Deep Learning Approaches to Colorectal Cancer Diagnosis: A Review
Abstract
:1. Introduction
2. Simple Image-Processing-Based and Machine-Learning-Based CAD Approaches
3. Deep Learning-Based Studies for CRC Diagnosis
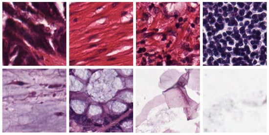
3.1. Datasets
3.2. Tumor Tissue Detection and Classification
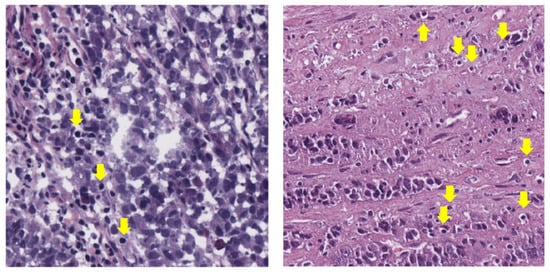
3.3. MSI Detection
3.4. Polyp Detection
4. Discussion
5. Conclusions
Author Contributions
Funding
Institutional Review Board Statement
Informed Consent Statement
Conflicts of Interest
References
- Bray, F.; Ferlay, J.; Soerjomataram, I.; Siegal, R.L.; Torre, L.A.; Jemal, A. Global cancer statistics 2018: GLOBOCAN estimates of incidence and mortality worldwide for 36 cancers in 185 countries. CA Cancer J. Clin. 2018, 68, 394–424. [Google Scholar] [CrossRef] [PubMed] [Green Version]
- Ballinger, A.B.; Anggiansah, C. Colorectal Cancer. BMJ 2007, 335, 715–718. [Google Scholar] [CrossRef]
- Arnold, M.; Sierra, M.S.; Laversanne, M.; Soerhomataram, I.; Jemal, A.; Bray, F. Global Patterns and Trends in Colorectal Cancer Incidence and Mortality. GUT 2017, 66, 683–691. [Google Scholar] [CrossRef] [Green Version]
- Geboes, K.; Mourin, A.J. Endoscopy and Histopathology. Available online: https://www.intechopen.com/chapters/44215 (accessed on 8 July 2021).
- Rabe, K.; Snir, O.L.; Bossuyt, V.; Harigopal, M.; Celli, R.; Reisenbichler, E.S. Interobserver Variability in Breast Carcinoma Grading Results in Prognostic Stage Differences. Hum. Pathol. 2019, 94, 51–57. [Google Scholar] [CrossRef]
- Gross, S.; Trautwein, C.; Behrens, A.; Winograd, R.; Palm, S.; Lutz, H.H.; Sokhan, R.S.; Hecker, H.; Aach, T.; Tischendorf, J.J.W. Computer-based Classification of Small Colorectal Polyps by Using Narrow-band Imaging with Optical Magnification. Gastro. Endosc. 2011, 74, 1354–1362. [Google Scholar] [CrossRef]
- Mori, Y.; Kudo, S.E.; Wakamura, K.; Misawa, M.; Ogawa, Y.; Kutsukawa, M.; Kudo, T.; Hayashi, T.; Miyachi, H.; Ishida, F.; et al. Novel Computer-aided Diagnostic System for Colorectal Lesions by Using Endocytoscopy (with videos). Gastro. Endosc. 2014, 81, 621–629. [Google Scholar] [CrossRef] [PubMed] [Green Version]
- Tamai, N.; Saito, Y.; Sakamoto, T.; Nakajima, T.; Matsuda, T.; Sumiyama, K.; Tajiri, H.; Koyama, R.; Kido, S. Effectiveness of computer-aided diagnosis of colorectal lesions using novel software for magnifying narrow-band imaging: A pilot study. Endosc. Int. Open 2017, 5, E690–E694. [Google Scholar] [CrossRef] [PubMed] [Green Version]
- Tamaki, T.; Yoshimuta, J.; Kawakami, M.; Raytchev, B.; Kaneda, K.; Yoshida, S.; Takemura, Y.; Onji, K.; Miyako, R.; Tanaka, S. Computer-aided colorectal tumor classification in NBI endoscopy using local features. Med. Image Anal. 2013, 17, 78–100. [Google Scholar] [CrossRef]
- Kominami, Y.; Yoshida, S.; Tanaka, S.; Sanomura, Y.; Hirakawa, T.; Raytchev, B.; Tamaki, T.; Koide, T.; Kaneda, K.; Chayama, K. Computer-aided diagnosis of colorectal polyp histology by using a real-time image recognition system and narrow-band imaging magnifying colonoscopy. Gastro. Endosc. 2016, 83, 643–651. [Google Scholar] [CrossRef] [PubMed]
- Swager, A.F.; Sommen, F.V.D.; Klomp, S.R.; Zinger, S.; Meijer, S.L.; Schoon, E.J.; Bergman, J.J.G.H.M.; With, P.H.; Curvers, W.L. Computer-aided detection of early Barrett’s neoplasia using volumetric laser endomicroscopy. Gastro. Endosc. 2017, 86, 839–846. [Google Scholar] [CrossRef] [Green Version]
- Min, M.; Su, S.; He, W.; Bi, Y.; Ma, Z.; Liu, Y. Computer-aided diagnosis of colorectal polyps using linked color imaging colonoscopy to predict histology. Sci. Rep. 2019, 9, 2881. [Google Scholar] [CrossRef] [PubMed] [Green Version]
- Linder, N.; Konsti, J.; Turkki, R.; Rahtu, E.; Lundin, M.; Nordling, S.; Haglund, C.; Ahonen, T.; Pietikainen, M.; Lundin, J. Identification of tumor epithelium and stroma in tissue microarrays using texture analysis. Diagno. Pathol. 2012, 7, 22. [Google Scholar] [CrossRef] [Green Version]
- Gonzalez, R.C. Deep convolutional neural networks [Lecture Notes]. IEEE Sig. Proc. Mag. 2018, 35, 79–87. [Google Scholar] [CrossRef]
- Tamang, L.D.; Kim, B.W. Deep D2C-Net: Deep learning-based display-to-camera communications. Opt. Express 2021, 29, 11494–11511. [Google Scholar] [CrossRef]
