Next Article in Journal
In Situ Bioremediation Techniques to Reduce Total Organic Matter Oversaturation of Fluvial Sediments: An Experimental Study
Next Article in Special Issue
Magnetic Abrasive Finishing of Beta-Titanium Wire Using Multiple Transfer Movement Method
Previous Article in Journal
NTARC: A Data Model for the Systematic Review of Network Traffic Analysis Research
Previous Article in Special Issue
Self-Expandable Retainer for Endoscopic Visualization in the External Auditory Canal: Proof of Concept in Human Cadavers
 
 
Font Type:
Arial Georgia Verdana
Font Size:
Aa Aa Aa
Line Spacing:
Column Width:
Background:
Article

Effect of Alkyl Structure (Straight Chain/Branched Chain/Unsaturation) of C18 Fatty Acid Sodium Soap on Skin Barrier Function

1
Department of Pharmacy, Faculty of Pharmacy, Iryo Sosei University, Iwaki-City, Fukushima 971-8550, Japan
2
Department of Pharmacy, Faculty of Pharmacy, Yasuda Women’s University, Hiroshima-City, Hiroshima 731-0153, Japan
3
Department of Fashion and Beauty Sciences, Faculty of Liberal Arts, Osaka Shoin Women’s University, Higashiosaka-City, Osaka 577-8550, Japan
4
Division in Fashion and Beauty Studies, Graduate School of Human Sciences, Osaka Shoin Women’s University, Higashiosaka-City, Osaka 577-8550, Japan
*
Author to whom correspondence should be addressed.
Appl. Sci. 2020, 10(12), 4310; https://doi.org/10.3390/app10124310
Submission received: 20 May 2020 / Revised: 16 June 2020 / Accepted: 17 June 2020 / Published: 23 June 2020
(This article belongs to the Special Issue Active Materials for Medical Applications)

Abstract

Anionic surfactants are commonly used as detergents and emulsifiers. However, these compounds are potent skin irritants. In this study, we evaluated the effect of the alkyl structure of anionic surfactants on the skin barrier function using the transmission index (TI) method. The TI method is used to measure the skin penetration rate of drugs. Sodium soaps of C18 fatty acids with different structures were evaluated. Sodium laurate was used as the control. In addition, microscopic observations of the skin tissue treated with different soaps and controls were performed to study the mechanism of skin permeation. Results showed that unsaturated fatty acid soaps exerted the most potent effect on the skin barrier function and saturated fatty acid soaps exerted the least effect; saturated branched fatty acid soap had an intermediate effect. This could be attributed to the differences in the melting points of different fatty acids. In addition, unlike lauric acid soap, C18 fatty acid soap did not cause morphological changes in the skin tissue. Thus, differences in the alkyl structure of fatty acids resulted in differences in the effect of fatty acid soaps on the skin barrier function. The mechanism was presumed to be an effect on intercellular lipids.

1. Introduction

Saponified fatty acids (soaps) are common anionic surfactants that are widely used as detergents and emulsifiers. Among fatty acid soaps, lauric acid soap is often used as a body cleanser, shampoo, dishwashing detergent, and laundry detergent, owing to its good foaming capacity and strong detergency. However, surfactants have been reported to affect the skin barrier function [1,2,3].
The skin barrier consists of keratin proteins and intercellular lipids. Keratin, a cytoskeletal protein, is composed of a group of intermediate filaments composed of keratinocytes, which are differentiated and enucleated epidermal cells. Intercellular lipids have a lamellar structure in which the lipid molecules, mainly composed of ceramide, fatty acids, and cholesterol esters, are regularly arranged. Stratum corneum cells and intercellular lipids form a structure known as the brick and mortar model, establishing a skin barrier function [4,5,6].
Previous studies on the effects of surfactants on the skin have reported a correlation with the alkyl chain length of surfactants [7,8,9]. Kurosaki et al. evaluated the relationship between the carbon number of fatty acid surfactants and irritancy to skin (using skin roughness and degreasing power in the patch test as evaluation scales), and revealed that C12 alkyl anionic surfactants caused the strongest skin irritation [10]. In addition, it has been reported that the skin barrier function is reduced due to the formation of a stratum corneum permeation path for a specific molecule, thereby increasing the skin permeability of the molecule. Using this phenomenon, the skin barrier function has been evaluated by measuring the invasiveness of substances or transepidermal water loss (TEWL) [6,11,12,13]. In vitro skin permeation assays, using the Franz diffusion cell system, are the most commonly used methods for assessing the skin absorption of drugs [14]. Okasaka et al. developed a transmission index (TI) method to evaluate the effect of anionic surfactants on the skin barrier function, using the skin permeation rate of methylparaben as an index [15].
Some previous studies have reported interesting findings on the effects of amphiphiles on the skin barrier function. Ionic liquids are amphiphilic substances similar to surfactants. Several interesting reviews of ionic liquids for enhancing drug skin permeation have been summarized [16,17]. Dobler et al. has reported the skin penetration effect by water-in-oil (W/O) or oil-in-water (O/W) emulsion, consisting of the hydrophobic ionic liquid or by the hydrophilic ionic liquid [18]. Some ionic liquids are formed using fatty acids as raw materials and are known to significantly enhance the skin permeability of various drugs. Medrx Co. Ltd., has commercialized an ionic liquid composed of fatty acids and amines with high biocompatibility as a skin permeation enhancer [19]. Kubota et al. investigated the mechanism by which fatty acid–aliphatic amine ionic liquids enhance the skin permeation of drugs [20]. Their results have shown that the skin penetration-promoting effect of drugs differs depending on the composition of the ionic liquid. While the ionic liquid composed of octanoic acid and triisopropanolamine markedly enhanced the skin permeability of hydrophilic model drugs, the ionic liquid derived from isostearic acid, a branched-chain C18 fatty acid, has an inhibitory effect on the skin permeability of hydrophobic drugs [20]. These results suggest that the structure of the alkyl chain of the amphiphile, including the surfactant, affects the skin barrier function. Hence, we investigated the effect of the alkyl structure of fatty acids on the skin barrier function using fatty acid soaps, which are common and simple amphiphiles. C18 fatty acids were used as the raw materials for the preparation of the fatty acid soaps. C18 fatty acids have many structural isomers with different branching and degree of unsaturation, and they are widely used as cosmetic or food ingredients or additives owing to their safety and high biocompatibility [21,22]. In this study, we used stearic acid as the straight chain fatty acid, isostearic acid as the branched-chain fatty acid, and oleic acid (18:1 (n-9)) and linoleic acid (18:2 (n-6)) as the unsaturated fatty acids. These fatty acids were neutralized with sodium hydroxide to prepare the saponified fatty acids. The effect of these structurally isomeric C18 fatty acid soaps on the skin barrier function was evaluated by the TI method described by Okasaka et al. [15] Skin permeability assay was performed on the back skin of hairless mice using the Franz diffusion cell system. Methylparaben was used as an indicator. In parallel, the skin tissue injury was evaluated by microscopic observation.

