A Comparison of Manual Nylon Bristle Toothbrushes versus Thermoplastic Elastomer Toothbrushes in Terms of Cleaning Efficacy and the Biological Potential Role on Gingival Health
Abstract
Featured Application
Abstract
1. Introduction
2. Materials and Methods
2.1. Participants
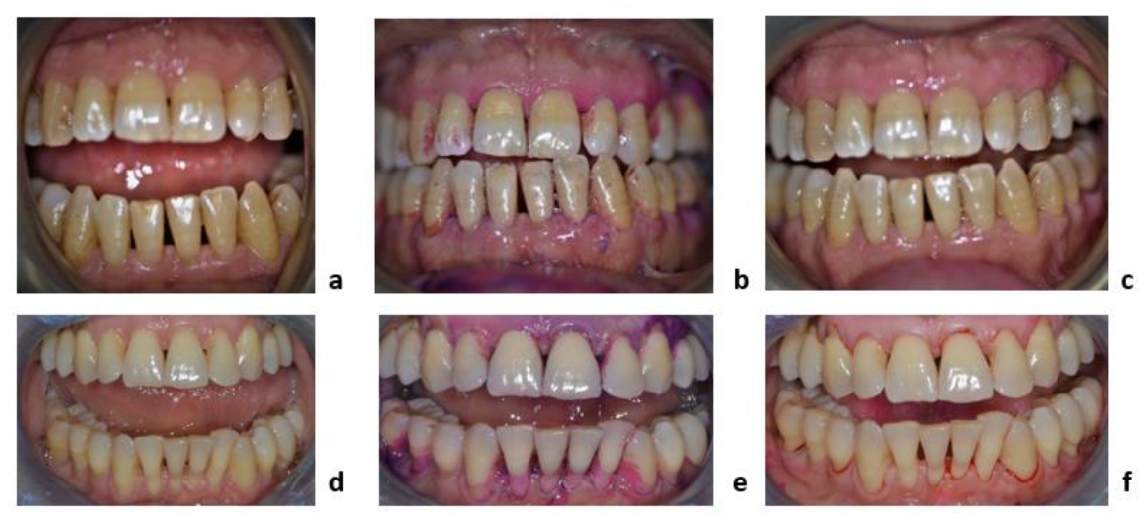
2.2. Experimental Design
2.3. Clinical Parameters
2.3.1. Plaque Index: (Silness and Loe)
2.3.2. Simplified Oral Hygiene Index (Greene and Vermillion)
2.3.3. Gingival Abrasion Assessment
2.3.4. Statistical Analysis
3. Results
4. Discussion
5. Conclusions
Author Contributions
Funding
Institutional Review Board Statement
Informed Consent Statement
Data Availability Statement
Conflicts of Interest
Abbreviations
References
- Naik, S.P.; Punathil, S.; Shetty, P.; Jayanti, I.; Jalaluddin, M.; Avijeeta, A. Effectiveness of Different Bristle Designs of Toothbrushes and Periodontal Status among Fixed Orthodontic Patients: A Double-blind Crossover Design. J. Contemp. Dent. Pract. 2018, 19, 150–155. [Google Scholar] [CrossRef]
- Cugini, M.; Warren, P.R. The Oral-B CrossAction manual toothbrush: A 5-year literature review. J. Can. Dent. Assoc. 2006, 72, 323. [Google Scholar] [PubMed]
- Ranzan, N.; Muniz, F.W.M.G.; Rösing, C.K. Are bristle stiffness and bristle end-shape related to adverse effects on soft tissues during toothbrushing? A systematic review. Int. Dent. J. 2019, 69, 171–182. [Google Scholar] [CrossRef] [PubMed]
- Petersen, P.E.; Ogawa, H. The global burden of periodontal disease: Towards integration with chronic disease prevention and control. Periodontology 2000 2012, 60, 15–39. [Google Scholar] [CrossRef]
- Yankell, S.L.; Shi, X.; Emling, R.C.; Bucker, R.; Loudin, S. Laboratory evaluation of two bi-level toothbrush products for subgingival access and gingival margin cleaning. J. Clin. Dent. 2000, 11, 20–23. [Google Scholar] [PubMed]
- Inchingolo, A.D.; Di Cosola, M.; Inchingolo, A.M.; Greco Lucchina, A.; Malcangi, G.; Pettini, F.; Scarano, A.; Bordea, I.R.; Hazballa, D.; Lorusso, F.; et al. Correlation between occlusal trauma and oral microbiota: A microbiological investigation. J. Biol. Regul. Homeost. Agents 2021, 35, 295–302. [Google Scholar] [CrossRef]
- Dipalma, G.; Inchingolo, A.D.; Inchingolo, F.; Charitos, I.A.; Di Cosola, M.; Cazzolla, A.P. Focus on the cariogenic process: Microbial and biochemical interactions with teeth and oral environment. J. Biol. Regul. Homeost. Agents 2021, 35, 2. [Google Scholar] [CrossRef]
- Claydon, N. Current concepts in toothbrushing and interdental cleaning. Periodontology 2000 2008, 48, 10–22. [Google Scholar] [CrossRef] [PubMed]
- Heikkinen, A.M.; Raisanen, I.T.; Tervahartiala, T.; Sorsa, T. Cross-sectional analysis of risk factors for subclinicalperiodontitis; active matrix metalloproteinase-8 as a potentialindicator in initial periodontitis in adolescents. J. Periodontol. 2019, 90, 484–492. [Google Scholar] [CrossRef] [PubMed]
- Cifcibasi, E.; Koyuncuoglu, C.Z.; Baser, U.; Bozacioglu, B.; Kasali, K.; Cintan, S. Comparison of manual toothbrushes with different bristle designs in terms of cleaning efficacy and potential role on gingival recession. Eur. J. Dent. 2014, 08, 395–401. [Google Scholar] [CrossRef] [PubMed]
