Alpha-1 Antitrypsin Deficiency Beyond COPD and Emphysema: A Narrative Review
Abstract
1. Introduction and Methodology
1.1. Introduction
1.2. Methodology
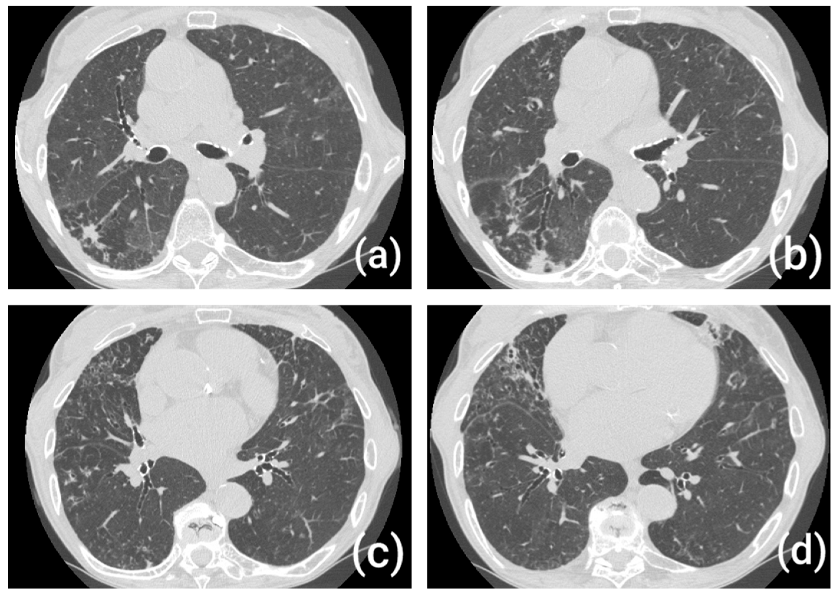
2. Bronchiectasis and AATD
2.1. Bronchiectasis
2.2. Epidemiological Evidence: Prevalence of Bronchiectasis in AATD
2.3. Pathophysiology: How Excess NE Damages the Bronchial Wall Beyond the Parenchyma
2.4. Bronchiectasis Phenotypes Associated with AATD
2.5. Serum AAT Levels, Bronchiectasis Severity and Therapeutic Implications
2.6. Clinical Implications
3. Asthma and AATD
3.1. Asthma
3.2. Epidemiological Evidence: Prevalence of Asthma in AATD
3.3. Common Pathophysiological Mechanisms
- a.
- In individuals with AATD, the deficiency of AAT—the main inhibitor of NE—leads to unregulated proteolytic activity, resulting in degradation of the extracellular matrix and bronchial epithelium; the damaged bronchial epithelium becomes more permeable to allergens, pathogens, and irritants, enhancing airway hyperresponsiveness and sustaining inflammation. Similarly, elevated levels of NE have been observed in severe neutrophilic asthma, suggesting that an imbalance between proteases and antiproteases may represent a shared mechanism [41,43].
- b.
- Beyond its antiprotease activity, AAT also exerts anti-inflammatory and antioxidant effects: it modulates the production of TNF-α, IL-6, and IL-1β by macrophages; limits epithelial apoptosis; and protects against autoimmune responses [44]. Its reduction, even partial and not necessarily in the presence of clinically overt AATD, may thus contribute to enhanced pulmonary inflammation. Moreover, Z-Alpha-1 antitrypsin (Z-AAT), in its polymerized form, can acquire pro-inflammatory and neutrophil chemoattractant properties. Bronchial epithelial cells and type II alveolar cells express AAT; in patients with Z-AATD, these cells may accumulate and secrete Z-AAT polymers, leading to their deposition in the submucosa of the airways. The pleiotropic actions of AAT on inflammation and immunity—including inhibition of IgE-mediated histamine release from mast cells and reduction in eosinophil counts—may also contribute to its association with asthma [41].
- c.
- Persistent inflammation and protease activity induces goblet-cell metaplasia, airway smooth muscle hyperplasia, and subepithelial fibrosis. These changes thicken the airway wall and impair mucociliary clearance, promoting mucus retention and airflow obstruction. Over time, these structural alterations may culminate in a phenotype of fixed obstruction or asthma–COPD overlap (ACO), even in patients without radiological emphysema.
- d.
- Neutrophilic airway inflammation is characteristically less responsive to corticosteroids than eosinophilic inflammation. This reduced sensitivity is linked to decreased glucocorticoid receptor expression, oxidative stress, and protease-mediated degradation of anti-inflammatory mediators. Consequently, AAT deficiency may not only promote airway inflammation but also reduce responsiveness to conventional corticosteroid therapy, contributing to persistent airflow limitation and disease progression [46,47].
