Insights into the Transcriptomic Response of Two Aspergillus Fungi Growing in the Presence of Microplastics of Polyethylene Terephthalate Residues Unveil the Presence of Fungal Machinery for Possible PET Bioconversion into High-Value Chemicals
Abstract
1. Introduction
2. Methods
2.1. Microorganisms
2.2. Fungal Identification
2.3. Selection of Better PET Particle Size and Shape for Incubation
2.4. Fungal Growth Conditions
2.5. Transcriptomic Analysis
2.5.1. RNA Extraction
2.5.2. RNA-Seq Library Preparation
2.5.3. Bioinformatics Analysis
2.6. Identification of Fungal Extracellular Proteins
2.6.1. Quantification of Protein Concentration
2.6.2. Protein Profile by SDS-PAGE
2.6.3. Protein Identification
2.6.4. Zymogram Analysis
2.6.5. Chitinase Activity Determination
2.6.6. Bioinformatics Tools
3. Results
3.1. Fungi Identification
3.2. Selection of PET Particle Shape and Size for Incubation
3.3. Changes in PET Microplastics During Fungal Culture
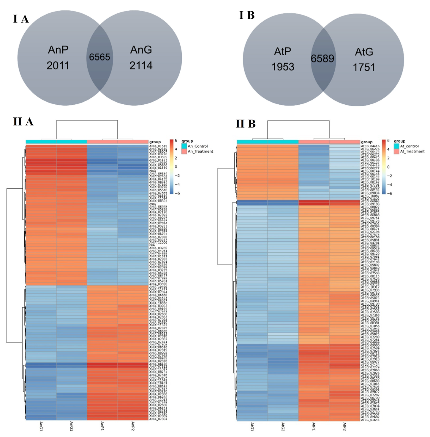
3.4. Transcriptomic Analysis Results
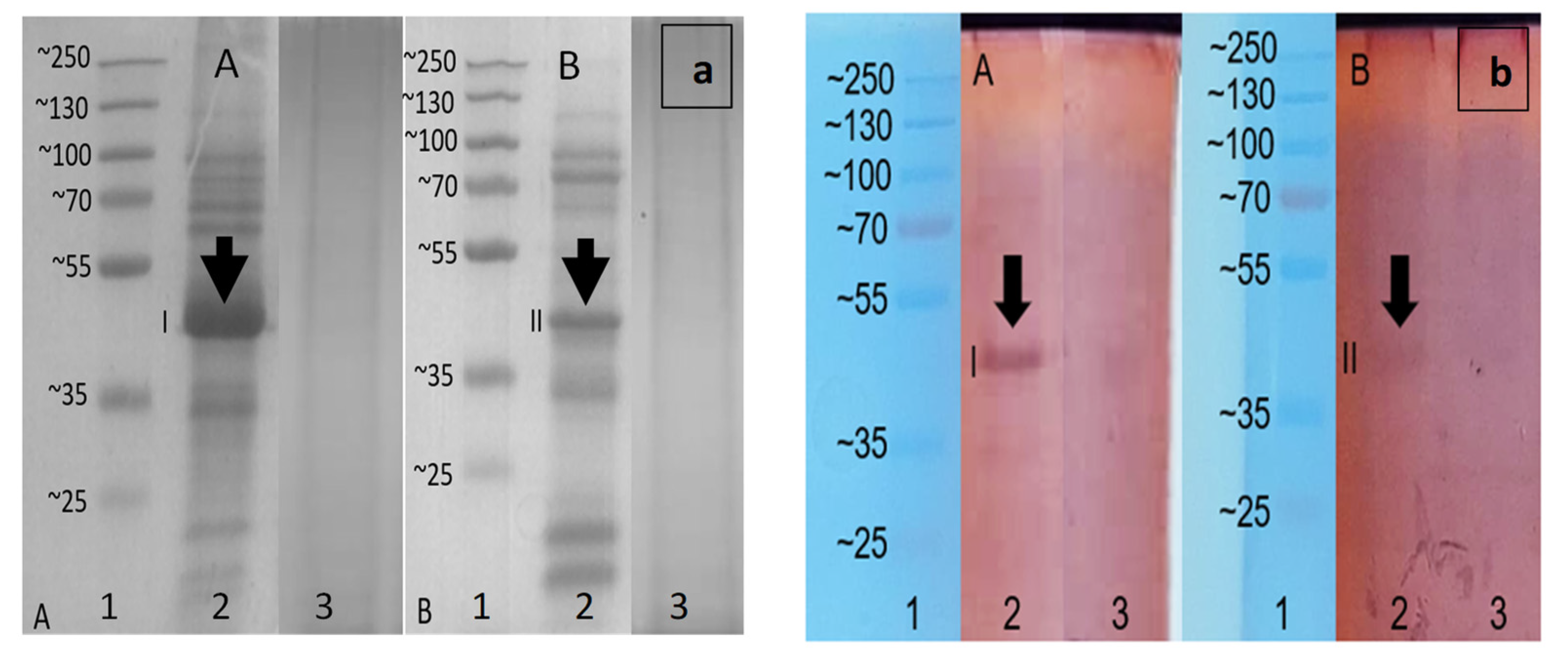
3.5. Fungal Extracellular Proteins Expressed by Aspergillus During PET Exposition
4. Discussion
4.1. Changes in PET During Fungal Culture
4.2. Transcriptomic Study
4.2.1. Carboxylester Hydrolases (CEH) Expressed During PET Exposure
4.2.2. Cutinases
4.2.3. Lipases
4.2.4. Other Proteins Expressed During PET Exposure
Hydrophobins
4.2.5. Biopolymer-Degrading Enzymes
Chitinases
Polysaccharide-Degrading Enzymes Involved in Cellulose, Lignin and Xylose Degradation
4.2.6. Enzymes from Other Metabolic Processes
4.2.7. Enzymes Degrading Other Pollutants
4.2.8. Enzymes Involved in Sterigmatocystin Biosynthesis
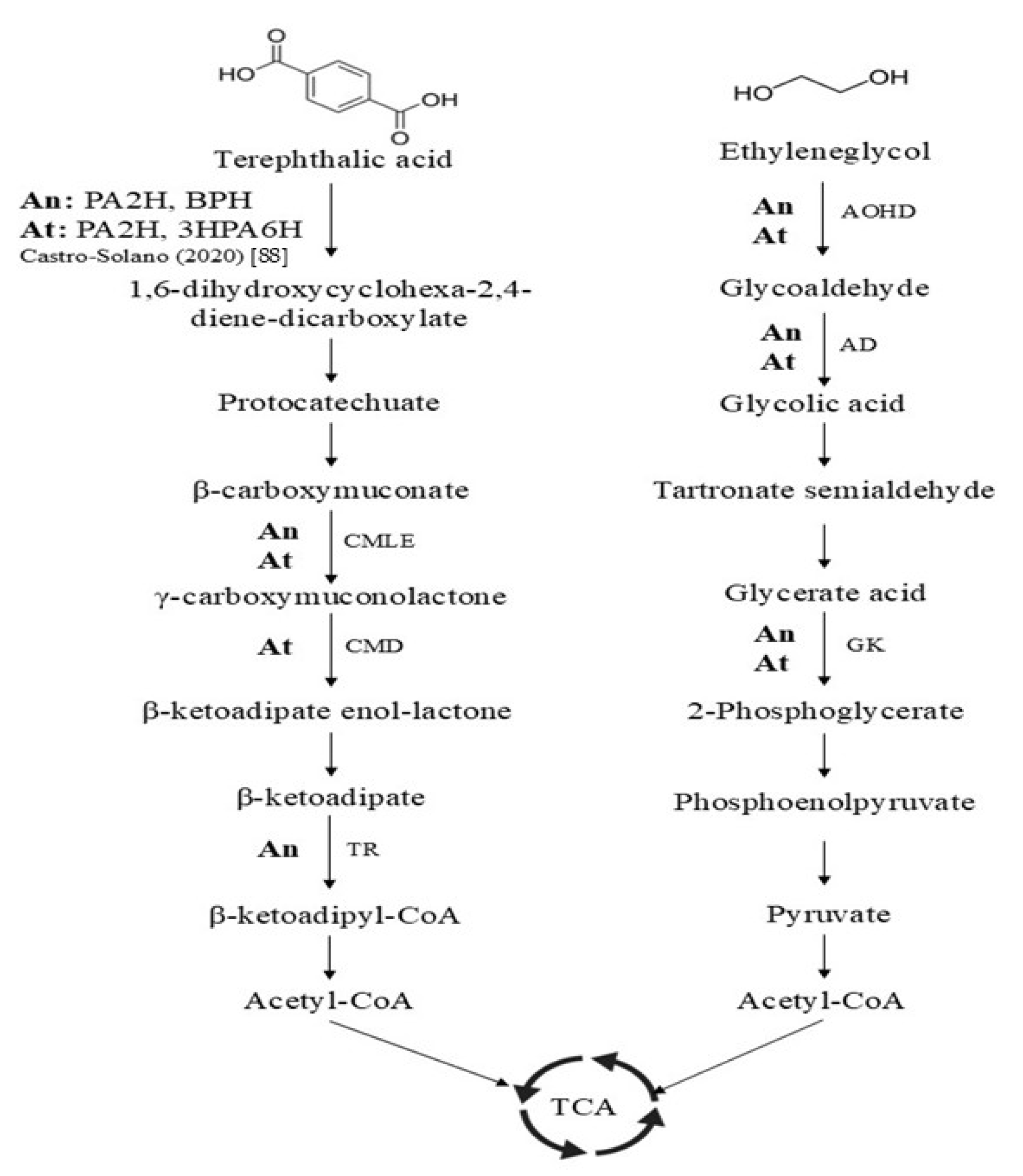
4.2.9. Enzymes Related to Bacterial TPA and EG-Degrading Enzymes
4.2.10. PET Degradation Mechanism by Aspergillus
4.3. Main Extracellular Proteins Expressed by Aspergillus During PET Exposition
5. Conclusions
Supplementary Materials
Author Contributions
Funding
Data Availability Statement
Acknowledgments
Conflicts of Interest
References
- Williams, A.T.; Rangel-Buitrago, N. The past, present, and future of plastic pollution. Mar. Pollut. Bull. 2022, 176, 113429. [Google Scholar] [CrossRef]
- Koshti, R.; Mehta, L.; Samarth, N. Biological recycling of polyethylene terephthalate: A mini-review. J. Polym. Environ. 2018, 26, 3520–3529. [Google Scholar] [CrossRef]
- Soong, Y.-H.V.; Sobkowicz, M.J.; Xie, D. Recent Advances in Biological Recycling of Polyethylene Terephthalate (PET) Plastic Wastes. Bioengineering 2022, 9, 98. [Google Scholar] [CrossRef] [PubMed]
- Plastics Europe (2024) Plastics—The Fast Facts. 2024. Available online: https://plasticseurope.org/knowledge-hub/plastics-the-fast-facts-2024/ (accessed on 14 August 2025).
- Dhaka, V.; Singh, S.; Anil, A.G.; Sunil Kumar Naik, T.S.; Garg, S.; Samuel, J.; Singh, J. Occurrence, toxicity and remediation of polyethylene terephthalate plastics. A review. Environ. Chem. Lett. 2022, 20, 1777–1800. [Google Scholar] [CrossRef] [PubMed]
- Chu, J.; Cai, Y.; Li, C.; Wang, X.; Liu, Q.; He, M. Dynamic flows of polyethylene terephthalate (PET) plastic in China. Waste Manag. 2021, 124, 273–282. [Google Scholar] [CrossRef]
- Tsironi, T.N.; Chatzidakis, S.M.; Stoforos, N.G. The future of polyethylene terephthalate bottles: Challenges and sustainability. Packag. Technol. Sci. 2022, 35, 317–325. [Google Scholar] [CrossRef]
- Li, P.; Wang, X.; Su, M.; Zou, X.; Duan, L.; Zhang, H. Characteristics of plastic pollution in the environment: A review. Bull. Environ. Contam. Toxicol. 2020, 107, 577–584. [Google Scholar] [CrossRef]
- Kasavan, S.; Yusoff, S.; Fakri, M.F.R.; Siron, R. Plastic pollution in water ecosystems: A bibliometric analysis from 2000 to 2020. J. Clean. Prod. 2021, 313, 127946. [Google Scholar] [CrossRef]
- MacLeod, M.; Arp, H.P.H.; Tekman, M.B.; Jahnke, A. The global threat from plastic pollution. Science 2021, 373, 61–65. [Google Scholar] [CrossRef]
- Ragusa, A.; Svelato, A.; Santacroce, C.; Catalano, P.; Notarstefano, V.; Carnevali, O.; Papa, F.; Rongioletti, M.C.A.; Baiocco, F.; Draghi, S.; et al. Plasticenta: First evidence of microplastics in human placenta. Environ. Int. 2021, 146, 106274. [Google Scholar] [CrossRef]
- Morales-Cano, K.L.; Hermida-Castellanos, L.; Adame-Adame, C.M.; Peláez, L.A.P. Micro (Nano) Plastics as Carriers of Toxic Agents and Their Impact on. In Advances and Challenges in Microplastics; IntechOpen: London, UK, 2023; p. 185. [Google Scholar]
