Skeletal and Dentoalveolar Effects Induced by the Paolone-Kaitsas Appliance in the Treatment of Class II Malocclusion: A Controlled Retrospective Study on Lateral Cephalograms
Abstract
1. Introduction
2. Materials and Methods
- –
- Skeletal Class II malocclusion;
- –
- Dental Class II malocclusion (division 1 and division 2);
- –
- Presence of complete and good quality initial and final lateral cephalograms;
- –
- Treatment of the Class II dentoskeletal imbalance with a PK appliance followed by fixed appliances.
- –
- Patients with cleft lip/palate abnormalities;
- –
- Patients with craniofacial syndromes.
- –
- Presence of Class II malocclusion;
- –
- Gender;
- –
- Chronologic age at the beginning and at end of treatment, with a maximum difference of six months;
- –
- Stage of maturation of the cervical vertebrae at the beginning and end of treatment.
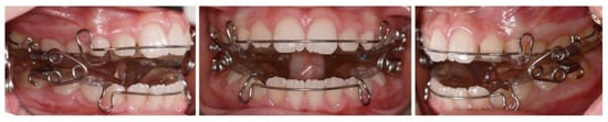
2.1. Treatment Protocol
2.2. Cephalometric Analysis
2.3. Method Error
2.4. Statistical Analysis
3. Results
4. Discussion
Limitations
5. Conclusions
Author Contributions
Funding
Institutional Review Board Statement
Informed Consent Statement
Data Availability Statement
Conflicts of Interest
References
- Proffit, W.R.; Fields, H.W.J.; Moray, L.J. Prevalence of malocclusion and orthodontic treatment need in the United States: Estimates from the NHANES III survey. Int. J. Adult Orthod. Orthognath. Surg. 1998, 13, 97–106. [Google Scholar]
- McNamara, J.A.J. Components of class II malocclusion in children 8-10 years of age. Angle Orthod. 1981, 51, 177–202. [Google Scholar] [CrossRef] [PubMed]
- Pancherz, H.; Zieber, K.; Hoyer, B. Cephalometric characteristics of Class II division 1 and Class II division 2 malocclusions: A comparative study in children. Angle Orthod. 1997, 67, 111–120. [Google Scholar] [CrossRef] [PubMed]
- Stahl, F.; Baccetti, T.; Franchi, L.; McNamara, J.A.J. Longitudinal growth changes in untreated subjects with Class II Division 1 malocclusion. Am. J. Orthod. Dentofac. Orthop. 2008, 134, 125–137. [Google Scholar] [CrossRef] [PubMed]
- Proffit, W.R.; Fields, H.W.; Larson, B.E.; Sarver, D.M. Contemporary Orthodontics 6th Ed; Elsevier: Philadelphia, PA, United States, 2019; pp. 107–139. [Google Scholar]
- Tollaro, I.; Baccetti, T.; Franchi, L.; Tanasescu, C.D. Role of posterior transverse interarch discrepancy in Class II, Division 1 malocclusion during the mixed dentition phase. Am. J. Orthod. Dentofac. Orthop. 1996, 110, 417–422. [Google Scholar] [CrossRef]
- Paolone, M.G.; Kaitsas, R. Mandibular response and directional forces with a new functional orthopedic appliance—A clinical case treated with a “Paolone-Kaitsas (PK) appliance”. Int. Orthod. 2017, 15, 708–727. [Google Scholar] [CrossRef] [PubMed]
- McNamara, J.A.J.; Franchi, L. The cervical vertebral maturation method: A user’s guide. Angle Orthod. 2018, 88, 133–143. [Google Scholar] [CrossRef] [PubMed]
- Springate, S.D. The effect of sample size and bias on the reliability of estimates of error: A comparative study of Dahlberg’s formula. Eur. J. Orthod. 2012, 34, 158–163. [Google Scholar] [CrossRef] [PubMed]
