A Prospective Cohort Study Comparing Microscopy and Culture in the Diagnosis of Superficial Fungal Skin Infections
Abstract
1. Introduction
2. Materials and Methods
2.1. Investigation Methods
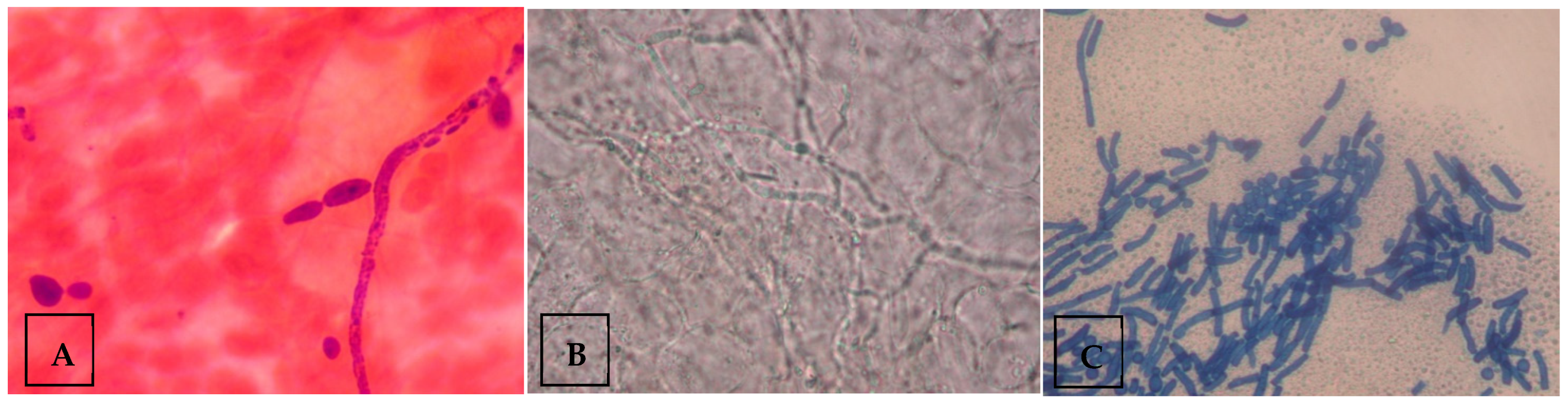
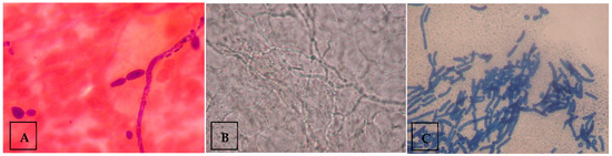
2.1.1. Microscopy
2.1.2. Culture
2.2. Statistical Analysis and Sample Size
3. Results
3.1. Results from Microscopy and Culture
3.2. Comparison Between Results of Microscopy and Culture
4. Discussion
5. Conclusions
Author Contributions
Funding
Institutional Review Board Statement
Informed Consent Statement
Data Availability Statement
Acknowledgments
Conflicts of Interest
References
- Tan, H.H. Superficial Fungal Infections Seen at the National Skin Centre, Singapore. Nippon Ishinkin Gakkai Zasshi 2005, 46, 77–80. [Google Scholar] [CrossRef] [PubMed][Green Version]
- Kruithoff, C.; Gamal, A.; McCormick, T.S.; Ghannoum, M.A. Dermatophyte Infections Worldwide: Increase in Incidence and Associated Antifungal Resistance. Life 2024, 14, 1. [Google Scholar] [CrossRef] [PubMed]
- Yew, Y.W.; Kuan, A.H.Y.; Ge, L.; Yap, C.W.; Heng, B.H. Psychosocial Impact of Skin Diseases: A Population-Based Study. PLoS ONE 2020, 15, e0244765. [Google Scholar] [CrossRef] [PubMed]
- Yadgar, R.J.; Bhatia, N.; Friedman, A. Cutaneous Fungal Infections Are Commonly Misdiagnosed: A Survey-Based Study. J. Am. Acad. Dermatol. 2017, 76, 562–563. [Google Scholar] [CrossRef] [PubMed]
- Begari, V.; Pathakumari, P.; Takalkar, A.A. Comparative Evaluation of KOH Mount, Fungal Culture and PAS Staining in Onychomycosis. Int. J. Res. Dermatol. 2019, 5, 554–558. [Google Scholar] [CrossRef]
- Levitt, J.O.; Levitt, B.H.; Akhavan, A.; Yanofsky, H. The Sensitivity and Specificity of Potassium Hydroxide Smear and Fungal Culture Relative to Clinical Assessment in the Evaluation of Tinea Pedis: A Pooled Analysis. Dermatol. Res. Pract. 2010, 2010, 764843. [Google Scholar] [CrossRef] [PubMed]
- Garg, J.; Tilak, R.; Garg, A.; Prakash, P.; Gulati, A.K.; Nath, G. Rapid Detection of Dermatophytes from Skin and Hair. BMC Res. Notes 2009, 2, 60. [Google Scholar] [CrossRef] [PubMed]
- Fisher, M.C.; Alastruey-Izquierdo, A.; Berman, J.; Bicanic, T.; Bignell, E.M.; Bowyer, P.; Bromley, M.; Brüggemann, R.; Garber, G.; Cornely, O.A.; et al. Tackling the Emerging Threat of Antifungal Resistance to Human Health. Nat. Rev. Microbiol. 2022, 20, 557–571. [Google Scholar] [CrossRef] [PubMed]
