Abstract
Papaverine is one of the isoquinoline alkaloids derived from opium which is a vasodilator and smooth muscle relaxant. Using its chemical structure as a basic model, we synthesized 2-chloro-N-(1-(3,4-dimethoxyphenyl)propan-2-yl)-2-phenylacetamide as an isoquinoline precursor (IQP). Aim: Clarifying the nature of the relationship between IQP as a new biologically active molecule and the neurotransmitters acetylcholine (ACh) and serotonin (5-hydroxytryptamine, 5-HT), as well as with the nitric oxide (NO). Materials and methods: The IQP compound was tested on the isolated gastric smooth muscle preparations (SMPs) from rats to determine its effects on spontaneous contractile activity. NO concentration in tissue homogenates was determined, and immunohistochemistry was used to visualize the expression of neuronal nitric oxide synthase (nNOS) and endothelial nitric oxide synthase (eNOS) in smooth muscle (SM) cells. Results: The data from the isometric measurements suggest that IQP has an additional specific action affecting the intracellular signaling pathways of 5-HT. Using immunohistochemistry, we found that the combination of 5-HT and IQP affected the density and intensity of nNOS-positive cells, which increase significantly in the myenteric plexus and SM cells. Conclusions: In conclusion, IQP is involved in the regulation of intestinal neurons expressing nNOS, affects the function of nNOS/NO, and, by this mechanism, probably regulates the spontaneous contractile activity of gastric SM.
1. Introduction
The neurotransmitter serotonin has key roles in mood, libido, aggression, anxiety, cognition, sleep, appetite, and pain, and it also regulates peripheral functions in the cardiovascular, gastrointestinal, endocrine, and pulmonary systems [,,,]. The 5-HT2A agonist structures generally fall into one of the three categories: phenethylamines, tryptamines, and ergolines []. There is a clinical need for more highly 5-HT2 subtype-selective ligands, and the most attention has been given to the phenethylamine class (Figure 1) [].

Figure 1.
Chemical structures of 5-HT and phenethylamine.
In essence, isoquinoline alkaloids are derived from phenylethylamines [].
Isoquinoline alkaloids are a large family of phytochemicals found in a number of plants. They occur predominantly in families such as Papaveraceae, Berberidaceae, and Ranunculaceae and possess remarkable biological activities. These groups of alkaloids have various types of medicinal properties such as antiviral, antifungal, anticancer, antioxidant, and antispasmodic properties, and they are enzyme inhibitors [,,]. Considering the structure, this group can be divided into two major categories: simple isoquinolines, which are composed of a benzene ring fused to a pyridine ring, and benzylisoquinolines, which contain a second aromatic ring [].
Doubtless, papaverine is one of the main isoquinoline alkaloids used as a vasodilator and SM relaxant. Papaverine belongs to the benzylisoquinoline alkaloid group, having a nitrogen-containing heterocyclic ring; for decades the compound has been known as a brain and coronary vasodilator, muscle relaxant, as well as for its non-specific spasmolytic activity []. The smooth musculature of the larger blood vessels is relaxed, including the coronary, systemic peripheral, and pulmonary arteries. The vasodilation effect of papaverine has been credited to the inhibition of cyclic nucleotide phosphodiesterases, with resulting rises in intracellular levels of the cyclic adenosine monophosphate (cAMP) and cyclic guanosine monophosphate (cGMP) accompanied by declines in Ca2+. This alkaloid produces a prolonged myocardial refractory period by decreasing the conduction rate [,,]. In this regard, isoquinoline can be an important starting point for new drug discovery. Considering the structure of phenethylamine and papaverine, we investigated the synthesis of an isoquinoline precursor, IQP, a compound that can be further cyclized into a compound with a benzylisoquinoline ring (Figure 2).

Figure 2.
Chemical structures of papaverine and IQP.
Using the chemical structure of papaverine as a base model, we synthesized an amide, as an isoquinoline precursor, namely 2-chloro-N-((S)-1-(3,4-dimethoxyphenyl)propan-2-yl)-2-phenylacetamide (IQP, 6), and applied the following synthetic Scheme 1:

Scheme 1.
Synthesis of IQP.
Investigation and identification of some of the mechanisms of ex vivo effects caused by IQP on the SMs would expand knowledge about the specific action of isoquinoline precursors.
SMs are an appropriate target for such experiments, as they have a composition of a wide variety of receptors, which in turn allows the study of many different mechanisms and pathways []. A typical physiological response of this type of cells to the activation of membrane-localized receptors is a subsequent contractile or relaxant mechanical reaction that can be registered [,]. These processes are possible through changes in the cytosolic level of Ca2+ or secondary messengers such as NO obtained in a reaction catalyzed by nitric oxide synthase (NOS) []. This is the reason why rat gastric SMPs are a preferred model for studying the mechanism of action of various newly synthesized biologically active compounds. In the present study, circularly isolated SMPs were used to establish the mechanism of manifestation of a relaxation reaction by IQP.