- Fang, L.; Monroe, F.; Novak, S.W.; Kirk, L.; Schiavon, C.R.; Yu, S.B.; Zhang, T.; Wu, M.; Kastner, K.; Latif, A.A.; et al. Deep learning-based point scanning super resolution imaging. Nat. Methods 2021, 18, 406–416. [Google Scholar] [CrossRef]
- Kohli, A.D.; Summers, R.M.; Geis, J.R. Medical imaging data and datasets in the era of machine learning. J. Dig. Imaging 2017, 30, 392–399. [Google Scholar] [CrossRef] [Green Version]
- Gurcan, M.N.; Boucheron, L.; Can, A.; Madabhushi, A.; Rajpoot, N.; Yener, B. Histopathological image analysis: A review. IEEE Rev. Biomed. Eng. 2010, 2, 147–171. [Google Scholar] [CrossRef] [Green Version]
- Pogorelov, K.; Randel, K.R.; Griwodz, C.; Eskeland, S.L.; Lange, T.; Johansen, D.; Spampinato, C.; Nguyen, D.T.D.; Lux, M.; Schmidt, P.T.; et al. Kvasir: A multi-class image dagaset for computer aided gastrointestinal disease detection. In Proceedings of the 8th ACM on Multimedia Systems Conference (MMSYS), Taipei, Taiwan, 20–23 June 2017; pp. 164–169. [Google Scholar]
- Pogorelov, K.; Randel, K.R.; Griwodz, C.; Eskeland, S.L.; Lange, T.; Johansen, D.; Spampinato, C.; Nguyen, D.T.D.; Lux, M.; Schmidt, P.T.; et al. Nerthus: A bowel preparation quality video dataset. In Proceedings of the 8th ACM on Multimedia Systems Conference, Taipei, Taiwan, 20–23 June 2017; pp. 170–174. [Google Scholar]
- Borgli, H.; Thambawita, V.; Smedsrud, P.H.; Hicks, S.; Jha, D.; Eskeland, S.L.; Randel, K.R.; Pogorelov, K.; Lux, M.; Nguyen, D.T.D. HyperKvasir, a comprehensive multi-class image and video dataset for gastrointestinal endoscopy. Sci. Data 2020, 7, 28. [Google Scholar] [CrossRef]
- Sanchez, F.Z.; Bernal, J.; Montes, C.S.; Miguel, C.R.; Esparrach, G.F. Bright spot regions segmentation and classification for specular highlights detection in colonoscopy videos. Mach. Vis. Appl. 2017, 28, 917–936. [Google Scholar] [CrossRef]
- Bernal, J.; Sanchez, F.J.; Esparrach, G.F.; Gil, D.; Rodriguez, C.; Vilarino, F. WM-DOVA maps for accurate polyp highlighting in colonoscopy: Validation vs. saliency maps from physicians. Comput. Med. Imaging Graph. 2015, 43, 99–111. [Google Scholar] [CrossRef] [PubMed]
- Ali, S.; Ghatwary, N.; Braden, B.; Lamarque, D.; Bailey, A.; Realdon, S.; Cannizzaro, R.; Rittscher, J.; Daul, C.D.; East, J. Endoscopy disease detection challenge. arXiv 2003, arXiv:2003.03376. [Google Scholar]
- Kather, J.K.; Weis, C.A.; Bianconi, F.; Melchers, S.M.; Schad, L.R.; Gaiser, T.; Marx, A.; Zollner, F.G. Multi-class texture analysis in colorectal cancer histology. Sci. Rep. 2016, 6, 27988. [Google Scholar] [CrossRef] [PubMed]
- Graham, S.; Chen, H.; Gamper, J.; Dou, J.; Heng, P.; Snead, D.; Tsang, Y.W.; Rajpoot, N. MILD-net: Minimal information loss dilated network for gland instance segmentation in colon histology images. Med. Image Anal. 2019, 52, 199–211. [Google Scholar] [CrossRef] [PubMed] [Green Version]
- Graham, S.; Vu, Q.D.; Raza, S.E.A.; Azam, A.; Tsang, Y.W.; Kwak, J.T.; Rajpoot, N. Hover-Net: Simultaneous segmentation and classification of nuclei in multi-tissue histology images. arXiv 2019, arXiv:1812.06499. [Google Scholar] [CrossRef] [Green Version]
- Shaban, M.; Awan, R.; Fraz, M.M.; Azam, A.; Snead, D.; Rajpoot, A.M. Context aware convolutional neural network for grading of colorectal cancer histology images. IEEE Trans. Med. Imaging 2020, 39, 2395–2405. [Google Scholar] [CrossRef] [PubMed] [Green Version]
- Kim, Y.J.; Jang, H.; Lee, K.; Park, S.; Min, S.G.; Hong, C.; Park, J.H.; Lee, K.; Kim, J.; Hong, W.; et al. PAIP 2019: Liver cancer segmentation challenge. Med. Image Anal. 2021, 67, 101854. [Google Scholar] [CrossRef]
- Sirinukunwattana, K.; Snead, D.R.J.; Rajpoot, N.M. A Stochastic Polygons Model for Glandular Structures in Colon Histology Images. IEEE Trans. Med. Imaging 2015, 34, 2366–2378. [Google Scholar] [CrossRef] [Green Version]
- Barbano, C.A.; Perlo, D.; Tartaglione, E.; Fiandrotti, A.; Bertero, L.; Cassoni, P.; Grangetto, M. UniToPatho, a labeled histopathological dataset for colorectal polyps classification and adenoma dysplasia grading. arXiv 2021, arXiv:2101.09991. [Google Scholar]