2. Materials and Methods

2.1. Preparation of the Soaps

Fatty acid soaps were prepared by saponification reaction between the fatty acid and sodium hydroxide. The C18 fatty acids were prepared based on the classification of the alkyl structure. Stearic acid was prepared as a saturated straight-chain fatty acid. The optical isomeric mixture of isostearic acid was prepared as a saturated branched-chain fatty acid. Two types of C18 fatty acids were prepared as unsaturated fatty acids. Oleic acid was prepared as a monounsaturated fatty acid, while linoleic acid was prepared as a di-unsaturated fatty acid. For comparison with these sodium soaps, sodium laurate was prepared from lauric acid. All reagents were of first or special grade and purchased from Wako Pure Chemical Industries (Tokyo, Japan). A 1.0 mol/L sodium hydroxide aqueous solution was prepared by dissolving solid sodium hydroxide (Sigma-Aldrich, St. Louis, MO, USA) in deionized water. A 5 mL solution of 1 mol/L sodium hydroxide (5 mmol NaOH) was stirred on a hot plate stirrer (AS ONE Co., Osaka, Japan) maintained at 70 °C. Then, 5 mmol fatty acid was added to it and the mixture was stirred until it was completely homogenized. The resultant saponified fatty acid was adjusted to a 1% concentration by adding deionized water.

