Effect of Thermo-Mechanical Processing on the Corrosion Behavior of Fe−30Mn−5Al−0.5C TWIP Steel
Abstract
1. Introduction
2. Materials and Methods
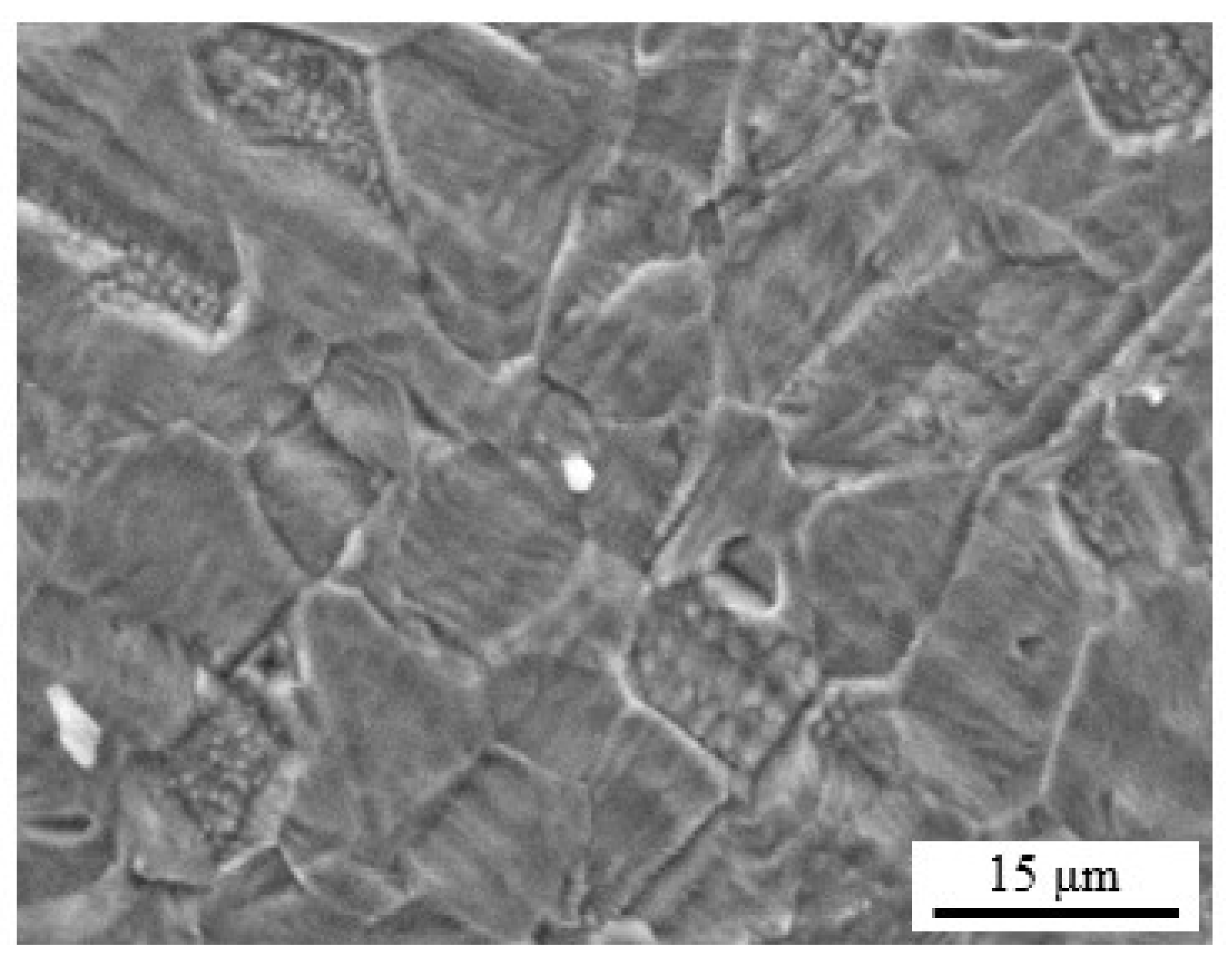
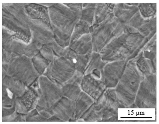
3. Results and Discussion
4. Conclusions
Author Contributions
Funding
Acknowledgments
Conflicts of Interest
References
- Cornette, D.; Galtier, A. Influence of the forming process on crash and fatigue performance of high strength steel automotive components. In Proceedings of the Technical Paper of the SAE World Congress; SAE International: Detroit, MI, USA, 2002. [Google Scholar]
- Thorpe, M.D.; Adam, H. ULSAB-AVC overview and design (ultralight steel auto body—Advanced vehicle concepts). In Proceedings of the Technical Paper of the SAE World Congress; SAE International: Detroit, MI, USA, 2002. [Google Scholar]
- Allain, S.; Chateau, J.P.; Bouaziz, O. A physical model of the twinning-induced plasticity effect in a high manganese austenitic steel. Mater. Sci. Eng. A 2004, 387–389, 143–147. [Google Scholar] [CrossRef]
- Pierce, D.T.; Jiménez, J.A.; Bentley, J.; Raabe, D.; Wittig, J.E. The influence of stacking fault energy on the microstructural and strain-hardening evolution of Fe–Mn–Al–Si steels during tensile deformation. Acta Mater. 2015, 100, 178–190. [Google Scholar] [CrossRef]
- Tuan, Y.H.; Wang, C.S.; Tsai, C.Y.; Chao, C.G.; Liu, T.F. Corrosion behaviors of austenitic Fe–30Mn–7Al–xCr–1C alloys in 3.5% NaCl solution. Mater. Chem. Phys. 2009, 114, 595–598. [Google Scholar] [CrossRef]
- Grässel, O.; Krüger, L.; Frommeyer, G.; Meyer, L. High strength Fe–Mn–(Al, Si) TRIP/TWIP steels development—Properties—Application. Int. J. Plast. 2000, 16, 1391–1409. [Google Scholar] [CrossRef]
- Bouaziz, O.; Allain, S.; Scott, C. Effect of grain and twin boundaries on the hardening mechanisms of twinning-induced plasticity steels. Scr. Mater. 2008, 58, 484–487. [Google Scholar] [CrossRef]
- De Cooman, B.; Chin, K.; Kim, J.K. High Mn TWIP steels for automotive applications. In New Trends and Developments in Automotive System Engineering; IntechOpen Ltd: London, UK, 2011; ISBN 9789533075174. [Google Scholar]
- Sato, K.; Tanaka, K.; Inoue, Y. Determination of the α/γ equilibrium in the iron rich portion of the Fe-Mn-Al system. ISIJ Int. 1989, 29, 788–792. [Google Scholar] [CrossRef]
- Sugimoto, K.; Kikuchi, R.; Hashimoto, S. Development of high strength low alloy TRIP-aided steels with annealed martensite matrix. Steel Res. 2002, 73, 253–258. [Google Scholar] [CrossRef]
