A Simple Technique Using a Modified Nance Appliance as Anchorage for Maxillary Molar Distalization—Two Case Reports
Abstract
:Featured Application
Abstract
1. Introduction
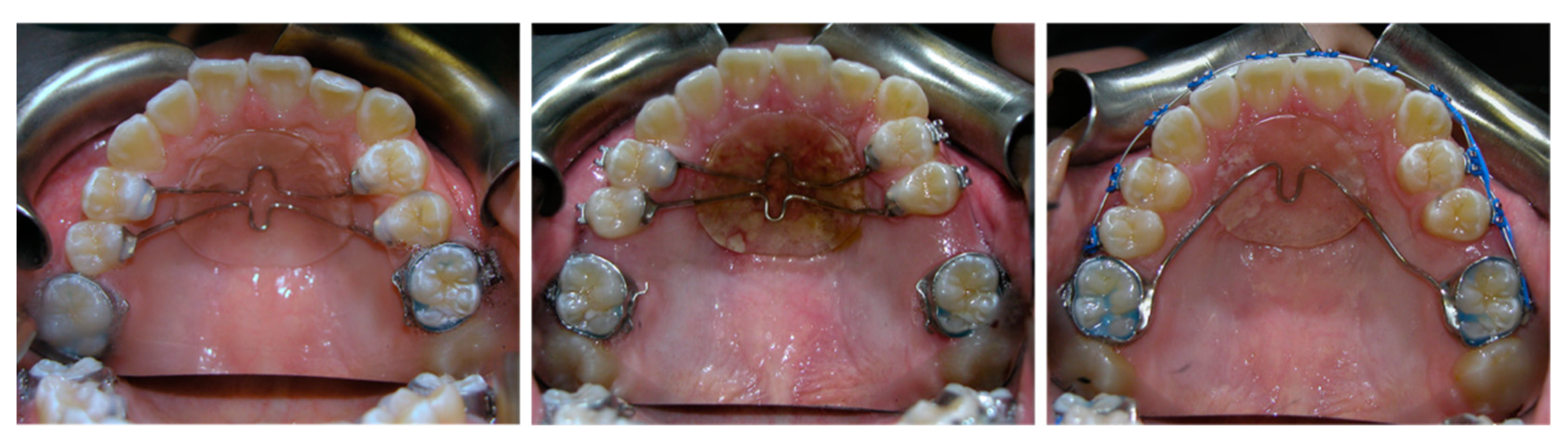
2. Appliance Design and Activation
3. Clinical Case Demonstrations
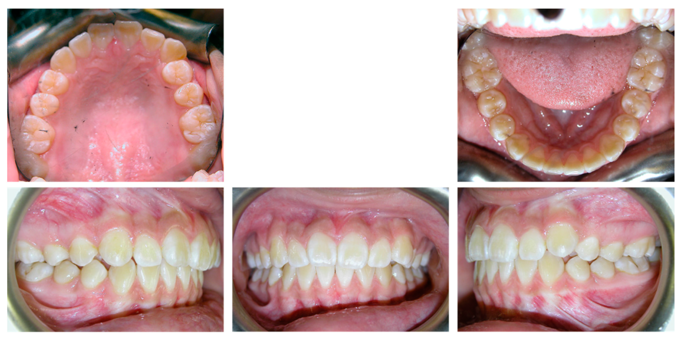
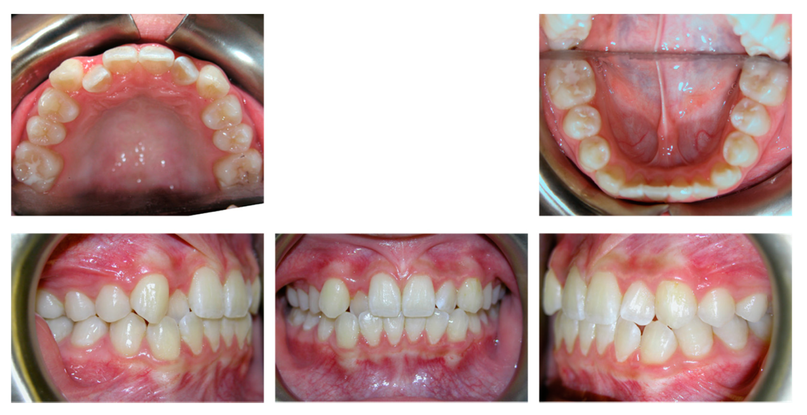
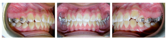
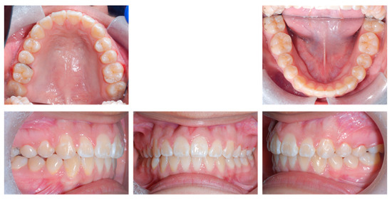
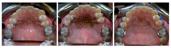
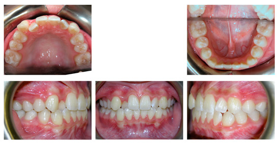
3.1. Bilateral Ditalization Case—Single Arch Treatment
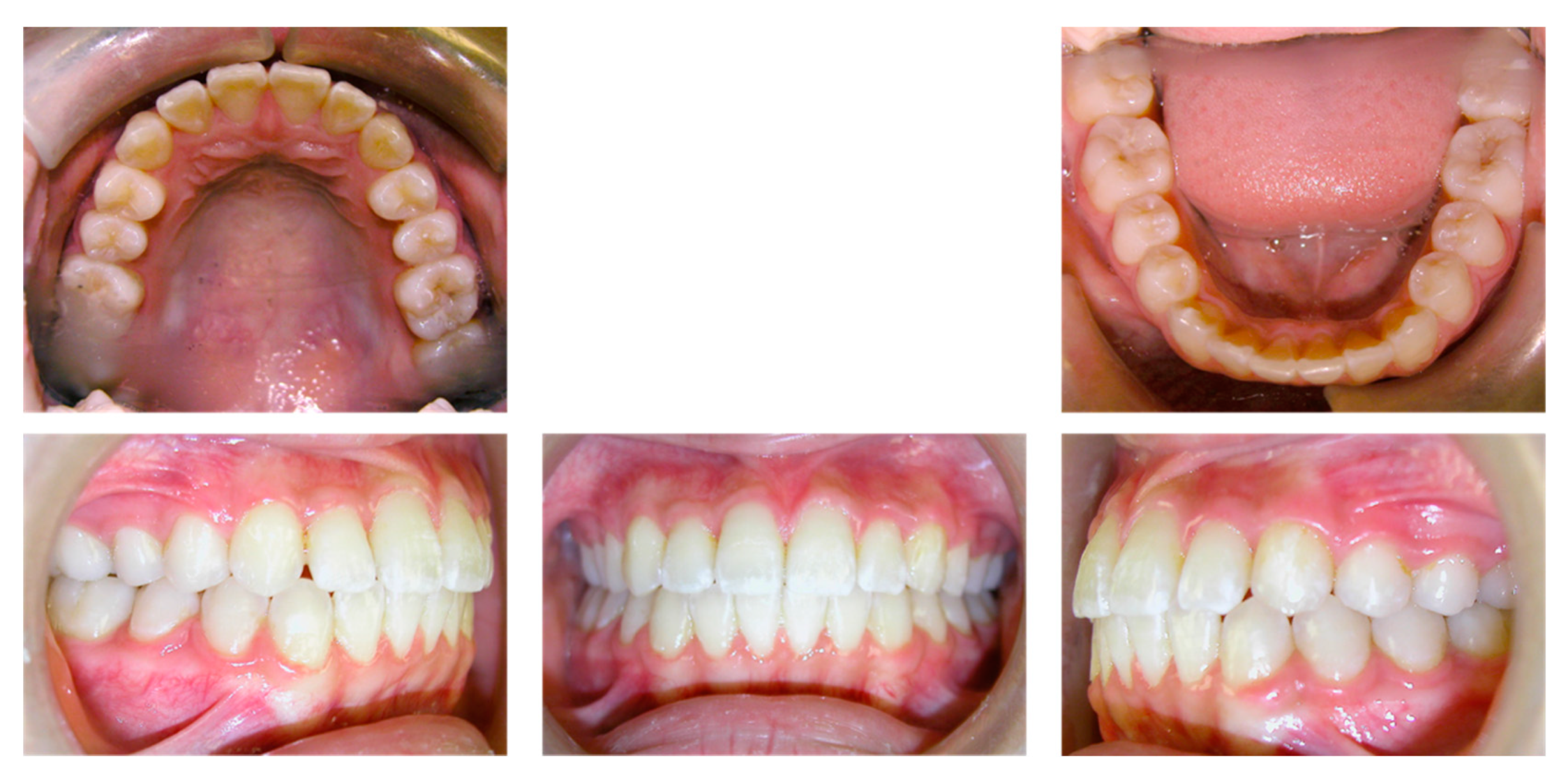
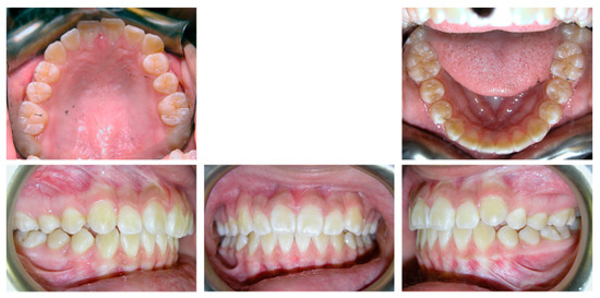
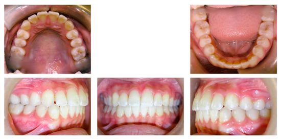
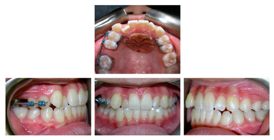
3.2. Unilateral Ditalization Case
4. Discussion
5. Conclusions
Author Contributions
Funding
Institutional Review Board Statement
Informed Consent Statement
Data Availability Statement
Conflicts of Interest
References
- Sabri, R. Treatment of a severe arch-length deficiency with anteroposterior and transverse expansion: Long-term stability. Am. J. Orthod. Dentofac. Orthop. 2010, 137, 401–411. [Google Scholar] [CrossRef]
- Alogaibi, Y.A.; Al-Fraidi, A.A.; Alhajrasi, M.K.; Alkhathami, S.S.; Hatrom, A.; Afify, A.R. Distalization in Orthodontics: A Review and Case Series. Case Rep. Dent. 2021, 2021, 8843959. [Google Scholar] [CrossRef]
- Antonarakis, G.S.; Kiliaridis, S. Maxillary molar distalization with noncompliance intramaxillary appliances in Class II malocclusion. A systematic review. Angle Orthod. 2008, 78, 1133–1140. [Google Scholar] [CrossRef] [PubMed] [Green Version]
- Noorollahian, S.; Alavi, S.; Shirban, F. Non-compliance Appliances for Upper Molar Distalization: An Overview. Int. J. Orthod. Milwaukee. 2015, 26, 31–36. [Google Scholar] [PubMed]
- Berkman, M.E.; Haerian, A.; McNamara, J.A., Jr. Interarch maxillary molar distalization appliances for Class II correction. J. Clin. Orthod. 2008, 42, 35–42. [Google Scholar] [PubMed]
- Janson, G.; Sathler, R.; Fernandes, T.M.; Branco, N.C.; Freitas, M.R. Correction of Class II malocclusion with Class II elastics: A systematic review. Am. J. Orthod. Dentofac. Orthop. 2013, 143, 383–392. [Google Scholar] [CrossRef] [PubMed]
