Sodium Hypochlorite Accident during Canal Treatment: Report of Four Cases Documented According to New Standards
Abstract
1. Introduction
2. Case Series
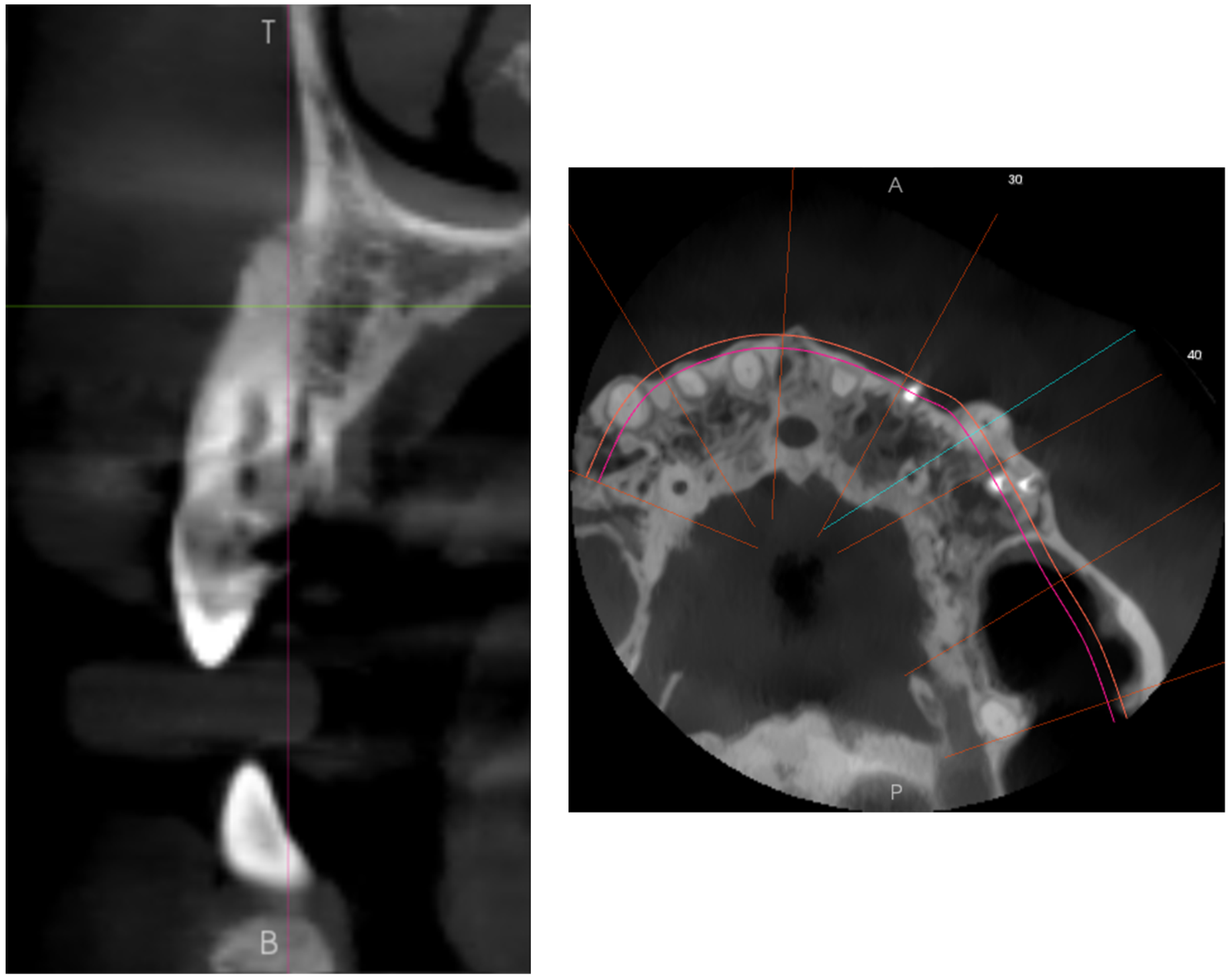
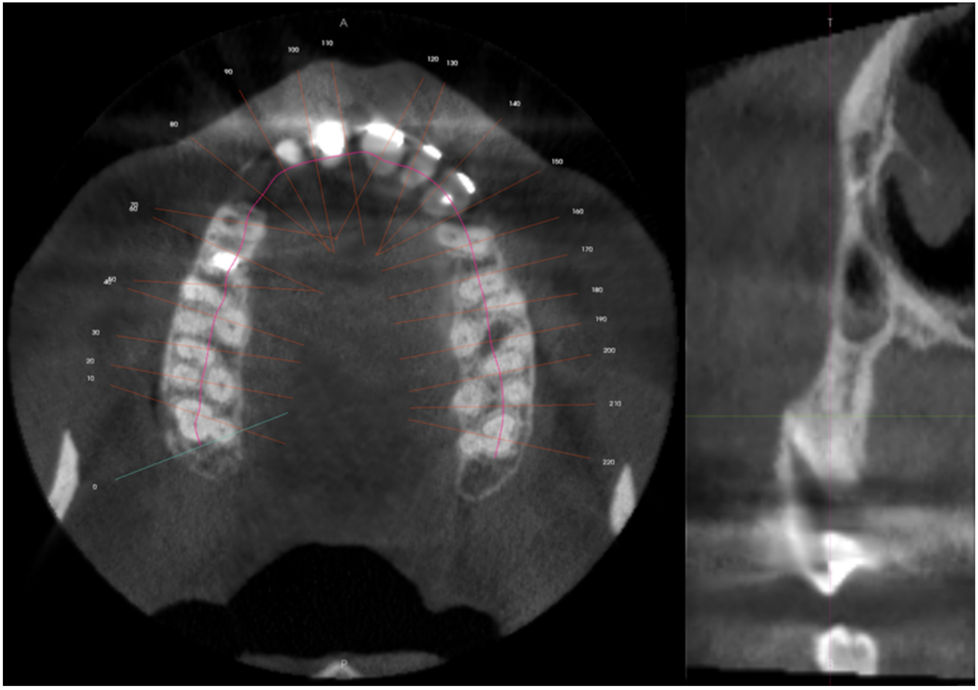
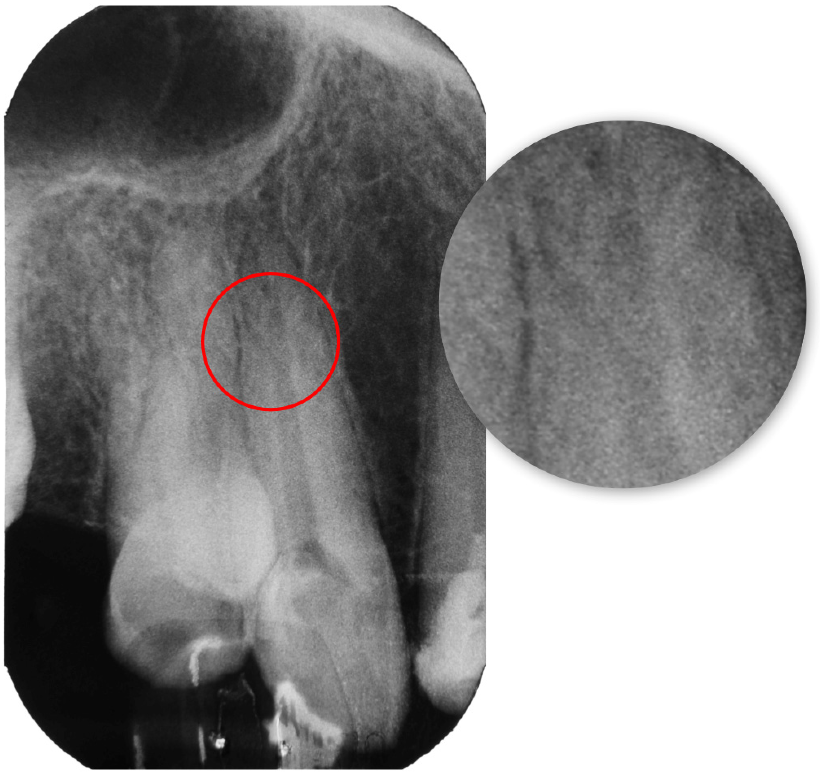
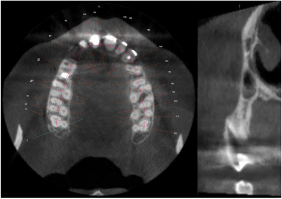
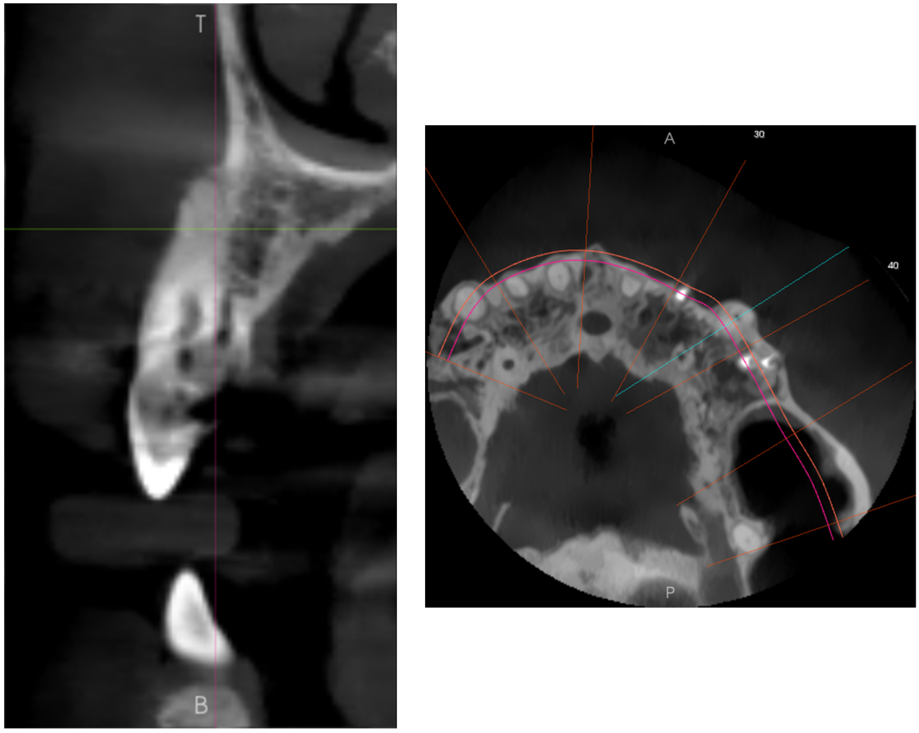
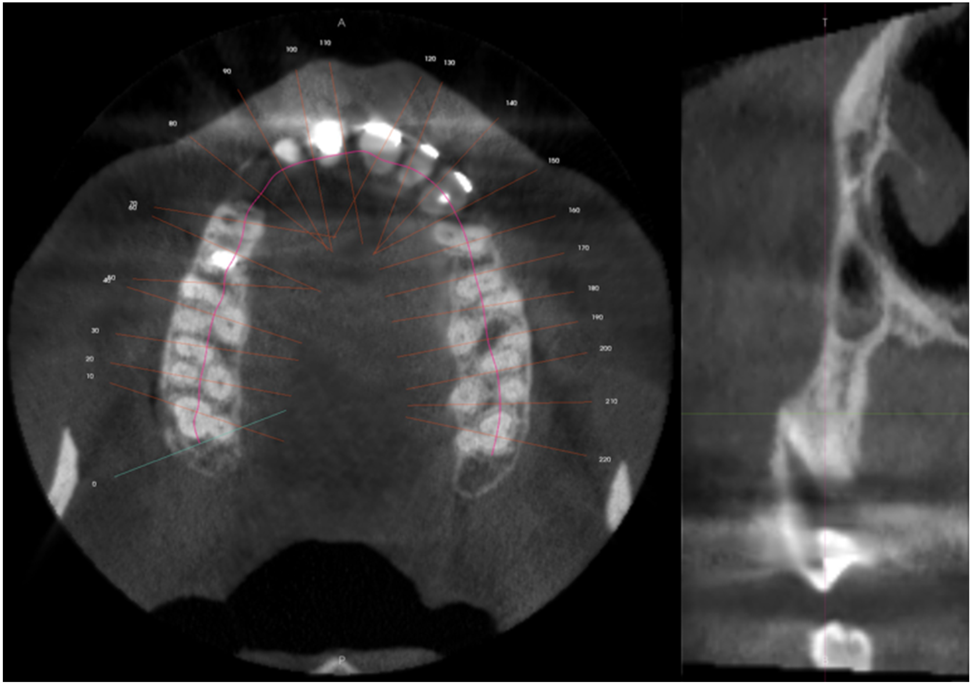
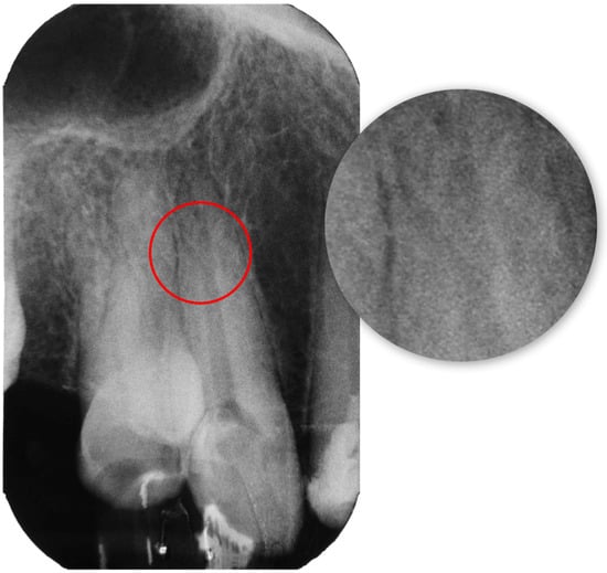
2.1. Report A
2.2. Report B
2.3. Report C
- Amoxicillin with Acid Clavulanic 875 mg + 125 mg (1 tablet every 8 h per 6 days);
- Prednisone 5 mg (2 tablet/die per 5 days)
- Ibuprofen 600 mg (2 tablet/die per 3 days).
2.4. Report D
3. Discussion
4. Conclusions
Supplementary Materials
Author Contributions
Funding
Institutional Review Board Statement
Informed Consent Statement
Data Availability Statement
Conflicts of Interest
References
- Basrani, B.; Haapasalo, M. Update on endodontic irrigating solutions. Endod. Top. 2012, 27, 74–102. [Google Scholar] [CrossRef]
- Zehnder, M. Root canal irrigants. J. Endod. 2006, 32, 389–398. [Google Scholar] [CrossRef] [PubMed]
- Moorer, W.R.; Wesselink, P.R. Factors promoting the tissue dissolving capability of sodium hypochlorite. Int. Endod. J. 1982, 15, 187–196. [Google Scholar] [CrossRef] [PubMed]
- Gernhardt, C.R.; Eppendorf, K.; Kozlowski, A.; Brandt, M. Toxicity of concentrated sodium hypochlorite used as an endodontic irrigant. Int. Endod. J. 2004, 37, 272–280. [Google Scholar] [CrossRef]
