Acute and Repeated Toxicological Study of Anti-Inflammatory Herbal Formula, Yeosinsan, in Rats
Abstract
:1. Introduction
2. Materials and Methods
2.1. Preparation of Yeosinsan Extract
2.2. Animals
2.3. Acute Oral Toxicity
2.4. Chronic Toxicity Test
2.5. Hematology and Serum Biochemical Analysis
2.6. Urinalysis
2.7. Necropsy and Histopathology
2.8. Statistical Analysis
3. Results
3.1. Acute Oral Toxicity
3.2. Chronic oral Toxicity
3.2.1. Clinical Signs and Mortality
3.2.2. Body Weight and Feed Intake
3.2.3. Organ Weight
3.2.4. Hematological Test
3.2.5. Serum Biochemistry
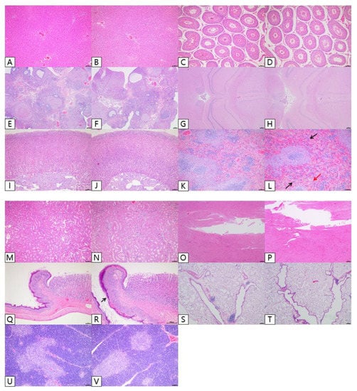
3.2.6. Gross Autopsy and Histopathological Examinations
3.2.7. Urine Analysis
4. Discussion
5. Conclusions
Supplementary Materials
Author Contributions
Funding
Institutional Review Board Statement
Informed Consent Statement
Data Availability Statement
Conflicts of Interest
References
- De Ziegler, D.; Streuli, I.; Meldrum, D.R.; Chapron, C. The value of growth hormone supplements in ART for poor ovarian responders. Fertil. Steril. 2011, 96, 1069–1076. [Google Scholar] [CrossRef] [PubMed]
- Coughlan, C.; Ledger, W.; Wang, Q.; Liu, F.; Demirol, A.; Gurgan, T.; Cutting, R.; Ong, K.; Sallam, H.; Li, T.C. Recurrent implantation failure: Definition and management. Reprod. Biomed. Online 2014, 28, 14–38. [Google Scholar] [CrossRef] [PubMed] [Green Version]
- Thurston, L.; Abbara, A.; Dhillo, W.S. Investigation and management of subfertility. J. Clin. Pathol. 2019, 72, 579–587. [Google Scholar] [CrossRef] [PubMed] [Green Version]
- Xia, J.F.; Inagaki, Y.; Zhang, J.F.; Wang, L.; Song, P.P. Chinese medicine as complementary therapy for female infertility. Chin. J. Integr. Med. 2017, 23, 245–252. [Google Scholar] [CrossRef]
- Jeon, S.; Liu, Q.F.; Cai, H.; Jeong, H.J.; Kim, S.H.; Kim, D.I.; Lee, J.H. Administration of a herbal formulation enhanced blastocyst implantation via IkappaB activation in mouse endometrium. Chin. Med. 2020, 15, 112. [Google Scholar] [CrossRef] [PubMed]
- Yu, N.; Yang, J.; Yin, T. Extracts from a traditional Chinese herbal remedy (Zhuyun recipe) improve endometrial receptivity in mice with embryonic implantation dysfunction and ovulation stimulation. J. Ethnopharmacol. 2011, 137, 389–395. [Google Scholar] [CrossRef]
- Yuan, L.; Feng, F.; Mao, Z.; Huang, J.; Liu, Y.; Li, Y.; Jiang, R. Effects of Erbuzhuyu Decoction Combined with Acupuncture on Endometrial Receptivity Are Associated with the Expression of miR-494-3p. Evid. Based Complement. Altern. Med. 2020, 2020, 9739672. [Google Scholar] [CrossRef]
- Huang, L.; Wang, L.; Bao, H.; Xu, Y.; Meng, M.; Qiao, M.; Wang, H.; Kong, S. Traditional Chinese medicine Dingkun Pill facilitates uterine receptivity for implantation in micedagger. Biol. Reprod. 2019, 101, 695–703. [Google Scholar] [CrossRef]
- Xin, M.; He, J.; Yang, W.; Yin, X.; Wang, J. Wenshen Yangxue decoction improves endometrial receptivity recovery and promotes endometrial angiogenesis in a rat model. Pharm. Biol. 2018, 56, 573–579. [Google Scholar] [CrossRef] [PubMed] [Green Version]
- Lin, J.; Li, X.L.; Song, H.; Li, Q.; Wang, M.Y.; Qiu, X.M.; Li, D.J.; Wang, L. A general description for Chinese medicine in treating premature ovarian failure. Chin. J. Integr. Med. 2017, 23, 91–97. [Google Scholar] [CrossRef] [PubMed]
- Zeyneloglu, H.B.; Onalan, G. Remedies for recurrent implantation failure. Semin. Reprod. Med. 2014, 32, 297–305. [Google Scholar] [CrossRef]