- e.
- The chronic systemic inflammation associated with AAT deficiency—marked by elevated IL-6 and IL-17 signaling—can extend beyond the lungs, contributing to comorbid conditions such as chronic rhinosinusitis or bronchiectasis. These diseases, in turn, can amplify asthma severity, worsen airflow obstruction, and reduce treatment efficacy, creating a bidirectional relationship between local and systemic inflammation [48,49].
3.4. Asthma Phenotypes Associated with AATD
3.5. Clinical Implications
4. Severe Asthma and AATD
4.1. Severe Asthma
- a.
- b.
4.2. Epidemiological Evidence and Pathophysiological Mechanisms of Asthma in AATD
- a.
- b.
- c.
4.3. Clinical Implications
5. Practical Diagnostic Pathway and Clinical Considerations
6. Conclusions
7. Current Limitations and Future Directions
Augmentation Therapy in Non-Emphysematous Airway Disease: Current Evidence and Challenges
Author Contributions
Funding
Institutional Review Board Statement
Informed Consent Statement
Data Availability Statement
Conflicts of Interest
References
- Mazzuca, C.; Vitiello, L.; Travaglini, S.; Maurizi, F.; Finamore, P.; Santangelo, S.; Rigon, A.; Vadacca, M.; Angeletti, S.; Scarlata, S. Immunological and Homeostatic Pathways of Alpha -1 Antitrypsin: A New Therapeutic Potential. Front. Immunol. 2024, 15, 1443297. [Google Scholar] [CrossRef] [PubMed]
- Pan, S.; Aizezi, Y.; Wang, H.; Lu, Y.; Xue, B. Role and Mechanism of Alpa1-Antitrypsin in Polycystic Ovary Syndrome. Saudi Med. J. 2022, 43, 1309–1316. [Google Scholar] [CrossRef]
- Janciauskiene, S.M.; Bals, R.; Koczulla, R.; Vogelmeier, C.; Köhnlein, T.; Welte, T. The Discovery of A1-Antitrypsin and Its Role in Health and Disease. Respir. Med. 2011, 105, 1129–1139. [Google Scholar] [CrossRef]
- McCarthy, C.; Reeves, E.P.; McElvaney, N.G. The Role of Neutrophils in Alpha-1 Antitrypsin Deficiency. Annals ATS 2016, 13, S297–S304. [Google Scholar] [CrossRef] [PubMed]
- Stoller, J.K.; Aboussouan, L.S. A Review of α1 -Antitrypsin Deficiency. Am. J. Respir. Crit. Care Med. 2012, 185, 246–259. [Google Scholar] [CrossRef]
- Strnad, P.; McElvaney, N.G.; Lomas, D.A. Alpha1 -Antitrypsin Deficiency. N. Engl. J. Med. 2020, 382, 1443–1455. [Google Scholar] [CrossRef] [PubMed]
- Tejwani, V.; Stoller, J.K. The Spectrum of Clinical Sequelae Associated with Alpha-1 Antitrypsin Deficiency. Ther. Adv. Chronic Dis. 2021, 12, 2040622321995691. [Google Scholar] [CrossRef]
- Barbosa, M.; Chalmers, J.D. Bronchiectasis. La Presse Médicale 2023, 52, 104174. [Google Scholar] [CrossRef]
- Keir, H.R.; Chalmers, J.D. Pathophysiology of Bronchiectasis. Semin. Respir. Crit. Care Med. 2021, 42, 499–512. [Google Scholar] [CrossRef]
- Perea, L.; Faner, R.; Chalmers, J.D.; Sibila, O. Pathophysiology and Genomics of Bronchiectasis. Eur. Respir. Rev. 2024, 33, 240055. [Google Scholar] [CrossRef]
- Chalmers, J.D.; Metersky, M.; Aliberti, S.; Morgan, L.; Fucile, S.; Lauterio, M.; McDonald, P.P. Neutrophilic Inflammation in Bronchiectasis. Eur. Respir. Rev. 2025, 34, 240179. [Google Scholar] [CrossRef]
- Oriano, M.; Amati, F.; Gramegna, A.; De Soyza, A.; Mantero, M.; Sibila, O.; Chotirmall, S.H.; Voza, A.; Marchisio, P.; Blasi, F.; et al. Protease–Antiprotease Imbalance in Bronchiectasis. Int. J. Mol. Sci. 2021, 22, 5996. [Google Scholar] [CrossRef] [PubMed]
