacks a definitive methodology. Determining the quantity and arrangement of convolutional and fully connected layers is typically made through a subjective decision-making process based on arbitrary choices or informed by previous experience. Several CNN models are currently being utilized; however, the researchers have not comprehensively explained their methodology for selecting these models. The selection of the dataset is crucial and has the potential to impact the outcome of the classifier. The presence of diverse datasets, varying subject quantities, and distinct subject number codes often renders comparing different methods unfeasible. In instances where studies employ identical datasets, encompassing equivalent numbers of issues and subject number codes, it is still possible for the results to lack comparability due to variations in the allocation of subjects between training and test sets.
6. Conclusions and Future Works
Alzheimer’s disease is characterized by neuronal degeneration and subsequent brain disorders, resulting in altered behavior and functionality in the afflicted individual. The process of brain resorption typically results in impairment of cognitive function and impacts various regions of the brain. Consequently, the management of Alzheimer’s disease necessitates a procedure that mitigates the impairments resulting from cerebral atrophy and neuronal degeneration [154,155,156]. This condition is characterized by a progressive decline in the ability to recall recent information and memories, eventually leading to an inability to retrieve memories. This particular ailment is more prevalent in the elderly population and is characterized by challenges in recognizing individuals, including those with whom one is intimately familiar. The diagnosis of affected individuals can prove to be a formidable task. In advanced stages of the ailment, patients may experience functional limitations, such as gait disturbances and spatial disorientation, and engage in hazardous activities, necessitating close surveillance of this population. Patients in advanced stages of Alzheimer’s disease exhibit impaired ambulatory abilities and compromised balance, rendering them incapable of walking independently. This study explores machine learning techniques and their application to feature selection from MRI images. The authors recommend that future research endeavors focus on feature selection and optimization techniques to improve the diagnosis performance and accuracy, such as whale optimization, gray wolf optimization, and other recent optimization methods, and identify the most optimal features from MRI images.
Author Contributions
Conceptualization, J.M.L.-G. and J.R.; Funding acquisition, J.M.L.-G.; Investigation, O.A.D. and H.I.R.; Methodology, J.M.L.-G. and J.R.; Project administration, J.R.; Resources, E.Z. and U.F.-G.; Supervision, J.M.L.-G. and J.R.; Visualization, O.A.D. and H.I.R.; Validation, E.Z. and U.F.-G.; Writing—original draft, O.A.D. and H.I.R.; Writing—review & editing, E.Z. and U.F.-G.; All authors have read and agreed to the published version of the manuscript.
Funding
This research received no external funding.
Institutional Review Board Statement
Not applicable.
Informed Consent Statement
Not applicable.
Data Availability Statement
Not applicable.
Conflicts of Interest
The authors declare no conflict of interest.
References
- Alzheimer’s Disease Facts and Figures. Alzheimer’s & Dementia; Alzheimer’s Association’s Publication & Wiley: Chicago, IL, USA, 2023. [Google Scholar]
- Rajput, A. Does essential tremor increase the risk of dementia? No. Int. Rev. Neurobiol. 2022, 163, 233–253. [Google Scholar] [CrossRef] [PubMed]
- Rasmussen, J.; Langerman, H. Alzheimer’s Disease-Why We Need Early Diagnosis. Degener. Neurol. Neuromuscul. Dis. 2019, 9, 123–130. [Google Scholar] [CrossRef]
- 15th Conference Clinical Trials Alzheimer’s Disease, November 29–December 2, 2022, San Francisco, CA, USA: Posters (Clinical Trial Alzheimer’s Disease). J. Prev. Alzheimer’s Dis. 2022, 9 (Suppl. S1), 51–248.
- Dinius Cassandra, J.; Pocknell, C.E.; Caffrey, M.P.; Roche, R.A.P. Cognitive interventions for memory and psychological well-being in aging and dementias. Front. Psychol. 2023, 14, 1070012. [Google Scholar] [CrossRef]
- Bonci, A.; Fiori, S.; Higashi, H.; Tanaka, T.; Verdini, F. An Introductory Tutorial on Brain–Computer Interfaces and Their Applications. Electronics 2021, 10, 560. [Google Scholar] [CrossRef]
- Loued-Khenissi, L.; Döll, O.; Preuschoff, K. An Overview of Functional Magnetic Resonance Imaging Techniques for Organizational Research. Organ. Res. Methods 2018, 22, 17–45. [Google Scholar] [CrossRef]
- Xie, Y.; Zhang, P.; Zhao, J. A spectral sampling algorithm in dynamic causal modelling for resting-state fMRI. Hum. Brain Mapp. 2023, 44, 2981–2992. [Google Scholar] [CrossRef] [PubMed]