2.2. Skin Permeation Experiments and Evaluation of the Effect of Fatty Acid Soap on the Skin Barrier Function

The effect of different fatty acid soaps on the skin barrier function was assessed by the TI method, based on a previously described method [15].
The skin permeability assay was performed using the Franz diffusion cell system (vertical reservoir, 8 mL; permeation area, 1 cm2) (PermGear, Hellertown, PA, USA). The reservoir chamber was filled with saline and warmed up to 37 °C. Laboskin® (Hoshino Laboratory Animals Inc., Ibaraki, Japan; certificated by the Japanese Society for Laboratory Animal Resources); the back skin from a 7-week-old male Hos:HR-1 hairless mouse, was divided into four parts and used as the transmission skin sample. There were no statistically significant differences in the head and tail sides as well as the right and left sides of the midline. A 1 mL 1% fatty acid soap solution or control sample (deionized water) was applied to the external surface of the skin for 1 h. After treatment, the test or control sample was removed and the skin was thoroughly washed five times each with 1 mL of deionized water followed by 2 mL of deionized water.
Methylparaben was purchased from Ueno Fine Chemical Industry Ltd. (Osaka, Japan). One hundred milligrams of methylparaben was accurately weighed using an electronic analytical scale AUX120 (Shimadzu, Kyoto, Japan) and dissolved in deionized water. To ensure complete the dissolution of methylparaben, the solution was stirred on a vortex mixer, followed by ultrasonication for 15 min. It was then diluted with 100 mL of deionized water to obtain a 0.100% (w/v) solution. After skin stimulation with soap, 1 mL of the 0.100% methylparaben solution was applied to the skin after washing twice. The donor cup was sealed with parafilm to prevent the evaporation of the methylparaben solution. The reservoir solution was stirred at approximately 500 rpm, using either 6 or 12 stations multi magnetic stirrer (AS ONE). The reservoir solution in the receptor cup was mixed 10 times with a micropipette. After 1 h, 200 µL of the sample was withdrawn and an equivalent volume of saline was replaced. The process was repeated after every hour for 6 h.
The concentration of methylparaben in the collected reservoir solution was measured by High Performance Liquid Chromatography (HPLC) method using an LC-20AB HPLC system (Shimadzu) with a Capcell Pak® 5 µm C18 MG-II column (internal diameter: 2.0 mm × 150 mm) (Shiseido, Tokyo, Japan). An accurately diluted sample of 0.002% methylparaben was used as the standard. The column oven temperature was set at 40 °C. The HPLC mobile phase, consisting of (A) 15 mM phosphoric acid (Nakarai tesque, Kyoto, Japan) and (B) methanol (for HPLC, Wako), was adjusted (A:B = 55:45), and the flow rate was maintained at 0.2 mL/min. Five microliters of the reservoir solution was injected using an autosampler SIL-20AC (Shimadzu). The peak area of the UV absorbance was measured at 256 nm and calibrated using the LCsolution 1.23 SP1 software (Shimadzu). The reference sample (0.001% methylparaben) was prepared by diluting the sample from the permeability test and was analyzed before and after the analysis of the test sample, to confirm the stability of methylparaben during the analysis. No interferences were observed from the blank skin extracts during the HPLC analysis of the collected reservoir solutions. Each experiment was repeated at least 4 times and statistical analysis was carried out.
The TI value was calculated as follows. The Fluxss was determined from the quantity of permeate (Q) with respect to time (t), when the skin permeability indicated a linear correlation with time (Equation (1)). TI was determined as the relative value of the Fluxss of control and the Fluxss of the sample (Equation (2)). The Fluxss value was calculated using the LINEST function on the time-concentration scatter plot in Microsoft Excel and statistical analysis using Welch’s t-test and Pearson’s chi-square test were carried out:
F l u x s s = d Q d t
T r a n s m i s s i o n   I n d e x = F l u x s s ( s u r f a c t a n t ) F l u x s s ( c o n t r o l )

2.3. Assessment of Skin Tissue Injury

The skin tissue injury caused by the fatty acid soap was assessed by microscopic observation, according to the method described in our previous study [20]. The skin samples were treated with surfactant or control for 1 h before the assessment. After rough sectioning using surgical scissors, the skin samples were washed 3 times in 20 mL of Dulbecco’s recipe of phosphate buffered saline without Mg2+ and Ca2+ (PBS(−)) (10 mM, pH 7.4) for 5 min each. The tissue samples were fixed in 4% paraformaldehyde/0.1 M phosphate buffer (pH 7.4), stored overnight, and immersed in 20% sucrose/0.1 M phosphate buffer (pH 7.4) at 4 °C. The tissue blocks were embedded in an optical cutting temperature compound (Tissue-Tek, Sakura Finetek; Torrance, CA, USA) and snap-frozen in powdered dry ice. The frozen embedded tissue samples were cut to approximately 10 µm slices and air-dried. Then, the tissue slices were deposited on glass slides, moistened with water, and stained with Mayer’s hematoxylin (Wako Pure Chemical Industries) and eosin Y (Waldeck, Münster, Germany). After dehydration in graded anhydrous ethanol and Clear Plus (Falma Co.; Tokyo, Japan), a cover glass was used to seal the slices on the glass slides. Microscopic images were acquired using a BX51 bright field/fluorescence biological microscope (Olympus, Tokyo, Japan). The brightness and contrast of the images were automatically optimized using the ImageJ software.

3. Results

3.1. Changes during Preparation of the Aqueous Soap Solutions

The fatty acids that were liquid at room temperature (mixtures of optical isomers of isostearic acid, oleic acid, and linoleic acid) immediately changed to a white gel-like saponified product upon the addition of 1 mol/L sodium hydroxide solution. This saponified product was dissolved by stirring to form a colorless, transparent solution with a specific viscosity and a peculiar soapy smell. While preparing stearic acid soap, the saponified product was dissolved until about half of the original amount of the powdered stearic acid, which was added to the aqueous sodium hydroxide solution. Thereafter, on further stirring, the saponified product turned into a colloidal solution and finally became a high-viscosity colloidal solution containing white suspended matter. Upon incubation at 65 °C for 30 min, the suspended matter dissolved and a low-viscosity, slightly turbid solution, was produced. Below room temperature (25 °C), the viscosity of the incubated solution increased and the solution became almost non-fluid after standing overnight. In contrast, powdered lauric acid immediately dissolved in the sodium hydroxide solution and produced a low-viscosity, almost colorless, transparent solution.