- McShane, P.J.; Naureckas, E.T.; Tino, G.; Strek, M.E. Non–Cystic Fibrosis Bronchiectasis. Am. J. Respir. Crit. Care Med. 2013, 188, 647–656. [Google Scholar] [CrossRef]
- Solarat, B.; Perea, L.; Faner, R.; De La Rosa, D.; Martínez-García, M.Á.; Sibila, O. Pathophysiology of Chronic Bronchial Infection in Bronchiectasis. Arch. Bronconeumol. 2023, 59, 101–108. [Google Scholar] [CrossRef]
- Stockley, R.A.; Pye, A.; De Soyza, J.; Turner, A.M.; Miravitlles, M.; the EARCO Study Investigators; Torres-Duran, M.; Tanash, H.; Rodríguez-García, C.; López-Campos, J.L.; et al. The Prevalence of Bronchiectasis in Patients with Alpha-1 Antitrypsin Deficiency: Initial Report of EARCO. Orphanet J. Rare Dis. 2023, 18, 243. [Google Scholar] [CrossRef] [PubMed]
- Parr, D.G.; Guest, P.G.; Reynolds, J.H.; Dowson, L.J.; Stockley, R.A. Prevalence and Impact of Bronchiectasis in α1 -Antitrypsin Deficiency. Am. J. Respir. Crit. Care Med. 2007, 176, 1215–1221. [Google Scholar] [CrossRef] [PubMed]
- De Soyza, J.; Ellis, P.; Newnham, M.; Rickard, L.; Turner, A.M. Bronchiectasis Occurs Independently of Chronic Obstructive Pulmonary Disease in Alpha-1 Antitrypsin Deficiency. J. COPD Found. 2024, 11, 507–514. [Google Scholar] [CrossRef]
- Sanduzzi, A.; Ciasullo, E.; Capitelli, L.; Sanduzzi Zamparelli, S.; Bocchino, M. Alpha-1-Antitrypsin Deficiency and Bronchiectasis: A Concomitance or a Real Association? Int. J. Environ. Res. Public Health 2020, 17, 2294. [Google Scholar] [CrossRef]
- Carreto, L.; Morrison, M.; Donovan, J.; Finch, S.; Tan, G.L.; Fardon, T.; Wilson, R.; Furrie, E.; Loebinger, M.; Chalmers, J.D. Utility of Routine Screening for Alpha-1 Antitrypsin Deficiency in Patients with Bronchiectasis. Thorax 2020, 75, 592–593. [Google Scholar] [CrossRef]
- Loebinger, M.; Aliberti, S.; Menendez, R.; Blasi, F.; Burgel, P.-R.; Ringshausen, F.; Trautmann, M.; Davis, A.; De Soyza, A.; Shteinberg, M.; et al. Alpha-1 Antitrypsin Deficiency in Patients with Bronchiectasis: Data from the European Bronchiectasis Registry EMBARC. Eur. Respir. Soc. 2020, 56, 3330. [Google Scholar] [CrossRef]
- Voynow, J.A.; Shinbashi, M. Neutrophil Elastase and Chronic Lung Disease. Biomolecules 2021, 11, 1065. [Google Scholar] [CrossRef]
- Russell, D.W.; Gaggar, A.; Solomon, G.M. Neutrophil Fates in Bronchiectasis and Alpha-1 Antitrypsin Deficiency. Ann. Am. Thorac. Soc. 2016, 13, S123–S129. [Google Scholar]
- Kokturk, N.; Khodayari, N.; Lascano, J.; Riley, E.L.; Brantly, M.L. Lung Inflammation in Alpha-1-Antitrypsin Deficient Individuals with Normal Lung Function. Respir. Res. 2023, 24, 40. [Google Scholar] [CrossRef]
- Sapey, E. Neutrophil Modulation in Alpha-1 Antitrypsin Deficiency. J. COPD Found. 2020, 7, 247–259. [Google Scholar] [CrossRef]
- De Soyza, J.; Ellis, P.; Rickard, L.; Newnham, M.; Turner, A. S40 Radiological Bronchiectasis vs Outcomes in Alpha-1 Antitrypsin Deficiency. Thorax 2024, 79, A34. [Google Scholar] [CrossRef]
- Cruz e Costa, A.F.; Farinha, I. Bronchiectasis in Alpha1-Antitrypsin Deficiency. Eur. Respir. Soc. 2019, 54, PA4359. [Google Scholar] [CrossRef]
