Protective Effect of Chemically Characterized Polyphenol-Rich Fraction from Apteranthes europaea (Guss.) Murb. subsp. maroccana (Hook.f.) Plowes on Carbon Tetrachloride-Induced Liver Injury in Mice
Abstract
1. Introduction
2. Materials and Methods
2.1. Solvents and Reagents
2.2. Plant Material
2.3. Preparation of Polyphenol-Rich Fraction
2.4. Chemical Analysis of A. europaea Polyphenol-Rich Fraction
HPLC-DAD Analysis
2.5. Animal Material
2.6. Administration of Polyphenol-Rich Fraction
2.7. Carbon Tetrachloride-Induced Liver Injury in Mice and Polyphenol Treatment
2.8. Serum Biochemical Analysis
2.9. Histopathological Examination
2.10. Statistical Analysis
3. Results
3.1. Phytochemical Composition of A. europaea
HPLC-DAD Analysis
3.2. Serum Biochemical Analysis
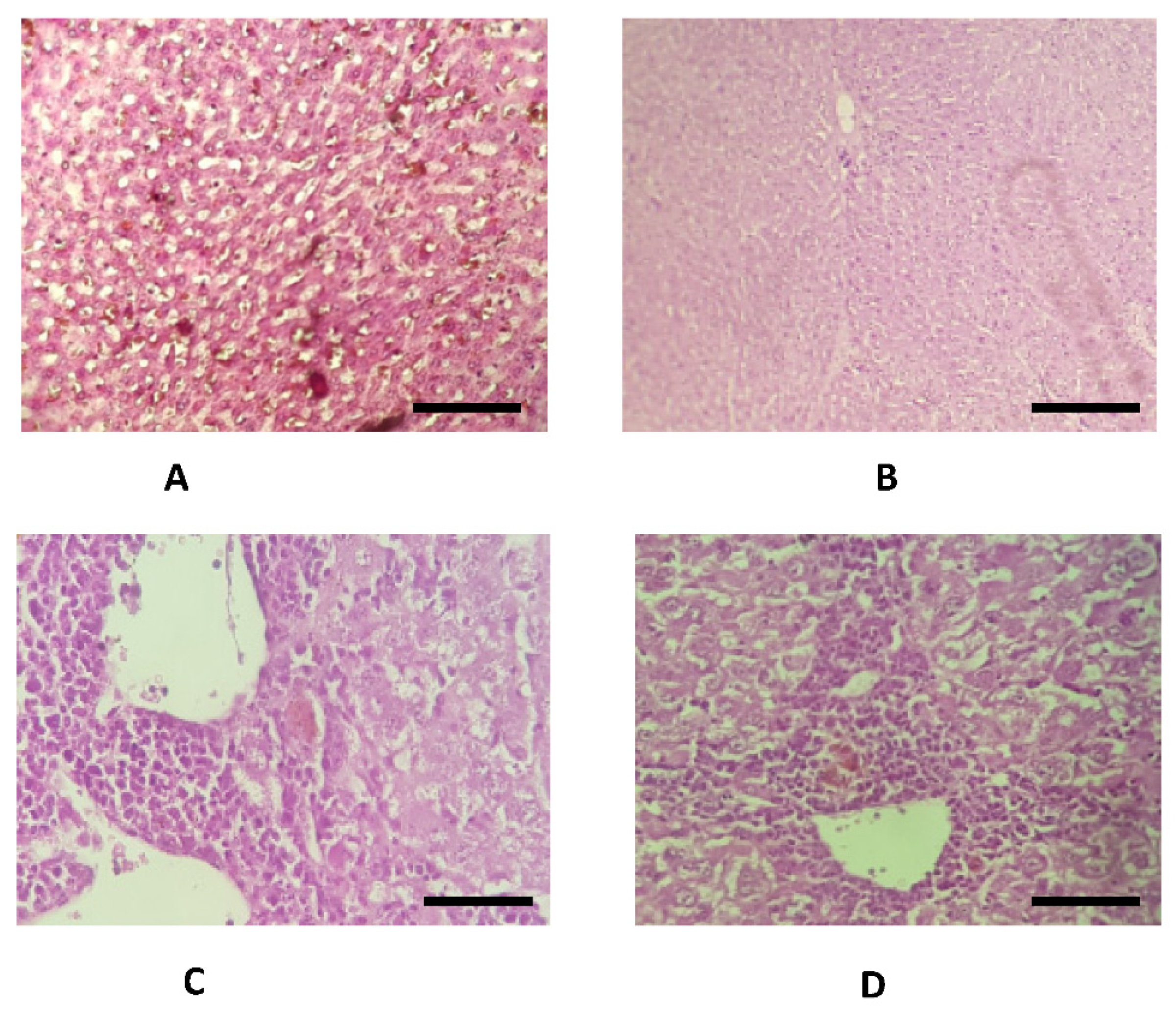
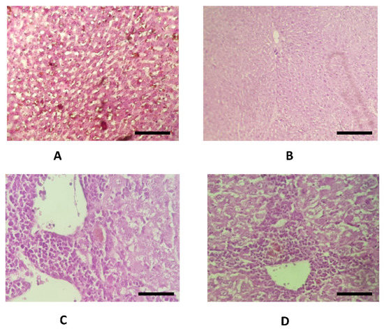
3.3. Macroscopic and Histopathological Alterations
4. Discussion
5. Conclusions
Author Contributions
Funding
Institutional Review Board Statement
Informed Consent Statement
Data Availability Statement
Acknowledgments
Conflicts of Interest
Abbreviations
References
- Grant, D.M. Detoxification Pathways in the Liver. J. Inherit. Metab. Dis. 1991, 421–430. [Google Scholar] [CrossRef]
- Hafez, M.M.; Al-Harbi, N.O.; Al-Hoshani, A.R.; Al-Hosaini, K.A.; Al Shrari, S.D.; Al Rejaie, S.S.; Sayed-Ahmed, M.M.; Al-Shabanah, O.A. Hepato-protective effect of rutin via IL-6/STAT3 pathway in CCl4-induced hepatotoxicity in rats. Biol. Res. 2015, 48, 1–10. [Google Scholar] [CrossRef]
- Madrigal-Santillán, E.; Madrigal-Bujaidar, E.; Álvarez-González, I.; Sumaya-Martínez, M.T.; Gutiérrez-Salinas, J.; Bautista, M.; Morales-González, Á.; y González-Rubio, M.G.; Aguilar-Faisal, J.L.; Morales-González, J.A. Review of natural products with hepatoprotective effects. World J. Gastroenterol. 2014, 20, 14787–14804. [Google Scholar] [CrossRef]
- Dra, L.A.; Sellami, S.; Rais, H.; Aziz, F.; Aghraz, A.; Bekkouche, K.; Markouk, M.; Larhsini, M. Antidiabetic potential of Caralluma europaea against alloxan-induced diabetes in mice. Saudi J. Biol. Sci. 2019, 26, 1171–1178. [Google Scholar] [CrossRef] [PubMed]
- Bellakhdar, J.; Claisse, R.; Fleurentin, J.; Younos, C. Repertory of standard herbal drugs in the Moroccan pharmacopoea. J. Ethnopharmacol. 1991, 35, 123–143. [Google Scholar] [CrossRef]