- Jankovic, J.; Mazziotta, J.; Pomeroy, S. (Eds.) Alzheimer disease and other dementias. In Bradley and Daroff’s Neurology in Clinical Practice, 8th ed.; Elsevier: Amsterdam, The Netherlands, 2022. [Google Scholar]
- Yue, J.; Zhang, Q.-H.; Yang, X.; Wang, P.; Sun, X.-C.; Yan, S.-Y.; Li, A.; Zhao, W.-W.; Cao, D.-N.; Wang, Y.; et al. Magnetic resonance imaging of white matter in Alzheimer’s disease: A global bibliometric analysis from 1990 to 2022. Front. Neurosci. 2023, 17, 1163809. [Google Scholar] [CrossRef]
- Johnson, K.A.; Fox, N.C.; Sperling, R.A.; Klunk, W.E. Brain imaging in Alzheimer’s disease. Cold Spring Harb. Perspect. Med. 2012, 2, a006213. [Google Scholar] [CrossRef]
- Breijyeh, Z.; Karaman, R. Comprehensive Review on Alzheimer’s Disease: Causes and Treatment. Molecules 2020, 25, 5789. [Google Scholar] [CrossRef]
- Aderghal, K. Classification of Multimodal MRI Images Using Deep Learning: Application to the Diagnosis of Alzheimer’s Disease. Image Processing [eess.IV]; Université Ibn Zohr: Agadir, Morocco; Université de Bordeaux: Bordeaux, France, 2021. [Google Scholar]
- Ban, Y.; Zhang, X.; Lao, H. Diagnosis of Alzheimer’s disease using structure highlighting key slice stacking and transfer learning. Med. Phys. 2022, 49, 5855–5869. [Google Scholar] [CrossRef] [PubMed]
- Coraggio, L.; Coretto, P. Selecting the number of clusters, clustering models, and algorithms. A unifying approach based on the quadratic discriminant score. J. Multivar. Anal. 2023, 196, 105181. [Google Scholar] [CrossRef]
- Akinola, O.O.; Ezugwu, A.E.; Agushaka, J.O.; Abu Zitar, R.; Abualigah, L. Multiclass feature selection with metaheuristic optimization algorithms: A review. Neural Comput. Appl. 2022, 34, 19751–19790. [Google Scholar] [CrossRef] [PubMed]
- Taye, M.M. Understanding of Machine Learning with Deep Learning: Architectures, Workflow, Applications and Future Directions. Computers 2023, 12, 91. [Google Scholar] [CrossRef]
- Liu, X.; Song, L.; Liu, S.; Zhang, Y. A Review of Deep-Learning-Based Medical Image Segmentation Methods. Sustainability 2021, 13, 1224. [Google Scholar] [CrossRef]
- Patterson, C. The State of the Art of Dementia Research: New Frontiers; Alzheimers Disease International: London, UK, 2018. [Google Scholar]
- Prince, M.; Wimo, A.; Guerchet, M.; Ali, G.C.; Wu, Y.-T.; Prina, M. The global impact of dementia: An analysis of prevalence, incidence, cost, and trends. World Alzheimer Rep. 2015, 2015, 84. [Google Scholar]
- Bomasang-Layno, E.; Bronsther, R. Diagnosis and Treatment of Alzheimer’s Disease: An Update. Del. J. Public Health 2021, 7, 74–85. [Google Scholar] [CrossRef]
- Gounden, V.; Bhatt, H.; Jialal, I. Renal Function Tests; StatPearls Publishing: Treasure Island, FL, USA, 2023. Available online: https://www.ncbi.nlm.nih.gov/books/NBK507821/ (accessed on 21 December 2022).
- Scahill, R.I.; Schott, J.M.; Stevens, J.M.; Rossor, M.N.; Fox, N.C. Mapping the evolution of regional atrophy in Alzheimer’s disease: Unbiased analysis of fluid-registered serial MRI. Proc. Natl. Acad. Sci. USA 2002, 99, 4703–4707. [Google Scholar] [CrossRef]
- Keles, M.K.; Kilic, U. Classification of Brain Volumetric Data to Determine Alzheimer’s Disease Using Artificial Bee Colony Algorithm as Feature Selector. IEEE Access 2022, 10, 82989–83001. [Google Scholar] [CrossRef]
- Yamanakkanavar, N.; Choi, J.Y.; Lee, B. MRI Segmentation and Classification of Human Brain Using Deep Learning for Diagnosis of Alzheimer’s Disease: A Survey. Sensors 2020, 20, 3243. [Google Scholar] [CrossRef]
- Gore, J.C. Principles and practice of functional MRI of the human brain. J. Clin. Investig. 2003, 112, 4–9. [Google Scholar] [CrossRef] [PubMed]
- Masood, M.; Nazir, T.; Nawaz, M.; Mehmood, A.; Rashid, J.; Kwon, H.-Y.; Mahmood, T.; Hussain, A. A Novel Deep Learning Method for Recognition and Classification of Brain Tumors from MRI Images. Diagnostics 2021, 11, 744. [Google Scholar] [CrossRef] [PubMed]
- Kapica-Topczewska, K.; Collin, F.; Tarasiuk, J.; Czarnowska, A.; Chorąży, M.; Mirończuk, A.; Kochanowicz, J.; Kułakowska, A. Assessment of Disability Progression Independent of Relapse and Brain MRI Activity in Patients with Multiple Sclerosis in Poland. J. Clin. Med. 2021, 10, 868. [Google Scholar] [CrossRef]
- Al-Khuzaie, F.E.K.; Bayat, O.; Duru, A.D. Diagnosis of Alzheimer’s disease using 2D MRI slices by the convolutional neural network. Appl. Bionics Biomech. 2021, 2021, 6690539. [Google Scholar] [CrossRef]
- Oh, K.; Chung, Y.-C.; Kim, K.W.; Kim, W.-S.; Oh, I.-S. Classification and Visualization of Alzheimer’s Disease using Volumetric Convolutional Neural Network and Transfer Learning. Sci. Rep. 2019, 9, 18150. [Google Scholar] [CrossRef] [PubMed]
- Gray, K.R. Machine Learning for Image-Based Classification of Alzheimer’s Disease; Imperial College London: London, UK, 2012. [Google Scholar]
- Ebrahimi-Ghahnavieh, A.; Luo, S.; Chiong, R. Transfer learning for Alzheimer’s disease detection on MRI images. In Proceedings of the 2019 IEEE International Conference on Industry 4.0, Artificial Intelligence, and Communications Technology (IAICT), Bali, Indonesia, 1–3 July 2019; pp. 133–138. [Google Scholar]