- Buck, E.; Presotto, M.A.; Brock, J.; Schlamp, K.; Veith, M.; Herth, F.J.F.; Trudzinski, F.C. Augmentation Therapy with Human Alpha-1-Proteinase Inhibitor Reduces Exacerbations in Patient with Bronchiectasis and Alpha-1-Antitrypsin Deficiency. Respir. Med. Case Rep. 2022, 39, 101740. [Google Scholar] [CrossRef]
- Dunlea, D.; Fee, L.; McEnery, T.; McElvaney, N.G.; Reeves, E. The Impact of Alpha-1 Antitrypsin Augmentation Therapy on Neutrophil-Driven Respiratory Disease in Deficient Individuals. J. Inflamm. Res. 2018, 11, 123–134. [Google Scholar] [CrossRef] [PubMed]
- Miravitlles, M.; Anzueto, A.; Barrecheguren, M. Nine Controversial Questions about Augmentation Therapy for Alpha-1 Antitrypsin Deficiency: A Viewpoint. Eur. Respir. Rev. 2023, 32, 230170. [Google Scholar] [CrossRef] [PubMed]
- Polverino, E.; Goeminne, P.C.; McDonnell, M.J.; Aliberti, S.; Marshall, S.E.; Loebinger, M.R.; Murris, M.; Cantón, R.; Torres, A.; Dimakou, K.; et al. European Respiratory Society Guidelines for the Management of Adult Bronchiectasis. Eur. Respir. J. 2017, 50, 1700629. [Google Scholar] [CrossRef]
- Hill, A.T.; Sullivan, A.L.; Chalmers, J.D.; De Soyza, A.; Elborn, J.S.; Floto, R.A.; Grillo, L.; Gruffydd-Jones, K.; Harvey, A.; Haworth, C.S.; et al. British Thoracic Society Guideline for Bronchiectasis in Adults. BMJ Open Resp. Res. 2018, 5, e000348. [Google Scholar] [CrossRef]
- Sandhaus, R.A.; Turino, G.; Brantly, M.L.; Campos, M.; Cross, C.E.; Goodman, K.; Hogarth, D.K.; Knight, S.L.; Stocks, J.M.; Stoller, J.K.; et al. The Diagnosis and Management of Alpha-1 Antitrypsin Deficiency in the Adult. J. COPD Found. 2016, 3, 668–682. [Google Scholar] [CrossRef]
- Aboussouan, L.S.; Stoller, J.K. Detection of Alpha-1 Antitrypsin Deficiency: A Review. Respir. Med. 2009, 103, 335–341. [Google Scholar] [CrossRef] [PubMed][Green Version]
- Tramontano, A.; Caporaso, M.; Macciocchi, G.; Simonetta, E.; Nigro, M.; Aliberti, S. New Perspectives in the Treatment of Bronchiectasis. Arch. De Bronconeumol. 2026, 9, S0300289626000049. [Google Scholar] [CrossRef]
- Global Initiative for Asthma (GINA). Global Strategy for Asthma Management and Prevention. 2025. Available online: https://ginasthma.org/2025-gina-strategy-report/ (accessed on 18 February 2026).
- Habib, N.; Pasha, M.A.; Tang, D.D. Current Understanding of Asthma Pathogenesis and Biomarkers. Cells 2022, 11, 2764. [Google Scholar] [CrossRef] [PubMed]
- Sharma, S.; Gerber, A.N.; Kraft, M.; Wenzel, S.E. Asthma Pathogenesis: Phenotypes, Therapies, and Gaps: Summary of the Aspen Lung Conference 2023. Am. J. Respir. Cell Mol. Biol. 2024, 71, 154–168. [Google Scholar] [CrossRef]
- Holgate, S.T. Pathogenesis of Asthma. Clin. Exp. Allergy 2008, 38, 872–897. [Google Scholar] [CrossRef] [PubMed]
- Vignola, A.M.; Bonanno, A.; Profita, M.; Riccobono, L.; Scichilone, N.; Spatafora, M.; Bousquet, J.; Bonsignore, G.; Bellia, V. Effect of Age and Asthma Duration upon Elastase and α1 -Antitrypsin Levels in Adult Asthmatics. Eur. Respir. J. 2003, 22, 795–801. [Google Scholar] [CrossRef]
- Lopez-Campos, J.L.; Muñoz-Sánchez, B.; Ferrer-Galván, M.; Quintana-Gallego, E. Alpha-1 Antitrypsin Deficiency and Bronchial Asthma: Current Challenges. Biomolecules 2025, 15, 807. [Google Scholar] [CrossRef]
- Stirpe, E.; Bardaro, F. Alpha1-Antitrypsin Deficiency and Asthma. Monaldi Arch. Chest. Dis. 2022, 92, 4. [Google Scholar] [CrossRef]
