The Proliferation Inhibitory Effect of Postbiotics Prepared from Probiotics with Antioxidant Activity against HT-29 Cells
Abstract
1. Introduction
2. Materials and Methods
2.1. Bacterial Strains
2.2. Preparation of Postbiotics
2.3. Cell Culture
2.4. Cytotoxicity Assay
2.5. Apoptosis Associated Gene Expression Analysis
2.6. Western Blot Analysis
3. Results
3.1. Inhibitory Effect of Cell Proliferation
3.2. Morphological Change of HT-29 Cells
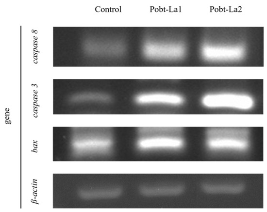
3.3. Apoptosis-Associated Gene Expression Analysis
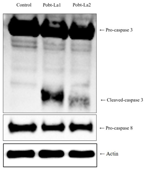
3.4. Western Blot Analysis
4. Discussion
5. Conclusions
Author Contributions
Funding
Conflicts of Interest
References
- Kim, J.-Y.; Jung, E.-J.; Won, Y.-S.; Lee, J.-H.; Shin, D.-Y.; Seo, K.-I. Cultivated Orostachys japonicus induces apoptosis in human colon cancer cells. Korean J. Food Sci. Technol. 2012, 44, 317–323. [Google Scholar] [CrossRef]
- Lim, S.O.; Jun, S. Factors influencing the improvement in lifestyle among patients with colorectal cancer. Korean J. Adult Nurs. 2019, 31, 325–336. [Google Scholar] [CrossRef]
- Kang, H.-T.; Bahk, H.J.; Shim, J.-Y.; Kim, N.K. Management of longterm colorectal cancer survivors in Korea. J. Korean Med. Assoc. 2016, 59, 276–286. [Google Scholar] [CrossRef]
- Bang, M.; Lee, S.D.; Oh, S. Probiotics and intestinal health. J. Dairy Sci. Biotechnol. 2012, 30, 139–143. [Google Scholar]
- Seo, J.-H.; Lee, H. Characteristics and immunomodulating activity of lactic acid bacteria for the potential probiotics. Korean J. Food Sci. Technol. 2007, 39, 681–687. [Google Scholar]
- Plaza-Diaz, J.; Ruiz-Ojeda, F.J.; Gil-Campos, M.; Gil, A. Mechanisms of action of probiotics. Adv. Nutr. 2019, 10, S49–S66. [Google Scholar] [CrossRef]
- Lee, M.-J.; Zang, Z.-L.; Choi, E.-Y.; Shin, H.-K.; Ji, G.-E. Cytoskeleton reorganization and cytokine production of macrophages by bifidobacterial cells and cell-free extracts. J. Microbiol. Biotechnol. 2002, 12, 398–405. [Google Scholar]
- Aguilar-Toalá, J.; Garcia-Varela, R.; Garcia, H.; Mata-Haro, V.; González-Córdova, A.; Vallejo-Cordoba, B.; Hernández-Mendoza, A. Postbiotics: An evolving term within the functional foods field. Trends Food Sci. Technol. 2018, 75, 105–114. [Google Scholar] [CrossRef]
- Kim, S.; Kim, G.-H.; Cho, H. Postbiotics for cancer prevention and treatment. Microbiol. Soc. Korea 2021, 57, 142–153. [Google Scholar]
- Barros, C.P.; Pires, R.P.; Guimarães, J.T.; Abud, Y.K.; Almada, C.N.; Pimentel, T.C.; Sant’Anna, C.; De-Melo, L.D.B.; Duarte, M.C.K.; Silva, M.C. Ohmic heating as a method of obtaining paraprobiotics: Impacts on cell structure and viability by flow cytometry. Food Res. Int. 2021, 140, 110061. [Google Scholar] [CrossRef]
- Ji, K.-H.; Jang, N.-Y.; Kim, Y.-T. Isolation of Lactic Acid Bacteria Showing Antioxidative and Probiotic Activities from Kimchi and Infant Feces. J. Microbiol. Biotechnol. 2015, 25, 1568–1577. [Google Scholar] [CrossRef] [PubMed]
- Cho, Y.; Choi, M.-Y. Inhibitory Effects of Flavonoids on growth of HT-29 human colon cancer cells. J. Korean Soc. Food Sci. Nutr. 2015, 44, 338–346. [Google Scholar] [CrossRef]
