Angled Screwdriver Solutions and Low-Profile Attachments in Full Arch Rehabilitation with Divergent Implants
Abstract
1. Introduction
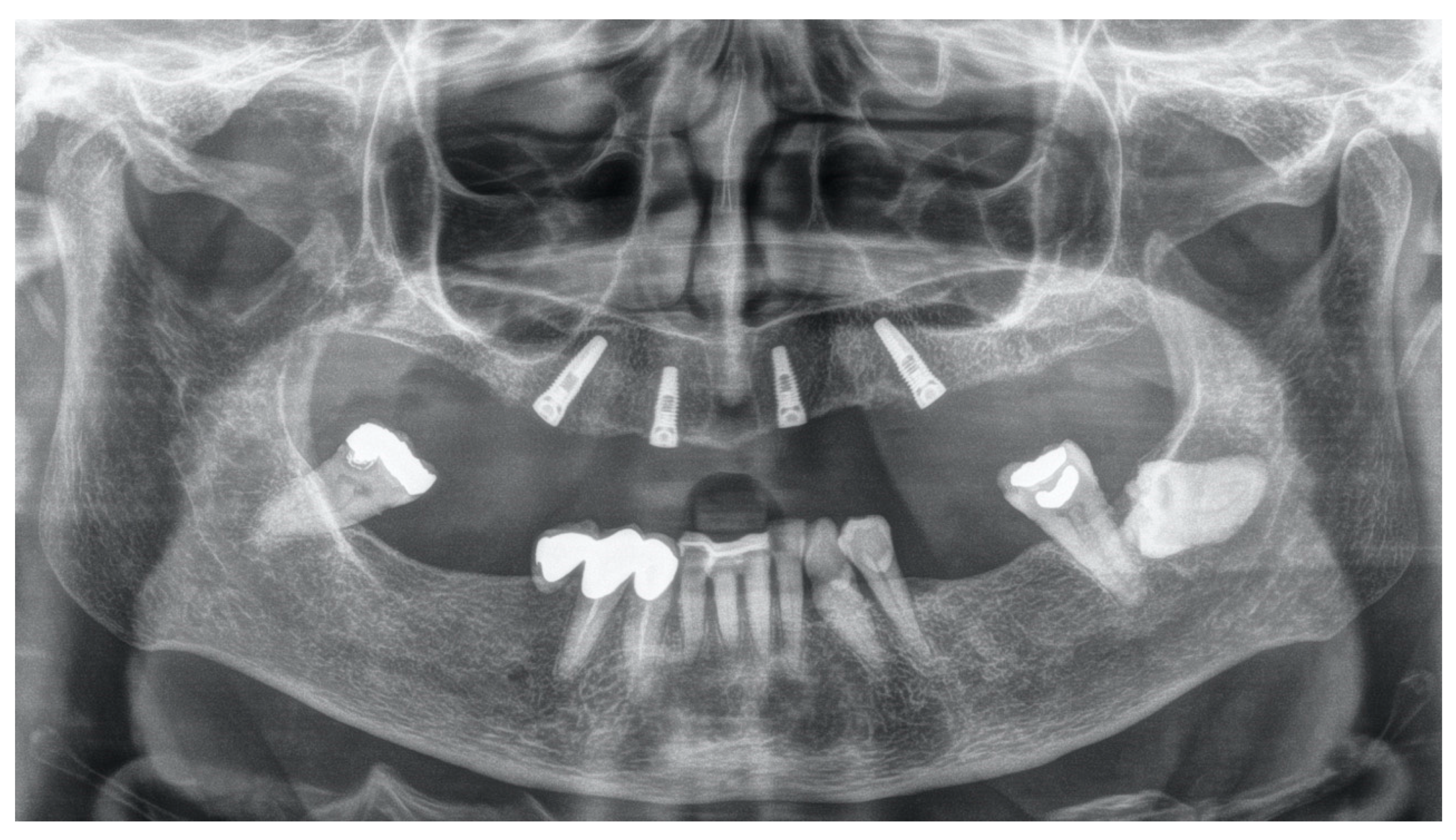
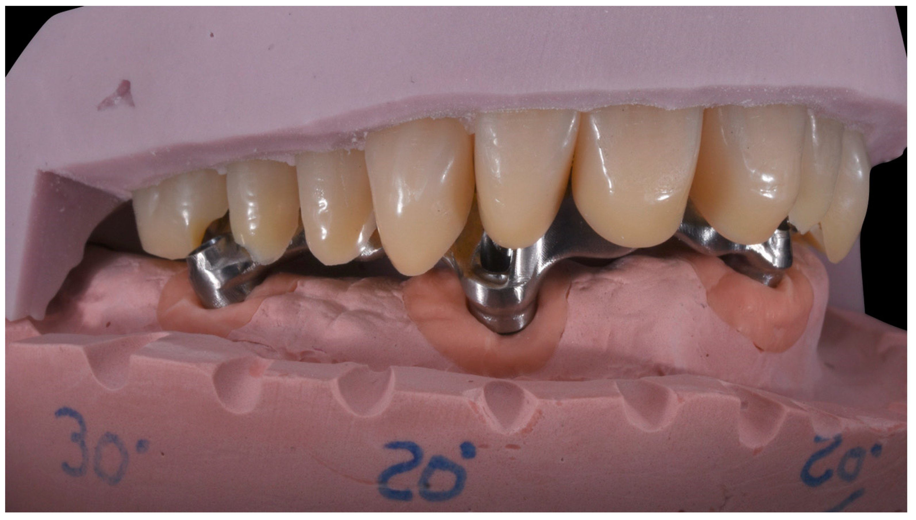
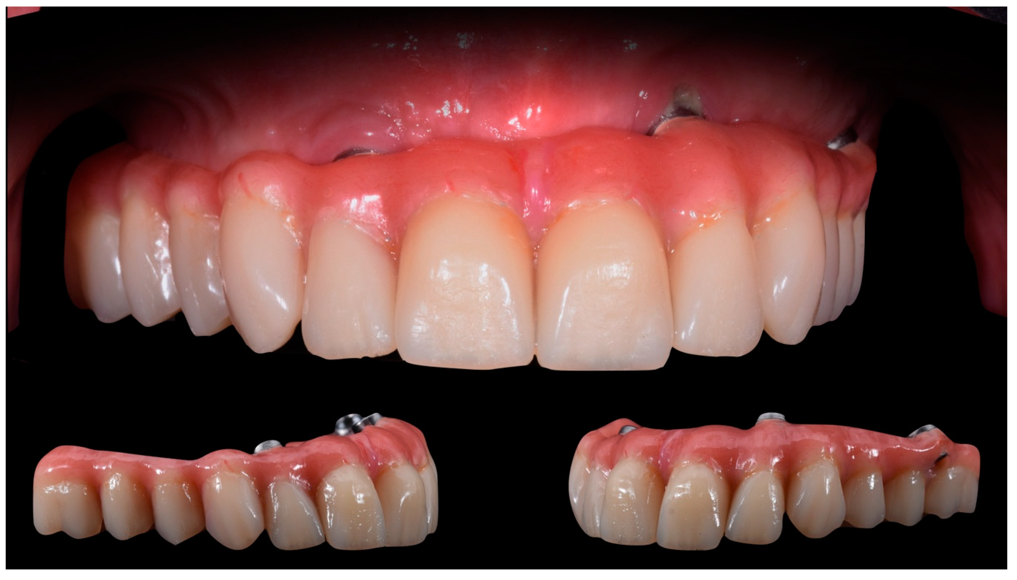
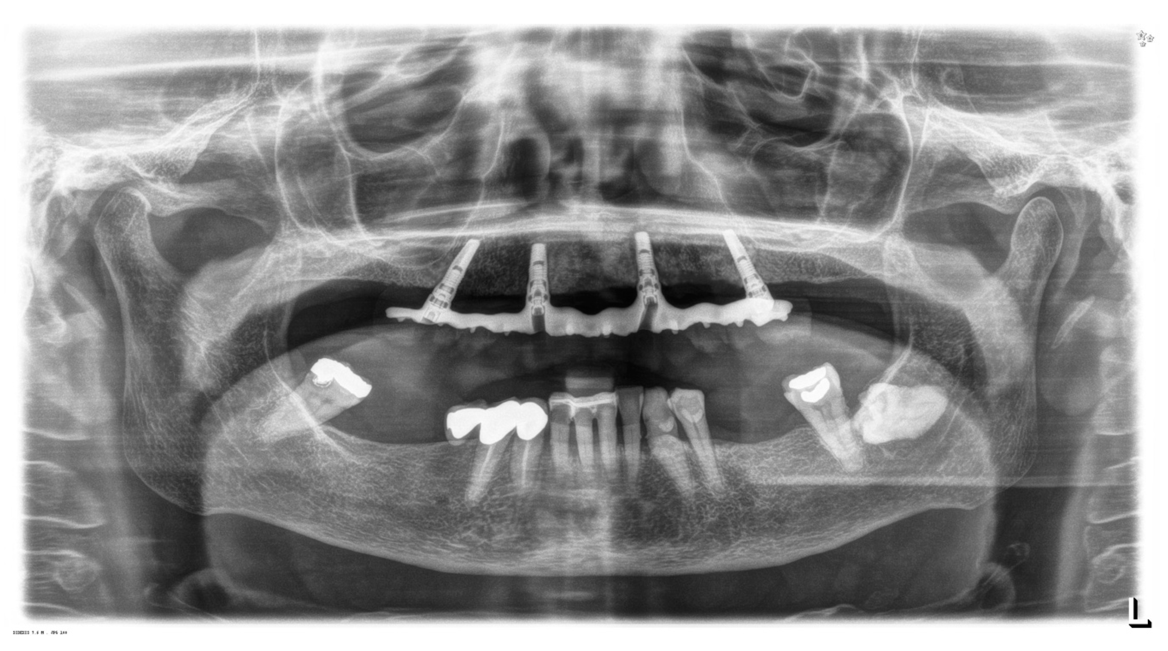
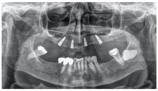
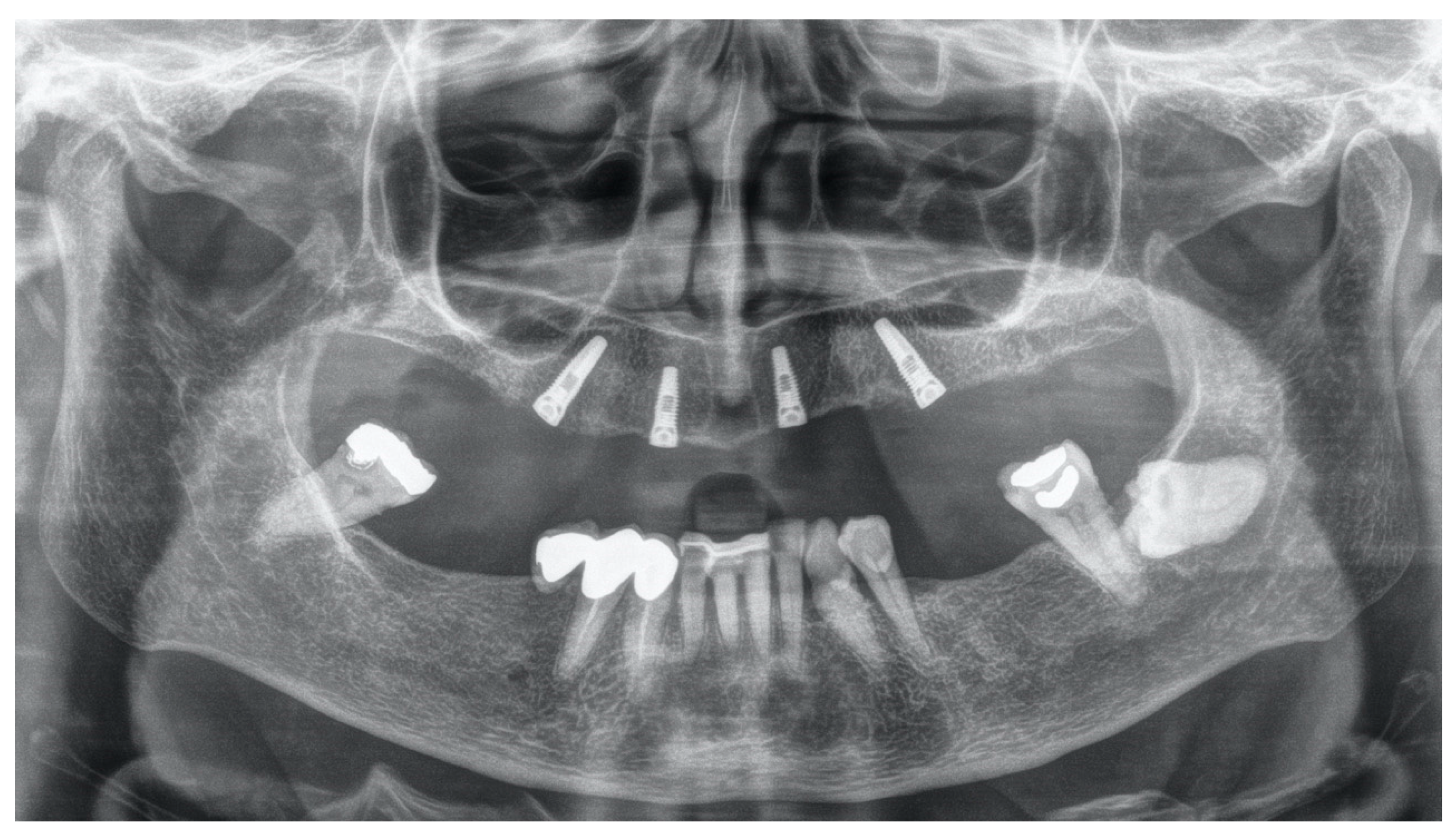
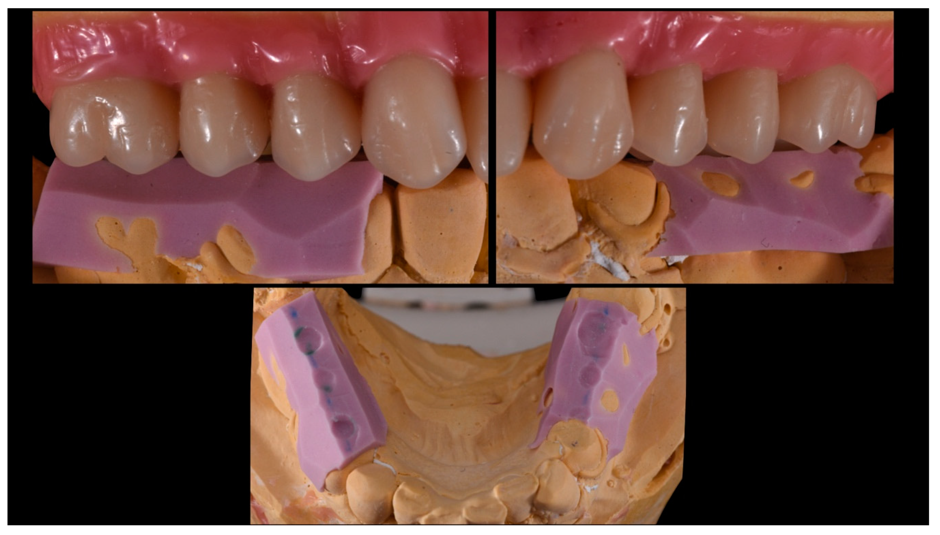
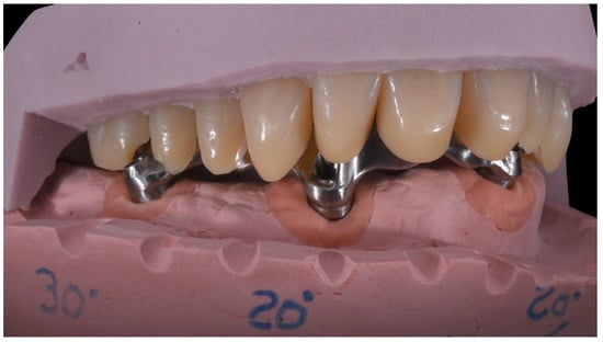
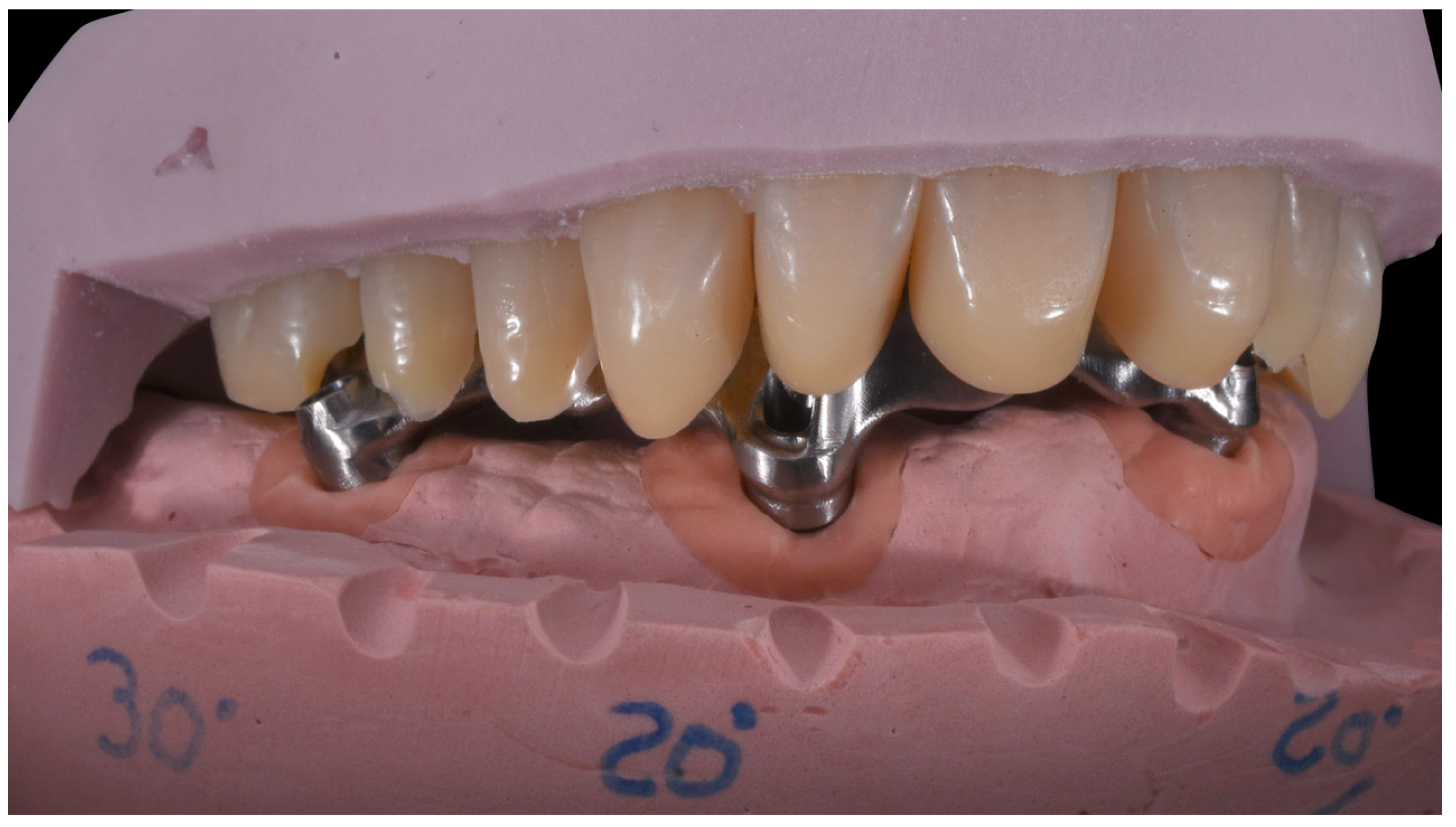
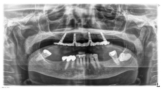
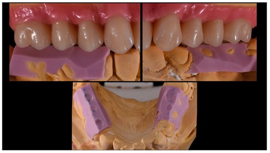
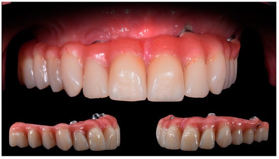
2. Report and Protocol
3. Discussion
4. Conclusions
Author Contributions
Funding
Institutional Review Board Statement
Informed Consent Statement
Data Availability Statement
Conflicts of Interest
References
- Wang, C.; Fu, G.; Deng, F. Difference of natural teeth and implant-supported restoration: A comparison of bone remodeling simulations. J. Dent. Sci. 2015, 10, 190–200. [Google Scholar] [CrossRef][Green Version]
- Bjertness, E.; Hansen, B.F.; Berseth, G.; Gronnesby, J.K. Oral hygiene and periodontitis in young adults. Lancet 1993, 342, 1170–1171. [Google Scholar] [CrossRef]