- Cicchetti, D.V.; Sparrow, S.A. Developing criteria for establishing interrater reliability of specific items: Applications to assessment of adaptive behavior. Am. J. Ment. Defic. 1981, 86, 127–137. [Google Scholar]
- Cozza, P.; Baccetti, T.; Franchi, L.; De Toffol, L.; McNamara, J.A. Mandibular changes produced by functional appliances in Class II malocclusion: A systematic review. Am. J. Orthod. Dentofac. Orthop. 2006, 129, 599.e1–599.e12. [Google Scholar] [CrossRef] [PubMed]
- D’Antò, V.; Bucci, R.; Franchi, L.; Rongo, R.; Michelotti, A.; Martina, R. Class II functional orthopaedic treatment: A systematic review of systematic reviews. J. Oral Rehabil. 2015, 42, 624–642. [Google Scholar] [CrossRef]
- Nucera, R.; Lo Giudice, A.; Rustico, L.; Matarese, G.; Papadopoulos, M.A.; Cordasco, G. Effectiveness of orthodontic treatment with functional appliances on maxillary growth in the short term: A systematic review and meta-analysis. Am. J. Orthod. Dentofac. Orthop. 2016, 149, 600–611.e3. [Google Scholar] [CrossRef]
- Björk, A. Prediction of mandibular growth rotation. Am. J. Orthod. 1969, 55, 585–599. [Google Scholar] [CrossRef]
- Aju, I.G.; Ardani, W.; Dinata, F.C.; Triwardhani, A.; Aju, G. The Importance of the Occlusal Plane in Predicting Better Facial Soft Tissue in Class II Malocclusion in Ethnic Javanese. Eur. J. Dent. 2020, 14, 429–434. [Google Scholar] [CrossRef]
- Fushima, K.; Kitamura, Y.; Mita, H.; Sato, S.; Suzuki, Y.; Kim, Y.H. Significance of the cant of the posterior occlusal plane in class II division 1 malocclusions. Eur. J. Orthod. 1996, 18, 27–40. [Google Scholar] [CrossRef] [PubMed][Green Version]
- Sato, S.; Suzuki, Y. Relationship between the development of skeletal mesio-occlusion and posterior tooth-to-denture base discrepancy--its significance in the orthodontic reconstruction of skeletal Class III malocclusion. Nihon Kyosei Shika Gakkai Zasshi 1988, 47, 796–810. [Google Scholar] [PubMed]
- Tanaka, E.M.; Sato, S. Longitudinal alteration of the occlusal plane and development of different dentoskeletal frames during growth. Am. J. Orthod. Dentofac. Orthop. 2008, 134, 602.e1–e11. [Google Scholar] [CrossRef]
- Perinetti, G.; Primožič, J.; Furlani, G.; Franchi, L.; Contardo, L. Treatment effects of fixed functional appliances alone or in combination with multibracket appliances: A systematic review and meta-analysis. Angle Orthod. 2015, 85, 480–492. [Google Scholar]
- Perinetti, G.; Primožič, J.; Franchi, L.; Contardo, L. Treatment Effects of Removable Functional Appliances in Pre-Pubertal and Pubertal Class II Patients: A Systematic Review and Meta-Analysis of Controlled Studies. PLoS ONE 2015, 10, e0141198. [Google Scholar] [CrossRef] [PubMed]
- Baccetti, T.; Franchi, L.; McNamara, J.A. The Cervical Vertebral Maturation (CVM) method for the assessment of optimal treatment timing in dentofacial orthopedics. Semin. Orthod. 2005, 11, 119–129. [Google Scholar] [CrossRef]
