Next Article in Journal
Aircraft Rotation Detection in Remote Sensing Image Based on Multi-Feature Fusion and Rotation-Aware Anchor
Next Article in Special Issue
Successful Second Autologous Stem Cell Transplantation for Late Disease Progression after the First Procedure in POEMS Syndrome
Previous Article in Journal
Comparative Analysis of Emotion Classification Based on Facial Expression and Physiological Signals Using Deep Learning
Previous Article in Special Issue
A Case of Hemophagocytic Lymphohistiocytosis Triggered by Disseminated Tuberculosis and Hairy Cell Leukaemia after SARS-CoV2 Infection
 
 
Font Type:
Arial Georgia Verdana
Font Size:
Aa Aa Aa
Line Spacing:
Column Width:
Background:
Communication

Necrotizing Follicular Lymphoma of the Inguinal Region with Sternbergoid Cells: Clinical–Pathological Features of a Challenging Entity

1
Surgical Pathology and Cytopathology Unit, Department of Medicine—DIMED, University of Padua, 35100 Padua, Italy
2
Hematology Unit, Azienda ULSS3 Serenissima, Ospedale dell’Angelo, 30174 Venezia, Italy
3
Immunology and Molecular Oncology Unit, Veneto Institute of Oncology, IOV-IRCCS, 35100 Padua, Italy
4
Hematology and Clinical Immunology Unit, Department of Medicine—DIMED, University of Padua, 35100 Padua, Italy
*
Author to whom correspondence should be addressed.
These authors contributed equally to this work.
Appl. Sci. 2022, 12(3), 1290; https://doi.org/10.3390/app12031290
Submission received: 19 December 2021 / Revised: 16 January 2022 / Accepted: 24 January 2022 / Published: 26 January 2022

Abstract

Follicular lymphoma (FL) is one of the most common B-cell malignancies worldwide. While the diagnosis of conventional cases is straightforward, rare clinical–pathological variants may be challenging due to their misleading morphology, aberrant phenotype and/or atypical presentation. To add to the spectrum of unusual FLs, we report on a rare disease pattern characterized by (i) inguinal presentation, (ii) massive necrosis, (iii) Hodgkin/Reed–Sternberg (HRS)-like cells, and (iv) adjacent areas of diffuse large B-cell lymphoma evolution. All cases occurred in elderly patients (median age at diagnosis: 69.5 years), disclosed a low stage at diagnosis (Ann Arbor stage IA-IIA), and had deceiving clinical features. Despite the alarming histology, excellent responses to conventional therapies were reported in all patients. In conclusion, necrotizing FL of the inguinal region is a rare neoplasm characterized by peculiar clinical and histological features. This lymphoma should always be considered in the differential diagnosis of massively necrotic inguinal lesions.

1. Introduction

Follicular lymphoma (FL) is the second-most common non-Hodgkin lymphoma (NHL) worldwide, accounting for about 35% of all adult lymphoid neoplasms [1]. The clinical and histological features of FL are greatly variable. Most cases present with nodal disease and are histologically characterized by a nodular to nodular and diffuse proliferation of atypical B cells with germinal center (GC) phenotype. The neoplastic population includes small- to medium-sized centrocytes and variable numbers of large nucleolated centroblasts. Over 85% of FLs carry the t (14;18) (q32;q21), which leads to the juxtaposition of the BCL2 and IGH genes and to the overexpression of the anti-apoptotic protein Bcl2 [1]. This genetic event confers a survival advantage to the B cells and (together with other molecular derangements) promotes neoplastic transformation [1].
Aside from such a classical presentation, clinical–pathological variants of FL are recognized [2], including site-specific entities (e.g., testicular and duodenal-type FL), pediatric forms (i.e., pediatric-type FL), and tumors with unique histological and cytogenetic features (i.e., diffuse FL with 1p36 deletions lacking the BCL2 translocation) [2,3]. Rare histological presentations also include FL with Hodgkin/Reed–Sternberg (HRS)-like cells [3], Epstein–Barr virus (EBV)-positive FL [4] and Castleman disease-like FL [5]. In all such instances, this diagnosis is based upon a high degree of suspicion and on careful histological evaluation.
In our practice, we faced a further misleading presentation of FL, characterized by inguinal lesions with extensive necrosis, HRS-like cells and areas of high-grade evolution. Such an unusual picture is not documented in the literature and expands the spectrum of necrotizing nodal lesions. To increase awareness of this entity, we present the clinical–pathological features of four inguinal necrotizing FLs, specifically addressing their differential diagnosis and possible pathogenic mechanisms.