- De Stefano, R. Psychological factors in dental patient care: Odontophobia. Medicina 2019, 55, 678. [Google Scholar] [CrossRef]
- Farré-Berga, O.; Cercadillo-Ibarguren, I.; Sánchez-Torres, A.; Gil, F.J.; Escuin, T.; Berástegui, E. Torsion resistance of the ball head system screw and screwdriver for angled screw channels on implant prosthetics. J. Oral. Implantol. 2020, 46, 365–371. [Google Scholar] [CrossRef] [PubMed]
- Lin, P.-J.; Su, K.-C. Biomechanical design application on the effect of different occlusion conditions on dental implants with different positions—A finite element analysis. Appl. Sci. 2020, 10, 5826. [Google Scholar] [CrossRef]
- Taheri, R.A.; Jarrahi, A.; Farnoosh, G.; Karimi, A. A comparative finite element simulation of stress in dental implant–bone interface using isotropic and orthotropic material models in three mastication cycles. J. Braz. Soc. Mech. Sci. Eng. 2018, 40, 489. [Google Scholar] [CrossRef]
- Merdji, A.; Bachir Bouiadjra, B.; Achour, T.; Serier, B.; Ould Chikh, B.; Feng, Z.O. Stress analysis in dental prosthesis. Comput. Mater. Sci. 2010, 49, 126–133. [Google Scholar] [CrossRef]
- Chang, H.S.; Chen, Y.C.; Hsieh, Y.D.; Hsu, M.L. Stress distribution of two commercial dental implant systems: A three-dimensional finite element analysis. J. Dent. Sci. 2013. [Google Scholar] [CrossRef]