- Ghazal, T.M.; Abbas, S.; Munir, S.; Ahmad, M.; Issa, G.F.; Zahra, S.B.; Khan, M.A.; Hasan, M.K. Alzheimer Disease Detection Empowered with Transfer Learning. Comput. Mater. Contin. 2022, 70, 5005–5019. [Google Scholar] [CrossRef]
- Nestor, P.J.; Scheltens, P.; Hodges, J.R. Advances in the early detection of Alzheimer’s disease. Nat. Med. 2004, 10, S34–S41. [Google Scholar] [CrossRef]
- Nazem, A.; Mansoori, G. Nanotechnology for Alzheimer’s disease detection and treatment. Insci. J. 2011, 1, 169–193. [Google Scholar] [CrossRef]
- Liu, J.; Li, M.; Luo, Y.; Yang, S.; Li, W.; Bi, Y. Alzheimer’s disease detection using depthwise separable convolutional neural networks. Comput. Methods Programs Biomed. 2021, 203, 106032. [Google Scholar] [CrossRef]
- Petti, U.; Baker, S.; Korhonen, A. A systematic literature review of automatic Alzheimer’s disease detection from speech and language. J. Am. Med. Inform. Assoc. 2020, 27, 1784–1797. [Google Scholar] [CrossRef]
- Islam, J.; Zhang, Y. An ensemble of deep convolutional neural networks for Alzheimer’s disease detection and classification. arXiv 2017, arXiv:1712.01675. [Google Scholar]
- Balagopalan, A.; Eyre, B.; Rudzicz, F.; Novikova, J. To BERT or not to BERT: Comparing Speech and Language-Based Approaches for Alzheimer’s Disease Detection. arXiv 2020, arXiv:2008.01551. [Google Scholar] [CrossRef]
- Folego, G.; Weiler, M.; Casseb, R.F.; Pires, R.; Rocha, A. Alzheimer’s Disease Detection Through Whole-Brain 3D-CNN MRI. Front. Bioeng. Biotechnol. 2020, 8, 534592. [Google Scholar] [CrossRef] [PubMed]
- Balagopalan, A.; Novikova, J.; Rudzicz, F.; Ghassemi, M. The effect of heterogeneous data for Alzheimer’s disease detection from speech. arXiv 2018, arXiv:1811.12254. [Google Scholar]
- Zhou, Y.; Si, X.; Chen, Y.; Chao, Y.; Lin, C.-P.; Li, S.; Zhang, X.; Ming, D.; Li, Q. Hippocampus- and thalamus-related fiber-specific white matter reductions in mild cognitive impairment. Cereb. Cortex 2021, 32, 3159–3174. [Google Scholar] [CrossRef]
- Sarasso, E.; Agosta, F.; Piramide, N.; Filippi, M. Progression of grey and white matter brain damage in Parkinson’s disease: A critical review of structural MRI literature. J. Neurol. 2020, 268, 3144–3179. [Google Scholar] [CrossRef]
- Wen, J.; Thibeau-Sutre, E.; Diaz-Melo, M.; Samper-González, J.; Routier, A.; Bottani, S.; Dormont, D.; Durrleman, S.; Burgos, N.; Colliot, O. Convolutional neural networks for classification of Alzheimer’s disease: Overview and reproducible evaluation. Med. Image Anal. 2020, 63, 101694. [Google Scholar] [CrossRef]
- Islam, J.; Zhang, Y. Brain MRI analysis for Alzheimer’s disease diagnosis using an ensemble system of deep convolutional neural networks. Brain Inform. 2018, 5, 2. [Google Scholar] [CrossRef]
- Neugroschl, J.; Wang, S. Alzheimer’s Disease: Diagnosis and Treatment Across the Spectrum of Disease Severity. Mt. Sinai J. Med. A J. Transl. Pers. Med. 2011, 78, 596–612. [Google Scholar] [CrossRef]
- Scheltens, P. Imaging in Alzheimer’s disease. Dialogues Clin. Neurosci. 2022, 11, 191–199. [Google Scholar] [CrossRef]
- Lee, B.C.P.; Mintun, M.; Buckner, R.L.; Morris, J.C. Imaging of Alzheimer’s disease. J. Neuroimaging 2003, 13, 199–214. [Google Scholar] [CrossRef] [PubMed]
- Khachaturian, Z.S. Diagnosis of Alzheimer’s disease. Arch. Neurol. 1985, 42, 1097–1105. [Google Scholar] [CrossRef]
- Chaves, R.; Ramírez, J.; Górriz, J.M.; Puntonet, C.G.; Initiative, A.D.N. Association rule-based feature selection method for Alzheimer’s disease diagnosis. Expert Syst. Appl. 2012, 39, 11766–11774. [Google Scholar] [CrossRef]
- Long, J.M.; Holtzman, D.M. Alzheimer Disease: An Update on Pathobiology and Treatment Strategies. Cell 2019, 179, 312–339. [Google Scholar] [CrossRef] [PubMed]
- Ferreira, L.; Spinola, M.; Camara, J.; Badia, S.B.; Cavaco, S. Feasibility of Pitch and Rhythm Musical Distortions as Cueing Method for People with Dementia in AR Cognitive Stimulation Tasks. In Proceedings of the IEEE 9th International Conference on Serious Games and Applications for Health (SeGAH), Dubai, United Arab Emirates, 4–6 August 2021; pp. 1–8. [Google Scholar] [CrossRef]
- Varghese, R.T.; Goswami, S.P. Assessment of Cognitive-Communicative Functions in Persons with Mild Cognitive Impairment and Dementia of Alzheimer’s Type. In Handbook of Research on Psychosocial Perspectives of Human Communication Disorders; IGI Global: Hershey, PA, USA, 2018; pp. 269–282. [Google Scholar] [CrossRef]
- Hosseini-Asl, E.; Keynton, R.; El-Baz, A. Alzheimer’s disease diagnostics by adaptation of 3D convolutional network. In Proceedings of the IEEE International Conference on Image Processing (ICIP), Phoenix, AZ, USA, 25–28 September 2016; pp. 126–130. [Google Scholar] [CrossRef]
