Myxofibrosarcoma Mimicking Inflammatory Lesion of Temporomandibular Joint—Case Presentation
Abstract
1. Introduction
2. Materials and Methods
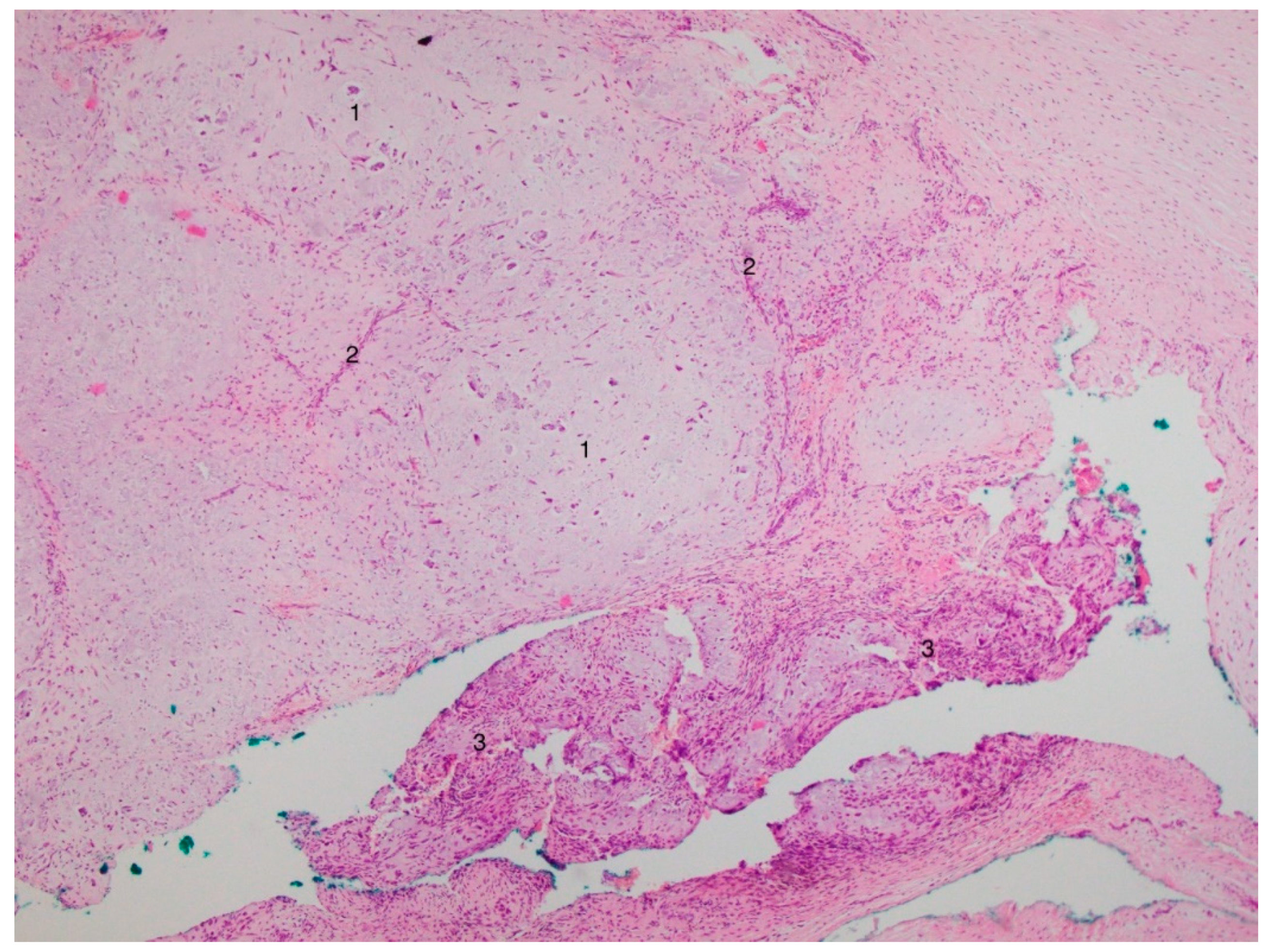
3. Results
4. Discussion
5. Conclusions
Author Contributions
Funding
Institutional Review Board Statement
Informed Consent Statement
Conflicts of Interest
References
- Nishio, J.; Iwasaki, H.; Nabeshima, K.; Naito, M. Cytogenetics and Molecular Genetics of Myxoid Soft-Tissue Sarcomas. Genet. Res. Int. 2011, 2011, 497148. [Google Scholar] [CrossRef] [PubMed]
- Dell’Aversana, O.G.; Iaconetta, G.; Abbate, V.; Piombino, P.; Romano, A.; Maglitto, F.; Salzano, G.; Califano, L. Head and neck myxofibrosarcoma: A case report and review of the literature. J. Med. Case Rep. 2014, 8, 468. [Google Scholar] [CrossRef] [PubMed]
- Ke, X.-T.; Yu, X.-F.; Liu, J.-Y.; Huang, F.; Chen, M.-G.; Lai, Q.-Q. Myxofibrosarcoma of the scalp with difficult preoperative diagnosis: A case report and review of the literature. World J. Clin. Cases 2020, 8, 2350–2358. [Google Scholar] [CrossRef]
- Angervall, L.; Kindblom, L.G.; Merck, C. Myxofibrosarcoma. A study of 30 cases. Acta Pathol. Microbiol. Scand. A 1977, 85, 127–140. [Google Scholar]
- Li, X.; Chen, X.; Shi, Z.-H.; Chen, Y.; Ye, J.; Qiao, L.; Qiu, J.-H. Primary myxofibrosarcoma of the parotid: Case report. BMC Cancer 2010, 10, 246. [Google Scholar] [CrossRef]
- Srinivasan, B.; Ethunandan, M.; Hussain, K.; Ilankovan, V. Epitheloid Myxofibrosarcoma of the Parotid Gland. Case Rep. Pathol. 2011, 2011, 1–3. [Google Scholar] [CrossRef]
- Poveda-Roda, R.; Bagan, J.; Sanchis, J.; Margaix, M. Pseudotumors and tumors of the temporomandibular joint. A review. Medicina Oral Patología Oral y Cirugia Bucal 2013, 18, e392–e402. [Google Scholar] [CrossRef] [PubMed]
- Kent, J.N.; Carlton, D.M.; Zide, M.F. Rheumatoid Disease and Related Arthropathies: Surgical Rehabilitation of the Tem-poromandibular Joint. Oral Surg. Oral Med. Oral Pathol. 1988, 61, 423–439. [Google Scholar] [CrossRef]
- Lee, S.-H.; Ryu, D.-J.; Kim, H.-S.; Kim, H.-G.; Huh, J.-K. Alloplastic total temporomandibular joint replacement using stock prosthesis: A one-year follow-up report of two cases. J. Korean Assoc. Oral Maxillofac. Surg. 2013, 39, 297–303. [Google Scholar] [CrossRef] [PubMed]
