DMSO Improves the Ski-Slope Effect in Direct PCR
Abstract
Featured Application
Abstract
1. Introduction
2. Materials and Methods
2.1. Reagents
2.2. Sample Collection
2.3. PCR Amplification and Direct PCR Amplification
2.4. Direct PCR Quantification
2.5. Capillary Electrophoresis and Analysis
3. Results and Discussion
3.1. Enhancement of PCR Amplification by DMSO in Multiplex PCR Amplification Kit
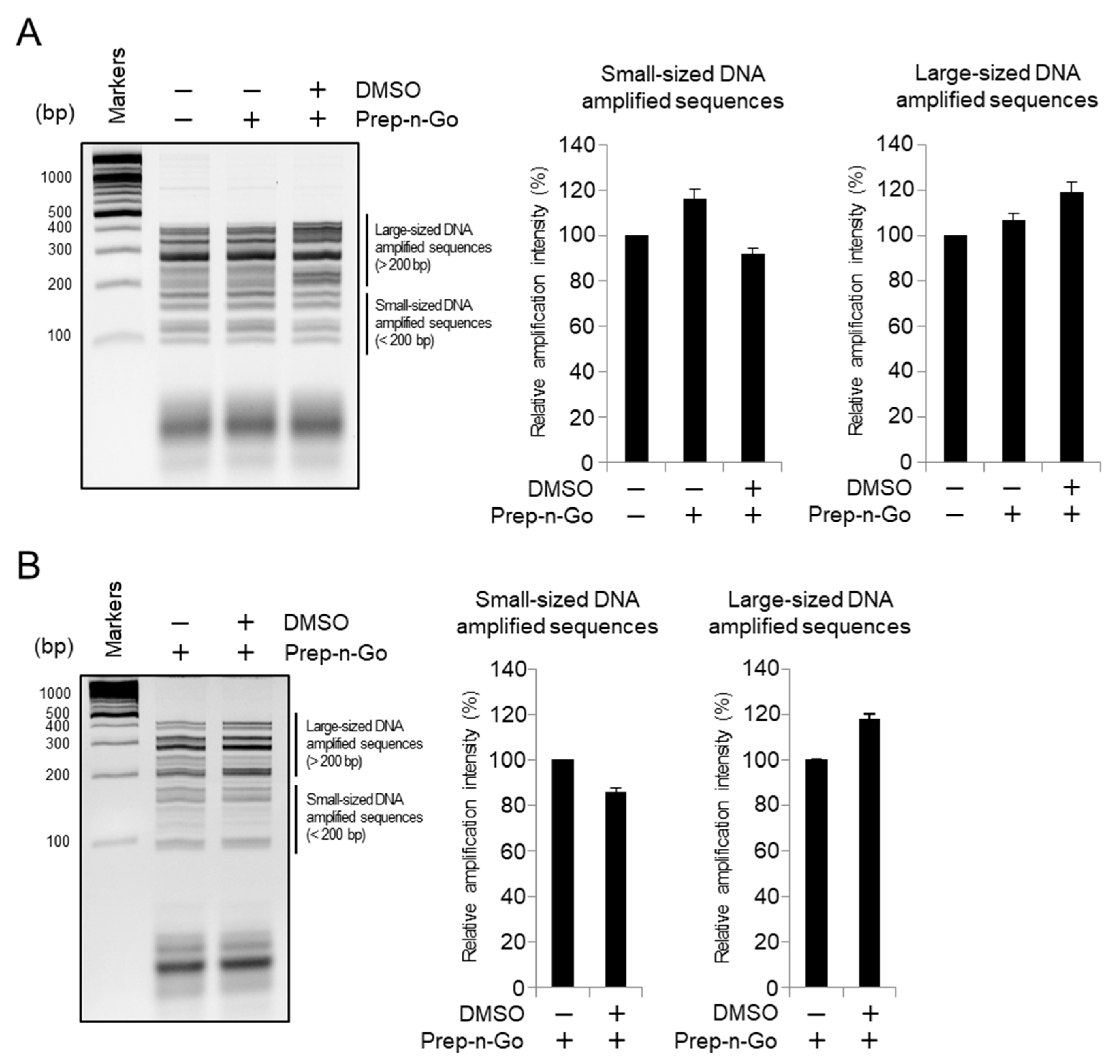
3.2. Reducing of Ski-Slope Effect by DMSO in Direct PCR
4. Conclusions
Author Contributions
Funding
Institutional Review Board Statement
Informed Consent Statement
Data Availability Statement
Conflicts of Interest
References
- Gill, P.; Whitaker, J.; Flaxman, C.; Brown, N.; Buckleton, J. An investigation of the rigor of interpretation rules for STRs derived from less than 100 pg of DNA. Forensic Sci. Int. 2000, 112, 17–40. [Google Scholar] [CrossRef]
- Budowle, B.; Eisenberg, A.J.; Van Daal, A. Validity of low copy number typing and applications to forensic science. Croat. Med. J. 2009, 50, 207–217. [Google Scholar] [CrossRef] [PubMed]
- Findlay, I.; Taylor, A.; Quirke, P.; Frazier, R.; Urquhart, A. DNA fingerprinting from single cells. Nature 1997, 389, 555–556. [Google Scholar] [CrossRef] [PubMed]
- Cavanaugh, S.E.; Bathrick, A.S. Direct PCR amplification of forensic touch and other challenging DNA samples: A review. Forensic Sci. Int. Genet. 2018, 32, 40–49. [Google Scholar] [CrossRef] [PubMed]
- Templeton, J.; Ottens, R.; Paradiso, V.; Handt, O.; Taylor, D.; Linacre, A. Genetic profiling from challenging samples: Direct PCR of touch DNA. Forensic Sci. Int. Genet. Suppl. Ser. 2013, 4, e224–e225. [Google Scholar] [CrossRef]
- Linacre, A.; Pekarek, V.; Swaran, Y.C.; Tobe, S.S. Generation of DNA profiles from fabrics without DNA extraction. Forensic Sci. Int. Genet. 2010, 4, 137–141. [Google Scholar] [CrossRef]