2. Materials and Methods
2.1. Synthesis of the Target Compound
All solvents and reagents were purchased from Merck and Sigma-Aldrich. Melting points were determined on a Boetius hot stage apparatus and are uncorrected. All the compounds were characterized by 1H NMR, 13CNMR, IR, and microanalysis. The purity of these compounds was determined by TLC using several solvent systems of different polarity. TLC was carried out on precoated 0.2 mm Fluka silica gel 60 plates (Merck KGaA, Darmstadt, Germany) using chloroform: diethyl ether: n-hexane = 6:3:1 as a chromatographic system. Elemental analyses were performed with a TruspecMicro (LECO, Mönchengladbach, Germany). Neutral Al2O3 was used for column chromatographic separation. The products, after evaporation of the solvent, were purified by recrystallization from diethyl ether.
IR spectra were determined on a VERTEX 70 FT-IR spectrometer (Bruker Optics, Germany). 1H NMR and 13C NMR spectra were recorded on a Bruker Avance III HD 500 spectrometer (Bruker, Billerica, MA, USA) at 500 MHz (1H NMR) and 125 MHz (13C NMR), respectively. Chemical shifts are provided in relative ppm and were referenced against tetramethylsilane (TMS) (δ = 0.00 ppm) as an internal standard; the coupling constants are indicated in Hz. The NMR spectra were recorded at room temperature (ac. 295 K). Mass analyses were carried out on a Q Exactive Plus mass spectrometer (Thermo Fisher Scientific, Waltham, MA, USA). Liquid chromatography with mass detection (LC-MS/MS) of analytes was performed using the chromatographic system Thermo Dionex Ultimate 3000 LC and triple quadrupole mass spectrometer Thermo TSQ Quantum Access MAX (Thermo Fisher Scientific, MA, USA), with HESI (Heated Electrospray Ionization). The chromatographic system includes a quaternary two-piston pump, autosampler, and column thermostat. Chromatographic separation was performed under isocratic conditions on a coreshell AccucoreTM RP-MS 100 × 2.1 mm, 2.6 μm particles analytical column (Thermo Fisher Scientific, MA, USA).
Chromatographic Condition and MS Parameter Optimization: To avoid residual signals and inaccuracies, the chromatographic conditions were established in an isocratic mode for sample analysis. The peak shapes and MS signals of the analytes were improved using mobile phases A: 0.1% formic acid in acetonitrile-water (90:10, v/v) and B: 0.1% formic acid in acetonitrile-water (10:90, v/v) in 40:60 (A:B) ratio at flow rate 0.150 mL min−1. HESI was used for analyte detection in positive ionization mode with spray voltage −4000 V; source temperature 400 °C; sheath gas pressure 30; vaporizer temperature 350 °C; capillary temperature 270 °C. Protonated molecules of analyte and IS were used as precursor ions for selected reaction monitoring (SRM).
IQP (6) was synthesized from starting (2S)-methyl-N-tosylaziridine 1, a known compound prepared according to a standard procedure from commercially available (S)-alanine []. A nucleophilic ring opening with 4-bromoanisole 2 in THF and dry CuI was obtained. The desulfonylation was carried out with magnesium in methanol under ultrasonic conditions [], and we did not find any racemization of the stereogenic center. That allows us to obtain (S)-1-(3,4-dimethoxyphenyl)propan-2-amine 4.
(S)-1-(3,4-dimethoxyphenyl)propan-2-amine (4): yellow liquid, 1H-NMR: 1.17 (d, J = 6.1, 3H, CH-CH3), 2.03 (broad s, 2H, NH2), 2.48–2.56 (m, 1H, CH2), 2.67–2.74 (m, 1H, CH2), 3.16–3.21 (m,1H, CH-CH3), 3.88 (s, 3H, OCH3), 3.90 (s, 3H, OCH3), 6.74–6.77 (m, 2H, Ar), 6.82–6.85 (m, 1H, Ar); 13C-NMR: 148.9, 147.6, 121.2, 112.5, 111.4, 55.95, 55.9, 48.6, 45.8, 23.2. Anal. calcd. for C11H17NO2: C, 67.66; H, 8.78; N, 7.17; Found: C, 67.67; H, 8.75; N, 7.18. HRMS Electrospray ionization (ESI) m/z 197.8069.
The amine 4 dissolved in dichloromethane was allowed to undergo acylation with 2-chloro-2-phenylacetyl chloride 5 using the following protocol:
A total of 1.5 mmol of the acyl chloride, namely 2-chloro-2-phenylacetyl chloride 5, in dichloromethane (10)mL was added to a solution of 1 mmol (S)-1-(3,4-dimethoxyphenyl)propan-2-amine 4. Then, 1.5 mmol N(C2H5)3 was added in 10 min. In about 30 min, the reaction mixture was washed consequently with diluted HCl (1:4), Na2CO3, and H2O, then dried with anhydrous Na2SO4, filtered on the short column filled with neutral Al2O3, and concentrated.
The spectral data confirm the presented structure.