- Lai, S.C.; Mak, Y.F.; Cheung, G.S.; Osorio, R.; Toledano, M.; Carvalho, R.M.; Tay, F.R.; Pashley, D.H. Reversal of compromised bonding to oxidized etched dentin. J. Dent. Res. 2001, 80, 1919–1924. [Google Scholar] [CrossRef]
- Singh, P.K. Root canal complications: ‘The hypochlorite accident’. SADJ 2010, 65, 416–419. [Google Scholar]
- Kleier, D.J.; Averbach, R.E.; Mehdipour, O. The sodium hypochlorite accident: Experience of diplomates of the American Board of Endodontics. J. Endod. 2008, 34, 1346–1350. [Google Scholar] [CrossRef]
- Zhu, W.C.; Gyamfi, J.; Niu, L.N.; Schoeffel, G.J.; Liu, S.Y.; Santarcangelo, F.; Khan, S.; Tay, K.C.; Pashley, D.H.; Tay, F.R. Anatomy of sodium hypochlorite accidents involving facial ecchymosis—A review. J. Dent. 2013, 41, 935–948. [Google Scholar] [CrossRef]
- Alrahabi, M.; Zafar, M.S.; Adanir, N. Aspects of Clinical Malpractice in Endodontics. Eur. J. Dent. 2019, 13, 450–458. [Google Scholar] [CrossRef]
- Guivarc’h, M.; Ordioni, U.; Ahmed, H.M.; Cohen, S.; Catherine, J.H.; Bukiet, F. Sodium Hypochlorite Accident: A Systematic Review. J. Endod. 2017, 43, 16–24. [Google Scholar] [CrossRef]
- Boutsioukis, C.; Psimma, Z.; van der Sluis, L.W. Factors affecting irrigant extrusion during root canal irrigation: A systematic review. Int. Endod. J. 2013, 46, 599–618. [Google Scholar] [CrossRef] [PubMed]
- Ozdemir, O.; Hazar, E.; Kocak, S.; Saglam, B.C.; Kocak, M.M. The frequency of sodium hypochlorite extrusion during root canal treatment: An observational clinical study. Aust. Dent. J. 2022. [Google Scholar] [CrossRef] [PubMed]
- Perotti, S.; Bin, P.; Cecchi, R. Hypochlorite accident during wndodontic therapy with nerve damage—A case report. Acta Bio. Med. 2018, 89, 104–108. [Google Scholar] [CrossRef] [PubMed]