- Ponzio, F.; Macii, E.; Ficarram, E.; Cataldo, S.D. Colorectal cancer classification using deep convolutional networks. In Proceedings of the 11th International Joint Conference on Biomedical Engineering Systems and Technologies-BIOIMAGING, Madeira, Portugal, 19–21 January 2018; pp. 58–66. [Google Scholar]
- Bychkov, D.; Linder, N.; Turkki, R.; Nordling, S.; Kovanen, P.E.; Verill, C.; Walliander, M.; Lundin, M.; Haglund, C.; Lundin, J. Deep learning-based tissue analysis predicts outcome in colorectal cancer. Sci. Rep. 2018, 8, 3395. [Google Scholar] [CrossRef]
- Simonyan, K.; Zisserman, A. Very deep convolutional networks for large-scale image recognition. arXiv 2014, arXiv:1409.1556. [Google Scholar]
- Pulver, A.; Lyu, S. LSTM with working memory. In Proceedings of the International Joint Conference on Neural Networks (IJCNN), Anchorage, AK, USA, 14–19 May 2017; pp. 845–851. [Google Scholar]
- Yuw, X.; Dimitriou, N.; Arandjelovic, O. Colorectal cancer outcome prediction from H&E whole slide images using machine learning and automatically inferred phenotype profiles. arXiv 2019, arXiv:1902.03582. [Google Scholar]
- Jogin, M.; Madhulika, M.S.; Divya, G.D.; Meghana, R.K.; Apoorva, S. Feature Extraction using Convolution Neural Networks (CNN) and Deep Learning. In Proceedings of the 3rd IEEE International Conference on Recent Trends in Electronics, Information & Communication Technology (RTEICT), Bangalore, India, 18–19 May 2018; pp. 2319–2323. [Google Scholar]
- Kather, J.N.; Krisam, J.; Charoentong, P.; Luedde, T.; Herpel, E.; Weis, C.A.; Gaiser, T.; Marx, A.; Valous, N.A.; Ferber, D.; et al. Predicting survival from colorectal cancer histology slides using deep learning: A retrospective multicenter study. PLoS Med. 2019, 16, e1002730. [Google Scholar] [CrossRef]
- Macenko, M.; Niethammer, M.; Marron, J.S.; Borland, D.; Woosely, J.T.; Guan, X.; Schmitt, C.; Thomas, N.E. A method for normalizing histology slides for quantitative analysis. In Proceedings of the 2009 IEEE International Symposium on Biomedical Imaging: From Nano to Macro, Boston, MA, USA, 28 June–1 July 2009; pp. 1107–1110. [Google Scholar]
- Krizhevsky, A.; Sutskever, I.; Hinton, G.E. ImageNet classification with deep convolutional neural networks. In Proceedings of the 25th International Conference on Neural Information Processing Systems, Lake Tahoe, NV, USA, 3–6 December 2012; pp. 1097–1105. [Google Scholar]
- Iandola, F.N.; Han, S.; Moskewicz, M.W.; Ashraf, K.; Dallay, W.J.; Keutzer, K. SqueezeNet: AlexNet-level accuracy with 50× fewer parameters and <0.5 MB model size. arXiv 2021, arXiv:1602.07360. [Google Scholar]
- Szegedy, C.; Liu, W.; Jia, Y.; Sermanet, P.; Reed, S.; Anguelov, D.; Erhan, D.; Vanhoucke, V.; Rabinovich, A. Going deeper with convolutions. In Proceedings of the IEEE Conference on Computer Vision and Pattern Recognition (CVPR), Boston, MA, USA, 7–12 June 2015. [Google Scholar]
- He, K.; Zhang, X.; Ren, S.; Sun, J. Deep Residual Learning for Image Recognition. In Proceedings of the IEEE Conference on Computer Vision and Pattern Recognition (CVPR), Las Vegas, NV, USA, 27–30 June 2016; pp. 770–778. [Google Scholar]
- Song, Z.; Yu, C.; Zou, S.; Wang, W.; Huang, Y.; Ding, X.; Liu, J.; Shao, L.; Yuan, J.; Gou, X.; et al. Automatic deep learning-based colorectal adenoma detection system and its similarities with pathologists. BMJ Open 2020, 10, e036423. [Google Scholar] [CrossRef]
- Liu, D.; Yu, J. Otsu Method and K-means. In Proceedings of the Ninth International Conference on Hybrid Intelligent Systems, Shenyang, China, 12–14 August 2009; pp. 344–349. [Google Scholar]
- Chen, L.; Papandreou, G.; Kokkinos, I.; Murphy, K.; Yuille, A.L. DeepLab: Semantic Image Segmentation with Deep Convolutional Nets, Atrous Convolution, and Fully Connected CRFs. IEEE Trans. Pattern Anal. Mach. Intell. 2018, 40, 834–848. [Google Scholar] [CrossRef]
- Choi, K.; Choi, S.J.; Kim, E.S. Computer-Aided Diagnosis for Colorectal Cancer using Deep Learning with Visual Explanations. In Proceedings of the 42nd Annual International Conference of the IEEE Engineering in Medicine & Biology Society (EMBC), Montreal, Canada, 20–24 July 2020; pp. 1156–1159. [Google Scholar]