2-chloro-N-((S)-1-(3,4-dimethoxyphenyl)propan-2-yl)-2-phenylacetamide (IQP, 6): mp = 87–89 °C, 70% yield, 1H-NMR: 1.21 (dt, J = 17.1, 7.5, 3H, CH-CH3), 2.72–2.84 (m, 2H, CH2), 3.79 (s, 3H, OCH3), 3.86 (s, 3H, OCH3), 4.24–4.32 (m, 1H, CH-CH3), 5.30–5.31 (m, 1H, NH), 6.59 (s, 1H, CH-Cl), 6.70–6.71 (m, 1H, Ar), 6.78–6.81 (m, 1H, Ar), 7.10–7.12 (m, 1H, Ar), 7.25–7.26 (m, 2H, Ar), 7.33–7.38 (m, 3H, Ar); 13C-NMR: 166.5, 149.0, 148.9, 147.8, 137.2, 129.9, 128.9, 127.7, 121.6, 121.4, 112.5, 111.2, 61.9, 55.9, 55.8, 46.96, 41.8, 20.5; IR(KBr) νmax, cm−1: 3330 v(N–H, >NH), 2965 v(C–H, –CH3), 2924 v(C–H, >CH2), 1639 v(C=O), 1518 v(C–C=C, Ph), δ(>CH2), 1375 δ(–CH3); HESI m/z found 347.96.
2.2. SM Preparations from Wistar Rats
Male Wistar rats with body weight in the range 240–280 g were used. Two or three muscle strips were taken from one rat gastric corpus in situ, separating the muscle tissue and preserving the mucosa intact. SMPs of circular dissection, 12–13 mm in length and 1.0–1.1 mm in width were used to record isometrically the contractile activity (CA). The preparations indicated by n were obtained under conditions of continuous irrigation of the tissues with a pre-aerated preparation solution containing NaCl/KCl/CaCl2 in 27.2/1.1/1 ratio with temperature of 4 °C.
All procedures were approved by the Institutional Animal Care Bulgaria and are in compliance with the EU Directive 2010/63/EU.
2.3. Drugs, Solutions, Chemicals, and Immunoreagents
The following medicines and chemicals were obtained from the Sigma Chemical Company (St. Louis, MO, USA): ACh, Aminoguanidine hydrochloride, Carbamoylcholine chloride (CCh), Bethanechol Chloride, L-arginine, Nω-Nitro-L-arginine (L-NNA), 5-HT, N-(1-naphthyl)ethylenediamine dihydrochloride, sulfanilic acid, NADPH, H3PO4, and DMSO.
The Krebs solution used (pH = 7.4) had the following content (mμM): NaCl—120; KCl—5.9; CaCl2—2.5; MgCl2—1.2; NaH2PO4—1.2; NaHCO3—15.4; and glucose—11.5. The pH of the solution was measured prior to each experiment by HI5521 (Hanna instruments, USA). The Krebs solution was tempered up to 37 °C and constantly aerated with a gaseous mixture of 95% O2 and 5% CO2.
Catalog No. E-AB-70065 polyclonal antibody Neuronal Nitric Oxide Synthase (nNOS1) and Catalog No. E-AB-32268 Polyclonal Antibody Endothelial Nitric Oxide Synthase (eNOS3) (Ellabscience Biotechnology Inc., Houston, TX, USA); washing buffer (50 mM TRIS, pH 7.6, 150 mM NaCl, 0.05% Tween-20, TTBS), Biotin Blocking Kit, catalogue No BBK 120, ScyTek Laboratories, Inc., Logan, UT, USA; 3,3’-diaminobenzidine tetrahydrochloride (DAB, Catalog. No ACV500 Scy Tek., Logan, UT, USA), alcohols of ascending concentration (70%, 80%, 96%, 100%).
2.4. Method of Studying Spontaneous CA of Isolated SM Preparations
The SM strips were placed in a tissue bath containing Krebs solution and were attached to a stationary glass holder at one end and to Swema tensodetectors (Stockholm, Sweden) at the other. The signal of the tensodetectors presenting the SM tissue CA was amplified by K. Tesar—D 486 amplifier and isometrically recorded by Linseis polygraph recorder (Selb, Germany).
The value of the initial mechanical tension of the preparations, obtained by stretching the tension system, corresponded to a tension force of 10 mN. To stabilize the muscle tonus and spontaneous CA, about 60 min were allowed to elapse, during which period the Krebs solution in the tissue bath was changed three times. The substance-induced alterations (contraction or relaxation) were recorded as a positive or negative change with regard to this value.
The influence of the substances under study was investigated after adding a precisely determined amount of concentrated solution of the respective substance, so that its required concentration in the tissue bath could be achieved. SM tissue vitality was tested by adding ACh (1 μM) at the baseline twice and at the end of each application of the substances used.
2.5. Determination of Nitric Oxide Concentration in Tissue Homogenates
A Griess reagent was used to determine the concentration of NO in homogenates of SMPs treated with IQP []. For this purpose, solutions of N-(1-naphthyl)ethylenediamine dihydrochloride (1 mg/mL) in distilled water and sulfanilic acid (10 mg/mL) in 5% H3PO4 were prepared. The two solutions were mixed in a 1:1 ratio immediately before the experiments.
After 5 h of incubation and treatment with L-arginine (1 mM) or with IQP at 37 °C, the SMPs were dried and weighed, and 0.2 mL of Krebs solution was added for each mg of tissue. What followed was a homogenization of the preparations for 1 min at a maximum speed of Kinematica homogenizer and centrifugation for 10 min at 9000× g. The supernatants obtained after the centrifugation and tissue bath solutions were analyzed for the presence of nitrites and nitrates. For calibrators, standard NaNO2 solutions in the concentration range 5–25 μM were used.