- Rahaghi, F.F.; Sandhaus, R.A.; Strange, C.; Hogarth, D.K.; Eden, E.; Stocks, J.M.; Krowka, M.J.; Stoller, J.K. The Prevalence of Alpha-1 Antitrypsin Deficiency Among Patients Found to Have Airflow Obstruction. COPD J. Chronic Obstr. Pulm. Dis. 2012, 9, 352–358. [Google Scholar] [CrossRef]
- Toumpanakis, D.; Usmani, O.S. Small Airways Disease in Patients with Alpha-1 Antitrypsin Deficiency. Respir. Med. 2023, 211, 107222. [Google Scholar] [CrossRef]
- Wang, T.; Shuai, P.; Wang, Q.; Guo, C.; Huang, S.; Li, Y.; Wu, W.; Yi, L. A-1 Antitrypsin Is a Potential Target of Inflammation and Immunomodulation (Review). Mol. Med. Rep. 2025, 31, 1–12. [Google Scholar] [CrossRef]
- Crisford, H.; Sapey, E.; Rogers, G.B.; Taylor, S.; Nagakumar, P.; Lokwani, R.; Simpson, J.L. Neutrophils in Asthma: The Good, the Bad and the Bacteria. Thorax 2021, 76, 835–844. [Google Scholar] [CrossRef] [PubMed]
- Ray, A.; Kolls, J.K. Neutrophilic Inflammation in Asthma and Association with Disease Severity. Trends Immunol. 2017, 38, 942–954. [Google Scholar] [CrossRef]
- Henley, K.; Tresselt, E.; Hook, J.S.; Patel, P.A.; Gill, M.A.; Moreland, J.G. Granular Insights: Neutrophil Predominance and Elastase Release in Severe Asthma Exacerbations in a Pediatric Cohort. Cells 2024, 13, 533. [Google Scholar] [CrossRef]
- Siri, D.; Farah, H.; Hogarth, D.K. Distinguishing Alpha1-Antitrypsin Deficiency from Asthma. Ann. Allergy Asthma Immunol. 2013, 111, 458–464. [Google Scholar] [CrossRef] [PubMed]
- Cosio, M.G.; Bazzan, E.; Rigobello, C.; Tinè, M.; Turato, G.; Baraldo, S.; Saetta, M. Alpha-1 Antitrypsin Deficiency: Beyond the Protease/Antiprotease Paradigm. Annals ATS 2016, 13, S305–S310. [Google Scholar] [CrossRef]
- Foreman, M.G.; Wilson, C.; DeMeo, D.L.; Hersh, C.P.; Beaty, T.H.; Cho, M.H.; Ziniti, J.; Curran-Everett, D.; Criner, G.; Hokanson, J.E.; et al. Alpha-1 Antitrypsin PiMZ Genotype Is Associated with Chronic Obstructive Pulmonary Disease in Two Racial Groups. Annals ATS 2017, 14, 1280–1287. [Google Scholar] [CrossRef]
- American Thoracic Society/European Respiratory Society Statement: Standards for the Diagnosis and Management of Individuals with Alpha-1 Antitrypsin Deficiency. Am. J. Respir. Crit. Care Med. 2003, 168, 818–900. [CrossRef] [PubMed]
- Hogarth, D.K.; Martin, R.; Kueppers, F. Testing for alpha1-antitrypsin deficiency in patients with asthma and/or chronic obstructive pulmonary disease: A surveillance study. Chest 2007, 132, 423C. [Google Scholar] [CrossRef]
- Meseeha, M.; Sankari, A.; Attia, M. Alpha-1 Antitrypsin Deficiency. In StatPearls; StatPearls Publishing: Treasure Island, FL, USA, 2025. [Google Scholar]
- Alí-Munive, A.; Chacón, J.L.; Prada, L.; Proaños, N.J.; Vargas, L.; Diaz-Bossa, C.; Giraldo, A.; Pedrozo-Pupo, J. Prevalence of Genetic Mutations in Alpha-1 Antitrypsin in Patients with Difficult-to-Treat Asthma in Colombia. BMC Pulm. Med. 2025, 25, 380. [Google Scholar] [CrossRef]
- Global Initiative for Asthma (GINA). Difficult-to-Treat & Severe Asthma in Adolescent and Adult Patients: Diagnosis and Management—A GINA Pocket Guide for Health Professionals. 2024. Available online: www.ginasthma.org/reports (accessed on 18 February 2026).