- Gomes, C.; Martinez-Gomez, J.; Diez-Juarez, L.; Diaz-Sanchez, S.; Palomo-Diez, S.; Arroyo-Pardo, E.; Cano-López, M.; Fernández-Serrano, J. Prep-n-Go™: A new and fast extraction method for forensic blood samples. Forensic Sci. Int. Genet. Suppl. Ser. 2017, 6, e265–e266. [Google Scholar] [CrossRef]
- Aufauvre-Brown, A.; Tang, C.M.; Holden, D.W. Detection of gene-disruption events in Aspergillus transformants by polymerase chain reaction direct from conidiospores. Curr. Genet. 1993, 24, 177–178. [Google Scholar] [CrossRef] [PubMed]
- Swaran, Y.C.; Welch, L. A comparison between direct PCR and extraction to generate DNA profiles from samples retrieved from various substrates. Forensic Sci. Int. Genet. 2012, 6, 407–412. [Google Scholar] [CrossRef]
- Van Oorschot, R.A.H.; Phelan, D.G.; Furlong, S.; Scarfo, G.M.; Holding, N.L.; Cummins, M.J. Are you collecting all the available DNA from touched objects? Int. Congr. Ser. 2003, 1239, 803–807. [Google Scholar] [CrossRef]
- Templeton, J.E.; Taylor, D.; Handt, O.; Skuza, P.; Linacre, A. Direct PCR Improves the Recovery of DNA from Various Substrates. J. Forensic Sci. 2015, 60, 1558–1562. [Google Scholar] [CrossRef]
- Ambers, A.; Wiley, R.; Novroski, N.; Budowle, B. Direct PCR amplification of DNA from human bloodstains, saliva, and touch samples collected with microFLOQ® swabs. Forensic Sci. Int. Genet. 2018, 32, 80–87. [Google Scholar] [CrossRef]
- Myers, B.A.; King, J.L.; Budowle, B. Evaluation and comparative analysis of direct amplification of STRs using PowerPlex® 18D and Identifiler® Direct systems. Forensic Sci. Int. Genet. 2012, 6, 640–645. [Google Scholar] [CrossRef]
- Flores, S.; Sun, J.; King, J.; Budowle, B. Internal validation of the GlobalFiler™ Express PCR Amplification Kit for the direct amplification of reference DNA samples on a high-throughput automated workflow. Forensic Sci. Int. Genet. 2014, 10, 33–39. [Google Scholar] [CrossRef]
- Wang, D.Y.; Gopinath, S.; Lagacé, R.E.; Norona, W.; Hennessy, L.K.; Short, M.L.; Mulero, J.J. Developmental validation of the GlobalFiler(®) Express PCR Amplification Kit: A 6-dye multiplex assay for the direct amplification of reference samples. Forensic Sci. Int. Genet. 2015, 19, 148–155. [Google Scholar] [CrossRef] [PubMed]