2. Materials and Methods

The cases were retrieved from the archives of the Surgical Pathology and Cytopathology Unit of Padua University Hospital (Padua, Italy). The original diagnosis was confirmed by two hematopathologists (MP, LS), who also reviewed the immunophenotype of the lesions. Immunohistochemical analysis was performed in an automated immunostainer (BOND-MAX; Leica Biosystems, Milan, Italy) using primary antibodies against CD20 (clone L26, Dako, Glostrup, Denmark), CD79a (clone JCB117, Novocastra –Leica Biosystems, Milan, Italy), PAX5 (clone DAK-Pax5, Dako), CD3 (clone LN10, Novocastra), Bcl6 (clone LN22, Leica Biosystems), CD10 (clone 56C6, Dako), MUM1 (clone MUM1p, Dako), Bcl2 (clone 124, Dako), CD23 (clone 1B12, Cell Marque, Rocklin, CA, USA), c-Myc (clone EP121, Biocare, Pacheco, CA, USA), CD30 (clone JCM182, Leica Biosystems), CD15 (clone Carb-3, Dako), and Ki67 (clone Mib-1, Dako). EBV status was assessed by chromogenic in situ hybridization (CISH; Leica Biosystems) for EBV-encoded small RNAs (EBER).
All cases were also tested for MYC, BCL2 and BCL6 rearrangements by fluorescence in situ hybridization (FISH), using break apart probes (ZytoLight SPEC MYC, SPEC BCL2 and SPEC BCL6 Dual Color Break Apart Probe; ZytoVision GmbH, Bremerhaven, Germany). Cut-off value for all markers was 20%. Clonality tests were not performed due to the large amounts of necrotic tissue and due to the clear-cut neoplastic nature of the process.

3. Results

3.1. Clinical-Epidemiological Features and Response to Therapy

This series includes four patients (three males and one female) with median age at diagnosis of 69.5 years (range: 62–74 years). Three patients had unremarkable past medical history (cases #1, #2 and #3), while one (case #4) was affected by chronic lymphocytic leukemia/small lymphocytic lymphoma (CLL/SLL) and had a remote diagnosis of grade 1 FL of the left arm (stage IA). All patients presented with inguinal masses, which were clinically misinterpreted as incarcerated inguinal hernia (case #1), soft tissue neoplasms (cases #2 and #3) or CLL/SLL progression (case #4). The lesions were painful in two cases. In one case (case #3), core needle biopsy was attempted before surgical excision, and the histological findings were deemed suspicious of mesenchymal spindle cell neoplasm. No patients had B symptoms or other systemic disease manifestations. Complete blood counts and lactate dehydrogenase levels were within normal ranges in three cases. In one patient (case #2), mild anemia was documented instead. By imaging studies (CT and/or RMI), all cases were characterized by localized disease (Ann Arbor stage IA and IIA in 2 cases, each), with moderately to markedly enlarged nodal lesions (main diameter ranging from 3 to 6 cm) (Table 1). After diagnosis, all patients were treated with conventional chemo-immunotherapy (rituximab, cyclophosphamide, doxorubicin, vincristine and prednisone (R-CHOP) in three cases; rituximab, cyclophosphamide, vincristine, non-pegylated liposomal doxorubicin and prednisone (R-COMP) in one case), followed by local radiation therapy in one case (case #1). Complete remission was achieved in three cases (median follow-up time: 10.8 months; range: 3–17 months). The fourth patient is currently under treatment.