- Srikanth, M.; Sandeep, T.S.R.S.; Sucharitha, K.; Godi, S. Biodegradation of plastic polymers by fungi: A brief review. Bioresour. Bioprocess. 2022, 9, 42. [Google Scholar] [CrossRef] [PubMed]
- Okal, E.J.; Heng, G.; Magige, E.A.; Khan, S.; Wu, S.; Ge, Z.; Zhang, T.; Mortimer, P.E.; Xu, J. Insights into the mechanisms involved in the fungal degradation of plastics. Ecotoxicol. Environ. Saf. 2023, 262, 115202. [Google Scholar] [CrossRef] [PubMed]
- Ronkvist, Å.M.; Xie, W.; Lu, W.; Gross, R.A. Cutinase-catalyzed hydrolysis of poly (ethylene terephthalate). Macromolecules 2009, 42, 5128–5138. [Google Scholar] [CrossRef]
- Vázquez-Alcántara, L.; Oliart-Ros, R.M.; García-Bórquez, A.; Peña-Montes, C. Expression of a cutinase of Moniliophthora roreri with polyester and PET-plastic residues degradation activity. Microbiol. Spectr. 2021, 9, e00976-21. [Google Scholar] [CrossRef]
- Peña-Montes, C.; Bermúdez-García, E.; Castro-Ochoa, D.; Vega-Pérez, F.; Esqueda-Domínguez, K.; Castro-Rodríguez, J.A.; González-Canto, A.; Segoviano-Reyes, L.; Navarro-Ocaña, A.; Farrés, A. ANCUT1, a novel thermoalkaline cutinase from Aspergillus nidulans and its application on hydroxycinnamic acids lipophilization. Biotechnol. Lett. 2024, 46, 409–430. [Google Scholar] [CrossRef]
- Bermúdez-García, E.; Peña-Montes, C.; Castro-Rodríguez, J.A.; González-Canto, A.; Navarro Ocaña, A.; Farrés, A. ANCUT2, a thermo-alkaline cutinase from Aspergillus nidulans and its potential applications. Appl. Biochem. Biotechnol. 2017, 182, 1014–1036. [Google Scholar] [CrossRef]
- Castro-Ochoa, D.; Peña-Montes, C.; González-Canto, A.; Alva-Gasca, A.; Esquivel-Bautista, R.; Navarro-Ocaña, A.; Farrés, A. ANCUT2, an extracellular cutinase from Aspergillus nidulans, induced by olive oil. Appl. Biochem. Biotechnol. 2012, 166, 1275–1290. [Google Scholar] [CrossRef]
- Ekanayaka, A.H.; Tibpromma, S.; Dai, D.; Xu, R.; Suwannarach, N.; Stephenson, S.L.; Dao, C.; Karunarathna, S.C. A review of the fungi that degrade plastic. J. Fungi 2022, 8, 772. [Google Scholar] [CrossRef]
- Temporiti, M.E.E.; Nicola, L.; Nielsen, E.; Tosi, S. Fungal enzymes involved in plastics biodegradation. Microorganisms 2022, 10, 1180. [Google Scholar] [CrossRef]
- MacLean, J.; Bartholomäus, A.; Blukis, R.; Liebner, S.; Wagner, D. Metatranscriptomics of microbial biofilm succession on HDPE foil: Uncovering plastic-degrading potential in soil communities. Environ. Microbiome 2024, 19, 95. [Google Scholar] [CrossRef]
- Tseng, W.-S.; Lee, M.-J.; Chen, T.-Y.; Lin, S.-S.; Chang, S.-L.; Lin, P.-Y.; Lu, T.-J.; Liu, C.-T. Synergistic enhancement of PBAT biodegradation by Purpureocillium lilacinum BA1S: Insights from transcriptomics and functional analyses. J. Hazard. Mater. 2025, 497, 139699. [Google Scholar] [CrossRef]
- Kumari, A.; Bano, N.; Bag, S.K.; Chaudhary, D.R.; Jha, B. Transcriptome-guided insights into plastic degradation by the marine bacterium. Front. Microbiol. 2021, 12, 751571. [Google Scholar] [CrossRef] [PubMed]
- Slobodian, M.R.; Jillings, D.; Barot, A.K.; Dougherty, J.; Passi, K.; Tharmalingam, S.; Appanna, V.D. Metabolism of Terephthalic Acid by a Novel Bacterial Consortium Produces Valuable By-Products. Microorganisms 2025, 13, 2082. [Google Scholar] [CrossRef] [PubMed]
- Sharma, P.; Singh, S.P.; Iqbal, H.M.; Tong, Y.W. Omics approaches in bioremediation of environmental contaminants: An integrated approach for environmental safety and sustainability. Environ. Res. 2022, 211, 113102. [Google Scholar] [CrossRef] [PubMed]
- Qi, X.; Zhu, M.; Yuan, Y.; Rong, X.; Dang, Z.; Yin, H. Integrated toxicology, metabolomics, and transcriptomics analyses reveal the biodegradation and adaptation mechanisms to BDE-47 in Pseudomonas plecoglossicida. Chem. Eng. J. 2023, 454, 140412. [Google Scholar] [CrossRef]
- Fukuzawa, M.; Yamaguchi, R.; Hide, I.; Chen, Z.; Hirai, Y.; Sugimoto, A.; Yasuhara, T.; Nakata, Y. Possible involvement of long chain fatty acids in the spores of Ganoderma lucidum (Reishi Houshi) to its anti-tumor activity. Biol. Pharm. Bull. 2008, 31, 1933–1937. [Google Scholar] [CrossRef]
- Sambrook, J.; Fritsch, E.F. Molecular Cloning: A Laboratory Manual, 3rd ed.; Cold Spring Harbor Laboratory Press: New York, NY, USA, 2001. [Google Scholar]