- Dra, L.A.; Aghraz, A.; Boualy, B.; Oubaassine, S.; Barakate, M.; Markouk, M.; Larhsini, M. Chemical Characterization and In vitro Antimicrobial Activity of Caralluma europaea Essential Oil and Its Synergistic Potential with Conventional Antibiotics. J. Adv. Med. Pharm. Sci. 2018, 1–11. [Google Scholar] [CrossRef][Green Version]
- Issiki, Z.; Moundir, C.; Marnissi, F.; Seddik, N.; Benjelloun, N.; Zaid, Y.; Oudghiri, M. Toxicological Evaluation of the Aqueous Extract of Caralluma europaea and Its Immunomodulatory and Inflammatory Activities. Pharmacogn. Res. 2017, 9, 390–395. [Google Scholar] [CrossRef]
- Bourhia, M.; Slighoua, M.; Ibnemoussa, S.; Bari, A.; Ullah, R.; Amaghnouje, A.; Di Cristo, F.; El Mzibri, M.; Calarco, A.; Benbacer, L.; et al. Phytochemical Study on Antioxidant and Antiproliferative Activities of Moroccan Caralluma europaea Extract and Its Bioactive Compound Classes. Evid.-Based Complement. Altern. Med. 2020, e8409718. [Google Scholar] [CrossRef]
- Adnan, M.; Jan, S.; Mussarat, S.; Tariq, A.; Begum, S.; Afroz, A.; Shinwari, Z.K. A review on ethnobotany, phytochemistry and pharmacology of plant genus Caralluma R. Br. J. Pharm. Pharmacol. 2014, 66, 1351–1368. [Google Scholar] [CrossRef]
- Bellakhdar, J. La Pharmacopée Marocaine Traditionnelle: Médecine Arabe Ancienne Et Savoirs Populaires-Saint-Etienne; Persée—Portail des revues scientifiques en SHS; Ibis Press: Saint-Etienne, France, 1997; Volume 35. [Google Scholar]
- Dra, L.A.; Rodrigues, M.J.; Da Rosa Neng, N.; Nogueira, J.M.; Elamine, Y.; Aghraz, A.; Markouk, M.; Larhsini, M.; Custódio, L. Exploring Caralluma europaea (Guss.) N.E.Br. as a Potential Source of Bioactive Molecules: In Vitro Antioxidant and Antidiabetic Properties, and Phenolic Profile of Crude Extracts and Fractions. Ind. Crops Prod. 2019. Available online: https://agris.fao.org/agris-search/search.do?recordID=US201900393756 (accessed on 1 October 2020).
- Ho, C.-T.; Chen, Q.; Shi, H.; Zhang, K.-Q.; Rosen, R.T. Antioxidative effect of polyphenol extract prepared from various Chinese teas. Prev. Med. 1992, 21, 520–525. [Google Scholar] [CrossRef]