- Martyn, C.N.; Barker, D.J.; Osmond, C.; Harris, E.C.; Edwardson, J.A.; Lacey, R.F. Geographical relation between Alzheimer’s disease and aluminum in drinking water. Lancet 1989, 333, 59–62. [Google Scholar] [CrossRef]
- Pietrzak, K.; Czarnecka, K.; Mikiciuk-Olasik, E.; Szymanski, P. New Perspectives of Alzheimer Disease Diagnosis—The Most Popular and Future Methods. Med. Chem. 2018, 14, 34–43. [Google Scholar] [CrossRef]
- Alberdi, A.; Aztiria, A.; Basarab, A. On the early diagnosis of Alzheimer’s Disease from multimodal signals: A survey. Artif. Intell. Med. 2016, 71, 1–29. [Google Scholar] [CrossRef]
- Bhushan, I.; Kour, M.; Kour, G.; Gupta, S.; Sharma, S.; Yadav, A. Alzheimer’s disease: Causes & treatment–A review. Ann. Biotechnol. 2018, 1, 1002. [Google Scholar]
- Sabbagh, M.N.; Lue, L.-F.; Fayard, D.; Shi, J. Increasing Precision of Clinical Diagnosis of Alzheimer’s Disease Using a Combined Algorithm Incorporating Clinical and Novel Biomarker Data. Neurol. Ther. 2017, 6, 83–95. [Google Scholar] [CrossRef]
- Mehmood, A.; Yang, S.; Feng, Z.; Wang, M.; Ahmad, A.S.; Khan, R.; Maqsood, M.; Yaqub, M. A Transfer Learning Approach for Early Diagnosis of Alzheimer’s Disease on MRI Images. Neuroscience 2021, 460, 43–52. [Google Scholar] [CrossRef]
- Association, A. 2018 Alzheimer’s disease facts and figures. Alzheimer’s Dement. 2018, 14, 367–429. [Google Scholar] [CrossRef]
- Bi, X.; Li, S.; Xiao, B.; Li, Y.; Wang, G.; Ma, X. Computer aided Alzheimer’s disease diagnosis by an unsupervised deep learning technology. Neurocomputing 2019, 392, 296–304. [Google Scholar] [CrossRef]
- Thapa, S.; Singh, P.; Jain, D.K.; Bharill, N.; Gupta, A.; Prasad, M. Data-Driven Approach based on Feature Selection Technique for Early Diagnosis of Alzheimer’s Disease. In Proceedings of the International Joint Conference on Neural Networks (IJCNN), Glasgow, UK, 19–24 July 2020; pp. 1–8. [Google Scholar] [CrossRef]
- Hussain, E.; Hasan, M.; Hassan, S.Z.; Azmi, T.H.; Rahman, A.; Parvez, M.Z. Deep Learning Based Binary Classification for Alzheimer’s Disease Detection using Brain MRI Images. In Proceedings of the 15th IEEE Conference on Industrial Electronics and Applications (ICIEA), Kristiansand, Norway, 9–13 November 2020; pp. 1115–1120. [Google Scholar] [CrossRef]
- Cuttler, J.M.; Moore, E.R.; Hosfeld, V.D.; Nadolski, D.L. Treatment of Alzheimer disease with CT scans: A case report. Dose-response 2016, 14, 1559325816640073. [Google Scholar] [CrossRef] [PubMed]
- Mohan, G.; Subashini, M.M. MRI based medical image analysis: Survey on brain tumor grade classification. Biomed. Signal Process. Control 2018, 39, 139–161. [Google Scholar] [CrossRef]
- Wachinger, C.; Reuter, M. Domain adaptation for Alzheimer’s disease diagnostics. Neuroimage 2016, 139, 470–479. [Google Scholar] [CrossRef]
- Rathore, S.; Habes, M.; Iftikhar, M.A.; Shacklett, A.; Davatzikos, C. A review on neuroimaging-based classification studies and associated feature extraction methods for Alzheimer’s disease and its prodromal stages. Neuroimage 2017, 155, 530–548. [Google Scholar] [CrossRef]
- Kamińska, D.; Smółka, K.; Zwoliński, G. Detection of Mental Stress through EEG Signal in Virtual Reality Environment. Electronics 2021, 10, 2840. [Google Scholar] [CrossRef]
- Mobed, A.; Hasanzadeh, M. Biosensing: The best alternative for conventional methods in detection of Alzheimer’s disease biomarkers. Int. J. Biol. Macromol. 2020, 161, 59–71. [Google Scholar] [CrossRef]
- Zhao, X.; Ang, C.K.E.; Acharya, U.R.; Cheong, K.H. Application of Artificial Intelligence techniques for the detection of Alzheimer’s disease using structural MRI images. Biocybern. Biomed. Eng. 2021, 41, 456–473. [Google Scholar] [CrossRef]
- Jamerlan, A.; An, S.S.A.; Hulme, J. Advances in amyloid beta oligomer detection applications in Alzheimer’s disease. TrAC Trends Anal. Chem. 2020, 129, 115919. [Google Scholar] [CrossRef]
- Mohajeri, M.; Behnam, B.; Barreto, G.E.; Sahebkar, A. Carbon nanomaterials and amyloid-beta interactions: Potentials for the detection and treatment of Alzheimer’s disease? Pharmacol. Res. 2019, 143, 186–203. [Google Scholar] [CrossRef]
- Hampel, H.; Vergallo, A.; Caraci, F.; Cuello, A.C.; Lemercier, P.; Vellas, B.; Giudici, K.V.; Baldacci, F.; Hänisch, B.; Haberkamp, M.; et al. Future avenues for Alzheimer’s disease detection and therapy: Liquid biopsy, intracellular signaling modulation, systems pharmacology drug discovery. Neuropharmacology 2021, 185, 108081. [Google Scholar] [CrossRef] [PubMed]
- Koric, L.; Guedj, E.; Habert, M.; Semah, F.; Branger, P.; Payoux, P.; Le Jeune, F. Molecular imaging in the diagnosis of Alzheimer’s disease and related disorders. Rev. Neurol. 2016, 172, 725–734. [Google Scholar] [CrossRef]
- Duffy, I.R.; Boyle, A.J.; Vasdev, N. Improving PET Imaging Acquisition and Analysis with Machine Learning: A Narrative Review with Focus on Alzheimer’s Disease and Oncology. Mol. Imaging 2019, 18, 1536012119869070. [Google Scholar] [CrossRef] [PubMed]
- Arora, A.; Bhagat, N. Insight into the molecular imaging of Alzheimer’s disease. Int. J. Biomed. Imaging 2016, 2016, 7462014. [Google Scholar] [CrossRef]