3.2. Evaluation of the Effect of Sodium Fatty Acid Soaps on the Skin Barrier Function

The effects of the various fatty acid soaps on the skin barrier function were evaluated. Figure 1 shows the skin permeation profile of methylparaben in skin samples treated with the five fatty acid soaps and the control (deionized water). The change in the skin permeability of methylparaben showed a high correlation with the permeation time for all samples (R > 0.94), confirming that the skin permeation profile from 1 to 6 h was at a steady state.
Based on this observation, the effect of fatty acid soap on skin barrier function was evaluated using the TI method. The slopes of the time-concentration scatter plot for each fatty acid soap and control-treated sample are shown in Figure 2 as Fluxss. The TI values of the five fatty acid soaps are shown in Table 1. The highest Fluxss value was observed for sodium laurate (6.08 ± 0.27). It was observed that the Fluxss of C18 fatty acid soap varied depending on the alkyl structure as follows: stearic acid (1.67 ± 0.05) < isostearic acid (2.38 ± 0.10) < oleic acid (4.44 ± 0.22) < linoleic acid (5.18 ± 0.1), saturated straight-chain fatty acid < saturated branched-chain fatty acids < monounsaturated fatty acids < diunsaturated fatty acids.
In our previous study, we observed that surfactants with a significant difference in Fluxss, with respect to the control, had an effect on the skin barrier function [15]. Since the TI value of stearic acid soap was 1.10 ± 0.08, which was not significantly different from the control Fluxss, we concluded that it did not affect the skin barrier function. The TI value of the isostearic acid soap was 1.56 ± 0.10, which was significantly different from the control Fluxss (p < 0.05). The TI values of the two unsaturated C18 fatty acid soaps, prepared using oleic acid and linoleic acid as raw materials, were 2.92 ± 0.07 and 3.40 ± 0.07, respectively, and were significantly different from the control Fluxss. The TI value of the lauric acid soap was extremely high at 3.99 ± 0.10. Furthermore, the Fluxss values of the oleic acid and linoleic acid soaps were not significantly different from those of lauric acid soap (p > 0.1). There was no significant difference in the TI values of oleic acid soap and linoleic acid soap (p > 0.1). However, linoleic acid soap with a higher unsaturation showed a higher TI value.

3.3. Assessment of Skin Tissue Injury

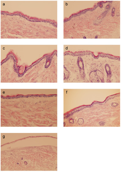
The microscopic images, depicting the degree of skin injury caused by various fatty acid soaps, are presented in Figure 3. The microscopic image of the normal skin tissue, without any treatment, is shown in Figure 3a. In normal tissue, the outermost keratin of the stratum corneum (stained with eosin) and healthy nuclei in the epidermal cell layer (stained with hematoxylin) were observed. Cells in the dermis layer were maintained in normal shape, as observed by eosin-stained collagen, and contained normal nuclei. The skin tissue section obtained after water treatment was similar to the untreated sample (Figure 3b). Results of the microscopic examination of the skin samples treated with each C18 fatty acid soap are shown in Figure 3c–g. The tissue morphologies of the skin treated with sodium stearate, sodium isostearate, sodium oleate, and sodium linoleate were similar to those of the untreated skin. However, the tissue sample treated with sodium laurate showed significant damage (Figure 3g). A part of the stratum corneum was separated from the epidermis layer and a gap was formed between the epidermis and the dermis. Chromatin was not observed in the epidermal cells. Chromatin loss was also found deep in the dermis, suggesting that the cell damage extended deep into the skin tissue.