- Bosch-Aranda, M.L.; Canalda-Sahli, C.; Figueiredo, R.; Gay-Escoda, C. Complications following an accidental sodium hypochlorite extrusion: A report of two cases. J. Clin. Exp. Dent. 2012, 4, e194–e198. [Google Scholar] [CrossRef] [PubMed][Green Version]
- Pelka, M.; Petschelt, A. Permanent mimic musculature and nerve damage caused by sodium hypochlorite: A case report. Oral. Surg. Oral. Med. Oral. Pathol. Oral. Radiol. Endod. 2008, 106, e80–e83. [Google Scholar] [CrossRef]
- Kanagasingam, S.; Blum, I.R. Sodium Hypochlorite Extrusion Accidents: Management and Medico-Legal Considerations. Prim. Dent. J. 2020, 9, 59–63. [Google Scholar] [CrossRef]
- Al-Sebaei, M.O.; Halabi, O.A.; El-Hakim, I.E. Sodium hypochlorite accident resulting in life-threatening airway obstruction during root canal treatment: A case report. Clin. Cosmet. Investig. Dent. 2015, 7, 41–44. [Google Scholar] [CrossRef]
- Nicolai, P.; Mensi, M.; Marsili, F.; Piccioni, M.; Salgarello, S.; Gilberti, E.; Apostoli, P. Maxillary fungus ball: Zinc-oxide endodontic materials as a risk factor. Acta Otorhinolaryngol. Ital. 2015, 35, 93–96. [Google Scholar]
- Rosen, E.; Goldberger, T.; Taschieri, S.; Del Fabbro, M.; Corbella, S.; Tsesis, I. The Prognosis of Altered Sensation after Extrusion of Root Canal Filling Materials: A Systematic Review of the Literature. J. Endod. 2016, 42, 873–879. [Google Scholar] [CrossRef]