- Kim-Berman, H.; McNamara, J.A., Jr.; Lints, J.P.; McMullen, C.; Franchi, L. Treatment effects of the Carriere((R)) Motion 3D appliance for the correction of Class II malocclusion in adolescents. Angle Orthod. 2019, 89, 839–846. [Google Scholar] [CrossRef] [PubMed] [Green Version]
- Aslan, B.I.; Akarslan, Z.Z.; Karadag, O. Effects of Angle class II correction with the Forsus fatigue resistant device on mandibular third molars: A retrospective study. J. Orofac. Orthop. 2021, 82, 403–412. [Google Scholar] [CrossRef] [PubMed]
- Ardeshna, A.; Bogdan, F.; Jiang, S. Class II correction in orthodontic patients utilizing the Mandibular Anterior Repositioning Appliance (MARA). Angle Orthod. 2019, 89, 404–410. [Google Scholar] [CrossRef] [PubMed] [Green Version]
- Taylor, K.L.; Evangelista, K.; Muniz, L.; Ruellas, A.C.O.; Valladares-Neto, J.; McNamara, J., Jr.; Franchi, L.; Kim-Berman, H.; Cevidanes, L.H.S. Three-dimensional comparison of the skeletal and dentoalveolar effects of the Herbst and Pendulum appliances followed by fixed appliances: A CBCT study. Orthod. Craniofac. Res. 2020, 23, 72–81. [Google Scholar] [CrossRef] [PubMed]
- George, S.M.; Campbell, P.M.; Tadlock, L.P.; Schneiderman, E.; Buschang, P.H. Keys to Class II correction: A comparison of 2 extraction protocols. Am. J. Orthod. Dentofac. Orthop. 2021, 159, 333–342. [Google Scholar] [CrossRef] [PubMed]
- Quinzi, V.; Marchetti, E.; Guerriero, L.; Bosco, F.; Marzo, G.; Mummolo, S. Dentoskeletal Class II Malocclusion: Maxillary Molar Distalization with No-Compliance Fixed Orthodontic Equipment. Dent. J. 2020, 8, 26. [Google Scholar] [CrossRef] [Green Version]
- Bowman, A.C.; Saltaji, H.; Flores-Mir, C.; Preston, B.; Tabbaa, S. Patient experiences with the Forsus Fatigue Resistant Device. Angle Orthod. 2013, 83, 437–446. [Google Scholar] [CrossRef] [PubMed]
- Matsumoto, K.; Sherrill-Mix, S.; Boucher, N.; Tanna, N. A cone-beam computed tomographic evaluation of alveolar bone dimensional changes and the periodontal limits of mandibular incisor advancement in skeletal Class II patients. Angle Orthod. 2020, 90, 330–338. [Google Scholar] [CrossRef] [PubMed]
- Li, C.; Sfogliano, L.; Jiang, W.; Lee, H.; Zheng, Z.; Chung, C.H.; Jones, J. Total maxillary arch distalization by using headgear in an adult patient. Angle Orthod. 2021, 91, 267–278. [Google Scholar] [CrossRef] [PubMed]
- Ghosh, J.; Nanda, R.S. Evaluation of an intraoral maxillary molar distalization technique. Am. J. Orthod. Dentofac. Orthop. 1996, 110, 639–646. [Google Scholar] [CrossRef]