- Chung, K.F.; Wenzel, S.E.; Brozek, J.L.; Bush, A.; Castro, M.; Sterk, P.J.; Adcock, I.M.; Bateman, E.D.; Bel, E.H.; Bleecker, E.R.; et al. International ERS/ATS Guidelines on Definition, Evaluation and Treatment of Severe Asthma. Eur. Respir. J. 2014, 43, 343–373. [Google Scholar] [CrossRef]
- Poon, A.H.; Eidelman, D.H.; Martin, J.G.; Laprise, C.; Hamid, Q. Pathogenesis of Severe Asthma. Clin. Exp. Allergy 2012, 42, 625–637. [Google Scholar] [CrossRef]
- Trejo Bittar, H.E.; Yousem, S.A.; Wenzel, S.E. Pathobiology of Severe Asthma. Annu. Rev. Pathol. Mech. Dis. 2015, 10, 511–545. [Google Scholar] [CrossRef]
- Al Heialy, S.; Ramakrishnan, R.K.; Hamid, Q. Recent Advances in the Immunopathogenesis of Severe Asthma. J. Allergy Clin. Immunol. 2022, 149, 455–465. [Google Scholar] [CrossRef]
- Busse, W.W.; Banks-Schlegel, S.; Wenzel, S.E. Pathophysiology of Severe Asthma. J. Allergy Clin. Immunol. 2000, 106, 1033–1042. [Google Scholar] [CrossRef]
- Zhang, Z.; Wang, J.; Chen, O. Identification of Biomarkers and Pathogenesis in Severe Asthma by Coexpression Network Analysis. BMC Med. Genom. 2021, 14, 51. [Google Scholar] [CrossRef]
- King, G.G.; James, A.; Harkness, L.; Wark, P.A.B. Pathophysiology of Severe Asthma: We’ve Only Just Started. Respirology 2018, 23, 262–271. [Google Scholar] [CrossRef] [PubMed]
- Pini, L.; Paoletti, G.; Heffler, E.; Tantucci, C.; Puggioni, F. Alpha1-Antitrypsin Deficiency and Asthma. Curr. Opin. Allergy Clin. Immunol. 2021, 21, 46–51. [Google Scholar] [CrossRef] [PubMed]
- Van Veen, I.H.; Ten Brinke, A.; Van Der Linden, A.C.; Rabe, K.F.; Bel, E.H. Deficient Alpha-1-Antitrypsin Phenotypes and Persistent Airflow Limitation in Severe Asthma. Respir. Med. 2006, 100, 1534–1539. [Google Scholar] [CrossRef] [PubMed]
- Mousavi, S.A.-J.; Mohammadzadeh, V.; Loni, E. Determination of Alpha-1 Antitrypsin Level in Patients with Severe Asthma. Tanaffos 2013, 12, 19–22. [Google Scholar] [PubMed]
- Vianello, A.; Caminati, M.; Senna, G.; Arcolaci, A.; Chieco-Bianchi, F.; Ferrarotti, I.; Guarnieri, G.; Molena, B.; Crisafulli, E. Effect of A1 Antitrypsin Deficiency on Lung Volume Decline in Severe Asthmatic Patients Undergoing Biologic Therapy. J. Allergy Clin. Immunol. Pract. 2021, 9, 1414–1416. [Google Scholar] [CrossRef] [PubMed]
- Zappa, M.; Grossi, S.; Pignatti, P.; Pini, L.; Centis, R.; Migliori, G.B.; Ardesi, F.; Sotgiu, G.; Corsico, A.G.; Spanevello, A.; et al. Alpha-1 Deficiency in Severe Asthma Patients. Int. J. Tuberc. Lung Dis. 2024, 28, 225–230. [Google Scholar] [CrossRef]
- Navasero, N.; Siu, C.; Sreeram, A.; Loop, L.; Smiley, K.; Goddard, A.G.; Geng, B. Alpha-1 antitrypsin deficiency screening in moderate-to-severe asthmatics on or eligible for biologic therapy. Ann. Allergy Asthma Immunol. 2024, 133, S45–S46. [Google Scholar] [CrossRef]
- Eden, E.; Holbrook, J.T.; Brantly, M.L.; Turino, G.M.; Wise, R.A. Prevalence of Alpha-1 Antitrypsin Deficiency in Poorly Controlled Asthma—Results from the ALA-ACRC Low-Dose Theophylline Trial. J. Asthma 2007, 44, 605–608. [Google Scholar] [CrossRef]
- Suárez-Lorenzo, I.; De Castro, F.R.; Cruz-Niesvaara, D.; Herrera-Ramos, E.; Rodríguez-Gallego, C.; Carrillo-Diaz, T. Alpha 1 Antitrypsin Distribution in an Allergic Asthmatic Population Sensitized to House Dust Mites. Clin. Transl. Allergy 2018, 8, 44. [Google Scholar] [CrossRef]
- Martín-González, E.; Hernández-Pérez, J.M.; Pérez, J.A.P.; Pérez-García, J.; Herrera-Luis, E.; González-Pérez, R.; González-González, O.; Mederos-Luis, E.; Sánchez-Machín, I.; Poza-Guedes, P.; et al. Alpha-1 Antitrypsin Deficiency and Pi*S and Pi*Z SERPINA1 Variants Are Associated with Asthma Exacerbations. Pulmonology 2025, 31, 2416870. [Google Scholar] [CrossRef]