- Fruhauf, J.; Weinke, R.; Pilger, U.; Kerl, H.; Mullegger, R.R. Soft tissue cervicofacial emphysema after dental treatment: Report of 2 cases with emphasis on the differential diagnosis of angioedema. Arch. Dermatol. 2005, 141, 1437–1440. [Google Scholar] [CrossRef]
- Rad, M.V.; Chan, E.K.Y.; Ahmed, I.H. Cervicofacial subcutaneous emphysema and pneumomediastinum secondary to dental treatment in a young man. Respir Med. Case Rep. 2019, 28, 100918. [Google Scholar] [CrossRef] [PubMed]
- Abramson, A.; Sabag, E.; Nahlieli, O. Surgical approach to a severe case of sodium hypochlorite accident: A case report and review of the literature. Quintessence Int. 2021, 52, 806–810. [Google Scholar] [CrossRef] [PubMed]
- Farook, S.A.; Shah, V.; Lenouvel, D.; Sheikh, O.; Sadiq, Z.; Cascarini, L.; Webb, R. Corrigendum. Practice article (BDJ 2014; 217: 679-684). Guidelines for management of sodium hypochlorite extrusion injuries. Br. Dent. J. 2015, 218, 230. [Google Scholar] [CrossRef] [PubMed]
- Souza, E.M.; Campos, M.G.; Rosas Aguilar, R. Mapping the periapex anatomical pattern of teeth involved in sodium hypochlorite accidents: A cross-sectional quasi-experimental study. Int. Endod. J. 2021, 54, 1212–1220. [Google Scholar] [CrossRef] [PubMed]
- Kalaitzoglou, M.E.; Angelopoulos, C.; Lyroudia, K.; Lambrianidis, T. Frequency of root fenestration in a Greek subpopulation: A cone beam computed tomography clinical study. Aust. Endod. J. 2021, 47, 580–591. [Google Scholar] [CrossRef] [PubMed]
- Pan, H.Y.; Yang, H.; Zhang, R.; Yang, Y.M.; Wang, H.; Hu, T.; Dummer, P.M. Use of cone-beam computed tomography to evaluate the prevalence of root fenestration in a Chinese subpopulation. Int. Endod. J. 2014, 47, 10–19. [Google Scholar] [CrossRef]