- Zhang, X.Y.; Yang, Z.L.; Lu, G.M.; Yang, G.F.; Zhang, L.J. PET/MR Imaging: New Frontier in Alzheimer’s Disease and Other Dementias. Front. Mol. Neurosci. 2017, 10, 343. [Google Scholar] [CrossRef] [PubMed]
- Khosla, A.; Khandnor, P.; Chand, T. A comparative analysis of signal processing and classification methods for different applications based on EEG signals. Biocybern. Biomed. Eng. 2020, 40, 649–690. [Google Scholar] [CrossRef]
- Cuyvers, E.; Sleegers, K. Genetic variations underlying Alzheimer’s disease: Evidence from genome-wide association studies and beyond. Lancet Neurol. 2016, 15, 857–868. [Google Scholar] [CrossRef]
- Bodily, P.M.; Initiative, T.A.D.N.; Fujimoto, M.S.; Page, J.T.; Clement, M.J.; Ebbert, M.T.W.; Ridge, P.G. A novel approach for multi-SNP GWAS and its application in Alzheimer’s disease. BMC Bioinform. 2016, 17, 268. [Google Scholar] [CrossRef]
- Tosto, G.; Reitz, C. Genome-wide Association Studies in Alzheimer’s Disease: A Review. Curr. Neurol. Neurosci. Rep. 2013, 13, 381. [Google Scholar] [CrossRef]
- Lambert, J.-C.; Ibrahim-Verbaas, C.A.; Harold, D.; Naj, A.C.; Sims, R.; Bellenguez, C.; Jun, G.; DeStefano, A.L.; Bis, J.C.; Beecham, G.W.; et al. Meta-analysis of 74,046 individuals identifies 11 new susceptibility loci for Alzheimer’s disease. Nat. Genet. 2013, 45, 1452–1458. [Google Scholar] [CrossRef]
- Desikan, R.S.; Fan, C.C.; Wang, Y.; Schork, A.J.; Cabral, H.J.; Cupples, L.A.; Thompson, W.K.; Besser, L.; Kukull, W.A.; Holland, D.; et al. Genetic assessment of age-associated Alzheimer disease risk: Development and validation of a polygenic hazard score. PLoS Med. 2017, 14, e1002258. [Google Scholar] [CrossRef] [PubMed]
- Escott-Price, V.; Bellenguez, C.; Wang, L.-S.; Choi, S.-H.; Harold, D.; Jones, L.; Holmans, P.; Gerrish, A.; Vedernikov, A.; Richards, A.; et al. Gene-wide analysis detects two new susceptibility genes for Alzheimer’s disease. PLoS ONE 2014, 9, e94661. [Google Scholar] [CrossRef] [PubMed]
- Moussa, M.N.; Steen, M.R.; Laurienti, P.J.; Hayasaka, S. Consistency of Network Modules in Resting-State fMRI Connectome Data. PLoS ONE 2012, 7, e44428. [Google Scholar] [CrossRef]
- Wolz, R.; Julkunen, V.; Koikkalainen, J.; Niskanen, E.; Zhang, D.P.; Rueckert, D.; Soininen, H.; Lötjönen, J.; Initiative, T.A.D.N. Multi-Method Analysis of MRI Images in Early Diagnostics of Alzheimer’s Disease. PLoS ONE 2011, 6, e25446. [Google Scholar] [CrossRef] [PubMed]
- Patil, K.; Kale, G. Study on Dignosis of Alzheimer’s by Using Neural Networks. Int. J. 2016, 6, 1–6. [Google Scholar]
- Al-Naami, B.; Gharaibeh, N.; Kheshman, A.A. Automated detection of Alzheimer disease using region growing technique and artificial neural network. World Acad. Sci. Eng. Technol. Int. J. Biomed. Biol. Eng. 2013, 7, 13–17. [Google Scholar]
- Lahmiri, S.; Boukadoum, M. Alzheimer’s Disease Detection in Brain Magnetic Resonance Images Using Multiscale Fractal Analysis. ISRN Radiol. 2013, 2013, 627303. [Google Scholar] [CrossRef]
- Eskildsen, S.F.; Coupé, P.; Fonov, V.; Collins, D.L. Detecting Alzheimer’s disease by morphological MRI using hippocampal grading and cortical thickness. In Proc MICCAI Workshop Challenge on Computer-Aided Diagnosis of Dementia Based on Structural MRI Data; ResearchGate: Cambridge, MA, USA, 2014; pp. 38–47. [Google Scholar]
- Saha, A.; Kumar, P.S.J. Improved Digital Image Processing based Detection for Alzheimer’s disease using MATLAB. Int. J. Adv. Arts Sci. Eng. 2015, 3, 1–7. [Google Scholar]
- Ogiela, L.; Ogiela, M.R. Advances in Cognitive Information Systems; Springer Science & Business Media: Berlin/Heidelberg, Germany, 2012. [Google Scholar] [CrossRef]
- Defigueiredo, R.J.; Shankle, W.R.; Maccato, A.; Dick, M.B.; Mundkur, P.; Mena, I.; Cotman, C.W. Neural-network-based classification of cognitively normal, demented, Alzheimer disease and vascular dementia from single photon emission with computed tomography image data from brain. Proc. Natl. Acad. Sci. USA 1995, 92, 5530–5534. [Google Scholar] [CrossRef]
- Wagner, A.D. Early detection of Alzheimer’s disease: An fMRI marker for people at risk? Nat. Neurosci. 2000, 3, 973–974. [Google Scholar] [CrossRef] [PubMed]
- Javaid, M.; Haleem, A.; Singh, R.P.; Suman, R.; Rab, S. Significance of machine learning in healthcare: Features, pillars and applications. Int. J. Intell. Netw. 2022, 3, 58–73. [Google Scholar] [CrossRef]
- Moradi, E.; Pepe, A.; Gaser, C.; Huttunen, H.; Tohka, J. Machine learning framework for early MRI-based Alzheimer’s conversion prediction in MCI subjects. Neuroimage 2014, 104, 398–412. [Google Scholar] [CrossRef] [PubMed]
- Zhang, D.; Shen, D.; Initiative, A.D.N. Predicting Future Clinical Changes of MCI Patients Using Longitudinal and Multimodal Biomarkers. PLoS ONE 2012, 7, e33182. [Google Scholar] [CrossRef]