4. Discussion

In this study, the effect of the structural differences in the various isomers belonging to the hydrophobic group of anionic surfactants on the skin barrier function was evaluated using the TI method. This method was developed for the purpose of the easy analysis of the effect of surfactants on the skin barrier function. It is an effective method for the comparative study of surfactants, provided the drug has a steady state in skin permeation (Figure 1).
The TI value of the sodium laurate soap was approximately 4 (Table 1), which was different from the value obtained in our previous study (2.53) [15]. Of note, the sodium laurate soap assessed in the previous study was a cosmetic raw material-grade industrial product. On the other hand, the sodium laurate soap in this study was prepared using reagent-grade lauric acid and sodium hydroxide. Thus, it was assumed that the differences in purity and neutralization rates of the fatty acids led to the different TI values. From a qualitative point of view, previous studies have shown that sodium laurate soap has a significantly higher TI value than other anionic surfactants, indicating that the effect of sodium laurate soap on the skin barrier function is strong. Previous studies have reported that C12 fatty acid surfactants cause strong skin irritation [10]. Based on the fact that the surfactants with strong skin irritation have high TI values, it was suggested that the TI value was related to skin irritation.
The TI values are expressed as the ratio of Fluxss of surfactant-treated skin to control-treated skin. The standard error (SE) was calculated from the unbiased variance of the combination of the Fluxss (n = 35) of control and Fluxss (n = 6–10) of the test sample.
The significant differences in the TI values between the C18 fatty acid soaps suggested that the effect of sodium fatty acid soaps on the skin barrier function was affected not only by the carbon number of alkyl structures, but also by their alkyl structures. When the fatty acids were arranged in increasing order of their respective TI values (saturated straight chain < saturated branched chain < monounsaturated ~< di-unsaturated), the sequence corresponded to the respective melting points of the fatty acids. The melting points of the saturated straight-chain stearic acid, saturated branched-chain isostearic acid, monounsaturated oleic acid, and di-unsaturated linoleic acid are 70, 16, ≤15, and −5 °C, respectively. There is a relationship between the melting point and solubility of a substance, with substances with higher melting points generally being less soluble [23]. In soaps, generally, the Krafft point is proportionally affected by the melting point. The Krafft point increases as the number of carbon atoms in the alkyl chain increases. At the same time, if the hydrophilic groups are the same, the solubility in the water decreases as the carbon number increases. When an alkyl structure includes unsaturated groups, the Krafft point decreases and the water solubility increases. In addition, the solubility tends to increase as the hydrophilic group approaches the center of the alkyl chain [24]. The difference in the solubility of the sodium soap was also confirmed by the change in the dissolution state during the soap preparation as well as the properties of the prepared soap. Based on these facts, it was assumed that the melting point, Krafft point, and the solubility of the raw fatty acid were the main factors affecting the skin barrier function. The relationship between the carbon number of surfactants and skin irritation is well known [25,26]. It can be said that their report is a mention to one aspect of the relationship between the melting point of fatty acids and the properties of surfactants on the skin.
The temperature conditions of the experiment are important because the solubility is affected by temperature. The TI value was calculated based on the skin permeation speed of methylparaben at 37 °C. The equilibrium at this temperature depends on the solubility of the fatty acid sodium soap. We predicted that the higher the solubility of the surfactant, the stronger the action on the keratinocyte intercellular lipid, and as a result, the skin permeability of the surfactant would be enhanced. In addition, because fatty acid soap is a weak acid and strong alkalin salt, the equilibrium state depends on the pH. Furthermore, the critical micelle concentration is affected by the temperature and the pH of the aqueous solution. Therefore, it is necessary to discuss the influence of the physicochemical properties of the soap molecules on the skin barrier function, based on the measurements of critical micelle concentration or the pH dependence of the solubility.
In this study, we also examined the effect of anionic surfactant on the skin barrier function from a perspective other than drug skin permeability. The microscopic observation of hematoxylin–eosin (HE) stained tissue sections provided information on cytotoxicity and the effects of the surfactant on the connective tissue, based on chromatin staining and the condition of the connection between the tissues and cells. The absence of chromatin in the epidermal layer of the sodium laurate soap-treated skin (Figure 3g) indicated that the chromosome was damaged and the lipid bilayer of the cell membrane was probably damaged. This observation was similar to that seen upon the action of sodium lauryl sulfate (SDS), which exerts cytolytic effects due to its strong lipid solubility and protein denaturing activity [7]. This phenomenon associated with sodium laurate soap, also known as ‘skin irritation’ [10,27,28], results in the exfoliation of the stratum corneum, the lysis of epidermal cells, the disruption of the association between epidermal and dermal layers, and the cytotoxicity to cells in the dermal layers. The high TI value observed for the skin treated with sodium laurate soap could be attributed to the loss of the barrier function due to the physical damage of the skin tissue. However, although the unsaturated C18 fatty acid sodium soap had a TI value similar to that of the sodium laurate soap, no morphological damage to the skin tissue was observed (Figure 3e,f). This suggested that the mechanism of the effect of unsaturated C18 fatty acid sodium soap on skin barrier function was different from that of sodium laurate soap.
Since microscopic examination does not provide information regarding the changes in intercellular lipids, the effect of unsaturated C18 fatty acid sodium soap on skin barrier function may be due to changes in intercellular lipids. At present, we do not have information to link the TI values with the effects of two important factors on the skin barrier function, namely stratum corneum protein and the keratinocyte intercellular lipid. The inferences from the inconsistency between the results of microscopic observations and the trends in TI values of each surfactant need to be separately experimentally verified. That is our task in the future.
According to the structural chemistry considerations, it is considered that the effect of surfactants on the skin barrier function represented by the TI value is affected by the melting point of the fatty acids in the soap molecule and the solubility of the soap affected by them. Some previous studies have discussed the effects of ion pair properties of anionic surfactants on the skin [9,29,30,31]. However, in this study, the effects of counter ion and the neutralization rate on the TI value were not examined. They are also important factors affecting soap solubility. Soap solubility and its effects on skin barrier function need to be further investigated. Generally, potassium soap has a higher solubility than sodium soap. The neutralization rate also affects the pH of the aqueous soap solution. This study only provides information on the effects of the fatty acid branching structure and the degree of unsaturation in fully neutralized sodium soap. Moreover, the information available from microscopy is very limited. For future studies, an investigation of the relationship between the ion pair properties of the surfactants and the skin barrier function is warranted. This can contribute to the development of the manufacturing method such as the solubility and the pH adjustment of the surfactant which is safe for the skin barrier function and the suggestion of the direction for uses.