A total of 25 µL FAD (0.1 mM), 50 µL NADPH (1 mM), and 10 µL nitrate reductase was added to 415 µL of standard or test solutions and incubated for 30 min at 37 °C to reduce nitrate ions to nitrite ions. Unreacted NADPH was removed by adding 50 μL of 10 mM K3[Fe (CN)6]. The samples were re-incubated for 10 min at room temperature, and 1 mL of Griess reagent was added. The absorbance at λ = 543 nm was measured.
2.6. Histology and Histochemistry
The SM fragments from a rat’s gastric wall were fixed in a 10% neutral formalin solution and embedded in paraffin. Paraffin sections of 5 μm thickness were subjected to hematoxylin and eosin (H-E) staining for immunohistochemical analysis.
2.7. Hematoxylin-Eosin Staining
The sections were stained with Mayer’s hematoxylin (5 min) and differentiated in tap water (20 min). After completion of the differentiation, the sections were stained with water-soluble eosin for 5 min. The subsequent stained sections were dehydrated again in ascending grades of ethanol (70%, 95%, 100%), cleared in xylene (2 × 10 min), and covered with Canadian balm.
2.8. Immunohistochemistry
Sections of the SM fragments from the wall of a rat’s stomach with a thickness of 5 µm were deparaffinized, then subjected to antigenic detection of the epitopes with citrate buffer, and an endogenous peroxidase blockade was made with hydrogen peroxidase 3%, a kit was used to block the endogenous biotin, and a reagent was used to block non-specific binding (Superblock, Scy Tek) follows incubate for 24 h (at 4 °C) with monoclonal mouse anti- NOS1, anti- NOS3, next incubated with a secondary antibody: biotinylated anti-rabbit for 10 min at room temperature. The reaction was visualized with 3,3′-diaminobenzidine tetrachloride and counterstained with Mayer’s hematoxylin. The preparations were observed with a light microscope at magnification levels of ×200 and ×400.
2.9. Quantitative Analysis of Immunohistochemical Reactions
A quantitative and statistical analysis of immunohistochemical reaction using the Olympus DP-Soft image system (version 4.1 for Windows) was carried out on a Microphot-SA (Nikon, Japan) microscope equipped with a Camedia-5050Z digital camera (Olympus, Japan). The analysis was performed on sections from the SM strips from the stomach of Wistar rats (n = 6 for each group). Five sections of the SM strips were measured, and the percentage of cells expressing NOS1 and NOS3 in the circular and longitudinal layer of SM cells, as well as in myenteric plexus of the stomach, was determined. Each antibody was analyzed for five fields, in each of them the average number of cells with positive unit area response at ×200 magnification by means of a graduated grating (6 × 5 fields, each field having a size of 100 μm2) was determined.
2.10. Statistical Processing
The results obtained were statistically processed using the specialized STATISTICA program. The mean value of the respective index (mean) and its standard error (SEM) were calculated using a variation analysis.
The data obtained were expressed as the mean ± standard error of the mean (SEM). The Student’s t-test was used to identify the statistical significance, p < 0.05.
3. Results and Discussion
In our preliminary studies we found that, when administering IQP (50 μM) on the isolated smooth gastric muscle of rats, IQP exhibits a relaxation effect [].
It is well known that the main prerequisite for SM relaxation is the reduction of intracellular Ca2+ concentration. This reduction can be obtained by the inhibition of transmembrane Ca2+ transport, reduced release of Ca2+ from intracellular Ca2+ depots, and activation of various types of Ca2+ pumps, as well as the synchronous (or sequential) activation of several of the above-mentioned processes [,,].
This course of action can be activated or inhibited under the influence of basic neurotransmitters affecting cholinergic transmission [].
NO is a chief inhibitory non-adrenergic, non-cholinergic (NANC) neurotransmitter in the gastro-intestinal tract (GI) [,,,,,]. NO is released as a response to nervous stimulation and causes SM relaxation in the gastro-intestinal tract []. NO is a gaseous messenger molecule functioning mainly in vascular regulation, immunity, and neurotransmission []. NO is formed from L-arginine by NOS.
The lack of this key enzyme, linked to the impaired local release of NO, may be responsible for results in impaired relaxation in the gastro-intestinal tract, which occurs in various diseases such as diabetic neuropathy, diabetes Type 1, etc. [].
In this regard, what is interesting is the clarification of the interrelationship between IQP in its role as a new biologically active molecule with the neurotransmitters ACh and 5-HT, as well as with the non-cholinergic neurotransmitter NO.
3.1. Mutual Influence on the Effectivity Caused by Neurotransmitters and IQP on Rat Circular Gastric SM
ACh or 5-HT alone in concentration 1 μM on SMPs cause a contractile effect. ACh (1 μM) accomplished after IQP (50 μM) does not alter the power of its response. Irrespective of the similar pharmacological activity of both neurotransmitters, the contractile effect of 5-HT in the presence of IQP (50 μM) is significantly reduced by more than 50%. Under experimental conditions performed in reverse order—initial incubation with IQP and subsequent administration of a neurotransmitter—the results again show significant interaction only in the combination of IQP and 5-HT. A comparison between the control and remnant relaxing activity of each of the agents is shown in Table 1. Data from the conducted isometric measurements give us the ground to suggest that IQP possesses additional specific action affecting the serotonin intracellular signal pathways without influencing significantly the ACh modulatory effect on the spontaneous CA.