- Chaware, S.M.; Bagaria, V.; Kuthe, A. Application of the rapid prototyping technique to design a customized temporoman-dibular joint used to treat temporomandibular ankylosis. Indian J. Plast. Surg. 2009, 42, 85–93. [Google Scholar] [CrossRef]
- Navarro, M.; Michiardi, A.; Castaño, O.; Planell, J.A. Biomaterials in orthopaedics. J. R. Soc. Interf. 2008, 5, 1137–1158. [Google Scholar] [CrossRef] [PubMed]
- Ye, J.; Kook, K.H.; Lee, S.Y. Evaluation of Computer-Based Volume Measurement and Porous Polyethylene Channel Implants in Reconstruction of Large Orbital Wall Fractures. Investig. Opthalmol. Vis. Sci. 2006, 47, 509–513. [Google Scholar] [CrossRef]
- Jazwiecka-Koscielniak, E.; Kozakiewicz, M. A new modification of the individually designed polymer implant visible in X-ray for orbital reconstruction. J. Cranio-Maxillofac. Surg. 2014, 42, 1520–1529. [Google Scholar] [CrossRef] [PubMed]
- Ram, H.; Singh, R.K.; Mohammad, S.; Gupta, A.K. Efficacy of Iliac Crest vs. Medpor in Orbital Floor Reconstruction. J. Maxillofac. Oral Surg. 2010, 9, 134–141. [Google Scholar] [CrossRef]
- Massaccesi, L.; Ragone, V.; Papini, N.; Goi, G.; Romanelli, M.M.C.; Galliera, E. Effects of Vitamin E-Stabilized Ultra High Molecular Weight Polyethylene on Oxidative Stress Response and Osteoimmunological Response in Human Osteoblast. Front. Endocrinol. 2019, 10, 203. [Google Scholar] [CrossRef] [PubMed]
- Packer, L.; Suzuki, Y.J. Vitamin E and alpha-lipoate: Role in antioxidant recyclingand activation of the NF-kappa B tran-scription factor. Mol. Asp. Med. 1993, 14, 229–239. [Google Scholar] [CrossRef]
- Quimby, A.; Estelle, A.; Gopinath, A.; Fernandes, R. Myxofibrosarcoma in Head and Neck: Case Report of Unusually Aggressive Presentation. J. Oral Maxillofac. Surg. 2017, 75, 2709.e1–2709.e12. [Google Scholar] [CrossRef] [PubMed]
- Razek, A.A.; Huang, B.Y. Soft Tissue Tumors of the Head and Neck: Imaging-based Review of the WHO Classification. Radiography 2011, 31, 1923–1954. [Google Scholar] [CrossRef] [PubMed]
- Tjarks, B.J.; Ko, J.S.; Billings, S.D. Myxofibrosarcoma of unusual sites. J. Cutan. Pathol. 2017, 45, 104–110. [Google Scholar] [CrossRef] [PubMed]
- Sanfilippo, R.; Miceli, R.; Grosso, F.; Fiore, M.; Puma, E.; Pennacchioli, E.; Barisella, M.; Sangalli, C.; Mariani, L.; Casali, P.G.; et al. Myxofibrosarcoma: Prognostic Factors and Survival in a Series of Patients Treated at a Single Institution. Ann. Surg. Oncol. 2010, 18, 720–725. [Google Scholar] [CrossRef]