3.2. Histological and Genetic Features of Necrotizing FLs

In all cases, lymph node architecture was effaced by large-to-massive areas of necrosis with surrounding sclerotic tissue and variable numbers of atypical lymphoid cells. In two cases (case #1 and #2), necrosis was so abundant that it obscured the neoplastic population, which was only documented upon extensive sampling of the submitted specimens. The lymphoid proliferation had a nodular, interstitial and/or diffuse growth pattern with tick-walled, medium-sized vessels often infiltrated by neoplastic cells. Nodular areas were composed by small-to-medium lymphocytes with irregular nuclei, clumped chromatin and inconspicuous nucleoli and by numerous centroblasts. Diffuse areas consisted of large, mitotically active blasts with variably represented HRS-like cells (i.e., large, multi-nucleated blasts with prominent eosinophilic nucleoli and amphophilic cytoplasm). The proportion between nodular and diffuse areas varied from case to case (2:1 to 1:2) (Figure 1).
Immunohistochemical analysis revealed a strong positivity for CD20, CD79a, PAX5 and Bcl6 in both nodular and diffuse areas, with a heterogeneous expression of CD10. Bcl2 was positive in three out of four cases, while MUM1 and c-Myc were expressed in two and one cases, respectively. Immunostaining for CD23 showed residual dendritic cell meshworks in lymphoid nodules, while it was focally expressed in interstitial/diffuse areas with HRS-like cells. The latter were strongly positive for CD30 and pan-B cell antigens (CD20, CD79a and PAX5), with a sharp negativity for CD15 and EBER. In all cases, numerous CD3-positive reactive T cells were dispersed throughout the lesion and the Ki-67 proliferative index was moderate-to-high (range: 50% to 90%) (Figure 2). Of note, necrotic areas were diffusely positive for CD20 with only scattered positivity for CD3. In all cases, the overall histological picture was consistent with FL (G3A/G3B; follicular growth pattern) with areas of diffuse large B-cell lymphoma (DLBCL) transformation. FISH analysis excluded MYC, BCL2 and BCL6 rearrangements in all tested cases (Table 1).