- O’Brien, K.; Wright, J.; Conboy, F.; Sanjie, Y.W.; Mandall, N.; Chadwick, S.; Connolly, I.; Cook, P.; Birnie, D.; Hammond, M.; et al. Effectiveness of early orthodontic treatment with the Twin-block appliance: A multicenter, randomized, controlled trial. Part 1: Dental and skeletal effects. Am. J. Orthod. Dentofac. Orthop. 2003, 124, 234–243. [Google Scholar] [CrossRef]
- Baccetti, T.; Franchi, L.; Toth, L.R.; McNamara, J.A. Treatment timing for Twin-block therapy. Am. J. Orthod. Dentofac. Orthop. 2000, 118, 159–170. [Google Scholar] [CrossRef] [PubMed]
- Tulloch, J.F.C.; Proffit, W.R.; Phillips, C. Outcomes in a 2-phase randomized clinical trial of early class II treatment. Am. J. Orthod. Dentofac. Orthop. 2004, 125, 657–667. [Google Scholar] [CrossRef] [PubMed]
- Giuntini, V.; Vangelisti, A.; Masucci, C.; Defraia, E.; McNamara, J.A.J.; Franchi, L. Treatment effects produced by the Twin-block appliance vs the Forsus Fatigue Resistant Device in growing Class II patients. Angle Orthod. 2015, 85, 784–789. [Google Scholar] [CrossRef] [PubMed]



| Variables | PK Group (n = 25) | Control Group (n = 23) | Diff. | p | ||
|---|---|---|---|---|---|---|
| Mean | SD | Mean | SD | |||
| Age at T1 (years) | 9.6 | 1.6 | 9.6 | 1.6 | 0.0 | 0.885 |
| Age at T2 (years) | 13.0 | 1.5 | 12.9 | 1.4 | 0.1 | 0.722 |
| T1-T2 interval (years) | 3.4 | 1.3 | 3.2 | 1.3 | 0.2 | 0.580 |
| CVM at T1 | CS1 = 15; CS2 = 8; CS3 = 2 | CS1 = 12; CS2 = 10; CS3 = 1 | 0.668 | |||
| CVM at T2 | CS1 = 2; CS2 = 2; CS3 = 13 CS4 = 3; CS5 = 5 | CS1 = 1; CS2 = 2; CS3 = 11 CS4 = 5; CS5 = 4 | 0.905 | |||
| Variables | PK Group (n = 25) | Control Group (n = 23) | Diff. | p Value | 95% CI of the Difference | |||
|---|---|---|---|---|---|---|---|---|
| Mean Median | SD IQR | Mean Median | SD IQR | Lower | Upper | |||
| SNA (deg) | 80.2 | 2.4 | 80.2 | 3.2 | 0.0 | 0.980 | −1.6 | 1.7 |
| SNB (deg) | 74.5 | 2.2 | 74.8 | 2.7 | −0.3 | 0.740 | −1.7 | 1.2 |
| ANB (deg) | 5.7 | 1.8 | 5.4 | 1.4 | 0.3 | 0.554 | −0.7 | 1.2 |
| Wits (mm) | 0.6 | 3.2 | 1.5 | 1.6 | −0.9 | 0.307 | ||
| SN-Occ. Pl. (deg) | 21.3 | 3.8 | 19.8 | 3.4 | 1.5 | 0.148 | −0.6 | 3.6 |
| SN-Pal. Pl. (deg) | 8.5 | 3.6 | 6.7 | 3.3 | 1.8 | 0.014 | ||
| SN-Mand. Pl. (deg) | 33.9 | 3.9 | 32.6 | 4.5 | 1.3 | 0.293 | −1.1 | 3.7 |
| Pal. Pl. to Mand. Pl. (deg) | 25.2 | 4.6 | 25.6 | 5.0 | −0.4 | 0.793 | −3.1 | 2.4 |
| Co-Gn (mm) | 99.7 | 5.3 | 97.1 | 5.2 | 2.6 | 0.094 | −0.5 | 5.6 |
| Co-Go (mm) | 49.4 | 3.9 | 48.5 | 4.1 | 0.9 | 0.412 | −1.4 | 3.3 |
| Co-Go-Me (deg) | 123.3 | 5.3 | 123.1 | 5.0 | 0.2 | 0.914 | −2.8 | 3.1 |
| Overjet (mm) | 5.0 | 4.4 | 4.7 | 1.9 | 0.3 | 0.445 | ||
| Overbite (mm) | 4.6 | 3.8 | 3.0 | 3.2 | 1.6 | 0.248 | ||
| Molar Relationship (mm) | −1.7 | 1.5 | −1.0 | 1.1 | −0.7 | 0.083 | −1.5 | 0.1 |
| Upper Inc. to Pal. Pl. (deg) | 110.0 | 8.4 | 107.7 | 4.1 | 2.3 | 0.246 | −1.6 | 6.2 |
| Lower Inc. to Mand. Pl. (deg) | 98.3 | 4.7 | 99.1 | 7.1 | −0.8 | 0.621 | −4.3 | 2.6 |
| Variables | PK Group (n = 25) | Control Group (n = 23) | Diff. | p Value | 95% CI of the Difference | |||
|---|---|---|---|---|---|---|---|---|