- Seal, T. Quantitative HPLC analysis of phenolic acids, flavonoids and ascorbic acid in four different solvent extracts of two wild edible leaves, Sonchus arvensis and Oenanthe linearis of North-Eastern region in India. J. Appl. Pharm. Sci. 2016, 6, 157–166. [Google Scholar] [CrossRef]
- Chang, J.B.; Wu, M.F.; Yang, Y.Y.; Leu, S.J.; Chen, Y.L.; Yu, C.S.; Yu, C.C.; Chang, S.J.; Lu, H.F.; Chung, J.G. Carbon tetrachloride-induced hepatotoxicity and its amelioration by Agaricus blazei Murrill extract in a mouse model. In Vivo 2011, 25, 971–976. [Google Scholar] [PubMed]
- Chebaibi, M.; Bousta, D.; Chbani, L.; Zoubi, Y.E.; Touiti, N.; Achour, S. Acute toxicity of plants mixture used in traditional treatment of edema and colic renal in Morocco. Sci. Afr. 2019, 6, e00152. [Google Scholar] [CrossRef]
- Cainelli, F. Liver diseases in developing countries. World J. Hepatol. 2012, 4, 66–67. [Google Scholar] [CrossRef]
- Asrani, S.K.; Devarbhavi, H.; Eaton, J.; Kamath, P.S. Burden of liver diseases in the world. J. Hepatol. 2019, 70, 151–171. [Google Scholar] [CrossRef]
- Saha, P.; Talukdar, A.D.; Nath, R.; Sarker, S.D.; Nahar, L.; Sahu, J.; Choudhury, M.D. Role of Natural Phenolics in Hepatoprotection: A Mechanistic Review and Analysis of Regulatory Network of Associated Genes. Front. Pharmacol. 2019, 10. [Google Scholar] [CrossRef]
- Österreicher, C.H.; Trauner, M. Xenobiotic-induced liver injury and fibrosis. Expert Opin. Drug Metab. Toxicol. 2012, 8, 571–580. [Google Scholar] [CrossRef]
- Kim, H.Y.; Kim, J.K.; Choi, J.H.; Jung, J.Y.; Oh, W.Y.; Kim, D.C.; Lee, H.S.; Kim, Y.S.; Kang, S.S.; Lee, S.H.; et al. Hepatoprotective Effect of Pinoresinol on Carbon Tetrachloride–Induced Hepatic Damage in Mice. J. Pharmacol. Sci. 2010, 112, 105–112. [Google Scholar] [CrossRef] [PubMed]
- Becker, E.; Messner, B.; Berndt, J. Two mechanisms of CCl4-induced fatty liver: Lipid peroxidation or covalent binding studied in cultured rat hepatocytes. Free Radic. Res. Commun. 1987, 3, 299–308. [Google Scholar] [CrossRef]
- Lin, S.Y.; Xu, D.; Du, X.X.; Ran, C.L.; Xu, L.; Ren, S.J.; Tang, Z.T.; Yin, L.Z.; He, C.L.; Yuan, Z.X.; et al. Protective Effects of Salidroside against Carbon Tetrachloride (CCl4)-Induced Liver Injury by Initiating Mitochondria to Resist Oxidative Stress in Mice. Int. J. Mol. Sci. 2019, 20, 3187. [Google Scholar] [CrossRef]