- Davatzikos, C.; Bhatt, P.; Shaw, L.M.; Batmanghelich, K.N.; Trojanowski, J.Q. Prediction of MCI to AD conversion, via MRI, CSF biomarkers, and pattern classification. Neurobiol. Aging 2011, 32, 2322-e19. [Google Scholar] [CrossRef] [PubMed]
- de Vos, F.; Schouten, T.M.; Hafkemeijer, A.; Dopper, E.G.P.; van Swieten, J.C.; de Rooij, M.; van der Grond, J.; Rombouts, S.A.R.B. Combining multiple anatomical MRI measures improves Alzheimer’s disease classification. Hum. Brain Mapp. 2016, 37, 1920–1929. [Google Scholar] [CrossRef]
- Van den Heuvel, M.P.; Pol, H.E.H. Exploring the brain network: A review on resting-state fMRI functional connectivity. Eur. Neuropsychopharmacol. 2010, 20, 519–534. [Google Scholar] [CrossRef]
- Khazaee, A.; Ebrahimzadeh, A.; Babajani-Feremi, A. Application of advanced machine learning methods on resting-state fMRI network for identification of mild cognitive impairment and Alzheimer’s disease. Brain Imaging Behav. 2015, 10, 799–817. [Google Scholar] [CrossRef]
- Khazaee, A.; Ebrahimzadeh, A.; Babajani-Feremi, A. Identifying patients with Alzheimer’s disease using resting-state fMRI and graph theory. Clin. Neurophysiol. 2015, 126, 2132–2141. [Google Scholar] [CrossRef]
- Liu, Z.; Zhang, Y.; Bai, L.; Yan, H.; Dai, R.; Zhong, C.; Wang, H.; Wei, W.; Xue, T.; Feng, Y.; et al. Investigation of the effective connectivity of resting state networks in Alzheimer’s disease: A functional MRI study combining independent components analysis and multivariate Granger causality analysis. NMR Biomed. 2012, 25, 1311–1320. [Google Scholar] [CrossRef]
- Greicius, M.D.; Krasnow, B.; Reiss, A.L.; Menon, V. Functional connectivity in the resting brain: A network analysis of the default mode hypothesis. Proc. Natl. Acad. Sci. USA 2002, 100, 253–258. [Google Scholar] [CrossRef] [PubMed]
- Supekar, K.; Menon, V.; Rubin, D.; Musen, M.; Greicius, M.D. Network Analysis of Intrinsic Functional Brain Connectivity in Alzheimer’s Disease. PLoS Comput. Biol. 2008, 4, e1000100. [Google Scholar] [CrossRef] [PubMed]
- Armstrong, C.C.; Moody, T.D.; Feusner, J.D.; McCracken, J.T.; Chang, S.; Levitt, J.G.; Piacentini, J.C.; O’neill, J. Graph-theoretical analysis of resting-state fMRI in pediatric obsessive–compulsive disorder. J. Affect. Disord. 2015, 193, 175–184. [Google Scholar] [CrossRef]
- Cohn-Hokke, P.E.; Elting, M.W.; Pijnenburg, Y.A.; van Swieten, J.C. Genetics of dementia: Update and guidelines for the clinician. Am. J. Med. Genet. Part B Neuropsychiatr. Genet. 2012, 159, 628–643. [Google Scholar] [CrossRef]
- Day, B.L.; Ocal, D.; Peters, A.; Bancroft, M.J.; Cash, D.; Kaski, D.; Crutch, S.J.; Yong, K.X.X. Altered visual and haptic verticality perception in posterior cortical atrophy and Alzheimer’s disease. J. Physiol. 2021, 600, 373–391. [Google Scholar] [CrossRef] [PubMed]
- Salehi, A.W.; Baglat, P.; Gupta, G. Alzheimer’s Disease Diagnosis using Deep Learning Techniques. Int. J. Eng. Adv. Technol. 2020, 9, 874–880. [Google Scholar] [CrossRef]
- Koren, G.; Souroujon, D.; Shaul, R.; Bloch, A.; Leventhal, A.; Lockett, J.; Shalev, V. A patient like me—An algorithm-based program to inform patients on the likely conditions people with symptoms like theirs have. Medicine 2019, 98, e17596. [Google Scholar] [CrossRef]
- Talwar, P.; Silla, Y.; Grover, S.; Gupta, M.; Agarwal, R.; Kushwaha, S.; Kukreti, R. Genomic convergence and network analysis approach to identify candidate genes in Alzheimer’s disease. BMC Genom. 2014, 15, 199. [Google Scholar] [CrossRef]
- Rao, V.S.; Srinivas, K.; Kumar, G.S.; Sujin, G. Protein interaction network for Alzheimer’s disease using computational approach. Bioinformation 2013, 9, 968–972. [Google Scholar] [CrossRef]
- Rahman, M.R.; Islam, T.; Turanli, B.; Zaman, T.; Faruquee, H.M.; Rahman, M.M.; Mollah, M.N.H.; Nanda, R.K.; Arga, K.Y.; Gov, E.; et al. Network-based approach to identify molecular signatures and therapeutic agents in Alzheimer’s disease. Comput. Biol. Chem. 2019, 78, 431–439. [Google Scholar] [CrossRef]
- Meng, X.; Initiative, F.T.A.D.N.; Li, J.; Zhang, Q.; Chen, F.; Bian, C.; Yao, X.; Yan, J.; Xu, Z.; Risacher, S.L.; et al. Multivariate genome wide association and network analysis of subcortical imaging phenotypes in Alzheimer’s disease. BMC Genom. 2020, 21, 896. [Google Scholar] [CrossRef] [PubMed]
- Beheshti, I.; Demirel, H.; Farokhian, F.; Yang, C.; Matsuda, H.; The Alzheimer’s Disease Neuroimaging Initiative. Structural MRI-based detection of Alzheimer’s disease using feature ranking and classification error. Comput. Methods Programs Biomed. 2016, 137, 177–193. [Google Scholar] [CrossRef] [PubMed]
- Beheshti, I.; Demirel, H.; Alzheimer’s Disease Neuroimaging Initiative. Feature-ranking-based Alzheimer’s disease classification from structural MRI. Magn. Reson. Imaging 2016, 34, 252–263. [Google Scholar] [CrossRef] [PubMed]
- Beheshti, I.; Demirel, H.; Matsuda, H.; The Alzheimer’s Disease Neuroimaging Initiative. Classification of Alzheimer’s disease and prediction of mild cognitive impairment-to-Alzheimer’s conversion from structural magnetic resource imaging using feature ranking and a genetic algorithm. Comput. Biol. Med. 2017, 83, 109–119. [Google Scholar] [CrossRef] [PubMed]