Table 1.
Mutual influence on the CA caused by IQP and exogenous drags on rat circular gastric SMPs (auto-control). The comparison is between the auto-control and interaction of exogenous reagents; * p < 0.05.
3.2. The Relaxation Effect of IQP Observed in SM Tissues Precontracted by the Addition of Acetylcholinesterase Resistant Substances
Choline esters include ACh, methacholine, and CCh и bethanechol. While ACh has a wide range of activities and especially fast hydrolysis of ACh-esterase (AChE) and pseudocholinesterase, CCh and bethanechol are resistant to cholinesterases []. This resistance to AChE prolongs their duration of action. We applied CCh or bethanechol in a concentration of 0.5 μM at the beginning and end of a 5 h incubation of the tested SMPs in Krebs solution changed every 45 min. According to Zheng et al., a considerable amount of iNOS is expressed in SM tissues for this period, and, if IQP influences the activity of the enzyme, it means that the method used by us would allow us to register a change in the relaxation reaction as a consequence of the increased levels of NO []. Our experimental data shows that the tonic relaxation reaction caused by IQP is almost twice as expressed in over-contracted muscles. The more pronounced IQP reaction in comparison to CCh or bethanechol allowed us the opportunity to find out that, after a 5 h incubation, the tonic relaxation has a fully preserved value (Figure 3a,b).

Figure 3.
(a) Changes in the tonus of the SMPs caused by IQP in the presence of CCh (0.5 µM) (p > 0.05; n = 13); (b) bethanechol (0.5 µM) (p > 0.05; n = 13). The “-” sign indicates the SM relaxation process. The solvent DMSO induced mild relaxation, the value of which was taken as the baseline for subsequent relaxation effects.
3.3. The Effect of NO, iNOS, and nNOS on IQP-Induced Relaxation of the SM Tissues
Pre-treatment of SMPs with a precursor of NO synthesis—L-arginine (10 μM) and subsequent exposure to IQP (50 μM) did not cause a significant change in the relaxation response of the test substance. The relaxation response of the isoquinoline precursor after the specific blockade of nNOS, eNOS, and inducible nitric oxide synthase (iNOS) by the single or combined administration of L-NNA (10 μM) and aminoguanidine (10 μM) was also statistically insignificant (Table 1).
The application of a spectrophotometric method for measuring the level of NO showed that SMP homogenates incubated for 5 h with L-arginine (100 µM) or IQP (50 µM) do not contain measurable amounts of NO (n = 16, p = 12).
The unchanged tonic reaction of IQP in the conditions of prolonged incubation and preliminary NOS blocking, as well as in the lack of measurable amounts in tissue homogenates and the lack of expression in histological tests, gives us the grounds to exclude iNOS participation in relaxation caused by IQP.
While iNOS is induced and synthesized in certain prolonged (5 to 8 h) external influences on the cells, and its activity is unrelated to Ca2+ concentration, the other two isoforms (nNOS and eNOS) are expressed in mammal cells incessantly and synthesize nitrogen oxide as a response to increased intracellular Ca2+ concentration and, in some cases, as a response to other stimuli [].
Our interest was caused by multiple increases in nNOS expression following the joint application of 5-HT and IQP which was established through an immunohistochemical measurement.
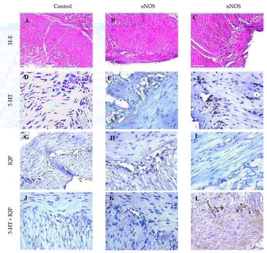
3.4. Histological Analysis—Hematoxylin-Eosin (X-E)
In the histological analysis, the circularly dissected SMPs were incubated for 20 min with 5-HT (1 µM), IQP (50 µM) and a combination of the two substances (IQP + 5-HT) and stained with X-E. There are no clear changes in the SM of the stomach located in two layers—transverse and longitudinal (Figure 4A–C). No changes were found in both the ganglion plexus—the myenteric and the submucosal plexus.

Figure 4.
Histologic and immunohistochemical results from SM of the stomach and myenteric plexus. (A) preparation incubated with 5-HT, H-E staining, ×20; (B) incubated with IQP, H-E staining, ×20; (C) incubated with 5-HT + IQP, H-E; staining, ×20; (D) incubated with 5-HT, control, ×20; (E;) incubated with 5-HT, presence of slight eNOS expression of in myenteric plexus, ×20; (F) incubated with 5-HT, presence of slight nNOS expression of in myenteric plexus and neuronal branches between SM cells, ×20; (G) incubated with IQP, control, ×20; (H) incubated with IQP, lack of eNOS expression, ×20; (I) incubated with IQP, single cells are positive for nNOS in myenteric plexus and SM cells, ×20; (J) incubated with 5-HT + IQP, control, ×20; (K) incubated with 5-HT + IQP, presence of slight eNOS expression in myenteric plexus and SM cells, ×20; and (L) incubated with 5-HT + IQP, increased intensity and density in the nNOS manifestation in myenteric plexus and SM cells, ×20.