- Shanmugam, G.; Ayyavu, M.; Rao, D.M.; Devarajan, T.; Subramaniam, G. Hepatoprotective effect of Caralluma umbellate against acetaminophen induced oxidative stress and liver damage in rat. J. Pharm. Res. 2013, 6, 342–345. [Google Scholar] [CrossRef]
- Nabavi, S.F.; Nabavi, S.M.; Habtemariam, S.; Moghaddam, A.H.; Sureda, A.; Jafari, M.; Latifi, A.M. Hepatoprotective effect of gallic acid isolated from Peltiphyllum peltatum against sodium fluoride-induced oxidative stress. Ind. Crops Prod. 2013, 44, 50–55. [Google Scholar] [CrossRef]
- Khan, M.Z.; Shabbir, M.I.; Saqib, Z.; Gilani, S.A.; Jogezai, N.U.; Kiyani, M.M.; Malik, M.A. Investigation of polyphenol profile, antioxidant activity and hepatoprotective potential of Aconogonon alpinum (All.) Schur roots. Open Chem. 2020, 18, 516–536. [Google Scholar] [CrossRef]
- Tung, Y.-T.; Wu, J.-H.; Huang, C.-C.; Peng, H.-C.; Chen, Y.-L.; Yang, S.-C.; Chang, S.-T. Protective effect of Acacia confusa bark extract and its active compound gallic acid against carbon tetrachloride-induced chronic liver injury in rats. Food Chem. Toxicol. 2009, 47, 1385–1392. [Google Scholar] [CrossRef] [PubMed]
- Domitrovic, R.; Jakovac, H.; Marchesi, V.V.; Vladimir-Knežević, S.; Cvijanovic, O.; Tadić, Ž.; Romić, Ž.; Rahelić, D. Differential hepatoprotective mechanisms of rutin and quercetin in CCl4-intoxicated BALB/cN mice. Acta Pharmacol. Sin. 2012, 33, 1260–1270. [Google Scholar] [CrossRef]
- Rukkumani, R.; Aruna, K.; Varma, P.S.; Menon, V.P. Hepatoprotective Role of Ferulic Acid: A Dose-Dependent Study. J. Med. Food 2004, 7, 456–461. [Google Scholar] [CrossRef]
- Kim, H.-Y.; Park, J.; Lee, K.-H.; Lee, D.-U.; Kwak, J.-H.; Kim, Y.S.; Lee, S.-M. Ferulic acid protects against carbon tetrachloride-induced liver injury in mice. Toxicology 2011, 282, 104–111. [Google Scholar] [CrossRef]






| Peak | Phenolic Compound | RT std (min) | Concentration (µg/mL) |
|---|---|---|---|
| 1 | Gallic acid | 2 | 225.01 |
| 2 | Methyl gallate | 2.89 | 187.10 |
| 3 | Resorcinol | 6.89 | 69.9 |
| 4 | Rutin | 13.49 | 77.59 |
| 5 | Ferulic acid | 15.21 | 299.60 |
| Biochemical Parameters | Groups of Mice | |||
|---|---|---|---|---|