- Hulsmann, M.; Hahn, W. Complications during root canal irrigation--literature review and case reports. Int. Endod. J. 2000, 33, 186–193. [Google Scholar] [CrossRef]
- Patel, S.; Brown, J.; Semper, M.; Abella, F.; Mannocci, F. European Society of Endodontology position statement: Use of cone beam computed tomography in Endodontics: European Society of Endodontology (ESE) developed by. Int. Endod. J. 2019, 52, 1675–1678. [Google Scholar] [CrossRef]
- Coaguila-Llerena, H.; Denegri-Hacking, A.; Lucano-Tinoco, L.; Mendiola-Aquino, C.; Faria, G. Accidental Extrusion of Sodium Hypochlorite in a Patient Taking Alendronate: A Case Report with an 8-Year Follow-up. J. Endod. 2021, 47, 1947–1952. [Google Scholar] [CrossRef] [PubMed]
- Witton, R.; Henthorn, K.; Ethunandan, M.; Harmer, S.; Brennan, P.A. Neurological complications following extrusion of sodium hypochlorite solution during root canal treatment. Int. Endod. J. 2005, 38, 843–848. [Google Scholar] [CrossRef]
- Spencer, H.R.; Ike, V.; Brennan, P.A. Review: The use of sodium hypochlorite in endodontics—Potential complications and their management. Br. Dent. J. 2007, 202, 555–559. [Google Scholar] [CrossRef] [PubMed]
- Chaugule, V.B.; Panse, A.M.; Gawali, P.N. Adverse Reaction of Sodium Hypochlorite during Endodontic Treatment of Primary Teeth. Int. J. Clin. Pediatr Dent. 2015, 8, 153–156. [Google Scholar] [CrossRef] [PubMed]
- de Sermeno, R.F.; da Silva, L.A.; Herrera, H.; Herrera, H.; Silva, R.A.; Leonardo, M.R. Tissue damage after sodium hypochlorite extrusion during root canal treatment. Oral. Surg. Oral. Med. Oral. Pathol. Oral. Radiol. Endod. 2009, 108, e46–e49. [Google Scholar] [CrossRef] [PubMed]