- Cirulli, N.; Cantore, S.; Ballini, A.; Perillo, L.; Giannico, O.V.; Tafuri, S.; De Vito, D.; De Vito, D. Prevalence of caries and dental malocclusions in the apulian paediatric population: An epidemiological study. Eur. J. Paediatr. Dent. 2019, 20, 100–104. [Google Scholar] [CrossRef] [PubMed]
- Watts, A.; Kurokawa, N.; Hillmyer, M.A. Strong, Resilient, and Sustainable Aliphatic Polyester Thermoplastic Elastomers. Biomacromolecules 2017, 18, 1845–1854. [Google Scholar] [CrossRef] [PubMed]
- Claydon, N.; Addy, M.; Scratcher, C.; Ley, F.; Newcombe, R. Comparative professional plaque removal study using 8 branded toothbrushes. J. Clin. Periodontol. 2002, 29, 310–316. [Google Scholar] [CrossRef] [PubMed]
- Ballini, A.; Cantore, S.; Signorini, L.; Saini, R.; Scacco, S.; Gnoni, A.; Inchingolo, A.D.; De Vito, D.; Santacroce, L.; Inchingolo, F.; et al. Efficacy of Sea Salt-Based Mouthwash and Xylitol in Improving Oral Hygiene among Adolescent Population: A Pilot Study. Int. J. Environ. Res. Public Health 2020, 18, 44. [Google Scholar] [CrossRef]
- Löe, H.; Theilade, E.; Jensen, S.B. Experimental Gingivitis in Man. J. Periodontol. 1965, 36, 177–187. [Google Scholar] [CrossRef]
- Von Der Fehr, F.R.; Löe, H.; Theilade, E. Experimental Caries in Man. Caries Res. 1970, 4, 131–148. [Google Scholar] [CrossRef] [PubMed]
- Greene, J.G.; Vermillion, J.R. The Simplified Oral Hygiene Index. J. Am. Dent. Assoc. 1964, 68, 7–13. [Google Scholar] [CrossRef]
- Hennequin-Hoenderdos, N.; Van Der Sluijs, E.; Van Der Weijden, G.; Slot, D.; Hennequin-Hoenderdos, N. Efficacy of a rubber bristles interdental cleaner compared to an interdental brush on dental plaque, gingival bleeding and gingival abrasion: A randomized clinical trial. Int. J. Dent. Hyg. 2017, 16, 380–388. [Google Scholar] [CrossRef]
- Wainwright, J.; Sheiham, A. An analysis of methods of toothbrushing recommended by dental associations, toothpaste and toothbrush companies and in dental texts. Br. Dent. J. 2014, 217, E5. [Google Scholar] [CrossRef]
- Ballini, A.; Tetè, S.; Scattarella, A.; Cantore, S.; Mastrangelo, F.; Papa, F.; Nardi, G.M.; Perillo, L.; Crincoli, V.; Gherlone, E.; et al. The role of anti-cyclic citrullinated peptide antibody in periodontal disease. Int. J. Immunopathol. Pharmacol. 2010, 23, 677–681. [Google Scholar] [CrossRef]
- Inchingolo, F.; Tatullo, M.; Abenavoli, F.M.; Marrelli, M.; Inchingolo, A.D.; Inchingolo, A.M.; Dipalma, G. Non-Hodgkin lymphoma affecting the tongue: Unusual intra-oral location. Head Neck Oncol. 2011, 3, 1. [Google Scholar] [CrossRef] [PubMed]
- Inchingolo, F.; Tatullo, M.; Marrelli, M.; Inchingolo, A.M.; Inchingolo, A.D.; DiPalma, G.; Flace, P.; Girolamo, F.; Tarullo, A.; Laino, L.; et al. Regenerative surgery performed with platelet-rich plasma used in sinus lift elevation before dental implant surgery: An useful aid in healing and regeneration of bone tissue. Eur. Rev. Med. Pharmacol. Sci. 2012, 16, 1222–1226. [Google Scholar]