- Van Staden, R.C.; Guan, H.; Loo, Y.C. Application of the finite element method in dental implant research. Comput. Methods Biomech. Biomed. Engin. 2006, 9, 257–270. [Google Scholar] [CrossRef]
- Cicciù, M.; Beretta, M.; Risitano, G.; Maiorana, C. Cemented-retained vs screw-retained implant restorations: An investigation on 1939 dental implants. Miner. Stomatol. 2008, 57, 167–179. [Google Scholar]
- Soardi, C.M.; Bramanti, E.; Cicciù, M. Clinical and radiological 12-year follow-up of full arch maxilla prosthetic restoration supported by dental implants positioned through guide Hapless surgery. Miner. Stomatol. 2014, 63, 85–94. [Google Scholar]
- Herford, A.S.; Jones, S.; Jones, F.; Bramanti, E.; Laino, L.; Cicciù, M. Clinical investigation of rhBMP-2 and simultaneous dental implants placement: Preliminary results. ORAL Implantol. 2015, 7, 99–107. [Google Scholar]
- Swamidass, R.S.; Kan, J.Y.K.; Kattadiyil, M.T.; Goodacre, C.J.; Lozada, J. Abutment screw torque changes with straight and angled screw-access channels. J. Prosthet. Dent. 2020. [Google Scholar] [CrossRef] [PubMed]
