Next Article in Journal
Closing Force Evaluation of a Sample Return Capsule for a Phobos Sample Return Mission
Previous Article in Journal
The Graphene Field Effect Transistor Modeling Based on an Optimized Ambipolar Virtual Source Model for DNA Detection
 
 
Font Type:
Arial Georgia Verdana
Font Size:
Aa Aa Aa
Line Spacing:
Column Width:
Background:
Article

Effects of Electron Beam Irradiation on Acaricide-Resistant and Susceptible Strains of Tetranychusurticae (Acari: Tetranychidae)

1
Department of Plant Medicine, College of Agriculture, Life and Environment Sciences, Chungbuk National University, Cheongju 28644, Korea
2
EB Tech Co., Ltd., Daejeon 34028, Korea
*
Author to whom correspondence should be addressed.
Appl. Sci. 2021, 11(17), 8116; https://doi.org/10.3390/app11178116
Submission received: 8 July 2021 / Revised: 26 August 2021 / Accepted: 29 August 2021 / Published: 31 August 2021

Abstract

Simple Summary

A lab-selected strain of the two-spotted spider mite, Tetranychus urticae Koch, exhibited strong resistance to acequinocyl, bifenazate, and etoxazole in comparison with a susceptible strain. This study compared the development and reproduction in acaricide-resistant and -susceptible strains of T. urticae by electron beam irradiation. Both T. urticae strains had similar radiosensitivities and 400 Gy could be used as a phytosanitary treatment for both strains of this species.

Abstract

The objective of our study was to compare the effects of electron beam irradiation on the development and reproduction of Tetranychus urticae strains that were susceptible or resistant to acequinocyl, bifenazate, and etoxazole. Electron beam irradiation (50–400 Gy) was applied to T. urticae eggs, nymphs, and adults, after which the hatching rate, the emergence rate, longevity, and fecundity were analyzed. Eggs of all the T. urticae strains were irradiated with 150 Gy, and none of them hatched. When protonymphs were irradiated with 300 Gy, oviposition and thus F1 hatchability in newly emerged adults were completely suppressed. The F1 hatching rate of irradiated adults began to markedly decrease with a dose of 200 Gy, and all strains experienced 100% inhibition at a dose of 400 Gy. Sodium dodecyl sulfate polyacrylamide gel electrophoresis (Sodium dodecyl sulfate polyacrylamide gel electrophoresis) showed substantial reductions in the levels of a 50 kDa protein in the susceptible and three resistant strains of T. urticae after irradiation with 400 Gy. These results indicate that a dose of 400 Gy was required to inhibit the normal development and reproduction of T. urticae, and susceptible and acaricide-resistant strains of T. urticae had identical radiosensitivities.

1. Introduction

The two-spotted spider mite, Tetranychus urticae, is known as a major pest that causes economic loss in agriculture and floriculture not only in Korea, but also worldwide, because it has a short life cycle and develops rapid resistance to acaricides [1,2,3]. T. urticae has developed resistance to most acaricides [4]. The resistance of mites has shifted from simple to complex, and cross-resistance has become quite complex [5].
Recently, ionizing radiation has become one of the most common quarantine treatments for insect pests, and it includes gamma-ray, X-ray, and electron beam radiation. Gamma radiation consists of high-energy photons that penetrate living cells and cause ionization. Electron beams and X-rays consist of electromagnetic radiation, ionizing radiation, and photons with energies similar to those of gamma rays. These ionizing radiations produce free radicals in cells when they interact with atoms or molecules. Ionizing radiation is used as a quarantine disinfection method against fruit flies before 10 different types of fruits and 5 types of vegetables are transported from Hawaii to mainland United States and is practically applied in many countries, including Thailand, Mexico, and India [6]. In Korea, ionizing radiation has been used for the disinfection of medical supplies, foods, and processed products, and in the semiconductor industry [7,8]. However, its active recent applications relate to the control of insect pests. According to the results of a previous study, ionizing radiation treatment causes abnormal development and reproduction rather than an immediate insecticidal effect, leading to infertility [9]. Ionizing radiation has a great advantage as a quarantine treatment method because it has a shorter processing time than fumigation treatment and does not leave behind any residues [10].
In previous studies, the susceptibility of insecticide-resistant insect pests to electron beams was studied with Rhyzopertha dominica [11]. Phosphine (PH3)-resistant R. dominica was more resistant than PH3-susceptible R. dominica to electron beam treatment. In other studies, there was no significant difference in the effect of electron beam irradiation between imidacloprid-susceptible and imidacloprid-resistant Aphis gossypii [12]. Therefore, we compared the effects of electron beam irradiation on the development and reproduction of strains of T. urticae that are susceptible or resistant to acequinocyl, bifenazate, and etoxazole. Our studies provide basic data for disinfection using ionizing radiation for floriculture and agricultural quarantine.