- Davide, A.; Raffaella, A.; Marco, T.; Michele, S.; Syed, J.; Massimo, M.; Marco, F.; Antonio, A. Direct restoration modalities of fractured central maxillary incisors: A multi-levels validated finite elements analysis with in vivo strain measurements. Dent. Mater. 2015, 31, e289–e305. [Google Scholar] [CrossRef] [PubMed]
- Ballini, A.; Scattarella, A.; Crincoli, V.; Carlaio, R.G.; Papa, F.; Perillo, L.; Romanazzo, T.; Bux, M.V.; Nardi, G.M.; Dituri, A.; et al. Surgical treatment of gingival overgrowth with 10 years of follow-up. Head Face Med. 2010, 6, 19. [Google Scholar] [CrossRef] [PubMed]
- Ciavarella, M.; Guiglia, R.; Campisi, G.; Di Cosola, M.; Di Liberto, C.; Sabatucci, A.; Escudero, N.; Bascones, A.; Muzio, L.L. Update on gingival overgrowth by cyclosporine A in renal transplants. Med. Oral Patol. Oral Cir. Bucal. 2007, 12, 19–25. [Google Scholar]
- Ballini, A.; Capodiferro, S.; Toia, M.; Cantore, S.; Favia, G.; De Frenza, G.; Grassi, F. Evidence-Based Dentistry: What’s New? Int. J. Med. Sci. 2007, 4, 174–178. [Google Scholar] [CrossRef][Green Version]
- Zimmer, S.; Ozturk, M.; Barthel, C.R.; Bizhang, M.; Jordan, R.A. Cleaning Efficacy and Soft Tissue Trauma after Use of Manual Toothbrushes with Different Bristle Stiffness. J. Periodontol. 2011, 82, 267–271. [Google Scholar] [CrossRef]
- Otsuka, R.; Nomura, Y.; Okada, A.; Uematsu, H.; Nakano, M.; Hikiji, K.; Hanada, N.; Momoi, Y. Properties of manual tooth-brush that influence on plaque removal of interproximal surface in vitro. J. Dent. Sci. 2020, 15, 14–21. [Google Scholar] [CrossRef]
- Hoogteijling, F.; Hennequin-Hoenderdos, N.; Van Der Weijden, G.; Slot, D.; Hennequin-Hoenderdos, N. The effect of tapered toothbrush filaments compared to end-rounded filaments on dental plaque, gingivitis and gingival abrasion: A systematic review and meta-analysis. Int. J. Dent. Hyg. 2017, 16, 3–12. [Google Scholar] [CrossRef] [PubMed]





| Clinical Indices and Groups | Baseline (T0) | Three Months (T1) | ||||||
|---|---|---|---|---|---|---|---|---|
| Plaque Index | p-value | t-test | Mean | SD | p-value | t-test | Mean | SD |
| Test Group | 0.2189 | 1.250 | 1.015 | 0.6915 | 0.1226 | 1.579 | 0.79 | 0.583 |
| Control Group | 1.32 | 0.8439 | 1.155 | 0.8538 | ||||
| Debris Index | p-value | t-test | Mean | SD | p-value | t-test | Mean | SD |
| Test Group | 0.5659 | 0.5792 | 0.88 | 0.6614 | 0.4059 | 0.8406 | 0.73 | 0.5391 |
| Control Group | 1.02 | 0.8551 | 0.915 | 0.8235 | ||||
| Calculus Index | p-value | t-test | Mean | SD | p-value | t-test | Mean | SD |
| Test Group | 0.4461 | 0.7700 | 0.865 | 0.6604 | 0.2555 | 1.155 | 0.68 | 0.5146 |
| Control Group | 1.05 | 0.8476 | 0.925 | 0.7973 | ||||
| Oral Hygiene Index | p-value | t-test | Mean | SD | p-value | t-test | Mean | SD |
| Test Group | 0.4971 | 0.6856 | 1.745 | 1.306 | 0.307 | 1.036 | 1.41 | 0.9689 |
| Control Group | 2.07 | 1.67 | 1.84 | 1.584 |
| Test Group | Control Group | |||||||||||
|---|---|---|---|---|---|---|---|---|---|---|---|---|
| T0 1 | Tx 2 | T0 | Tx | |||||||||
| N. | I 3 | MG 4 | M 5 | I | MG | M | I | MG | M | I | MG | M |
| 1. | H 6 | H | H | H | H | H | H | H | H | NH 7 | NH | NH |