- Zhang, D.; Wang, Y.; Zhou, L.; Yuan, H.; Shen, D.; The Alzheimer’s Disease Neuroimaging Initiative. Multimodal classification of Alzheimer’s disease and mild cognitive impairment. NeuroImage 2011, 55, 856–867. [Google Scholar] [CrossRef]
- Liu, S.; Liu, S.; Cai, W.; Che, H.; Pujol, S.; Kikinis, R.; Feng, D.; Fulham, M.J.; ADNI. Multimodal neuroimaging feature learning for multiclass diagnosis of Alzheimer’s disease. IEEE Trans. Biomed. Eng. 2014, 62, 1132–1140. [Google Scholar] [CrossRef]
- Kishore, P.; Kumari, C.U.; Kumar, M.; Pavani, T. Detection and analysis of Alzheimer’s disease using various machine learning algorithms. Mater. Today Proc. 2020, 45, 1502–1508. [Google Scholar] [CrossRef]
- Schouten, T.M.; Koini, M.; de Vos, F.; Seiler, S.; de Rooij, M.; Lechner, A.; Schmidt, R.; Heuvel, M.V.D.; van der Grond, J.; Rombouts, S.A. Individual classification of Alzheimer’s disease with diffusion magnetic resonance imaging. Neuroimage 2017, 152, 476–481. [Google Scholar] [CrossRef]
- Dimitriadis, S.; Liparas, D.; Tsolaki, M.N. Random forest feature selection, fusion and ensemble strategy: Combining multiple morphological MRI measures to discriminate among healhy elderly, MCI, cMCI and alzheimer’s disease patients: From the alzheimer’s disease neuroimaging initiative (ADNI) database. J. Neurosci. Methods 2018, 302, 14–23. [Google Scholar] [CrossRef]
- Donnelly-Kehoe, P.A.; Pascariello, G.O.; Gómez, J.C.; Initiative, A.D.N. Looking for Alzheimer’s Disease morphometric signatures using machine learning techniques. J. Neurosci. Methods 2018, 302, 24–34. [Google Scholar] [CrossRef]
- Ben Ammar, R.; Ben Ayed, Y. Language-related features for early detection of Alzheimer Disease. Procedia Comput. Sci. 2020, 176, 763–770. [Google Scholar] [CrossRef]
- Nasrolahzadeh, M.; Rahnamayan, S.; Haddadnia, J. Alzheimer’s disease diagnosis using genetic programming based on higher order spectra features. Mach. Learn. Appl. 2021, 7, 100225. [Google Scholar] [CrossRef]
- Zhang, Y.; Teng, Q.; Liu, Y.; Liu, Y.; He, X. Diagnosis of Alzheimer’s disease based on regional attention with sMRI gray matter slices. J. Neurosci. Methods 2021, 365, 109376. [Google Scholar] [CrossRef] [PubMed]
- Balne, S.; Elumalai, A. Machine learning and deep learning algorithms used to diagnosis of Alzheimer’s. Mater. Today Proc. 2021, 47, 5151–5156. [Google Scholar] [CrossRef]
- Suk, H.-I.; Lee, S.-W.; Shen, D. Hierarchical feature representation and multimodal fusion with deep learning for AD/MCI diagnosis. Neuroimage 2014, 101, 569–582. [Google Scholar] [CrossRef]
- Clark, D.G.; McLaughlin, P.M.; Woo, E.; Hwang, K.; Hurtz, S.; Ramirez, L.; Eastman, J.; Dukes, R.; Kapur, P.; DeRamus, T.P.; et al. Novel verbal fluency scores and structural brain imaging for prediction of cognitive outcome in mild cognitive impairment. Alzheimer’s Dement. Diagn. Assess. Dis. Monit. 2016, 2, 113–122. [Google Scholar] [CrossRef]
- Liu, Z.; Lu, H.; Pan, X.; Xu, M.; Lan, R.; Luo, X. Diagnosis of Alzheimer’s disease via an attention-based multi-scale convolutional neural network. Knowl.-Based Syst. 2022, 238, 107942. [Google Scholar] [CrossRef]
- Salami, F.; Bozorgi-Amiri, A.; Hassan, G.M.; Tavakkoli-Moghaddam, R.; Datta, A. Designing a clinical decision support system for Alzheimer’s diagnosis on OASIS-3 data set. Biomed. Signal Process. Control 2022, 74, 103527. [Google Scholar] [CrossRef]
- Habuza, T.; Zaki, N.; Mohamed, E.A.; Statsenko, Y. Deviation from Model of Normal Aging in Alzheimer’s Disease: Application of Deep Learning to Structural MRI Data and Cognitive Tests. IEEE Access 2022, 10, 53234–53249. [Google Scholar] [CrossRef]
- Li, K.; Wang, J.; Li, S.; Yu, H.; Zhu, L.; Liu, J.; Wu, L. Feature Extraction and Identification of Alzheimer’s Disease based on Latent Factor of Multi-Channel EEG. IEEE Trans. Neural Syst. Rehabil. Eng. 2021, 29, 1557–1567. [Google Scholar] [CrossRef]
- Bendl, J.; Hauberg, M.E.; Girdhar, K.; Im, E.; Vicari, J.M.; Rahman, S.; Fernando, M.B.; Townsley, K.G.; Dong, P.; Misir, R.; et al. The three-dimensional landscape of cortical chromatin accessibility in Alzheimer’s disease. Nat. Neurosci. 2022, 25, 1366–1378. [Google Scholar] [CrossRef] [PubMed]
- Batool, A.; Hussain, M.; Abidi, S.M.R. A Brief Review of Big Data used in Healthcare Organization-Survey study. J. NCBAE 2022, 1, 8–18. [Google Scholar]
- Kabir, M.T.; Uddin, S.; Begum, M.; Thangapandiyan, S.; Rahman, S.; Aleya, L.; Mathew, B.; Ahmed, M.; Barreto, G.E.; Ashraf, G. Cholinesterase inhibitors for Alzheimer’s disease: Multitargeting strategy based on anti-Alzheimer’s drugs repositioning. Curr. Pharm. Des. 2019, 25, 3519–3535. [Google Scholar] [CrossRef] [PubMed]