- Szegedy, C.; Vanhoucke, V.; Ioffe, S.; Shlens, J.; Wojna, Z. Rethinking the Inception Architecture for Computer Vision. In Proceedings of the IEEE Conference on Computer Vision and Pattern Recognition (CVPR), Las Vegas, NV, USA, 27–30 June 2016; pp. 2818–2826. [Google Scholar]
- Huang, G.; Liu, Z.; Maaten, L.V.D.; Weinberger, K.Q. Densely Connected Convolutional Networks. In Proceedings of the IEEE Conference on Computer Vision and Pattern Recognition (CVPR), Honolulu, HI, USA, 21–26 July 2017; pp. 2261–2269. [Google Scholar]
- Skrede, O.J.; Raedt, S.D.; Kleppe, A.; Hveem, T.S.; Liestol, K.; Maddison, J.; Askautrud, H.A.; Pradhan, M.; Nesheim, J.A.; Albregtsen, A. Deep learning for prediction of colorectal cancer outcome: A discovery and validation study. Lancet 2020, 395, 350–360. [Google Scholar] [CrossRef]
- Wulczyn, E.; Steiner, D.F.; Moran, M.; Plass, M.; Reihs, R.; Tan, F.; Flament-Auvigne, I.; Brown, T.; Regitnig, P.; Chen, P.C.; et al. Interpretable survival prediction for colorectal cancer using deep learning. NPJ Digit. Med. 2021, 4, 71. [Google Scholar] [CrossRef] [PubMed]
- Choi, S.J.; Kim, E.S.; Choi, K. Prediction of the histology of colorectal neoplasm in white light colonoscopic images using deep learning algorithms. Sci. Rep. 2021, 11, 5311. [Google Scholar] [CrossRef] [PubMed]
- Sandler, M.; Howard, A.; Zhu, M.; Zhmoginov, A.; Chen, L. MobileNetV2: Inverted Residuals and Linear Bottlenecks. In Proceedings of the IEEE/CVF Conference on Computer Vision and Pattern Recognition, Salt Lake City, UT, USA, 18–23 June 2018; pp. 4510–4520. [Google Scholar]
- Howard, A.G.; Zhu, M.; Chen, B.; Kalenichenko, D.; Wang, W.; Weyand, T.; Andreetto, M.; Adam, H. MobileNets: Efficient convolutional neural networks for mobile vision applications. arXiv 2017, arXiv:1704.04861. [Google Scholar]
- Nojadeh, J.N.; Sharif, S.B.; Sakhinia, E. Microsatellite instability in colorectal cancer. EXCLI J. 2018, 17, 159–168. [Google Scholar] [CrossRef]
- Li, K.; Luo, H.; Huang, L.; Luo, H.; Zhu, X. Microsatellite instability: A review of what the oncologist should know. Cancer Cell International. 2020, 20, 16. [Google Scholar] [CrossRef] [Green Version]
- Zhang, W.; Yin, H.; Huang, Z.; Zhao, J.; Zheng, H.; He, D.; Li, M.; Tan, W.; Tian, S.; Song, B. Development and validation of MRI-based deep learning models for prediction of microsatellite instability in rectal cancer. Cancer Med. 2021, 10, 4164–4173. [Google Scholar] [CrossRef] [PubMed]
- Deng, J.; Dong, W.; Socher, R.; Li, L.; Li, K.; Li, F.F. ImageNet: A large-scale hierarchical image database. In Proceedings of the IEEE Conference on Computer Vision and Pattern Recognition, Miami, FL, USA, 20–25 June 2009; pp. 248–255. [Google Scholar]
- Kather, J.N.; Pearson, A.T.; Halama, N.; Jager, D.; Krause, J.; Loosen, S.H.; Marx, A.; Boor, P.; Tacke, F.; Neumann, P.U.; et al. Deep learning can predict microsatellite instability directly from histology in gastrointestinal cancer. Nat. Med. 2019, 25, 1054–1056. [Google Scholar] [CrossRef]
- Kingma, D.P.; Ba, J. Adam: A method for stochastic optimization. arXiv 2014, arXiv:1412.6980. [Google Scholar]
- Lee, H.; Seo, J.; Lee, G.; Park, J.; Yeo, D.; Hong, A. Two-Stage Classification Method for MSI Status Prediction Based on Deep Learning Approach. Appl. Sci. 2020, 11, 254. [Google Scholar] [CrossRef]
- Lin, T.; Dollár, P.; Girshick, R.; He, K.; Hariharan, B.; Belongie, S. Feature Pyramid Networks for Object Detection. In Proceedings of the IEEE Conference on Computer Vision and Pattern Recognition (CVPR), Honolulu, HI, USA, 21–26 July 2017; pp. 936–944. [Google Scholar]
- Echle, A.; Grabsch, H.K.; Quirke, P.; Brandt, P.A.; West, N.P.; Hutchins, G.G.A.; Heij, L.R.; Tan, X.; Richman, S.D.; Krause, J.; et al. Clinical-Grade Detection of Microsatellite Instability in Colorectal Tumors by Deep Learning. Gastroenterology 2020, 159, 1406–1416. [Google Scholar] [CrossRef] [PubMed]
- Zhang, X.; Zhou, X.; Lin, M.; Sun, J. ShuffleNet: An Extremely Efficient Convolutional Neural Network for Mobile Devices. In Proceedings of the IEEE/CVF Conference on Computer Vision and Pattern Recognition, Salt Lake City, UT, USA, 18–23 June 2018; pp. 6848–6856. [Google Scholar]