- Goh, C.-L.; Tay, Y.K.; Bin Ali, K.; Koh, M.T.; Lim, D.C. In Vitro Evaluation of Griseofulvin, Ketoconazole, and Itraconazole against Various Dermatophytes in Singapore. Int. J. Dermatol. 1994, 33, 733–737. [Google Scholar] [CrossRef] [PubMed]
- Bose, A.K.; Kharkar, V.; Wanjare, S.; Nataraj, G.; Thirumalaiswamy, A. Diagnostic Utility of Chicago Sky Blue Stain in Superficial Dermatophytosis. Int. J. Res. Dermatol. 2022, 8, 388–392. [Google Scholar] [CrossRef]
- Lodha, N.; Poojary, S.A. A Novel Contrast Stain for the Rapid Diagnosis of Pityriasis Versicolor: A Comparison of Chicago Sky Blue 6B Stain, Potassium Hydroxide Mount and Culture. Indian J. Dermatol. 2015, 60, 340–344. [Google Scholar] [CrossRef] [PubMed]
- Roy, P.; Das, S.; Sharma, S.; Girotra, V.; Jindal, N.; Bansal, S.; Kaur, J. Revisiting the Utility of Histopathological Examination of Biopsy: A Necessity in Microbiology. J. Clin. Diagn. Res. 2017, 11, DC16–DC18. [Google Scholar] [CrossRef] [PubMed]
- Flack, V.F.; Afifi, A.A.; Lachenbruch, P.A.; Schouten, H.J.A. Sample Size Determinations for the Two Rater Kappa Statistic. Psychometrika 1988, 53, 321–325. [Google Scholar] [CrossRef]
- Urban, K.; Chu, S.; Scheufele, C.; Giesey, R.L.; Mehrmal, S.; Uppal, P.; Delost, M.E. The Global, Regional, and National Burden of Fungal Skin Diseases in 195 Countries and Territories: A Cross-Sectional Analysis from the Global Burden of Disease Study 2017. JAAD Int. 2021, 2, 22–27. [Google Scholar] [CrossRef] [PubMed]
- Hammoudi Halat, D.; Younes, S.; Mourad, N.; Rahal, M. Allylamines, Benzylamines, and Fungal Cell Permeability: A Review of Mechanistic Effects and Usefulness against Fungal Pathogens. Membranes 2022, 12, 1171. [Google Scholar] [CrossRef] [PubMed]
- Ghannoum, M. Azole Resistance in Dermatophytes: Prevalence and Mechanism of Action. J. Am. Podiatr. Med. Assoc. 2016, 106, 79–86. [Google Scholar] [CrossRef] [PubMed]


| Number of Body Sites Subjected to Sampling | Number of Patients (%) |
|---|---|
| 1 | 72 (48.32) |
| 2 | 51 (34.23) |
| 3 | 16 (10.74) |
| 4 | 5 (3.36) |
| 5 | 4 (2.68) |
| 6 | 1 (0.67) |
| Total | 149 (100) |
| Microscopy Result | Number of Samples | Percentage | Fungal Morphology Observed |
| Negative | 201 | 75.00% | No Fungal morphology seen |