4. Discussion

FLs of the inguinal region are a heterogeneous group of NHLs, often characterized by unconventional features. These include a purely diffuse growth pattern, aberrant phenotypes (diffuse positivity for CD23, negativity for Bcl2 and variable expression of Bcl6), as well as unique cytogenetic and molecular changes (lack of BCL2 translocations, loss of 1p36, gains of 1q, mutations in STAT6 and CREBBP1) [6,7]. Our series adds to spectrum of inguinal FLs by describing a set of cases characterized by (i) deceiving clinical features, (ii) low stage at diagnosis, (iii) striking nodal necrosis, and (iv) high-grade morphology with HRS-like cells and areas of DLBCL transformation. Although limited by the small sample size, the short follow-up and lack of a control group of conventional FLs, our series presents an unusual disease pattern deserving consideration from both a clinical and pathophysiological perspective.
On clinical grounds, the rapid onset and/or tenderness of the lesion, the equivocal location and ambiguous radiological features led to wrong clinical diagnoses in most cases. Only histological assessment revealed the true nature of the disease, despite large (even massive) necrotic areas impinging on microscopic evaluation. Even with such alarming features, response to therapy was excellent and follow-up data suggested a favorable clinical course.
Extensive necrosis is rarely observed in B-cell lymphomas, usually being associated with highly aggressive entities [8,9,10,11], Hodgkin lymphoma [12] and EBV-positive lymphoproliferative disorders [13,14]. When abundant, necrosis may even obscure the lymphoid nature of the process, suggesting alternative diagnoses, such as nodal metastasis by solid tumors, non-specific ischemic lesions, and necrotizing lymphadenitis secondary to pyogenic, mycobacterial or fungal infections. In our cases, all of these diagnoses were excluded by careful morphological and immunohistochemical evaluations. In particular, the diagnosis of FL was supported by the presence of residual follicles with atypical GC B cells and preserved dendritic cell meshworks. In line with prior studies on inguinal FL [6], Bcl2 was heterogeneously expressed, with one case being completely negative for this marker. Moreover, BCL2 translocations were lacking in all tested cases (another finding typical of subsets of inguinal and grade 3B FLs) [6,15]. This unusual phenotype complicates the recognition of FL and may suggest the alternative diagnosis of necrotizing lymphadenitis with reactive follicular hyperplasia. In such instances, key diagnostic clues include (i) the positivity for Bcl6 and/or CD10 in extra-GC B cells, (ii) the lack of follicular polarization, (iii) the atypical cytology of both GC and extra-GC lymphocytes, and (iv) the diffuse positivity of necrotic areas for CD20 (hint to the neoplastic nature of the necrotizing process).
From a pathophysiological perspective, the occurrence of extensive necrosis is a puzzling finding. Indeed, all of our cases lacked features associated with necrotizing LNHs, such as positivity for EBV or double/triple hit cytogenetics [16]. The pattern and distribution of necrosis was also peculiar, given its sharp borders with full sparing of surrounding tissue. This well-demarcated topography hints to an ischemic origin for the process and is likely attributable to local changes in blood supply. In keeping with this hypothesis, angiotropism of neoplastic cells and sclerotic changes of the blood vessels were frequently documented close to necrotic areas. It is thus possible that a combination of microenvironmental and tumor-related factors is responsible for the peculiar histological features of our cases.

5. Conclusions

Necrotizing FL is a challenging tumor that should always be considered in the presence of necrotic inguinal lesions. The documentation of ischemic necrosis in FL is an unusual finding and should prompt the search for DLBCL transformation. Despite their aggressive histology, these tumors demonstrate excellent responses to conventional chemotherapy and may be associated with favorable outcomes. Further studies on prospective cohorts of patients are needed to confirm these preliminary observations.

Author Contributions

Conceptualization, M.P. and A.P.D.T.; writing—original draft preparation, F.S. and M.P.; writing—review and editing, M.S., A.P.D.T.; supervision, L.T. and A.P.D.T.; clinical data acquisition, L.F. and L.T.; collection of histological data, L.S. and M.S.; FISH analysis, S.N. and L.B. All authors have read and agreed to the published version of the manuscript.

Funding

This research received no external funding.

Institutional Review Board Statement

The study was conducted in accordance with the Declaration of Helsinki and notified to the Ethical Committee of Azienda Ospedale-Univeristà Padova (formal approval waived due to the retrospective and descriptive nature of the study).

Informed Consent Statement

Informed consent was obtained for all cases.

Data Availability Statement

Not applicable.

Conflicts of Interest

The authors declare no conflict of interest.