- White, T.J.; Bruns, T.; Lee, S.J.W.T.; Taylor, J. Amplification and direct sequencing of fungal ribosomal RNA genes for phylogenetics. In PCR Protocols: A Guide to Methods and Applications; Academic Press: New York, NY, USA, 1990; Volume 18, pp. 315–322. [Google Scholar]
- Goodstadt, L.; Ponting, C.P. CHROMA: Consensus-based colouring of multiple alignments for publication. Bioinformatics 2001, 17, 845–846. [Google Scholar] [CrossRef]
- Corpet, F. Multiple sequence alignment with hierarchical clustering. Nucleic Acids Res. 1988, 16, 10881–10890. [Google Scholar] [CrossRef]
- Hill, T.W.; Kafer, E. Improved protocols for Aspergillus minimal medium: Trace element and minimal medium salt stock solutions. Fungal Genet. Rep. 2001, 48, 20–21. [Google Scholar] [CrossRef]
- Beltrán-Sanahuja, A.; Casado-Coy, N.; Simó-Cabrera, L.; Sanz-Lázaro, C. Monitoring polymer degradation under different conditions in the marine environment. Environ. Pollut. 2020, 259, 113836. [Google Scholar] [CrossRef]
- Qi, X.; Ma, Y.; Chang, H.; Li, B.; Ding, M.; Yuan, Y. Evaluation of PET degradation using artificial microbial consortia. Front. Microbiol. 2021, 12, 778828. [Google Scholar] [CrossRef] [PubMed]
- Voytas, D. Agarose gel electrophoresis. Curr. Protoc. Immunol. 1992, 2, 10–14. [Google Scholar] [CrossRef]
- Bradford, M.M. A rapid and sensitive method for the quantitation of microgram quantities of protein utilizing the principle of protein-dye binding. Anal. Biochem. 1976, 72, 248–254. [Google Scholar] [CrossRef] [PubMed]
- Laemmli, U.K. Cleavage of structural proteins during the assembly of the head of bacteriophage T4. Nature 1970, 227, 680–685. [Google Scholar] [CrossRef] [PubMed]
- Ruiz-May, E.; Altúzar-Molina, A.; Elizalde-Contreras, J.M.; Arellano-de Los Santos, J.; Monribot-Villanueva, J.; Guillén, L.; Vázquez-Rosas-Landa, M.; Ibarra-Laclette, E.; Ramírez-Vázquez, M.; Ortega, R.; et al. A first glimpse of the Mexican fruit fly Anastrepha ludens (Diptera: Tephritidae) antenna morphology and proteome in response to a proteinaceous attractant. Int. J. Mol. Sci. 2020, 21, 8086. [Google Scholar] [CrossRef]
- Pandya, U.; Saraf, M. Purification and characterization of antifungal chitinase from Bacillus safensis MBCU6 and its application for production of chito-oligosaccharides. Biologia 2015, 70, 863–868. [Google Scholar] [CrossRef]
- Gonfa, T.G.; Negessa, A.K.; Bulto, A.O. Isolation, screening, and identification of chitinase-producing bacterial strains from riverbank soils at Ambo, Western Ethiopia. Heliyon 2023, 9, e21643. [Google Scholar] [CrossRef]
- Miller, G.L. Use of dinitrosalicylic acid reagent for determination of reducing sugar. Anal. Chem. 1959, 31, 426–428. [Google Scholar] [CrossRef]
- Peña-Montes, C.; Farrés-González, A.; Hernández-Domínguez, E.; Morales-García, S.; Sánchez-Sánchez, M.; Solís-Báez, I. Cutinasas Recombinantes de Aspergillus nidulans para la Biodegradación de Poliésteres. Mexican Patent MX380946, 9 March 2021. [Google Scholar]
- Samat, A.F.; Carter, D.; Abbas, A. Biodeterioration of pre-treated polypropylene by Aspergillus terreus and Engyodontium album. npj Mater. Degrad. 2023, 7, 28. [Google Scholar] [CrossRef]
- Chien, H.L.; Tsai, Y.T.; Tseng, W.S.; Wu, J.A.; Kuo, S.L.; Chang, S.L.; Huang, S.J.; Liu, C.T. Biodegradation of PBSA films by Elite Aspergillus isolates and farmland soil. Polymers 2022, 14, 1320. [Google Scholar] [CrossRef]
- Usman, N.; Atta, H.I.; Tijjani, M.B. Biodegradation studies of benzene, toluene, ethylbenzene and xylene (BTEX) compounds by Gliocladium sp. and Aspergillus terreus. J. Appl. Sci. Environ. Manag. 2020, 24, 1063–1069. [Google Scholar] [CrossRef]
- Alharbi, N.K.; Alzaban, M.I.; Albarakaty, F.M.; Abd El-Aziz, A.R.; AlRokban, A.H.; Mahmoud, M.A. Transcriptome profiling reveals differential gene expression of laccase genes in Aspergillus terreus KC462061 during biodegradation of crude oil. Biology 2022, 11, 564. [Google Scholar] [CrossRef]
- Maheswaran, B.; Al-Ansari, M.; Al-Humaid, L.; Raj, J.S.; Kim, W.; Karmegam, N.; Rafi, K.M. In vivo degradation of polyethylene terephthalate using microbial isolates from plastic polluted environment. Chemosphere 2023, 310, 136757. [Google Scholar] [CrossRef]
- Farzi, A.; Dehnad, A.; Fotouhi, A.F. Biodegradation of polyethylene terephthalate waste using Streptomyces species and kinetic modeling of the process. Biocatal. Agric. Biotechnol. 2019, 17, 25–31. [Google Scholar] [CrossRef]