5. Conclusions

The investigation of the effect of the C18 alkyl anionic surfactants on the skin barrier function showed that the alkyl structures of anionic surfactant was a strong efficient factor for skin barrier function. Based on structural chemistry considerations, we noticed a correlation between the Kraft points and the C18 fatty acid soaps with different structures. On the other hand, interestingly, the difference among the strength of the effect of each C18 fatty acid soap on the skin barrier function does not correlate with the skin tissue injury. From this, it is possible that the effect of fatty acid soap on the skin barrier function can be controlled by the alkyl structure rather than the alkyl carbon number. This will be important information on the effect of the properties of matter of soap during hand washing and sterilization, or on its properties as a percutaneous absorption enhancer. However, since the experiment used skin extracted from mice, it is necessary to pay attention to the difference from the actual application to human skin. From the measurement of the TI value and microscopic observation, it is impossible to infer the mechanism of the influence of the difference in the alkyl structure of the surfactant on the skin barrier function. We strongly suspect the effects on intercelluler lipids, but these have not yet been confirmed. Studies on the effects of keratinocyte lipids are our future work.

Author Contributions

K.K. and M.O. developed the Transmission Index method. And K.K. executed data analysis of skin permeability and microscopy experiments and wrote the entire manuscript and correspond for this article. A.K. conducted skin permeation experiments on the soaps mainly and Y.T. executed a part of experiments. S.T. is the general leader of the research project on the effect of surfactant on skin barrier function. All authors have read and agreed to the published version of the manuscript.

Funding

A part of this work was supported by JSPS KAKENHI Grant Number JP19K14014.

Conflicts of Interest

The authors declare no conflict of interest.