- Jung, J.Y.; Ryu, G.H.; Kim, D.H.; Kim, J.Y.; Hwang, I.K.; Kang, P.W.; Chun, B.W.; Yoo, S.Y. Simplified Direct PCR Method for Reference Buccal Samples Using a Non-FTA Card by Omitting the Pretreatment Step. J. Forensic Sci. 2020, 65, 209–213. [Google Scholar] [CrossRef]
- Templeton, J.E.L.; Taylor, D.; Handt, O.; Linacre, A. Typing DNA profiles from previously enhanced fingerprints using direct PCR. Forensic Sci. Int. Genet. 2017, 29, 276–282. [Google Scholar] [CrossRef] [PubMed]
- Timken, M.D.; Klein, S.B.; Buoncristiani, M.R. Stochastic sampling effects in STR typing: Implications for analysis and interpretation. Forensic Sci. Int. Genet. 2014, 11, 195–204. [Google Scholar] [CrossRef] [PubMed]
- Chakrabarti, R.; Schutt, C.E. The enhancement of PCR amplification by low molecular weight amides. Nucleic Acids Res. 2001, 29, 2377–2381. [Google Scholar] [CrossRef] [PubMed]
- Chakrabarti, R.; Schutt, C.E. The enhancement of PCR amplification by low molecular-weight sulfones. Gene 2001, 274, 293–298. [Google Scholar] [CrossRef]
- Musso, M.; Bocciardi, R.; Parodi, S.; Ravazzolo, R.; Ceccherini, I. Betaine, dimethyl sulfoxide, and 7-deaza-dGTP, a powerful mixture for amplification of GC-rich DNA sequences. J. Mol. Diagn. 2006, 8, 544–550. [Google Scholar] [CrossRef] [PubMed]
- Jensen, M.A.; Fukushima, M.; Davis, R.W. DMSO and betaine greatly improve amplification of GC-rich constructs in de novo synthesis. PLoS ONE 2010, 5, e11024. [Google Scholar] [CrossRef] [PubMed]
- Life Technologies Corporation. Quantifiler HP and Trio DNA Quantification Kits USER GUIDE. Available online: https://assets.thermofisher.com/TFS-Assets/LSG/manuals/4485354.pdf (accessed on 15 June 2020).
- Life Technologies Corporation. GlobalFiler and GlobalFiler IQC PCR Amplification Kits USER GUIDE. Available online: https://assets.thermofisher.com/TFS-Assets/LSG/manuals/4477604.pdf (accessed on 15 June 2020).