- Miranda, M.A.; Jabarin, S.A.; Coleman, M. Modification of poly (ethylene terephthalate)(PET) using linoleic acid for oxygen barrier improvement: Impact of processing methods. J. Appl. Polym. Sci. 2017, 134, 45023. [Google Scholar] [CrossRef]
- Khairul Anuar, N.F.S.; Huyop, F.; Ur-Rehman, G.; Abdullah, F.; Normi, Y.M.; Sabullah, M.K.; Abdul Wahab, R. An Overview into Polyethylene Terephthalate (PET) Hydrolases and Efforts in Tailoring Enzymes for Improved Plastic Degradation. Int. J. Mol. Sci. 2022, 23, 12644. [Google Scholar] [CrossRef] [PubMed]
- Sui, B.; Wang, T.; Fang, J.; Hou, Z.; Shu, T.; Lu, Z.; Liu, F.; Zhu, Y. Recent advances in the biodegradation of polyethylene terephthalate with cutinase-like enzymes. Front. Microbiol. 2023, 14, 1265139. [Google Scholar] [CrossRef] [PubMed]
- Anbalagan, S.; Venkatakrishnan, H.R.R.; Ravindran, J.; Sathyamoorthy, J.; Rangabashyam, K.A.; Ragini, Y.P.; Sathasivam, J.; Sureshbabu, K. Hydrolytic degradation of polyethylene terephthalate by cutinase enzyme derived from fungal biomass–molecular characterization. Biointerface Res. Appl. Chem. 2021, 12, 653–667. [Google Scholar] [CrossRef]
- Bermúdez-García, E.; Peña-Montes, C.; Martins, I. Regulation of the cutinases expressed by Aspergillus nidulans and evaluation of their role in cutin degradation. Appl. Microbiol. Biotechnol. 2019, 103, 3863–3874. [Google Scholar] [CrossRef]
- Ahmaditabatabaei, S.; Kyazze, G.; Iqbal, H.M.; Keshavarz, T. Fungal enzymes as catalytic tools for polyethylene terephthalate (PET) degradation. J. Fungi 2021, 7, 931. [Google Scholar] [CrossRef]
- Puspitasari, N.; Tsai, S.L.; Lee, C.K. Class I hydrophobins pretreatment stimulates PETase for monomers recycling of waste PETs. Int. J. Biol. Macromol. 2021, 176, 157–164. [Google Scholar] [CrossRef]
- Chen, Z.; Duan, R.; Xiao, Y.; Wei, Y.; Zhang, H.; Sun, X.; Wang, S.; Cheng, Y.; Wang, X.; Tong, S.; et al. Biodegradation of highly crystallized poly (ethylene terephthalate) through cell surface codisplay of bacterial PETase and hydrophobin. Nat. Commun. 2022, 13, 7138. [Google Scholar] [CrossRef]
- Puspitasari, N.; Tsai, S.L.; Lee, C.K. Fungal hydrophobin RolA enhanced PETase hydrolysis of polyethylene terephthalate. Appl. Biochem. Biotechnol. 2021, 193, 1284–1295. [Google Scholar] [CrossRef] [PubMed]
- Ribitsch, D.; Herrero Acero, E.; Przylucka, A.; Zitzenbacher, S.; Marold, A.; Gamerith, C.; Tscheließnig, R.; Jungbauer, A.; Rennhofer, H.; Lichtenegger, H.; et al. Enhanced cutinase-catalyzed hydrolysis of polyethylene terephthalate by covalent fusion to hydrophobins. Appl. Environ. Microbiol. 2015, 81, 3586–3592. [Google Scholar] [CrossRef] [PubMed]
- Chen, W.; Jiang, X.; Yang, Q. Glycoside hydrolase family 18 chitinases: The known and the unknown. Biotechnol. Adv. 2020, 43, 107553. [Google Scholar] [CrossRef]
- Rajput, M.; Kumar, M.; Pareek, N. Myco-chitinases as versatile biocatalysts for translation of coastal residual resources to eco-competent chito-bioactives. Fungal Biol. Rev. 2022, 41, 52–69. [Google Scholar] [CrossRef]
- He, L.; Yang, S.S.; Ding, J.; He, Z.L.; Pang, J.W.; Xing, D.F.; Zhao, L.; Zheng, H.S.; Ren, N.Q.; Wu, W.M. Responses of gut microbiomes to commercial polyester polymer biodegradation in Tenebrio molitor Larvae. J. Hazard. Mater. 2023, 457, 131759. [Google Scholar] [CrossRef]
- Urbanek, A.K.; Arroyo, M.; de la Mata, I.; Mirończuk, A.M. Identification of novel extracellular putative chitinase and hydrolase from Geomyces sp. B10I with the biodegradation activity towards polyesters. AMB Express 2022, 12, 12. [Google Scholar] [CrossRef]
- Kukkemane, K.; Krishnapati, L.S.; Vuruputuri, R.M.; Sakharayapatna, K.; Kumar, N.S. Purification and Biochemical Characterization of Beta-Hexosaminidase B from Freshwater Cnidarian Hydra vulgaris Ind-Pune. Trends Carbohydr. Res. 2024, 16, 60–75. [Google Scholar] [CrossRef]
- Unuofin, J.O.; Odeniyi, O.A.; Majengbasan, O.S.; Igwaran, A.; Moloantoa, K.M.; Khetsha, Z.P.; Iwarere, S.A.; Daramola, M.O. Chitinases: Expanding the boundaries of knowledge beyond routinized chitin degradation. Environ. Sci. Pollut. Res. 2024, 31, 38045–38060. [Google Scholar] [CrossRef]
- Datta, R. Enzymatic degradation of cellulose in soil: A review. Heliyon 2024, 10, e24022. [Google Scholar] [CrossRef]