- Ortega, V.E.; Tejwani, V.; Shrivastav, A.K.; Pasha, S.; Zein, J.G.; Boorgula, M.; Castro, M.; Denlinger, L.; Erzurum, S.C.; Fahy, J.V.; et al. A1-Antitrypsin Gene Variation Associates With Asthma Exacerbations and Related Health Care Utilization. J. Allergy Clin. Immunol. Pract. 2025, 13, 1634–1646.e7. [Google Scholar] [CrossRef]
- Akenroye, A.; Moll, M.R. Alpha-1 Antitrypsin Deficiency: A Potential Cause of Poor Asthma Control. J. Allergy Clin. Immunol. Pract. 2025, 13, 1647–1648. [Google Scholar] [CrossRef]
- Blanco, I.; Canto, H.; Flóres, J.; Camblor, C.; Cárcaba, V.; De Serres, F.J.; Janciauskiene, S.; Bustillo, E.F. Long-Term Augmentation Therapy with Alpha-1 Antitrypsin in an MZ-AAT Severe Persistent Asthma. Monaldi Arch. Chest. Dis. 2016, 70, 178–182. [Google Scholar] [CrossRef] [PubMed]
- Craig, T.J. Suspecting and Testing for Alpha-1 Antitrypsin Deficiency—An Allergist’s and/or Immunologist’s Perspective. J. Allergy Clin. Immunol. Pract. 2015, 3, 506–511. [Google Scholar] [CrossRef] [PubMed]




| Clinical Manifestations | Pathophysiology | |
|---|---|---|
| Pulmonary | Early-onset emphysema (panacinar, lower lobes) | Loss of function: protease–antiprotease imbalance and neutrophil elastase–mediated tissue damage |
| COPD with chronic bronchitis and airflow limitation | ||
| Asthma/asthma-like symptoms; severe asthma overlap | ||
| Bronchiectasis | ||
| Increased risk of respiratory infections | ||
| Hepatic | Neonatal cholestasis | Toxic gain-of-function: hepatocyte injury from accumulation of misfolded AAT polymers |
| Chronic hepatitis | ||
| Cirrhosis | ||
| Hepatocellular carcinoma | ||
| Other | Panniculitis (rare, necrotizing, painful) | Systemic inflammatory consequences of AATD |
| ANCA-associated vasculitis (e.g., GPA) | ||
| Possible ↑ cardiovascular risk | ||
| Occasional renal/autoimmune associations |
| Domain | Effect of NE Activity | Consequences in AATD |
|---|---|---|
| Structural damage | Degradation of elastin, collagen, fibronectin | Airway wall weakening, bronchial dilatation, emphysema |
| Mucosal barrier | Increased epithelial permeability | Facilitated pathogen invasion and inflammation |
| Mucociliary clearance | Impaired ciliary function; degradation of opsonins and surfactant proteins | Reduced bacterial clearance, chronic colonization |
| Mucus production | Stimulation of goblet cell hyperplasia and mucus hypersecretion | Airway obstruction, infection risk |
| Inflammatory signaling | Induction of pro-inflammatory cytokines (e.g., IL-8, TNF-α) | Neutrophil recruitment, persistent inflammation |
| Immune modulation | Inactivation of immunoglobulins and complement components | Impaired host defense |
| Tissue remodeling | Exaggerated NETs release and protease burden | Ongoing bronchial wall injury and remodeling |
| Aspect | GINA (2024) | ERS/ATS (2014) |
|---|---|---|
| Core definition | Severe asthma is asthma that remains uncontrolled despite high-dose ICS–LABA and management of contributory factors, or that requires high-dose ICS–LABA to maintain control. | Severe asthma is asthma that requires high-dose ICS plus a second controller and/or systemic corticosteroids to prevent it from becoming uncontrolled, or that remains uncontrolled despite this therapy. |
| Criteria for uncontrolled asthma | Uncontrolled if symptoms/exacerbations persist despite optimized treatment and exclusion of modifiable factors (e.g., adherence, inhaler technique, comorbidities). | Uncontrolled if ≥1 of the following: • Poor symptom control (ACQ > 1.5 or ACT < 20) • ≥2 severe exacerbations/year • ≥1 hospitalization or ICU admission • Persistent airflow limitation (FEV1 < 80% predicted, FEV1/FVC < LLN). |
| Treatment step | High-dose ICS–LABA as minimum requirement. | High-dose ICS plus second controller (usually LABA) and/or systemic corticosteroids. |