- Schmauch, B.; Romagnoni, A.; Pronier, E.; Saillard, C.; Maille, P.; Calderaro, J.; Kamoun, A.; Sefta, M.; Toldo, S.; Zaslavskiy, M.; et al. A deep learning model to predict RNA-Seq expression of tumors from whole slide images. Nat. Commun. 2020, 11, 3877. [Google Scholar] [CrossRef] [PubMed]
- Yamashita, R.; Long, J.; Longrace, T.; Peng, L.; Berry, G.; Martin, B.; Higgins, J.; Rubin, D.L.; Shen, J. Deep learning model for the prediction of microsatellite instability in colorectal cancer: A diagnostic study. Lancet Oncol. 2021, 22, 132–141. [Google Scholar] [CrossRef]
- Cao, R.; Yang, F.; Ma, S.; Liu, L.; Zhao, Y.; Li, Y.; Wu, D.; Wang, T.; Lu, W.; Cai, W.; et al. Development and interpretation of a pathomics-based model for the prediction of microsatellite instability in colorectal cancer. Theranostics 2020, 10, 11080–11091. [Google Scholar] [CrossRef]
- Pacal, I.; Karaboga, D.; Basturk, A.; Akay, B.; Nalbantoglu, U. A comprehensive review of deep learning in colon cancer. Comput. Biol. Med. 2020, 126, 104003. [Google Scholar] [CrossRef]
- Sanchez-Peralta, L.F.; Bote-Curiel, L.; Picon, A.; Sanchez-Margallo, F.M.; Pagador, J.B. Deep learning to find colorectal polyps in colonoscopy: A systematic literature review. Artif. Intelli. Med. 2020, 108, 101923. [Google Scholar] [CrossRef] [PubMed]
- Godkhindi, A.M.; Gowda, R.M. Automated detection of polyps in CT colonography images using deep learning algorithms in colon cancer diagnosis. In Proceedings of the International Conference on Energy, Communication, Data Analytics and Soft Computing (ICECDS), Chennai, India, 1–2 August 2017; pp. 1722–1728. [Google Scholar]
- Duran-Lopez, L.; Luna-Perejon, F.; Amaya-Rodriguez, I.; Civit-Masot, J.; Civit-Balcells, A.; Vincente-Diaz, S.; Linares-Barranco, A. Polyp detection in gastrointestinal images using faster regional convolutional neural network. In Proceedings of the 14th International Joint Conference on Computer Vision, Imaging, and Computer Graphics Theory and Applications, Prague, Czech Republic, 25–27 February 2019; pp. 626–631. [Google Scholar]
- Ren, S.; He, K.; Girshick, R.; Sun, J. Faster R-CNN: Towards Real-Time Object Detection with Region Proposal Networks. arXiv 2015, arXiv:1506.01497. [Google Scholar] [CrossRef] [Green Version]
- Lee, J.Y.; Jeong, J.; Song, E.M.; Ha, C.; Lee, H.J.; Koo, J.E.; Yang, D.H.; Kim, N.; Byeon, J. Real-time detection of colon polyps during colonoscopy using deep learning: Systematic validation with four independent datasets. Sci. Rep. 2020, 10, 8379. [Google Scholar] [CrossRef]
- Redmon, J.; Farhadi, A. YOLO9000: Better, Faster, Stronger. In Proceedings of the IEEE Conference on Computer Vision and Pattern Recognition (CVPR), Honolulu, HI, USA, 21–26 July 2017; pp. 6517–6525. [Google Scholar]
- Poudel, S.; Kim, Y.J.; Vo, D.M.; Lee, S. Colorectal Disease Classification Using Efficiently Scaled Dilation in Convolutional Neural Network. IEEE Access 2020, 8, 99227–99238. [Google Scholar] [CrossRef]
- Li, Y.; Zhang, X.; Chen, D. CSRNet: Dilated Convolutional Neural Networks for Understanding the Highly Congested Scenes. In Proceedings of the IEEE/CVF Conference on Computer Vision and Pattern Recognition, Salt Lake City, UT, USA, 18–23 June 2018; pp. 1091–1100. [Google Scholar]
- Ghiasi, G.; Lin, T.Y.; Le, Q.V. DropBlock: A regularization method for convolutional networks. arXiv 2018, arXiv:1810.12890. [Google Scholar]
- Li, K.; Fathan, I.F.; Patel, K.; Zhang, T.; Zhong, C.; Bansal, A.; Rastogi, A.; Wang, J.S.; Wang, G. Colonoscopy polyp detection and classification: Dataset creation and comparative evaluations. PLoS ONE 2021, 16, e0255809. [Google Scholar] [CrossRef]
- Redmon, J.; Farhadi, A. YOLOv3: AN incremental Improvement. arXiv 2018, arXiv:1804.02767. [Google Scholar]
- Liu, W.; Anguelov, D.; Erhan, D.; Szegedy, C.; Reed, S.; Fu, C.; Berg, A.C. SSD: Single Shot MultiBox Detector. arXiv 2015, arXiv:1512.02325. [Google Scholar]
- Lin, T.Y.; Goyal, P.; Girshick, R.; He, K.; Dollar, P. Focal loss for object detection. arXiv 2017, arXiv:1708.02002. [Google Scholar]
- Li, Z.; Peng, C.; Yu, G.; Zhang, X.; Deng, Y.; Sun, J. DetNet: A backbone network for object detection. arXiv 2018, arXiv:1804.06215v2. [Google Scholar]
- Zhang, S.; Wen, L.; Bian, X.; Lei, Z.; Li, S.Z. Single shot refinement neural network for object detection. arXiv 2017, arXiv:1711.06897. [Google Scholar]