2. Materials and Methods

2.1. Test Mites

The susceptible (S) strain of T. urticae used in this study was established in 2005 in a laboratory at Chungbuk National University (Cheongju, South Korea) and was never exposed to any acaricide. The acequinocyl-resistant (AR) T. urticae population was collected at a rose plantation in Gimhae, Gyungnam, South Korea, in January 2001. The bifenazate-resistant (BR) T. urticae population was collected at a rose plantation in Chilgok, Gyungbuk, South Korea, in December 2000. The etoxazole-resistant (ER) T. urticae population was collected at a rose plantation in Buyeo, Chungnam, South Korea, in February 2000. These resistant strains were treated weekly with a range of concentrations corresponding to the LC30-LC50 values. Commercially formulated acequinocyl (15% Suspension concentrate), bifenazate (13.5% SC), and etoxazole (10% SC) were purchased from a farm supply store (Seowon Co., Cheongju, South Korea). Tetranychus urticae were reared at 25–27 °C in 40–60% RH under a 16L: 8D photoperiod. Kidney beans (Phaseolus vulgaris L.) were used as the host plants.

2.2. Preparation and Electron Beam Irradiation of Experimental Mites

Electron beam irradiation was conducted at EB-Tech Co., Ltd. (Daejeon, South Korea) using a high-energy linear accelerator (UELV10-10S, 10 MeV). The different developmental stages (eggs, nymphs, and adults) of T. urticae were treated with doses of 0 (control), 50, 100, 150, 200, 300, and 400 Gy. We based our choice of dose on previous studies [13,14]. Alanine pellet dosimeters were measured with a Bruker (ES 200-2106, Billerica, MA, USA). Twenty females of T. urticae adults were placed in a Petri dish (6.0 cm in diameter by 1.5 cm in height) with kidney bean leaf disks (3.5 cm diameter) on cotton wool soaked with water. The females were allowed to lay eggs for 12 h and were then removed. Twenty protonymphs were placed in a Petri dish under the same conditions used for the eggs. Twenty adult females (24 h after emergence) were placed in a Petri dish. For electron-beam-irradiated eggs, the emergence rate of larvae and the longevity and fecundity of emerged adults were recorded. The numbers of adults surviving after 2 days were also counted. For electron-beam-irradiated nymphs, emergence rate, longevity, and fecundity of emerged adults and hatchability of the eggs were recorded. For electron-beam-irradiated adults, longevity and fecundity and hatchability of the eggs were recorded. Data on untreated controls were also recorded. The treatment was repeated three times.

2.3. SDS-PAGE

The protein patterns in irradiated and nonirradiated T. urticae were evaluated using sodium dodecyl sulfate–polyacrylamide gel electrophoresis (SDS-PAGE). After 150 μL of cell lysis buffer (iNtRON, Seongnam, South Korea) was added to the mites and homogenized via sonication, the supernatants were then electrophoresed at 100 V on a 10% SDS-PAGE gel. After electrophoresis, the gel was stained with staining solution (100 mg of brilliant blue, 45 mL of methanol, 10 mL of glacial acetic acid, and 45 mL of distilled water) for 4 h at room temperature and destained with destaining solution (45 mL of methanol, 10 mL of glacial acetic acid, and 45 mL of distilled water).

2.4. Data Analysis

To estimate the parameters of the concentration–mortality line for each leaf-dip bioassay, the replica data were collected and analyzed using the probit model in the SAS program [15]. The LC50 values were considered different at p < 0.01. The effects of electron beam irradiation on hatchability, emergence rate, adult longevity, fecundity, and F1 egg hatching were compared by one-way analysis of variance (ANOVA) or general linear model (GLM). The means were separated by Tukey’s test. All statistical analyses were conducted using JMP (ver. 9.0.2; SAS Institute Inc., Cary, NC, USA.).

3. Results

3.1. Resistance Ratio of T. urticae to Acaricides

The susceptibility of T. urticae adult females to acequinocyl, bifenazate, and etoxazole was evaluated in the S, AR, BR, and ER strains (Table 1). The resistance ratios (RRs) of the AR, BR, and ER strains were >108.5-, >705.3-, and >5,000,000-fold higher than that of the S strain, respectively.

3.2. Effect of Electron Beam Irradiation on Eggs

The effects of electron beam irradiation on the eggs of the susceptible and three resistant strains of T. urticae are shown in Table 2. The hatching rate of all strains of T. urticae was partially reduced when an electron beam dose of 50 Gy was used. When the electron beam irradiation dose was 100 Gy, the hatching of the eggs of the susceptible strain of T. urticae was completely (100%) inhibited, and the hatching of eggs in the three resistant strains was markedly reduced but not fully inhibited. However, the hatching of all three resistant strains was completely inhibited with an electron beam dose of 150 Gy. The longevity of adults emerging from irradiated eggs tended to decrease at 50 Gy irradiation compared to 0 Gy in both the resistant and susceptible strains of T. urticae. The number of eggs laid decreased with increasing electron beam doses for the BR, ER, and susceptible strains of T. urticae. However, in the AR strain of T. urticae, the number of eggs laid was higher at 50 Gy than at 0 Gy but decreased again at 100 Gy. The F1 generation hatching rate for the AR, BR, and S strains of T. urticae tended to decrease as the electron beam dose increased, but the hatching rate of ER T. urticae was 91.2% at a 100 Gy dose. The emergence rate tended to decrease as the dose increased for all strains of T. urticae.