- Tenore, G.; Palaia, G.; Ciolfi, C.; Mohsen, M.; Battisti, A.; Romeo, U. Subcutaneous emphysema during root canal therapy: Endodontic accident by sodium hypoclorite. Ann. Stomatol. (Roma) 2017, 8, 117–122. [Google Scholar] [CrossRef]
- Hargreaves, K.; Abbott, P.V. Drugs for pain management in dentistry. Aust. Dent. J. 2005, 50, S14–S22. [Google Scholar] [CrossRef]
- Segura-Egea, J.J.; Gould, K.; Sen, B.H.; Jonasson, P.; Cotti, E.; Mazzoni, A.; Sunay, H.; Tjaderhane, L.; Dummer, P.M.H. European Society of Endodontology position statement: The use of antibiotics in endodontics. Int. Endod. J. 2018, 51, 20–25. [Google Scholar] [CrossRef]
- Salvadori, M.; Audino, E.; Venturi, G.; Garo, M.L.; Salgarello, S. Antibiotic prescribing for endodontic infections: A survey of dental students in Italy. Int. Endod. J. 2019, 52, 1388–1396. [Google Scholar] [CrossRef] [PubMed]
- Hatton, J.; Walsh, S.; Wilson, A. Management of the sodium hypochlorite accident: A rare but significant complication of root canal treatment. BMJ Case Rep. 2015, 2015, bcr2014207480. [Google Scholar] [CrossRef]
- Iranmanesh, F.; Parirokh, M.; Haghdoost, A.A.; Abbott, P.V. Effect of Corticosteroids on Pain Relief Following Root Canal Treatment: A Systematic Review. Iran. Endod. J. 2017, 12, 123–130. [Google Scholar] [CrossRef] [PubMed]
- Sabala, C.L.; Powell, S.E. Sodium hypochlorite injection into periapical tissues. J. Endod. 1989, 15, 490–492. [Google Scholar] [CrossRef]