- Bochkovskiy, A.; Wang, C.; Liao, H.M. YOLOv4: Optimal speed and accuracy of object detection. arXiv 2020, arXiv:2004.10934. [Google Scholar]
- Zhang, S.; Chi, C.; Yao, Y.; Lei, Z.; Li, S.Z. Bridging the gap between anchor-based and anchor-free detection via adaptive training sample selection. arXiv 2020, arXiv:1912.02424. [Google Scholar]
- Jha, D.; Ali, S.; Tomar, N.K.; Johansen, H.D.; Johansen, D.D.; Rittscher, J.; Riegler, M.A.; Halvorsen, P. Real time polyp detection, localization, and segmentation in colonoscopy using deep learning. arXiv 2020, arXiv:2011.07631. [Google Scholar] [CrossRef]
- Tan, M.; Pang, R.; Le, Q.V. EfficientDet: Scalable and Efficient Object Detection. In Proceedings of the IEEE/CVF Conference on Computer Vision and Pattern Recognition (CVPR), Seattle, WA, USA, 13–19 June 2020; pp. 10778–10787. [Google Scholar]
- Tan, M.; Le, Q.V. EfficientNet: Rethinking model scaling for convolutional neural networks. arXiv 2019, arXiv:1905.11946. [Google Scholar]
- Yao, Y.; Gou, S.; Tian, R.; Zhang, X.; He, S. Automated classification and segmentation in colorectal images based on self-placed transfer network. BioMed. Res. Int. 2021, 2, 1–7. [Google Scholar] [CrossRef]
- Ronnerberger, O.; Fischer, P.; Brox, T. U-Net: Convolutional networks for biomedical image segmentation. arXiv 2015, arXiv:1505.04597. [Google Scholar]
- Goodfellow, I.J.; Pouget-Abadie, J.; Mirza, M.; Xu, B.; Warde-Farley, D.; Ozair, S.; Courville, A.; Bengio, Y. Generative Adversarial Networks. arXiv 2014, arXiv:1406.2661. [Google Scholar] [CrossRef]
- Gatys, L.A.; Ecker, A.S.; Bethge, M. A neural algorithm of artistic style. arXiv 2015, arXiv:1508.06576. [Google Scholar] [CrossRef]
- Zhou, S.K.; Greenspan, H.; Davatzikos, C.; Duncan, J.S.; Ginneken, B.; Madabhushi, A.; Prince, J.L.; Rueckert, D.; Summers, R.M. A review of deep learning in medical imaging: Imaging traits, technology trends, case studies with progress highlights, and future promises. arXiv 2021, arXiv:2008.09104. [Google Scholar] [CrossRef]





| Technology | Publication (Year) | Objective | Methods Used | Image Types | Maximum Results |
|---|---|---|---|---|---|
| Based on image processing techniques | [6] (2011) | To develop a CAD system for the classification of colorectal polyps. | ROI selection, blood vessel segmentation, and feature extraction and classification. | Endoscopic images | Sensitivity = 95.0% Accuracy = 86.8% Specificity = 87.8% |
| [7] (2015) | To provide the fully automated and instant classification of colorectal polyps for routine colonoscopy. | Image acquisition, adaptive thresholding, nucleus-like spot labeling, removal of artifacts, and feature extraction. | Endoscopic images | Sensitivity = 92.0% Accuracy = 89.2% Specificity = 79.5% | |
| [8] (2017) | To evaluate the effectiveness of software developed for endoscopic diagnosis of colorectal lesions using magnifying narrow band imaging (M-NBI) | ROI extraction, grayscale conversion, binarization using moving average methods, morphological operations, and feature extraction. | Endoscopic images | Sensitivity = 83.9% Accuracy = 82.8% Specificity = 82.6% | |
| Based on machine learning techniques | [9] (2013) | To classify NBI images of colorectal tumors into three types (A, B, and C3) based on NBI magnification findings. | Feature extraction using bag of visual words, and classification with support vector machine (SVM) classifiers. | Colonoscopy, NBI samples | Recognition rate = 95.44% |
| [10] (2016) | To predict histological diagnoses of colorectal lesions depicted on narrow band imaging samples. | Feature extraction using densely sampled scale-invariant feature transform (SIFT) in a bag-of-features framework; classification with SVM. | Endoscopic images | Sensitivity = 93.0% Specificity = 93.3% Positive prediction value (PPV) = 93.0% Negative prediction value (NPV) = 93.3% | |
| [11] (2017) | To investigate the feasibility of computer algorithms to identify early Barrett’s esophagus (BE) neoplasia on ex vivo volumetric laser endomicroscopy (VLE) images. | Preprocessing of input images, feature extraction with gray-level co-occurrence matrices, local binary patterns, wavelet transforms, and histogram of oriented gradients; classification with SVM, decision trees, k-nearest neighbors, linear regression, and logistic regression. | Volumetric laser endomicroscopy images | Sensitivity = 90% Specificity = 93% AUC = 0.95 | |