- Soulami, A.; Choi, K.S.; Shen, Y.; Liu, W.N.; Sun, X.; Khaleel, M.A. On deformation twinning in a 17.5% Mn–TWIP steel: A physically based phenomenological model. Mater. Sci. Eng. A 2011, 528. [Google Scholar] [CrossRef]
- Allain, S.; Chateau-Cornu, J.P.; Bouaziz, O.; Migot, S.; Guelton, N. Correlations between the calculated stacking fault energy and the plasticity mechanisms in Fe–Mn–C alloys. Mater. Sci. Eng. A 2004, 387–389, 158–162. [Google Scholar] [CrossRef]
- Remy, L. Temperature variation of the intrinsic stacking fault energy of a high manganese austenitic steel. Acta Metall. 1977, 25, 173–179. [Google Scholar] [CrossRef]
- Chen, S.; Rana, R.; Haldar, A.; Ray, R.K. Current state of Fe-Mn-Al-C low density steels. Prog. Mater. Sci. 2017, 89, 345–391. [Google Scholar] [CrossRef]
- Jacob, R.; Raman Sankaranarayanan, S.; Kumaresh Babu, S.P. Recent advancements in manganese steels—A review. Mater. Today Proc. 2020, 27, 2852–2858. [Google Scholar] [CrossRef]
- Dieudonné, T.; Marchetti, L.; Wery, M.; Miserque, F.; Tabarant, M.; Chêne, J.; Allely, C.; Cugy, P.; Scott, C.P. Role of copper and aluminum on the corrosion behavior of austenitic Fe–Mn–C TWIP steels in aqueous solutions and the related hydrogen absorption. Corros. Sci. 2014, 83, 234–244. [Google Scholar] [CrossRef]
- Bouaziz, O.; Allain, S.; Scott, C.P.; Cugy, P.; Barbier, D. High manganese austenitic twinning induced plasticity steels: A review of the microstructure properties relationships. Curr. Opin. Solid State Mater. Sci. 2011, 15, 141–168. [Google Scholar] [CrossRef]
- Gutierrez-Urrutia, I.; Zaefferer, S.; Raabe, D. The effect of grain size and grain orientation on deformation twinning in a Fe–22 wt.% Mn–0.6 wt.% C TWIP steel. Mater. Sci. Eng. A 2010, 527, 3552–3560. [Google Scholar] [CrossRef]
- Frommeyer, G.; Brüx, U.; Neumann, P. Supra-ductile and high-strength manganese-TRIP/TWIP steels for high energy absorption purposes. ISIJ Int. 2003, 43, 438–446. [Google Scholar] [CrossRef]
- Hamada, A.S.; Karjalainen, L.P.; El-Zeky, M.A. Effect of anodic passivation on the corrosion behaviour of Fe-Mn-Al steels in 3.5%NaCl. In Passivation of Metals and Semiconductors, and Properties of Thin Oxide Layers; Marcus, P., Maurice, V., Eds.; Elsevier: Amsterdam, The Netherlands, 2006; pp. 77–82. ISBN 9780444522245. [Google Scholar]
- Bastidas, D.M.; Ress, J.; Martin, U.; Bosch, J. Corrosion mechanisms of high-Mn twinning-induced plasticity steels: A critical review. Unpublished work.