- Syafriana, V.; Nuswantara, S.; Mangunwardoyo, W.; Lisdiyanti, P. Beta-Glucosidase 1 (bgl1) Gene Analysis in Mutant and Wild-type of Penicillium sp. ID10-T065. J. Ris. Biol. Dan Apl. 2022, 4, 1–8. [Google Scholar] [CrossRef]
- Müller, A. Gene Redundancy and Metabolic Flexibility in Aspergillus Niger: Tools to Enhance Industrial Biotechnology. PhD Thesis, Utrecht University, Utrecht, The Netherlands, 2024. [Google Scholar]
- Pawlik, A.; Stefanek, S.; Janusz, G. Properties, physiological functions and involvement of basidiomycetous alcohol oxidase in wood degradation. Int. J. Mol. Sci. 2022, 23, 13808. [Google Scholar] [CrossRef]
- Li, J.; Peng, C.; Mao, A.; Zhong, M.; Hu, Z. An overview of microbial enzymatic approaches for pectin degradation. Int. J. Biol. Macromol. 2024, 254, 127804. [Google Scholar] [CrossRef] [PubMed]
- Sun, R.; Xu, K.; Yu, L.; Pu, Y.; Xiong, F.; He, Y.; Huang, Q.; Tang, M.; Chen, M.; Yin, L.; et al. Preliminary study on impacts of polystyrene microplastics on the hematological system and gene expression in bone marrow cells of mice. Ecotoxicol. Environ. Saf. 2021, 218, 112296. [Google Scholar] [CrossRef]
- Yang, X.; Zhang, X.; Shu, X.; Gong, J.; Yang, J.; Li, B.; Lin, J.; Chai, Y.; Liu, J. The effects of polyethylene microplastics on the growth, reproduction, metabolic enzymes, and metabolomics of earthworms Eisenia fetida. Ecotoxicol. Environ. Saf. 2023, 263, 115390. [Google Scholar] [CrossRef] [PubMed]
- Chi, J.; Patterson, J.S.; Jin, Y.; Kim, K.J.; Lalime, N.; Hawley, D.; Lewis, F.; Li, L.; Wang, X.; Campen, M.J.; et al. Metabolic Reprogramming in Gut Microbiota Exposed to Polystyrene Microplastics. Biomedicines 2025, 13, 446. [Google Scholar] [CrossRef]
- Tao, X.; Ouyang, H.; Zhou, A.; Wang, D.; Matlock, H.; Morgan, J.S.; Ren, A.T.; Mu, D.; Pan, C.; Zhu, X.; et al. Polyethylene degradation by a Rhodococcus strain isolated from naturally weathered plastic waste enrichment. Environ. Sci. Technol. 2023, 57, 13901–13911. [Google Scholar] [CrossRef]
- Pinto, M.; Zhao, Z.; Klun, K.; Libowitzky, E.; Herndl, G.J. Microbial consortiums of putative degraders of low-density polyethylene-associated compounds in the ocean. Msystems 2022, 7, e01415-21. [Google Scholar] [CrossRef]
- He, Z.; Hou, Y.; Li, Y.; Bei, Q.; Li, X.; Zhu, Y.G.; Liesack, W.; Rillig, M.C.; Peng, J. Increased methane production associated with community shifts towards Methanocella in paddy soils with the presence of nanoplastics. Microbiome 2024, 12, 259. [Google Scholar] [CrossRef]
- Biratsi, A.; Athanasopoulos, A.; Kouvelis, V.N.; Gournas, C.; Sophianopoulou, V. A highly conserved mechanism for the detoxification and assimilation of the toxic phytoproduct L-azetidine-2-carboxylic acid in Aspergillus nidulans. Sci. Rep. 2021, 11, 7391. [Google Scholar] [CrossRef]
- Dong, T.; Liu, X.; Yang, Y.; Xiong, J.; Wang, X.; Yang, S. Function of N-acetyltransferase in the biotransformation of aniline in green alga Chlamydomonas reinhardtii. J. Phycol. 2025, 61, 231–240. [Google Scholar] [CrossRef] [PubMed]
- Zingales, V.; Fernández-Franzón, M.; Ruiz, M.J. Sterigmatocystin: Occurrence, toxicity and molecular mechanisms of action–A review. Food Chem. Toxicol. 2020, 146, 111802. [Google Scholar] [CrossRef] [PubMed]
- Wang, Y.; Yang, M.; Ge, F.; Jiang, B.; Hu, R.; Zhou, X.; Yang, Y.; Liu, M. Lysine succinylation of VBS contributes to sclerotia development and aflatoxin biosynthesis in Aspergillus flavus. Mol. Cell. Proteom. 2023, 22, 100490. [Google Scholar] [CrossRef] [PubMed]
- Ye, L.; Tang, J.; Wang, Z.; Tan, G. Comparative transcriptome analysis reveals pathogenic mechanisms of Colletotrichum gloeosporioides in figs (Ficus carica L.) infection. Microb. Pathog. 2025, 200, 107319. [Google Scholar] [CrossRef]
- Peña-Montes, C.; Lange, S.; Flores, I.; Castro-Ochoa, D.; Schmid, R.; Cruz-García, F.; Farrés, A. Molecular characterization of StcI esterase from Aspergillus nidulans. Appl. Microbiol. Biotechnol. 2009, 84, 917–926. [Google Scholar] [CrossRef]
- Tiwari, S.; Thakur, R.; Goel, G.; Shankar, J. Nano-LC-Q-TOF Analysis of Proteome Revealed Germination of Aspergillus flavus Conidia is Accompanied by MAPK Signalling and Cell Wall Modulation. Mycopathologia 2016, 181, 769–786. [Google Scholar] [CrossRef]
- Kodape, A.R.; Raveendran, A.; Babu, C.S.V. Aflatoxins: A postharvest associated challenge and mitigation opportunities. In Aflatoxins-Occurrence, Detection and Novel Detoxification Strategies; IntechOpen: London, UK, 2022. [Google Scholar] [CrossRef]