- Jones, R.D.; White, J.M. Rapid Class II molar correction with an open-coil jig. J. Clin. Orthod. 1992, 26, 661–664. [Google Scholar]
- Papadopoulos, M.A.; Melkos, A.B.; Athanasiou, A.E. Noncompliance maxillary molar distalization with the first class appliance: A randomized controlled trial. Am. J. Orthod. Dentofac. Orthop. 2010, 137, 586.e1–586.e13; discussion 586–587. [Google Scholar] [CrossRef]
- Bolla, E.; Muratore, F.; Carano, A.; Bowman, S.J. Evaluation of maxillary molar distalization with the distal jet: A comparison with other contemporary methods. Angle Orthod. 2002, 72, 481–494. [Google Scholar] [CrossRef]
- Kook, Y.A.; Bayome, M.; Park, J.H.; Kim, K.B.; Kim, S.H.; Chung, K.R. New approach of maxillary protraction using modified C-palatal plates in Class III patients. Korean J. Orthod. 2015, 45, 209–214. [Google Scholar] [CrossRef] [Green Version]
- Abdelhady, N.A.; Tawfik, M.A.; Hammad, S.M. Maxillary molar distalization in treatment of angle class II malocclusion growing patients: Uncontrolled clinical trial. Int. Orthod. 2020, 18, 96–104. [Google Scholar] [CrossRef]
- Rai, A.K.; Rozario, J.E.; Ganeshkar, S.V. Comparison of speech performance in labial and lingual orthodontic patients: A prospective study. Dent. Res. J. 2014, 11, 663–675. [Google Scholar]
- Favale, M.L.; Fusco, R.; Lesti, M.; Horodynski, M.; Toni, B. Lingual vs. Labial Fixed Orthodontic Appliances: Comparison of Adverse effects. WebmedCentral Orthod. 2017, 8, WMC005367. [Google Scholar]
- Papageorgiou, S.N.; Golz, L.; Jager, A.; Eliades, T.; Bourauel, C. Lingual vs. labial fixed orthodontic appliances: Systematic review and meta-analysis of treatment effects. Eur. J. Oral. Sci. 2016, 124, 105–118. [Google Scholar] [CrossRef] [Green Version]
- Khattab, T.Z.; Farah, H.; Al-Sabbagh, R.; Hajeer, M.Y.; Haj-Hamed, Y. Speech performance and oral impairments with lingual and labial orthodontic appliances in the first stage of fixed treatment. Angle Orthod. 2013, 83, 519–526. [Google Scholar] [CrossRef] [PubMed]
- Kumar, S.; Sonal, S.; Khanum, A.; Rahman, S.N.; Bano, N. Comparative Biomechanics of Labial versus Lingual Fixed Appliances-A Review. J. Dent. Orofac. Res. 2017, 13, 56–60. [Google Scholar]