- Bosch, J.; Martin, U.; Aperador, W.; Bastidas, J.M.; Ress, J.; Bastidas, D.M. Corrosion behaviour of high-Mn austenitic Fe-Mn-Al-Cr-C TWIP steels in NaCl and NaOH solutions. Unpublished work.
- Grajcar, A. Corrosion resistance of high-Mn austenitic steels for the automotive industry. In Corrosion Resistance; InTech: Rijeka, Croatia, 2012; Chapter 16; pp. 356–376. [Google Scholar] [CrossRef]
- Ghayad, I.; Hamada, A.S.; Girgis, N.N. Effect of cold working on the aging and corrosion behavior of Fe-Mn-Al stainless steel. In Proceedings of the EUROCORR 2004 Conference, Nice, France, 12–16 September 2004. [Google Scholar]
- Kannan, M.B.; Raman, R.K.S.; Khoddam, S.; Liyanaarachchi, S. Corrosion behavior of twinning-induced plasticity (TWIP) steel. Mater. Corros. 2013, 64, 231–235. [Google Scholar] [CrossRef]
- Zhang, Y.; Zhu, X. Electrochemical polarization and passive film analysis of austenitic Fe–Mn–Al steels in aqueous solutions. Corros. Sci. 1999, 41, 1817–1833. [Google Scholar] [CrossRef]
- Hamada, A.S.; Karjalainen, L.P. Corrosion behaviour of high-Mn TWIP steels with electroless Ni-P coating. Open Corros. J. 2010, 3, 1–6. [Google Scholar] [CrossRef]
- Fajardo, S.; Llorente, I.; Jiménez, J.A.; Bastidas, J.M.; Bastidas, D.M. Effect of Mn additions on the corrosion behaviour of TWIP Fe-Mn-Al-Si austenitic steel in chloride solution. Corros. Sci. 2019, 154, 246–253. [Google Scholar] [CrossRef]
- Monrrabal, G.; Jiménez, J.A.; Ress, J.; Fajardo, S.; Bastidas, J.M.; Llorente, I.; Bastidas, D.M. Corrosion behaviour of resistance-spot-welded high-Mn austenitic TWIP steel. Corros. Eng. Sci. Technol. 2020, 1–10. [Google Scholar] [CrossRef]
- Bagotsky, V.S. Fundamentals of Electrochemistry; John Wiley & Sons, Inc.: Hoboken, NJ, USA, 2005; ISBN 9780471741992. [Google Scholar]
- Hamada, A.S.; Karjalainen, L.P. Nitric acid resistance of new type Fe-Mn-Al stainless steels. Can. Metall. Q. 2006, 45, 41–48. [Google Scholar] [CrossRef]
- Zhu, X.M.; Zhang, Y.S. Investigation of the electrochemical corrosion behavior and passive film for Fe-Mn, Fe-Mn-Al, and Fe-Mn-Al-Cr alloys in aqueous solutions. Corrosion 1998, 54, 3–12. [Google Scholar] [CrossRef]
- ASTM G61-86(2018) Standard Test Method for Conducting Cyclic Potentiodynamic Polarization Measurements for Localized Corrosion Susceptibility of Iron-, Nickel-, or Cobalt-Based Alloys; ASTM International: West Conshohocken, PA, USA, 2018.