3.3. Effect of Electron Beam Irradiation on Nymphs

The effect of electron beam irradiation on T. urticae nymphs is shown in Table 3. Adult emergence showed a tendency to decrease slightly as the irradiation dose increased in all strains of T. urticae, and even at 400 Gy, the emergence rate was over 70%. At 300 Gy, the AR strain had a statistically lower emergence rate than that of the susceptible strain. The longevity of adults from irradiated nymphs was increased compared to the control group (0 Gy), except for the ER strain at 200 Gy. The number of eggs laid by all strains of T. urticae tended to decrease with increasing electron beams doses. The number of eggs laid by the BR strain of T. urticae was completely inhibited at 300 Gy. The number of eggs laid by the susceptible, AR, and ER strains of T. urticae was zero after a 400 Gy electron beam dose. The hatching rate of the F1 generation began to decrease rapidly at 200 Gy. For the BR strain, the hatching rate was zero at 100 Gy. The hatching rate of all strains of T. urticae was totally suppressed at 300 Gy.

3.4. Effect of Electron Beam Irradiation on Adults

The effect of electron beam irradiation on T. urticae adults is shown in Table 4. Electron beam irradiation had no significant effect on adult longevity in all strains of T. urticae. With 400 Gy irradiation, egg laying was not completely inhibited, but hatching was not successful. At 300 Gy, all strains spawned, but the ER and AR strains did not hatch.

3.5. Changes in Protein Synthesis Caused by Electron Beam Irradiation

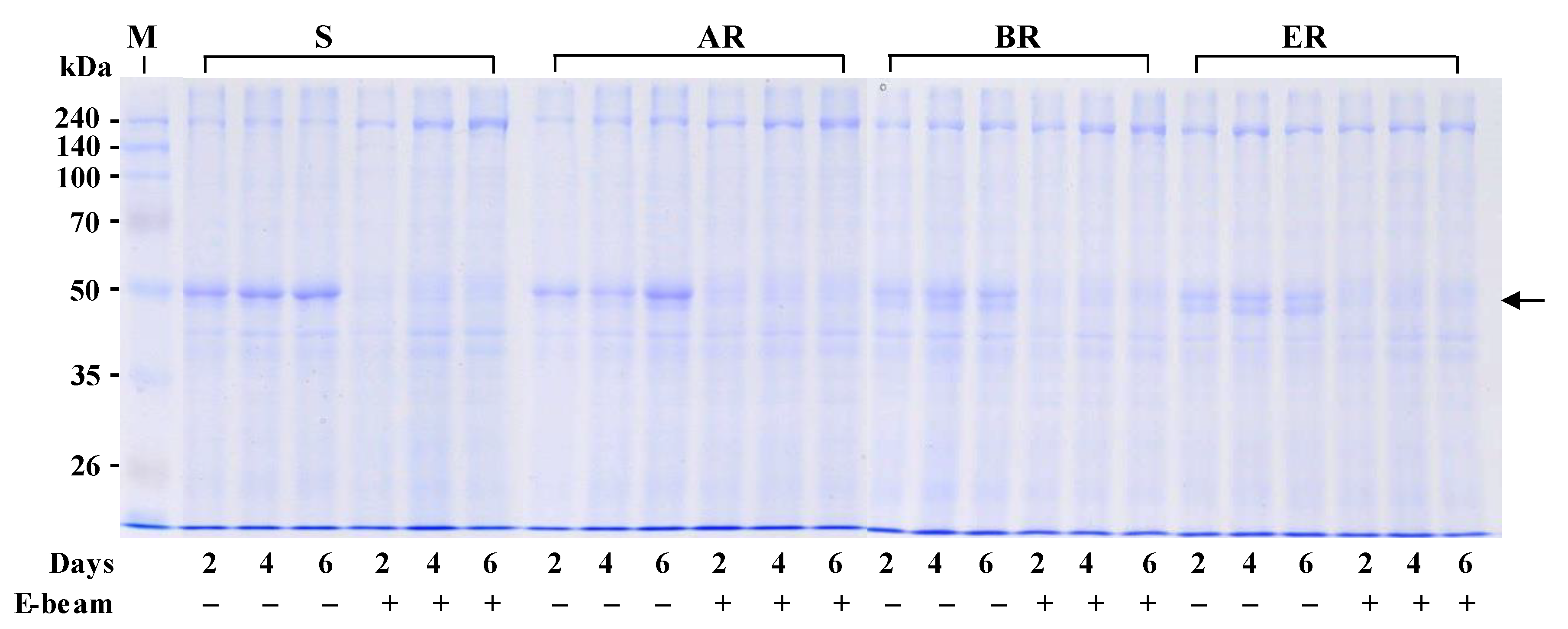
We investigated the effect of electron beam irradiation on the changes in protein synthesis of adults of the S and resistant strains of T. urticae. SDS-PAGE analysis of all strains irradiated with an electron beam dose of 400 Gy indicated that the amount of the protein at approximately 50 kDa was reduced (Figure 1). However, there was no difference between resistant and S strains of T. urticae. In addition, no obvious changes in the levels of proteins of other sizes were detected.

