Oral Manifestations in Scurvy Pediatric Patients: A Systematic Review and a Case Report
Abstract
:1. Introduction
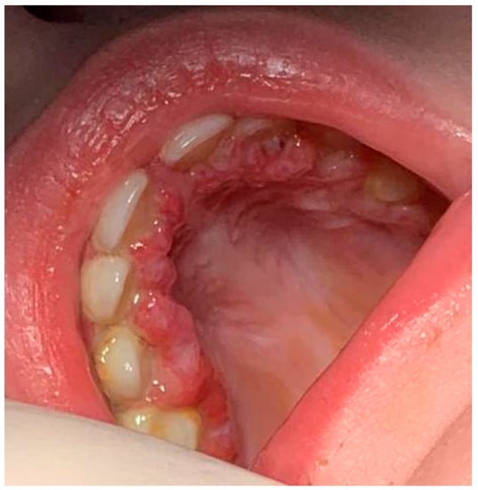
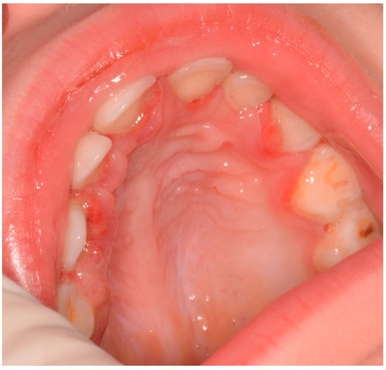
2. Case Report
3. Materials and Methods
4. Results
Systematic Review of the Literature
5. Discussion
6. Conclusions
Supplementary Materials
Author Contributions
Funding
Institutional Review Board Statement
Informed Consent Statement
Data Availability Statement
Conflicts of Interest
References
- Padayatty, S.J.; Levine, M. Vitamin C: The Known and the Unknown and Goldilocks. Oral Dis. 2016, 22, 463–493. [Google Scholar] [CrossRef] [PubMed] [Green Version]
- Pullar, J.M.; Carr, A.C.; Vissers, M.C.M. The Roles of Vitamin C in Skin Health. Nutrients 2017, 9, 866. [Google Scholar] [CrossRef] [Green Version]
- Corpe, C.P.; Eck, P.; Wang, J.; Al-Hasani, H.; Levine, M. Intestinal Dehydroascorbic Acid (DHA) Transport Mediated by the Facilitative Sugar Transporters, GLUT2 and GLUT8. J. Biol. Chem. 2013, 288, 9092–9101. [Google Scholar] [CrossRef] [PubMed] [Green Version]
- Fujii, T.; Luethi, N.; Young, P.J.; Frei, D.R.; Eastwood, G.M.; French, C.J.; Deane, A.M.; Shehabi, Y.; Hajjar, L.A.; Oliveira, G.; et al. Effect of Vitamin C, Hydrocortisone, and Thiamine vs Hydrocortisone Alone on Time Alive and Free of Vasopressor Support among Patients with Septic Shock: The VITAMINS Randomized Clinical Trial. J. Am. Med. Assoc. 2020, 323, 423–431. [Google Scholar] [CrossRef] [PubMed]
- He, H.; Qiao, Y.; Zhang, Z.; Wu, Z.; Liu, D.; Liao, Z.; Yin, D.; He, M. Dual Action of Vitamin C in Iron Supplement Therapeutics for Iron Deficiency Anemia: Prevention of Liver Damage Induced by Iron Overload. Food Funct. 2018, 9, 5390–5401. [Google Scholar] [CrossRef]
- Smirnoff, N. Ascorbic Acid Metabolism and Functions: A Comparison of Plants and Mammals. In Free Radical Biology and Medicine; Elsevier Inc.: Amsterdam, The Netherlands, 2018; pp. 116–129. [Google Scholar] [CrossRef]
- Perkins, A.; Sontheimer, C.; Otjen, J.P.; Shenoi, S. Scurvy Masquerading as Juvenile Idiopathic Arthritis or Vasculitis with Elevated Inflammatory Markers: A Case Series. J. Pediatr. 2020, 218, 234–237.e2. [Google Scholar] [CrossRef] [PubMed]
- Fortenberry, M.; Rucker, H.; Gaines, K. Pediatric Scurvy: How an Old Disease Is Becoming a New Problem. J. Pediatr. Pharmacol. Ther. 2020, 25, 735–741. [Google Scholar] [CrossRef]
- Agarwal, A.; Shaharyar, A.; Kumar, A.; Bhat, M.S.; Mishra, M. Scurvy in Pediatric Age Group—A Disease Often Forgotten? J. Clin. Orthop. Trauma 2015, 6, 101–107. [Google Scholar] [CrossRef] [Green Version]