- Scrascia, R.; Fiorillo, L.; Gaita, V.; Secondo, L.; Nicita, F.; Cervino, G. Implant-Supported Prosthesis for Edentulous Patient Rehabilitation. From temporary prosthesis to definitive with a new protocol: A single case report. Prosthesis 2020, 2, 10–24. [Google Scholar] [CrossRef]
- D’Amico, C.; Bocchieri, S.; Sambataro, S.; Surace, G.; Stumpo, C.; Fiorillo, L. Occlusal load considerations in implant-supported fixed restorations. Prosthesis 2020, 2, 252–265. [Google Scholar] [CrossRef]
- Tallarico, M.; Caneva, M.; Baldini, N.; Gatti, F.; Duvina, M.; Billi, M.; Iannello, G.; Piacentini, G.; Meloni, S.M.; Cicciù, M. Patient-centered rehabilitation of single, partial, and complete edentulism with cemented- or screw-retained fixed dental prosthesis: The first osstem advanced dental implant research and education center consensus conference 2017. Eur. J. Dent. 2018, 12, 617–626. [Google Scholar] [CrossRef]
- Orjonikidze, Z.; Orjonikidze, R.; Arutyunov, S. Peculiarities of the occlusion formation in dental implant supported artificial teeth. Georgian Med. News 2018, 274, 24–30. [Google Scholar]
- Chang, J.Z.; Tsai, P.I.; Kuo, M.Y.; Sun, J.S.; Chen, S.Y.; Shen, H.H. Augmentation of DMLS biomimetic dental implants with weight-bearing strut to balance of biologic and mechanical demands: From bench to animal. Materials 2019, 12, 164. [Google Scholar] [CrossRef]