- Chou, A.H.K.; Park, J.H.; Shoaib, A.M.; Lee, N.K.; Lim, H.J.; Abdulwhab, A.A.; Alfawaz, F.; Kook, Y.A. Total maxillary arch distalization with modified C-palatal plates in adolescents: A long-term study using cone-beam computed tomography. Am. J. Orthod. Dentofac. Orthop. 2021, 159, 470–479. [Google Scholar] [CrossRef] [PubMed]
- Miyazawa, K.; Shibata, M.; Tabuchi, M.; Kawaguchi, M.; Shimura, N.; Goto, S. Optimal sites for orthodontic anchor screw placement using panoramic images: Risk of maxillary sinus perforation and contact with adjacent tooth roots during screw placement. Prog. Orthod. 2021, 22, 46. [Google Scholar] [CrossRef]
- Motoyoshi, M.; Sanuki-Suzuki, R.; Uchida, Y.; Saiki, A.; Shimizu, N. Maxillary sinus perforation by orthodontic anchor screws. J. Oral. Sci. 2015, 57, 95–100. [Google Scholar] [CrossRef] [PubMed] [Green Version]
- Giudice, A.L.; Rustico, L.; Longo, M.; Oteri, G.; Papadopoulos, M.A.; Nucera, R. Complications reported with the use of orthodontic miniscrews: A systematic review. Korean J. Orthod. 2021, 51, 199–216. [Google Scholar] [CrossRef]
- Chugh, T.; Jain, A.K.; Jaiswal, R.K.; Mehrotra, P.; Mehrotra, R. Bone density and its importance in orthodontics. J. Oral. Biol. Craniofac. Res. 2013, 3, 92–97. [Google Scholar] [CrossRef] [PubMed] [Green Version]
- Flores-Mir, C.; McGrath, L.; Heo, G.; Major, P.W. Efficiency of molar distalization associated with second and third molar eruption stage. Angle Orthod. 2013, 83, 735–742. [Google Scholar] [CrossRef] [PubMed] [Green Version]
- Nienkemper, M.; Wilmes, B.; Pauls, A.; Yamaguchi, S.; Ludwig, B.; Drescher, D. Treatment efficiency of mini-implant-borne distalization depending on age and second-molar eruption. J. Orofac. Orthop. 2014, 75, 118–132. [Google Scholar] [CrossRef]
- Kinzinger, G.S.M.; Hourfar, J.; Lisson, J.A. Efficiency of the skeletonized Pendulum K appliance for non-compliance maxillary molar distalization: A clinical pilot study. J. Orofac. Orthop. 2021, 82, 391–402. [Google Scholar] [CrossRef] [PubMed]
- Serafin, M.; Fastuca, R.; Castellani, E.; Caprioglio, A. Occlusal Plane Changes After Molar Distalization With a Pendulum Appliance in Growing Patients with Class II Malocclusion: A Retrospective Cephalometric Study. Turk. J. Orthod. 2021, 34, 10–17. [Google Scholar] [CrossRef] [PubMed]