- Minocha, T.; Birla, H.; Obaid, A.A.; Rai, V.; Sushma, P.; Shivamallu, C.; Moustafa, M.; Al-Shehri, M.; Al-Emam, A.; Tikhonova, M.A.; et al. Flavonoids as Promising Neuroprotectants and Their Therapeutic Potential against Alzheimer’s Disease. Oxidative Med. Cell. Longev. 2022, 2022, 6038996. [Google Scholar] [CrossRef]
- Li, J.; Sun, M.; Cui, X.; Li, C. Protective Effects of Flavonoids against Alzheimer’s Disease: Pathological Hypothesis, Potential Targets, and Structure–Activity Relationship. Int. J. Mol. Sci. 2022, 23, 10020. [Google Scholar] [CrossRef]
- Kaur, R.; Sood, A.; Lang, D.K.; Bhatia, S.; Al-Harrasi, A.; Aleya, L.; Behl, T. Potential of flavonoids as anti-Alzheimer’s agents: Bench to bedside. Environ. Sci. Pollut. Res. 2022, 29, 26063–26077. [Google Scholar] [CrossRef]
- Cheng, J.; Wang, H.; Wei, S.; Liu, F.; Chen, Y. Alzheimer’s Disease Prediction Algorithm Based on Group Convolution and a Joint Loss Function. Comput. Math. Methods Med. 2022, 2022, 1854718. [Google Scholar] [CrossRef]
- El-Sappagh, S.; Saleh, H.; Ali, F.; Amer, E.; Abuhmed, T. Two-stage deep learning model for Alzheimer’s disease detection and prediction of the mild cognitive impairment time. Neural Comput. Appl. 2022, 34, 14487–14509. [Google Scholar] [CrossRef]
- Jiang, J.; Wang, M.; Alberts, I.; Sun, X.; Li, T.; Rominger, A.; Zuo, C.; Han, Y.; Shi, K.; Initiative, F.T.A.D.N. Using radiomics-based modelling to predict individual progression from mild cognitive impairment to Alzheimer’s disease. Eur. J. Nucl. Med. 2022, 49, 2163–2173. [Google Scholar] [CrossRef]
- Park, C.J.; Seo, Y.; Choe, Y.S.; Jang, H.; Lee, H.; Kim, J.P.; Initiative, F.T.A.D.N. Predicting conversion of brain β-amyloid positivity in amyloid-negative individuals. Alzheimer’s Res. Ther. 2022, 14, 129. [Google Scholar] [CrossRef]
- Shanmugam, J.V.; Duraisamy, B.; Simon, B.C.; Bhaskaran, P. Alzheimer’s disease classification using pre-trained deep networks. Biomed. Signal Process. Control 2021, 71, 103217. [Google Scholar] [CrossRef]
- Alessandrini, M.; Biagetti, G.; Crippa, P.; Falaschetti, L.; Luzzi, S.; Turchetti, C. EEG-Based Alzheimer’s Disease Recognition Using Robust-PCA and LSTM Recurrent Neural Network. Sensors 2022, 22, 3696. [Google Scholar] [CrossRef] [PubMed]
- Mahendran, N.; PM, D.R.V. A deep learning framework with an embedded-based feature selection approach for the early detection of the Alzheimer’s disease. Comput. Biol. Med. 2022, 141, 105056. [Google Scholar] [CrossRef] [PubMed]
- Zhou, K.; Liu, Z.; He, W.; Cai, J.; Hu, L. Application of 3D Whole-Brain Texture Analysis and the Feature Selection Method Based on within-Class Scatter in the Classification and Diagnosis of Alzheimer’s Disease. Ther. Innov. Regul. Sci. 2022, 56, 561–571. [Google Scholar] [CrossRef] [PubMed]
- Eroglu, Y.; Yildirim, M.; Cinar, A. mRMR -based hybrid convolutional neural network model for classification of Alzheimer’s disease on brain magnetic resonance images. Int. J. Imaging Syst. Technol. 2021, 32, 517–527. [Google Scholar] [CrossRef]
- Lanjewar, M.G.; Parab, J.S.; Shaikh, A.Y. Development of framework by combining CNN with KNN to detect Alzheimer’s disease using MRI images. Multimed. Tools Appl. 2022, 82, 12699–12717. [Google Scholar] [CrossRef]
- Song, M.; Jung, H.; Lee, S.; Kim, D.; Ahn, M. Diagnostic Classification and Biomarker Identification of Alzheimer’s Disease with Random Forest Algorithm. Brain Sci. 2021, 11, 453. [Google Scholar] [CrossRef]
- Cui, X.; Xiao, R.; Liu, X.; Qiao, H.; Zheng, X.; Zhang, Y.; Du, J. Adaptive LASSO logistic regression based on particle swarm optimization for Alzheimer’s disease early diagnosis. Chemom. Intell. Lab. Syst. 2021, 215, 104316. [Google Scholar] [CrossRef]
- AbdulAzeem, Y.; Bahgat, W.M.; Badawy, M. A CNN based framework for classification of Alzheimer’s disease. Neural Comput. Appl. 2021, 33, 10415–10428. [Google Scholar] [CrossRef]
- Apostolova, L.G. Alzheimer disease. Contin. Lifelong Learn. Neurol. 2016, 22, 419. [Google Scholar] [CrossRef]
- Pan, X.; Fei, G.; Lu, J.; Jin, L.; Pan, S.; Chen, Z.; Wang, C.; Sang, S.; Liu, H.; Hu, W.; et al. Measurement of Blood Thiamine Metabolites for Alzheimer’s Disease Diagnosis. Ebiomedicine 2016, 3, 155–162. [Google Scholar] [CrossRef] [PubMed]
- Jain, R.; Jain, N.; Aggarwal, A.; Hemanth, D.J. Convolutional neural network based Alzheimer’s disease classification from magnetic resonance brain images. Cogn. Syst. Res. 2019, 57, 147–159. [Google Scholar] [CrossRef]
Disclaimer/Publisher’s Note: The statements, opinions and data contained in all publications are solely those of the individual author(s) and contributor(s) and not of MDPI and/or the editor(s). MDPI and/or the editor(s) disclaim responsibility for any injury to people or property resulting from any ideas, methods, instructions or products referred to in the content. |
© 2023 by the authors. Licensee MDPI, Basel, Switzerland. This article is an open access article distributed under the terms and conditions of the Creative Commons Attribution (CC BY) license (https://creativecommons.org/licenses/by/4.0/).