- Adki, K.M.; Kulkarni, Y.A. Chemistry, pharmacokinetics, pharmacology and recent novel drug delivery systems of paeonol. Life Sci. 2020, 250, 117544. [Google Scholar] [CrossRef] [PubMed]
- Xin, Q.; Yuan, R.; Shi, W.; Zhu, Z.; Wang, Y.; Cong, W. A review for the anti-inflammatory effects of paeoniflorin in inflammatory disorders. Life Sci. 2019, 237, 116925. [Google Scholar] [CrossRef] [PubMed]
- Pirzada, A.M.; Ali, H.H.; Naeem, M.; Latif, M.; Bukhari, A.H.; Tanveer, A. Cyperus rotundus L.: Traditional uses, phytochemistry, and pharmacological activities. J. Ethnopharmacol. 2015, 174, 540–560. [Google Scholar] [CrossRef]
- Seo, W.G.; Pae, H.O.; Oh, G.S.; Chai, K.Y.; Kwon, T.O.; Yun, Y.G.; Kim, N.Y.; Chung, H.T. Inhibitory effects of methanol extract of Cyperus rotundus rhizomes on nitric oxide and superoxide productions by murine macrophage cell line, RAW 264.7 cells. J. Ethnopharmacol. 2001, 76, 59–64. [Google Scholar] [CrossRef]
- Choi, H.J.; Chung, T.W.; Park, M.J.; Lee, K.S.; Yoon, Y.; Kim, H.S.; Lee, J.H.; Kwon, S.M.; Lee, S.O.; Kim, K.J.; et al. Paeonia lactiflora Enhances the Adhesion of Trophoblast to the Endometrium via Induction of Leukemia Inhibitory Factor Expression. PLoS ONE 2016, 11, e0148232. [Google Scholar] [CrossRef]
- Choi, H.J.; Chung, T.W.; Park, M.J.; Jung, Y.S.; Lee, S.O.; Kim, K.J.; Ha, K.T. Water-extracted tubers of Cyperus rotundus L. enhance endometrial receptivity through leukemia inhibitory factor-mediated expression of integrin alphaVbeta3 and alphaVbeta5. J. Ethnopharmacol. 2017, 208, 16–23. [Google Scholar] [CrossRef]
- Arentz, S.; Abbott, J.A.; Smith, C.A.; Bensoussan, A. Herbal medicine for the management of polycystic ovary syndrome (PCOS) and associated oligo/amenorrhoea and hyperandrogenism; a review of the laboratory evidence for effects with corroborative clinical findings. BMC Complement. Altern. Med. 2014, 14, 511. [Google Scholar] [CrossRef] [Green Version]
- Arentz, S.; Smith, C.A.; Abbott, J.; Fahey, P.; Cheema, B.S.; Bensoussan, A. Combined Lifestyle and Herbal Medicine in Overweight Women with Polycystic Ovary Syndrome (PCOS): A Randomized Controlled Trial. Phytother. Res. 2017, 31, 1330–1340. [Google Scholar] [CrossRef]
- Liao, W.T.; Su, C.C.; Lee, M.T.; Li, C.J.; Lin, C.L.; Chiang, J.H.; Yen, H.R. Integrative Chinese herbal medicine therapy reduced the risk of type 2 diabetes mellitus in patients with polycystic ovary syndrome: A nationwide matched cohort study. J. Ethnopharmacol. 2019, 243, 112091. [Google Scholar] [CrossRef]
- Hee Jung, C.; Bo Sun, J.; Mi Ju, P.; Min Jung, P.; Boram, B.; Bo Sung, K.; Hye Rin, P.; Keuk Jun, K.; Hee Jin, Y.; Jeong Eun, Y.; et al. Yeosin-san Increases Female Fertility through Inducing Uterine Receptivity and Ovarian Function. J. Physiol. Pathol. Korean Med. 2019, 33, 141–150. [Google Scholar] [CrossRef]
- Parker, S.; May, B.; Zhang, C.; Zhang, A.L.; Lu, C.; Xue, C.C. A Pharmacological Review of Bioactive Constituents of Paeonia lactiflora Pallas and Paeonia veitchii Lynch. Phytother. Res. 2016, 30, 1445–1473. [Google Scholar] [CrossRef]
- Boorman, G.A.; Hong, H.L.; Jameson, C.W.; Yoshitomi, K.; Maronpot, R.R. Regression of methyl bromide-induced forestomach lesions in the rat. Toxicol. Appl. Pharm. 1986, 86, 131–139. [Google Scholar] [CrossRef]