4. Discussion

Based on this study, we confirmed that electron beam irradiation almost equally inhibits the normal development and reproduction in acaricide-resistant and susceptible strains of two-spotted mites. Tetranychus urticae is usually controlled by pesticides and exhibits a characteristic resistance associated with its short life cycle. In this study, we investigated the effect of electron beam irradiation on the egg, protonymph, and adult stages of T. urticae strains with 100-, 700-, and 5,000,000-fold greater resistance than the susceptible strain to acequinocyl, bifenazate and etoxazole, respectively. It has been reported that even though the electron beam is less penetrative than gamma rays, it can effectively control insect pests and prevent decay when used on cereals, nuts, spices, dried vegetables, tea leaves, and a few types of germinating seeds [16,17]. A previous study also reported that insect pests resistant to insecticides exhibit resistance to ionizing radiation. According to Hasan et al. [11], R. dominica exhibiting resistance to a phosphine fumigant was more highly resistant to electron beams and gamma rays than the susceptible strains of R. dominica. Another study showed that phosphine-resistant strains of Tribolium castaneum (Herbst) (Coleoptera: Tenebrionidae) were more tolerant to gamma rays compared with a susceptible strain [18]. Phosphine induces the formation of reactive oxygen radicals, which also generate other radical species [19]. It has been reported that phosphine-resistant insects with mechanisms to prevent oxidative damage also exhibit resistance to electron beams. Therefore, in this study, we investigated whether acaricide-resistant T. urticae also exhibited resistance to electron beam irradiation. As a result, there were some differences between the resistant and susceptible strains of T. urticae, but these did not significantly affect the overall conclusion. The hatching rate of eggs of all strains of T. urticae decreased with increasing electron beam irradiation dose. Hatching was suppressed completely at 150 Gy. The number of eggs laid by adults (successfully hatched) of BR, ER, and S strains of T. urticae decreased as the irradiation dose increased; however, when the AR strain was irradiated with 50 Gy, the number of eggs increased and then decreased again at 100 Gy, suggesting a resurgence of the insect pests. We confirmed that the emergence of adults from irradiated nymphs was not significantly affected by electron beam irradiation except for the AR strain at 300 Gy. In addition, at 200 Gy, the longevity of the ER strains decreased significantly, but there was no significant difference in the other groups. Although significant results were obtained for each group, the goal of our study was to determine whether acaricide-resistant mites were also resistant to electron beam irradiation. From this point of view, there were no significant results overall. In our previous study results, there was no effect of electron beam irradiation on the susceptible and insecticide-resistant cotton aphids [20].
Since electron beam irradiation induces abnormal reproduction and development in insect pests depending on the insect species and stage of development, a large amount of basic data is required for ionizing radiation to be utilized for quarantine disinfection. In a previous study, many researchers reported the effects of gamma-ray, X-ray, and electron beam irradiation on Plutella xylostella (Linnaeus) (Lepidoptera: Plutellidae), Myzus persicae (Sulzer) (Hemiptera: Aphididae), Bemisia tabaci (Gennadius) (Hemiptera: Aleyrodidae), Liriomyza trifolii (Burgess) (Diptera: Agromyzidae), Spodoptera litura (F.) (Lepidoptera: Noctuidae), Frankliniella intonsa (Trybom) (Thysanoptera: Thripidae), Drosophila suzukii (Matsumura) (Diptera: Drosophilidae), and Helicoverpa armigera Hübner (Lepidoptera: Noctuidae) [12,13,14,21,22,23,24,25,26,27,28]. In addition, intracellular DNA was also damaged by ionizing irradiation [19,20,28]. Because of this principle, low-dose irradiation has been used in the sterile insect technique (SIT) [29,30,31].
High-dose electron beam irradiation may result in faster lethal effects than low-dose irradiation and may induce phytotoxicity. Consequently, it is important to provide the optimal dose to induce abnormal development and reproduction (or infertility) in insect pests without causing any phytotoxicity when using electron beams for disinfection of agricultural products and flowers. It is also necessary to find the most resistant stage of development. Among the developmental stages of two-spotted mites, the most resistant stage to electron beams is the adult. Therefore, a dose of 100 Gy that is effective for eggs cannot control T. urticae adults. The International Atomic Energy Agency (IAEA) provides recommended doses to users based on these basic data.
Electron beam irradiation is an environmentally friendly, chemical-free alternative method that is increasing in use for the disinfestation of insect pests. There are no radioactive sources needed, so there are no security, transportation, or disposal concerns. It has a faster dose rate than gamma rays, so there is a reduced risk of product damage. Electron beam irradiation provides quick-turn terminal sterilization with simple on/off technology. However, so far, ionizing irradiation for quarantine disinfection treatment, it is possible only if the other country permits it.
When investigating the differences in protein synthesis of the adult female T. urticae irradiated with 400 Gy, we confirmed that the level of a 50 kDa protein was markedly reduced in both the susceptible and resistant strains. The levels of proteins of different sizes did not show significant changes with electron beam dose, and no significant differences in the protein profiles of the resistant and susceptible strains were detected following electron beam irradiation. The identification of the 50 kDa protein should be analyzed in further studies using matrix-assisted laser desorption ionization-time of flight.
Therefore, by inhibiting the normal development and reproduction of both susceptible and acaricide-resistant strains, 400 Gy electron beam irradiation seems to be useful for quarantine disinfection of T. urticae. In the future, it is necessary to investigate the differences between acaricide-resistant and susceptible strains by studying their molecular mechanisms of protein synthesis and enzyme activity.

Author Contributions

Conceptualization, H.-N.K. and G.-H.K.; methodology, H.-N.K.; software, S.-R.C.; validation, Y.K.; formal analysis, W.-J.K.; investigation, J.-H.O. and J.-C.J.; data curation, H.-N.K.; writing—original draft preparation, H.-N.K. and J.-H.O.; writing—review and editing, G.-H.K.; supervision, G.-H.K.; funding acquisition, G.-H.K. All authors have read and agreed to the published version of the manuscript.

Funding

This study was supported by a grant from the Korea Atomic Energy Research Institute and the Animal and Plant Quarantine Agency in South Korea.