| [12] (2019) | To develop a CAD system based on linked color imaging (LCI) to predict the histological results of polyps by analyzing colors of the lesions. | Preprocessing of input images, converting images from RGB space to HLS space and concatenating both images to obtain a 6-D vector for each pixel; classification using a Gaussian mixture model (GMM). | Linked color imaging samples | Sensitivity = 83.3% Accuracy = 78.4% Specificity = 70.1% PPV = 82.6% NPV = 71.2% |
| Type | Name | Release Date | Total Number of Image Samples | Average Dimensions (in Pixels) |
|---|---|---|---|---|
| Endoscopy images | The KVASIR dataset [19] | 2017 | 1000 | 720 × 576 to 1920 × 1072 |
| The Nerthus dataset [20] | 2017 | 5525 | 750 × 576 | |
| The Hyper-Kvasir dataset [21] | 2019 | 110,079 | 224 × 224 | |
| CVC-Colon DB [22] | 2017 | 356 | 500 × 574 to 1080 × 1920 | |
| CVC-Clinic DB [23] | 2012 | 612 images | 384 × 288 | |
| Endoscopy disease detection (EDD) and segmentation [24] | 2020 | 386 images | 400 × 400 | |
| Histology images | Kather texture dataset [25] | 2016 | 5000 patches | 150 × 150 |
| Colorectal adenocarcinoma gland (CRAG) [26] | 2019 | 38 WSI | 1512 × 1516 | |
| Colorectal nuclear segmentation and phenotypes (CoNSeP) [27] | 2018 | 41 WSI | 1000 × 1000 | |
| CRC-TIA [28] | 2017 | 139 WSI | 1792 × 1792 | |
| Histological images for tumor detection in gastrointestinal cancer [28] | 2019 | 11,977 patches | 512 × 512 | |
| Pathology AI platform (PAIP) [29] | 2019 | 118 WSI | 29,879 × 23,066 | |
| Warwick-QU dataset [30] | 2016 | 166 images | 775 × 522 | |
| UniToPatho [31] | 2021 | 9536 patches | 224 × 224 |
| Publication (Year) | Objective | Method Used | Image Types | Optimum Results |
|---|---|---|---|---|
| [50] (2020) | To develop a biomarker of the patient outcome by analyzing the scanned H&E-stained slides with DL models | Data preprocessing: Multiple non-overlapping image tiles were selected with 10 × and 40 × magnification of WSI images. Model: Feature extraction and classification used a DoMore v1 network comprising a MobileNetV2 [53] representation network, a noisy-AND pooling function, and an FCL. | Hematoxylin and eosin-stained slides | Hazard ratio = 3.04 Sensitivity = 52% Accuracy = 76% Specificity = 78% PPV = 19% NPV = 94% |
| [52] (2021) | To develop a DL system for predicting disease-specific survival for stage II and III CRC patients | Data preprocessing: Constructing a tumor probability heat maps with 20 × magnification of original slides, they generated binary ROI masks for each tumor probability output, applying denoising and dilation with a circular filter. Model: A CNN with depth-wise separable convolution layers such as MobileNet [54], plus hyperparameter tuning via random grid search. | Hematoxylin and eosin-stained slides | AUC = 0.70 |
| [54] (2021) | To develop a CNN-based CAD system for predicting the pathological histology of colorectal adenomas | Data preprocessing: Standardized input images excluded unnecessary black areas by cropping them to 480 × 480 pixels. Model: Multiple CNN models (ResNet-50 [43], Inception-v3 [48], and DenseNet-161 [49]) with a new classification head consisting of a single FCL. | Endoscopic images | Sensitivity = 77.25% Specificity = 92.42% PPV = 77.16% NPV = 92.58% |
| Publication (Year) | Objective | Method Used | Image Types | Optimum Results |
|---|---|---|---|---|
| [65] (2020) | To predict RNA-Seq profiles from WSI without expert annotation and to identify tumors containing MSI | Data preprocessing: Divided WSI into squares tiles of (224 × 224 pixels); segmented white background using Otsu’s thresholding. Model: Multi-layer perceptron applied to every tile with 5-fold cross-validation. | Histology images | AUC-ROC = 0.83 |