- McConnell, E.E.; Solleveld, H.A.; Swenberg, J.A.; Boorman, G.A. Guidelines for combining neoplasms for evaluation of rodent carcinogenesis studies. J. Natl. Cancer Inst. 1986, 76, 283–289. [Google Scholar] [PubMed]
- Zhang, Y.; Li, X.; Xu, X.; Yang, N. Mechanisms of Paeonia lactiflora in Treatment of Ulcerative Colitis: A Network Pharmacological Study. Med. Sci. Monit. 2019, 25, 7574–7580. [Google Scholar] [CrossRef] [PubMed]
- Kim, Y.S.; Park, H.J.; Kim, H.; Song, J.; Lee, D. Gastroprotective Effects of Paeonia Extract Mixture HT074 against Experimental Gastric Ulcers in Rats. Evid. Based Complement. Altern. Med. 2019, 2019, 3546258. [Google Scholar] [CrossRef]
- Kamala, A.; Middha, S.K.; Karigar, C.S. Plants in traditional medicine with special reference to Cyperus rotundus L.: A review. 3 Biotech 2018, 8, 309. [Google Scholar] [CrossRef]
- Everds, N.E. Evaluation of clinical pathology data: Correlating changes with other study data. Toxicol. Pathol. 2015, 43, 90–97. [Google Scholar] [CrossRef]
- Ye, X.W.; Deng, Y.L.; Xia, L.T.; Ren, H.M.; Zhang, J.L. Uncovering the mechanism of the effects of Paeoniae Radix Alba on iron-deficiency anaemia through a network pharmacology-based strategy. BMC Complement. Med. 2020, 20, 130. [Google Scholar] [CrossRef]
- Ku, S.K.; Kim, H.; Kim, J.W.; Kang, K.S.; Lee, H.J. Ameliorating effects of herbal formula hemomine on experimental subacute hemorrhagic anemia in rats. J. Ethnopharmacol. 2017, 198, 205–213. [Google Scholar] [CrossRef] [PubMed]
- Zhu, Y.; Wang, L.; Yang, Z.; Wang, J.; Li, W.; Zhou, J.; Zhang, J. Hematopoietic Effects of Paeoniflorin and Albiflorin on Radiotherapy-Induced Myelosuppression Mice. Evid. Based Complement. Altern. Med. 2016, 2016, 5789381. [Google Scholar] [CrossRef] [Green Version]
- Zhu, Y.L.; Wang, L.Y.; Wang, J.X.; Wang, C.; Wang, C.L.; Zhao, D.P.; Wang, Z.C.; Zhang, J.J. Protective effects of paeoniflorin and albiflorin on chemotherapy-induced myelosuppression in mice. Chin. J. Nat. Med. 2016, 14, 599–606. [Google Scholar] [CrossRef]
- Kang, L.; Miao, J.X.; Cao, L.H.; Miao, Y.Y.; Miao, M.S.; Liu, H.J.; Xiang, L.L.; Song, Y.G. Total glucosides of herbaceous peony (Paeonia lactiflora Pall.) flower attenuate adenine- and ethambutol-induced hyperuricaemia in rats. J. Ethnopharmacol. 2020, 261, 113054. [Google Scholar] [CrossRef] [PubMed]
- Thakur, P.; Chawla, R.; Narula, A.; Goel, R.; Arora, R.; Sharma, R.K. Anti-hemolytic, hemagglutination inhibition and bacterial membrane disruptive properties of selected herbal extracts attenuate virulence of Carbapenem Resistant Escherichia coli. Microb. Pathog. 2016, 95, 133–141. [Google Scholar] [CrossRef] [PubMed]
- Soumaya, K.J.; Dhekra, M.; Fadwa, C.; Zied, G.; Ilef, L.; Kamel, G.; Leila, C.G. Pharmacological, antioxidant, genotoxic studies and modulation of rat splenocyte functions by Cyperus rotundus extracts. BMC Complement. Altern. Med. 2013, 13, 28. [Google Scholar] [CrossRef] [Green Version]
- Ye, S.; Mao, B.; Yang, L.; Fu, W.; Hou, J. Thrombosis recanalization by paeoniflorin through the upregulation of urokinasetype plasminogen activator via the MAPK signaling pathway. Mol. Med. Rep. 2016, 13, 4593–4598. [Google Scholar] [CrossRef] [PubMed] [Green Version]
- Park, B.; You, S.; Jung, J.; Lee, J.A.; Yun, K.J.; Lee, M.S. Korean studies on blood stasis: An overview. Evid. Based Complement. Altern. Med. 2015, 2015, 316872. [Google Scholar] [CrossRef]