- Kang, J.M.; Park, J.H.; Bayome, M.; Oh, M.; Park, C.O.; Kook, Y.A.; Mo, S.S. A three-dimensional finite element analysis of molar distalization with a palatal plate, pendulum, and headgear according to molar eruption stage. Korean J. Orthod. 2016, 46, 290–300. [Google Scholar] [CrossRef] [PubMed] [Green Version]
- Kinzinger, G.S.; Fritz, U.B.; Sander, F.G.; Diedrich, P.R. Efficiency of a pendulum appliance for molar distalization related to second and third molar eruption stage. Am. J. Orthod. Dentofac. Orthop. 2004, 125, 8–23. [Google Scholar] [CrossRef] [PubMed]
- Kang, H.; Lee, N.K.; Kim, J.; Park, J.H.; Kim, Y.; Kook, Y.A. Factors associated with the maxillary third molar position after total arch distalization using a modified C-palatal plate in adolescents. Orthod. Craniofac. Res. 2021, 24, 31–38. [Google Scholar] [CrossRef]
- Lee, Y.J.; Kook, Y.A.; Park, J.H.; Park, J.; Bayome, M.; Vaid, N.R.; Kim, Y. Short-term cone-beam computed tomography evaluation of maxillary third molar changes after total arch distalization in adolescents. Am. J. Orthod. Dentofac. Orthop. 2019, 155, 191–197. [Google Scholar] [CrossRef]
- Verna, C. Regional Acceleratory Phenomenon. Front. Oral. Biol. 2016, 18, 28–35. [Google Scholar] [CrossRef] [PubMed]
- Eigenwillig, P.; Ludwig, B.; Bumann, A. Safe and Precise TAD Placement in the Anterior Palate with Simple and Inexpensive TAD Guides. In Temporary Anchorage Devices in Clinical Orthodontics; John Wiley & Sons, Inc.: Hoboken, NJ, USA, 2020; pp. 577–586. [Google Scholar]
- Bowman, S.J. Modifications of the distal jet. J. Clin. Orthod. 1998, 32, 549–556. [Google Scholar] [PubMed]
- Bowman, S.J. Upper-Molar Distalization and the Distal Jet. J. Clin. Orthod. 2016, 50, 159–169. [Google Scholar] [PubMed]
- Melsen, B.; Bosch, C. Different approaches to anchorage: A survey and an evaluation. Angle Orthod. 1997, 67, 23–30. [Google Scholar] [CrossRef] [PubMed]
- Gelgor, I.E.; Karaman, A.I.; Buyukyilmaz, T. Comparison of 2 distalization systems supported by intraosseous screws. Am. J. Orthod. Dentofac. Orthop. 2007, 131, 161.e1–161.e8. [Google Scholar] [CrossRef]
- Caprioglio, A.; Beretta, M.; Lanteri, C. Maxillary molar distalization: Pendulum and Fast-Back, comparison between two approaches for Class II malocclusion. Prog. Orthod. 2011, 12, 8–16. [Google Scholar] [CrossRef] [PubMed]
- Vermylen, K.; De Quincey, G.N.; Wolffe, G.N.; van’t Hof, M.A.; Renggli, H.H. Root proximity as a risk marker for periodontal disease: A case-control study. J. Clin. Periodontol. 2005, 32, 260–265. [Google Scholar] [CrossRef] [PubMed]