3.4.1. Immunoreactivity for nNOS
We found isolated expression of nNOS in SM cells in preparations incubated with 5-HT; in IQP-incubated preparations we found very low, barely noticeable expressions of nNOS in SM cells and low expression in the myenteric plexus located between the circular and longitudinal layers of the SM layers of the stomach. Using a combination of 5-HT and IQP, we found that the density and intensity of nNOS-positive cells increases significantly in the myenteric plexus and SM cells in the incubated preparations (Figure 4L) in comparison to controls (Figure 4D,G) and 5-HT (Figure 4E) and IQP (Figure 4I) substances alone. This increase is also confirmed by the statistical data processing (Figure 5).

Figure 5.
Data from the measurement of the immunoreactivity of nNOS in circular and longitudinal SM cells and the myenteric plexus of the stomach are presented. A t-test was used. ** p < 0.05.
3.4.2. Immunoreactivity for eNOS
Immunohistochemical staining for eNOS revealed no visualization of eNOS in preparations incubated with 5-HT and in preparations incubated with IQP in SM cells as well as in the myenteric plexus, but, in preparations incubated with IQP +, 5-HT expression was registered, although it was slight with both types of cells (Figure 4).
The results suggest that IQP has regulatory effects on the serotonergic system, mediated through the enzyme nNOS. In addition, these results, although speculatively, suggest that IQP participates in the regulation and activity of 5-HT and its neuroendocrine functions.
The present results show that the application of IQP simulates nNOS activity and NO generation as a mediator in the relaxation effects of smooth muscle.
In agreement with these findings, the in vivo administration of NO inhibitors has been shown to increase the neuronal contents of 5-HT in rat raphe nuclei and 5-HT release from the hippocampus and hypothalamus under normoxic conditions [].
Conversely, administration of S-nitroso-N-acetypenicillamine (SNAP, a NO-donor) markedly decreases 5-HT contents in the hypothalamus, frontal cortex, and raphe nuclei of rat brains under normoxic conditions [,].
The obtained measurement results showed a statistically significant difference between the measured values in the group of preparations treated with 5-HT and IQP, compared to 5-HT + IQP. The analysis of the results of the mean distribution of nNOS in SM cells showed a significantly higher number of nNOS and positive cells per slice when treated with IQP + 5-HT compared to those treated with only 5-HT and IQP (p < 0.05). The myenteric plexus statistical analysis showed a significantly higher number of nNOS-positive slice cells in preparations treated with IQP + 5-HT compared with those treated with only 5-HT and IQP (Figure 5).
NO is a simple and unique molecule which performs many and various functions, including those of an intracellular second messenger and an intracellular mediator. In this respect, the study of new molecules stimulating the expression of NOS1 or NOS3, which would stimulate an increased local NO production, is especially important. This issue has important clinical and treatment consequences which must be kept in mind when designing new immunomodulating therapies relying on NOS expression to fight viruses, cancer, or other infectious diseases.
4. Conclusions
In conclusion, IQP participates in the regulation of enteric neurons expressing nNOS, influences nNOS/NO function and, by this mechanism, probably regulates the spontaneous CA of gastric SM.
Future studies with gene expression would enrich the pharmacological activity of IQP and would allow the application of new experimental models for the observation of the biological effects impacting isoquinolines.
Author Contributions
Conceptualization, I.S. and V.G.; methodology, S.N., M.P. and V.G.; investigation, V.G., M.P., S.N. and I.S.; writing–original draft preparation, I.S.; visualization, V.G. and M.P.; supervision, I.S. All authors have read and agreed to the published version of the manuscript.
Funding
This research received no external funding.
Institutional Review Board Statement
The procedures used in this study agreed with the European Communities Council Directive 2010/63/EU for animal experiments. The experimental procedures were conducted following national rules on animal experiments and were approved by the Bulgarian Food Safety Agency (No 229/No 145/09.04.2019).
Informed Consent Statement
Not applicable.
Data Availability Statement
Not applicable.
Conflicts of Interest
The authors declare no conflict of interest.