- Kerry, R.G.; Patra, J.K.; Gouda, S.; Park, Y.; Shin, H.-S.; Das, G. Benefaction of probiotics for human health: A review. J. Food Drug Anal. 2018, 26, 927–939. [Google Scholar] [CrossRef] [PubMed]
- Tiptiri-Kourpeti, A.; Spyridopoulou, K.; Santarmaki, V.; Aindelis, G.; Tompoulidou, E.; Lamprianidou, E.E.; Saxami, G.; Ypsilantis, P.; Lampri, E.S.; Simopoulos, C. Lactobacillus casei exerts anti-proliferative effects accompanied by apoptotic cell death and up-regulation of TRAIL in colon carcinoma cells. PLoS ONE 2016, 11, e0147960. [Google Scholar] [CrossRef]
- GunHe, N.; KyungJo, J.; HyeWon, K.; JiHyang, W.; JuHwan, K.; JiHun, K.; YoungMin, K. Anti-cancer effect of Cinnamomum camphora ethanol extract by double induction of apoptotic and autophagic cell death in HCT 116 and HT-29 human colon cancer cell through the mTOR signaling pathway. Korean Soc. Biotechnol. Bioeng. J. 2019, 34, 114–119. [Google Scholar]
- Liu, J.-J.; Nilsson, Å.; Oredsson, S.; Badmaev, V.; Zhao, W.-Z.; Duan, R.-D. Boswellic acids trigger apoptosis via a pathway dependent on caspase-8 activation but independent on Fas/Fas ligand interaction in colon cancer HT-29 cells. Carcinogenesis 2002, 23, 2087–2093. [Google Scholar] [CrossRef]
- Schulze-Osthoff, K.; Ferrari, D.; Los, M.; Wesselborg, S.; Peter, M.E. Apoptosis signaling by death receptors. Eur. J. Biochem. 1998, 254, 439–459. [Google Scholar] [CrossRef] [PubMed]
- Kim, C.-I.; Shin, S.-S.; Park, S.-S. Growth inhibition and induction of apoptosis in human bladder cancer cells induced by fermented citrus Kombucha. J. Korean Soc. Food Sci. Nutr. 2016, 45, 1422–1429. [Google Scholar] [CrossRef]
- Barry, M.A.; Behnke, C.A.; Eastman, A. Activation of programmed cell death (apoptosis) by cisplatin, other anticancer drugs, toxins and hyperthermia. Biochem. Pharmacol. 1990, 40, 2353–2362. [Google Scholar] [CrossRef]
- Boldin, M.P.; Goncharov, T.M.; Goltseve, Y.V.; Wallach, D. Involvement of MACH, a novel MORT1/FADD-interacting protease, in Fas/APO-1-and TNF receptor–induced cell death. Cell 1996, 85, 803–815. [Google Scholar] [CrossRef]
- Karimi Ardestani, S.; Tafvizi, F.; Tajabadi Ebrahimi, M. Heat-killed probiotic bacteria induce apoptosis of HT-29 human colon adenocarcinoma cell line via the regulation of Bax/Bcl2 and caspases pathway. Hum. Exp. Toxicol. 2019, 38, 1069–1081. [Google Scholar] [CrossRef] [PubMed]
- Song, S.; Oh, S.; Lim, K. The proteins (12 and 15 kDa) isolated from heat-killed Lactobacillus plantarum L67 induces apoptosis in HT-29 cells. Cell Biochem. Funct. 2015, 33, 89–96. [Google Scholar] [CrossRef] [PubMed]
- Kahouli, I.; Malhotra, M.; Tomaro-Duchesneau, C.; Rodes, L.S.; Aloui-Jamali, M.A.; Prakash, S. Identification of lactobacillus fermentum strains with potential against colorectal cancer by characterizing short chain fatty acids production, anti-proliferative activity and survival in an intestinal fluid: In vitro analysis. J. Bioanal. Biomed. 2015, 7, 104. [Google Scholar]
- Kim, J.Y.; Woo, H.J.; Kim, Y.-S.; Lee, H.J. Screening for antiproliferative effects of cellular components from lactic acid bacteria against human cancer cell lines. Biotechnol. Lett. 2002, 24, 1431–1436. [Google Scholar] [CrossRef]