References

  1. Ridout, G.; Hinz, R.S.; Hostynek, J.J.; Reddy, A.K.; Wiersema, R.J.; Hodson, C.D.; Lorence, C.R.; Guy, R.H. The effects of zwitterionic surfactants on skin barrier function. Fund. Appl. Toxicol. 1991, 16, 41–50. [Google Scholar] [CrossRef]
  2. Lemery, E.; Briançon, S.; Chevalier, Y.; Oddos, T.; Gohier, A.; Boyron, O.; Bolzinger, M.-A. Surfactants have multi-fold effects on skin barrier function. Eur. J. Dermatol. 2015, 25, 424–435. [Google Scholar] [CrossRef] [PubMed]
  3. Yanase, K.; Hatta, I. Disruption of human stratum corneum lipid structure by sodium dodecyl sulphate. Int. J. Cosmet. Sci. 2018, 40, 44–49. [Google Scholar] [CrossRef]
  4. Elias, P.M.; Goerke, J.; Friend, D.S. Mammalian epidermal barrier layer lipids: Composition and influence on structure. J. Investig. Dermatol. 1977, 69, 535–546. [Google Scholar] [CrossRef]
  5. Norlén, L. Skin barrier structure and function: The single gel phase model. J. Investig. Dermatol. 2011, 117, 830–836. [Google Scholar] [CrossRef]
  6. Ruela, A.L.M.; Perissinato, A.G.; Lino, M.E.S.; Mudrik, P.S.; Pereira, G.R. Evaluation of skin absorption of drugs from topical and transdermal formulations. Braz. J. Pharm. Sci. 2016, 52, 527–544. [Google Scholar] [CrossRef]
  7. Moore, P.M.; Puvvada, S.; Blankshtein, D. Challenging the surfactant monomer skin penetration model: Penetration of sodium dodecyl sulfate micelles into the epidermis. J. Cosmet. Sci. 2003, 54, 29–46. [Google Scholar]
  8. Rhein, L.D.; Schlossman, M.; O’Lenick, A.; Somasundaran, P. Surfactants in Personal Care Products and Decorative Cosmetics, 3rd ed.; CRC Press, Taylor & Francis Group: Boca Raton, FL, USA, 2006. [Google Scholar]
  9. Morris, S.A.V.; Thompson, R.T.; Glenn, R.W.; Ananthapadmanabhan, K.P.; Kasting, G.B. Mechanisms of anionic surfactant penetration into human skin: Investigating monomer, micelle and submicellar aggregate penetration theories. Int. J. Cosmet. Sci. 2019, 41, 55–66. [Google Scholar] [CrossRef]
  10. Kurosaki, T.; Imokawa, G.; Ishida, A. The development of monoalkyl phosphate as a low skin irritating anionic surfactant. J. Jpn. Oil Chem. Soc. 1987, 36, 629–637. [Google Scholar] [CrossRef]
  11. Roskos, K.V.; Guy, R.H. Assessment of skin barrier function using transepidermal water loss: Effect of age. Pharm. Res. 1989, 6, 949–953. [Google Scholar] [CrossRef] [PubMed]
  12. Lee, S.H.; Jeong, S.K.; Ahn, S.K. An update of the defensive barrier function of skin. Yonsei Med. J. 2006, 47, 293–306. [Google Scholar] [CrossRef] [PubMed]
  13. Gupta, J.; Grube, E.; Ericksen, M.B.; Stevenson, M.D.; Lucky, A.W.; Sheth, A.P.; Assa’Ad, A.H.; Hershey, G.K.K. Intrinsically defective skin barrier function in children with atopic dermatitis correlates with disease severity. J. Allergy Clin. Immunol. 2008, 121, 725–730. [Google Scholar] [CrossRef] [PubMed]
  14. OECD. OECD guidelines for the testing of chemicals. Section 4: Health effects. In Test. No. 428: Skin Absorption: In Vitro Method; OECD Publishing: Paris, France, 2004. [Google Scholar]
  15. Okasaka, M.; Kubota, K.; Yamasaki, E.; Yang, J.; Takata, S. Evaluation of anionic surfactants effects on the skin barrier function based on skin permeability. Pharm. Dev. Technol. 2019, 24, 99–104. [Google Scholar] [CrossRef]
  16. Caparica, R.; Júlio, A.; Mota, J.P.; Almeida, C.R.T.S. Applicability of ionic liquids in topical drug delivery systems: A mini review. J. Pharm. Clin. Res. 2018, 4, 555649–555655. [Google Scholar] [CrossRef]
  17. Sidat, Z.; Marimuthu, T.; Kumar, P.; Du Toit, L.C.; Kondiah, P.P.D.; Choonara, Y.E.; Pillay, V. Ionic liquids as potential and synergistic permeation enhancers for transdermal drug delivery. Pharmaceutics 2019, 11, 96. [Google Scholar] [CrossRef] [PubMed]
  18. Dobler, D.; Schmidts, T.; Klingenhöfer, I.; Runkel, F. Ionic liquids as ingredients in topical drug delivery systems. Int. J. Pharm. 2013, 441, 620–627. [Google Scholar] [CrossRef]
  19. Medrx Co., Ltd. External Preparation Composition Comprising Fatty Acid-Based Ionic Liquid as Active Ingredient. US 2014/0066471 A1, 6 March 2014. [Google Scholar]
  20. Kubota, K.; Shibata, A.; Yamaguchi, T. The molecular assembly of the ionic liquid/aliphatic carboxylic acid/aliphatic amine as effective and safety transdermal permeation enhancers. Eur. J. Pharm. Sci. 2016, 86, 75–83. [Google Scholar] [CrossRef]
  21. Bialek, A.; Bialek, M.; Jelinska, M.; Tokaz, A. Fatty acid profile of new promising unconventional plant oils for cosmetic use. Int. J. Cosmet. Sci. 2015, 38, 382–388. [Google Scholar] [CrossRef]
  22. Michalak, M.; Kiełtyka-Dadasiewicz, A. Nut oils and their dietetic and cosmetic significance: A review. J. Oleo Sci. 2019, 68, 111–120. [Google Scholar]
  23. Atkins, P.; Paula, J.D.; Keeler, J. Atkins’ Physical Chemistry, 11th ed.; Oxford University Press: New York, NY, USA, 2017. [Google Scholar]
  24. Nakama, Y. Surfactants. In Cosmetic Science and Technology; Elsevier: Amsterdam, The Nederland, 2017; pp. 231–244. [Google Scholar]
  25. Potts, R.O.; Guy, R.H. A predictive algorithm for skin permeability: The effects of molecular size and hydrogen bond activity. Pharm. Res. 1995, 12, 1628–1633. [Google Scholar] [CrossRef]
  26. Yamaguchi, F.; Watanabe, S.; Harada, F.; Miyake, M.; Yoshida, M.; Okano, T. In vitro analysis of the effect of alkyl-chain length of anionic surfactants on the skin by using a reconstructed human epidermal model. J. Oleo Sci. 2014, 63, 995–1004. [Google Scholar] [CrossRef] [PubMed]
  27. Kanikkannan, N.; Singh, M. Skin permeation enhancement effect and skin irritation of saturated fatty alcohols. Int. J. Pharm. 2002, 248, 219–228. [Google Scholar] [CrossRef]
  28. James-Smith, M.A.; Hellner, B.; Annunziato, N.; Mitaragotri, S. Effect of surfactant mixture on skin structure and barrier properties. Ann. Biomed. Eng. 2011, 39, 1215–1223. [Google Scholar] [CrossRef] [PubMed]
  29. Benrraou, M.; Bales, B.L.; Zana, R. Effect of the nature of the counterion on the properties of anionic surfactants. 1. CMC, ionization degree at the CMC and aggregation number of micelles of sodium, cesium, tetramethylammonium, tetraethylammonium, tetrapropylammonium, and tetrabutylammonium dodecyl sulfates. J. Phys. Chem. B 2003, 107, 13432–13440. [Google Scholar]
  30. Smith, G.N.; Brown, P.; James, C.; Kemp, R.; Khan, A.M.; Plivelic, T.S.; Rogers, S.E.; Eastoe, J. The effects of counterion exchange on charge stabilization for anionic surfactants in nonpolar solvents. J. Colloid Interface Sci. 2016, 465, 316–322. [Google Scholar] [CrossRef]
  31. Yadav, S.K.; Kumar, S. Counterion-specific clouding in aqueous anionic surfactant: A case of Hofmeister-like series. Colloid Polym. Sci. 2017, 295, 869–876. [Google Scholar] [CrossRef]
Figure 1. Time-dependent change in the permeation of methylparaben in skin stimulated with each surfactant and control (water). The skin permeation rate of methylparaben from 1 to 6 h was constant, indicating that the skin permeation was in a steady state. Each point value represents mean ± standard error, n = 35 (control), n = 6–10 (sample).
Figure 1. Time-dependent change in the permeation of methylparaben in skin stimulated with each surfactant and control (water). The skin permeation rate of methylparaben from 1 to 6 h was constant, indicating that the skin permeation was in a steady state. Each point value represents mean ± standard error, n = 35 (control), n = 6–10 (sample).
Applsci 10 04310 g001
Figure 2. The Fluxss of the skin samples stimulated by each surfactant and control (water). Each point value represents the mean ± standard error, n = 35 (control), n = 6–10 (sample). The white bar represents the Fluxss of the water-treated sample (control). The shaded bar represents the Fluxss of the sodium laurate-treated sample. The Fluxss of each structurally isomeric C18 fatty acid soap (sodium stearate, sodium isostearate, sodium oleate, and sodium linoleate)-treated sample is represented by gray bars and the name of each fatty acid soap is described below the horizontal axis. The measured value, represented by symbol (*), shows the statistically significant difference against the control; p < 0.05. The non-statistically significant difference observed against the control is represented by † and against sodium laurate is represented by ††; p > 0.1.
Figure 2. The Fluxss of the skin samples stimulated by each surfactant and control (water). Each point value represents the mean ± standard error, n = 35 (control), n = 6–10 (sample). The white bar represents the Fluxss of the water-treated sample (control). The shaded bar represents the Fluxss of the sodium laurate-treated sample. The Fluxss of each structurally isomeric C18 fatty acid soap (sodium stearate, sodium isostearate, sodium oleate, and sodium linoleate)-treated sample is represented by gray bars and the name of each fatty acid soap is described below the horizontal axis. The measured value, represented by symbol (*), shows the statistically significant difference against the control; p < 0.05. The non-statistically significant difference observed against the control is represented by † and against sodium laurate is represented by ††; p > 0.1.
Applsci 10 04310 g002
Figure 3. Micrograph of the skin tissues stimulated with 1% fatty acid soap after the hematoxylin–eosin (HE) staining. (a) represents the intact skin tissue, magnified with a 20× objective. Sample treated with water for 1 h is represented in (b). The skin tissue samples treated for 1 h with 1% (c) sodium stearate, (d) sodium isostearate, (e) sodium oleate, (f) sodium linoleate, and (g) sodium laurate. (bf) are magnified with a 20× objective, and (g) with a 10× objective.
Figure 3. Micrograph of the skin tissues stimulated with 1% fatty acid soap after the hematoxylin–eosin (HE) staining. (a) represents the intact skin tissue, magnified with a 20× objective. Sample treated with water for 1 h is represented in (b). The skin tissue samples treated for 1 h with 1% (c) sodium stearate, (d) sodium isostearate, (e) sodium oleate, (f) sodium linoleate, and (g) sodium laurate. (bf) are magnified with a 20× objective, and (g) with a 10× objective.
Applsci 10 04310 g003
Table 1. Transmission index (TI) value of each surfactant.
Table 1. Transmission index (TI) value of each surfactant.
Fatty Acid SoapTransmission Index ± SE
Sodium stearate1.10 ± 0.08
Sodium isostearate1.56 ± 0.10
Sodium oleate2.92 ± 0.11
Sodium linoleate3.40 ± 0.07
Sodium laurate3.99 ± 0.10