| 2. | H | H | H | NH | NH | NH | H | H | H | H | H | H |
| 3. | H | H | H | H | H | H | H | H | H | NH | NH | NH |
| 4. | H | H | H | H | H | H | H | H | H | H | H | H |
| 5. | H | H | H | H | H | H | H | H | H | H | H | H |
| 6. | H | H | H | H | H | H | H | H | H | H | H | H |
| 7. | H | H | H | H | H | H | H | H | H | H | H | H |
| 8. | H | H | H | H | H | H | H | H | H | H | H | H |
| 9. | NH | NH | NH | NH | NH | NH | H | H | H | H | H | H |
| 10. | H | H | H | H | H | H | H | H | H | H | H | H |
| 11. | H | H | H | H | H | H | H | H | H | H | H | H |
| 12. | H | H | H | H | H | H | NH | NH | NH | NH | NH | NH |
| 13. | H | H | H | NH | NH | NH | H | H | H | H | H | H |
| 14. | NH | NH | NH | NH | NH | NH | H | H | H | H | H | H |
| 15. | H | H | H | H | H | H | NH | NH | NH | NH | NH | NH |
| 16. | H | H | H | H | H | H | NH | NH | NH | NH | NH | NH |
| 17. | H | H | H | H | H | H | NH | NH | NH | NH | NH | NH |
| 18. | NH | NH | NH | NH | NH | NH | H | H | H | H | H | H |
| 19. | H | H | H | H | H | H | H | H | H | H | H | H |
| 20. | H | H | H | H | H | H | H | H | H | H | H | H |
Publisher’s Note: MDPI stays neutral with regard to jurisdictional claims in published maps and institutional affiliations. |
© 2021 by the authors. Licensee MDPI, Basel, Switzerland. This article is an open access article distributed under the terms and conditions of the Creative Commons Attribution (CC BY) license (https://creativecommons.org/licenses/by/4.0/).
Share and Cite
Ballini, A.; Di Cosola, M.; Saini, R.; Benincasa, C.; Aiello, E.; Marrelli, B.; Rajiv Saini, S.; Ceruso, F.M.; Nocini, R.; Topi, S.; et al. A Comparison of Manual Nylon Bristle Toothbrushes versus Thermoplastic Elastomer Toothbrushes in Terms of Cleaning Efficacy and the Biological Potential Role on Gingival Health. Appl. Sci. 2021, 11, 7180. https://doi.org/10.3390/app11167180
Ballini A, Di Cosola M, Saini R, Benincasa C, Aiello E, Marrelli B, Rajiv Saini S, Ceruso FM, Nocini R, Topi S, et al. A Comparison of Manual Nylon Bristle Toothbrushes versus Thermoplastic Elastomer Toothbrushes in Terms of Cleaning Efficacy and the Biological Potential Role on Gingival Health. Applied Sciences. 2021; 11(16):7180. https://doi.org/10.3390/app11167180
Chicago/Turabian StyleBallini, Andrea, Michele Di Cosola, Rajiv Saini, Caterina Benincasa, Elisabetta Aiello, Benedetta Marrelli, Sugandha Rajiv Saini, Francesco Mattia Ceruso, Riccardo Nocini, Skender Topi, and et al. 2021. "A Comparison of Manual Nylon Bristle Toothbrushes versus Thermoplastic Elastomer Toothbrushes in Terms of Cleaning Efficacy and the Biological Potential Role on Gingival Health" Applied Sciences 11, no. 16: 7180. https://doi.org/10.3390/app11167180
APA StyleBallini, A., Di Cosola, M., Saini, R., Benincasa, C., Aiello, E., Marrelli, B., Rajiv Saini, S., Ceruso, F. M., Nocini, R., Topi, S., Bottalico, L., Pettini, F., & Cantore, S. (2021). A Comparison of Manual Nylon Bristle Toothbrushes versus Thermoplastic Elastomer Toothbrushes in Terms of Cleaning Efficacy and the Biological Potential Role on Gingival Health. Applied Sciences, 11(16), 7180. https://doi.org/10.3390/app11167180