Institutional Review Board Statement

Not applicable.

Informed Consent Statement

Not applicable.

Data Availability Statement

The data presented in this study are available on request from the corresponding author.

Conflicts of Interest

The authors declare no conflict of interest.

References

  1. Asada, M. Genetics and biochemical mechanisms of acaricide resistance in phytophagous mights. J. Pestic. Sci. 1978, 3, 61–68. [Google Scholar] [CrossRef][Green Version]
  2. Takafuji, A.; Ozawa, A.; Nemoto, H.; Gotoh, T. Spider mites of Japan: Their biology and control. Exp. Appl. Acarol. 2000, 24, 319–335. [Google Scholar] [CrossRef]
  3. Lee, Y.S.; Song, M.H.; Ahn, K.S.; Lee, K.Y.; Kim, J.W.; Kim, G.H. Monitoring of acaricide resistance in two-spotted spider mite (Tetranychus urticae) populations from Rose Greenhouses in Korea. J. Asia-Pac. Entomol. 2003, 6, 91–96. [Google Scholar] [CrossRef]
  4. Whalon, M.E.; Mota-Sanchez, D.; Hollingworth, R.M.; Duynslager, L. Arthropod Pesticide Resistance Database. Available online: http://www.pesticideresistance.org (accessed on 21 January 2009).
  5. Kim, G.H.; Song, C.; Park, N.J.; Cho, K.Y. Inheritance if resistance in dicofol-selected strain of the two-spotted spider mite, Tetranychus urticae Koch (Acarina: Tetranychidae), and its cross resostance. Korean J. Appl. Entomol. 1994, 33, 230–236. [Google Scholar]
  6. Follett, P.A. Irradiation to control insects in fruits and vegetables for export from Hawaii. Radiat. Phys. Chem. 2004, 71, 163–166. [Google Scholar] [CrossRef]
  7. Park, J.H.; Lee, J.M.; Lee, S.C. Effect of electron-beam irradiation on the characteristics of green tea (Camellia sinensis L.). J. Korean Soc. Food Sci. Nutr. 2006, 35, 774–779. [Google Scholar] [CrossRef]
  8. Moon, S.R.; Son, B.K.; Yang, J.O.; Woo, J.S.; Yoon, C.M.; Kim, G.H. Effect of electron-beam irradiation on development and reproduction of Bemisia tabaci, Myzus persicae, Plutella xylostella and Tetranychus urticae. Korean J. Appl. Entomol. 2010, 49, 129–137. [Google Scholar] [CrossRef][Green Version]
  9. Barkai-Golan, R.; Follett, P.A. Irradiation for Quality Improvement, Microbial Safety and Phytosanitation of Fresh Produce; Academic Press: San Diego, CA, USA, 2017. [Google Scholar]
  10. Osouli, S.; Ziaie, F.; Irani Nejad, K.H.; Moghaddam, M. Application of gamma irradiation on eggs, active and quiescence stages of Tetranychus urticae Koch as a quarantine treatment of cut flowers. Radiat. Phys. Chem. 2013, 90, 111–119. [Google Scholar] [CrossRef]
  11. Hasan, M.M.; Todoriki, S.; Miyanoshita, A.; Imamura, T.; Hayashi, T. Soft-electron beam and gamma-radiation sensitivity and DNA damage in phosphine-resistant and -susceptible strains of Rhyzopertha dominica. J. Econ. Entomol. 2006, 99, 1912–1919. [Google Scholar] [CrossRef]
  12. Yun, S.H.; Koo, H.N.; Kim, H.K.; Cho, S.; Kim, G.H. Effects of electron beam irradiation on six insect pests in different sections of flower boxes for export. J. Asia-Pac. Entomol. 2015, 18, 629–636. [Google Scholar] [CrossRef]
  13. Koo, H.N.; Yun, S.H.; Yoon, C.; Kim, G.H. Electron beam irradiation induces abnormal development and the stabilization of p53 protein of American serpentine leafminer, Liriomyza trifolii (Burgess). Radiat. Phys. Chem. 2012, 81, 86–92. [Google Scholar] [CrossRef]
  14. Yun, S.H.; Lee, S.W.; Koo, H.N.; Kim, G.H. Assessment of electron beam-induced abnormal development and DNA damage in Spodoptera litura (F.) (Lepidoptera: Noctuidae). Radiat. Phys. Chem. 2014, 96, 44–49. [Google Scholar] [CrossRef]
  15. SAS Institute. SAS/STAT User’s Guide: Statistics, Version 9.1; SAS Institute: Cary, NC, USA, 2003. [Google Scholar]
  16. Hayashi, T.; Todoriki, S.S. Low energy electron irradiation of food for microbial control. In Irradiation for Food Safety and Quality; Loaharanu, P., Thomas, P., Eds.; Technomic Publishing: Lancaster, PA, USA, 2001; pp. 118–128. [Google Scholar]
  17. Todoriki, S.; Kikuchi, O.K.; Nakaoka, M.; Miike, M.; Hayashi, T. Soft electron (low energy electron) processing of foods for microbial control. Radiat. Phys. Chem. 2002, 63, 349–351. [Google Scholar] [CrossRef]
  18. Nakakita, H.; Hayashi, T.; Aoki, S.; Kawashima, K. Radiosensitivity of phosphine-resistant and susceptible strains of the ßour beetle, Tribolium castaneum (Herbst) (Coleoptera: Tenebrionidae). Jpn. J. Appl. Entomol. Zool. 1985, 29, 242–246. [Google Scholar] [CrossRef]