- Choi, Y.J.; Lee, J.S.; Cha, J.Y.; Park, Y.C. Total distalization of the maxillary arch in a patient with skeletal Class II malocclusion. Am. J. Orthod. Dentofac. Orthop. 2011, 139, 823–833. [Google Scholar] [CrossRef]
- Tan, J.M.; Liu, Y.-M.; Chiu, H.-C.; Chen, Y.-J. Molar Distalization by Temporary Anchorage Devices (TAD s)—A Review Article. Taiwan. J. Orthod. 2017, 29, 2. [Google Scholar] [CrossRef]








| Indications | Use with Caution |
|---|---|
| Bilateral or unilateral maxillary molar distalization | - |
| Patients could not afford mandibular anterior teeth proclination | - |
| Amount of distalization within 4 mm | Amount of distalization larger than 4 mm (need to consider extraction of maxillary third molars and/or support from palatal TADs) |
| Child/Adolescent | Adult |
| Brachyfacial or mesofacial skeletal patterns | Dolichofacial skeletal pattern (need to incorporate molar intrusion mechanics) |
| Regular or deep palatal vault | Shallow palatal vault (need support from anterior palatal TADs) |
Publisher’s Note: MDPI stays neutral with regard to jurisdictional claims in published maps and institutional affiliations. |
© 2022 by the authors. Licensee MDPI, Basel, Switzerland. This article is an open access article distributed under the terms and conditions of the Creative Commons Attribution (CC BY) license (https://creativecommons.org/licenses/by/4.0/).
Share and Cite
Li, C.; Chung, C.-H. A Simple Technique Using a Modified Nance Appliance as Anchorage for Maxillary Molar Distalization—Two Case Reports. Appl. Sci. 2022, 12, 768. https://doi.org/10.3390/app12020768
Li C, Chung C-H. A Simple Technique Using a Modified Nance Appliance as Anchorage for Maxillary Molar Distalization—Two Case Reports. Applied Sciences. 2022; 12(2):768. https://doi.org/10.3390/app12020768
Chicago/Turabian StyleLi, Chenshuang, and Chun-Hsi Chung. 2022. "A Simple Technique Using a Modified Nance Appliance as Anchorage for Maxillary Molar Distalization—Two Case Reports" Applied Sciences 12, no. 2: 768. https://doi.org/10.3390/app12020768
APA StyleLi, C., & Chung, C.-H. (2022). A Simple Technique Using a Modified Nance Appliance as Anchorage for Maxillary Molar Distalization—Two Case Reports. Applied Sciences, 12(2), 768. https://doi.org/10.3390/app12020768