- Liu, Y.; Yin, H.J.; Shi, D.Z.; Chen, K.J. Chinese herb and formulas for promoting blood circulation and removing blood stasis and antiplatelet therapies. Evid. Based Complement. Altern. Med. 2012, 2012, 184503. [Google Scholar] [CrossRef] [Green Version]
- Jiang, Y.; Zhang, G.; Yan, D.; Yang, H.; Ye, Z.; Ma, T. Bioactivity-Guided Fractionation of the Traditional Chinese Medicine Resina Draconis Reveals Loureirin B as a PAI-1 Inhibitor. Evid. Based Complement. Altern. Med. 2017, 2017, 9425963. [Google Scholar] [CrossRef] [Green Version]






| Dosage Group (mg/kg) | 0 | 500 | 1000 | 2000 | ||
|---|---|---|---|---|---|---|
| Male | No abnormalities detected | Number of animals examined | 5 | 5 | 5 | 5 |
| Number of animals not affected | 5 | 5 | 5 | 5 | ||
| Mean number of animal days with no clinical sign | 15 | 15 | 15 | 15 | ||
| Female | No abnormalities detected | Number of animals examined | 5 | 5 | 5 | 5 |
| Number of animals not affected | 5 | 5 | 5 | 5 | ||
| Mean number of animal days with no clinical sign | 15 | 15 | 15 | 15 | ||
| Dosage Group (mg∙kg−1∙d−1) | 0 | 500 | 1000 | 2000 | ||
|---|---|---|---|---|---|---|
| Male | Number of animals examined | 10 | 10 | 10 | 10 | |
| No abnormalities detected | Number of animals not affected | 10 | 10 | 10 | 10 | |
| Mean number of animal days with no clinical sign | 91.10 | 92.00 | 92.00 | 92.00 | ||
| Fur, hair, coat | Number of animals examined | 10 | 10 | 10 | 10 | |
| Loss of fur, posterior neck, slight | Number of animals affected | 1 | 0 | 0 | 0 | |
| Mean number of animal days with clinical sign | 9.00 | 0.00 | 0.00 | 0.00 | ||
| Skin | Number of animals examined | 10 | 10 | 10 | 10 | |
| Scab, posterior neck, slight | Number of animals affected | 1 | 0 | 0 | 0 | |
| Mean number of animal days with clinical sign | 9.00 | 0.00 | 0.00 | 0.00 | ||
| Female | Number of animals examined | 10 | 10 | 10 | 10 | |
| No abnormalities detected | Number of animals not affected | 10 | 10 | 10 | 10 | |
| Mean number of animal days with no clinical sign | 93.00 | 86.40 | 93.00 | 89.50 | ||
| Fur, hair, coat | Number of animals examined | 10 | 10 | 10 | 10 | |
| Loss of fur, left lumbar region, slight | Number of animals affected | 0 | 0 | 0 | 1 | |
| Mean number of animal days with clinical sign | 0.00 | 0.00 | 0.00 | 12.00 | ||
| Number of animals examined | 10 | 10 | 10 | 10 | ||
| Loss of fur, posterior cranium, slight | Number of animals affected | 0 | 2 | 0 | 0 | |
| Mean number of animal days with clinical sign | 0.00 | 33.00 | 0.00 | 0.00 | ||
| Number of animals examined | 10 | 10 | 10 | 10 | ||
| Loss of fur, right neck, slight | Number of animals affected | 0 | 0 | 0 | 1 | |
| Mean number of animal days with clinical sign | 0.00 | 0.00 | 0.00 | 23.00 | ||
| Number of animals examined | 10 | 10 | 10 | 10 | ||
| Loss of fur, right upper forelimb, slight | Number of animals affected | 0 | 2 | 0 | 0 | |
| Mean number of animal days with clinical sign | 0.00 | 23.00 | 0.00 | 0.00 | ||
| Dosage Group (mg∙kg−1∙d−1) | 0 | 500 | 1000 | 2000 | |
|---|---|---|---|---|---|
| Male | TBW (g) | 546.1 ± 79.76 | 543.6 ± 42.11 | 551.0 ± 49.88 | 565.0 ± 42.30 |
| (ADRG) Adrenal glands (g) | 0.062 ± 0.0096 | 0.063 ± 0.0072 | 0.065 ± 0.0110 | 0.064 ± 0.0042 | |
| (BRA) Brain (g) | 2.163 ± 0.1352 | 2.214 ± 0.0803 | 2.174 ± 0.0824 | 2.214 ± 0.0878 | |
| (HT) Heart (g) | 1.706 ± 0.2359 | 1.584 ± 0.1162 | 1.641 ± 0.1242 | 1.679 ± 0.1135 | |