References
- Berger, M.; Gray, J.A.; Roth, B.L. The expanded biology of serotonin. Annu. Rev. Med. 2009, 60, 355–366. [Google Scholar] [CrossRef] [PubMed]
- Ramage, A.G.; Villalon, C.M. 5-hydroxytryptamine and cardiovascular regulation. Trends Pharmacol. Sci. 2008, 29, 472–481. [Google Scholar] [CrossRef] [PubMed]
- Monti, J.M.; Jantos, H. The roles of dopamine and serotonin, and of their receptors, in regulating sleep and waking. Prog. Brain Res. 2008, 172, 625–646. [Google Scholar] [CrossRef] [PubMed]
- Gershon, M.D.; Tack, J. The serotonin signaling system: From basic understanding to drug development for functional GI disorders. Gastroenterology 2007, 132, 397–414. [Google Scholar] [CrossRef]
- Nichols, D.E. Hallucinogens. Pharmacol Ther. 2004, 101, 131–181. [Google Scholar] [CrossRef] [PubMed]
- Isberg, V.; Paine, J.; Leth-Petersen, S.; Kristensen, J.L.; Gloriam, D.E. Structure-activity relationships of constrained phenylethylamine ligands for the serotonin 5-HT2 receptors. PLoS ONE 2013, 8, e78515. [Google Scholar] [CrossRef][Green Version]
- Bentley, K.W. Beta-phenylethylamines and the isoquinoline alkaloids. Nat. Prod. Rep. 2001, 18, 148–170. [Google Scholar] [CrossRef]
- Thomas, R. Biogenetic speculation and biosynthetic advances. Nat. Prod. Rep. 2004, 21, 224–248. [Google Scholar] [CrossRef]
- Dey, P.; Kundu, A.; Kumar, A.; Gupta, M.; Lee, B.M.; Bhakta, T.; Dash, S.; Kim, H.S. Analysis of alkaloids (indole alkaloids, isoquinoline alkaloids, tropane alkaloids). In Recent Advances in Natural Products Analysis; Elsevier: Amsterdam, The Netherlands, 2020; pp. 505–567. [Google Scholar] [CrossRef]
- Khan, A.Y.; Kumar, G.S. Natural isoquinoline alkaloids: Binding aspects to functional proteins, serum albumins, hemoglobin, and lysozyme. Biophys. Rev. 2015, 7, 407–420. [Google Scholar] [CrossRef]
- Chulia, S.; Ivorra, M.D.; Martinez, S.; Elorriaga, M.; Valiente, M.; Noguera, M.A.; Lugnier, C.; Advenier, C.; D’Ocon, P. Relationships between structure and vascular activity in a series of benzylisoquinolines. Br. J. Pharmacol. 1997, 122, 409–416. [Google Scholar] [CrossRef]
- Cocolas, G.H.; Delgado, J.N. Textbook of Organic Medicinal and Pharmaceutical Chemistry; Delgado, J.N., Remers, W.A., Eds.; American Chemical Society: Philadelphia, PA, USA, 1998; pp. 505–551. [Google Scholar]
- Lindner, E. Structure Activities and Pharmacological Properties of the Opium Alkaloids. In The Chemistry and Biology of Isoquinoline Alkaloids; Phillipson, J.D., Roberts, M.F., Zenk, M.H., Eds.; Proceedings in Life Sciences; Springer: Berlin/Heidelberg, Germany; New York, NY, USA; Tokyo, Japan, 1985; pp. 36–46. [Google Scholar] [CrossRef]
- Schmeller, T.; Wink, M. Utilization of alkaloids in modern medicine. In Alkaloids; Springer: Boston, MA, USA, 1998; pp. 435–459. [Google Scholar] [CrossRef]
- Brozovich, F.V.; Nicholson, C.J.; Degen, C.V.; Gao, Y.Z.; Aggarwal, M.; Morgan, K.G. Mechanisms of Vascular Smooth Muscle Contraction and the Basis for Pharmacologic Treatment of Smooth Muscle Disorders. Pharmacol. Rev. 2016, 68, 476–532. [Google Scholar] [CrossRef] [PubMed]
- Ivanov, I.; Nikolova, S.; Aladjov, D.; Stefanova, I.; Zagorchev, P. Synthesis and Contractile Activity of Substituted 1,2,3,4-Tetrahydroisoquinolines. Molecules 2011, 16, 7019. [Google Scholar] [CrossRef] [PubMed]
- Dickens, E.J.; Hirst, G.D.; Tomita, T. Identification of rhythmically active cells in guinea-pig stomach. J. Physiol. 1999, 514, 515–531. [Google Scholar] [CrossRef] [PubMed]
- Amberg, G.C.; Navedo, M.F. Calcium dynamics in vascular smooth muscle. Microcirculation 2013, 20, 281–289. [Google Scholar] [CrossRef]
- Nenajdenko, V.; Karpov, A.; Balenkova, E. A new convenient approach to chiral b-aryl(heteroaryl)alkylamines. Tetrahedron Asymmetry 2001, 12, 2517–2527. [Google Scholar] [CrossRef]
- Bryan, N.S.; Grisham, M.B. Methods to detect nitric oxide and its metabolites in biological samples. Free Radic. Biol. Med. 2007, 43, 645–657. [Google Scholar] [CrossRef]
- Gledacheva, V.N.; Stefanova, I.D.; Slavchev, V.I.; Ardasheva, R.G.; Kristev, A.D.; Nikolova, S.A.; Saracheva, K.E.; Dimitrova, D.S. Impact of a Newly Synthesized Molecule (2-chloro-N-(1-(3,4-dimethoxyphenyl) propan-2-yl)-2-phenylacetamide) on the Bioelectrogenesis and the Contractile Activity of Isolated Smooth Muscles. Folia Med. 2020, 62, 532–538. [Google Scholar] [CrossRef]