| Dye | Locus | DNA Amplification Sizes (bp) | Average of Relative Fluorescence Units (%) | Ratio of Change | |
|---|---|---|---|---|---|
| Prep-n-Go (n = 50) | Prep-n-Go + DMSO (n = 50) | ||||
| Blue dye (6-FAM) | D3S1358 | 90.5~146.5 | 100.0 ± 9.0 | 94.6 ± 15.1 | 5.4% ▼ |
| vWA | 151.0~215.0 | 116.1 ± 36.2 | 124.7 ± 32.9 | 7.4% ▲ | |
| D16S539 | 221.5~273.5 | 73.5 ± 20.4 | 104.1 ± 29.2 | 41.7% ▲ | |
| CSF1PO | 277.0~325.0 | 42.2 ± 15.4 | 67.5 ± 25.6 | 59.9% ▲ | |
| TPOX | 332.5~384.5 | 34.3 ± 14.5 | 69.3 ± 25.0 | 101.8% ▲ | |
| Green dye (VIC) | D8S1179 | 108.5~176.5 | 100.0 ± 8.1 | 94.5 ± 9.0 | 5.5% ▼ |
| D21S11 | 179.5~246.5 | 48.2 ± 16.7 | 62.3 ± 19.2 | 29.2% ▲ | |
| D18S51 | 255.5~347.5 | 38.5 ± 21.1 | 53.1 ± 18.8 | 38.0% ▲ | |
| Yellow dye (NED) | D2S441 | 75.0~113.5 | 100.0 ± 7.6 | 96.4 ± 12.3 | 3.6% ▼ |
| D19S433 | 115.5~173.5 | 63.6 ± 15.8 | 73.8 ± 26.9 | 16.0% ▲ | |
| TH01 | 174.0~219.5 | 39.5 ± 14.9 | 56.3 ± 22.6 | 42.6% ▲ | |
| FGA | 221.0~380.0 | 71.4 ± 17.0 | 82.2 ± 24.8 | 15.1% ▲ | |
| Red dye (TAZ) | D22S1045 | 83.5~126.5 | 100.0 ± 8.1 | 98.2 ± 12.4 | 1.8% ▼ |
| D5S818 | 133.5~189.5 | 103.8 ± 31.1 | 97.7 ± 28.6 | 5.9% ▼ | |
| D13S317 | 197.0~249.0 | 101.8 ± 27.3 | 100.5 ± 31.1 | 1.3% ▼ | |
| D7S820 | 256.5~304.5 | 66.6 ± 29.8 | 70.6 ± 22.9 | 6.0% ▲ | |
| SE33 | 306.0~444.0 | 42.8 ± 26.8 | 57.7 ± 24.4 | 34.8% ▲ | |
| Purple dye (SID) | D10S1248 | 80.0~132.0 | 100.0 ± 8.1 | 97.0 ± 10.6 | 3.0% ▼ |
| D1S1656 | 154.0~209.5 | 72.9 ± 23.2 | 95.3 ± 30.4 | 30.7% ▲ | |
| D12S391 | 211.0~270.5 | 47.1 ± 17.3 | 62.5 ± 20.5 | 32.6% ▲ | |
| D2S338 | 275.5~355.5 | 57.5 ± 27.7 | 100.5 ± 32.5 | 74.7% ▲ | |
Publisher’s Note: MDPI stays neutral with regard to jurisdictional claims in published maps and institutional affiliations. |
© 2021 by the authors. Licensee MDPI, Basel, Switzerland. This article is an open access article distributed under the terms and conditions of the Creative Commons Attribution (CC BY) license (http://creativecommons.org/licenses/by/4.0/).
Share and Cite
Kim, J.-Y.; Jung, J.Y.; Kim, D.-H.; Moon, S.; Lee, W.-H.; Chun, B.-W.; Choi, D.-H. DMSO Improves the Ski-Slope Effect in Direct PCR. Appl. Sci. 2021, 11, 1943. https://doi.org/10.3390/app11041943
Kim J-Y, Jung JY, Kim D-H, Moon S, Lee W-H, Chun B-W, Choi D-H. DMSO Improves the Ski-Slope Effect in Direct PCR. Applied Sciences. 2021; 11(4):1943. https://doi.org/10.3390/app11041943
Chicago/Turabian StyleKim, Joo-Young, Ju Yeon Jung, Da-Hye Kim, Seohyun Moon, Won-Hae Lee, Byung-Won Chun, and Dong-Ho Choi. 2021. "DMSO Improves the Ski-Slope Effect in Direct PCR" Applied Sciences 11, no. 4: 1943. https://doi.org/10.3390/app11041943
APA StyleKim, J.-Y., Jung, J. Y., Kim, D.-H., Moon, S., Lee, W.-H., Chun, B.-W., & Choi, D.-H. (2021). DMSO Improves the Ski-Slope Effect in Direct PCR. Applied Sciences, 11(4), 1943. https://doi.org/10.3390/app11041943