- Ho, C.L. Comparative genomics analysis of Ganoderma orthologs involved in plant-pathogenesis. Forests 2023, 14, 653. [Google Scholar] [CrossRef]
- Suraninpong, P.; Thongkhao, K.; Azzeme, A.M.; Suksa-Ard, P. Monitoring Drought Tolerance in Oil Palm: Choline Monooxygenase as a Novel Molecular Marker. Plants 2023, 12, 3089. [Google Scholar] [CrossRef]
- Qi, X.; Yan, W.; Cao, Z.; Ding, M.; Yuan, Y. Current advances in the biodegradation and bioconversion of polyethylene terephthalate. Microorganisms 2021, 10, 39. [Google Scholar] [CrossRef]
- Castro-Solano, B. Identificación y expresión heteróloga de enzimas que intervienen en la mineralización de PET. MSc. Thesis, Tecnológico Nacional de México, Veracruz, México, 2022. [Google Scholar]
- Ren, M.; Li, D.; Addison, H.; Noteborn, W.E.; Andeweg, E.H.; Glatter, T.; de Winde, J.H.; Rebelein, J.G.; Lamers, M.H.; Schada von Borzyskowski, L. Promiscuous NAD-dependent dehydrogenases enable efficient bacterial growth on the PET monomer ethylene glycol. bioRxiv 2024. [Google Scholar] [CrossRef]
- Shimizu, T.; Inui, M. Novel aspects of ethylene glycol catabolism. Appl. Microbiol. Biotechnol. 2024, 108, 369. [Google Scholar] [CrossRef] [PubMed]
- Satta, A.; Zampieri, G.; Loprete, G.; Campanaro, S.; Treu, L.; Bergantino, E. Metabolic and enzymatic engineering strategies for polyethylene terephthalate degradation and valorization. Rev. Environ. Sci. Bio/Technol. 2024, 23, 351–383. [Google Scholar] [CrossRef]
- Hachisuka, S.I.; Chong, J.F.; Fujiwara, T.; Takayama, A.; Kawakami, Y.; Yoshida, S. Ethylene glycol metabolism in the poly (ethylene terephthalate)-degrading bacterium Ideonella sakaiensis. Appl. Microbiol. Biotechnol. 2022, 106, 7867–7878. [Google Scholar] [CrossRef]
- Saini, U.; Sharma, A.; Mittal, V. Gallic Acid: A Potent Antioxidant and Anti-inflammatory Agent in Modern Cosmeceuticals. Recent Adv. Drug Deliv. Formul. 2025. Online ahead of print. [CrossRef]
- Civolani, C.; Barghini, P.; Roncetti, A.R.; Ruzzi, M.; Schiesser, A. Bioconversion of ferulic acid into vanillic acid by means of a vanillate-negative mutant of Pseudomonas fluorescens strain BF13. Appl. Environ. Microbiol. 2000, 66, 2311–2317. [Google Scholar] [CrossRef]
- Salvachúa, D.; Johnson, C.W.; Singer, C.A.; Rohrer, H.; Peterson, D.J.; Black, B.A.; Knapp, A.; Beckham, G.T. Bioprocess development for muconic acid production from aromatic compounds and lignin. Green Chem. 2018, 20, 5007–5019. [Google Scholar] [CrossRef]
- Nayak, S.K.; Nayak, S.; Mohanty, S.; Sundaray, J.K.; Mishra, B.B. Microbial chitinases and their applications: An overview. In Environmental and Agricultural Microbiology: Applications for Sustainability; Wiley: Hoboken, NJ, USA, 2021; pp. 313–340. [Google Scholar] [CrossRef]
- Thakur, D.; Bairwa, A.; Dipta, B.; Jhilta, P.; Chauhan, A. An overview of fungal chitinases and their potential applications. Protoplasma 2023, 260, 1031–1046. [Google Scholar] [CrossRef]
- Krishnaveni, B.; Ragunathan, R. Chitinase production from marine wastes by Aspergillus terreus and its application in degradation studies. Int. J. Curr. Microbiol. Appl. Sci. 2014, 3, 76–82. [Google Scholar]
- Mamarabadi, M.; Jensen, B.; Jensen, D.F.; Lübeck, M. Real-time RT-PCR expression analysis of chitinase and endoglucanase genes in the three-way interaction between the biocontrol strain Clonostachys rosea IK726, Botrytis cinerea and strawberry. FEMS Microbiol. Lett. 2008, 285, 101–110. [Google Scholar] [CrossRef]
- Al Abboud, M.A.; Al-Rajhi, A.M.; Shater, A.R.; Alawlaqi, M.M.; Mashraqi, A.; Selim, S.; Al Jaouni, S.K.; Abdelghany, T.M. Halostability and thermostability of chitinase produced by fungi isolated from salt marsh soil in subtropical region of Saudi Arabia. BioResources 2022, 17, 4763. [Google Scholar] [CrossRef]
- Tzelepis, G.D.; Melin, P.; Stenlid, J.; Jensen, D.F.; Karlsson, M. Functional analysis of the C-II subgroup killer toxin-like chitinases in the filamentous ascomycete Aspergillus nidulans. Fungal Genet. Biol. 2014, 64, 58–66. [Google Scholar] [CrossRef]
- Hoang, K.C.; Lai, T.H.; Lin, C.S.; Chen, Y.T.; Liau, C.Y. The chitinolytic activities of Streptomyces sp. TH-11. Int. J. Mol. Sci. 2010, 12, 56–65. [Google Scholar] [CrossRef] [PubMed]