- Stanford, C.M. Issues and considerations in dental implant occlusion: What do we know, and what do we need to find out? J. Calif. Dent. Assoc. 2005, 33, 329–336. [Google Scholar]
- Taylor, T.D.; Wiens, J.; Carr, A. Evidence-based considerations for removable prosthodontic and dental implant occlusion: A literature review. J. Prosthet. Dent. 2005, 94, 555–560. [Google Scholar] [CrossRef]
- Cortelli, S.C.; Costa, F.O.; Rode Sde, M.; Haas, A.N.; Andrade, A.K.; Pannuti, C.M.; Escobar, E.C.; Almeida, E.R.; Cortelli, J.R.; Pedrazzi, V.; et al. Mouthrinse recommendation for prosthodontic patients. Braz. Oral Res. 2014, 28. [Google Scholar] [CrossRef] [PubMed]
- Borgonovo, A.; Cicciú, M.; Arnaboldi, O.; Maiorana, C. Prosthodontic rehabilitation in the maxillary area using zirconia dental implants: A case report. Int. J. Clin. Dent. 2010, 3, 35–44. [Google Scholar]
- Bramanti, E.; Cervino, G.; Lauritano, F.; Fiorillo, L.; D’Amico, C.; Sambataro, S.; Denaro, D.; Famà, F.; Ierardo, G.; Polimeni, A.; et al. FEM and Von Mises Analysis on prosthetic crowns structural elements: Evaluation of different applied materials. Sci. World J. 2017, 2017, 1–7. [Google Scholar] [CrossRef] [PubMed]