  19. Hsu, C.H.; Chi, B.C.; Liu, M.Y.; Li, J.H.; Chen, C.J.; Chen, R.Y. Phosphine-induced oxidative damage in rats: Role of glutathione. Toxicology 2002, 179, 1–8. [Google Scholar] [CrossRef]
  20. Yun, S.H.; Koo, H.N.; Lee, S.W.; Kim, H.K.; Kim, Y.; Han, B.; Kim, G.H. A comparative study on the effects of electron beam irradiation on imidacloprid-resistant and-susceptible Aphis gossypii (Hemiptera: Aphididae). Radiat. Phys. Chem. 2015, 112, 151–157. [Google Scholar] [CrossRef]
  21. Koo, H.N.; Yoon, S.H.; Shin, Y.H.; Yoon, C.; Woo, J.S.; Kim, G.H. Effect of electron beam irradiation on developmental stages of Plutella xylostella (Lepidoptera: Plutellidae). J. Asia-Pac. Entomol. 2011, 14, 243–247. [Google Scholar] [CrossRef]
  22. Koo, H.N.; Yun, S.H.; Kim, H.J.; Kim, H.K.; Kim, G.H. X-ray irradiation control of Frankliniella occidentalis and Frankliniella intonsa (Thysanoptera: Thripidae) in the exportation of freshly cut lily flowers. J. Econ. Entomol. 2017, 110, 416–420. [Google Scholar] [CrossRef]
  23. Koo, H.N.; Yun, S.H.; Kim, H.; Kim, G.H. Elucidation of molecular expression associated with abnormal development and sterility caused by electron beam irradiation in Spodoptera litura (F.) (Lepidoptera: Noctuidae). Int. J. Radiat. Biol. 2019, 95, 360–367. [Google Scholar] [CrossRef]
  24. Yun, S.H.; Koo, H.N.; Kim, H.K.; Yang, J.O.; Kim, G.H. X-ray irradiation as a quarantine treatment for the control of six insect pests in cut flower boxes. J. Asia-Pac. Entomol. 2016, 19, 31–38. [Google Scholar] [CrossRef]
  25. Cho, S.R.; Kim, M.; Shin, E.; Kim, H.K.; Koo, H.N.; Kim, G.H. X-ray irradiation-induced abnormal development and DNA damage in Phthorimaea operculella (Lepidoptera: Gelechiidae). Appl. Sci. 2021, 11, 5068. [Google Scholar] [CrossRef]
  26. Kim, J.H.; Kim, J.M.; Park, C.G. X-ray radiation and developmental inhibition of Drosophila suzukii (Matsumura) (Diptera: Drosophilidae). Int. J. Radiat. Biol. 2016, 92, 849–854. [Google Scholar] [CrossRef] [PubMed]
  27. Kim, J.; Jung, S.O.; Jang, S.A.; Kim, J.; Park, C.G. X-ray radiation and development inhibition of Helicoverpa armigera Hübner (Lepidoptera: Noctuidae). Radiat. Phys. Chem. 2015, 115, 148–152. [Google Scholar] [CrossRef]
  28. Kim, J.; Chung, S.O.; Jang, M.; Jang, S.A.; Park, C.G. Developmental inhibition and DNA damage of Helicoverpa armigera Hübner (Lepidoptera: Noctuidae) by gamma radiation. Int. J. Radiat. Biol. 2015, 91, 827–832. [Google Scholar] [CrossRef]
  29. Bakri, A.; Mehta, K.; Lance, D.R. Sterilizing insects with ionizing radiation. In Sterile Insect Technique. Principles and Practice in Areawide Integrated Pest Management; Dyck, V.A., Hendrichs, J., Robinson, A.S., Eds.; Springer: Dordrecht, The Netherlands, 2005; pp. 233–268. [Google Scholar]
  30. Bakri, A.; Heather, N.; Hendrichs, J.; Ferris, I. Fifty years of radiation biology in entomology: Lessons learned from IDIDAS. Ann. Entomol. Soc. Am. 2005, 98, 1–12. [Google Scholar] [CrossRef]
  31. Bloem, K.A.; Bloem, S.; Carpenter, J. Impact of moth suppression/eradication programmes using the sterile insect technique or inherited sterility. In Sterile Insect Technique. Principles and Practice in Areawide Integrated Pest Management; Dyck, V.A., Hendrichs, J., Robinson, A.S., Eds.; Springer: Dordrecht, The Netherlands, 2005; pp. 677–700. [Google Scholar]
Figure 1. Changes in the expression of T. urticae proteins induced by electron beam irradiation. Protein was harvested from the S, AR, BR, and ER strains at 2, 4, and 6 days after electron beam irradiation (400 Gy) and analyzed by 10% SDS-PAGE. M, protein size marker; S, susceptible strain; AR, acequinocyl-resistant strain; BR, bifenazate-resistant strain; ER, etoxazole-resistant strain.
Figure 1. Changes in the expression of T. urticae proteins induced by electron beam irradiation. Protein was harvested from the S, AR, BR, and ER strains at 2, 4, and 6 days after electron beam irradiation (400 Gy) and analyzed by 10% SDS-PAGE. M, protein size marker; S, susceptible strain; AR, acequinocyl-resistant strain; BR, bifenazate-resistant strain; ER, etoxazole-resistant strain.
Applsci 11 08116 g001
Table 1. Resistance ratio of T. urticae against three types of acaricides.
Table 1. Resistance ratio of T. urticae against three types of acaricides.