| Mean Median | SD IQR | Mean Median | SD IQR | Lower | Upper | |||
| SNA (deg) | −1.7 | 2.2 | 0.5 | 1.3 | −2.2 | 0.000 | −3.2 | −1.1 |
| SNB (deg) | 0.8 | 2.4 | 0.7 | 1.9 | 0.1 | 0.741 | ||
| ANB (deg) | −2.4 | 2.0 | −0.2 | 1.0 | −2.2 | 0.000 | −3.1 | −1.2 |
| Wits (mm) | −2.7 | 2.6 | 0.7 | 2.4 | −3.4 | 0.000 | −4.8 | −1.9 |
| SN-Occ. Pl. (deg) | 0.1 | 3.9 | −1.7 | 3.4 | 1.8 | 0.091 | −0.3 | 4.0 |
| SN-Pal. Pl. (deg) | 1.0 | 1.8 | −0.1 | 1.4 | 1.1 | 0.020 | 0.2 | 2.0 |
| SN-Mand. Pl. (deg) | 0.0 | 2.1 | −0.9 | 1.6 | 0.9 | 0.131 | −0.3 | 2.0 |
| Pal. Pl. to Mand. Pl. (deg) | −1.0 | 1.8 | −0.8 | 2.1 | −0.2 | 0.629 | −1.4 | 0.9 |
| Co-Gn (mm) | 8.4 | 5.5 | 6.4 | 4.7 | 2.0 | 0.201 | ||
| Co-Go (mm) | 5.2 | 4.0 | 3.8 | 3.1 | 1.4 | 0.183 | −0.7 | 3.5 |
| Co-Go-Me (deg) | −1.1 | 2.4 | −1.6 | 1.9 | 0.5 | 0.459 | −0.8 | 1.7 |
| Overjet (mm) | −2.8 | 3.6 | 0.1 | 1.4 | −2.9 | 0.000 | ||
| Overbite (mm) | −2.0 | 2.5 | 0.5 | 1.2 | −2.5 | 0.000 | −3.7 | −1.4 |
| Molar Relationship (mm) | 3.8 | 1.7 | 0.2 | 1.3 | 3.6 | 0.000 | 2.7 | 4.5 |
| Upper Inc. to Pal. Pl. (deg) | 0.5 | 9.0 | 0.7 | 3.2 | −0.2 | 0.918 | −4.2 | 3.8 |
| Lower Inc. to Mand. Pl. (deg) | 3.5 | 4.9 | 1.6 | 3.5 | 1.9 | 0.120 | −0.5 | 4.4 |
Publisher’s Note: MDPI stays neutral with regard to jurisdictional claims in published maps and institutional affiliations. |
© 2022 by the authors. Licensee MDPI, Basel, Switzerland. This article is an open access article distributed under the terms and conditions of the Creative Commons Attribution (CC BY) license (https://creativecommons.org/licenses/by/4.0/).
Share and Cite
Gavazzi, C.; Franceschi, D.; Pierleoni, F.; Barone, V.; Kaitsas, F.; Paolone, M.G.; Franchi, L.; Giuntini, V. Skeletal and Dentoalveolar Effects Induced by the Paolone-Kaitsas Appliance in the Treatment of Class II Malocclusion: A Controlled Retrospective Study on Lateral Cephalograms. Appl. Sci. 2022, 12, 1165. https://doi.org/10.3390/app12031165
Gavazzi C, Franceschi D, Pierleoni F, Barone V, Kaitsas F, Paolone MG, Franchi L, Giuntini V. Skeletal and Dentoalveolar Effects Induced by the Paolone-Kaitsas Appliance in the Treatment of Class II Malocclusion: A Controlled Retrospective Study on Lateral Cephalograms. Applied Sciences. 2022; 12(3):1165. https://doi.org/10.3390/app12031165
Chicago/Turabian StyleGavazzi, Camilla, Debora Franceschi, Felicita Pierleoni, Valeria Barone, Francesco Kaitsas, Maria Giacinta Paolone, Lorenzo Franchi, and Veronica Giuntini. 2022. "Skeletal and Dentoalveolar Effects Induced by the Paolone-Kaitsas Appliance in the Treatment of Class II Malocclusion: A Controlled Retrospective Study on Lateral Cephalograms" Applied Sciences 12, no. 3: 1165. https://doi.org/10.3390/app12031165
APA StyleGavazzi, C., Franceschi, D., Pierleoni, F., Barone, V., Kaitsas, F., Paolone, M. G., Franchi, L., & Giuntini, V. (2022). Skeletal and Dentoalveolar Effects Induced by the Paolone-Kaitsas Appliance in the Treatment of Class II Malocclusion: A Controlled Retrospective Study on Lateral Cephalograms. Applied Sciences, 12(3), 1165. https://doi.org/10.3390/app12031165