- Ortensi, L.; Vitali, T.; Bonfiglioli, R.; Grande, F. New tricks in the preparation design for prosthetic ceramic laminate veeners. Prosthesis 2019, 1, 29–40. [Google Scholar] [CrossRef]
- De Santis, R.; Gloria, A.; Russo, T.; D’Amora, U.; Varriale, A.; Veltri, M.; Balleri, P.; Mollica, F.; Riccitiello, F.; Ambrosio, L.; et al. Reverse engineering of mandible and prosthetic framework: Effect of titanium implants in conjunction with titanium milled full arch bridge prostheses on the biomechanics of the mandible. J. Biomech. 2014, 47, 3825–3829. [Google Scholar] [CrossRef] [PubMed]
- Lavorgna, L.; Cervino, G.; Fiorillo, L.; di Leo, G.; Troiano, G.; Ortensi, M.; Galantucci, L.; Cicciù, M. Reliability of a virtual prosthodontic project realized through a 2d and 3d photographic acquisition: An experimental study on the accuracy of different digital systems. Int. J. Environ. Res. Public Health 2019, 16, 5139. [Google Scholar] [CrossRef] [PubMed]





















Publisher’s Note: MDPI stays neutral with regard to jurisdictional claims in published maps and institutional affiliations. |
© 2021 by the authors. Licensee MDPI, Basel, Switzerland. This article is an open access article distributed under the terms and conditions of the Creative Commons Attribution (CC BY) license (http://creativecommons.org/licenses/by/4.0/).
Share and Cite
Scrascia, R.; Cicciù, M.; Manco, C.; Miccoli, A.; Cervino, G. Angled Screwdriver Solutions and Low-Profile Attachments in Full Arch Rehabilitation with Divergent Implants. Appl. Sci. 2021, 11, 1122. https://doi.org/10.3390/app11031122
Scrascia R, Cicciù M, Manco C, Miccoli A, Cervino G. Angled Screwdriver Solutions and Low-Profile Attachments in Full Arch Rehabilitation with Divergent Implants. Applied Sciences. 2021; 11(3):1122. https://doi.org/10.3390/app11031122
Chicago/Turabian StyleScrascia, Roberto, Marco Cicciù, Carlo Manco, Adele Miccoli, and Gabriele Cervino. 2021. "Angled Screwdriver Solutions and Low-Profile Attachments in Full Arch Rehabilitation with Divergent Implants" Applied Sciences 11, no. 3: 1122. https://doi.org/10.3390/app11031122
APA StyleScrascia, R., Cicciù, M., Manco, C., Miccoli, A., & Cervino, G. (2021). Angled Screwdriver Solutions and Low-Profile Attachments in Full Arch Rehabilitation with Divergent Implants. Applied Sciences, 11(3), 1122. https://doi.org/10.3390/app11031122