- Byard, R.W.; Maxwell-Stewart, H. Scurvy-Characteristic Features and Forensic Issues. Am. J. Forensic Med. Pathol. 2019, 40, 43–46. [Google Scholar] [CrossRef]
- Basu, T.K.; Donaldson, D. SCURVY. In Encyclopedia of Food Sciences and Nutrition; Elsevier: Amsterdam, The Netherlands, 2003; pp. 5107–5111. [Google Scholar] [CrossRef]
- Hahn, T.; Adams, W.; Williams, K. Is Vitamin C Enough? A Case Report of Scurvy in a Five-Year-Old Girl and Review of the Literature. BMC Pediatr. 2019, 19, 1–6. [Google Scholar] [CrossRef]
- Sharp, W.G.; Berry, R.C.; Burrell, L.; Scahill, L.; McElhanon, B.O. Scurvy as a Sequela of Avoidant-Restrictive Food Intake Disorder in Autism: A Systematic Review. J. Dev. Behav. Pediatr. 2020, 41, 397–405. [Google Scholar] [CrossRef] [PubMed]
- Chapple, I.L.C.; Mealey, B.L.; Van Dyke, T.E.; Bartold, P.M.; Dommisch, H.; Eickholz, P.; Geisinger, M.L.; Genco, R.J.; Glogauer, M.; Goldstein, M.; et al. Periodontal Health and Gingival Diseases and Conditions on an Intact and a Reduced Periodontium: Consensus Report of Workgroup 1 of the 2017 World Workshop on the Classification of Periodontal and Peri-Implant Diseases and Conditions. J. Periodontol. 2018, 89, S74–S84. [Google Scholar] [CrossRef]
- Robitaille, L.; Hoffer, L.J. A Simple Method for Plasma Total Vitamin C Analysis Suitable for Routine Clinical Laboratory Use. Nutr. J. 2016, 15, 1–9. [Google Scholar] [CrossRef] [Green Version]
- Vaezipour, N.; Leibundgut, K. Nonalimental Scurvy with Relapse Symptoms after Stopping Oral Vitamin C Supplementation. Pediatrics 2018, 142, e20172139. [Google Scholar] [CrossRef]
- Willmott, N.S.; Bryan, R.A. Case Report: Scurvy in an Epileptic Child on a Ketogenic Diet with Oral Complications. Eur. Arch. Paediatr. Dent. 2008, 9, 148–152. [Google Scholar] [CrossRef] [PubMed]
- Saaiq, M.; Ashraf, B. Modifying “Pico” Question into “Picos” Model for More Robust and Reproducible Presentation of the Methodology Employed in A Scientific Study. World J. Plast. Surg. 2017, 6, 390–392. [Google Scholar]
- Shamseer, L.; Moher, D.; Clarke, M.; Ghersi, D.; Liberati, A.; Petticrew, M.; Shekelle, P.; Stewart, L.A.; Altman, D.G.; Booth, A.; et al. Preferred Reporting Items for Systematic Review and Meta-Analysis Protocols (Prisma-p) 2015: Elaboration and Explanation. BMJ (Online) 2015, 349, g7647. [Google Scholar] [CrossRef] [Green Version]
- Hinneburg, I. ROBINS-1: A Tool for Asssessing Risk of Bias in Non-Randomised Studies of Interventions. Available online: https://pubmed.ncbi.nlm.nih.gov/29952172/ (accessed on 20 April 2021).