| Perspective | Definition is retrospective, confirmed after several months of optimized therapy and assessment. | Definition is retrospective, but incorporates explicit, objective criteria for uncontrolled asthma. |
| Focus | Emphasis on identifying and correcting modifiable factors (adherence, inhaler technique, comorbidities). | Emphasis on measurable clinical and functional outcomes (exacerbations, lung function, control scores). |
| Author/Year | Country | Design | Population | AATD Findings | Key Result |
|---|---|---|---|---|---|
| van Veen, 2006 [64] | Netherlands | Case–control | Severe asthma with/without fixed obstruction | Non-PiM genotypes | No increased risk of persistent obstruction |
| Mousavi, 2013 [65] | Iran | Cross-sectional | 43 severe persistent asthma | Low AAT in 4.7% | No association with lung function |
| Vianello, 2021 [66] | Italy | Letter/Clinical report | Severe asthma on biologics | AATD noted in some cases | Possible determinant of poor control and decline |
| Zappa, 2024 [67] | Italy | Retrospective cohort | GINA step 5 severe asthma | 19% non-MM genotypes; lower AAT | More emphysema; clinical response only in PiMM |
| Navasero, 2024 [68] | USA | Abstract/Screening study | Moderate-severe asthma (on/eligible for biologics) | Feasibility of AATD screening | Showed value of testing in this group |
| Author/Year | Country | Design | Population | AATD Findings | Key Result |
|---|---|---|---|---|---|
| Eden, 2007 [69] | USA | Clinical trial cohort | Poorly controlled asthma (ALA-ACRC) | 10.5% carriers; 2.4% <20 μM | Detected non-negligible prevalence |
| Suárez-Lorenzo, 2018 [70] | Spain | Cross-sectional | 648 mite-allergic asthmatics (48 severe) | Genotypes & serum AAT | No correlation with severity |
| Martín-González, 2025 [71] | Spain | Genetic/biomarker | Asthma (severity not specified) | Pi*S, Pi*Z variants; serum AAT | Associated with risk of exacerbations |
| Ortega, 2025 [72,73] | USA | Genetic association study | Moderate-severe asthma | SERPINA1 variants & serum AAT | Associated with severity via gene-environment interaction |
Disclaimer/Publisher’s Note: The statements, opinions and data contained in all publications are solely those of the individual author(s) and contributor(s) and not of MDPI and/or the editor(s). MDPI and/or the editor(s) disclaim responsibility for any injury to people or property resulting from any ideas, methods, instructions or products referred to in the content. |
© 2026 by the authors. Licensee MDPI, Basel, Switzerland. This article is an open access article distributed under the terms and conditions of the Creative Commons Attribution (CC BY) license.
Share and Cite
Pastoressa, L.; Pivetti, V.; Valente, M.; Beghè, B.; Clini, E.; Tonelli, R.; Cerri, S. Alpha-1 Antitrypsin Deficiency Beyond COPD and Emphysema: A Narrative Review. Med. Sci. 2026, 14, 106. https://doi.org/10.3390/medsci14010106
Pastoressa L, Pivetti V, Valente M, Beghè B, Clini E, Tonelli R, Cerri S. Alpha-1 Antitrypsin Deficiency Beyond COPD and Emphysema: A Narrative Review. Medical Sciences. 2026; 14(1):106. https://doi.org/10.3390/medsci14010106
Chicago/Turabian StylePastoressa, Lucia, Vanessa Pivetti, Marialuisa Valente, Bianca Beghè, Enrico Clini, Roberto Tonelli, and Stefania Cerri. 2026. "Alpha-1 Antitrypsin Deficiency Beyond COPD and Emphysema: A Narrative Review" Medical Sciences 14, no. 1: 106. https://doi.org/10.3390/medsci14010106
APA StylePastoressa, L., Pivetti, V., Valente, M., Beghè, B., Clini, E., Tonelli, R., & Cerri, S. (2026). Alpha-1 Antitrypsin Deficiency Beyond COPD and Emphysema: A Narrative Review. Medical Sciences, 14(1), 106. https://doi.org/10.3390/medsci14010106