- Sanders, K.M.; Ward, S.M.; Koh, S.D. Interstitial cells: Regulators of smooth muscle function. Physiol. Rev. 2014, 94, 859–907. [Google Scholar] [CrossRef]
- Sanders, K.M. Spontaneous Electrical Activity and Rhythmicity in Gastrointestinal Smooth Muscles. In Advances in Experimental Medicine and Biology; Springer: Berlin/Heidelberg, Germany, 2019; Volume 1124, pp. 3–46. [Google Scholar] [CrossRef]
- Kurahashi, M.; Kito, Y.; Baker, S.A.; Jennigs, L.K.; Dowers, J.; Koh, S.D.; Sanders, K.M. A novel postsynaptic signal pathway of sympathetic neural regulation of murine colonic motility. FASEB J. 2020, 34, 5563–5577. [Google Scholar] [CrossRef]
- Tiwari, P.; Dwivedi, S.; Singh, M.P.; Mishra, R.; Chandy, A. Basic and modern concepts on cholinergic receptor: A review. Asian Pac. J. Trop. Dis. 2013, 3, 413–420. [Google Scholar] [CrossRef]
- Li, C.G.; Rand, M.J. Evidence for a role of nitric oxide in the neurotransmitter system mediating relaxation of the rat anococcygeus muscle. Clin. Exp. Pharmacol. Physiol. 1989, 16, 933–938. [Google Scholar] [CrossRef] [PubMed]
- Bult, H.; Boeckxstaens, G.E.; Pelckmans, P.A.; Jordaens, F.H.; Van Maercke, Y.M.; Herman, A.G. Nitric oxide as an inhibitory non-adrenergic non-cholinergic neurotransmitter. Nature 1990, 345, 346–347. [Google Scholar] [CrossRef] [PubMed]
- Barthó, L.; Lefebvre, R.A. Nitric oxide–mediated contraction in enteric smooth muscle. Arch. Int. Pharmacodyn. Ther. 1995, 329, 53–66. [Google Scholar]
- Rand, M.J.; Li, C.G. Nitric oxide as a neurotransmitter in peripheral nerves: Nature of transmitter and mechanism of transmission. Annu. Rev. Physiol. 1995, 57, 659–682. [Google Scholar] [CrossRef] [PubMed]
- Stebbing, J.F.; Brading, A.F.; McC Mortensen, N.J. Nitrergic innervations and relaxant response of rectal circular smooth muscle. Dis. Colon Rectum 1996, 39, 294–299. [Google Scholar] [CrossRef] [PubMed]
- Stebbing, J.F.; Brading, A.F.; Mortensen, N.J. Nitric oxide and the rectoanal inhibitory reflex: Retrograde neuronal tracing reveals a descending nitrergic rectoanal pathway in a guinea-pig model. Br. J. Surg. 1996, 83, 493–498. [Google Scholar] [CrossRef] [PubMed]
- Sanders, K.M.; Ward, S.M. Nitric oxide and its role as a non-adrenergic, non-cholinergic inhibitory neurotransmitter in the gastrointestinal tract. Br. J. Pharmacol. 2019, 176, 212–227. [Google Scholar] [CrossRef]
- Mayer, B.; Hemmens, B. Biosynthesis and action of nitric oxide in mammalian cells. Trends Biochem. Sci. 1997, 22, 477–481. [Google Scholar] [CrossRef]
- Azpiroz, F.; Malagelada, C. Diabetic neuropathy in the gut: Pathogenesis and diagnosis. Diabetologia 2016, 59, 404–408. [Google Scholar] [CrossRef]
- Wrzos, H.F.; Tandon, T.; Ouyang, A. Mechanisms mediating cholinergic antral circular smooth muscle contraction in rats. World J. Gastroenterol. 2004, 10, 3292–3298. [Google Scholar] [CrossRef]
- Zheng, X.L.; Sharkey, K.A.; Hollenberg, M.D. Induction of nitric oxide synthase in rat gastric smooth muscle preparations. Am. J. Physiol. 1997, 273, G1101–G1107. [Google Scholar] [CrossRef] [PubMed]
- Vallance, P.; Leone, A.; Calver, A.; Collier, J.; Moncada, S. Endogenous dimethylarginine as an inhibitor of nitric oxide synthesis. J. Cardiovasc. Pharmacol. 1992, 20, S60–S62. [Google Scholar] [CrossRef] [PubMed]
- Park, C.; Cho, K.; Ryu, J.H.; Shin, K.S.; Kim, J.; Ahn, H.; Huh, Y. 7-Nitroindazole upregulates phosphorylated cAMP response element binding protein, polysialylated-neural cell adhesion molecule and tryptophan hydroxylase expression in the adult rat hippocampus. Brain Res. 2004, 1008, 120–125. [Google Scholar] [CrossRef] [PubMed]
- Rahman, M.S.; Thomas, P. Restoration of tryptophan hydroxylase functions and serotonin content in the Atlantic croaker hypothalamus by antioxidant treatment during hypoxic stress. Front. Neurosci. 2014, 8, 130. [Google Scholar] [CrossRef]
- Smith, J.C.; Whitton, P.S. Nitric oxide modulates N-methyl-D-aspartate-evoked serotonin release in the raphe nuclei and frontal cortex of the freely moving rat. Neurosci. Lett. 2000, 291, 5–8. [Google Scholar] [CrossRef]
Publisher’s Note: MDPI stays neutral with regard to jurisdictional claims in published maps and institutional affiliations. |
© 2022 by the authors. Licensee MDPI, Basel, Switzerland. This article is an open access article distributed under the terms and conditions of the Creative Commons Attribution (CC BY) license (https://creativecommons.org/licenses/by/4.0/).