References

  1. Freedman, A.; Jacobsen, E. Follicular lymphoma: 2020 update on diagnosis and management. Am. J. Hematol. 2020, 95, 316–327. [Google Scholar] [CrossRef] [PubMed]
  2. International Agency for Research on Cancer. WHO Classification of Tumors of Haematopoietic and Lymphoid Tissues, 4th ed.; WHO: Geneva, Switzerland, 2017. [Google Scholar]
  3. Parente, P.; Zanelli, M.; Sanguedolce, F.; Mastracci, L.; Graziano, P. Hodgkin Reed–Sternberg-Like Cells in Non-Hodgkin Lymphoma. Diagnostics 2020, 10, 1019. [Google Scholar] [CrossRef] [PubMed]
  4. Mackrides, N.; Campuzano-Zuluaga, G.; Maque-Acosta, Y.; Moul, A.; Hijazi, N.; Ikpatt, F.O.; Levy, R.; Verdun, R.E.; Kunkalla, K.; Natkunam, Y.; et al. Epstein-Barr virus-positive follicular lymphoma. Mod. Pathol. 2017, 30, 519–529. [Google Scholar] [CrossRef] [PubMed]
  5. Pina-Oviedo, S.; Miranda, R.N.; Lin, P.; Manning, J.T.; Medeiros, L.J. Follicular lymphoma with hyaline-vascular Castleman-like features: Analysis of 6 cases and review of the literature. Hum. Pathol. 2017, 68, 136–146. [Google Scholar] [CrossRef] [PubMed]
  6. Katzenberger, T.; Kalla, J.; Leich, E.; Stöcklein, H.; Hartmann, E.; Barnickel, S.; Wessendorf, S.; Ott, M.M.; Müller-Hermelink, H.K.; Rosenwald, A.; et al. A distinctive subtype of t (14;18)-negative nodal follicular non-Hodgkin lymphoma characterized by a predominantly diffuse growth pattern and deletions in the chromosomal region 1p36. Blood 2009, 113, 1053–1061. [Google Scholar] [CrossRef] [PubMed]
  7. Siddiqi, I.; Friedman, J.; Barry-Holson, K.Q.; Ma, C.; Thodima, V.; Kang, I.; Padmanabhan, R.; Dias, L.M.; Kelly, K.R.; Brynes, R.K.; et al. Characterization of a variant of t (14;18) negative nodal diffuse follicular lymphoma with CD23 expression, 1p36/TNFRSF14 abnormalities, and STAT6 mutations. Mod. Pathol. 2016, 29, 570–581. [Google Scholar] [CrossRef] [PubMed]
  8. Adams, H.J.; de Klerk, J.M.; Fijnheer, R.; Heggelman, B.G.; Dubois, S.V.; Nievelstein, R.A.; Kwee, T.C. Tumor necrosis at FDG-PET is an independent predictor of outcome in diffuse large B-cell lymphoma. Eur. J. Radiol. 2015, 85, 304–309. [Google Scholar] [CrossRef] [PubMed]
  9. Adams, H.J.; de Klerk, J.M.; Fijnheer, R.; Dubois, S.V.; Nievelstein, R.A.; Kwee, T.C. Prognostic value of tumor necrosis at CT in diffuse large B-cell lymphoma. Eur. J. Radiol. 2015, 84, 372–377. [Google Scholar] [CrossRef] [PubMed]
  10. Song, M.-K.; Chung, J.-S.; Shin, D.-Y.; Lim, S.-N.; Lee, G.-W.; Choi, J.-C.; Park, W.-Y.; Oh, S.-Y. Tumor necrosis could reflect advanced disease status in patients with diffuse large B cell lymphoma treated with R-CHOP therapy. Ann. Hematol. 2017, 96, 17–23. [Google Scholar] [CrossRef] [PubMed]
  11. Song, M.-K.; Chung, J.-S.; Yhim, H.-Y.; Lim, S.-N.; Kim, S.-J.; Han, Y.-H.; Shim, H.-K.; Jung, S.-H.; Lee, J.-J.; Yang, D.-H. Tumor necrosis and complete resection has significant impacts on survival in patients with limited-stage upper aerodigestive tract NK/T cell lymphoma. Oncotarget 2017, 8, 79337–79346. [Google Scholar] [CrossRef] [PubMed][Green Version]
  12. Kahle, X.U.; De Jesus, F.M.M.; Kwee, T.C.; Van Meerten, T.; Diepstra, A.; Rosati, S.; Glaudemans, A.W.J.M.; Noordzij, W.; Plattel, W.J.; Nijland, M. Relationship between semiquantitative 18F-fluorodeoxyglucose positron emission tomography metrics and necrosis in classical Hodgkin lymphoma. Sci. Rep. 2019, 9, 11073. [Google Scholar] [CrossRef] [PubMed]
  13. Kim, H.-J.; Ko, Y.H.; Kim, J.E.; Lee, S.-S.; Lee, H.; Park, G.; Paik, J.H.; Cha, H.J.; Choi, Y.-D.; Han, J.H.; et al. Epstein-Barr Virus–Associated Lymphoproliferative Disorders: Review and Update on 2016 WHO Classification. J. Pathol. Transl. Med. 2017, 51, 352–358. [Google Scholar] [CrossRef] [PubMed]
  14. Ishikawa, E.; Satou, A.; Nakamura, M.; Nakamura, S.; Fujishiro, M. Epstein-Barr Virus Positive B-Cell Lymphoproliferative Disorder of the Gastrointestinal Tract. Cancers 2021, 13, 3815. [Google Scholar] [CrossRef] [PubMed]