| Group 1 (Nacl) | Group 2 (Poly A.E) | Group 3 (CCl4 Alone) | Group 4 (Poly A.E + CCl4) | |
| AST (U/L) | 307.7 ± 30.37 | 395.01 ± 38.06 | 748 ± 58.89 * | 496.3 ± 47.46 |
| ALT (U/L) | 46.13 ± 1.041 | 47.13 ± 1.9 | 63.33 ± 2.028 * | 41.33 ± 2.906 |
Publisher’s Note: MDPI stays neutral with regard to jurisdictional claims in published maps and institutional affiliations. |
© 2021 by the authors. Licensee MDPI, Basel, Switzerland. This article is an open access article distributed under the terms and conditions of the Creative Commons Attribution (CC BY) license (http://creativecommons.org/licenses/by/4.0/).
Share and Cite
Amrati, F.E.-Z.; Bourhia, M.; Slighoua, M.; Boukhira, S.; Ullah, R.; Ezzeldin, E.; Mostafa, G.A.E.; Grafov, A.; Bousta, D. Protective Effect of Chemically Characterized Polyphenol-Rich Fraction from Apteranthes europaea (Guss.) Murb. subsp. maroccana (Hook.f.) Plowes on Carbon Tetrachloride-Induced Liver Injury in Mice. Appl. Sci. 2021, 11, 554. https://doi.org/10.3390/app11020554
Amrati FE-Z, Bourhia M, Slighoua M, Boukhira S, Ullah R, Ezzeldin E, Mostafa GAE, Grafov A, Bousta D. Protective Effect of Chemically Characterized Polyphenol-Rich Fraction from Apteranthes europaea (Guss.) Murb. subsp. maroccana (Hook.f.) Plowes on Carbon Tetrachloride-Induced Liver Injury in Mice. Applied Sciences. 2021; 11(2):554. https://doi.org/10.3390/app11020554
Chicago/Turabian StyleAmrati, Fatima Ez-Zahra, Mohammed Bourhia, Meryem Slighoua, Smahane Boukhira, Riaz Ullah, Essam Ezzeldin, Gamal A. E. Mostafa, Andriy Grafov, and Dalila Bousta. 2021. "Protective Effect of Chemically Characterized Polyphenol-Rich Fraction from Apteranthes europaea (Guss.) Murb. subsp. maroccana (Hook.f.) Plowes on Carbon Tetrachloride-Induced Liver Injury in Mice" Applied Sciences 11, no. 2: 554. https://doi.org/10.3390/app11020554
APA StyleAmrati, F. E.-Z., Bourhia, M., Slighoua, M., Boukhira, S., Ullah, R., Ezzeldin, E., Mostafa, G. A. E., Grafov, A., & Bousta, D. (2021). Protective Effect of Chemically Characterized Polyphenol-Rich Fraction from Apteranthes europaea (Guss.) Murb. subsp. maroccana (Hook.f.) Plowes on Carbon Tetrachloride-Induced Liver Injury in Mice. Applied Sciences, 11(2), 554. https://doi.org/10.3390/app11020554