- Gonçalves, C.G.E.; Lourenço, L.D.F.H.; Philippsen, H.K.; Santos, A.S.; Santos, L.N.D.; Ferreira, N.R. Crude enzyme concentrate of filamentous fungus hydrolyzed chitosan to obtain oligomers of different sizes. Polymers 2023, 15, 2079. [Google Scholar] [CrossRef] [PubMed]
- Pallister, E.; Gray, C.J.; Flitsch, S.L. Enzyme promiscuity of carbohydrate active enzymes and their applications in biocatalysis. Curr. Opin. Struct. Biol. 2020, 65, 184–192. [Google Scholar] [CrossRef] [PubMed]
- Pérez-Salazar, Y.I.; Peña-Montes, C.; del Moral, S.; Aguilar-Uscanga, M.G. Cellulases production from Aspergillus niger-ITV-02 using corn lignocellulosic residues. Rev. Mex. Ing. Química 2022, 21, Alim2772. [Google Scholar] [CrossRef]
- Zhang, H.; Dierkes, R.F.; Perez-Garcia, P.; Costanzi, E.; Dittrich, J.; Cea, P.A.; Gurschke, M.; Applegate, V.; Partus, K.; Schmeisser, C.; et al. The metagenome-derived esterase PET40 is highly promiscuous and hydrolyses polyethylene terephthalate (PET). FEBS J. 2024, 291, 70–91. [Google Scholar] [CrossRef]
- Stoykov, Y.M.; Pavlov, A.I.; Krastanov, A.I. Chitinase biotechnology: Production, purification, and application. Eng. Life Sci. 2015, 15, 30–38. [Google Scholar] [CrossRef]
- Yamazaki, H.; Yamazaki, D.; Takaya, N.; Takagi, M.; Ohta, A.; Horiuchi, H. A chitinase gene, chiB, involved in the autolytic process of Aspergillus nidulans. Curr. Genet. 2007, 51, 89–98. [Google Scholar] [CrossRef]
- Taxeidis, G.; Djapovic, M.; Nikolaivits, E.; Maslak, V.; Nikodinovic-Runic, J.; Topakas, E. New labeled PET analogues enable the functional screening and characterization of PET-degrading enzymes. ACS Sustain. Chem. Eng. 2024, 12, 5943–5952. [Google Scholar] [CrossRef]












| Sample | Total Sequences (Millions) | Average % GC Content | Clean Reads (%) | Assigned Reads (%) | Assigned Reads (Millions) | Number of Genes Detected | Average Sequence Length (bp) | Total Base Pairs Trimmed (%) | Uniquely Mapped Reads (Millions) |
|---|---|---|---|---|---|---|---|---|---|
| A. nidulans PET 1 | 62.0 | 48% | 99.50% | 86.00% | 34.60 | 10,527 | 151 bp | 3.00% | 39.9 |
| A. nidulans PET 2 | 49.4 | 49% | 99.50% | 86.30% | 27.40 | 10,178 | 151 bp | 2.90% | 31.5 |
| A. nidulans GLC 1 | 52.2 | 45% | 99.60% | 85.90% | 22.10 | 10,014 | 151 bp | 2.70% | 25.5 |
| A. nidulans GLC 2 | 57.6 | 45% | 99.50% | 85.40% | 22.70 | 10,056 | 151 bp | 3.00% | 26.4 |
| A. terreus PET 1 | 50.6 | 46% | 99.60% | 34.70% | 16.20 | 10,005 | 151 bp | 5.50% | 29.7 |
| A. terreus PET 2 | 45.5 | 47% | 99.30% | 30.20% | 12.40 | 9911 | 151 bp | 6.40% | 22.8 |
| A. terreus GLC 1 | 54.5 | 48% | 99.50% | 45.60% | 23.40 | 10,005 | 151 bp | 6.10% | 35.5 |
| A. terreus GLC 2 | 53.4 | 48% | 99.60% | 47.60% | 24.00 | 10,029 | 151 bp | 5.90% | 36.0 |
| Aspergillus nidulans | ||
|---|---|---|
| Gene ID | Description | log2 Fold Change |
| ANIA_04871 | Endochitinase B | 7.38 |
| ANIA_09390 | Chitinase | 4.6 |
| ANIA_11233 | Chitinase | 4.0 |
| ANIA_05454 | Chitinase | 3.8 |
| ANIA_00221 | Chitinase | 3.4 |
| ANIA_11059 | Chitinase | 3.1 |
| ANIA_08481 | Chitinase | 2.0 |
| ANIA_00299 | Chitinase | 1.3 |
| ANIA_05309 | Cutinase 1 | 3.4 |
| ANIA_07180 | Cutinase 3 | 2.0 |
| ANIA_01314 | Carboxylesterase type B | 2.6 |
| ANIA_03037 | Carboxylesterase, putative | 1.2 |
| ANIA_02602 | Lipase/esterase family protein, putative | 2.3 |
| ANIA_03191 | Lipase/esterase, putative | 1.4 |
| ANIA_07524 | Lipase/esterase family protein | 1.2 |
| ANIA_09410 | Lipase/serine esterase, putative | 1.1 |
| ANIA_00940 | Hydrophobin | 7.3 |
| ANIA_01837 | Hydrophobin | 5.3 |
| ANIA_06401 | Hydrophobin | 3.1 |
| ANIA_08196 | Hydrophobin | 2.7 |
| Aspergillus terreus | ||
| Gene ID | Description | log2 fold change |
| ATEG_04660 | Chitinase | 4.78 |
| ATEG_08600 | Chitinase | 12.2 |
| ATEG_07368 | Chitinase | 8.5 |
| ATEG_08059 | Chitinase | 4.1 |
| ATEG_05624 | Chitinase | 1.5 |
| ATEG_03640 | Probable cutinase 5 | 8.6 |
| ATEG_08433 | Probable cutinase 1 | 4.3 |
| ATEG_01037 | Cutinase | 3.7 |
| ATEG_04791 | Probable cutinase 3 | 3.6 |
| ATEG_06065 | Carboxylesterase type B | 7.4 |
| ATEG_00341 | Carboxylesterase type B | 3.6 |
| ATEG_05859 | Carboxylesterase type B | 1.3 |
| ATEG_06064 | Lipase B | 7.1 |
| ATEG_04283 | Lipase B | 3.6 |
| ATEG_06492 | Hydrophobin | 5.1 |
| ATEG_10285 | Hydrophobin | 1.9 |
| Aspergillus nidulans | ||
|---|---|---|
| Gene ID | Description | log2 Fold change |