  15. Horn, H.; Schmelter, C.; Leich, E.; Salaverria, I.; Katzenberger, T.; Ott, M.M.; Kalla, J.; Romero, M.; Siebert, R.; Rosenwald, A.; et al. Follicular lymphoma grade 3B is a distinct neoplasm according to cytogenetic and immunohistochemical profiles. Haematologica 2011, 96, 1327–1334. [Google Scholar] [CrossRef] [PubMed]
  16. Huang, W.; Medeiros, L.J.; Lin, P.; Wang, W.; Tang, G.; Khoury, J.; Konoplev, S.; Yin, C.C.; Xu, J.; Oki, Y.; et al. MYC/BCL2/BCL6 triple hit lymphoma: A study of 40 patients with a comparison to MYC/BCL2 and MYC/BCL6 double hit lymphomas. Mod. Pathol. 2018, 31, 1470–1478. [Google Scholar] [CrossRef] [PubMed]
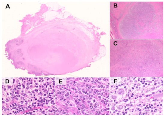
Figure 1. Morphological features of necrotizing FL of the inguinal region. (AC) Low-power magnification disclosed nodal effacement by large areas of ischemic necrosis with peripheral lymphoid aggregates (A). The latter had either a nodular (B) or diffuse (C) growth pattern. (DF) At higher magnification, nodular areas featured a mixture of centrocytes and centroblasts (D); diffuse areas were instead composed mainly of large blasts (E) with scattered CD30-positive, HRS-like cells (F). (Hematoxylin and Eosin stain; original magnification, 1.25×, 5×, 20× and 40×).
Figure 1. Morphological features of necrotizing FL of the inguinal region. (AC) Low-power magnification disclosed nodal effacement by large areas of ischemic necrosis with peripheral lymphoid aggregates (A). The latter had either a nodular (B) or diffuse (C) growth pattern. (DF) At higher magnification, nodular areas featured a mixture of centrocytes and centroblasts (D); diffuse areas were instead composed mainly of large blasts (E) with scattered CD30-positive, HRS-like cells (F). (Hematoxylin and Eosin stain; original magnification, 1.25×, 5×, 20× and 40×).
Applsci 12 01290 g001
Figure 2. Phenotype of necrotizing FL of the inguinal region. Immunohistochimical analysis showed diffuse positivity for CD20 with rare CD30-positive, HRS-like cells (insert). Neoplastic B cells were mostly positive for Bcl6 and CD10 with variable Bcl2 and CD23 expressions. CD23 also highlighted follicular dendritic cell meshworks in nodular areas (insert). The ki67 proliferation index was high in both nodular and diffuse areas, with consistent negativity for EBER. (Peroxidase stains; original magnification, 20× and 40×).
Figure 2. Phenotype of necrotizing FL of the inguinal region. Immunohistochimical analysis showed diffuse positivity for CD20 with rare CD30-positive, HRS-like cells (insert). Neoplastic B cells were mostly positive for Bcl6 and CD10 with variable Bcl2 and CD23 expressions. CD23 also highlighted follicular dendritic cell meshworks in nodular areas (insert). The ki67 proliferation index was high in both nodular and diffuse areas, with consistent negativity for EBER. (Peroxidase stains; original magnification, 20× and 40×).
Applsci 12 01290 g002
Table 1. Clinical–pathological and genetic features of inguinal necrotizing follicular lymphoma (FL).
Table 1. Clinical–pathological and genetic features of inguinal necrotizing follicular lymphoma (FL).
Case #1Case #2Case #3Case #4
Clinical Features and Diagnosis
Sex/age (y)F/62M/74M/73M/66
Clinical diagnosisInguinal herniaSoft tissue neoplasmSoft tissue neoplasmTransformed CLL/SLL
Local painPresentPresentAbsentAbsent
Disease StageIAIIAIAIIA
Histological diagnosisFL (G3A) w/DLBCLFL (G3B) w/DLBCLFL (G3B) w/DLBCLFL (G3B) w/DLBCL
Necrosis (%)75602025
Response to treatmentComplete responseComplete responseComplete responseOn treatment
Immunophenotype/EBV status
CD10++++
Bcl6++++
MUM1-+-+
Bcl2-+++
c-Myc---+
CD30+ (HRS-like cells)+ (HRS-like cells)+ (HRS-like cells)+ (blasts, HRS-like cells)
CD15----
Ki67 (%)70508090
EBER----
Gene Rearrangements (FISH Analysis)
MYC translocations--n.a.-
BCL2 translocations--n.a.-
BCL6 translocations--n.a.-
Notes: DLBCL = diffuse large B-cell lymphoma; FL = follicular lymphoma; G3A = grade 3A; G3B = grade 3B; HRS = Hodgkin/Reed–Sternberg; EBV = Epstein–Barr virus; w/ = with.
Publisher’s Note: MDPI stays neutral with regard to jurisdictional claims in published maps and institutional affiliations.