| (KID) Kidneys (g) | 3.625 ± 0.3945 | 3.958 ± 0.3891 | 4.065 ± 0.4607 | 4.280 ± 0.4100 ** | |
| (LIV) Liver (g) | 15.464 ± 3.4509 | 15.848 ± 2.1123 | 15.676 ± 2.0249 | 16.580 ± 1.3323 | |
| (PITG) Pituitary glands (g) | 0.014 ± 0.0033 | 0.015 ± 0.0025 | 0.013 ± 0.0016 | 0.013 ± 0.0015 | |
| (SPL) Spleen (g) | 0.925 ± 0.2494 | 0.903 ± 0.1138 | 0.916 ± 0.0730 | 1.068 ± 0.2334 | |
| (TES) Testes (g) | 3.517 ± 0.3382 | 3.515 ± 0.3207 | 3.516 ± 0.2252 | 3.319 ± 0.7046 | |
| (THY) Thymus (g) | 0.478 ± 0.1020 | 0.446 ± 0.1158 | 0.449 ± 0.0757 | 0.463 ± 0.1338 | |
| (SALG) Salivary glands (g) | 0.754 ± 0.1519 | 0.714 ± 0.0505 | 0.765 ± 0.0780 | 0.783 ± 0.0553 | |
| (EPI) Epididymis (g) | 1.603 ± 0.1721 | 1.610 ± 0.1146 | 1.520 ± 0.0698 | 1.453 ± 0.2286 | |
| (LUN) Lung (g) | 1.721 ± 0.1855 | 1.772 ± 0.1125 | 1.714 ± 0.0862 | 1.836 ± 0.0848 | |
| (THPA) Thyroid and parathyroid glands (g) | 0.024 ± 0.0058 | 0.028 ± 0.0069 | 0.023 ± 0.0028 | 0.025 ± 0.0043 | |
| (SVCG) Seminal vesicles with coagulating gland | 1.983 ± 0.4411 | 1.877 ± 0.4002 | 1.805 ± 0.2810 | 1.702 ± 0.3097 | |
| (PROS) Prostate (g) | 0.606 ± 0.1249 | 0.613 ± 0.1515 | 0.581 ± 0.1695 | 0.621 ± 0.1494 | |
| Female | TBW (g) | 309.4 ± 26.33 | 300.5 ± 20.04 | 292.2 ± 19.22 | 290.4 ± 29.27 |
| (ADRG) Adrenal glands (g) | 0.081 ± 0.0062 | 0.082 ± 0.0129 | 0.078 ± 0.0084 | 0.077 ± 0.0154 | |
| (BRA) Brain (g) | 1.997 ± 0.0653 | 2.019 ± 0.0769 | 1.987 ± 0.0634 | 1.969 ± 0.0583 | |
| (HT) Heart (g) | 1.046 ± 0.0966 | 1.054 ± 0.0735 | 0.974 ± 0.0904 | 0.964 ± 0.0835 | |
| (KID) Kidneys (g) | 2.321 ± 0.2309 | 2.303 ± 0.1974 | 2.246 ± 0.1541 | 2.297 ± 0.2777 | |
| (LIV) Liver (g) | 8.729 ± 1.1196 | 8.443 ± 0.7715 | 8.377 ± 0.4921 | 8.611 ± 0.9457 | |
| (OVA) Ovaries (g) | 0.098 ± 0.0249 | 0.095 ± 0.0156 | 0.084 ± 0.0139 | 0.093 ± 0.0197 | |
| (PITG) Pituitary glands (g) | 0.021 ± 0.0043 | 0.018 ± 0.0032 | 0.019 ± 0.0036 | 0.020 ± 0.0041 | |
| (SPL) Spleen (g) | 0.574 ± 0.0379 | 0.611 ± 0.1084 | 0.657 ± 0.0855 | 0.661 ± 0.1035 | |
| (THY) Thymus (g) | 0.343 ± 0.0581 | 0.329 ± 0.0683 | 0.331 ± 0.0479 | 0.344 ± 0.0899 | |
| (SALG) Salivary glands (g) | 0.466 ± 0.0690 | 0.458 ± 0.0476 | 0.449 ± 0.0369 | 0.471 ± 0.0413 | |
| (LUN) Lung (g) | 1.347 ± 0.1355 | 1.346 ± 0.0768 | 1.329 ± 0.0896 | 1.344 ± 0.1263 | |
| (THPA) Thyroid and parathyroid glands (g) | 0.019 ± 0.0039 | 0.020 ± 0.0037 | 0.019 ± 0.0025 | 0.019 ± 0.0036 | |
| (UTEC) Uterus/cervix | 0.725 ± 0.1570 | 0.903 ± 0.4507 | 0.741 ± 0.3030 | 0.741 ± 0.3344 | |
| Dosage Group (mg∙kg−1∙d−1) | 0 | 500 | 1000 | 2000 | |
|---|---|---|---|---|---|
| Male | RBC (×106/μL) | 9.06 ± 0.626 | 8.70 ± 0.371 | 8.40 ± 0.337 ** | 8.21 ± 0.347 ** |
| HGB (g/dL) | 15.6 ± 0.54 | 15.3 ± 0.37 | 15.1 ± 0.53 | 15.2 ± 0.41 | |
| HCT (%) | 50.8 ± 1.96 | 49.7 ± 1.23 | 48.9 ± 2.14 | 49.2 ± 1.61 | |
| MCV (fL) | 56.2 ± 2.71 | 57.2 ± 2.2 | 58.3 ± 1.78 | 60.0 ± 2.14 ** | |
| MCH (pg) | 17.4 ± 1.06 | 17.7 ± 0.8 | 17.9 ± 0.55 | 18.6 ± 0.65 ** | |
| MCHC (g/dL) | 30.8 ± 0.68 | 30.9 ± 0.56 | 30.8 ± 0.5 | 30.9 ± 0.47 | |
| RET% (%) | 2.03 ± 0.453 | 2.25 ± 0.412 | 2.76 ± 0.366 ** | 3.21 ± 0.352 ** | |
| RETA (×109/μL) | 181.9 ± 30.02 | 194.1 ± 28.71 | 231.5 ± 27.26 ** | 263.5 ± 27.76 ** | |
| PLT (×105/μL) | 884.8 ± 241.68 | 996.4 ± 95.96 | 1036.3 ± 148.98 | 989.3 ± 219.31 | |
| NEU% (%) | 14.9 ± 5.49 | 16.5 ± 5.01 | 14.7 ± 4.78 | 16.1 ± 5.57 | |
| LYM% (%) | 79.7 ± 5.7 | 78.2 ± 5.45 | 80.5 ± 4.35 | 78.6 ± 6.26 | |