- Romano, A.; Di Stasio, D.; Lauritano, D.; Lajolo, C.; Fiori, F.; Gentile, E.; Lucchese, A. Topical Photodynamic Therapy in the Treatment of Benign Oral Mucosal Lesions: A Systematic Review. J. Oral Pathol. Med. 2020, 50, 639–648. [Google Scholar] [CrossRef]
- Page, M.J.; Shamseer, L.; Tricco, A.C. Registration of Systematic Reviews in PROSPERO: 30,000 Records and Counting. Syst. Rev. 2018, 7, 1–9. [Google Scholar] [CrossRef]
- Kothari, P.; Tate, A.; Adewumi, A.; Kinlin, L.M.; Ritwik, P. The Risk for Scurvy in Children with Neurodevelopmental Disorders. Spec. Care Dent. 2020, 40, 251–259. [Google Scholar] [CrossRef]
- Ratanachu-Ek, S.; Jeerathanyasakun, Y.; Sukswai, P.; Wongtapradit, L. Scurvy in Pediatric Patients: A Review of 28 Cases. J. Med. Asso. Thail. 2003, 86, S734–S740. [Google Scholar]
- Lund, R.M.; Becker, M.L.; Shapiro, S.; Allison, T.; Harris, J.G. Scurvy Presenting with Limp and Weakness: A Case Report. BMC Pediatr. 2019, 19, 228. [Google Scholar] [CrossRef] [PubMed] [Green Version]
- Ma, N.S.; Thompson, C.; Weston, S. Brief Report: Scurvy as a Manifestation of Food Selectivity in Children with Autism. J. Autism Dev. Disord. 2016, 46, 1464–1470. [Google Scholar] [CrossRef] [PubMed]
- Brennan, C.M.; Atkins, K.A.; Druzgal, C.H.; Gaskin, C.M. Magnetic Resonance Imaging Appearance of Scurvy with Gelatinous Bone Marrow Transformation. Skelet. Radiol. 2012, 41, 357–360. [Google Scholar] [CrossRef] [PubMed]




| Search Topic | ||||||||
|---|---|---|---|---|---|---|---|---|
| #1 | and #10 | OR | #2 | and #10 | OR | #3 | and #10 | OR |
| and #11 | and #11 | and #11 | ||||||
| and #12 | and #12 | and #12 | ||||||
| and #13 | and #13 | and #13 | ||||||
| and #14 | and #14 | and #14 | ||||||
| and #15 | and #15 | and #15 | ||||||
| and #16 | and #16 | and #16 | ||||||
| #4 | and #10 | OR | #5 | and #10 | OR | #6 | and #10 | OR |
| and #11 | and #11 | and #11 | ||||||
| and #12 | and #12 | and #12 | ||||||
| and #13 | and #13 | and #13 | ||||||
| and #14 | and #14 | and #14 | ||||||
| and #15 | and #15 | and #15 | ||||||
| and #16 | and #16 | and #16 | ||||||
| #7 | and #10 | OR | #8 | and #10 | OR | #9 | and #10 | |
| and #11 | and #11 | and #11 | ||||||
| and #12 | and #12 | and #12 | ||||||
| and #13 | and #13 | and #13 | ||||||
| and #14 | and #14 | and #14 | ||||||
| and #15 | and #15 | and #15 | ||||||
| and #16 | and #16 | and #16 | ||||||
Publisher’s Note: MDPI stays neutral with regard to jurisdictional claims in published maps and institutional affiliations. |
© 2021 by the authors. Licensee MDPI, Basel, Switzerland. This article is an open access article distributed under the terms and conditions of the Creative Commons Attribution (CC BY) license (https://creativecommons.org/licenses/by/4.0/).
Share and Cite
Gicchino, M.F.; Romano, A.; Cioffi, S.; Fiori, F.; Miraglia del Giudice, E.; Lucchese, A.; Olivieri, A.N.; Serpico, R. Oral Manifestations in Scurvy Pediatric Patients: A Systematic Review and a Case Report. Appl. Sci. 2021, 11, 8323. https://doi.org/10.3390/app11188323
Gicchino MF, Romano A, Cioffi S, Fiori F, Miraglia del Giudice E, Lucchese A, Olivieri AN, Serpico R. Oral Manifestations in Scurvy Pediatric Patients: A Systematic Review and a Case Report. Applied Sciences. 2021; 11(18):8323. https://doi.org/10.3390/app11188323
Chicago/Turabian StyleGicchino, Maria Francesca, Antonio Romano, Speranza Cioffi, Fausto Fiori, Emanuele Miraglia del Giudice, Alberta Lucchese, Alma Nunzia Olivieri, and Rosario Serpico. 2021. "Oral Manifestations in Scurvy Pediatric Patients: A Systematic Review and a Case Report" Applied Sciences 11, no. 18: 8323. https://doi.org/10.3390/app11188323
APA StyleGicchino, M. F., Romano, A., Cioffi, S., Fiori, F., Miraglia del Giudice, E., Lucchese, A., Olivieri, A. N., & Serpico, R. (2021). Oral Manifestations in Scurvy Pediatric Patients: A Systematic Review and a Case Report. Applied Sciences, 11(18), 8323. https://doi.org/10.3390/app11188323