- Wang, S.; Han, X.; Zhang, L.; Zhang, Y.; Li, H.; Jiao, Y. Whole peptidoglycan extracts from the lactobacillus paracasei subsp. Paracasei M5 strain exert anticancer activity in vitro. BioMed Res. Int. 2018, 2018, 2871710. [Google Scholar]
- Chen, D.; Jin, D.; Huang, S.; Wu, J.; Xu, M.; Liu, T.; Dong, W.; Liu, X.; Wang, S.; Zhong, W. Clostridium butyricum, a butyrate-producing probiotic, inhibits intestinal tumor development through modulating Wnt signaling and gut microbiota. Cancer Lett. 2020, 469, 456–467. [Google Scholar] [CrossRef]
- Lan, A.; Lagadic-Gossmann, D.; Lemaire, C.; Brenner, C.; Jan, G. Acidic extracellular pH shifts colorectal cancer cell death from apoptosis to necrosis upon exposure to propionate and acetate, major end-products of the human probiotic propionibacteria. Apoptosis 2007, 12, 573–591. [Google Scholar] [CrossRef]
- Kvakova, M.; Kamlarova, A.; Stofilova, J.; Benetinova, V.; Bertkova, I. Probiotics and postbiotics in colorectal cancer: Prevention and complementary therapy. World J. Gastroenterol. 2022, 28, 3370. [Google Scholar] [CrossRef]




| Gene | Primer | Sequences (5′-3′) | Conditions | Cycle |
|---|---|---|---|---|
| caspase-3 | F | TGCCTGTAACTTGAGAGTAGATGG | 96 °C 30 s 60 °C 30 s 72°C 30 s | 40 |
| R | CTTCACTTTCTTACTTGGCGATGG | |||
| caspase-8 | F | ACATGGACTGCTTCATCTGC | 96 °C 30 s 55 °C 30 s 72 °C 30 s | 40 |
| R | AAGGGCACTTCAAACCAGTG | |||
| bax | F | AGGGTTTCATCCAGGATCGAGCAG | 96 °C 30 s 63 °C 30 s 72 °C 30 s | 40 |
| R | ATCTTCTTCCAGATGGTGAGCGAG | |||
| β-actin | F | CCTCTATGCCAACACAGTGC | 94 °C 1 min 60 °C 1 min 72 °C 1 min | 35 |
| R | ATACTCCTGCTTGCTGATCC |
| Conc. (µL/mL) | 300 | 150 | 75 | 37.5 | 0 |
|---|---|---|---|---|---|
| Pobt-La1 | 38.96 | 58.87 | 60.45 | 80.15 | 100 |
| Pobt-La2 | 49.17 | 53.86 | 61.04 | 68.18 | 100 |
Publisher’s Note: MDPI stays neutral with regard to jurisdictional claims in published maps and institutional affiliations. |
© 2022 by the authors. Licensee MDPI, Basel, Switzerland. This article is an open access article distributed under the terms and conditions of the Creative Commons Attribution (CC BY) license (https://creativecommons.org/licenses/by/4.0/).
Share and Cite
Kim, Y.; Kim, H.J.; Ji, K. The Proliferation Inhibitory Effect of Postbiotics Prepared from Probiotics with Antioxidant Activity against HT-29 Cells. Appl. Sci. 2022, 12, 12519. https://doi.org/10.3390/app122412519
Kim Y, Kim HJ, Ji K. The Proliferation Inhibitory Effect of Postbiotics Prepared from Probiotics with Antioxidant Activity against HT-29 Cells. Applied Sciences. 2022; 12(24):12519. https://doi.org/10.3390/app122412519
Chicago/Turabian StyleKim, Yeeun, Hak Jun Kim, and Keunho Ji. 2022. "The Proliferation Inhibitory Effect of Postbiotics Prepared from Probiotics with Antioxidant Activity against HT-29 Cells" Applied Sciences 12, no. 24: 12519. https://doi.org/10.3390/app122412519
APA StyleKim, Y., Kim, H. J., & Ji, K. (2022). The Proliferation Inhibitory Effect of Postbiotics Prepared from Probiotics with Antioxidant Activity against HT-29 Cells. Applied Sciences, 12(24), 12519. https://doi.org/10.3390/app122412519