| EOS% (%) | 1.2 ± 0.49 | 1.3 ± 0.22 | 1.1 ± 0.28 | 1 ± 0.37 | |
| MON (%) | 2.7 ± 0.76 | 2.4 ± 0.77 | 2.4 ± 0.95 | 2.5 ± 0.85 | |
| BAS% (%) | 0.4 ± 0.09 | 0.4 ± 0.11 | 0.4 ± 0.13 | 0.5 ± 0.15 | |
| LUC% (%) | 1.1 ± 0.6 | 1.3 ± 0.65 | 1 ± 0.4 | 1.3 ± 0.67 | |
| WBC (×103/μL) | 11.95 ± 2.923 | 10.76 ± 2.25 | 9.23 ± 1.877 | 10.35 ± 2.063 | |
| NEUA (×103/μL) | 1.76 ± 0.75 | 1.79 ± 0.695 | 1.32 ± 0.372 | 1.68 ± 0.801 | |
| LYMA (×103/μL) | 9.55 ± 2.582 | 8.39 ± 1.67 | 7.47 ± 1.768 | 8.11 ± 1.524 | |
| MONA (×103/μL) | 0.32 ± 0.107 | 0.26 ± 0.119 | 0.22 ± 0.085 | 0.26 ± 0.135 | |
| EOSA (×103/μL) | 0.14 ± 0.054 | 0.14 ± 0.047 | 0.1 ± 0.036 | 0.1 ± 0.04 | |
| BASA (×103/μL) | 0.05 ± 0.012 | 0.05 ± 0.016 | 0.04 ± 0.016 | 0.05 ± 0.016 | |
| LUCA (×103/μL) | 0.14 ± 0.089 | 0.15 ± 0.111 | 0.09 ± 0.043 | 0.14 ± 0.104 | |
| Female | RBC (×106/μL) | 8.23 ± 0.355 | 7.91 ± 0.236 * | 7.91 ± 0.285 * | 7.44 ± 0.277 ** |
| HGB (g/dL) | 15.5 ± 0.56 | 15.2 ± 0.61 | 15.1 ± 0.70 | 14.8 ± 0.39 | |
| HCT (%) | 49.2 ± 1.61 | 47.5 ± 1.68 | 47.9 ± 2.43 | 46.2 ± 1.07 ** | |
| MCV (fL) | 59.8 ± 1.38 | 60.0 ± 1.04 | 60.5 ± 1.75 | 62.1 ± 0.96 ** | |
| MCH (pg) | 18.9 ± 0.36 | 19.2 ± 0.46 | 19.0 ± 0.57 | 19.9 ± 0.33 ** | |
| MCHC (g/dL) | 31.5 ± 0.46 | 31.9 ± 0.67 | 31.5 ± 0.42 | 32.1 ± 0.32 * | |
| RET% (%) | 2.10 ± 0.367 | 2.73 ± 0.296 ** | 3.27 ± 0.375 ** | 2.98 ± 0.486 ** | |
| RETA (×109/μL) | 173.3 ± 30.99 | 216.1 ± 23.02 ** | 258.9 ± 34.10 ** | 220.9 ± 33.50 ** | |
| PLT (×105/μL) | 996.1 ± 96.69 | 1052.1 ± 105.30 | 1074.4 ± 78.18 | 1087.1 ± 137.76 | |
| NEU% (%) | 11.4 ± 5.63 | 12.8 ± 2.93 | 12.7 ± 5.93 | 12.3 ± 4.25 | |
| LYM% (%) | 83.4 ± 5.78 | 81.1 ± 4.41 | 82.1 ± 6.21 | 82.8 ± 4.90 | |
| EOS% (%) | 1.3 ± 0.39 | 1.4 ± 0.55 | 1.1 ± 0.26 | 1.1 ± 0.52 | |
| MON (%) | 2.4 ± 0.88 | 2.9 ± 1.32 | 2.3 ± 0.57 | 2.1 ± 0.60 | |
| BAS% (%) | 0.4 ± 0.15 | 0.5 ± 0.16 | 0.6 ± 0.21 | 0.5 ± 0.32 | |
| LUC% (%) | 1.1 ± 0.41 | 1.4 ± 0.59 | 1.2 ± 0.24 | 1.3 ± 0.53 | |
| WBC (×103/μL) | 7.82 ± 2.014 | 7.85 ± 1.463 | 6.4 ± 0.911 | 8.26 ± 2.354 | |
| NEUA (×103/μL) | 0.88 ± 0.478 | 1.01 ± 0.295 | 0.79 ± 0.331 | 0.98 ± 0.358 | |
| LYMA (×103/μL) | 6.54 ± 1.910 | 6.35 ± 1.176 | 5.28 ± 0.998 | 6.88 ± 2.152 | |
| MONA (×103/μL) | 0.19 ± 0.068 | 0.23 ± 0.118 | 0.15 ± 0.035 | 0.17 ± 0.074 | |
| EOSA (×103/μL) | 0.10 ± 0.029 | 0.12 ± 0.063 | 0.07 ± 0.019 | 0.09 ± 0.053 | |
| BASA (×103/μL) | 0.03 ± 0.010 | 0.04 ± 0.013 | 0.04 ± 0.017 | 0.04 ± 0.017 | |
| LUCA (×103/μL) | 0.09 ± 0.042 | 0.11 ± 0.055 | 0.07 ± 0.017 | 0.1 ± 0.043 | |
| Dosage Group (mg∙kg−1∙d−1) | 0 | 500 | 1000 | 2000 | |
|---|---|---|---|---|---|
| Male | PT (sec) | 15.7 ± 1.36 | 17.1 ± 2.58 | 16.6 ± 1.85 | 18.8 ± 2.06 ** |
| APTT (sec) | 17.2 ± 1.10 | 17.5 ± 1.10 | 17.5 ± 0.91 | 17.2 ± 0.95 | |
| Female | PT (sec) | 13.8 ± 0.65 | 14.1 ± 0.58 | 14.2 ± 0.81 | 14.8 ± 0.64 * |
| APTT (sec) | 14.7 ± 1.15 | 15.4 ± 1.35 | 15.6 ± 1.02 | 15.6 ± 0.79 | |
| Dosage Group (mg∙kg−1∙d−1) | 0 | 500 | 1000 | 2000 | |
|---|---|---|---|---|---|
| Male | GUN (mg/dL) | 125.9 ± 36.61 | 116.0 ± 27.93 | 111.0 ± 17.16 | 108.3 ± 13.00 |
| BUN (mg/dL) | 16.0 ± 1.56 | 15.8 ± 2.62 | 15.1 ± 1.59 | 16.9 ± 1.56 | |
| CREA (mg/dL) | 0.48 ± 0.043 | 0.47 ± 0.032 | 0.46 ± 0.020 | 0.47 ± 0.044 | |
| TP (g/dL) | 6.65 ± 0.297 | 6.55 ± 0.195 | 6.53 ± 0.339 | 6.52 ± 0.120 | |
| ALB (g/dL) | 4.22 ± 0.144 | 4.21 ± 0.101 | 4.22 ± 0.140 | 4.23 ± 0.091 | |