AcaricideStrainLC50 (ppm, 95% CL a)RR b
AcequinocylAR>2400>108.5
S22.0 (19.1–25.5)1.0
BifenazateBR>1340>705.3
S1.9 (1.6–2.3)1.0
EtoxazoleER>5000>5,000,000
S0.0011 (0.0008–0.0014)1.0
a CL, confidence limit. b RR, resistance ratio = LC50 of the resistant strain/LC50 of the susceptible strain.
Table 2. Effect of electron beam irradiation on eggs of the AR, BR, ER, and S strains of T. urticae.
Table 2. Effect of electron beam irradiation on eggs of the AR, BR, ER, and S strains of T. urticae.
Dose (Gy)StrainHatchability (%)Adult Longevity (Day)No. of Eggs (♀/Total)Hatchability (F1, %)Emergence Rate (%)
150AR0.0 ± 0.0 a a----
BR0.0 ± 0.0 a----
ER0.0 ± 0.0 a----
S0.0 ± 0.0 a----
100AR8.8 ± 11.1 a10.9 ± 3.9 cd29.3 ± 17.2 abc50.5 ± 20.0 a32.5 ± 4.6 a
BR14.7 ± 20.4 ab4.4 ± 0.8 abcd3.8 ± 7.1 a72.9 ± 19.2 b-
ER14.1 ± 24.3 ab6.0 ± 1.9 ab7.9 ± 11.1 ab91.2 ± 10.4 bc-
S0.0 ± 0.0 a----
50AR62.2 ± 35.1 cd6.2 ± 3.4 abcd51.6 ± 22.5 bc88.7 ± 6.9 bc85.6 ± 20.4 b
BR47.0 ± 40.2 bc4.9 ± 3.0 a27.6 ± 26.2 abc92.0 ± 7.0 c85.7 ± 4.3 b
ER82.6 ± 13.0 cd3.9 ± 2.3 abcd11.5 ± 17.6 ab93.4 ± 10.9 c74.4 ± 17.6 b
S93.7 ± 2.1 d3.6 ± 1.8 abc2.3 ± 3.1 a86.5 ± 15.9 bc80.1 ± 7.9 b
0AR92.4 ± 9.1 d8.8 ± 4.0 bcd46.7 ± 28.8 c95.1 ± 4.1 c91.7 ± 7.0 b
BR94.6 ± 3.5 d7.0 ± 2.9 abcd37.8 ± 30.3 bc93.0 ± 8.8 c83.5 ± 4.7 b
ER87.6 ± 8.4 d7.4 ± 2.9 d49.7 ± 19.4 c92.3 ± 11.3 c96.0 ± 4.6 b
S93.1 ± 5.6 d7.8 ± 2.6 bcd44.6 ± 22.7 c92.6 ± 6.7 c89.1 ± 18.2 b
a Means followed by the same letter did not differ significantly (Tukey test, p > 0.05). Adapted from Ref. [15].
Table 3. Effect of electron beam irradiation on nymphs of the AR, BR, ER, and S strains of T. urticae.
Table 3. Effect of electron beam irradiation on nymphs of the AR, BR, ER, and S strains of T. urticae.
Dose (Gy)StrainEmergence Rate (%)Adult Longevity (Day)No. of Eggs (♀/Total)Hatchability (F1, %)
400AR71.4 ± 2.0 a a12.3 ± 3.8 abcde0.0 ± 0.0 a-
BR72.6 ± 0.7 abc9.5 ± 3.1 abcd0.0 ± 0.0 a-
ER73.2 ± 2.5 abc9.6 ± 4.7 abcde0.0 ± 0.0 a-
S77.1 ± 1.6 abcde11.7 ± 5.2 abcde0.0 ± 0.0 a-
300AR72.2 ± 1.0 ab11.5 ± 5.9 abcde0.1 ± 0.3 a0.0 ± 0.0 a
BR75.2 ± 4.2 abcd14.4 ± 7.8 bcde0.0 ± 0.0 a-
ER82.1 ± 3.8 abcdef10.1 ± 3.6 abcde0.1 ± 0.3 a0.0 ± 0.0 a
S88.4 ± 2.0 def14.1 ± 6.5 cde1.3 ± 3.6 a0.0 ± 0.0 a
200AR84.5 ± 4.3 abcdef14.4 ± 6.6 de3.4 ± 5.6 ab6.4 ± 11.2 a
BR86.8 ± 0.7 cdef11.9 ± 7.2 abcde9.3 ± 9.0 abc0.7 ± 2.2 a
ER83.3 ± 0.6 abcdef9.7 ± 4.7 abcd7.1 ± 7.6 ab0.0 ± 0.0 a
S84.8 ± 3.9 abcdef15.5 ± 7.0 e5.5 ± 5.9 ab6.3 ± 10.8 a
100AR84.8 ± 2.7 abcdef8.8 ± 3.3 abcde25.1 ± 19.3 cd57.9 ± 17.2 bc
BR86.4 ± 3.1 bcdef8.9 ± 4.5 abcde5.3 ± 6.4 ab0.0 ± 0.0 a
ER87.8 ± 4.0 def8.9 ± 4.1 abcde19.5 ± 10.2 bc44.8 ± 23.2 b
S85.7 ± 6.2 abcdef7.0 ± 3.3 a5.1 ± 5.2 ab81.8 ± 22.0 cd
0AR89.9 ± 5.2 ef9.0 ± 3.1 abcde41.2 ± 17.2 d92.8 ± 3.5 d
BR85.9 ± 4.4 bcdef8.7 ± 3.1 abc41.1 ± 23.9 d94.5 ± 4.8 d
ER93.9 ± 5.8 f9.7 ± 3.0 abcde37.4 ± 9.8 d96.9 ± 2.9 d
S88.4 ± 4.2 def8.4 ± 1.8 ab41.4 ± 19.1 d91.3 ± 8.7 d
a Means followed by the same letter did not differ significantly (Tukey test, p > 0.05). Adapted from Ref. [15].
Table 4. Effect of electron beam irradiation on adults of the AR, BR, ER, and S strains of T. urticae.
Table 4. Effect of electron beam irradiation on adults of the AR, BR, ER, and S strains of T. urticae.
Dose (Gy)StrainAdult Longevity (Day)No. of Eggs (♀/Total)Hatchability (F1, %)
400AR9.9 ± 4.2 ab a25.3 ± 7.6 abc0.0 ± 0.0 a
BR9.9 ± 4.6 ab23.7 ± 7.6 ab0.0 ± 0.0 a
ER7.7 ± 3.4 ab26.0 ± 13.8 abc0.0 ± 0.0 a
S9.3 ± 4.8 ab27.9 ± 3.4 abc0.0 ± 0.0 a
300AR40.3 ± 4.3 b25.6 ± 10.7 abc0.0 ± 0.0 a
BR8.3 ± 3.9 ab21.3 ± 5.8 a0.7 ± 2.6 a
ER7.5 ± 2.3 ab23.2 ± 7.6 abc0.0 ± 0.0 a
S7.3 ± 1.8 ab33.5 ± 10.6 abc7.8 ± 4.0 a
200AR9.5 ± 4.8 ab27.8 ± 12 abc1.5 ± 3.1 a
BR9.4 ± 4.4 ab35.8 ± 11.8 abc7.5 ± 11.3 a
ER7.5 ± 1.5 ab23.8 ± 8.9 ab1.5 ± 2.2 a
S6.7 ± 2.0 a28.4 ± 7.9 abc0.2 ± 0.7 a
100AR8.3 ± 3.7 ab41.5 ± 25.4 bc50.3 ± 32.8 b
BR9.1 ± 4.4 ab39.0 ± 16.4 abc49.4 ± 18.7 b
ER6.9 ± 1.3 a27.0 ± 13.9 abc54.6 ± 28.5 b
S6.8 ± 2.0 a29.2 ± 8.0 abc73.1 ± 7.7 c
0AR8.2 ± 1.8 ab36.6 ± 14.9 abc88.0 ± 10.9 cd
BR8.5 ± 2.8 ab43.8 ± 17.3 c91.9 ± 4.9 d
ER8.5 ± 3.4 ab30.5 ± 18.0 abc86.9 ± 11 cd
S8.2 ± 3.5 ab32.1 ± 9.6 abc97.9 ± 2.3 d
a Means followed by the same letter did not differ significantly (Tukey test, p > 0.05). Adapted from Ref. [15].
Publisher’s Note: MDPI stays neutral with regard to jurisdictional claims in published maps and institutional affiliations.