- Bastidas, J.M.; López, M.F.; Gutiérrez, A.; Torres, C.L. Chemical analysis of passive films on type AISI 304 stainless steel using soft X-ray absorption spectroscopy. Corros. Sci. 1998, 40, 431–438. [Google Scholar] [CrossRef]
- Gwon, H.; Kim, J.K.; Jian, B.; Mohrbacher, H.; Song, T.; Kim, S.K.; De Cooman, B.C. Partially-recrystallized, Nb-alloyed TWIP steels with a superior strength-ductility balance. Mater. Sci. Eng. A 2018, 711, 130–139. [Google Scholar] [CrossRef]
- Berrenberg, F.; Haase, C.; Barrales-Mora, L.A.; Molodov, D.A. Enhancement of the strength-ductility combination of twinning-induced/transformation-induced plasticity steels by reversion annealing. Mater. Sci. Eng. A 2017, 681, 56–64. [Google Scholar] [CrossRef]
- Charles, J.; Berghezan, A.; Lutts, A. Structure and mechanical properties of high-alloy manganese-aluminum steels for cryogenic applications. In Austenitic Steels at Low Temperatures; Reed, R.P., Horiuchi, T., Eds.; Springer: Boston, MA, USA, 1983; pp. 311–326. ISBN 9781461337300. [Google Scholar]
- Ghods, P.; Isgor, O.B.; Brown, J.R.; Bensebaa, F.; Kingston, D. XPS depth profiling study on the passive oxide film of carbon steel in saturated calcium hydroxide solution and the effect of chloride on the film properties. Appl. Surf. Sci. 2011, 257, 4669–4677. [Google Scholar] [CrossRef]
- López, M.; Gutiérrez, A.; Torres, C.; Bastidas, J. Soft x-ray absorption spectroscopy study of electrochemically formed passive layers on AISI 304 and 316L stainless steels. J. Mater. Res. 1999, 14, 763–770. [Google Scholar] [CrossRef]
- Zhang, Y.; Zhu, X.; Liu, M.; Che, R. Effects of anodic passivation on the constitution, stability and resistance to corrosion of passive film formed on an Fe-24Mn-4Al-5Cr alloy. Appl. Surf. Sci. 2004, 222, 89–101. [Google Scholar] [CrossRef]
- Lins, V.F.C.; Freitas, M.A.; Silva, E.M.P. Corrosion resistance study of Fe–Mn–Al–C alloys using immersion and potentiostatic tests. Appl. Surf. Sci. 2005, 250, 124–134. [Google Scholar] [CrossRef]
- Deltombe, E.C.; Vanleugenhagle, M.; Pourbaix, M. Atlas of Electrochemical Equilibria in Aqueous Solution; Elsevier: Oxford, UK, 1966; ISBN 0915567989. [Google Scholar]
- Roberge, P.R. Handbook of Corrosion Engineering, 2nd ed.; McGraw-Hill Education: New York, NY, USA, 2012; ISBN 9780071750370. [Google Scholar]







| Sample | Ecorr (VSCE) | Epit (VSCE) | Eprot (VSCE) | ipass (µA/cm2) | ∆E (VSCE) |
|---|---|---|---|---|---|
| TMP TWIP | −0.820 ± 0.052 | −0.677 ± 0.056 | −0.530 ± 0.042 | 9.44 ± 0.61 | 0.147 ± 0.011 |
| Recrystallized TWIP | −0.811 ± 0.065 | −0.596 ± 0.031 | −0.537 ± 0.054 | 18.03 ± 0.97 | 0.059 ± 0.013 |
Publisher’s Note: MDPI stays neutral with regard to jurisdictional claims in published maps and institutional affiliations. |
© 2020 by the authors. Licensee MDPI, Basel, Switzerland. This article is an open access article distributed under the terms and conditions of the Creative Commons Attribution (CC BY) license (http://creativecommons.org/licenses/by/4.0/).
Share and Cite
Martin, U.; Ress, J.; Bosch, J.; Bastidas, D.M. Effect of Thermo-Mechanical Processing on the Corrosion Behavior of Fe−30Mn−5Al−0.5C TWIP Steel. Appl. Sci. 2020, 10, 9104. https://doi.org/10.3390/app10249104
Martin U, Ress J, Bosch J, Bastidas DM. Effect of Thermo-Mechanical Processing on the Corrosion Behavior of Fe−30Mn−5Al−0.5C TWIP Steel. Applied Sciences. 2020; 10(24):9104. https://doi.org/10.3390/app10249104
Chicago/Turabian StyleMartin, Ulises, Jacob Ress, Juan Bosch, and David M. Bastidas. 2020. "Effect of Thermo-Mechanical Processing on the Corrosion Behavior of Fe−30Mn−5Al−0.5C TWIP Steel" Applied Sciences 10, no. 24: 9104. https://doi.org/10.3390/app10249104
APA StyleMartin, U., Ress, J., Bosch, J., & Bastidas, D. M. (2020). Effect of Thermo-Mechanical Processing on the Corrosion Behavior of Fe−30Mn−5Al−0.5C TWIP Steel. Applied Sciences, 10(24), 9104. https://doi.org/10.3390/app10249104