Share and Cite

MDPI and ACS Style

Kubota, K.; Kakishita, A.; Okasaka, M.; Tokunaga, Y.; Takata, S. Effect of Alkyl Structure (Straight Chain/Branched Chain/Unsaturation) of C18 Fatty Acid Sodium Soap on Skin Barrier Function. Appl. Sci. 2020, 10, 4310. https://doi.org/10.3390/app10124310

AMA Style

Kubota K, Kakishita A, Okasaka M, Tokunaga Y, Takata S. Effect of Alkyl Structure (Straight Chain/Branched Chain/Unsaturation) of C18 Fatty Acid Sodium Soap on Skin Barrier Function. Applied Sciences. 2020; 10(12):4310. https://doi.org/10.3390/app10124310

Chicago/Turabian Style

Kubota, Koji, Akie Kakishita, Mana Okasaka, Yuka Tokunaga, and Sadaki Takata. 2020. "Effect of Alkyl Structure (Straight Chain/Branched Chain/Unsaturation) of C18 Fatty Acid Sodium Soap on Skin Barrier Function" Applied Sciences 10, no. 12: 4310. https://doi.org/10.3390/app10124310

APA Style

Kubota, K., Kakishita, A., Okasaka, M., Tokunaga, Y., & Takata, S. (2020). Effect of Alkyl Structure (Straight Chain/Branched Chain/Unsaturation) of C18 Fatty Acid Sodium Soap on Skin Barrier Function. Applied Sciences, 10(12), 4310. https://doi.org/10.3390/app10124310

Note that from the first issue of 2016, this journal uses article numbers instead of page numbers. See further details here.

Article Metrics

Back to TopTop