| [66] (2020) | To investigate the potential of DL-based CAD systems for automated prediction of MSI from H&E-stained WSIs | Data preprocessing: Discarded the non-tissue containing white background by thresholding; partitioned the WSI into non-overlapping tiles at 256 × 256 pixels; color normalized with Macenko method. Model: Based on MobileNetV2 architecture (pretrained on an ImageNet dataset) with two sequential components: tissue type classifier, and MSI classifier, 4-fold cross-validation. | Hematoxylin and eosin-stained slides | Sensitivity = 43.1% Specificity = 94.9% NPV = 89.9% AUROC = 0.964 CI = 95% |
| [67] (2020) | To develop an ensemble multiple-instance DL model for predicting MSI status based on histopathology images | Data preprocessing: WSI subsequently tiled into patches of 512 × 512 pixels; ROI containing carcinoma in the WSIs manually annotated by experienced pathologists; tumor cells occupying less than 80% of ROI discarded; interfering factors such as creases, bleeding, necrosis, and blurred areas excluded; applied data augmentation and image normalization. Model: CNN model based on ResNet-18 with binary cross entropy loss function; traditional ML-based classifiers such as gradient boosting and naïve Bayes used. | Hematoxylin and eosin-stained slides | ROCAUC = 0.8848 CI = 95% p-value < 0.001 |
| Publication (Year) | Objective | Method Used | Image Types | Optimum Results |
|---|---|---|---|---|
| [86] (2021) | To detect polyps in real time through localization and segmentation approaches | Data preprocessing: Normalized images by subtracting mean of the image by its standard deviation; annotated with bounding boxes; resized to fixed 512 × 512 pixels; applied data augmentation such as horizontal, vertical flipping, random rotation, random scale, and random cropping. Model: Used multiple models: feature extraction using EfficientDet [87] (EfficientNet [88] as a backbone architecture) with a bidirectional feature pyramid network (FPN), and a shared class/box prediction network; Faster R-CNN as detector network with region proposal network (RPN) as the proposal network, YOLOv3 [79] with multi-class logistic loss modeled with regularizers such as objectness prediction scores, and YOLOv4 [84] with on-the-fly data augmentation such as mosaic, and cut-mix. | Endoscopy images | Average precision = 0.8000 Mean intersection over union (IoU) = 0.8100 Detection speed = 180 frames per second (fps), dice coefficient = 0.8206, segmentation average speed = 182.36 fps. |
| [89] (2021) | To use a DL approach to accomplish multitasks, such as colorectal image classification and polyp image segmentation | Data preprocessing: Removed unclean and unclear colorectal images with data filtering; labeled images into one of three classes: normal tissue, polyp, and tumor; split the dataset into train, validation, and testing set with the ration of 2:1:2; applied data augmentation; resized to 440 × 440 × 3 to maintain dimensional uniformity. Model: Used self-paced regularization method to assign different sample weights for differennt training samples; VGG19 pretrained on ImageNet dataset for feature extraction; replaced FCL with GAP layer for classification of colorectal images; used U-Net-based [90] automatic polyp-region segmentation. | Endoscopy images | Accuracy = 96.0% |
Publisher’s Note: MDPI stays neutral with regard to jurisdictional claims in published maps and institutional affiliations. |
© 2021 by the authors. Licensee MDPI, Basel, Switzerland. This article is an open access article distributed under the terms and conditions of the Creative Commons Attribution (CC BY) license (https://creativecommons.org/licenses/by/4.0/).
Share and Cite
Tamang, L.D.; Kim, B.W. Deep Learning Approaches to Colorectal Cancer Diagnosis: A Review. Appl. Sci. 2021, 11, 10982. https://doi.org/10.3390/app112210982
Tamang LD, Kim BW. Deep Learning Approaches to Colorectal Cancer Diagnosis: A Review. Applied Sciences. 2021; 11(22):10982. https://doi.org/10.3390/app112210982
Chicago/Turabian StyleTamang, Lakpa Dorje, and Byung Wook Kim. 2021. "Deep Learning Approaches to Colorectal Cancer Diagnosis: A Review" Applied Sciences 11, no. 22: 10982. https://doi.org/10.3390/app112210982
APA StyleTamang, L. D., & Kim, B. W. (2021). Deep Learning Approaches to Colorectal Cancer Diagnosis: A Review. Applied Sciences, 11(22), 10982. https://doi.org/10.3390/app112210982