Share and Cite

MDPI and ACS Style

Koo, H.-N.; Oh, J.-H.; Jeon, J.-C.; Kang, W.-J.; Cho, S.-R.; Kim, Y.; Kim, G.-H. Effects of Electron Beam Irradiation on Acaricide-Resistant and Susceptible Strains of Tetranychusurticae (Acari: Tetranychidae). Appl. Sci. 2021, 11, 8116. https://doi.org/10.3390/app11178116

AMA Style

Koo H-N, Oh J-H, Jeon J-C, Kang W-J, Cho S-R, Kim Y, Kim G-H. Effects of Electron Beam Irradiation on Acaricide-Resistant and Susceptible Strains of Tetranychusurticae (Acari: Tetranychidae). Applied Sciences. 2021; 11(17):8116. https://doi.org/10.3390/app11178116

Chicago/Turabian Style

Koo, Hyun-Na, Jin-Hyun Oh, Jong-Chan Jeon, Won-Jin Kang, Sun-Ran Cho, Yuri Kim, and Gil-Hah Kim. 2021. "Effects of Electron Beam Irradiation on Acaricide-Resistant and Susceptible Strains of Tetranychusurticae (Acari: Tetranychidae)" Applied Sciences 11, no. 17: 8116. https://doi.org/10.3390/app11178116

APA Style

Koo, H.-N., Oh, J.-H., Jeon, J.-C., Kang, W.-J., Cho, S.-R., Kim, Y., & Kim, G.-H. (2021). Effects of Electron Beam Irradiation on Acaricide-Resistant and Susceptible Strains of Tetranychusurticae (Acari: Tetranychidae). Applied Sciences, 11(17), 8116. https://doi.org/10.3390/app11178116

Note that from the first issue of 2016, this journal uses article numbers instead of page numbers. See further details here.

Article Metrics

Back to TopTop