| ANIA_10358 | Alcohol dehydrogenase | 7.6 |
| ANIA_06943 | Hypothetical glycerate kinase | 7.2 |
| ANIA_06402 | catechol O-methyltransferase | 5.1 |
| ANIA_08078 | Phenylacetate 2-hydroxylase | 2.4 |
| ANIA_05669 | Succinyl-CoA:3-ketoacid-coenzyme A transferase | 2.4 |
| ANIA_05672 | Mandelate racemase/muconate lactonizing enzyme | 2.0 |
| ANIA_10950 | Benzoate-para-hydroxylase | 1.8 |
| ANIA_00740 | Aldehyde dehydrogenase domain-containing protein | 1.3 |
| ANIA_10952 | p-hydroxybenzoate-m-hydroxylase | 1.3 |
| Aspergillus terreus | ||
| Gene ID | Description | log2 Fold change |
| ATEG_07336 | Alcohol dehydrogenase | 9.4 |
| ATEG_06201 | Carboxymuconolactone decarboxylase | 6.5 |
| ATEG_09199 | Mandelate racemase/muconate lactonizing enzyme | 3.7 |
| ATEG_06399 | Aldehyde dehydrogenase domain-containing protein | 3.5 |
| ATEG_07913 | Phenylacetate 2-hydroxylase | 2.3 |
| ATEG_04907 | Glycerate kinase | 1.6 |
| ATEG_09602 | Catechol dioxygenase | 1.5 |
| ATEG_08499 | 3-hydroxyphenylacetate 6-hydroxylase | 1.2 |
| Identification Number | Accession Number (UniProt) 1 | Description | Coverage (%) | PSM | Score Sequest HT | Unique Peptides | Theoretical MW 2 (kDa) | Theoretical pI 3 (Expasy) 4 | Signal Peptide (SignalP-6.0) 5 | N-Glycosylation Position Prediction (NetNGlyc—1.0) 6 |
|---|---|---|---|---|---|---|---|---|---|---|
| I | G5EAZ3 | Endochitinase B OS = Emericella nidulans (strain FGSC A4/ATCC 38163/CBS 112.46/NRRL 194/M139) OX = 227,321 GN = chiB PE = 1 SV = 1 | 76 | 231 | 962.65 | 31 | 44.2 | 5.33 | -- | 66, 103, 224 |
| II | Q0CNS4 | Endochitinase OS = Aspergillus terreus (strain NIH 2624/FGSC A1156) OX = 341,663 GN = ATEG_04660 PE = 3 SV = 1 | 60 | 140 | 661.12 | 21 | 44.5 | 5.84 | -- | -- |
Disclaimer/Publisher’s Note: The statements, opinions and data contained in all publications are solely those of the individual author(s) and contributor(s) and not of MDPI and/or the editor(s). MDPI and/or the editor(s) disclaim responsibility for any injury to people or property resulting from any ideas, methods, instructions or products referred to in the content. |
© 2026 by the authors. Licensee MDPI, Basel, Switzerland. This article is an open access article distributed under the terms and conditions of the Creative Commons Attribution (CC BY) license.
Share and Cite
Narciso-Ortiz, L.; Peña-Montes, C.; Escobedo-Fregoso, C.; Lizardi-Jiménez, M.A.; Ruíz-May, E.; Sulbarán-Rangel, B.; García-Bórquez, A.; Espinosa-Luna, G.; Oliart-Ros, R.M. Insights into the Transcriptomic Response of Two Aspergillus Fungi Growing in the Presence of Microplastics of Polyethylene Terephthalate Residues Unveil the Presence of Fungal Machinery for Possible PET Bioconversion into High-Value Chemicals. Environments 2026, 13, 127. https://doi.org/10.3390/environments13030127
Narciso-Ortiz L, Peña-Montes C, Escobedo-Fregoso C, Lizardi-Jiménez MA, Ruíz-May E, Sulbarán-Rangel B, García-Bórquez A, Espinosa-Luna G, Oliart-Ros RM. Insights into the Transcriptomic Response of Two Aspergillus Fungi Growing in the Presence of Microplastics of Polyethylene Terephthalate Residues Unveil the Presence of Fungal Machinery for Possible PET Bioconversion into High-Value Chemicals. Environments. 2026; 13(3):127. https://doi.org/10.3390/environments13030127
Chicago/Turabian StyleNarciso-Ortiz, Leticia, Carolina Peña-Montes, Cristina Escobedo-Fregoso, Manuel A. Lizardi-Jiménez, Eliel Ruíz-May, Belkis Sulbarán-Rangel, Arturo García-Bórquez, Graciela Espinosa-Luna, and Rosa M. Oliart-Ros. 2026. "Insights into the Transcriptomic Response of Two Aspergillus Fungi Growing in the Presence of Microplastics of Polyethylene Terephthalate Residues Unveil the Presence of Fungal Machinery for Possible PET Bioconversion into High-Value Chemicals" Environments 13, no. 3: 127. https://doi.org/10.3390/environments13030127
APA StyleNarciso-Ortiz, L., Peña-Montes, C., Escobedo-Fregoso, C., Lizardi-Jiménez, M. A., Ruíz-May, E., Sulbarán-Rangel, B., García-Bórquez, A., Espinosa-Luna, G., & Oliart-Ros, R. M. (2026). Insights into the Transcriptomic Response of Two Aspergillus Fungi Growing in the Presence of Microplastics of Polyethylene Terephthalate Residues Unveil the Presence of Fungal Machinery for Possible PET Bioconversion into High-Value Chemicals. Environments, 13(3), 127. https://doi.org/10.3390/environments13030127