| A/G (ratio) | 1.74 ± 0.102 | 1.80 ± 0.098 | 1.83 ± 0.105 | 1.86 ± 0.103 | |
| AST (IU/L) | 126.1 ± 30.47 | 109.5 ± 15.01 | 106.0 ± 19.54 | 107.2 ± 16.12 | |
| ALT (IU/L) | 35.0 ± 9.63 | 29.4 ± 5.17 | 28.6 ± 4.56 | 30.8 ± 5.60 | |
| TBIL (mg/dL) | 0.126 ± 0.0392 | 0.113 ± 0.0251 | 0.140 ± 0.0193 | 0.142 ± 0.0147 | |
| GGT (IU/L) | 1.15 ± 1.246 | 0.43 ± 0.250 | 0.34 ± 0.118 | 0.31 ± 0.181 | |
| ALP (IU/L) | 268.3 ± 57.76 | 298.8 ± 69.89 | 258.3 ± 57.83 | 293.5 ± 68.38 | |
| TCHO (mg/dL) | 65.7 ± 20.54 | 57.6 ± 21.09 | 56.1 ± 17.60 | 49.0 ± 9.33 | |
| TG (mg/dL) | 41.7 ± 21.23 | 27.4 ± 14.37 | 34.2 ± 15.89 | 24.8 ± 12.73 | |
| Ca (mg/dL) | 10.90 ± 0.351 | 10.78 ± 0.354 | 10.77 ± 0.418 | 10.95 ± 0.236 | |
| IP (mg/dL) | 8.97 ± 0.823 | 9.41 ± 1.096 | 9.83 ± 0.854 | 10.04 ± 0.556 * | |
| K (mmol/L) | 7.24 ± 1.561 | 8.17 ± 1.279 | 9.19 ± 0.731 ** | 9.16 ± 0.819 ** | |
| CK (IU/L) | 636.7 ± 205.21 | 594.3 ± 132.46 | 580.4 ± 224.39 | 557.6 ± 204.43 | |
| PL (mg/dL) | 100.0 ± 18.74 | 89.8 ± 24.06 | 90.0 ± 18.80 | 83.0 ± 11.18 | |
| Na (mmol/L) | 142.6 ± 1.71 | 142.4 ± 0.97 | 142.8 ± 0.63 | 143.8 ± 0.63 | |
| Cl (mmol/L) | 98.7 ± 1.70 | 99.1 ± 1.66 | 99.6 ± 1.35 | 99.8 ± 1.23 | |
| Female | GUN (mg/dL) | 124.3 ± 28.13 | 122.5 ± 36.14 | 120.2 ± 17.63 | 123.1 ± 30.06 |
| BUN (mg/dL) | 20.1 ± 3.43 | 16.9 ± 2.02 | 17.7 ± 1.54 | 18.6 ± 3.32 | |
| CREA (mg/dL) | 0.59 ± 0.049 | 0.52 ± 0.050 * | 0.52 ± 0.037 ** | 0.55 ± 0.060 | |
| TP (g/dL) | 7.38 ± 0.522 | 7.35 ± 0.386 | 7.48 ± 0.531 | 7.38 ± 0.284 | |
| ALB (g/dL) | 4.72 ± 0.324 | 4.78 ± 0.188 | 4.91 ± 0.368 | 4.80 ± 0.209 | |
| A/G (ratio) | 1.77 ± 0.067 | 1.86 ± 0.117 | 1.91 ± 0.101 ** | 1.87 ± 0.081 | |
| AST (IU/L) | 115.2 ± 36.10 | 122.3 ± 26.10 | 98.3 ± 12.96 | 105.5 ± 10.66 | |
| ALT (IU/L) | 38.9 ± 29.84 | 37.8 ± 18.01 | 29.6 ± 8.36 | 26.8 ± 4.48 | |
| TBIL (mg/dL) | 0.133 ± 0.0215 | 0.160 ± 0.0204 | 0.182 ± 0.0213 ** | 0.194 ± 0.0399 ** | |
| GGT (IU/L) | 0.71 ± 0.337 | 0.93 ± 0.645 | 0.82 ± 0.364 | 0.87 ± 0.315 | |
| ALP (IU/L) | 170.3 ± 62.04 | 137.4 ± 45.26 | 169.1 ± 40.69 | 174.3 ± 50.54 | |
| TCHO (mg/dL) | 66.3 ± 19.06 | 60.4 ± 15.15 | 64.8 ± 12.15 | 63.0 ± 14.01 | |
| TG (mg/dL) | 23.5 ± 12.20 | 18.6 ± 6.68 | 18.1 ± 4.18 | 15.1 ± 6.62 | |
| Ca (mg/dL) | 11.40 ± 0.444 | 11.47 ± 0.558 | 11.53 ± 0.878 | 11.39 ± 0.306 | |
| IP (mg/dL) | 7.85 ± 0.903 | 8.10 ± 1.212 | 8.42 ± 1.040 | 7.93 ± 0.993 | |
| K (mmol/L) | 6.90 ± 0.611 | 7.25 ± 0.799 | 7.47 ± 0.913 | 7.17 ± 0.691 | |
| CK (IU/L) | 411.6 ± 79.44 | 527.4 ± 195.99 | 403.7 ± 102.16 | 526.1 ± 159.18 | |
| PL (mg/dL) | 134.9 ± 30.32 | 120.3 ± 20.72 | 132.5 ± 16.77 | 126.5 ± 15.52 | |
| Na (mmol/L) | 143.4 ± 1.35 | 144.1 ± 1.66 | 144.9 ± 2.02 | 145.1 ± 2.18 | |
| Cl (mmol/L) | 101.4 ± 2.07 | 102.2 ± 1.32 | 101.8 ± 2.04 | 102.5 ± 1.65 | |
| Dosage Group (mg∙kg−1∙d−1) | 0 | 500 | 1000 | 2000 | ||
|---|---|---|---|---|---|---|
| Male | Spleen | Number examined | 10 | 10 | 10 | 10 |
| Number unremarkable | 9 | 9 | 5 | 0 | ||
| Extramedullary hematopoiesis | 1> | 1 | 1 a | 3 a | 3 a | |
| 2> | 0 | 0 | 0 | 1 a | ||
| Total finding incidence | 1 | 1 a | 3 a | 4 a | ||
| Increased pigmentation | 1> | 0 | 1 a | 3 a | 7 a | |
| 2> | 0 | 0 | 1 | 3 a | ||
| Total finding incidence | 0 | 1 a | 4 a | 10 a | ||
| Sternum/Marrow | Number examined | 10 | 0 | 0 | 10 | |
| Number unremarkable | 10 | 0 | 0 | 10 | ||
| Stomach | Number examined | 10 | 10 | 10 | 10 | |