Publisher’s Note: MDPI stays neutral with regard to jurisdictional claims in published maps and institutional affiliations. |
© 2022 by the authors. Licensee MDPI, Basel, Switzerland. This article is an open access article distributed under the terms and conditions of the Creative Commons Attribution (CC BY) license (https://creativecommons.org/licenses/by/4.0/).
Share and Cite
Salvadori, M.; Venturi, G.; Bertoletti, P.; Francinelli, J.; Tonini, R.; Garo, M.L.; Salgarello, S. Sodium Hypochlorite Accident during Canal Treatment: Report of Four Cases Documented According to New Standards. Appl. Sci. 2022, 12, 8525. https://doi.org/10.3390/app12178525
Salvadori M, Venturi G, Bertoletti P, Francinelli J, Tonini R, Garo ML, Salgarello S. Sodium Hypochlorite Accident during Canal Treatment: Report of Four Cases Documented According to New Standards. Applied Sciences. 2022; 12(17):8525. https://doi.org/10.3390/app12178525
Chicago/Turabian StyleSalvadori, Matteo, Giuseppe Venturi, Paolo Bertoletti, Jacopo Francinelli, Riccardo Tonini, Maria Luisa Garo, and Stefano Salgarello. 2022. "Sodium Hypochlorite Accident during Canal Treatment: Report of Four Cases Documented According to New Standards" Applied Sciences 12, no. 17: 8525. https://doi.org/10.3390/app12178525
APA StyleSalvadori, M., Venturi, G., Bertoletti, P., Francinelli, J., Tonini, R., Garo, M. L., & Salgarello, S. (2022). Sodium Hypochlorite Accident during Canal Treatment: Report of Four Cases Documented According to New Standards. Applied Sciences, 12(17), 8525. https://doi.org/10.3390/app12178525