- Lin, C.-N.; Chou, S.-C.; Li, C.-F.; Tsai, K.-B.; Chen, W.-C.; Hsiung, C.-Y.; Yen, C.-F.; Huang, H.-Y. Prognostic factors of myxofibrosarcomas: Implications of margin status, tumor necrosis, and mitotic rate on survival. J. Surg. Oncol. 2006, 93, 294–303. [Google Scholar] [CrossRef] [PubMed]
- Weiss, S.W.; Enzinger, F.M. Myxoid variant of malignant fibrous histiocytoma. Cancer 1977, 39, 1672–1685. [Google Scholar] [CrossRef]
- Huang, H.Y.; Lal, P.; Qin, J.; Brennan, M.F.; Antonescu, C.R. Low-grade myxofibrosarcoma: A clinicopathologic analysis of 49 cases treated at a single institution with simultaneous assessment of the efficacy of 3-tier and 4-tiercgrading systems. Hum. Pathol. 2004, 35, 612–621. [Google Scholar] [CrossRef] [PubMed]








Publisher’s Note: MDPI stays neutral with regard to jurisdictional claims in published maps and institutional affiliations. |
© 2021 by the authors. Licensee MDPI, Basel, Switzerland. This article is an open access article distributed under the terms and conditions of the Creative Commons Attribution (CC BY) license (https://creativecommons.org/licenses/by/4.0/).
Share and Cite
Zagacki, D.; Sztychny, K.; Tyndorf, M.; Bibik, R.; Sygut, D.; Kozakiewicz, M. Myxofibrosarcoma Mimicking Inflammatory Lesion of Temporomandibular Joint—Case Presentation. Appl. Sci. 2021, 11, 4373. https://doi.org/10.3390/app11104373
Zagacki D, Sztychny K, Tyndorf M, Bibik R, Sygut D, Kozakiewicz M. Myxofibrosarcoma Mimicking Inflammatory Lesion of Temporomandibular Joint—Case Presentation. Applied Sciences. 2021; 11(10):4373. https://doi.org/10.3390/app11104373
Chicago/Turabian StyleZagacki, Dawid, Krzysztof Sztychny, Marta Tyndorf, Robert Bibik, Dominik Sygut, and Marcin Kozakiewicz. 2021. "Myxofibrosarcoma Mimicking Inflammatory Lesion of Temporomandibular Joint—Case Presentation" Applied Sciences 11, no. 10: 4373. https://doi.org/10.3390/app11104373
APA StyleZagacki, D., Sztychny, K., Tyndorf, M., Bibik, R., Sygut, D., & Kozakiewicz, M. (2021). Myxofibrosarcoma Mimicking Inflammatory Lesion of Temporomandibular Joint—Case Presentation. Applied Sciences, 11(10), 4373. https://doi.org/10.3390/app11104373