| Positive | 67 | 25.00% | Budding yeast: 5 (7.46%); spores and hyphae: 16 (23.88%); and mycelium: 46 (68.66%) |
| Total | 268 | 100.00% | |
| Culture Result | Number of Samples | Percentage | Fungal Species Isolated in Positive Cultures |
| Negative | 210 | 83.33% | No Fungal species isolated |
| Positive | 42 | 16.67% | Trichophyton rubrum: 22 (52.38%) Trichophyton mentagrophytes variant interdigitale: 12 (28.57%) Candida albicans: 5 (11.90%) Candida parapsilosis: 2 (4.76%) Fusarium spp.: 1 (2.38%) |
| Total | 252 | 100% |
| Microscopy | ||||
|---|---|---|---|---|
| Positive | Negative | Total | ||
| Culture | Positive | 27 | 15 | 42 |
| Negative | 24 | 186 | 210 | |
| Total | 51 | 201 | 252 | |
Disclaimer/Publisher’s Note: The statements, opinions and data contained in all publications are solely those of the individual author(s) and contributor(s) and not of MDPI and/or the editor(s). MDPI and/or the editor(s) disclaim responsibility for any injury to people or property resulting from any ideas, methods, instructions or products referred to in the content. |
© 2025 by the authors. Licensee MDPI, Basel, Switzerland. This article is an open access article distributed under the terms and conditions of the Creative Commons Attribution (CC BY) license (https://creativecommons.org/licenses/by/4.0/).
Share and Cite
Monteiro, A.Y.; Cheng, H.M.; Lim, L.; Pan, J.Y.; Liang, K.; Tey, H.L. A Prospective Cohort Study Comparing Microscopy and Culture in the Diagnosis of Superficial Fungal Skin Infections. Med. Sci. 2025, 13, 247. https://doi.org/10.3390/medsci13040247
Monteiro AY, Cheng HM, Lim L, Pan JY, Liang K, Tey HL. A Prospective Cohort Study Comparing Microscopy and Culture in the Diagnosis of Superficial Fungal Skin Infections. Medical Sciences. 2025; 13(4):247. https://doi.org/10.3390/medsci13040247
Chicago/Turabian StyleMonteiro, Amelia Yuting, Hui Mei Cheng, Larissa Lim, Jiun Yit Pan, Kun Liang, and Hong Liang Tey. 2025. "A Prospective Cohort Study Comparing Microscopy and Culture in the Diagnosis of Superficial Fungal Skin Infections" Medical Sciences 13, no. 4: 247. https://doi.org/10.3390/medsci13040247
APA StyleMonteiro, A. Y., Cheng, H. M., Lim, L., Pan, J. Y., Liang, K., & Tey, H. L. (2025). A Prospective Cohort Study Comparing Microscopy and Culture in the Diagnosis of Superficial Fungal Skin Infections. Medical Sciences, 13(4), 247. https://doi.org/10.3390/medsci13040247