Share and Cite

MDPI and ACS Style

Scarmozzino, F.; Pizzi, M.; Sbaraglia, M.; Santoro, L.; Frison, L.; Nalio, S.; Bonaldi, L.; Trentin, L.; Dei Tos, A.P. Necrotizing Follicular Lymphoma of the Inguinal Region with Sternbergoid Cells: Clinical–Pathological Features of a Challenging Entity. Appl. Sci. 2022, 12, 1290. https://doi.org/10.3390/app12031290

AMA Style

Scarmozzino F, Pizzi M, Sbaraglia M, Santoro L, Frison L, Nalio S, Bonaldi L, Trentin L, Dei Tos AP. Necrotizing Follicular Lymphoma of the Inguinal Region with Sternbergoid Cells: Clinical–Pathological Features of a Challenging Entity. Applied Sciences. 2022; 12(3):1290. https://doi.org/10.3390/app12031290

Chicago/Turabian Style

Scarmozzino, Federico, Marco Pizzi, Marta Sbaraglia, Luisa Santoro, Luca Frison, Silvia Nalio, Laura Bonaldi, Livio Trentin, and Angelo Paolo Dei Tos. 2022. "Necrotizing Follicular Lymphoma of the Inguinal Region with Sternbergoid Cells: Clinical–Pathological Features of a Challenging Entity" Applied Sciences 12, no. 3: 1290. https://doi.org/10.3390/app12031290

APA Style

Scarmozzino, F., Pizzi, M., Sbaraglia, M., Santoro, L., Frison, L., Nalio, S., Bonaldi, L., Trentin, L., & Dei Tos, A. P. (2022). Necrotizing Follicular Lymphoma of the Inguinal Region with Sternbergoid Cells: Clinical–Pathological Features of a Challenging Entity. Applied Sciences, 12(3), 1290. https://doi.org/10.3390/app12031290

Note that from the first issue of 2016, this journal uses article numbers instead of page numbers. See further details here.

Article Metrics

Back to TopTop