| Number unremarkable | 10 | 10 | 10 | 9 | ||
| Squamous cell hyperplasia, forestomach | 1> | 0 | 0 | 0 | 1 | |
| Total finding incidence | 0 | 0 | 0 | 1 | ||
| Testes | Number examined | 10 | 0 | 0 | 10 | |
| Number unremarkable | 10 | 0 | 0 | 9 | ||
| Atrophy, tubules | 2> | 0 | 0 | 0 | 1 | |
| Total finding incidence | 0 | 0 | 0 | 1 | ||
| Female | Skin, inguinal | Number examined | 10 | 0 | 0 | 10 |
| Number unremarkable | 10 | 0 | 0 | 10 | ||
| Spinal cord, cervical | Number examined | 10 | 0 | 0 | 10 | |
| Number unremarkable | 10 | 0 | 0 | 10 | ||
| Spinal cord, lumbar | Number examined | 10 | 0 | 0 | 10 | |
| Number unremarkable | 10 | 0 | 0 | 10 | ||
| Spinal cord, thoracic | Number examined | 10 | 0 | 0 | 10 | |
| Number unremarkable | 10 | 0 | 0 | 10 | ||
| Spleen | Number examined | 10 | 10 | 10 | 10 | |
| Number unremarkable | 10 | 4 | 1 | 0 | ||
| Extramedullary hematopoiesis | 1> | 0 | 2 a | 4 a | 4 a | |
| Total finding incidence | 0 | 2 a | 4 a | 4 a | ||
| Increased pigmentation | 1> | 0 | 5 a | 8 a | 5 a | |
| 2> | 0 | 0 | 0 | 5 a | ||
| Total finding incidence | 0 | 5 a | 8 a | 10 a | ||
| Sternum/marrow | Number examined | 10 | 0 | 0 | 10 | |
| Number unremarkable | 10 | 0 | 0 | 10 | ||
| Stomach | Number examined | 10 | 10 | 10 | 10 | |
| Number unremarkable | 10 | 10 | 10 | 7 | ||
| Squamous cell hyperplasia, forestomach | 1> | 0 | 0 | 0 | 2 | |
| 2> | 0 | 0 | 0 | 1 | ||
| Total finding incidence | 0 | 0 | 0 | 3 | ||
| Thymus | Number examined | 10 | 0 | 0 | 10 | |
| Number unremarkable | 9 | 0 | 0 | 8 | ||
| Epithelial tubules | 1> | 1 | 0 | 0 | 2 | |
| Total finding incidence | 1 | 0 | 0 | 2 | ||
| Thyroid and parathyroid glands | Number examined | 10 | 0 | 0 | 10 | |
| Number unremarkable | 9 | 0 | 0 | 10 | ||
| Ectopic thymus | Present | 1 | 0 | 0 | 0 | |
| Total finding incidence | 1 | 0 | 0 | 0 | ||
Publisher’s Note: MDPI stays neutral with regard to jurisdictional claims in published maps and institutional affiliations. |
© 2021 by the authors. Licensee MDPI, Basel, Switzerland. This article is an open access article distributed under the terms and conditions of the Creative Commons Attribution (CC BY) license (https://creativecommons.org/licenses/by/4.0/).
Share and Cite
Koo, J.-M.; Yang, M.-J.; Kim, B.-K.; Yoo, J.E.; Park, J.-K.; Yang, H.J.; Joo, J.; Joo, B.S.; Heo, J.-D.; Ha, K.-T. Acute and Repeated Toxicological Study of Anti-Inflammatory Herbal Formula, Yeosinsan, in Rats. Appl. Sci. 2021, 11, 9325. https://doi.org/10.3390/app11199325
Koo J-M, Yang M-J, Kim B-K, Yoo JE, Park J-K, Yang HJ, Joo J, Joo BS, Heo J-D, Ha K-T. Acute and Repeated Toxicological Study of Anti-Inflammatory Herbal Formula, Yeosinsan, in Rats. Applied Sciences. 2021; 11(19):9325. https://doi.org/10.3390/app11199325
Chicago/Turabian StyleKoo, Jin-Mo, Mi-Jin Yang, Bo-Kyung Kim, Jeong Eun Yoo, Jang-Kyung Park, Hee Jin Yang, Jongkil Joo, Bo Sun Joo, Jeong-Doo Heo, and Ki-Tae Ha. 2021. "Acute and Repeated Toxicological Study of Anti-Inflammatory Herbal Formula, Yeosinsan, in Rats" Applied Sciences 11, no. 19: 9325. https://doi.org/10.3390/app11199325
APA StyleKoo, J.-M., Yang, M.-J., Kim, B.-K., Yoo, J. E., Park, J.-K., Yang, H. J., Joo, J., Joo, B. S., Heo, J.-D., & Ha, K.-T. (2021). Acute and Repeated Toxicological Study of Anti-Inflammatory Herbal Formula, Yeosinsan, in Rats. Applied Sciences, 11(19), 9325. https://doi.org/10.3390/app11199325

